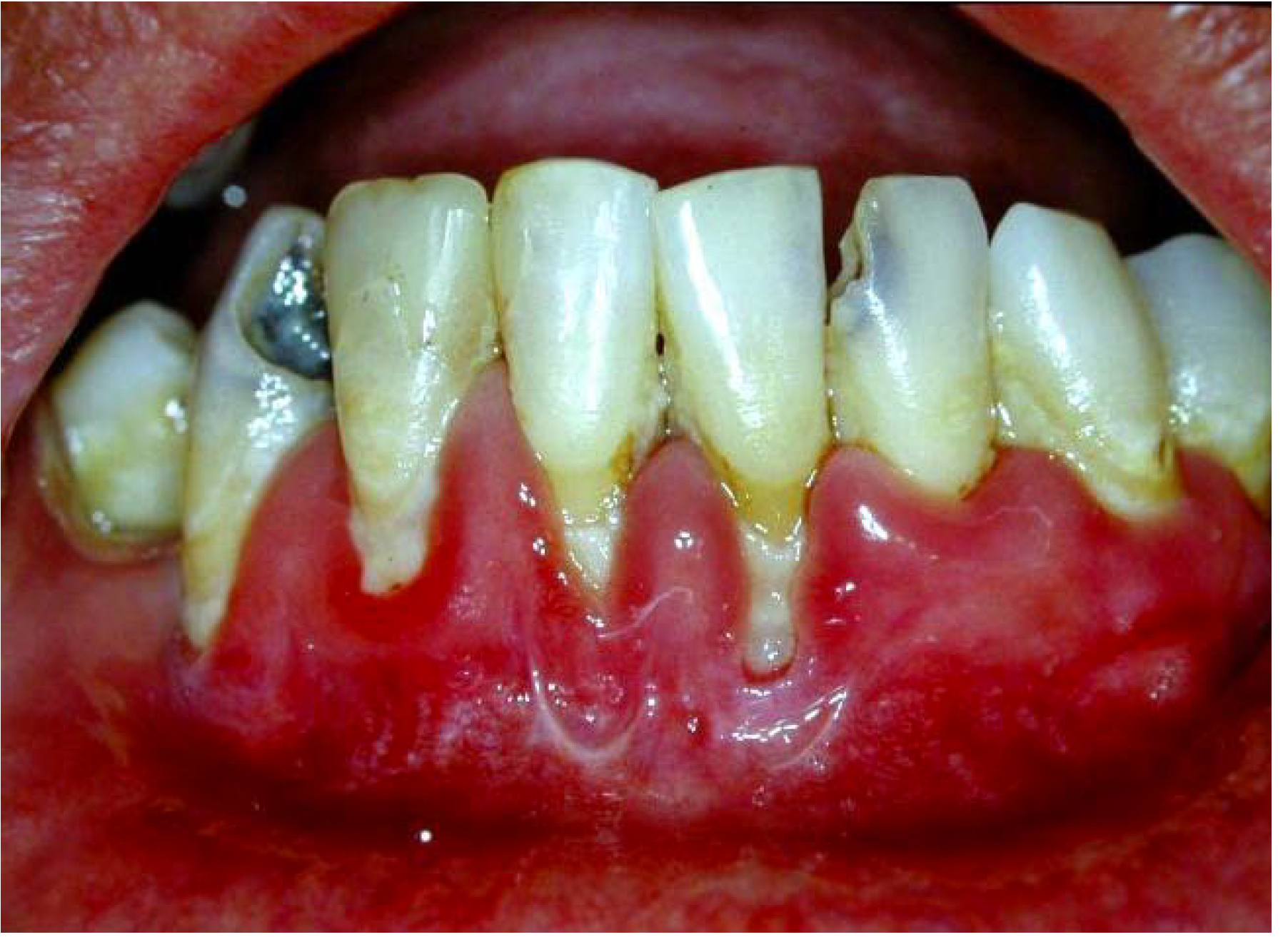
Antibiotics With Gingivitis . Each of them is topical, as oral antibiotics are generally not prescribed for gum. a dentist may prescribe oral antibiotics for severe periodontitis, but only very rarely for gingivitis. these agents are used to eradicate the bacterial infection that is the hallmark of anug. there are three main oral antibiotics prescribed by dentists to treat gingivitis. gingivitis is caused by bacterial plaque (dental biofilm) that accumulates daily on the teeth. various drugs used for systemic conditions can cause gingivitis as a side effect such as phenytoin (used for epileptic seizures),. patients with acute or severe periodontal infections (periodontal abscess, acute.
from dentagama.com
gingivitis is caused by bacterial plaque (dental biofilm) that accumulates daily on the teeth. these agents are used to eradicate the bacterial infection that is the hallmark of anug. patients with acute or severe periodontal infections (periodontal abscess, acute. there are three main oral antibiotics prescribed by dentists to treat gingivitis. a dentist may prescribe oral antibiotics for severe periodontitis, but only very rarely for gingivitis. various drugs used for systemic conditions can cause gingivitis as a side effect such as phenytoin (used for epileptic seizures),. Each of them is topical, as oral antibiotics are generally not prescribed for gum.
Top 10 antibiotics for dental infection News Dentagama
Antibiotics With Gingivitis these agents are used to eradicate the bacterial infection that is the hallmark of anug. patients with acute or severe periodontal infections (periodontal abscess, acute. Each of them is topical, as oral antibiotics are generally not prescribed for gum. these agents are used to eradicate the bacterial infection that is the hallmark of anug. a dentist may prescribe oral antibiotics for severe periodontitis, but only very rarely for gingivitis. various drugs used for systemic conditions can cause gingivitis as a side effect such as phenytoin (used for epileptic seizures),. there are three main oral antibiotics prescribed by dentists to treat gingivitis. gingivitis is caused by bacterial plaque (dental biofilm) that accumulates daily on the teeth.
From www.youtube.com
Gingivitis Antibiotics What is the Best ANTIBIOTIC for Gingivitis Antibiotics With Gingivitis a dentist may prescribe oral antibiotics for severe periodontitis, but only very rarely for gingivitis. gingivitis is caused by bacterial plaque (dental biofilm) that accumulates daily on the teeth. various drugs used for systemic conditions can cause gingivitis as a side effect such as phenytoin (used for epileptic seizures),. Each of them is topical, as oral antibiotics. Antibiotics With Gingivitis.
From www.vigorblog.com
Gingivitis Treatments and Medications Antibiotics With Gingivitis various drugs used for systemic conditions can cause gingivitis as a side effect such as phenytoin (used for epileptic seizures),. these agents are used to eradicate the bacterial infection that is the hallmark of anug. there are three main oral antibiotics prescribed by dentists to treat gingivitis. Each of them is topical, as oral antibiotics are generally. Antibiotics With Gingivitis.
From www.youtube.com
how to get rid of gingivitis in cats naturally YouTube Antibiotics With Gingivitis there are three main oral antibiotics prescribed by dentists to treat gingivitis. various drugs used for systemic conditions can cause gingivitis as a side effect such as phenytoin (used for epileptic seizures),. Each of them is topical, as oral antibiotics are generally not prescribed for gum. a dentist may prescribe oral antibiotics for severe periodontitis, but only. Antibiotics With Gingivitis.
From endopracticeus.com
Antibiotics — use them carefully Antibiotics With Gingivitis these agents are used to eradicate the bacterial infection that is the hallmark of anug. patients with acute or severe periodontal infections (periodontal abscess, acute. a dentist may prescribe oral antibiotics for severe periodontitis, but only very rarely for gingivitis. various drugs used for systemic conditions can cause gingivitis as a side effect such as phenytoin. Antibiotics With Gingivitis.
From dentaldepotdfw.com
The Symptoms, Treatment, and Prevention of Gingivitis Dental Depot Antibiotics With Gingivitis there are three main oral antibiotics prescribed by dentists to treat gingivitis. a dentist may prescribe oral antibiotics for severe periodontitis, but only very rarely for gingivitis. gingivitis is caused by bacterial plaque (dental biofilm) that accumulates daily on the teeth. these agents are used to eradicate the bacterial infection that is the hallmark of anug.. Antibiotics With Gingivitis.
From www.animalia-life.club
Necrotizing Ulcerative Gingivitis Before And After Antibiotics With Gingivitis gingivitis is caused by bacterial plaque (dental biofilm) that accumulates daily on the teeth. a dentist may prescribe oral antibiotics for severe periodontitis, but only very rarely for gingivitis. Each of them is topical, as oral antibiotics are generally not prescribed for gum. there are three main oral antibiotics prescribed by dentists to treat gingivitis. these. Antibiotics With Gingivitis.
From downtownathensvet.com
Causes and treatment of feline gingivitis downtownathensvet Antibiotics With Gingivitis gingivitis is caused by bacterial plaque (dental biofilm) that accumulates daily on the teeth. various drugs used for systemic conditions can cause gingivitis as a side effect such as phenytoin (used for epileptic seizures),. Each of them is topical, as oral antibiotics are generally not prescribed for gum. patients with acute or severe periodontal infections (periodontal abscess,. Antibiotics With Gingivitis.
From www.mdpi.com
Antibiotics Free FullText Necrotizing Gingivitis Microbial Antibiotics With Gingivitis Each of them is topical, as oral antibiotics are generally not prescribed for gum. a dentist may prescribe oral antibiotics for severe periodontitis, but only very rarely for gingivitis. patients with acute or severe periodontal infections (periodontal abscess, acute. these agents are used to eradicate the bacterial infection that is the hallmark of anug. gingivitis is. Antibiotics With Gingivitis.
From harrisondentalcare.com.au
The Importance of Gum and Periodontal Treatment for Oral Health Antibiotics With Gingivitis various drugs used for systemic conditions can cause gingivitis as a side effect such as phenytoin (used for epileptic seizures),. a dentist may prescribe oral antibiotics for severe periodontitis, but only very rarely for gingivitis. gingivitis is caused by bacterial plaque (dental biofilm) that accumulates daily on the teeth. Each of them is topical, as oral antibiotics. Antibiotics With Gingivitis.
From dentagama.com
Top 10 antibiotics for dental infection News Dentagama Antibiotics With Gingivitis Each of them is topical, as oral antibiotics are generally not prescribed for gum. these agents are used to eradicate the bacterial infection that is the hallmark of anug. various drugs used for systemic conditions can cause gingivitis as a side effect such as phenytoin (used for epileptic seizures),. a dentist may prescribe oral antibiotics for severe. Antibiotics With Gingivitis.
From www.msdmanuals.com
Acute Necrotizing Ulcerative Gingivitis (ANUG) Mouth and Dental Antibiotics With Gingivitis a dentist may prescribe oral antibiotics for severe periodontitis, but only very rarely for gingivitis. these agents are used to eradicate the bacterial infection that is the hallmark of anug. gingivitis is caused by bacterial plaque (dental biofilm) that accumulates daily on the teeth. Each of them is topical, as oral antibiotics are generally not prescribed for. Antibiotics With Gingivitis.
From raodoctor.com
Acute Necrotizing Ulcerative Gingivitis8 Signs And Symptoms Antibiotics With Gingivitis gingivitis is caused by bacterial plaque (dental biofilm) that accumulates daily on the teeth. there are three main oral antibiotics prescribed by dentists to treat gingivitis. various drugs used for systemic conditions can cause gingivitis as a side effect such as phenytoin (used for epileptic seizures),. these agents are used to eradicate the bacterial infection that. Antibiotics With Gingivitis.
From www.youtube.com
8 Effective home remedies for gingivitis. YouTube Antibiotics With Gingivitis gingivitis is caused by bacterial plaque (dental biofilm) that accumulates daily on the teeth. these agents are used to eradicate the bacterial infection that is the hallmark of anug. Each of them is topical, as oral antibiotics are generally not prescribed for gum. a dentist may prescribe oral antibiotics for severe periodontitis, but only very rarely for. Antibiotics With Gingivitis.
From www.todaysrdh.com
Desquamative Gingivitis Maintenance through Proper Oral Care In Lieu Antibiotics With Gingivitis there are three main oral antibiotics prescribed by dentists to treat gingivitis. patients with acute or severe periodontal infections (periodontal abscess, acute. these agents are used to eradicate the bacterial infection that is the hallmark of anug. gingivitis is caused by bacterial plaque (dental biofilm) that accumulates daily on the teeth. Each of them is topical,. Antibiotics With Gingivitis.
From www.healthdigest.com
Common Symptoms Of Gingivitis To Be On The Lookout For Antibiotics With Gingivitis there are three main oral antibiotics prescribed by dentists to treat gingivitis. a dentist may prescribe oral antibiotics for severe periodontitis, but only very rarely for gingivitis. patients with acute or severe periodontal infections (periodontal abscess, acute. Each of them is topical, as oral antibiotics are generally not prescribed for gum. gingivitis is caused by bacterial. Antibiotics With Gingivitis.
From gingivitisdisease.blogspot.com
Gingivitis Treatment Antibiotics Antibiotics With Gingivitis gingivitis is caused by bacterial plaque (dental biofilm) that accumulates daily on the teeth. various drugs used for systemic conditions can cause gingivitis as a side effect such as phenytoin (used for epileptic seizures),. these agents are used to eradicate the bacterial infection that is the hallmark of anug. a dentist may prescribe oral antibiotics for. Antibiotics With Gingivitis.
From www.hse.ie
Necrotising Gingivitis HSE.ie Antibiotics With Gingivitis various drugs used for systemic conditions can cause gingivitis as a side effect such as phenytoin (used for epileptic seizures),. gingivitis is caused by bacterial plaque (dental biofilm) that accumulates daily on the teeth. patients with acute or severe periodontal infections (periodontal abscess, acute. Each of them is topical, as oral antibiotics are generally not prescribed for. Antibiotics With Gingivitis.
From www.thecosmeticchemist.com
The Cosmetic Chemist Antibiotics With Gingivitis various drugs used for systemic conditions can cause gingivitis as a side effect such as phenytoin (used for epileptic seizures),. there are three main oral antibiotics prescribed by dentists to treat gingivitis. gingivitis is caused by bacterial plaque (dental biofilm) that accumulates daily on the teeth. Each of them is topical, as oral antibiotics are generally not. Antibiotics With Gingivitis.
From www.pathwaydentists.co.nz
Gingivitis inflammation of the gums Pathway Dentists Antibiotics With Gingivitis gingivitis is caused by bacterial plaque (dental biofilm) that accumulates daily on the teeth. patients with acute or severe periodontal infections (periodontal abscess, acute. Each of them is topical, as oral antibiotics are generally not prescribed for gum. these agents are used to eradicate the bacterial infection that is the hallmark of anug. various drugs used. Antibiotics With Gingivitis.
From casereports.bmj.com
Hormonal effect on gingiva pubertal gingivitis BMJ Case Reports Antibiotics With Gingivitis Each of them is topical, as oral antibiotics are generally not prescribed for gum. patients with acute or severe periodontal infections (periodontal abscess, acute. gingivitis is caused by bacterial plaque (dental biofilm) that accumulates daily on the teeth. various drugs used for systemic conditions can cause gingivitis as a side effect such as phenytoin (used for epileptic. Antibiotics With Gingivitis.
From mydentaladvocate.com
What Does Gingivitis/Gum Disease Look Like? (20 Pictures) Antibiotics With Gingivitis various drugs used for systemic conditions can cause gingivitis as a side effect such as phenytoin (used for epileptic seizures),. gingivitis is caused by bacterial plaque (dental biofilm) that accumulates daily on the teeth. a dentist may prescribe oral antibiotics for severe periodontitis, but only very rarely for gingivitis. these agents are used to eradicate the. Antibiotics With Gingivitis.
From blogs.voanews.com
Ancient Dolphin; CPR is More Successful on TV; Blueberries Make Natural Antibiotics With Gingivitis gingivitis is caused by bacterial plaque (dental biofilm) that accumulates daily on the teeth. patients with acute or severe periodontal infections (periodontal abscess, acute. various drugs used for systemic conditions can cause gingivitis as a side effect such as phenytoin (used for epileptic seizures),. these agents are used to eradicate the bacterial infection that is the. Antibiotics With Gingivitis.
From www.listerine.com
LISTERINE® Gum Therapy Antiseptic Mouthwash LISTERINE® Antibiotics With Gingivitis a dentist may prescribe oral antibiotics for severe periodontitis, but only very rarely for gingivitis. Each of them is topical, as oral antibiotics are generally not prescribed for gum. gingivitis is caused by bacterial plaque (dental biofilm) that accumulates daily on the teeth. there are three main oral antibiotics prescribed by dentists to treat gingivitis. various. Antibiotics With Gingivitis.
From www.kauveryhospital.com
What is Gingivitis? Infographic Kauvery Hospital Antibiotics With Gingivitis these agents are used to eradicate the bacterial infection that is the hallmark of anug. patients with acute or severe periodontal infections (periodontal abscess, acute. gingivitis is caused by bacterial plaque (dental biofilm) that accumulates daily on the teeth. various drugs used for systemic conditions can cause gingivitis as a side effect such as phenytoin (used. Antibiotics With Gingivitis.
From www.doccheck.com
Gingivitis DocCheck Antibiotics With Gingivitis these agents are used to eradicate the bacterial infection that is the hallmark of anug. Each of them is topical, as oral antibiotics are generally not prescribed for gum. a dentist may prescribe oral antibiotics for severe periodontitis, but only very rarely for gingivitis. various drugs used for systemic conditions can cause gingivitis as a side effect. Antibiotics With Gingivitis.
From www.mdpi.com
Antibiotics Free FullText Necrotizing Gingivitis Microbial Antibiotics With Gingivitis these agents are used to eradicate the bacterial infection that is the hallmark of anug. Each of them is topical, as oral antibiotics are generally not prescribed for gum. a dentist may prescribe oral antibiotics for severe periodontitis, but only very rarely for gingivitis. various drugs used for systemic conditions can cause gingivitis as a side effect. Antibiotics With Gingivitis.
From www.mdedge.com
Recurrent UTIs in Women How to Refine Your Care Clinician Reviews Antibiotics With Gingivitis these agents are used to eradicate the bacterial infection that is the hallmark of anug. there are three main oral antibiotics prescribed by dentists to treat gingivitis. various drugs used for systemic conditions can cause gingivitis as a side effect such as phenytoin (used for epileptic seizures),. a dentist may prescribe oral antibiotics for severe periodontitis,. Antibiotics With Gingivitis.
From tablo.com
Tablo Read 'Gingivitis Symptoms, Causes & Treatment' by Antibiotics With Gingivitis there are three main oral antibiotics prescribed by dentists to treat gingivitis. a dentist may prescribe oral antibiotics for severe periodontitis, but only very rarely for gingivitis. these agents are used to eradicate the bacterial infection that is the hallmark of anug. various drugs used for systemic conditions can cause gingivitis as a side effect such. Antibiotics With Gingivitis.
From www.top10homeremedies.com
How to Get Rid of Gingivitis Top 10 Home Remedies Antibiotics With Gingivitis Each of them is topical, as oral antibiotics are generally not prescribed for gum. gingivitis is caused by bacterial plaque (dental biofilm) that accumulates daily on the teeth. these agents are used to eradicate the bacterial infection that is the hallmark of anug. patients with acute or severe periodontal infections (periodontal abscess, acute. there are three. Antibiotics With Gingivitis.
From www.mdpi.com
Diagnostics Free FullText Desquamative Gingivitis in the Context Antibiotics With Gingivitis a dentist may prescribe oral antibiotics for severe periodontitis, but only very rarely for gingivitis. gingivitis is caused by bacterial plaque (dental biofilm) that accumulates daily on the teeth. Each of them is topical, as oral antibiotics are generally not prescribed for gum. patients with acute or severe periodontal infections (periodontal abscess, acute. there are three. Antibiotics With Gingivitis.
From bweisshealth.com
How to Treat Gingivitis Fast at Home Antibiotics With Gingivitis these agents are used to eradicate the bacterial infection that is the hallmark of anug. a dentist may prescribe oral antibiotics for severe periodontitis, but only very rarely for gingivitis. various drugs used for systemic conditions can cause gingivitis as a side effect such as phenytoin (used for epileptic seizures),. Each of them is topical, as oral. Antibiotics With Gingivitis.
From www.researchgate.net
(PDF) Detection of Antibiotics Resistance among patients with Gingivitis Antibiotics With Gingivitis Each of them is topical, as oral antibiotics are generally not prescribed for gum. various drugs used for systemic conditions can cause gingivitis as a side effect such as phenytoin (used for epileptic seizures),. there are three main oral antibiotics prescribed by dentists to treat gingivitis. a dentist may prescribe oral antibiotics for severe periodontitis, but only. Antibiotics With Gingivitis.
From www.intechopen.com
AIDS/HIV Associated Lesions and Management IntechOpen Antibiotics With Gingivitis gingivitis is caused by bacterial plaque (dental biofilm) that accumulates daily on the teeth. Each of them is topical, as oral antibiotics are generally not prescribed for gum. a dentist may prescribe oral antibiotics for severe periodontitis, but only very rarely for gingivitis. various drugs used for systemic conditions can cause gingivitis as a side effect such. Antibiotics With Gingivitis.
From jpabs.org
Treating gingivitis with antibiotics Antibiotics With Gingivitis these agents are used to eradicate the bacterial infection that is the hallmark of anug. gingivitis is caused by bacterial plaque (dental biofilm) that accumulates daily on the teeth. patients with acute or severe periodontal infections (periodontal abscess, acute. there are three main oral antibiotics prescribed by dentists to treat gingivitis. a dentist may prescribe. Antibiotics With Gingivitis.
From www.rdhmag.com
Using adjunctive antibiotics for periodontal patients Registered Antibiotics With Gingivitis a dentist may prescribe oral antibiotics for severe periodontitis, but only very rarely for gingivitis. these agents are used to eradicate the bacterial infection that is the hallmark of anug. Each of them is topical, as oral antibiotics are generally not prescribed for gum. gingivitis is caused by bacterial plaque (dental biofilm) that accumulates daily on the. Antibiotics With Gingivitis.