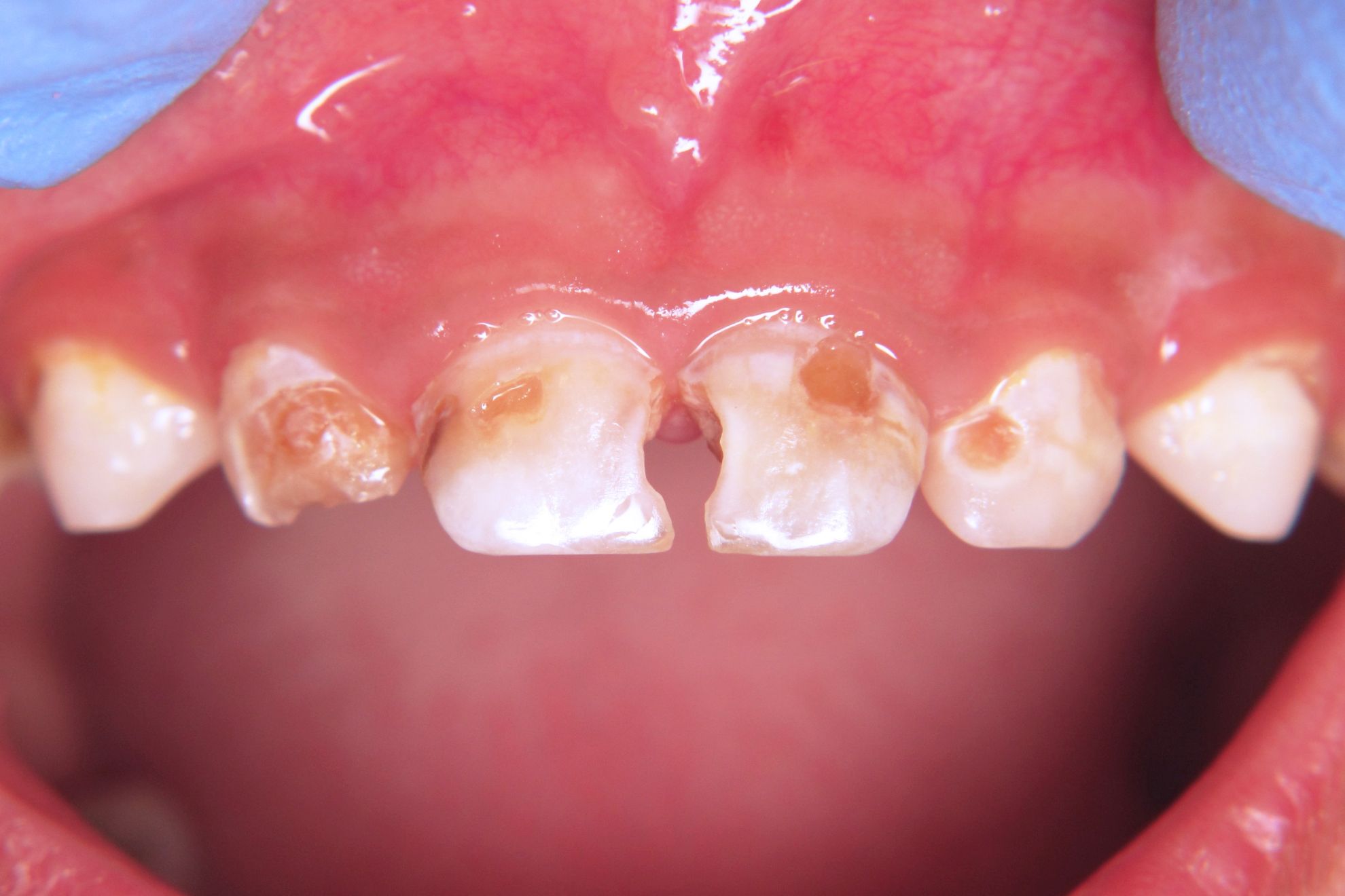
Sa Dental Lift The Lip . White lines along the gum line can be the beginning of tooth. How to lift the lip. Lift or gently push the upper lip so the teeth and gums are visible. Lift your child’s top lip once a month to check for early signs of tooth decay. To check your baby’s teeth for tooth decay, lift their top lip and look at the front teeth. White lines on the teeth, near the gum line, can be the start of tooth decay. Lift your child’s top lip to check for early signs of tooth decay. Look at the upper teeth—the front and back of the teeth for. Please email all completed referrals to: Lift the lip is a screening tool developed by sa dental in collaboration with the australian research centre for population oral health. Health.sadsliftthelip@sa.gov.au contact the lift the lip project team on (08) 7117 0072 if. Please seek dental advice if you notice any change in your child’s teeth. If you notice any changes to your.
from www.dental.sa.gov.au
White lines along the gum line can be the beginning of tooth. Lift or gently push the upper lip so the teeth and gums are visible. Lift your child’s top lip once a month to check for early signs of tooth decay. How to lift the lip. Lift your child’s top lip to check for early signs of tooth decay. Lift the lip is a screening tool developed by sa dental in collaboration with the australian research centre for population oral health. If you notice any changes to your. Please seek dental advice if you notice any change in your child’s teeth. Please email all completed referrals to: To check your baby’s teeth for tooth decay, lift their top lip and look at the front teeth.
Advice • SA Dental
Sa Dental Lift The Lip Health.sadsliftthelip@sa.gov.au contact the lift the lip project team on (08) 7117 0072 if. Health.sadsliftthelip@sa.gov.au contact the lift the lip project team on (08) 7117 0072 if. To check your baby’s teeth for tooth decay, lift their top lip and look at the front teeth. White lines on the teeth, near the gum line, can be the start of tooth decay. How to lift the lip. Lift your child’s top lip to check for early signs of tooth decay. If you notice any changes to your. Lift the lip is a screening tool developed by sa dental in collaboration with the australian research centre for population oral health. Look at the upper teeth—the front and back of the teeth for. Lift or gently push the upper lip so the teeth and gums are visible. Please email all completed referrals to: Lift your child’s top lip once a month to check for early signs of tooth decay. Please seek dental advice if you notice any change in your child’s teeth. White lines along the gum line can be the beginning of tooth.
From www.dental.sa.gov.au
Victor Harbor • Clinics • SA Dental Sa Dental Lift The Lip Lift or gently push the upper lip so the teeth and gums are visible. Please email all completed referrals to: To check your baby’s teeth for tooth decay, lift their top lip and look at the front teeth. If you notice any changes to your. Look at the upper teeth—the front and back of the teeth for. How to lift. Sa Dental Lift The Lip.
From thejacobscenter.com
Lip Lift The Jacobs Center for Cosmetic Surgery Sa Dental Lift The Lip Look at the upper teeth—the front and back of the teeth for. Lift your child’s top lip once a month to check for early signs of tooth decay. Please seek dental advice if you notice any change in your child’s teeth. To check your baby’s teeth for tooth decay, lift their top lip and look at the front teeth. How. Sa Dental Lift The Lip.
From metronorth.health.qld.gov.au
Lift the Lip Metro North Health Sa Dental Lift The Lip Lift or gently push the upper lip so the teeth and gums are visible. To check your baby’s teeth for tooth decay, lift their top lip and look at the front teeth. Lift your child’s top lip to check for early signs of tooth decay. Please seek dental advice if you notice any change in your child’s teeth. Lift your. Sa Dental Lift The Lip.
From www.moh.gov.bn
Ministry of Health dentalinfo Sa Dental Lift The Lip White lines along the gum line can be the beginning of tooth. Look at the upper teeth—the front and back of the teeth for. Please seek dental advice if you notice any change in your child’s teeth. Lift your child’s top lip once a month to check for early signs of tooth decay. Please email all completed referrals to: To. Sa Dental Lift The Lip.
From www.beverlyhillsladentist.com
Beverly Hills Lip Lift Dentistry West Hollywood Lip Lifts Dentist Sa Dental Lift The Lip Lift your child’s top lip to check for early signs of tooth decay. Lift the lip is a screening tool developed by sa dental in collaboration with the australian research centre for population oral health. To check your baby’s teeth for tooth decay, lift their top lip and look at the front teeth. White lines on the teeth, near the. Sa Dental Lift The Lip.
From www.youtube.com
Lift the Lip to Prevent Dental Decay YouTube Sa Dental Lift The Lip How to lift the lip. White lines along the gum line can be the beginning of tooth. Look at the upper teeth—the front and back of the teeth for. If you notice any changes to your. To check your baby’s teeth for tooth decay, lift their top lip and look at the front teeth. Lift your child’s top lip to. Sa Dental Lift The Lip.
From www.westendplasticsurgery.com
Lip Lift West End Plastic Surgery Sa Dental Lift The Lip Health.sadsliftthelip@sa.gov.au contact the lift the lip project team on (08) 7117 0072 if. If you notice any changes to your. Lift your child’s top lip once a month to check for early signs of tooth decay. Lift or gently push the upper lip so the teeth and gums are visible. White lines along the gum line can be the beginning. Sa Dental Lift The Lip.
From drkylestanley.com
Dental Lip Lift Sa Dental Lift The Lip How to lift the lip. Lift your child’s top lip once a month to check for early signs of tooth decay. Lift your child’s top lip to check for early signs of tooth decay. Lift or gently push the upper lip so the teeth and gums are visible. To check your baby’s teeth for tooth decay, lift their top lip. Sa Dental Lift The Lip.
From www.publichealthgreybruce.on.ca
Preventing Dental Decay Sa Dental Lift The Lip White lines along the gum line can be the beginning of tooth. Lift your child’s top lip to check for early signs of tooth decay. If you notice any changes to your. Lift or gently push the upper lip so the teeth and gums are visible. Please seek dental advice if you notice any change in your child’s teeth. Please. Sa Dental Lift The Lip.
From www.youtube.com
Lip Lift Surgery Procedure YouTube Sa Dental Lift The Lip To check your baby’s teeth for tooth decay, lift their top lip and look at the front teeth. Lift your child’s top lip once a month to check for early signs of tooth decay. Lift the lip is a screening tool developed by sa dental in collaboration with the australian research centre for population oral health. Please email all completed. Sa Dental Lift The Lip.
From www.youtube.com
Lip Lift Recovery Time Lesson Of The Day YouTube Sa Dental Lift The Lip Look at the upper teeth—the front and back of the teeth for. Please seek dental advice if you notice any change in your child’s teeth. How to lift the lip. White lines along the gum line can be the beginning of tooth. To check your baby’s teeth for tooth decay, lift their top lip and look at the front teeth.. Sa Dental Lift The Lip.
From www.youtube.com
Lift The Lip Dental Education for Children YouTube Sa Dental Lift The Lip Lift or gently push the upper lip so the teeth and gums are visible. Please seek dental advice if you notice any change in your child’s teeth. If you notice any changes to your. Lift your child’s top lip to check for early signs of tooth decay. To check your baby’s teeth for tooth decay, lift their top lip and. Sa Dental Lift The Lip.
From www.researchgate.net
(PDF) Lift the lip a screening guide among the dental professionals Sa Dental Lift The Lip White lines on the teeth, near the gum line, can be the start of tooth decay. Lift or gently push the upper lip so the teeth and gums are visible. Please email all completed referrals to: Please seek dental advice if you notice any change in your child’s teeth. How to lift the lip. To check your baby’s teeth for. Sa Dental Lift The Lip.
From www.williamsoncosmeticcenter.com
Lip Lift Baton Rouge Lip Reduction Gonzales, LA Dr. Jon Perenack Sa Dental Lift The Lip Please email all completed referrals to: Lift your child’s top lip to check for early signs of tooth decay. Lift the lip is a screening tool developed by sa dental in collaboration with the australian research centre for population oral health. White lines on the teeth, near the gum line, can be the start of tooth decay. To check your. Sa Dental Lift The Lip.
From www.dental.sa.gov.au
Lift the lip • SA Dental Sa Dental Lift The Lip Lift your child’s top lip once a month to check for early signs of tooth decay. White lines on the teeth, near the gum line, can be the start of tooth decay. Health.sadsliftthelip@sa.gov.au contact the lift the lip project team on (08) 7117 0072 if. If you notice any changes to your. White lines along the gum line can be. Sa Dental Lift The Lip.
From www.dental.sa.gov.au
Lift the Lip Program • SA Dental Sa Dental Lift The Lip Lift your child’s top lip to check for early signs of tooth decay. White lines on the teeth, near the gum line, can be the start of tooth decay. Lift the lip is a screening tool developed by sa dental in collaboration with the australian research centre for population oral health. Please email all completed referrals to: Lift or gently. Sa Dental Lift The Lip.
From www.dental.sa.gov.au
Lift the lip • SA Dental Sa Dental Lift The Lip Lift your child’s top lip to check for early signs of tooth decay. Lift your child’s top lip once a month to check for early signs of tooth decay. How to lift the lip. Health.sadsliftthelip@sa.gov.au contact the lift the lip project team on (08) 7117 0072 if. White lines on the teeth, near the gum line, can be the start. Sa Dental Lift The Lip.
From www.pdffiller.com
Fillable Online Lift the Lip Referral Form SA Dental Fax Email Print Sa Dental Lift The Lip Please seek dental advice if you notice any change in your child’s teeth. Lift or gently push the upper lip so the teeth and gums are visible. Lift the lip is a screening tool developed by sa dental in collaboration with the australian research centre for population oral health. If you notice any changes to your. Lift your child’s top. Sa Dental Lift The Lip.
From www.dental.sa.gov.au
Adelaide Dental Hospital (by referral only) • Clinics • SA Dental Sa Dental Lift The Lip Health.sadsliftthelip@sa.gov.au contact the lift the lip project team on (08) 7117 0072 if. If you notice any changes to your. Look at the upper teeth—the front and back of the teeth for. Please email all completed referrals to: How to lift the lip. Lift your child’s top lip to check for early signs of tooth decay. Lift or gently push. Sa Dental Lift The Lip.
From www.palmbeachfacialsurgery.com
What is a Lip Lift? Sa Dental Lift The Lip Lift the lip is a screening tool developed by sa dental in collaboration with the australian research centre for population oral health. Lift your child’s top lip to check for early signs of tooth decay. If you notice any changes to your. Lift your child’s top lip once a month to check for early signs of tooth decay. Look at. Sa Dental Lift The Lip.
From www.dental.sa.gov.au
Give your child's teeth a healthy start • SA Dental Sa Dental Lift The Lip Lift the lip is a screening tool developed by sa dental in collaboration with the australian research centre for population oral health. Lift your child’s top lip to check for early signs of tooth decay. Look at the upper teeth—the front and back of the teeth for. Please email all completed referrals to: To check your baby’s teeth for tooth. Sa Dental Lift The Lip.
From sitelip.org
lift the lip Sa Dental Lift The Lip How to lift the lip. Please email all completed referrals to: Please seek dental advice if you notice any change in your child’s teeth. Lift or gently push the upper lip so the teeth and gums are visible. Lift your child’s top lip to check for early signs of tooth decay. If you notice any changes to your. Lift your. Sa Dental Lift The Lip.
From www.dental.sa.gov.au
Advice • SA Dental Sa Dental Lift The Lip How to lift the lip. White lines on the teeth, near the gum line, can be the start of tooth decay. If you notice any changes to your. To check your baby’s teeth for tooth decay, lift their top lip and look at the front teeth. Please email all completed referrals to: Look at the upper teeth—the front and back. Sa Dental Lift The Lip.
From www.beverlyhillsladentist.com
Beverly Hills Lip Lift Dentistry West Hollywood Lip Lifts Dentist Sa Dental Lift The Lip Lift or gently push the upper lip so the teeth and gums are visible. Please email all completed referrals to: Health.sadsliftthelip@sa.gov.au contact the lift the lip project team on (08) 7117 0072 if. White lines on the teeth, near the gum line, can be the start of tooth decay. White lines along the gum line can be the beginning of. Sa Dental Lift The Lip.
From www.youtube.com
Lift The Lip Dental Education for Children YouTube Sa Dental Lift The Lip Lift your child’s top lip to check for early signs of tooth decay. White lines along the gum line can be the beginning of tooth. Lift your child’s top lip once a month to check for early signs of tooth decay. White lines on the teeth, near the gum line, can be the start of tooth decay. Health.sadsliftthelip@sa.gov.au contact the. Sa Dental Lift The Lip.
From www.beverlyhillsladentist.com
Beverly Hills Lip Lift Dentistry West Hollywood Lip Lifts Dentist Sa Dental Lift The Lip Lift or gently push the upper lip so the teeth and gums are visible. White lines along the gum line can be the beginning of tooth. Health.sadsliftthelip@sa.gov.au contact the lift the lip project team on (08) 7117 0072 if. To check your baby’s teeth for tooth decay, lift their top lip and look at the front teeth. Please seek dental. Sa Dental Lift The Lip.
From www.beverlyhillsladentist.com
Beverly Hills Lip Lift Dentistry West Hollywood Lip Lifts Dentist Sa Dental Lift The Lip Please seek dental advice if you notice any change in your child’s teeth. Lift or gently push the upper lip so the teeth and gums are visible. If you notice any changes to your. Lift the lip is a screening tool developed by sa dental in collaboration with the australian research centre for population oral health. Please email all completed. Sa Dental Lift The Lip.
From www.youtube.com
Lift the Lip and Look YouTube Sa Dental Lift The Lip Look at the upper teeth—the front and back of the teeth for. Please seek dental advice if you notice any change in your child’s teeth. Lift or gently push the upper lip so the teeth and gums are visible. To check your baby’s teeth for tooth decay, lift their top lip and look at the front teeth. Please email all. Sa Dental Lift The Lip.
From www.lovethatface.com
Lip Lift Gallery Richmond VA Cosmetic Facial Surgery Sa Dental Lift The Lip Lift or gently push the upper lip so the teeth and gums are visible. Health.sadsliftthelip@sa.gov.au contact the lift the lip project team on (08) 7117 0072 if. Lift your child’s top lip to check for early signs of tooth decay. Please email all completed referrals to: How to lift the lip. Look at the upper teeth—the front and back of. Sa Dental Lift The Lip.
From www.researchgate.net
SA Dental Service 'Lift the Lip' tool. Reproduced with permission Sa Dental Lift The Lip Look at the upper teeth—the front and back of the teeth for. White lines along the gum line can be the beginning of tooth. Lift your child’s top lip once a month to check for early signs of tooth decay. To check your baby’s teeth for tooth decay, lift their top lip and look at the front teeth. Lift or. Sa Dental Lift The Lip.
From www.dental.sa.gov.au
Checking for tooth decay Lift the Lip • SA Dental Sa Dental Lift The Lip To check your baby’s teeth for tooth decay, lift their top lip and look at the front teeth. Lift or gently push the upper lip so the teeth and gums are visible. Please seek dental advice if you notice any change in your child’s teeth. If you notice any changes to your. White lines on the teeth, near the gum. Sa Dental Lift The Lip.
From dentaloralcentar.com
LIP LIFT Dental Oral Centar Sa Dental Lift The Lip Lift the lip is a screening tool developed by sa dental in collaboration with the australian research centre for population oral health. Lift or gently push the upper lip so the teeth and gums are visible. White lines on the teeth, near the gum line, can be the start of tooth decay. To check your baby’s teeth for tooth decay,. Sa Dental Lift The Lip.
From www.beverlyhillsladentist.com
Beverly Hills Lip Lift Dentistry West Hollywood Lip Lifts Dentist Sa Dental Lift The Lip White lines along the gum line can be the beginning of tooth. Look at the upper teeth—the front and back of the teeth for. If you notice any changes to your. Lift the lip is a screening tool developed by sa dental in collaboration with the australian research centre for population oral health. To check your baby’s teeth for tooth. Sa Dental Lift The Lip.
From www.dental.sa.gov.au
Lift the Lip Program • SA Dental Sa Dental Lift The Lip Health.sadsliftthelip@sa.gov.au contact the lift the lip project team on (08) 7117 0072 if. White lines on the teeth, near the gum line, can be the start of tooth decay. If you notice any changes to your. To check your baby’s teeth for tooth decay, lift their top lip and look at the front teeth. White lines along the gum line. Sa Dental Lift The Lip.
From www.dental.sa.gov.au
Lift the Lip Program • SA Dental Sa Dental Lift The Lip Lift or gently push the upper lip so the teeth and gums are visible. How to lift the lip. To check your baby’s teeth for tooth decay, lift their top lip and look at the front teeth. Please email all completed referrals to: Lift your child’s top lip once a month to check for early signs of tooth decay. Health.sadsliftthelip@sa.gov.au. Sa Dental Lift The Lip.