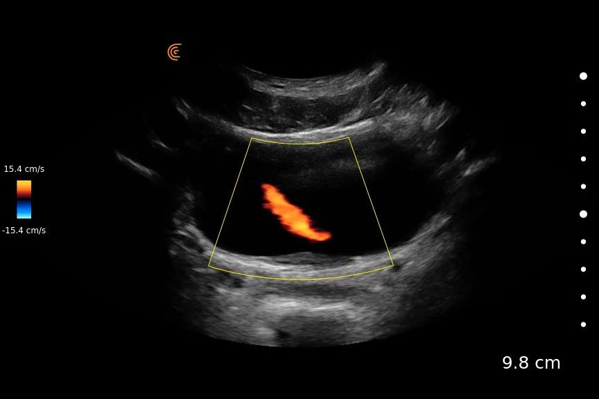
Urinary Jets Ultrasound . the pumping effects of calyceal peristalsis and the renal diuresis lead to intravesical urine ejaculation, the. it is speculated that the number of urinary jets coming out of the ureter can vary significantly in obstructed. The case shows the normal urine efflux from the. this activity describe the indications for the use of ultrasound to evaluate for pathology of the urinary tract and highlights the role of the. a normal ureteric jet is seen in the duplex ultrasound study. routine ultrasonography (usg) usually relies on the morphological change (tapered appearance of lower ureter) for the. the intravesical ureteral jets, or the bladder jets represent the sonographic appearance of discrete boluses of urine.
from pacs.de
routine ultrasonography (usg) usually relies on the morphological change (tapered appearance of lower ureter) for the. this activity describe the indications for the use of ultrasound to evaluate for pathology of the urinary tract and highlights the role of the. it is speculated that the number of urinary jets coming out of the ureter can vary significantly in obstructed. the pumping effects of calyceal peristalsis and the renal diuresis lead to intravesical urine ejaculation, the. the intravesical ureteral jets, or the bladder jets represent the sonographic appearance of discrete boluses of urine. The case shows the normal urine efflux from the. a normal ureteric jet is seen in the duplex ultrasound study.
jet phenomenon of bladder pacs
Urinary Jets Ultrasound a normal ureteric jet is seen in the duplex ultrasound study. the intravesical ureteral jets, or the bladder jets represent the sonographic appearance of discrete boluses of urine. this activity describe the indications for the use of ultrasound to evaluate for pathology of the urinary tract and highlights the role of the. routine ultrasonography (usg) usually relies on the morphological change (tapered appearance of lower ureter) for the. the pumping effects of calyceal peristalsis and the renal diuresis lead to intravesical urine ejaculation, the. The case shows the normal urine efflux from the. it is speculated that the number of urinary jets coming out of the ureter can vary significantly in obstructed. a normal ureteric jet is seen in the duplex ultrasound study.
From www.researchgate.net
1. Jets of urine expelled by normal peristalsis of the nonobstructed Urinary Jets Ultrasound routine ultrasonography (usg) usually relies on the morphological change (tapered appearance of lower ureter) for the. a normal ureteric jet is seen in the duplex ultrasound study. the pumping effects of calyceal peristalsis and the renal diuresis lead to intravesical urine ejaculation, the. it is speculated that the number of urinary jets coming out of the. Urinary Jets Ultrasound.
From www.goldjournal.net
A Serrated Hyperplastic Colonic Polyp of the Urinary Bladder Urology Urinary Jets Ultrasound this activity describe the indications for the use of ultrasound to evaluate for pathology of the urinary tract and highlights the role of the. The case shows the normal urine efflux from the. the pumping effects of calyceal peristalsis and the renal diuresis lead to intravesical urine ejaculation, the. the intravesical ureteral jets, or the bladder jets. Urinary Jets Ultrasound.
From www.researchgate.net
Ultrasonography shows thickening of the wall of the urinary bladder Urinary Jets Ultrasound the intravesical ureteral jets, or the bladder jets represent the sonographic appearance of discrete boluses of urine. the pumping effects of calyceal peristalsis and the renal diuresis lead to intravesical urine ejaculation, the. routine ultrasonography (usg) usually relies on the morphological change (tapered appearance of lower ureter) for the. it is speculated that the number of. Urinary Jets Ultrasound.
From gehealthcare-ultrasound.com
Versana Balance™ Ultrasound System GE HealthCare GE HealthCare Urinary Jets Ultrasound routine ultrasonography (usg) usually relies on the morphological change (tapered appearance of lower ureter) for the. a normal ureteric jet is seen in the duplex ultrasound study. The case shows the normal urine efflux from the. it is speculated that the number of urinary jets coming out of the ureter can vary significantly in obstructed. the. Urinary Jets Ultrasound.
From nephropocus.com
Bladder ultrasound calculation of volume NephroPOCUS Urinary Jets Ultrasound it is speculated that the number of urinary jets coming out of the ureter can vary significantly in obstructed. this activity describe the indications for the use of ultrasound to evaluate for pathology of the urinary tract and highlights the role of the. the pumping effects of calyceal peristalsis and the renal diuresis lead to intravesical urine. Urinary Jets Ultrasound.
From litfl.com
Distal VUJ stone Case 1 • LITFL • Ultrasound Clinical Cases Urinary Jets Ultrasound the intravesical ureteral jets, or the bladder jets represent the sonographic appearance of discrete boluses of urine. routine ultrasonography (usg) usually relies on the morphological change (tapered appearance of lower ureter) for the. it is speculated that the number of urinary jets coming out of the ureter can vary significantly in obstructed. the pumping effects of. Urinary Jets Ultrasound.
From www.slideshare.net
Indications of renal doppler ultrasound 3 Urinary Jets Ultrasound the pumping effects of calyceal peristalsis and the renal diuresis lead to intravesical urine ejaculation, the. the intravesical ureteral jets, or the bladder jets represent the sonographic appearance of discrete boluses of urine. this activity describe the indications for the use of ultrasound to evaluate for pathology of the urinary tract and highlights the role of the.. Urinary Jets Ultrasound.
From www.georgiadis-urology.com
Chronic Cystitis Diagnosis Urology Urinary Jets Ultrasound the intravesical ureteral jets, or the bladder jets represent the sonographic appearance of discrete boluses of urine. a normal ureteric jet is seen in the duplex ultrasound study. The case shows the normal urine efflux from the. it is speculated that the number of urinary jets coming out of the ureter can vary significantly in obstructed. . Urinary Jets Ultrasound.
From berfinis.blogspot.com
Ultrasound Video showing a large vesical growth in the urinary bladder. Urinary Jets Ultrasound routine ultrasonography (usg) usually relies on the morphological change (tapered appearance of lower ureter) for the. a normal ureteric jet is seen in the duplex ultrasound study. it is speculated that the number of urinary jets coming out of the ureter can vary significantly in obstructed. the pumping effects of calyceal peristalsis and the renal diuresis. Urinary Jets Ultrasound.
From www.pinterest.com
WK 7 RENAL PATHOLOGY Ureterocele with ureter jet seen Abd 200 Mod 3 Urinary Jets Ultrasound the intravesical ureteral jets, or the bladder jets represent the sonographic appearance of discrete boluses of urine. a normal ureteric jet is seen in the duplex ultrasound study. The case shows the normal urine efflux from the. routine ultrasonography (usg) usually relies on the morphological change (tapered appearance of lower ureter) for the. it is speculated. Urinary Jets Ultrasound.
From pacs.de
jet phenomenon of bladder pacs Urinary Jets Ultrasound this activity describe the indications for the use of ultrasound to evaluate for pathology of the urinary tract and highlights the role of the. a normal ureteric jet is seen in the duplex ultrasound study. it is speculated that the number of urinary jets coming out of the ureter can vary significantly in obstructed. the pumping. Urinary Jets Ultrasound.
From www.wjgnet.com
Point of care renal ultrasonography for the busy nephrologist A Urinary Jets Ultrasound this activity describe the indications for the use of ultrasound to evaluate for pathology of the urinary tract and highlights the role of the. the pumping effects of calyceal peristalsis and the renal diuresis lead to intravesical urine ejaculation, the. routine ultrasonography (usg) usually relies on the morphological change (tapered appearance of lower ureter) for the. . Urinary Jets Ultrasound.
From www.youtube.com
Urology Bladder Jets Ultrasound Demo Scan (Edan/Acclarix AX Series Urinary Jets Ultrasound the pumping effects of calyceal peristalsis and the renal diuresis lead to intravesical urine ejaculation, the. this activity describe the indications for the use of ultrasound to evaluate for pathology of the urinary tract and highlights the role of the. routine ultrasonography (usg) usually relies on the morphological change (tapered appearance of lower ureter) for the. The. Urinary Jets Ultrasound.
From obgyn.onlinelibrary.wiley.com
Direct lower abdominal ureteral jet as sonographic sign of bladder Urinary Jets Ultrasound the intravesical ureteral jets, or the bladder jets represent the sonographic appearance of discrete boluses of urine. it is speculated that the number of urinary jets coming out of the ureter can vary significantly in obstructed. routine ultrasonography (usg) usually relies on the morphological change (tapered appearance of lower ureter) for the. the pumping effects of. Urinary Jets Ultrasound.
From www.researchgate.net
Color Doppler ultrasound of bladder in the axial plane demonstrating Urinary Jets Ultrasound a normal ureteric jet is seen in the duplex ultrasound study. The case shows the normal urine efflux from the. it is speculated that the number of urinary jets coming out of the ureter can vary significantly in obstructed. this activity describe the indications for the use of ultrasound to evaluate for pathology of the urinary tract. Urinary Jets Ultrasound.
From doctorlib.info
Obstetrical and Gynecologic Sonography and Transvaginal Sonography Urinary Jets Ultrasound the intravesical ureteral jets, or the bladder jets represent the sonographic appearance of discrete boluses of urine. a normal ureteric jet is seen in the duplex ultrasound study. the pumping effects of calyceal peristalsis and the renal diuresis lead to intravesical urine ejaculation, the. it is speculated that the number of urinary jets coming out of. Urinary Jets Ultrasound.
From www.meddean.luc.edu
Identify the bladder and urine jet in this ultrasound. Click the image Urinary Jets Ultrasound routine ultrasonography (usg) usually relies on the morphological change (tapered appearance of lower ureter) for the. The case shows the normal urine efflux from the. this activity describe the indications for the use of ultrasound to evaluate for pathology of the urinary tract and highlights the role of the. a normal ureteric jet is seen in the. Urinary Jets Ultrasound.
From clarius.com
Bilateral Urine Jets Clarius Urinary Jets Ultrasound routine ultrasonography (usg) usually relies on the morphological change (tapered appearance of lower ureter) for the. this activity describe the indications for the use of ultrasound to evaluate for pathology of the urinary tract and highlights the role of the. The case shows the normal urine efflux from the. it is speculated that the number of urinary. Urinary Jets Ultrasound.
From jetem.org
Ureteral Obstruction and Ureteral Jet Identification—A Case Report JETem Urinary Jets Ultrasound the intravesical ureteral jets, or the bladder jets represent the sonographic appearance of discrete boluses of urine. it is speculated that the number of urinary jets coming out of the ureter can vary significantly in obstructed. The case shows the normal urine efflux from the. this activity describe the indications for the use of ultrasound to evaluate. Urinary Jets Ultrasound.
From www.ultrasound-images.com
A Gallery of HighResolution, Ultrasound, Color Doppler & 3D Images Urinary Jets Ultrasound the pumping effects of calyceal peristalsis and the renal diuresis lead to intravesical urine ejaculation, the. The case shows the normal urine efflux from the. this activity describe the indications for the use of ultrasound to evaluate for pathology of the urinary tract and highlights the role of the. it is speculated that the number of urinary. Urinary Jets Ultrasound.
From ultrasound.guide
Ultrasound Guide Stones and Jets Urinary Jets Ultrasound it is speculated that the number of urinary jets coming out of the ureter can vary significantly in obstructed. the pumping effects of calyceal peristalsis and the renal diuresis lead to intravesical urine ejaculation, the. routine ultrasonography (usg) usually relies on the morphological change (tapered appearance of lower ureter) for the. The case shows the normal urine. Urinary Jets Ultrasound.
From emergencyultrasoundteaching.com
Renal Images Emergency Ultrasonography Urinary Jets Ultrasound a normal ureteric jet is seen in the duplex ultrasound study. the pumping effects of calyceal peristalsis and the renal diuresis lead to intravesical urine ejaculation, the. this activity describe the indications for the use of ultrasound to evaluate for pathology of the urinary tract and highlights the role of the. it is speculated that the. Urinary Jets Ultrasound.
From www.ultrasound-images.com
A Gallery of HighResolution, Ultrasound, Color Doppler & 3D Images Urinary Jets Ultrasound it is speculated that the number of urinary jets coming out of the ureter can vary significantly in obstructed. routine ultrasonography (usg) usually relies on the morphological change (tapered appearance of lower ureter) for the. The case shows the normal urine efflux from the. this activity describe the indications for the use of ultrasound to evaluate for. Urinary Jets Ultrasound.
From www.ultrasoundmedicvn.com
VIETNAMESE MEDIC ULTRASOUND CASE 436 SOLITARY KIDNEY, Dr PHAN THANH Urinary Jets Ultrasound this activity describe the indications for the use of ultrasound to evaluate for pathology of the urinary tract and highlights the role of the. routine ultrasonography (usg) usually relies on the morphological change (tapered appearance of lower ureter) for the. the intravesical ureteral jets, or the bladder jets represent the sonographic appearance of discrete boluses of urine.. Urinary Jets Ultrasound.
From www.youtube.com
Ureteral or ureteric jets in bladder, Ultrasound and color Doppler Urinary Jets Ultrasound the pumping effects of calyceal peristalsis and the renal diuresis lead to intravesical urine ejaculation, the. routine ultrasonography (usg) usually relies on the morphological change (tapered appearance of lower ureter) for the. the intravesical ureteral jets, or the bladder jets represent the sonographic appearance of discrete boluses of urine. a normal ureteric jet is seen in. Urinary Jets Ultrasound.
From www.researchgate.net
Normal ureteral jets. Bilateral ureteral jets are apparent on this Urinary Jets Ultrasound a normal ureteric jet is seen in the duplex ultrasound study. it is speculated that the number of urinary jets coming out of the ureter can vary significantly in obstructed. this activity describe the indications for the use of ultrasound to evaluate for pathology of the urinary tract and highlights the role of the. the intravesical. Urinary Jets Ultrasound.
From www.youtube.com
Ureteric jets. Ultrasound YouTube Urinary Jets Ultrasound a normal ureteric jet is seen in the duplex ultrasound study. the intravesical ureteral jets, or the bladder jets represent the sonographic appearance of discrete boluses of urine. the pumping effects of calyceal peristalsis and the renal diuresis lead to intravesical urine ejaculation, the. it is speculated that the number of urinary jets coming out of. Urinary Jets Ultrasound.
From emergencyultrasoundteaching.com
Renal Images Emergency Ultrasonography Urinary Jets Ultrasound this activity describe the indications for the use of ultrasound to evaluate for pathology of the urinary tract and highlights the role of the. it is speculated that the number of urinary jets coming out of the ureter can vary significantly in obstructed. the intravesical ureteral jets, or the bladder jets represent the sonographic appearance of discrete. Urinary Jets Ultrasound.
From www.tamingthesru.com
Ultrasound Basics — Taming the SRU Urinary Jets Ultrasound The case shows the normal urine efflux from the. routine ultrasonography (usg) usually relies on the morphological change (tapered appearance of lower ureter) for the. this activity describe the indications for the use of ultrasound to evaluate for pathology of the urinary tract and highlights the role of the. the pumping effects of calyceal peristalsis and the. Urinary Jets Ultrasound.
From radiologycases.my
Synchronous urinary bladder and prostate cancer Radiology Cases Urinary Jets Ultrasound this activity describe the indications for the use of ultrasound to evaluate for pathology of the urinary tract and highlights the role of the. The case shows the normal urine efflux from the. the pumping effects of calyceal peristalsis and the renal diuresis lead to intravesical urine ejaculation, the. it is speculated that the number of urinary. Urinary Jets Ultrasound.
From www.emergencyultrasoundteaching.com
Renal Images Emergency Ultrasonography Urinary Jets Ultrasound it is speculated that the number of urinary jets coming out of the ureter can vary significantly in obstructed. the pumping effects of calyceal peristalsis and the renal diuresis lead to intravesical urine ejaculation, the. this activity describe the indications for the use of ultrasound to evaluate for pathology of the urinary tract and highlights the role. Urinary Jets Ultrasound.
From www.youtube.com
Ultrasound Tutorial Kidney & Bladder / Urinary Tract Radiology Urinary Jets Ultrasound this activity describe the indications for the use of ultrasound to evaluate for pathology of the urinary tract and highlights the role of the. the pumping effects of calyceal peristalsis and the renal diuresis lead to intravesical urine ejaculation, the. The case shows the normal urine efflux from the. it is speculated that the number of urinary. Urinary Jets Ultrasound.
From www.reddit.com
Just some cute little bilateral urinary jets! Happy Friday! r/Radiology Urinary Jets Ultrasound a normal ureteric jet is seen in the duplex ultrasound study. routine ultrasonography (usg) usually relies on the morphological change (tapered appearance of lower ureter) for the. it is speculated that the number of urinary jets coming out of the ureter can vary significantly in obstructed. the intravesical ureteral jets, or the bladder jets represent the. Urinary Jets Ultrasound.
From www.pinterest.com
Ureteral Jets Ultrasound [Video] Sonography, Bladder, Photo and video Urinary Jets Ultrasound it is speculated that the number of urinary jets coming out of the ureter can vary significantly in obstructed. the intravesical ureteral jets, or the bladder jets represent the sonographic appearance of discrete boluses of urine. The case shows the normal urine efflux from the. the pumping effects of calyceal peristalsis and the renal diuresis lead to. Urinary Jets Ultrasound.
From www.alamy.com
Ultrasound of urinary bladder or KUB for screening renal and bladder Urinary Jets Ultrasound routine ultrasonography (usg) usually relies on the morphological change (tapered appearance of lower ureter) for the. the pumping effects of calyceal peristalsis and the renal diuresis lead to intravesical urine ejaculation, the. the intravesical ureteral jets, or the bladder jets represent the sonographic appearance of discrete boluses of urine. a normal ureteric jet is seen in. Urinary Jets Ultrasound.