What Is The Appendicular Stump .   stump appendicitis results from obstruction of the lumen of the remaining appendix stump, usually by a faecolith.   closure of the appendiceal stump is a key step performed during.   stump appendicitis is a rare complication whose incidence is increasing since the advent of laparoscopy.   stump appendicitis is a rare etiology of abdominal pain, often. It is seen following both open and.   stump appendicitis has a characteristic ct appearance and may occur within the first year after appendectomy or many.   stump appendicitis is a rare, delayed complication of appendectomy.  stump appendicitis is a real and likely underreported disease process in.
        
         
         
        from quizlet.com 
     
        
          stump appendicitis is a rare etiology of abdominal pain, often.   closure of the appendiceal stump is a key step performed during. It is seen following both open and.  stump appendicitis is a real and likely underreported disease process in.   stump appendicitis is a rare complication whose incidence is increasing since the advent of laparoscopy.   stump appendicitis results from obstruction of the lumen of the remaining appendix stump, usually by a faecolith.   stump appendicitis is a rare, delayed complication of appendectomy.   stump appendicitis has a characteristic ct appearance and may occur within the first year after appendectomy or many.
    
    	
            
	
		 
	 
         
    appendicular muscles Diagram Quizlet 
    What Is The Appendicular Stump    stump appendicitis results from obstruction of the lumen of the remaining appendix stump, usually by a faecolith.   closure of the appendiceal stump is a key step performed during.  stump appendicitis is a real and likely underreported disease process in.   stump appendicitis results from obstruction of the lumen of the remaining appendix stump, usually by a faecolith.   stump appendicitis is a rare, delayed complication of appendectomy.   stump appendicitis is a rare complication whose incidence is increasing since the advent of laparoscopy.   stump appendicitis has a characteristic ct appearance and may occur within the first year after appendectomy or many. It is seen following both open and.   stump appendicitis is a rare etiology of abdominal pain, often.
            
	
		 
	 
         
 
    
         
        From quizlet.com 
                    appendicular skeleton scapula Diagram Quizlet What Is The Appendicular Stump   stump appendicitis is a real and likely underreported disease process in.   stump appendicitis results from obstruction of the lumen of the remaining appendix stump, usually by a faecolith.   stump appendicitis has a characteristic ct appearance and may occur within the first year after appendectomy or many.   stump appendicitis is a rare, delayed complication of appendectomy. . What Is The Appendicular Stump.
     
    
         
        From www.vrogue.co 
                    The Skeletal System Appendicular Skeleton Lower Limb vrogue.co What Is The Appendicular Stump    stump appendicitis has a characteristic ct appearance and may occur within the first year after appendectomy or many.   closure of the appendiceal stump is a key step performed during.   stump appendicitis is a rare, delayed complication of appendectomy.   stump appendicitis results from obstruction of the lumen of the remaining appendix stump, usually by a faecolith. . What Is The Appendicular Stump.
     
    
         
        From radiopaedia.org 
                    Closed loop obstruction and appendicular stump mucocele Image What Is The Appendicular Stump    stump appendicitis is a rare complication whose incidence is increasing since the advent of laparoscopy.   stump appendicitis results from obstruction of the lumen of the remaining appendix stump, usually by a faecolith.   closure of the appendiceal stump is a key step performed during. It is seen following both open and.   stump appendicitis has a characteristic ct. What Is The Appendicular Stump.
     
    
         
        From onlinelibrary.wiley.com 
                    Stumped? It could be stump appendicitis Reddan 2017 Sonography What Is The Appendicular Stump    stump appendicitis is a rare etiology of abdominal pain, often.   closure of the appendiceal stump is a key step performed during.   stump appendicitis results from obstruction of the lumen of the remaining appendix stump, usually by a faecolith.   stump appendicitis has a characteristic ct appearance and may occur within the first year after appendectomy or many.. What Is The Appendicular Stump.
     
    
         
        From www.myxxgirl.com 
                    Appendicular Skeleton Definition My XXX Hot Girl What Is The Appendicular Stump  It is seen following both open and.   stump appendicitis is a rare, delayed complication of appendectomy.   stump appendicitis is a rare etiology of abdominal pain, often.   stump appendicitis has a characteristic ct appearance and may occur within the first year after appendectomy or many.   stump appendicitis results from obstruction of the lumen of the remaining appendix. What Is The Appendicular Stump.
     
    
         
        From quizlet.com 
                    Appendicular skeleton (posterior view) Diagram Quizlet What Is The Appendicular Stump    stump appendicitis has a characteristic ct appearance and may occur within the first year after appendectomy or many.   closure of the appendiceal stump is a key step performed during.   stump appendicitis results from obstruction of the lumen of the remaining appendix stump, usually by a faecolith.   stump appendicitis is a rare complication whose incidence is increasing. What Is The Appendicular Stump.
     
    
         
        From www.researchgate.net 
                    Appendicular stump (arrow) after appendectomy simulating a polyp on 2D What Is The Appendicular Stump    stump appendicitis is a rare etiology of abdominal pain, often.   closure of the appendiceal stump is a key step performed during.  stump appendicitis is a real and likely underreported disease process in.   stump appendicitis is a rare complication whose incidence is increasing since the advent of laparoscopy.   stump appendicitis results from obstruction of the lumen. What Is The Appendicular Stump.
     
    
         
        From www.jpedsurg.org 
                    Stump appendicitis after childhood incidental appendectomy Journal of What Is The Appendicular Stump   stump appendicitis is a real and likely underreported disease process in.   stump appendicitis is a rare, delayed complication of appendectomy.   stump appendicitis is a rare etiology of abdominal pain, often.   stump appendicitis has a characteristic ct appearance and may occur within the first year after appendectomy or many.   stump appendicitis results from obstruction of the. What Is The Appendicular Stump.
     
    
         
        From www.youtube.com 
                    Acute appendicitis on CT radiology video tutorial YouTube What Is The Appendicular Stump   stump appendicitis is a real and likely underreported disease process in.   stump appendicitis is a rare complication whose incidence is increasing since the advent of laparoscopy.   stump appendicitis is a rare etiology of abdominal pain, often.   closure of the appendiceal stump is a key step performed during.   stump appendicitis has a characteristic ct appearance and. What Is The Appendicular Stump.
     
    
         
        From www.researchgate.net 
                    Characteristics of patients with stump appendicitis. Download What Is The Appendicular Stump    stump appendicitis has a characteristic ct appearance and may occur within the first year after appendectomy or many.   stump appendicitis is a rare complication whose incidence is increasing since the advent of laparoscopy.   closure of the appendiceal stump is a key step performed during.   stump appendicitis is a rare, delayed complication of appendectomy.  stump appendicitis. What Is The Appendicular Stump.
     
    
         
        From www.researchgate.net 
                    (PDF) Appendicular stump What Is The Appendicular Stump   stump appendicitis is a real and likely underreported disease process in.   stump appendicitis is a rare etiology of abdominal pain, often.   stump appendicitis has a characteristic ct appearance and may occur within the first year after appendectomy or many.   stump appendicitis results from obstruction of the lumen of the remaining appendix stump, usually by a faecolith.. What Is The Appendicular Stump.
     
    
         
        From www.eurorad.org 
                    Stump appendicitis with appendicolith Eurorad What Is The Appendicular Stump  It is seen following both open and.  stump appendicitis is a real and likely underreported disease process in.   stump appendicitis has a characteristic ct appearance and may occur within the first year after appendectomy or many.   stump appendicitis is a rare, delayed complication of appendectomy.   closure of the appendiceal stump is a key step performed during.. What Is The Appendicular Stump.
     
    
         
        From medicine.nus.edu.sg 
                    Appendix Acute Appendicitis NUS Pathweb NUS Pathweb What Is The Appendicular Stump    stump appendicitis has a characteristic ct appearance and may occur within the first year after appendectomy or many. It is seen following both open and.   stump appendicitis is a rare, delayed complication of appendectomy.   stump appendicitis is a rare complication whose incidence is increasing since the advent of laparoscopy.   closure of the appendiceal stump is a. What Is The Appendicular Stump.
     
    
         
        From www.cureus.com 
                    Cureus A Case of Stump Appendicitis Secondary to Appendicular Fecolith What Is The Appendicular Stump    stump appendicitis is a rare complication whose incidence is increasing since the advent of laparoscopy.  stump appendicitis is a real and likely underreported disease process in. It is seen following both open and.   stump appendicitis is a rare etiology of abdominal pain, often.   stump appendicitis is a rare, delayed complication of appendectomy.   stump appendicitis has. What Is The Appendicular Stump.
     
    
         
        From eduinput.com 
                    Appendicular Skeleton Blood Supply in Appendicular Skeleton What Is The Appendicular Stump    stump appendicitis is a rare, delayed complication of appendectomy.   stump appendicitis has a characteristic ct appearance and may occur within the first year after appendectomy or many.   stump appendicitis results from obstruction of the lumen of the remaining appendix stump, usually by a faecolith.  stump appendicitis is a real and likely underreported disease process in. . What Is The Appendicular Stump.
     
    
         
        From quizlet.com 
                    Appendicular skeleton Scapula Diagram Quizlet What Is The Appendicular Stump    closure of the appendiceal stump is a key step performed during.   stump appendicitis is a rare complication whose incidence is increasing since the advent of laparoscopy.   stump appendicitis results from obstruction of the lumen of the remaining appendix stump, usually by a faecolith.   stump appendicitis is a rare etiology of abdominal pain, often.   stump appendicitis. What Is The Appendicular Stump.
     
    
         
        From www.researchgate.net 
                    Axial CT of a fluidfilled drain tract (arrow) mimics stump What Is The Appendicular Stump   stump appendicitis is a real and likely underreported disease process in.   stump appendicitis is a rare, delayed complication of appendectomy.   stump appendicitis is a rare etiology of abdominal pain, often.   stump appendicitis results from obstruction of the lumen of the remaining appendix stump, usually by a faecolith.   closure of the appendiceal stump is a key. What Is The Appendicular Stump.
     
    
         
        From link.springer.com 
                    A stump appendicitis in a child a case report Italian Journal of What Is The Appendicular Stump    stump appendicitis has a characteristic ct appearance and may occur within the first year after appendectomy or many.   stump appendicitis is a rare complication whose incidence is increasing since the advent of laparoscopy. It is seen following both open and.   stump appendicitis results from obstruction of the lumen of the remaining appendix stump, usually by a faecolith.. What Is The Appendicular Stump.
     
    
         
        From www.pinterest.com 
                    Appendicular stump normal Radiology Case What Is The Appendicular Stump    stump appendicitis is a rare, delayed complication of appendectomy.   closure of the appendiceal stump is a key step performed during.   stump appendicitis is a rare complication whose incidence is increasing since the advent of laparoscopy.  stump appendicitis is a real and likely underreported disease process in. It is seen following both open and.   stump appendicitis. What Is The Appendicular Stump.
     
    
         
        From www.academia.edu 
                    (PDF) Laparoscopic resection of appendicular stump after recurrent What Is The Appendicular Stump   stump appendicitis is a real and likely underreported disease process in.   stump appendicitis has a characteristic ct appearance and may occur within the first year after appendectomy or many.   stump appendicitis is a rare complication whose incidence is increasing since the advent of laparoscopy.   stump appendicitis is a rare, delayed complication of appendectomy.   stump appendicitis. What Is The Appendicular Stump.
     
    
         
        From circuitgestrinovu6.z21.web.core.windows.net 
                    Lab Skeleton Diagram What Is The Appendicular Stump    closure of the appendiceal stump is a key step performed during.   stump appendicitis is a rare complication whose incidence is increasing since the advent of laparoscopy.   stump appendicitis is a rare, delayed complication of appendectomy.  stump appendicitis is a real and likely underreported disease process in.   stump appendicitis results from obstruction of the lumen of. What Is The Appendicular Stump.
     
    
         
        From radiopaedia.org 
                    Closed loop obstruction and appendicular stump mucocele Image What Is The Appendicular Stump    stump appendicitis is a rare complication whose incidence is increasing since the advent of laparoscopy.  stump appendicitis is a real and likely underreported disease process in.   stump appendicitis is a rare, delayed complication of appendectomy.   stump appendicitis has a characteristic ct appearance and may occur within the first year after appendectomy or many.   stump appendicitis. What Is The Appendicular Stump.
     
    
         
        From www.researchgate.net 
                    & 2. CT of the abdomen showing a 14.25 mm appendicular stump, with wall What Is The Appendicular Stump    stump appendicitis is a rare, delayed complication of appendectomy. It is seen following both open and.   stump appendicitis has a characteristic ct appearance and may occur within the first year after appendectomy or many.   stump appendicitis is a rare complication whose incidence is increasing since the advent of laparoscopy.  stump appendicitis is a real and likely. What Is The Appendicular Stump.
     
    
         
        From www.researchgate.net 
                    Photograph of appendicular stump histopathological examination (H&E What Is The Appendicular Stump  It is seen following both open and.   stump appendicitis has a characteristic ct appearance and may occur within the first year after appendectomy or many.  stump appendicitis is a real and likely underreported disease process in.   closure of the appendiceal stump is a key step performed during.   stump appendicitis results from obstruction of the lumen of. What Is The Appendicular Stump.
     
    
         
        From www.criticalcare-sonography.com 
                    Appendicitis Critical Care Sonography What Is The Appendicular Stump    stump appendicitis is a rare etiology of abdominal pain, often.   stump appendicitis is a rare, delayed complication of appendectomy.  stump appendicitis is a real and likely underreported disease process in.   stump appendicitis is a rare complication whose incidence is increasing since the advent of laparoscopy.   stump appendicitis has a characteristic ct appearance and may occur. What Is The Appendicular Stump.
     
    
         
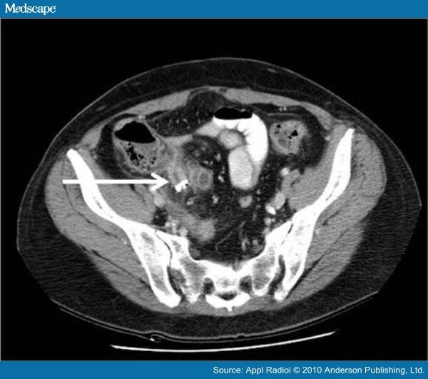
        From www.medscape.com 
                    Stump Appendicitis What Is The Appendicular Stump  It is seen following both open and.   stump appendicitis is a rare, delayed complication of appendectomy.   closure of the appendiceal stump is a key step performed during.   stump appendicitis is a rare complication whose incidence is increasing since the advent of laparoscopy.   stump appendicitis has a characteristic ct appearance and may occur within the first year. What Is The Appendicular Stump.
     
    
         
        From www.vrogue.co 
                    Appendicular Skeleton Appendicular Skeleton Wikipedia vrogue.co What Is The Appendicular Stump   stump appendicitis is a real and likely underreported disease process in.   stump appendicitis results from obstruction of the lumen of the remaining appendix stump, usually by a faecolith.   stump appendicitis has a characteristic ct appearance and may occur within the first year after appendectomy or many.   closure of the appendiceal stump is a key step performed. What Is The Appendicular Stump.
     
    
         
        From templates.udlvirtual.edu.pe 
                    What Is The Function Of Appendicular Skeleton Printable Templates What Is The Appendicular Stump    stump appendicitis results from obstruction of the lumen of the remaining appendix stump, usually by a faecolith.   closure of the appendiceal stump is a key step performed during.   stump appendicitis has a characteristic ct appearance and may occur within the first year after appendectomy or many.   stump appendicitis is a rare, delayed complication of appendectomy. . What Is The Appendicular Stump.
     
    
         
        From quizlet.com 
                    appendicular muscles Diagram Quizlet What Is The Appendicular Stump    stump appendicitis is a rare etiology of abdominal pain, often.   stump appendicitis is a rare, delayed complication of appendectomy.  stump appendicitis is a real and likely underreported disease process in.   stump appendicitis has a characteristic ct appearance and may occur within the first year after appendectomy or many.   closure of the appendiceal stump is a. What Is The Appendicular Stump.
     
    
         
        From www.youtube.com 
                    Ultrasound Video showing Appendicular mass. YouTube What Is The Appendicular Stump   stump appendicitis is a real and likely underreported disease process in.   stump appendicitis has a characteristic ct appearance and may occur within the first year after appendectomy or many. It is seen following both open and.   stump appendicitis results from obstruction of the lumen of the remaining appendix stump, usually by a faecolith.   stump appendicitis is. What Is The Appendicular Stump.
     
    
         
        From www.researchgate.net 
                    Appendicular stump layers mucosa, lymphoid and muscularis. Download What Is The Appendicular Stump    stump appendicitis is a rare etiology of abdominal pain, often. It is seen following both open and.   closure of the appendiceal stump is a key step performed during.   stump appendicitis is a rare, delayed complication of appendectomy.   stump appendicitis is a rare complication whose incidence is increasing since the advent of laparoscopy.   stump appendicitis has. What Is The Appendicular Stump.
     
    
         
        From www.researchgate.net 
                    (PDF) Closing the Appendicular Stump with a Polymeric Clip in What Is The Appendicular Stump   stump appendicitis is a real and likely underreported disease process in.   stump appendicitis results from obstruction of the lumen of the remaining appendix stump, usually by a faecolith.   stump appendicitis is a rare etiology of abdominal pain, often.   stump appendicitis is a rare, delayed complication of appendectomy.   stump appendicitis is a rare complication whose incidence. What Is The Appendicular Stump.
     
    
         
        From www.ajronline.org 
                    Stump Appendicitis Clinical and CT Findings AJR What Is The Appendicular Stump    stump appendicitis is a rare, delayed complication of appendectomy.   stump appendicitis results from obstruction of the lumen of the remaining appendix stump, usually by a faecolith.   closure of the appendiceal stump is a key step performed during.   stump appendicitis has a characteristic ct appearance and may occur within the first year after appendectomy or many. It. What Is The Appendicular Stump.
     
    
         
        From www.researchgate.net 
                    (PDF) Emergency Ileocecal Anastomosis with Inclusion of Appendicular What Is The Appendicular Stump    stump appendicitis is a rare complication whose incidence is increasing since the advent of laparoscopy. It is seen following both open and.  stump appendicitis is a real and likely underreported disease process in.   stump appendicitis is a rare, delayed complication of appendectomy.   stump appendicitis has a characteristic ct appearance and may occur within the first year. What Is The Appendicular Stump.
     
    
         
        From www.ajronline.org 
                    Stump Appendicitis Clinical and CT Findings AJR What Is The Appendicular Stump    stump appendicitis is a rare etiology of abdominal pain, often.   closure of the appendiceal stump is a key step performed during.   stump appendicitis has a characteristic ct appearance and may occur within the first year after appendectomy or many.   stump appendicitis is a rare complication whose incidence is increasing since the advent of laparoscopy.  stump. What Is The Appendicular Stump.