Symptoms Of Fracture In Dogs Leg . In many cases, a pet owner will witness the event that leads up to the. symptoms of broken leg in dogs. There are different types of fractures, and. Find out how to muzzle, splint and transport your dog to the vet, and what to expect from the treatment. signs of a broken leg in dogs. limb fractures (broken legs) are fairly common in dogs. Identifying a dog's broken bone can be challenging, but common signs include: learn the signs of a broken or dislocated leg in dogs, such as limping, swelling, pain, and difficulty moving. Find out what to do in a suspected leg injury and when to seek veterinary assistance. learn how to recognize the signs of a broken bone in your dog and what to do in an emergency. learn the signs of a broken leg in dogs, such as swelling, bruising, whining, and limping. Identifying a broken leg in your dog can be challenging, but several signs can indicate a serious problem. Find out how to care for your dog's leg injury.
from www.brisbanepetsurgery.com.au
Identifying a broken leg in your dog can be challenging, but several signs can indicate a serious problem. symptoms of broken leg in dogs. limb fractures (broken legs) are fairly common in dogs. learn the signs of a broken or dislocated leg in dogs, such as limping, swelling, pain, and difficulty moving. Find out how to care for your dog's leg injury. learn how to recognize the signs of a broken bone in your dog and what to do in an emergency. Identifying a dog's broken bone can be challenging, but common signs include: signs of a broken leg in dogs. Find out how to muzzle, splint and transport your dog to the vet, and what to expect from the treatment. Find out what to do in a suspected leg injury and when to seek veterinary assistance.
Limb Fractures Dogs, Limb Treatment, Surgery and Cost in Brisbane
Symptoms Of Fracture In Dogs Leg Find out how to care for your dog's leg injury. learn how to recognize the signs of a broken bone in your dog and what to do in an emergency. limb fractures (broken legs) are fairly common in dogs. In many cases, a pet owner will witness the event that leads up to the. signs of a broken leg in dogs. There are different types of fractures, and. Identifying a dog's broken bone can be challenging, but common signs include: Find out how to care for your dog's leg injury. Identifying a broken leg in your dog can be challenging, but several signs can indicate a serious problem. learn the signs of a broken or dislocated leg in dogs, such as limping, swelling, pain, and difficulty moving. learn the signs of a broken leg in dogs, such as swelling, bruising, whining, and limping. Find out how to muzzle, splint and transport your dog to the vet, and what to expect from the treatment. symptoms of broken leg in dogs. Find out what to do in a suspected leg injury and when to seek veterinary assistance.
From southcranbournevet.com.au
Fracture Repair at South Cranbourne Veterinary Surgery South Symptoms Of Fracture In Dogs Leg learn how to recognize the signs of a broken bone in your dog and what to do in an emergency. learn the signs of a broken leg in dogs, such as swelling, bruising, whining, and limping. symptoms of broken leg in dogs. Find out how to muzzle, splint and transport your dog to the vet, and what. Symptoms Of Fracture In Dogs Leg.
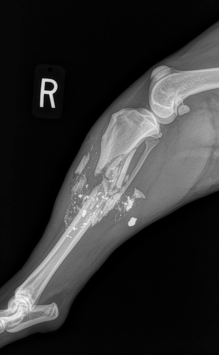
From buyxraysonline.com
FRACTURED LEGDOG Symptoms Of Fracture In Dogs Leg Find out how to care for your dog's leg injury. learn the signs of a broken leg in dogs, such as swelling, bruising, whining, and limping. Identifying a dog's broken bone can be challenging, but common signs include: learn the signs of a broken or dislocated leg in dogs, such as limping, swelling, pain, and difficulty moving. There. Symptoms Of Fracture In Dogs Leg.
From armstrongpethospital.com
Fracture Repair Armstrong Pet Hospital for cats, dogs, pets, animals Symptoms Of Fracture In Dogs Leg In many cases, a pet owner will witness the event that leads up to the. Find out what to do in a suspected leg injury and when to seek veterinary assistance. learn the signs of a broken or dislocated leg in dogs, such as limping, swelling, pain, and difficulty moving. limb fractures (broken legs) are fairly common in. Symptoms Of Fracture In Dogs Leg.
From www.brisbanepetsurgery.com.au
Limb Fractures Dogs, Limb Treatment, Surgery and Cost in Brisbane Symptoms Of Fracture In Dogs Leg Identifying a broken leg in your dog can be challenging, but several signs can indicate a serious problem. In many cases, a pet owner will witness the event that leads up to the. limb fractures (broken legs) are fairly common in dogs. There are different types of fractures, and. Find out how to care for your dog's leg injury.. Symptoms Of Fracture In Dogs Leg.
From www.oakdaleveterinarygroup.com
Pelvic Limb Fractures Oakdale Veterinary Group Symptoms Of Fracture In Dogs Leg Identifying a broken leg in your dog can be challenging, but several signs can indicate a serious problem. Identifying a dog's broken bone can be challenging, but common signs include: symptoms of broken leg in dogs. Find out what to do in a suspected leg injury and when to seek veterinary assistance. learn how to recognize the signs. Symptoms Of Fracture In Dogs Leg.
From www.brisbanepetsurgery.com.au
Anoneal Fracture Dogs, Anconeal Fracture Repair & Surgery Brisbane Symptoms Of Fracture In Dogs Leg learn how to recognize the signs of a broken bone in your dog and what to do in an emergency. In many cases, a pet owner will witness the event that leads up to the. learn the signs of a broken or dislocated leg in dogs, such as limping, swelling, pain, and difficulty moving. signs of a. Symptoms Of Fracture In Dogs Leg.
From buyxraysonline.com
FRACTURED LEGDOG Symptoms Of Fracture In Dogs Leg limb fractures (broken legs) are fairly common in dogs. signs of a broken leg in dogs. Find out how to muzzle, splint and transport your dog to the vet, and what to expect from the treatment. Find out how to care for your dog's leg injury. Identifying a broken leg in your dog can be challenging, but several. Symptoms Of Fracture In Dogs Leg.
From buyxraysonline.com
FRACTURE DOG Symptoms Of Fracture In Dogs Leg Identifying a dog's broken bone can be challenging, but common signs include: symptoms of broken leg in dogs. There are different types of fractures, and. learn the signs of a broken leg in dogs, such as swelling, bruising, whining, and limping. signs of a broken leg in dogs. Identifying a broken leg in your dog can be. Symptoms Of Fracture In Dogs Leg.
From bowwowinsurance.com.au
Fracture of pelvic limb in dogs and cats Symptoms Of Fracture In Dogs Leg learn how to recognize the signs of a broken bone in your dog and what to do in an emergency. Find out what to do in a suspected leg injury and when to seek veterinary assistance. Find out how to care for your dog's leg injury. symptoms of broken leg in dogs. Find out how to muzzle, splint. Symptoms Of Fracture In Dogs Leg.
From www.dreamstime.com
Dog Leg X Ray Showing Intramedullary Pin Fixation of a Proximal Tibial Symptoms Of Fracture In Dogs Leg Identifying a dog's broken bone can be challenging, but common signs include: learn the signs of a broken or dislocated leg in dogs, such as limping, swelling, pain, and difficulty moving. Find out what to do in a suspected leg injury and when to seek veterinary assistance. Find out how to care for your dog's leg injury. In many. Symptoms Of Fracture In Dogs Leg.
From deborahfantasia.hubpages.com
Dog With Broken Leg Symtpoms and Xray Cost HubPages Symptoms Of Fracture In Dogs Leg learn the signs of a broken or dislocated leg in dogs, such as limping, swelling, pain, and difficulty moving. learn the signs of a broken leg in dogs, such as swelling, bruising, whining, and limping. Identifying a broken leg in your dog can be challenging, but several signs can indicate a serious problem. limb fractures (broken legs). Symptoms Of Fracture In Dogs Leg.
From www.dreamstime.com
Radiograph Show X Ray Lateral For Bone Fracture Leg In Dog Chihuahua Symptoms Of Fracture In Dogs Leg learn the signs of a broken or dislocated leg in dogs, such as limping, swelling, pain, and difficulty moving. Find out how to muzzle, splint and transport your dog to the vet, and what to expect from the treatment. There are different types of fractures, and. limb fractures (broken legs) are fairly common in dogs. In many cases,. Symptoms Of Fracture In Dogs Leg.
From www.dailydogdiscoveries.com
What is a Pathological Bone Fracture in Dogs? Daily Dog Discoveries Symptoms Of Fracture In Dogs Leg Find out how to care for your dog's leg injury. Find out how to muzzle, splint and transport your dog to the vet, and what to expect from the treatment. Identifying a broken leg in your dog can be challenging, but several signs can indicate a serious problem. symptoms of broken leg in dogs. signs of a broken. Symptoms Of Fracture In Dogs Leg.
From bowwowinsurance.com.au
Fracture of pelvic limb in dogs and cats Symptoms Of Fracture In Dogs Leg There are different types of fractures, and. In many cases, a pet owner will witness the event that leads up to the. learn how to recognize the signs of a broken bone in your dog and what to do in an emergency. Find out how to muzzle, splint and transport your dog to the vet, and what to expect. Symptoms Of Fracture In Dogs Leg.
From buyxraysonline.com
FRACTURED LEGDOG Symptoms Of Fracture In Dogs Leg Find out how to muzzle, splint and transport your dog to the vet, and what to expect from the treatment. learn how to recognize the signs of a broken bone in your dog and what to do in an emergency. Identifying a dog's broken bone can be challenging, but common signs include: signs of a broken leg in. Symptoms Of Fracture In Dogs Leg.
From www.youtube.com
Femur fracture/Supracondylar femur fracture in dogs a radiographic Symptoms Of Fracture In Dogs Leg Find out how to muzzle, splint and transport your dog to the vet, and what to expect from the treatment. learn the signs of a broken leg in dogs, such as swelling, bruising, whining, and limping. limb fractures (broken legs) are fairly common in dogs. learn the signs of a broken or dislocated leg in dogs, such. Symptoms Of Fracture In Dogs Leg.
From www.youtube.com
How To Treat A Dog With Broken Leg Fracture Treatment In Dogs Dr Symptoms Of Fracture In Dogs Leg Identifying a broken leg in your dog can be challenging, but several signs can indicate a serious problem. symptoms of broken leg in dogs. In many cases, a pet owner will witness the event that leads up to the. learn the signs of a broken or dislocated leg in dogs, such as limping, swelling, pain, and difficulty moving.. Symptoms Of Fracture In Dogs Leg.
From www.australindvet.com.au
Orthopaedics at Australind Vet Repair of Comminuted Spiral Tibial Symptoms Of Fracture In Dogs Leg Find out how to care for your dog's leg injury. signs of a broken leg in dogs. limb fractures (broken legs) are fairly common in dogs. In many cases, a pet owner will witness the event that leads up to the. Identifying a dog's broken bone can be challenging, but common signs include: symptoms of broken leg. Symptoms Of Fracture In Dogs Leg.
From www.warmspringspet.com
Fracture Repair — Warm Springs Pet Hospital Symptoms Of Fracture In Dogs Leg Find out how to care for your dog's leg injury. Identifying a broken leg in your dog can be challenging, but several signs can indicate a serious problem. Find out what to do in a suspected leg injury and when to seek veterinary assistance. symptoms of broken leg in dogs. limb fractures (broken legs) are fairly common in. Symptoms Of Fracture In Dogs Leg.
From www.brisbanepetsurgery.com.au
Limb Fractures Dogs, Limb Treatment, Surgery and Cost in Brisbane Symptoms Of Fracture In Dogs Leg Find out what to do in a suspected leg injury and when to seek veterinary assistance. learn the signs of a broken leg in dogs, such as swelling, bruising, whining, and limping. Find out how to care for your dog's leg injury. limb fractures (broken legs) are fairly common in dogs. Identifying a broken leg in your dog. Symptoms Of Fracture In Dogs Leg.
From wagwalking.com
Broken Leg in Dogs Symptoms, Causes, Diagnosis, Treatment, Recovery Symptoms Of Fracture In Dogs Leg Find out how to care for your dog's leg injury. limb fractures (broken legs) are fairly common in dogs. Identifying a dog's broken bone can be challenging, but common signs include: In many cases, a pet owner will witness the event that leads up to the. There are different types of fractures, and. learn the signs of a. Symptoms Of Fracture In Dogs Leg.
From www.brisbanepetsurgery.com.au
Limb Fractures Dogs, Limb Treatment, Surgery and Cost in Brisbane Symptoms Of Fracture In Dogs Leg Identifying a broken leg in your dog can be challenging, but several signs can indicate a serious problem. Find out how to care for your dog's leg injury. Find out what to do in a suspected leg injury and when to seek veterinary assistance. There are different types of fractures, and. symptoms of broken leg in dogs. learn. Symptoms Of Fracture In Dogs Leg.
From www.vistavets.co.uk
Vet Case Study Treating Condylar Humeral Fracture in Dogs Vista Vets Symptoms Of Fracture In Dogs Leg learn the signs of a broken or dislocated leg in dogs, such as limping, swelling, pain, and difficulty moving. symptoms of broken leg in dogs. Find out what to do in a suspected leg injury and when to seek veterinary assistance. learn how to recognize the signs of a broken bone in your dog and what to. Symptoms Of Fracture In Dogs Leg.
From steeplesvetclinic.com
About a Dog and His Broken Leg How it was Fixed with Orthopedic Symptoms Of Fracture In Dogs Leg limb fractures (broken legs) are fairly common in dogs. symptoms of broken leg in dogs. There are different types of fractures, and. signs of a broken leg in dogs. Find out how to care for your dog's leg injury. learn the signs of a broken or dislocated leg in dogs, such as limping, swelling, pain, and. Symptoms Of Fracture In Dogs Leg.
From www.melbournepetsurgery.com.au
Dog Pelvic Fracture, Dog Broken Pelvis Treatment & Surgery Cost Symptoms Of Fracture In Dogs Leg Identifying a broken leg in your dog can be challenging, but several signs can indicate a serious problem. Find out how to care for your dog's leg injury. learn how to recognize the signs of a broken bone in your dog and what to do in an emergency. There are different types of fractures, and. learn the signs. Symptoms Of Fracture In Dogs Leg.
From cornerstonevet.info
Huck Broken Leg (Splint) Cornerstone Animal Hospital Symptoms Of Fracture In Dogs Leg Find out how to muzzle, splint and transport your dog to the vet, and what to expect from the treatment. Identifying a broken leg in your dog can be challenging, but several signs can indicate a serious problem. learn how to recognize the signs of a broken bone in your dog and what to do in an emergency. . Symptoms Of Fracture In Dogs Leg.
From www.asgscottsdale.com
Orthopedic Trauma & Minimally Invasive Fracture Repair Arizona Canine Symptoms Of Fracture In Dogs Leg Find out what to do in a suspected leg injury and when to seek veterinary assistance. limb fractures (broken legs) are fairly common in dogs. Find out how to care for your dog's leg injury. Identifying a dog's broken bone can be challenging, but common signs include: Find out how to muzzle, splint and transport your dog to the. Symptoms Of Fracture In Dogs Leg.
From www.pinterest.co.kr
Proximal tibial fracture in a 17week old puppy with open growth plates Symptoms Of Fracture In Dogs Leg signs of a broken leg in dogs. Identifying a broken leg in your dog can be challenging, but several signs can indicate a serious problem. Find out what to do in a suspected leg injury and when to seek veterinary assistance. Find out how to muzzle, splint and transport your dog to the vet, and what to expect from. Symptoms Of Fracture In Dogs Leg.
From www.kyon.ch
Pet Fractures & Traumas KYON Symptoms Of Fracture In Dogs Leg Identifying a broken leg in your dog can be challenging, but several signs can indicate a serious problem. learn the signs of a broken or dislocated leg in dogs, such as limping, swelling, pain, and difficulty moving. Find out what to do in a suspected leg injury and when to seek veterinary assistance. Find out how to muzzle, splint. Symptoms Of Fracture In Dogs Leg.
From downtownathensvet.com
Dog Leg Fracture Causes, Treatment, and Prevention Symptoms Of Fracture In Dogs Leg Find out how to muzzle, splint and transport your dog to the vet, and what to expect from the treatment. learn the signs of a broken or dislocated leg in dogs, such as limping, swelling, pain, and difficulty moving. learn how to recognize the signs of a broken bone in your dog and what to do in an. Symptoms Of Fracture In Dogs Leg.
From dreamstime.com
Xray Of Fractured Dog Leg Royalty Free Stock Photo Image 30749605 Symptoms Of Fracture In Dogs Leg limb fractures (broken legs) are fairly common in dogs. In many cases, a pet owner will witness the event that leads up to the. Find out how to muzzle, splint and transport your dog to the vet, and what to expect from the treatment. Identifying a dog's broken bone can be challenging, but common signs include: learn how. Symptoms Of Fracture In Dogs Leg.
From www.kyon.ch
Pet Fractures & Traumas KYON Symptoms Of Fracture In Dogs Leg In many cases, a pet owner will witness the event that leads up to the. Identifying a broken leg in your dog can be challenging, but several signs can indicate a serious problem. Identifying a dog's broken bone can be challenging, but common signs include: Find out how to muzzle, splint and transport your dog to the vet, and what. Symptoms Of Fracture In Dogs Leg.
From www.brisbanepetsurgery.com.au
Limb Fractures Dogs, Limb Treatment, Surgery and Cost in Brisbane Symptoms Of Fracture In Dogs Leg Find out how to care for your dog's leg injury. signs of a broken leg in dogs. Find out what to do in a suspected leg injury and when to seek veterinary assistance. Find out how to muzzle, splint and transport your dog to the vet, and what to expect from the treatment. limb fractures (broken legs) are. Symptoms Of Fracture In Dogs Leg.
From www.pinterest.com
How to Care for a Dog With a Broken or Fractured Pelvis Pelvis, Pet Symptoms Of Fracture In Dogs Leg Find out how to muzzle, splint and transport your dog to the vet, and what to expect from the treatment. signs of a broken leg in dogs. Identifying a dog's broken bone can be challenging, but common signs include: limb fractures (broken legs) are fairly common in dogs. learn the signs of a broken or dislocated leg. Symptoms Of Fracture In Dogs Leg.
From www.petcoach.co
Fractures in Dogs and Cats PetCoach Symptoms Of Fracture In Dogs Leg learn how to recognize the signs of a broken bone in your dog and what to do in an emergency. Find out what to do in a suspected leg injury and when to seek veterinary assistance. symptoms of broken leg in dogs. limb fractures (broken legs) are fairly common in dogs. learn the signs of a. Symptoms Of Fracture In Dogs Leg.