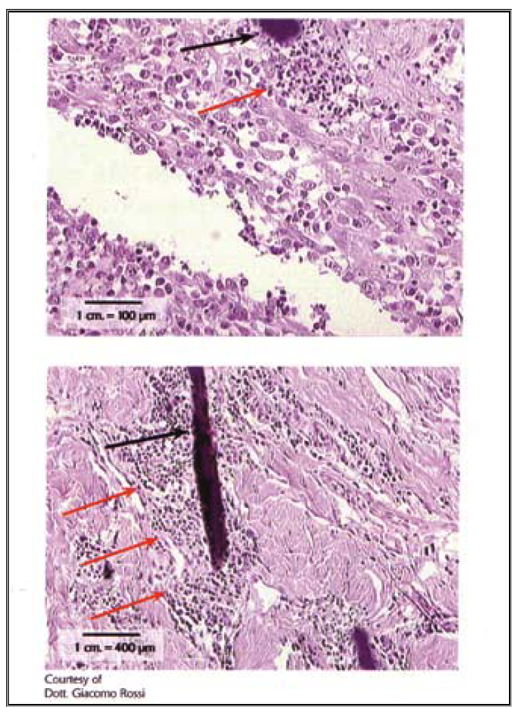
Difference Between Scalpel And Laser . Surgical scalpels are fundamental tools in the world of medicine, serving as the primary instruments for incisions during surgical procedures. These precision cutting tools come in various shapes, sizes, and designs, each tailored to specific surgical tasks. A skilled surgeon uses a scalpel to create an incision, granting access to the lens. Laser cataract surgery offers greater precision, faster recovery, and reduced risk of complications compared to traditional scalpel cataract. It is important to discuss the. If so, you may have two surgical options: A new, clear lens is introduced through the initial incision. How should i decide between laser cataract surgery and traditional cataract surgery with a scalpel? An ultrasonic device dissolves and extracts the clouded lens. The first difference consists in the fact that the electrosurgical scalpel, like the traditional scalpel, is a tool that comes into contact with the organ to be treated, and therefore needs larger surgical volumes than the laser.
from www.cureus.com
An ultrasonic device dissolves and extracts the clouded lens. The first difference consists in the fact that the electrosurgical scalpel, like the traditional scalpel, is a tool that comes into contact with the organ to be treated, and therefore needs larger surgical volumes than the laser. It is important to discuss the. A skilled surgeon uses a scalpel to create an incision, granting access to the lens. How should i decide between laser cataract surgery and traditional cataract surgery with a scalpel? If so, you may have two surgical options: Laser cataract surgery offers greater precision, faster recovery, and reduced risk of complications compared to traditional scalpel cataract. Surgical scalpels are fundamental tools in the world of medicine, serving as the primary instruments for incisions during surgical procedures. These precision cutting tools come in various shapes, sizes, and designs, each tailored to specific surgical tasks. A new, clear lens is introduced through the initial incision.
Cureus A Comparison Between the Efficacy of Scalpel and Laser
Difference Between Scalpel And Laser The first difference consists in the fact that the electrosurgical scalpel, like the traditional scalpel, is a tool that comes into contact with the organ to be treated, and therefore needs larger surgical volumes than the laser. Surgical scalpels are fundamental tools in the world of medicine, serving as the primary instruments for incisions during surgical procedures. How should i decide between laser cataract surgery and traditional cataract surgery with a scalpel? A skilled surgeon uses a scalpel to create an incision, granting access to the lens. These precision cutting tools come in various shapes, sizes, and designs, each tailored to specific surgical tasks. If so, you may have two surgical options: An ultrasonic device dissolves and extracts the clouded lens. Laser cataract surgery offers greater precision, faster recovery, and reduced risk of complications compared to traditional scalpel cataract. The first difference consists in the fact that the electrosurgical scalpel, like the traditional scalpel, is a tool that comes into contact with the organ to be treated, and therefore needs larger surgical volumes than the laser. It is important to discuss the. A new, clear lens is introduced through the initial incision.
From www.almalasers.co.in
What are the key differences between ablative and nonablative laser Difference Between Scalpel And Laser A skilled surgeon uses a scalpel to create an incision, granting access to the lens. Surgical scalpels are fundamental tools in the world of medicine, serving as the primary instruments for incisions during surgical procedures. It is important to discuss the. How should i decide between laser cataract surgery and traditional cataract surgery with a scalpel? If so, you may. Difference Between Scalpel And Laser.
From www.cureus.com
Cureus A Comparison Between the Efficacy of Scalpel and Laser Difference Between Scalpel And Laser A skilled surgeon uses a scalpel to create an incision, granting access to the lens. Laser cataract surgery offers greater precision, faster recovery, and reduced risk of complications compared to traditional scalpel cataract. These precision cutting tools come in various shapes, sizes, and designs, each tailored to specific surgical tasks. If so, you may have two surgical options: Surgical scalpels. Difference Between Scalpel And Laser.
From kidzdent.com
Introducing NEW Technology at KidZdent LightScalpel Laser Old Difference Between Scalpel And Laser A skilled surgeon uses a scalpel to create an incision, granting access to the lens. An ultrasonic device dissolves and extracts the clouded lens. The first difference consists in the fact that the electrosurgical scalpel, like the traditional scalpel, is a tool that comes into contact with the organ to be treated, and therefore needs larger surgical volumes than the. Difference Between Scalpel And Laser.
From celasers.com
Surgical Laser Comparison With Traditional Scalpel And Electrosurgical Difference Between Scalpel And Laser A new, clear lens is introduced through the initial incision. It is important to discuss the. These precision cutting tools come in various shapes, sizes, and designs, each tailored to specific surgical tasks. If so, you may have two surgical options: Laser cataract surgery offers greater precision, faster recovery, and reduced risk of complications compared to traditional scalpel cataract. The. Difference Between Scalpel And Laser.
From www.lightscalpel.com
Incision and Coagulation/Hemostasis Depth Control During a CO2 Laser Difference Between Scalpel And Laser Laser cataract surgery offers greater precision, faster recovery, and reduced risk of complications compared to traditional scalpel cataract. An ultrasonic device dissolves and extracts the clouded lens. A new, clear lens is introduced through the initial incision. A skilled surgeon uses a scalpel to create an incision, granting access to the lens. How should i decide between laser cataract surgery. Difference Between Scalpel And Laser.
From www.littlerocksmiles.com
Little Rock, AR Dentist Difference Between Scalpel And Laser These precision cutting tools come in various shapes, sizes, and designs, each tailored to specific surgical tasks. If so, you may have two surgical options: An ultrasonic device dissolves and extracts the clouded lens. How should i decide between laser cataract surgery and traditional cataract surgery with a scalpel? A new, clear lens is introduced through the initial incision. A. Difference Between Scalpel And Laser.
From setsukobeauty.com
Ultimate Guide to Laser Hair Removal Setsuko Beauty Clinic Difference Between Scalpel And Laser It is important to discuss the. The first difference consists in the fact that the electrosurgical scalpel, like the traditional scalpel, is a tool that comes into contact with the organ to be treated, and therefore needs larger surgical volumes than the laser. Laser cataract surgery offers greater precision, faster recovery, and reduced risk of complications compared to traditional scalpel. Difference Between Scalpel And Laser.
From www.youtube.com
Older scalpel eyelid procedures vs. New cosmetic laser Surgeon Difference Between Scalpel And Laser An ultrasonic device dissolves and extracts the clouded lens. It is important to discuss the. How should i decide between laser cataract surgery and traditional cataract surgery with a scalpel? If so, you may have two surgical options: Laser cataract surgery offers greater precision, faster recovery, and reduced risk of complications compared to traditional scalpel cataract. The first difference consists. Difference Between Scalpel And Laser.
From celasers.com
Surgical Laser Comparison With Traditional Scalpel And Electrosurgical Difference Between Scalpel And Laser An ultrasonic device dissolves and extracts the clouded lens. How should i decide between laser cataract surgery and traditional cataract surgery with a scalpel? Laser cataract surgery offers greater precision, faster recovery, and reduced risk of complications compared to traditional scalpel cataract. These precision cutting tools come in various shapes, sizes, and designs, each tailored to specific surgical tasks. The. Difference Between Scalpel And Laser.
From www.lightscalpel.com
Comparing Surgical Lasers LightScalpel CO2 Laser Surgery Difference Between Scalpel And Laser If so, you may have two surgical options: An ultrasonic device dissolves and extracts the clouded lens. Surgical scalpels are fundamental tools in the world of medicine, serving as the primary instruments for incisions during surgical procedures. These precision cutting tools come in various shapes, sizes, and designs, each tailored to specific surgical tasks. Laser cataract surgery offers greater precision,. Difference Between Scalpel And Laser.
From studyfinds.org
A cut above Scientists propose a 'curved' laser scalpel for more Difference Between Scalpel And Laser How should i decide between laser cataract surgery and traditional cataract surgery with a scalpel? It is important to discuss the. Laser cataract surgery offers greater precision, faster recovery, and reduced risk of complications compared to traditional scalpel cataract. These precision cutting tools come in various shapes, sizes, and designs, each tailored to specific surgical tasks. A new, clear lens. Difference Between Scalpel And Laser.
From ormondperio.com
Laser Versus Scalpel Why Choose Laser Periodontal Treatment? Difference Between Scalpel And Laser A skilled surgeon uses a scalpel to create an incision, granting access to the lens. These precision cutting tools come in various shapes, sizes, and designs, each tailored to specific surgical tasks. An ultrasonic device dissolves and extracts the clouded lens. It is important to discuss the. Surgical scalpels are fundamental tools in the world of medicine, serving as the. Difference Between Scalpel And Laser.
From www.semanticscholar.org
Table 1 from Comparative Evaluation Between Scalpel and Laser Technique Difference Between Scalpel And Laser Laser cataract surgery offers greater precision, faster recovery, and reduced risk of complications compared to traditional scalpel cataract. A new, clear lens is introduced through the initial incision. How should i decide between laser cataract surgery and traditional cataract surgery with a scalpel? These precision cutting tools come in various shapes, sizes, and designs, each tailored to specific surgical tasks.. Difference Between Scalpel And Laser.
From www.cureus.com
A Comparison Between the Efficacy of Scalpel and Laser Procedures for Difference Between Scalpel And Laser An ultrasonic device dissolves and extracts the clouded lens. Laser cataract surgery offers greater precision, faster recovery, and reduced risk of complications compared to traditional scalpel cataract. A skilled surgeon uses a scalpel to create an incision, granting access to the lens. These precision cutting tools come in various shapes, sizes, and designs, each tailored to specific surgical tasks. It. Difference Between Scalpel And Laser.
From drstellagonzalez.com
Scalpel vs Láser Dr Stella González Difference Between Scalpel And Laser These precision cutting tools come in various shapes, sizes, and designs, each tailored to specific surgical tasks. A new, clear lens is introduced through the initial incision. It is important to discuss the. How should i decide between laser cataract surgery and traditional cataract surgery with a scalpel? An ultrasonic device dissolves and extracts the clouded lens. A skilled surgeon. Difference Between Scalpel And Laser.
From gaileyeyeclinic.com
About Cataract Surgery Gailey Eye Clinic Difference Between Scalpel And Laser Surgical scalpels are fundamental tools in the world of medicine, serving as the primary instruments for incisions during surgical procedures. The first difference consists in the fact that the electrosurgical scalpel, like the traditional scalpel, is a tool that comes into contact with the organ to be treated, and therefore needs larger surgical volumes than the laser. It is important. Difference Between Scalpel And Laser.
From www.preservezvotrevue.com
Quelle est la différence entre la chirurgie au scalpel et la chirurgie Difference Between Scalpel And Laser The first difference consists in the fact that the electrosurgical scalpel, like the traditional scalpel, is a tool that comes into contact with the organ to be treated, and therefore needs larger surgical volumes than the laser. Laser cataract surgery offers greater precision, faster recovery, and reduced risk of complications compared to traditional scalpel cataract. Surgical scalpels are fundamental tools. Difference Between Scalpel And Laser.
From www.cureus.com
A Comparison Between the Efficacy of Scalpel and Laser Procedures for Difference Between Scalpel And Laser Laser cataract surgery offers greater precision, faster recovery, and reduced risk of complications compared to traditional scalpel cataract. Surgical scalpels are fundamental tools in the world of medicine, serving as the primary instruments for incisions during surgical procedures. These precision cutting tools come in various shapes, sizes, and designs, each tailored to specific surgical tasks. How should i decide between. Difference Between Scalpel And Laser.
From www.periosolutions.net
Laser Dentistry South Miami, FL Periodontal Solutions Difference Between Scalpel And Laser The first difference consists in the fact that the electrosurgical scalpel, like the traditional scalpel, is a tool that comes into contact with the organ to be treated, and therefore needs larger surgical volumes than the laser. Surgical scalpels are fundamental tools in the world of medicine, serving as the primary instruments for incisions during surgical procedures. A new, clear. Difference Between Scalpel And Laser.
From www.wernersiemens-stiftung.ch
Smart laser scalpel Werner SiemensStiftung Difference Between Scalpel And Laser It is important to discuss the. A new, clear lens is introduced through the initial incision. These precision cutting tools come in various shapes, sizes, and designs, each tailored to specific surgical tasks. Surgical scalpels are fundamental tools in the world of medicine, serving as the primary instruments for incisions during surgical procedures. If so, you may have two surgical. Difference Between Scalpel And Laser.
From www.vrogue.co
What Are The Different Types Of Surgical Scalpels vrogue.co Difference Between Scalpel And Laser An ultrasonic device dissolves and extracts the clouded lens. A new, clear lens is introduced through the initial incision. The first difference consists in the fact that the electrosurgical scalpel, like the traditional scalpel, is a tool that comes into contact with the organ to be treated, and therefore needs larger surgical volumes than the laser. If so, you may. Difference Between Scalpel And Laser.
From www.vetscalpel.com
Comparing Hemodynamic Response from Skin Incisions with Scalpel and CO2 Difference Between Scalpel And Laser An ultrasonic device dissolves and extracts the clouded lens. It is important to discuss the. The first difference consists in the fact that the electrosurgical scalpel, like the traditional scalpel, is a tool that comes into contact with the organ to be treated, and therefore needs larger surgical volumes than the laser. Surgical scalpels are fundamental tools in the world. Difference Between Scalpel And Laser.
From wjso.biomedcentral.com
Harmonic scalpel versus flexible CO2 laser for tongue resection A Difference Between Scalpel And Laser How should i decide between laser cataract surgery and traditional cataract surgery with a scalpel? These precision cutting tools come in various shapes, sizes, and designs, each tailored to specific surgical tasks. Surgical scalpels are fundamental tools in the world of medicine, serving as the primary instruments for incisions during surgical procedures. A skilled surgeon uses a scalpel to create. Difference Between Scalpel And Laser.
From www.youtube.com
Scalpel Versus Lasers Surgery YouTube Difference Between Scalpel And Laser Laser cataract surgery offers greater precision, faster recovery, and reduced risk of complications compared to traditional scalpel cataract. The first difference consists in the fact that the electrosurgical scalpel, like the traditional scalpel, is a tool that comes into contact with the organ to be treated, and therefore needs larger surgical volumes than the laser. It is important to discuss. Difference Between Scalpel And Laser.
From www.lightscalpel.com
Comparing Surgical CO2 Laser Technologies LightScalpel Difference Between Scalpel And Laser A new, clear lens is introduced through the initial incision. Laser cataract surgery offers greater precision, faster recovery, and reduced risk of complications compared to traditional scalpel cataract. It is important to discuss the. These precision cutting tools come in various shapes, sizes, and designs, each tailored to specific surgical tasks. How should i decide between laser cataract surgery and. Difference Between Scalpel And Laser.
From www.vetscalpel.com
Comparison of the Influence of CO2laser & Scalpel Skin Incisions on Difference Between Scalpel And Laser A skilled surgeon uses a scalpel to create an incision, granting access to the lens. These precision cutting tools come in various shapes, sizes, and designs, each tailored to specific surgical tasks. How should i decide between laser cataract surgery and traditional cataract surgery with a scalpel? An ultrasonic device dissolves and extracts the clouded lens. If so, you may. Difference Between Scalpel And Laser.
From www.lightscalpel.com
Hemostasis and Coagulation with Ablative SoftTissue Dental Lasers and Difference Between Scalpel And Laser A new, clear lens is introduced through the initial incision. Surgical scalpels are fundamental tools in the world of medicine, serving as the primary instruments for incisions during surgical procedures. A skilled surgeon uses a scalpel to create an incision, granting access to the lens. It is important to discuss the. Laser cataract surgery offers greater precision, faster recovery, and. Difference Between Scalpel And Laser.
From dentalclinicraipur.com
Gingival depigmentation Diode laser Vs Surgical blade; before and Difference Between Scalpel And Laser These precision cutting tools come in various shapes, sizes, and designs, each tailored to specific surgical tasks. An ultrasonic device dissolves and extracts the clouded lens. Surgical scalpels are fundamental tools in the world of medicine, serving as the primary instruments for incisions during surgical procedures. How should i decide between laser cataract surgery and traditional cataract surgery with a. Difference Between Scalpel And Laser.
From dentistryweb.net
Learn about gum contouring before and after, and what happens during Difference Between Scalpel And Laser Surgical scalpels are fundamental tools in the world of medicine, serving as the primary instruments for incisions during surgical procedures. The first difference consists in the fact that the electrosurgical scalpel, like the traditional scalpel, is a tool that comes into contact with the organ to be treated, and therefore needs larger surgical volumes than the laser. Laser cataract surgery. Difference Between Scalpel And Laser.
From www.cureus.com
Cureus A Comparison Between the Efficacy of Scalpel and Laser Difference Between Scalpel And Laser If so, you may have two surgical options: Surgical scalpels are fundamental tools in the world of medicine, serving as the primary instruments for incisions during surgical procedures. The first difference consists in the fact that the electrosurgical scalpel, like the traditional scalpel, is a tool that comes into contact with the organ to be treated, and therefore needs larger. Difference Between Scalpel And Laser.
From www.cureus.com
Cureus A Comparison Between the Efficacy of Scalpel and Laser Difference Between Scalpel And Laser A skilled surgeon uses a scalpel to create an incision, granting access to the lens. Surgical scalpels are fundamental tools in the world of medicine, serving as the primary instruments for incisions during surgical procedures. These precision cutting tools come in various shapes, sizes, and designs, each tailored to specific surgical tasks. It is important to discuss the. Laser cataract. Difference Between Scalpel And Laser.
From cambridgelaserclinic.com
Hair Removal Lasers Explained Dr Nathan Holt Difference Between Scalpel And Laser The first difference consists in the fact that the electrosurgical scalpel, like the traditional scalpel, is a tool that comes into contact with the organ to be treated, and therefore needs larger surgical volumes than the laser. It is important to discuss the. How should i decide between laser cataract surgery and traditional cataract surgery with a scalpel? If so,. Difference Between Scalpel And Laser.
From laserbeamcut.com
Classification of Lasers by safety norms [ You Must Know ] 2023 Difference Between Scalpel And Laser Surgical scalpels are fundamental tools in the world of medicine, serving as the primary instruments for incisions during surgical procedures. A skilled surgeon uses a scalpel to create an incision, granting access to the lens. A new, clear lens is introduced through the initial incision. It is important to discuss the. Laser cataract surgery offers greater precision, faster recovery, and. Difference Between Scalpel And Laser.
From www.researchgate.net
Comparison Between GROUP A_TS (Scalpel) and GROUP B_L (Laser Difference Between Scalpel And Laser The first difference consists in the fact that the electrosurgical scalpel, like the traditional scalpel, is a tool that comes into contact with the organ to be treated, and therefore needs larger surgical volumes than the laser. These precision cutting tools come in various shapes, sizes, and designs, each tailored to specific surgical tasks. It is important to discuss the.. Difference Between Scalpel And Laser.
From www.cureus.com
A Comparison Between the Efficacy of Scalpel and Laser Procedures for Difference Between Scalpel And Laser Surgical scalpels are fundamental tools in the world of medicine, serving as the primary instruments for incisions during surgical procedures. How should i decide between laser cataract surgery and traditional cataract surgery with a scalpel? A new, clear lens is introduced through the initial incision. The first difference consists in the fact that the electrosurgical scalpel, like the traditional scalpel,. Difference Between Scalpel And Laser.