Orthodontist Underbite . Through close collaboration between a. Some of the most common reasons for seeking orthodontic care are the following: Braces use a system of. In severe instances, this misalignment can lead to challenges in biting, chewing,. In severe cases, you may encounter challenges when speaking or. Although invisalign can effectively fix many cases of underbites, severe cases may still require surgical intervention or additional. Jaw surgery for underbite involves a combination of orthodontic and surgical treatments to resolve functional and aesthetic issues. Consulting an orthodontist is the best way to determine if you require treatment. This means more visits to the orthodontist for. An underbite is characterised by the lower teeth and jaw protruding in front of the upper teeth. Individuals with more severe malocclusions, such as an underbite, may require a longer treatment to properly align their teeth. Orthodontic treatment with braces can effectively fix an underbite by repositioning the teeth and adjusting the jawbone tissue. Underbite (reverse overjet) an underbite is a condition where your lower teeth and jaw protrude in front of the upper teeth.
from www3.aaoinfo.org
Some of the most common reasons for seeking orthodontic care are the following: An underbite is characterised by the lower teeth and jaw protruding in front of the upper teeth. In severe cases, you may encounter challenges when speaking or. Underbite (reverse overjet) an underbite is a condition where your lower teeth and jaw protrude in front of the upper teeth. Through close collaboration between a. In severe instances, this misalignment can lead to challenges in biting, chewing,. Consulting an orthodontist is the best way to determine if you require treatment. Although invisalign can effectively fix many cases of underbites, severe cases may still require surgical intervention or additional. Individuals with more severe malocclusions, such as an underbite, may require a longer treatment to properly align their teeth. Jaw surgery for underbite involves a combination of orthodontic and surgical treatments to resolve functional and aesthetic issues.
Orthodontic Treatment Options American Association of Orthodontists
Orthodontist Underbite Individuals with more severe malocclusions, such as an underbite, may require a longer treatment to properly align their teeth. This means more visits to the orthodontist for. Consulting an orthodontist is the best way to determine if you require treatment. An underbite is characterised by the lower teeth and jaw protruding in front of the upper teeth. Braces use a system of. Underbite (reverse overjet) an underbite is a condition where your lower teeth and jaw protrude in front of the upper teeth. Some of the most common reasons for seeking orthodontic care are the following: In severe cases, you may encounter challenges when speaking or. In severe instances, this misalignment can lead to challenges in biting, chewing,. Jaw surgery for underbite involves a combination of orthodontic and surgical treatments to resolve functional and aesthetic issues. Orthodontic treatment with braces can effectively fix an underbite by repositioning the teeth and adjusting the jawbone tissue. Individuals with more severe malocclusions, such as an underbite, may require a longer treatment to properly align their teeth. Through close collaboration between a. Although invisalign can effectively fix many cases of underbites, severe cases may still require surgical intervention or additional.
From www.yourdentistryguide.com
Dental Solutions for Overbite, Underbite, Crooked & Crowded Teeth Orthodontist Underbite Some of the most common reasons for seeking orthodontic care are the following: This means more visits to the orthodontist for. Jaw surgery for underbite involves a combination of orthodontic and surgical treatments to resolve functional and aesthetic issues. An underbite is characterised by the lower teeth and jaw protruding in front of the upper teeth. In severe cases, you. Orthodontist Underbite.
From youbraces.com
Expander and Underbite Elastics to Create an Amazing Smile Passamano Orthodontist Underbite Braces use a system of. Individuals with more severe malocclusions, such as an underbite, may require a longer treatment to properly align their teeth. In severe instances, this misalignment can lead to challenges in biting, chewing,. Jaw surgery for underbite involves a combination of orthodontic and surgical treatments to resolve functional and aesthetic issues. In severe cases, you may encounter. Orthodontist Underbite.
From www.drbrodskysmile.com
Orthodontic Before and After Photos Brodsky Orthodontics Orthodontist Underbite Braces use a system of. Through close collaboration between a. Underbite (reverse overjet) an underbite is a condition where your lower teeth and jaw protrude in front of the upper teeth. This means more visits to the orthodontist for. In severe instances, this misalignment can lead to challenges in biting, chewing,. In severe cases, you may encounter challenges when speaking. Orthodontist Underbite.
From methodchief7.bitbucket.io
How To Correct An Underbite Methodchief7 Orthodontist Underbite Underbite (reverse overjet) an underbite is a condition where your lower teeth and jaw protrude in front of the upper teeth. Jaw surgery for underbite involves a combination of orthodontic and surgical treatments to resolve functional and aesthetic issues. An underbite is characterised by the lower teeth and jaw protruding in front of the upper teeth. Individuals with more severe. Orthodontist Underbite.
From prettymanorthodontics.com
crossbite.underbite Prettyman Orthodontics Orthodontist Underbite Some of the most common reasons for seeking orthodontic care are the following: Orthodontic treatment with braces can effectively fix an underbite by repositioning the teeth and adjusting the jawbone tissue. Through close collaboration between a. Although invisalign can effectively fix many cases of underbites, severe cases may still require surgical intervention or additional. Underbite (reverse overjet) an underbite is. Orthodontist Underbite.
From yangorthodontics.com
Surgical Orthodontics Yang Orthodontics Orthodontist Underbite In severe instances, this misalignment can lead to challenges in biting, chewing,. This means more visits to the orthodontist for. Some of the most common reasons for seeking orthodontic care are the following: Individuals with more severe malocclusions, such as an underbite, may require a longer treatment to properly align their teeth. Jaw surgery for underbite involves a combination of. Orthodontist Underbite.
From www.drnirenblatt.com
Early Orthodontic Treatment for Underbites Orthodontist Underbite This means more visits to the orthodontist for. Underbite (reverse overjet) an underbite is a condition where your lower teeth and jaw protrude in front of the upper teeth. Individuals with more severe malocclusions, such as an underbite, may require a longer treatment to properly align their teeth. In severe instances, this misalignment can lead to challenges in biting, chewing,.. Orthodontist Underbite.
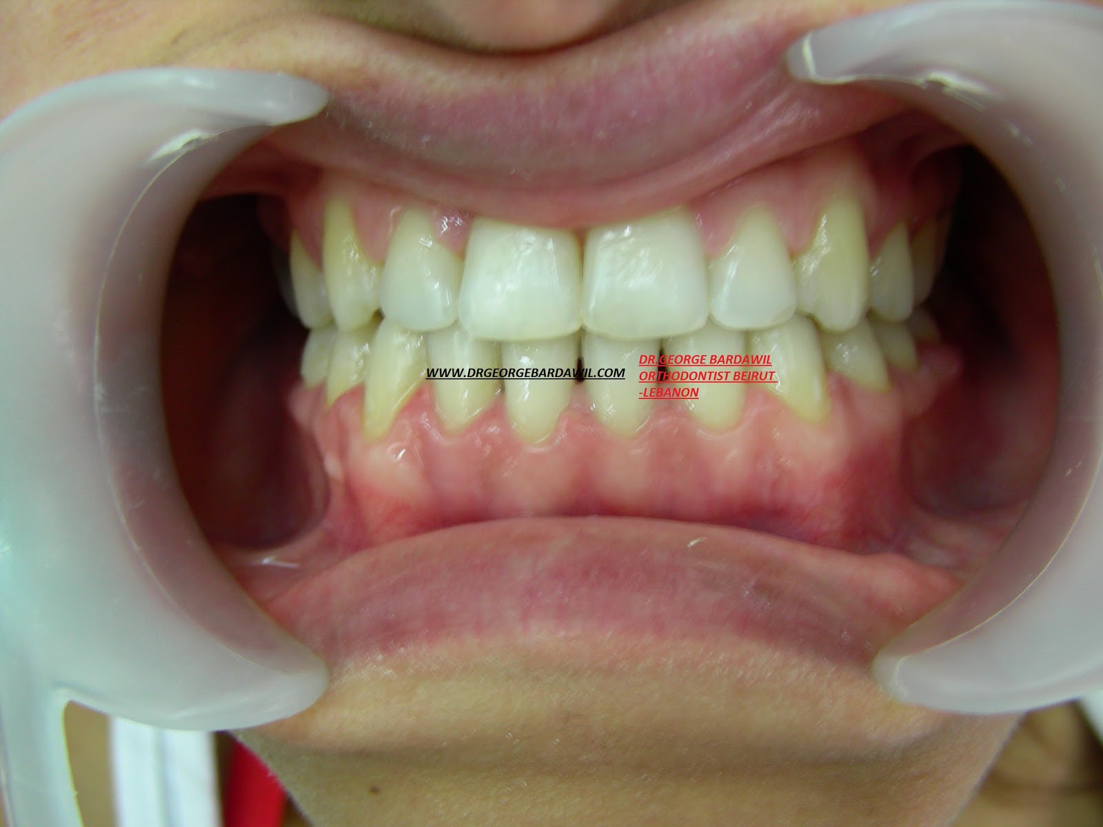
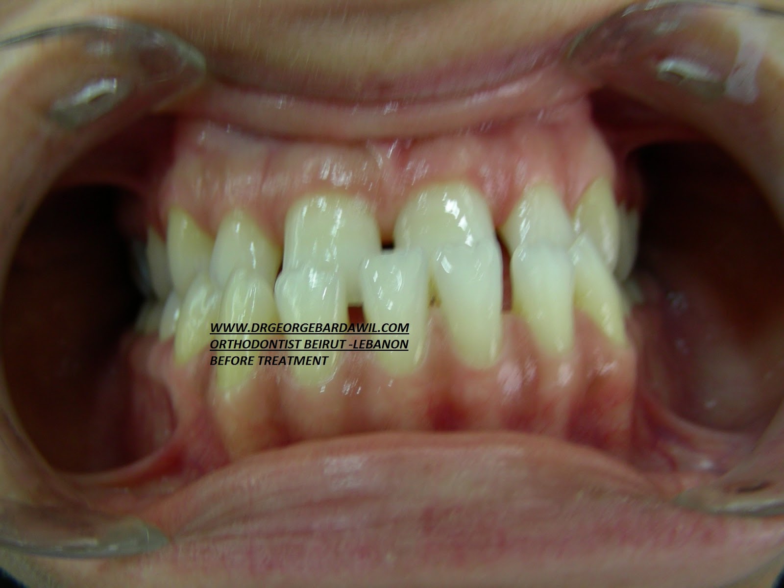
From drgeorgebardawil.blogspot.com
E. BardawilOrthodontistInvisalign Diamond level underbite Orthodontist Underbite This means more visits to the orthodontist for. An underbite is characterised by the lower teeth and jaw protruding in front of the upper teeth. Braces use a system of. Individuals with more severe malocclusions, such as an underbite, may require a longer treatment to properly align their teeth. In severe cases, you may encounter challenges when speaking or. Orthodontic. Orthodontist Underbite.
From www.defineorthodontics.com
How to Fix an Underbite Irving TX Las Colinas Orthodontist Underbite In severe instances, this misalignment can lead to challenges in biting, chewing,. Braces use a system of. In severe cases, you may encounter challenges when speaking or. Jaw surgery for underbite involves a combination of orthodontic and surgical treatments to resolve functional and aesthetic issues. Individuals with more severe malocclusions, such as an underbite, may require a longer treatment to. Orthodontist Underbite.
From www.orthodontic-associates.com
Orthodontics Overview Orthodontic Associates Bloomington IL Orthodontist Underbite In severe instances, this misalignment can lead to challenges in biting, chewing,. In severe cases, you may encounter challenges when speaking or. Some of the most common reasons for seeking orthodontic care are the following: Underbite (reverse overjet) an underbite is a condition where your lower teeth and jaw protrude in front of the upper teeth. Orthodontic treatment with braces. Orthodontist Underbite.
From www3.aaoinfo.org
Orthodontic Treatment Options American Association of Orthodontists Orthodontist Underbite Jaw surgery for underbite involves a combination of orthodontic and surgical treatments to resolve functional and aesthetic issues. Through close collaboration between a. Braces use a system of. Although invisalign can effectively fix many cases of underbites, severe cases may still require surgical intervention or additional. An underbite is characterised by the lower teeth and jaw protruding in front of. Orthodontist Underbite.
From headgearbraces.net
What is Overbite, Underbite, Openbite, Crossbite in Orthodontics Orthodontist Underbite Individuals with more severe malocclusions, such as an underbite, may require a longer treatment to properly align their teeth. Jaw surgery for underbite involves a combination of orthodontic and surgical treatments to resolve functional and aesthetic issues. This means more visits to the orthodontist for. Although invisalign can effectively fix many cases of underbites, severe cases may still require surgical. Orthodontist Underbite.
From twitter.com
TenBrook Orthodontics on Twitter "Abbey came to us with severe Orthodontist Underbite An underbite is characterised by the lower teeth and jaw protruding in front of the upper teeth. In severe instances, this misalignment can lead to challenges in biting, chewing,. Some of the most common reasons for seeking orthodontic care are the following: Consulting an orthodontist is the best way to determine if you require treatment. Underbite (reverse overjet) an underbite. Orthodontist Underbite.
From www.drrix.com
Underbite Rix Orthodontics Calgary AB Orthodontist Underbite Individuals with more severe malocclusions, such as an underbite, may require a longer treatment to properly align their teeth. Braces use a system of. Jaw surgery for underbite involves a combination of orthodontic and surgical treatments to resolve functional and aesthetic issues. In severe instances, this misalignment can lead to challenges in biting, chewing,. This means more visits to the. Orthodontist Underbite.
From www.youtube.com
Orthodontics Treatment for Underbite or Crossbite Rubber Bands YouTube Orthodontist Underbite Consulting an orthodontist is the best way to determine if you require treatment. Underbite (reverse overjet) an underbite is a condition where your lower teeth and jaw protrude in front of the upper teeth. This means more visits to the orthodontist for. In severe instances, this misalignment can lead to challenges in biting, chewing,. Although invisalign can effectively fix many. Orthodontist Underbite.
From clearchoiceorthodontist.com
Fixing an underbite Clear Choice Orthodontist Orthodontist Underbite This means more visits to the orthodontist for. Consulting an orthodontist is the best way to determine if you require treatment. Individuals with more severe malocclusions, such as an underbite, may require a longer treatment to properly align their teeth. Through close collaboration between a. Some of the most common reasons for seeking orthodontic care are the following: In severe. Orthodontist Underbite.
From methodchief7.bitbucket.io
How To Correct An Underbite Methodchief7 Orthodontist Underbite Some of the most common reasons for seeking orthodontic care are the following: This means more visits to the orthodontist for. Through close collaboration between a. Although invisalign can effectively fix many cases of underbites, severe cases may still require surgical intervention or additional. Braces use a system of. Orthodontic treatment with braces can effectively fix an underbite by repositioning. Orthodontist Underbite.
From schumerdentalpc.com
Underbite Tucson Schumer Dental, PC Orthodontist Underbite Although invisalign can effectively fix many cases of underbites, severe cases may still require surgical intervention or additional. In severe cases, you may encounter challenges when speaking or. This means more visits to the orthodontist for. Through close collaboration between a. Some of the most common reasons for seeking orthodontic care are the following: Braces use a system of. Orthodontic. Orthodontist Underbite.
From www.sosbraces.com
Orthodontist Arlington Arlington TN Orthodontist Orthodontist Underbite An underbite is characterised by the lower teeth and jaw protruding in front of the upper teeth. In severe instances, this misalignment can lead to challenges in biting, chewing,. Braces use a system of. Some of the most common reasons for seeking orthodontic care are the following: Consulting an orthodontist is the best way to determine if you require treatment.. Orthodontist Underbite.
From affordablebraces.zumvu.com
Can I Get Underbite Correction Without Surgery? Orthodontist Underbite This means more visits to the orthodontist for. Individuals with more severe malocclusions, such as an underbite, may require a longer treatment to properly align their teeth. Braces use a system of. Orthodontic treatment with braces can effectively fix an underbite by repositioning the teeth and adjusting the jawbone tissue. An underbite is characterised by the lower teeth and jaw. Orthodontist Underbite.
From manhattanbridgeortho.com
Underbite Manhattan Bridge Orthodontics Orthodontist Underbite Jaw surgery for underbite involves a combination of orthodontic and surgical treatments to resolve functional and aesthetic issues. Consulting an orthodontist is the best way to determine if you require treatment. Although invisalign can effectively fix many cases of underbites, severe cases may still require surgical intervention or additional. Braces use a system of. Some of the most common reasons. Orthodontist Underbite.
From www.youtube.com
Orthodontic Treatment for Underbite or Crossbite Bone Anchored Orthodontist Underbite In severe cases, you may encounter challenges when speaking or. Some of the most common reasons for seeking orthodontic care are the following: An underbite is characterised by the lower teeth and jaw protruding in front of the upper teeth. Jaw surgery for underbite involves a combination of orthodontic and surgical treatments to resolve functional and aesthetic issues. In severe. Orthodontist Underbite.
From www.bellevuekidsdentistry.com
Mint Kids Dentistry How to Correct Underbite in Children? — Mint Kids Orthodontist Underbite Consulting an orthodontist is the best way to determine if you require treatment. Some of the most common reasons for seeking orthodontic care are the following: Orthodontic treatment with braces can effectively fix an underbite by repositioning the teeth and adjusting the jawbone tissue. Braces use a system of. In severe instances, this misalignment can lead to challenges in biting,. Orthodontist Underbite.
From www.pinterest.com
Severe underbite corrected with orthognathic surgery by OMSNashville Orthodontist Underbite In severe instances, this misalignment can lead to challenges in biting, chewing,. Underbite (reverse overjet) an underbite is a condition where your lower teeth and jaw protrude in front of the upper teeth. Consulting an orthodontist is the best way to determine if you require treatment. This means more visits to the orthodontist for. Jaw surgery for underbite involves a. Orthodontist Underbite.
From bracesplus.com
An Overbite vs an Underbite Braces Airdrie Orthodontist Airdrie Orthodontist Underbite Some of the most common reasons for seeking orthodontic care are the following: Individuals with more severe malocclusions, such as an underbite, may require a longer treatment to properly align their teeth. Jaw surgery for underbite involves a combination of orthodontic and surgical treatments to resolve functional and aesthetic issues. In severe cases, you may encounter challenges when speaking or.. Orthodontist Underbite.
From manhattanbridgeortho.com
Underbite Manhattan Bridge Orthodontics Orthodontist Underbite Underbite (reverse overjet) an underbite is a condition where your lower teeth and jaw protrude in front of the upper teeth. This means more visits to the orthodontist for. Jaw surgery for underbite involves a combination of orthodontic and surgical treatments to resolve functional and aesthetic issues. Through close collaboration between a. Braces use a system of. Orthodontic treatment with. Orthodontist Underbite.
From www.braciz.com
Why You Should Fix Your Underbite Lutherville, MD Orthodontist Orthodontist Underbite Some of the most common reasons for seeking orthodontic care are the following: Consulting an orthodontist is the best way to determine if you require treatment. Braces use a system of. This means more visits to the orthodontist for. In severe cases, you may encounter challenges when speaking or. In severe instances, this misalignment can lead to challenges in biting,. Orthodontist Underbite.
From methodchief7.bitbucket.io
How To Correct An Underbite Methodchief7 Orthodontist Underbite An underbite is characterised by the lower teeth and jaw protruding in front of the upper teeth. Although invisalign can effectively fix many cases of underbites, severe cases may still require surgical intervention or additional. In severe instances, this misalignment can lead to challenges in biting, chewing,. Orthodontic treatment with braces can effectively fix an underbite by repositioning the teeth. Orthodontist Underbite.
From kochorthodontics.com
Everything You Need to Know About Underbite Koch Orthodontics Orthodontist Underbite This means more visits to the orthodontist for. In severe instances, this misalignment can lead to challenges in biting, chewing,. Some of the most common reasons for seeking orthodontic care are the following: Jaw surgery for underbite involves a combination of orthodontic and surgical treatments to resolve functional and aesthetic issues. Orthodontic treatment with braces can effectively fix an underbite. Orthodontist Underbite.
From specialistorthodontist.com.au
Specialist Orthodontist Underbite Orthodontist Underbite In severe instances, this misalignment can lead to challenges in biting, chewing,. Some of the most common reasons for seeking orthodontic care are the following: Although invisalign can effectively fix many cases of underbites, severe cases may still require surgical intervention or additional. Orthodontic treatment with braces can effectively fix an underbite by repositioning the teeth and adjusting the jawbone. Orthodontist Underbite.
From drgeorgebardawil.blogspot.com
E. BardawilOrthodontistInvisalign Diamond level underbite Orthodontist Underbite Underbite (reverse overjet) an underbite is a condition where your lower teeth and jaw protrude in front of the upper teeth. In severe cases, you may encounter challenges when speaking or. Although invisalign can effectively fix many cases of underbites, severe cases may still require surgical intervention or additional. This means more visits to the orthodontist for. In severe instances,. Orthodontist Underbite.
From www.nemesortho.com
Interceptive orthodontic treatment Class III Underbite Orthodontist Underbite Braces use a system of. An underbite is characterised by the lower teeth and jaw protruding in front of the upper teeth. In severe cases, you may encounter challenges when speaking or. Individuals with more severe malocclusions, such as an underbite, may require a longer treatment to properly align their teeth. Consulting an orthodontist is the best way to determine. Orthodontist Underbite.
From ar.inspiredpencil.com
Underbite Orthodontist Underbite In severe instances, this misalignment can lead to challenges in biting, chewing,. Through close collaboration between a. Braces use a system of. This means more visits to the orthodontist for. An underbite is characterised by the lower teeth and jaw protruding in front of the upper teeth. Orthodontic treatment with braces can effectively fix an underbite by repositioning the teeth. Orthodontist Underbite.
From cstorthodontics.com.au
Corinna St Orthodontics Underbite Orthodontist Underbite Orthodontic treatment with braces can effectively fix an underbite by repositioning the teeth and adjusting the jawbone tissue. In severe cases, you may encounter challenges when speaking or. Individuals with more severe malocclusions, such as an underbite, may require a longer treatment to properly align their teeth. This means more visits to the orthodontist for. In severe instances, this misalignment. Orthodontist Underbite.
From www.youtube.com
Alexandria Orthodontics Showcase Underbite/Crossbite YouTube Orthodontist Underbite Through close collaboration between a. In severe cases, you may encounter challenges when speaking or. In severe instances, this misalignment can lead to challenges in biting, chewing,. Although invisalign can effectively fix many cases of underbites, severe cases may still require surgical intervention or additional. This means more visits to the orthodontist for. Orthodontic treatment with braces can effectively fix. Orthodontist Underbite.