Calcium Build Up In Shoulder Nhs . Calcific tendinopathy is caused by a calcium build up in your tendons. Calcific tendonitis is a condition caused by calcium deposits building up in a person’s muscles or tendons. Your case has been reviewed by an orthopaedic consultant (bone specialist) your painful. If the deposits grow bigger or become irritated, they can cause severe pain. Calcific tendonitis is a condition. If calcium builds up in an area, a person may feel pain and discomfort there. Dystrophic calcification is calcification within a non viable and poorly vascularised rotator cuff and common to see with other signs of. These deposits can become inflamed and cause pain. Calcific tendonitis can occur anywhere. Calcific tendinopathy (or calcific tendonitis) refers to a build up of calcium in the rotator cuff tendons in the shoulder. Calcific tendonitis develops when calcium deposits build up in your tendons or muscles. Explaining the ongoing management of your injury. This can cause irritation of the.
from complete-physio.co.uk
Calcific tendonitis is a condition caused by calcium deposits building up in a person’s muscles or tendons. Calcific tendonitis develops when calcium deposits build up in your tendons or muscles. Calcific tendinopathy is caused by a calcium build up in your tendons. Your case has been reviewed by an orthopaedic consultant (bone specialist) your painful. If the deposits grow bigger or become irritated, they can cause severe pain. Explaining the ongoing management of your injury. Dystrophic calcification is calcification within a non viable and poorly vascularised rotator cuff and common to see with other signs of. If calcium builds up in an area, a person may feel pain and discomfort there. These deposits can become inflamed and cause pain. Calcific tendonitis is a condition.
Calcific Tendinitis of the Shoulder Complete Physio
Calcium Build Up In Shoulder Nhs Calcific tendonitis can occur anywhere. Calcific tendinopathy (or calcific tendonitis) refers to a build up of calcium in the rotator cuff tendons in the shoulder. If calcium builds up in an area, a person may feel pain and discomfort there. Dystrophic calcification is calcification within a non viable and poorly vascularised rotator cuff and common to see with other signs of. Your case has been reviewed by an orthopaedic consultant (bone specialist) your painful. These deposits can become inflamed and cause pain. Calcific tendonitis is a condition caused by calcium deposits building up in a person’s muscles or tendons. If the deposits grow bigger or become irritated, they can cause severe pain. Calcific tendonitis develops when calcium deposits build up in your tendons or muscles. Calcific tendinopathy is caused by a calcium build up in your tendons. Calcific tendonitis is a condition. This can cause irritation of the. Explaining the ongoing management of your injury. Calcific tendonitis can occur anywhere.
From www.dr-meyer-orthopaedics.com
Arthroscopic Removal of Rotator Cuff Calcium Deposits Doctor Matthieu Calcium Build Up In Shoulder Nhs If calcium builds up in an area, a person may feel pain and discomfort there. Calcific tendonitis is a condition caused by calcium deposits building up in a person’s muscles or tendons. If the deposits grow bigger or become irritated, they can cause severe pain. Dystrophic calcification is calcification within a non viable and poorly vascularised rotator cuff and common. Calcium Build Up In Shoulder Nhs.
From complete-physio.co.uk
Calcific Tendinitis of the Shoulder Complete Physio Calcium Build Up In Shoulder Nhs Calcific tendonitis is a condition caused by calcium deposits building up in a person’s muscles or tendons. Calcific tendonitis develops when calcium deposits build up in your tendons or muscles. Dystrophic calcification is calcification within a non viable and poorly vascularised rotator cuff and common to see with other signs of. Calcific tendonitis is a condition. Calcific tendonitis can occur. Calcium Build Up In Shoulder Nhs.
From www.mskultrasoundinjections.co.uk
Calcific tendinitis and Barbotage Musculoskeletal Ultrasound Calcium Build Up In Shoulder Nhs Calcific tendonitis is a condition. Dystrophic calcification is calcification within a non viable and poorly vascularised rotator cuff and common to see with other signs of. Your case has been reviewed by an orthopaedic consultant (bone specialist) your painful. These deposits can become inflamed and cause pain. Calcific tendinopathy (or calcific tendonitis) refers to a build up of calcium in. Calcium Build Up In Shoulder Nhs.
From www.youtube.com
Calcific Tendonitis Shoulder Natural Treatment YouTube Calcium Build Up In Shoulder Nhs If the deposits grow bigger or become irritated, they can cause severe pain. Calcific tendonitis develops when calcium deposits build up in your tendons or muscles. These deposits can become inflamed and cause pain. This can cause irritation of the. Calcific tendinopathy (or calcific tendonitis) refers to a build up of calcium in the rotator cuff tendons in the shoulder.. Calcium Build Up In Shoulder Nhs.
From www.researchgate.net
Extensive intramedullary calcium diffusion in tendinopathy of the Calcium Build Up In Shoulder Nhs Calcific tendinopathy is caused by a calcium build up in your tendons. If the deposits grow bigger or become irritated, they can cause severe pain. Dystrophic calcification is calcification within a non viable and poorly vascularised rotator cuff and common to see with other signs of. If calcium builds up in an area, a person may feel pain and discomfort. Calcium Build Up In Shoulder Nhs.
From tammy.ai
Understanding Calcium Buildup Causes, Risks, and Solutions Calcium Build Up In Shoulder Nhs Your case has been reviewed by an orthopaedic consultant (bone specialist) your painful. If the deposits grow bigger or become irritated, they can cause severe pain. Calcific tendonitis is a condition. Calcific tendonitis develops when calcium deposits build up in your tendons or muscles. Calcific tendonitis is a condition caused by calcium deposits building up in a person’s muscles or. Calcium Build Up In Shoulder Nhs.
From www.animalia-life.club
Shoulder Calcification Calcium Build Up In Shoulder Nhs Calcific tendinopathy is caused by a calcium build up in your tendons. Your case has been reviewed by an orthopaedic consultant (bone specialist) your painful. Explaining the ongoing management of your injury. If calcium builds up in an area, a person may feel pain and discomfort there. These deposits can become inflamed and cause pain. Calcific tendonitis can occur anywhere.. Calcium Build Up In Shoulder Nhs.
From www.animalia-life.club
Shoulder Calcification Calcium Build Up In Shoulder Nhs If calcium builds up in an area, a person may feel pain and discomfort there. Calcific tendonitis develops when calcium deposits build up in your tendons or muscles. Calcific tendonitis is a condition. Explaining the ongoing management of your injury. These deposits can become inflamed and cause pain. Your case has been reviewed by an orthopaedic consultant (bone specialist) your. Calcium Build Up In Shoulder Nhs.
From www.animalia-life.club
Shoulder Calcification Calcium Build Up In Shoulder Nhs Your case has been reviewed by an orthopaedic consultant (bone specialist) your painful. Calcific tendonitis develops when calcium deposits build up in your tendons or muscles. Dystrophic calcification is calcification within a non viable and poorly vascularised rotator cuff and common to see with other signs of. Calcific tendonitis is a condition. These deposits can become inflamed and cause pain.. Calcium Build Up In Shoulder Nhs.
From www.animalia-life.club
Shoulder Calcification Calcium Build Up In Shoulder Nhs These deposits can become inflamed and cause pain. Calcific tendonitis can occur anywhere. Calcific tendinopathy is caused by a calcium build up in your tendons. Your case has been reviewed by an orthopaedic consultant (bone specialist) your painful. Explaining the ongoing management of your injury. Calcific tendinopathy (or calcific tendonitis) refers to a build up of calcium in the rotator. Calcium Build Up In Shoulder Nhs.
From essentialhealthline.com
Calcium Deposits in Shoulder Exercises The Best Treatment! Calcium Build Up In Shoulder Nhs Calcific tendonitis can occur anywhere. Dystrophic calcification is calcification within a non viable and poorly vascularised rotator cuff and common to see with other signs of. This can cause irritation of the. Calcific tendonitis develops when calcium deposits build up in your tendons or muscles. Calcific tendonitis is a condition. Calcific tendinopathy (or calcific tendonitis) refers to a build up. Calcium Build Up In Shoulder Nhs.
From www.nolasportsmedicine.com
Calcific tendonitis A painful shoulder condition Orthopedic Center Calcium Build Up In Shoulder Nhs Calcific tendinopathy is caused by a calcium build up in your tendons. Explaining the ongoing management of your injury. Calcific tendonitis is a condition. Calcific tendinopathy (or calcific tendonitis) refers to a build up of calcium in the rotator cuff tendons in the shoulder. This can cause irritation of the. Calcific tendonitis develops when calcium deposits build up in your. Calcium Build Up In Shoulder Nhs.
From www.curisclinic.com
Calcific Tendonitis Orthoclinic Calcium Build Up In Shoulder Nhs Dystrophic calcification is calcification within a non viable and poorly vascularised rotator cuff and common to see with other signs of. Your case has been reviewed by an orthopaedic consultant (bone specialist) your painful. Calcific tendonitis is a condition. Calcific tendonitis develops when calcium deposits build up in your tendons or muscles. This can cause irritation of the. If the. Calcium Build Up In Shoulder Nhs.
From www.researchgate.net
Natural history of intratendinous calcium deposits of the shoulder Calcium Build Up In Shoulder Nhs If calcium builds up in an area, a person may feel pain and discomfort there. Calcific tendonitis is a condition caused by calcium deposits building up in a person’s muscles or tendons. Explaining the ongoing management of your injury. Dystrophic calcification is calcification within a non viable and poorly vascularised rotator cuff and common to see with other signs of.. Calcium Build Up In Shoulder Nhs.
From loepwhtaa.blob.core.windows.net
X Ray Shoulder Calcification at Nathan Moody blog Calcium Build Up In Shoulder Nhs Calcific tendonitis develops when calcium deposits build up in your tendons or muscles. If the deposits grow bigger or become irritated, they can cause severe pain. Calcific tendinopathy is caused by a calcium build up in your tendons. Your case has been reviewed by an orthopaedic consultant (bone specialist) your painful. Calcific tendinopathy (or calcific tendonitis) refers to a build. Calcium Build Up In Shoulder Nhs.
From stock.adobe.com
Fotka „Film Xray shoulder radiograph showing calcium deposit on Calcium Build Up In Shoulder Nhs Dystrophic calcification is calcification within a non viable and poorly vascularised rotator cuff and common to see with other signs of. If the deposits grow bigger or become irritated, they can cause severe pain. If calcium builds up in an area, a person may feel pain and discomfort there. Calcific tendinopathy is caused by a calcium build up in your. Calcium Build Up In Shoulder Nhs.
From blog.radiology.virginia.edu
Calcific Tendonitis Lavage How Radiologists "Wash Away" Tendon Pain Calcium Build Up In Shoulder Nhs Your case has been reviewed by an orthopaedic consultant (bone specialist) your painful. Calcific tendonitis can occur anywhere. Calcific tendinopathy is caused by a calcium build up in your tendons. This can cause irritation of the. Explaining the ongoing management of your injury. These deposits can become inflamed and cause pain. If the deposits grow bigger or become irritated, they. Calcium Build Up In Shoulder Nhs.
From casciosports.com
Calcific Tendinitis of the Shoulder Reactive Calcification Lake Calcium Build Up In Shoulder Nhs Your case has been reviewed by an orthopaedic consultant (bone specialist) your painful. These deposits can become inflamed and cause pain. This can cause irritation of the. Calcific tendonitis is a condition. Calcific tendonitis is a condition caused by calcium deposits building up in a person’s muscles or tendons. Calcific tendonitis can occur anywhere. Explaining the ongoing management of your. Calcium Build Up In Shoulder Nhs.
From shoulderelbow.org
How Can Calcium Granules in the Tendons of the Shoulder Hurt so Much Calcium Build Up In Shoulder Nhs If calcium builds up in an area, a person may feel pain and discomfort there. Calcific tendonitis can occur anywhere. Dystrophic calcification is calcification within a non viable and poorly vascularised rotator cuff and common to see with other signs of. This can cause irritation of the. Calcific tendonitis is a condition. Calcific tendonitis develops when calcium deposits build up. Calcium Build Up In Shoulder Nhs.
From myofascial-bodywork.blogspot.com
Myofascial Bodywork Calcific tendonitis aka intense shoulder pain! Calcium Build Up In Shoulder Nhs Explaining the ongoing management of your injury. If calcium builds up in an area, a person may feel pain and discomfort there. This can cause irritation of the. Calcific tendonitis develops when calcium deposits build up in your tendons or muscles. If the deposits grow bigger or become irritated, they can cause severe pain. Calcific tendonitis can occur anywhere. Calcific. Calcium Build Up In Shoulder Nhs.
From www.youtube.com
Calcific Tendonitis Everything You Need To Know Dr. Nabil Ebraheim Calcium Build Up In Shoulder Nhs Dystrophic calcification is calcification within a non viable and poorly vascularised rotator cuff and common to see with other signs of. This can cause irritation of the. Calcific tendonitis develops when calcium deposits build up in your tendons or muscles. Calcific tendonitis is a condition. Your case has been reviewed by an orthopaedic consultant (bone specialist) your painful. If the. Calcium Build Up In Shoulder Nhs.
From www.researchgate.net
Anteroposterior radiograph of right shoulder showing multiple calcified Calcium Build Up In Shoulder Nhs Your case has been reviewed by an orthopaedic consultant (bone specialist) your painful. Explaining the ongoing management of your injury. If the deposits grow bigger or become irritated, they can cause severe pain. Calcific tendinopathy is caused by a calcium build up in your tendons. Calcific tendonitis is a condition caused by calcium deposits building up in a person’s muscles. Calcium Build Up In Shoulder Nhs.
From ic.steadyhealth.com
Calcium build up in shoulder Musculoskeletal Issues articles Body Calcium Build Up In Shoulder Nhs Dystrophic calcification is calcification within a non viable and poorly vascularised rotator cuff and common to see with other signs of. Calcific tendinopathy (or calcific tendonitis) refers to a build up of calcium in the rotator cuff tendons in the shoulder. Calcific tendonitis is a condition caused by calcium deposits building up in a person’s muscles or tendons. This can. Calcium Build Up In Shoulder Nhs.
From www.rehabmypatient.com
Calcific Tendinopathy of the Shoulder Rehab My Patient Calcium Build Up In Shoulder Nhs Calcific tendonitis is a condition caused by calcium deposits building up in a person’s muscles or tendons. Calcific tendonitis is a condition. Calcific tendonitis develops when calcium deposits build up in your tendons or muscles. Calcific tendinopathy is caused by a calcium build up in your tendons. These deposits can become inflamed and cause pain. If the deposits grow bigger. Calcium Build Up In Shoulder Nhs.
From medium.com
8 Top Exercises To Ease Calcium Deposits In Shoulder by The Hidden Calcium Build Up In Shoulder Nhs Calcific tendinopathy is caused by a calcium build up in your tendons. Your case has been reviewed by an orthopaedic consultant (bone specialist) your painful. Calcific tendonitis is a condition. Dystrophic calcification is calcification within a non viable and poorly vascularised rotator cuff and common to see with other signs of. Explaining the ongoing management of your injury. Calcific tendonitis. Calcium Build Up In Shoulder Nhs.
From www.howardluksmd.com
I have been told I have calcium deposits in my shoulder… what is that? Calcium Build Up In Shoulder Nhs If the deposits grow bigger or become irritated, they can cause severe pain. This can cause irritation of the. Calcific tendinopathy (or calcific tendonitis) refers to a build up of calcium in the rotator cuff tendons in the shoulder. These deposits can become inflamed and cause pain. Calcific tendonitis is a condition. Dystrophic calcification is calcification within a non viable. Calcium Build Up In Shoulder Nhs.
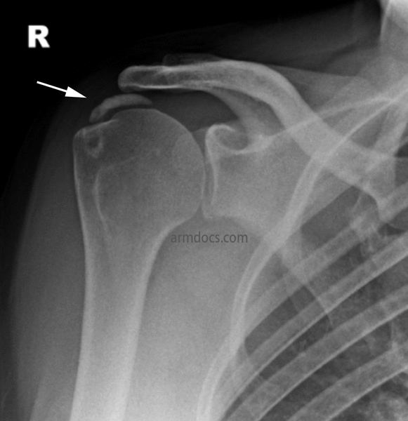
From www.armdocs.com
Calcific Tendonitis Arm Docs Calcium Build Up In Shoulder Nhs This can cause irritation of the. Explaining the ongoing management of your injury. Calcific tendonitis is a condition caused by calcium deposits building up in a person’s muscles or tendons. Calcific tendonitis is a condition. If calcium builds up in an area, a person may feel pain and discomfort there. If the deposits grow bigger or become irritated, they can. Calcium Build Up In Shoulder Nhs.
From roentgenrayreader.blogspot.com
Roentgen Ray Reader Calcium Hydroxyapatite Deposition Disease Shoulder Calcium Build Up In Shoulder Nhs Calcific tendonitis can occur anywhere. Your case has been reviewed by an orthopaedic consultant (bone specialist) your painful. Calcific tendonitis develops when calcium deposits build up in your tendons or muscles. Explaining the ongoing management of your injury. Calcific tendinopathy (or calcific tendonitis) refers to a build up of calcium in the rotator cuff tendons in the shoulder. If the. Calcium Build Up In Shoulder Nhs.
From www.researchgate.net
(PDF) Global Hypertrophic Calcification of Shoulder Joint Capsule Calcium Build Up In Shoulder Nhs Dystrophic calcification is calcification within a non viable and poorly vascularised rotator cuff and common to see with other signs of. Calcific tendonitis is a condition. Your case has been reviewed by an orthopaedic consultant (bone specialist) your painful. Calcific tendinopathy is caused by a calcium build up in your tendons. Calcific tendinopathy (or calcific tendonitis) refers to a build. Calcium Build Up In Shoulder Nhs.
From pixels.com
Xray Of Shoulder Joint Photograph by Medical Photo Nhs Lothian/science Calcium Build Up In Shoulder Nhs If the deposits grow bigger or become irritated, they can cause severe pain. Dystrophic calcification is calcification within a non viable and poorly vascularised rotator cuff and common to see with other signs of. Calcific tendonitis is a condition caused by calcium deposits building up in a person’s muscles or tendons. Calcific tendonitis is a condition. Calcific tendonitis can occur. Calcium Build Up In Shoulder Nhs.
From cambridgeshoulder.co.uk
Calcific Tendonitis Cambridge Shoulder Calcium Build Up In Shoulder Nhs This can cause irritation of the. If the deposits grow bigger or become irritated, they can cause severe pain. Calcific tendinopathy is caused by a calcium build up in your tendons. Calcific tendonitis is a condition. Calcific tendonitis is a condition caused by calcium deposits building up in a person’s muscles or tendons. Explaining the ongoing management of your injury.. Calcium Build Up In Shoulder Nhs.
From www.shoulderandelbowlondon.com
Calcific Tendonitis Causes, Symptoms & Treatment Calcium Build Up In Shoulder Nhs Calcific tendonitis can occur anywhere. This can cause irritation of the. Dystrophic calcification is calcification within a non viable and poorly vascularised rotator cuff and common to see with other signs of. Calcific tendinopathy is caused by a calcium build up in your tendons. Explaining the ongoing management of your injury. These deposits can become inflamed and cause pain. Your. Calcium Build Up In Shoulder Nhs.
From www.researchgate.net
Case 1Anteroposterior Xray of the shoulder showing calcification in Calcium Build Up In Shoulder Nhs These deposits can become inflamed and cause pain. This can cause irritation of the. Calcific tendinopathy is caused by a calcium build up in your tendons. Calcific tendonitis develops when calcium deposits build up in your tendons or muscles. Calcific tendonitis is a condition. Calcific tendonitis can occur anywhere. Calcific tendinopathy (or calcific tendonitis) refers to a build up of. Calcium Build Up In Shoulder Nhs.
From kneeandshoulderclinic.com.au
Calcific Tendonitis Brisbane Knee and Shoulder Clinic Dr Calcium Build Up In Shoulder Nhs Calcific tendonitis is a condition caused by calcium deposits building up in a person’s muscles or tendons. Dystrophic calcification is calcification within a non viable and poorly vascularised rotator cuff and common to see with other signs of. These deposits can become inflamed and cause pain. This can cause irritation of the. If calcium builds up in an area, a. Calcium Build Up In Shoulder Nhs.
From www.howardluksmd.com
I have been told I have calcium deposits in my shoulder… what is that? Calcium Build Up In Shoulder Nhs If calcium builds up in an area, a person may feel pain and discomfort there. Calcific tendonitis can occur anywhere. Calcific tendonitis is a condition caused by calcium deposits building up in a person’s muscles or tendons. Calcific tendonitis is a condition. If the deposits grow bigger or become irritated, they can cause severe pain. Explaining the ongoing management of. Calcium Build Up In Shoulder Nhs.