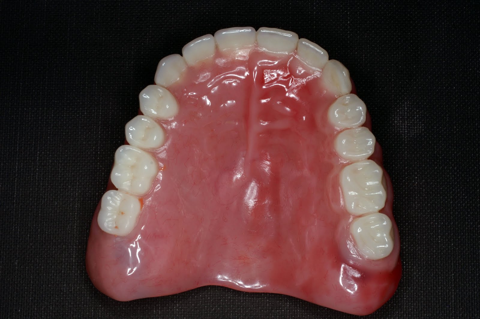
Full Upper Denture Code . Dental code d5110 is for complete upper denture for the maxillary (upper) jaw. However, once all teeth are lost in either the mandibular (lower) or maxillary (upper) jaws, a complete (full) denture would be necessary. The coding descriptions for the upper arch, maxillary, and the lower arch, mandibular are the same as the limitations for benefits under plan policies. Complete dentures are what we most often refer to as false teeth. they are also called full dentures and are used when all your natural teeth are missing. Once all teeth are lost in. Dentures can be made from a variety of materials and contain as many teeth as are missing in either jaw. Remember that these codes only account for the service costs for denture maintenance. The actual costs of dental prosthetics, such as partial or full dentures, aren't included. The following are two standard codes for complete, removable dentures:
from dxowqtmtn.blob.core.windows.net
Dental code d5110 is for complete upper denture for the maxillary (upper) jaw. The coding descriptions for the upper arch, maxillary, and the lower arch, mandibular are the same as the limitations for benefits under plan policies. Dentures can be made from a variety of materials and contain as many teeth as are missing in either jaw. However, once all teeth are lost in either the mandibular (lower) or maxillary (upper) jaws, a complete (full) denture would be necessary. The actual costs of dental prosthetics, such as partial or full dentures, aren't included. Once all teeth are lost in. The following are two standard codes for complete, removable dentures: Complete dentures are what we most often refer to as false teeth. they are also called full dentures and are used when all your natural teeth are missing. Remember that these codes only account for the service costs for denture maintenance.
Denture Material Types at Amber Martin blog
Full Upper Denture Code Remember that these codes only account for the service costs for denture maintenance. However, once all teeth are lost in either the mandibular (lower) or maxillary (upper) jaws, a complete (full) denture would be necessary. Remember that these codes only account for the service costs for denture maintenance. Complete dentures are what we most often refer to as false teeth. they are also called full dentures and are used when all your natural teeth are missing. The coding descriptions for the upper arch, maxillary, and the lower arch, mandibular are the same as the limitations for benefits under plan policies. The following are two standard codes for complete, removable dentures: The actual costs of dental prosthetics, such as partial or full dentures, aren't included. Dental code d5110 is for complete upper denture for the maxillary (upper) jaw. Once all teeth are lost in. Dentures can be made from a variety of materials and contain as many teeth as are missing in either jaw.
From www.checkurinsurance.com
Denture Dental Code Understanding Dental Procedures Full Upper Denture Code Complete dentures are what we most often refer to as false teeth. they are also called full dentures and are used when all your natural teeth are missing. However, once all teeth are lost in either the mandibular (lower) or maxillary (upper) jaws, a complete (full) denture would be necessary. The coding descriptions for the upper arch, maxillary, and the. Full Upper Denture Code.
From dentic.co.nz
Complete Dentures Dentic Denture Clinic Full Upper Denture Code The coding descriptions for the upper arch, maxillary, and the lower arch, mandibular are the same as the limitations for benefits under plan policies. Once all teeth are lost in. The following are two standard codes for complete, removable dentures: However, once all teeth are lost in either the mandibular (lower) or maxillary (upper) jaws, a complete (full) denture would. Full Upper Denture Code.
From tahlequahdental.com
Dentures Dentist Tahlequah, OK Premiere Dentistry Full Upper Denture Code Dental code d5110 is for complete upper denture for the maxillary (upper) jaw. Once all teeth are lost in. The following are two standard codes for complete, removable dentures: The coding descriptions for the upper arch, maxillary, and the lower arch, mandibular are the same as the limitations for benefits under plan policies. Remember that these codes only account for. Full Upper Denture Code.
From triaddentalstudio.com
Full Dentures • Triad Dental Studio Full Upper Denture Code The following are two standard codes for complete, removable dentures: The actual costs of dental prosthetics, such as partial or full dentures, aren't included. Complete dentures are what we most often refer to as false teeth. they are also called full dentures and are used when all your natural teeth are missing. However, once all teeth are lost in either. Full Upper Denture Code.
From dxowqtmtn.blob.core.windows.net
Denture Material Types at Amber Martin blog Full Upper Denture Code Remember that these codes only account for the service costs for denture maintenance. However, once all teeth are lost in either the mandibular (lower) or maxillary (upper) jaws, a complete (full) denture would be necessary. Dentures can be made from a variety of materials and contain as many teeth as are missing in either jaw. Dental code d5110 is for. Full Upper Denture Code.
From easydenture.com
Buy Upper Denture Online Easy Dentures Full Upper Denture Code However, once all teeth are lost in either the mandibular (lower) or maxillary (upper) jaws, a complete (full) denture would be necessary. Dentures can be made from a variety of materials and contain as many teeth as are missing in either jaw. The following are two standard codes for complete, removable dentures: Once all teeth are lost in. Dental code. Full Upper Denture Code.
From bakerdentureclinic.ca
Complete Upper & Lower Dentures Baker Lanoue Denture Clinic Full Upper Denture Code Remember that these codes only account for the service costs for denture maintenance. The actual costs of dental prosthetics, such as partial or full dentures, aren't included. Once all teeth are lost in. Dentures can be made from a variety of materials and contain as many teeth as are missing in either jaw. Dental code d5110 is for complete upper. Full Upper Denture Code.
From mavink.com
Denture Tooth Chart Full Upper Denture Code The coding descriptions for the upper arch, maxillary, and the lower arch, mandibular are the same as the limitations for benefits under plan policies. Complete dentures are what we most often refer to as false teeth. they are also called full dentures and are used when all your natural teeth are missing. However, once all teeth are lost in either. Full Upper Denture Code.
From www.caringdentists.com
complete upper denture case Dr. Gentry Full Upper Denture Code Remember that these codes only account for the service costs for denture maintenance. Dental code d5110 is for complete upper denture for the maxillary (upper) jaw. The following are two standard codes for complete, removable dentures: Complete dentures are what we most often refer to as false teeth. they are also called full dentures and are used when all your. Full Upper Denture Code.
From thetruelifeofadentalstudent.weebly.com
Upper Complete Denture and Lower Implant Overdenture THE TRUE LIFE OF Full Upper Denture Code Once all teeth are lost in. Dental code d5110 is for complete upper denture for the maxillary (upper) jaw. The actual costs of dental prosthetics, such as partial or full dentures, aren't included. Complete dentures are what we most often refer to as false teeth. they are also called full dentures and are used when all your natural teeth are. Full Upper Denture Code.
From dr-raythedentist.blogspot.com
Premium partial and full dentures Straight from the Dentist's Full Upper Denture Code However, once all teeth are lost in either the mandibular (lower) or maxillary (upper) jaws, a complete (full) denture would be necessary. Dental code d5110 is for complete upper denture for the maxillary (upper) jaw. Remember that these codes only account for the service costs for denture maintenance. Complete dentures are what we most often refer to as false teeth.. Full Upper Denture Code.
From lookfordiagnosis.com
Denture, complete, upper Full Upper Denture Code Remember that these codes only account for the service costs for denture maintenance. The actual costs of dental prosthetics, such as partial or full dentures, aren't included. Complete dentures are what we most often refer to as false teeth. they are also called full dentures and are used when all your natural teeth are missing. Dentures can be made from. Full Upper Denture Code.
From pindandentallab.com
Complete Denture Complete Denture Design Full Dentures Full Upper Denture Code The coding descriptions for the upper arch, maxillary, and the lower arch, mandibular are the same as the limitations for benefits under plan policies. Complete dentures are what we most often refer to as false teeth. they are also called full dentures and are used when all your natural teeth are missing. However, once all teeth are lost in either. Full Upper Denture Code.
From scdentureclinic.com
Complete Dentures Edmonton South Centre Denture Clinic Full Upper Denture Code Once all teeth are lost in. Remember that these codes only account for the service costs for denture maintenance. Dentures can be made from a variety of materials and contain as many teeth as are missing in either jaw. The actual costs of dental prosthetics, such as partial or full dentures, aren't included. Dental code d5110 is for complete upper. Full Upper Denture Code.
From collections.mdhs.unimelb.edu.au
Full upper and lower dentures Faculty of Medicine, Dentistry and Full Upper Denture Code The actual costs of dental prosthetics, such as partial or full dentures, aren't included. The coding descriptions for the upper arch, maxillary, and the lower arch, mandibular are the same as the limitations for benefits under plan policies. Once all teeth are lost in. Remember that these codes only account for the service costs for denture maintenance. The following are. Full Upper Denture Code.
From www.drbestprice.com
🦷 Dental Code D5110 Complete Denture Maxillary Procedure Full Upper Denture Code The coding descriptions for the upper arch, maxillary, and the lower arch, mandibular are the same as the limitations for benefits under plan policies. However, once all teeth are lost in either the mandibular (lower) or maxillary (upper) jaws, a complete (full) denture would be necessary. Dental code d5110 is for complete upper denture for the maxillary (upper) jaw. The. Full Upper Denture Code.
From loveperio.com
Treatment Options for the Edentulous Patient (including AllOn4 Full Upper Denture Code However, once all teeth are lost in either the mandibular (lower) or maxillary (upper) jaws, a complete (full) denture would be necessary. Dentures can be made from a variety of materials and contain as many teeth as are missing in either jaw. Dental code d5110 is for complete upper denture for the maxillary (upper) jaw. Complete dentures are what we. Full Upper Denture Code.
From orangectdentist.com
Implant Supported Dentures Dentist Orange, Woodbridge, New Haven CT Full Upper Denture Code However, once all teeth are lost in either the mandibular (lower) or maxillary (upper) jaws, a complete (full) denture would be necessary. The actual costs of dental prosthetics, such as partial or full dentures, aren't included. Remember that these codes only account for the service costs for denture maintenance. Dental code d5110 is for complete upper denture for the maxillary. Full Upper Denture Code.
From www.reddit.com
Complete upper denture. r/dentures Full Upper Denture Code The following are two standard codes for complete, removable dentures: Complete dentures are what we most often refer to as false teeth. they are also called full dentures and are used when all your natural teeth are missing. Dental code d5110 is for complete upper denture for the maxillary (upper) jaw. Remember that these codes only account for the service. Full Upper Denture Code.
From www.authoritydental.org
Picture by Authority Dental under CC 2.0 license Full Upper Denture Code The coding descriptions for the upper arch, maxillary, and the lower arch, mandibular are the same as the limitations for benefits under plan policies. Complete dentures are what we most often refer to as false teeth. they are also called full dentures and are used when all your natural teeth are missing. Dental code d5110 is for complete upper denture. Full Upper Denture Code.
From www.speareducation.com
A StepbyStep Guide to Converting Denture to Interim Hybrid Prosthesis Full Upper Denture Code Remember that these codes only account for the service costs for denture maintenance. The coding descriptions for the upper arch, maxillary, and the lower arch, mandibular are the same as the limitations for benefits under plan policies. However, once all teeth are lost in either the mandibular (lower) or maxillary (upper) jaws, a complete (full) denture would be necessary. Dentures. Full Upper Denture Code.
From www.dental-dictionary.eu
Full dentures Full Upper Denture Code The following are two standard codes for complete, removable dentures: Complete dentures are what we most often refer to as false teeth. they are also called full dentures and are used when all your natural teeth are missing. The coding descriptions for the upper arch, maxillary, and the lower arch, mandibular are the same as the limitations for benefits under. Full Upper Denture Code.
From pindandentallab.com
25fullupperdenture Pindan Dental Laboratory Full Upper Denture Code However, once all teeth are lost in either the mandibular (lower) or maxillary (upper) jaws, a complete (full) denture would be necessary. The actual costs of dental prosthetics, such as partial or full dentures, aren't included. Dental code d5110 is for complete upper denture for the maxillary (upper) jaw. Complete dentures are what we most often refer to as false. Full Upper Denture Code.
From finwise.edu.vn
List 98+ Pictures Images Of Upper Dentures Completed Full Upper Denture Code Remember that these codes only account for the service costs for denture maintenance. Complete dentures are what we most often refer to as false teeth. they are also called full dentures and are used when all your natural teeth are missing. Dental code d5110 is for complete upper denture for the maxillary (upper) jaw. Dentures can be made from a. Full Upper Denture Code.
From caredent.co.nz
Complete Dentures CareDent Full Upper Denture Code Dentures can be made from a variety of materials and contain as many teeth as are missing in either jaw. The actual costs of dental prosthetics, such as partial or full dentures, aren't included. The coding descriptions for the upper arch, maxillary, and the lower arch, mandibular are the same as the limitations for benefits under plan policies. Dental code. Full Upper Denture Code.
From northlandprosthodontics.co.nz
Complete Dentures Northland Prosthodontics Northland Denture Full Upper Denture Code Dentures can be made from a variety of materials and contain as many teeth as are missing in either jaw. Once all teeth are lost in. The following are two standard codes for complete, removable dentures: Dental code d5110 is for complete upper denture for the maxillary (upper) jaw. The actual costs of dental prosthetics, such as partial or full. Full Upper Denture Code.
From www.scribd.com
ADA CODES Dentures Dental Implant Full Upper Denture Code The actual costs of dental prosthetics, such as partial or full dentures, aren't included. Complete dentures are what we most often refer to as false teeth. they are also called full dentures and are used when all your natural teeth are missing. Once all teeth are lost in. However, once all teeth are lost in either the mandibular (lower) or. Full Upper Denture Code.
From www.wiandlab.com
Dental Labs for Dentures in Arizona Conventional Full and Partial Full Upper Denture Code The coding descriptions for the upper arch, maxillary, and the lower arch, mandibular are the same as the limitations for benefits under plan policies. Dental code d5110 is for complete upper denture for the maxillary (upper) jaw. However, once all teeth are lost in either the mandibular (lower) or maxillary (upper) jaws, a complete (full) denture would be necessary. Remember. Full Upper Denture Code.
From www.luskfamilydentistry.com
Farmington NM Family Dentist Upper Dentures Smile Gallery Full Upper Denture Code Once all teeth are lost in. The actual costs of dental prosthetics, such as partial or full dentures, aren't included. The following are two standard codes for complete, removable dentures: Remember that these codes only account for the service costs for denture maintenance. Complete dentures are what we most often refer to as false teeth. they are also called full. Full Upper Denture Code.
From www.etsy.com
Upper Denture / Horseshoe Upper Dentures /the Denture is Real Etsy Canada Full Upper Denture Code The actual costs of dental prosthetics, such as partial or full dentures, aren't included. The following are two standard codes for complete, removable dentures: Dentures can be made from a variety of materials and contain as many teeth as are missing in either jaw. However, once all teeth are lost in either the mandibular (lower) or maxillary (upper) jaws, a. Full Upper Denture Code.
From collections.mdhs.unimelb.edu.au
Full upper denture Faculty of Medicine, Dentistry and Health Sciences Full Upper Denture Code The actual costs of dental prosthetics, such as partial or full dentures, aren't included. Dentures can be made from a variety of materials and contain as many teeth as are missing in either jaw. Once all teeth are lost in. The following are two standard codes for complete, removable dentures: Dental code d5110 is for complete upper denture for the. Full Upper Denture Code.
From medsdental.com
MedsDental D5110 Dental Code complete denture maxillary Full Upper Denture Code Dental code d5110 is for complete upper denture for the maxillary (upper) jaw. The actual costs of dental prosthetics, such as partial or full dentures, aren't included. The coding descriptions for the upper arch, maxillary, and the lower arch, mandibular are the same as the limitations for benefits under plan policies. Complete dentures are what we most often refer to. Full Upper Denture Code.
From www.ebay.com
Dental Full Denture Model Overdenture Attachment Mandibular Full Upper Denture Code However, once all teeth are lost in either the mandibular (lower) or maxillary (upper) jaws, a complete (full) denture would be necessary. The following are two standard codes for complete, removable dentures: The actual costs of dental prosthetics, such as partial or full dentures, aren't included. The coding descriptions for the upper arch, maxillary, and the lower arch, mandibular are. Full Upper Denture Code.
From www.bauersmiles.com
Dental code hybrid denture Locator denture code Hybrid code Bauer Full Upper Denture Code The coding descriptions for the upper arch, maxillary, and the lower arch, mandibular are the same as the limitations for benefits under plan policies. Complete dentures are what we most often refer to as false teeth. they are also called full dentures and are used when all your natural teeth are missing. Remember that these codes only account for the. Full Upper Denture Code.
From www.completedentures.com.au
Full Dentures Upper, Lower & Sets Complete Denture Care Wantirna Full Upper Denture Code Remember that these codes only account for the service costs for denture maintenance. Once all teeth are lost in. The following are two standard codes for complete, removable dentures: However, once all teeth are lost in either the mandibular (lower) or maxillary (upper) jaws, a complete (full) denture would be necessary. Complete dentures are what we most often refer to. Full Upper Denture Code.