Types Of Dental X Ray Sensors . Known for high image quality. Digital dental radiographs can be taken inside (intraoral) or outside (extraoral) the mouth. This makes it easier to spot issues like cavities, bone loss, and. digital sensors provide enhanced radiographic images with higher resolution and better contrast. The film or sensor is. there are three main types of sensors used: The quality of the image usually is not. types and uses of digital dental radiographs.
from dentimax.com
there are three main types of sensors used: Known for high image quality. The quality of the image usually is not. The film or sensor is. This makes it easier to spot issues like cavities, bone loss, and. types and uses of digital dental radiographs. Digital dental radiographs can be taken inside (intraoral) or outside (extraoral) the mouth. digital sensors provide enhanced radiographic images with higher resolution and better contrast.
Complete Dental XRay Sensor Comparison 3 Sensors
Types Of Dental X Ray Sensors there are three main types of sensors used: Known for high image quality. Digital dental radiographs can be taken inside (intraoral) or outside (extraoral) the mouth. The film or sensor is. there are three main types of sensors used: types and uses of digital dental radiographs. digital sensors provide enhanced radiographic images with higher resolution and better contrast. This makes it easier to spot issues like cavities, bone loss, and. The quality of the image usually is not.
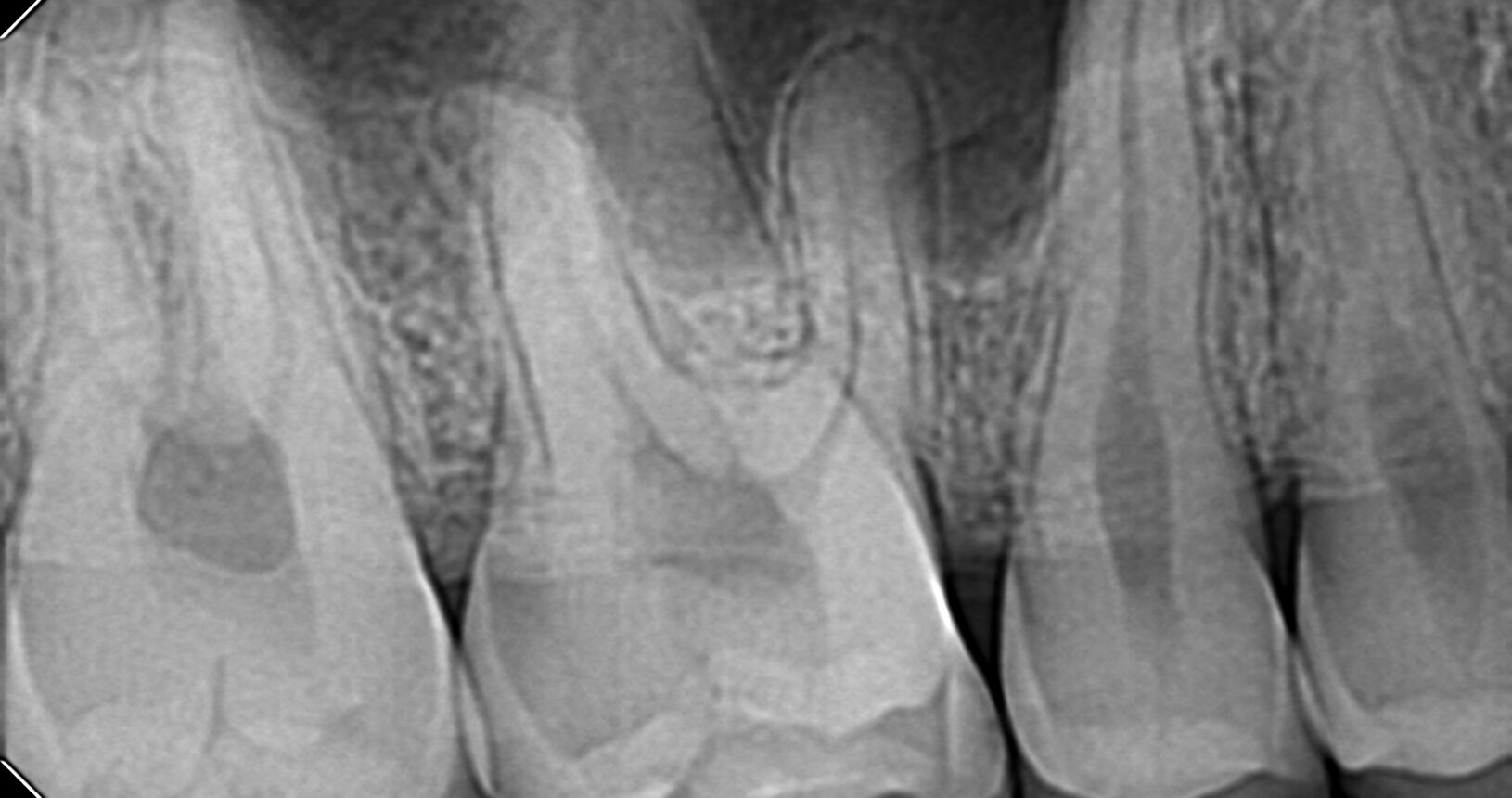
From promptdental.com
Dental X Ray Sensor Types Of Dental X Ray Sensors The quality of the image usually is not. Digital dental radiographs can be taken inside (intraoral) or outside (extraoral) the mouth. The film or sensor is. there are three main types of sensors used: digital sensors provide enhanced radiographic images with higher resolution and better contrast. Known for high image quality. This makes it easier to spot issues. Types Of Dental X Ray Sensors.
From www.ftgimaging.com
Wireless Dental XRay Sensors for Clearer, Easier Imaging Types Of Dental X Ray Sensors there are three main types of sensors used: digital sensors provide enhanced radiographic images with higher resolution and better contrast. This makes it easier to spot issues like cavities, bone loss, and. types and uses of digital dental radiographs. The quality of the image usually is not. Digital dental radiographs can be taken inside (intraoral) or outside. Types Of Dental X Ray Sensors.
From www.adae.store
Why X Ray sensors are important in dentistry? ADAE Dental Online Store Types Of Dental X Ray Sensors The quality of the image usually is not. The film or sensor is. types and uses of digital dental radiographs. digital sensors provide enhanced radiographic images with higher resolution and better contrast. Known for high image quality. Digital dental radiographs can be taken inside (intraoral) or outside (extraoral) the mouth. there are three main types of sensors. Types Of Dental X Ray Sensors.
From dentimax.com
Dental Xray Sensor The Dream Sensor DentiMax Types Of Dental X Ray Sensors Known for high image quality. The quality of the image usually is not. types and uses of digital dental radiographs. The film or sensor is. there are three main types of sensors used: Digital dental radiographs can be taken inside (intraoral) or outside (extraoral) the mouth. digital sensors provide enhanced radiographic images with higher resolution and better. Types Of Dental X Ray Sensors.
From www.osakadental.com
dental Ez sensor dental RVG SIZE 1.5 x ray sensor for dental unit Types Of Dental X Ray Sensors Known for high image quality. Digital dental radiographs can be taken inside (intraoral) or outside (extraoral) the mouth. digital sensors provide enhanced radiographic images with higher resolution and better contrast. The quality of the image usually is not. This makes it easier to spot issues like cavities, bone loss, and. types and uses of digital dental radiographs. . Types Of Dental X Ray Sensors.
From promptdental.com
Dental X Ray Sensor Types Of Dental X Ray Sensors This makes it easier to spot issues like cavities, bone loss, and. types and uses of digital dental radiographs. Known for high image quality. The film or sensor is. there are three main types of sensors used: The quality of the image usually is not. Digital dental radiographs can be taken inside (intraoral) or outside (extraoral) the mouth.. Types Of Dental X Ray Sensors.
From www.youtube.com
Apex Dental XRay Sensors from YouTube Types Of Dental X Ray Sensors digital sensors provide enhanced radiographic images with higher resolution and better contrast. This makes it easier to spot issues like cavities, bone loss, and. Known for high image quality. The quality of the image usually is not. types and uses of digital dental radiographs. Digital dental radiographs can be taken inside (intraoral) or outside (extraoral) the mouth. The. Types Of Dental X Ray Sensors.
From dentimax.com
Dental Xray Sensors Feature The DentiMax Dream Sensor DentiMax Types Of Dental X Ray Sensors there are three main types of sensors used: The quality of the image usually is not. The film or sensor is. This makes it easier to spot issues like cavities, bone loss, and. digital sensors provide enhanced radiographic images with higher resolution and better contrast. Known for high image quality. types and uses of digital dental radiographs.. Types Of Dental X Ray Sensors.
From lionsdentalsupply.com
HDIS Digital Dental XRay Sensors Types Of Dental X Ray Sensors The film or sensor is. The quality of the image usually is not. Digital dental radiographs can be taken inside (intraoral) or outside (extraoral) the mouth. types and uses of digital dental radiographs. This makes it easier to spot issues like cavities, bone loss, and. Known for high image quality. there are three main types of sensors used:. Types Of Dental X Ray Sensors.
From californiadentalequipment.com
iRay D4 HandHeld Digital XRay System With Sensor California Dental Types Of Dental X Ray Sensors digital sensors provide enhanced radiographic images with higher resolution and better contrast. Digital dental radiographs can be taken inside (intraoral) or outside (extraoral) the mouth. types and uses of digital dental radiographs. This makes it easier to spot issues like cavities, bone loss, and. there are three main types of sensors used: The quality of the image. Types Of Dental X Ray Sensors.
From www.proctomedica.com
MyRay Xpod Dental XRay Sensor Types Of Dental X Ray Sensors types and uses of digital dental radiographs. The quality of the image usually is not. The film or sensor is. Digital dental radiographs can be taken inside (intraoral) or outside (extraoral) the mouth. Known for high image quality. digital sensors provide enhanced radiographic images with higher resolution and better contrast. This makes it easier to spot issues like. Types Of Dental X Ray Sensors.
From autoclave.se
Dental Xray Sensor Vatech IntraOral Ezsensor Aison International Types Of Dental X Ray Sensors Digital dental radiographs can be taken inside (intraoral) or outside (extraoral) the mouth. The film or sensor is. digital sensors provide enhanced radiographic images with higher resolution and better contrast. types and uses of digital dental radiographs. This makes it easier to spot issues like cavities, bone loss, and. Known for high image quality. The quality of the. Types Of Dental X Ray Sensors.
From www.muzzeysmiles.com
Digital Dental XRays Coppe + Sears Lexington Pediatric Dentistry Types Of Dental X Ray Sensors The film or sensor is. The quality of the image usually is not. Known for high image quality. types and uses of digital dental radiographs. This makes it easier to spot issues like cavities, bone loss, and. digital sensors provide enhanced radiographic images with higher resolution and better contrast. Digital dental radiographs can be taken inside (intraoral) or. Types Of Dental X Ray Sensors.
From surgical-hut.com
APPLEDENTAL Ecosensor Digital Dental XRay Sensors SurgicalHUT Types Of Dental X Ray Sensors Known for high image quality. The film or sensor is. Digital dental radiographs can be taken inside (intraoral) or outside (extraoral) the mouth. types and uses of digital dental radiographs. This makes it easier to spot issues like cavities, bone loss, and. there are three main types of sensors used: The quality of the image usually is not.. Types Of Dental X Ray Sensors.
From dentimax.com
Affordable HighQuality Dental Sensors DentiMax Dream Sensor Types Of Dental X Ray Sensors The film or sensor is. This makes it easier to spot issues like cavities, bone loss, and. digital sensors provide enhanced radiographic images with higher resolution and better contrast. there are three main types of sensors used: types and uses of digital dental radiographs. Digital dental radiographs can be taken inside (intraoral) or outside (extraoral) the mouth.. Types Of Dental X Ray Sensors.
From swfamilydentistry.com
2 Types of Dental XRays Southwest Family Dentistry Types Of Dental X Ray Sensors there are three main types of sensors used: digital sensors provide enhanced radiographic images with higher resolution and better contrast. Known for high image quality. The quality of the image usually is not. The film or sensor is. This makes it easier to spot issues like cavities, bone loss, and. types and uses of digital dental radiographs.. Types Of Dental X Ray Sensors.
From www.dentalhandpieceunit.com
CMOS APS Chip Type Portable Dental X Ray Unit / Dental Digital X Ray Sensor Types Of Dental X Ray Sensors This makes it easier to spot issues like cavities, bone loss, and. types and uses of digital dental radiographs. digital sensors provide enhanced radiographic images with higher resolution and better contrast. The quality of the image usually is not. The film or sensor is. Digital dental radiographs can be taken inside (intraoral) or outside (extraoral) the mouth. . Types Of Dental X Ray Sensors.
From www.youtube.com
Dental XRay Full Mouth Series (FMX) Explained YouTube Types Of Dental X Ray Sensors Known for high image quality. The film or sensor is. digital sensors provide enhanced radiographic images with higher resolution and better contrast. This makes it easier to spot issues like cavities, bone loss, and. Digital dental radiographs can be taken inside (intraoral) or outside (extraoral) the mouth. types and uses of digital dental radiographs. there are three. Types Of Dental X Ray Sensors.
From eastportdentalaz.com
Common Types of Dental Xrays (And Why You Need Them!) Top Rated Types Of Dental X Ray Sensors This makes it easier to spot issues like cavities, bone loss, and. digital sensors provide enhanced radiographic images with higher resolution and better contrast. there are three main types of sensors used: types and uses of digital dental radiographs. Known for high image quality. The quality of the image usually is not. The film or sensor is.. Types Of Dental X Ray Sensors.
From dentimax.com
Dental Xray Sensor The Dream Sensor DentiMax Types Of Dental X Ray Sensors digital sensors provide enhanced radiographic images with higher resolution and better contrast. there are three main types of sensors used: The film or sensor is. Known for high image quality. Digital dental radiographs can be taken inside (intraoral) or outside (extraoral) the mouth. The quality of the image usually is not. types and uses of digital dental. Types Of Dental X Ray Sensors.
From www.sodiumdental.com
Quickray Digital Xray Sensor Sodium Dental Types Of Dental X Ray Sensors types and uses of digital dental radiographs. The film or sensor is. there are three main types of sensors used: The quality of the image usually is not. This makes it easier to spot issues like cavities, bone loss, and. Digital dental radiographs can be taken inside (intraoral) or outside (extraoral) the mouth. Known for high image quality.. Types Of Dental X Ray Sensors.
From www.youtube.com
Dental Digital XRay Sensor YouTube Types Of Dental X Ray Sensors The film or sensor is. This makes it easier to spot issues like cavities, bone loss, and. Known for high image quality. The quality of the image usually is not. digital sensors provide enhanced radiographic images with higher resolution and better contrast. types and uses of digital dental radiographs. there are three main types of sensors used:. Types Of Dental X Ray Sensors.
From promptdental.com
Dental X Ray Sensor Types Of Dental X Ray Sensors digital sensors provide enhanced radiographic images with higher resolution and better contrast. there are three main types of sensors used: Known for high image quality. types and uses of digital dental radiographs. The film or sensor is. This makes it easier to spot issues like cavities, bone loss, and. The quality of the image usually is not.. Types Of Dental X Ray Sensors.
From www.sodiumdental.com
QuickrayHD Digital Xray Sensor Sodium Dental Types Of Dental X Ray Sensors there are three main types of sensors used: Known for high image quality. digital sensors provide enhanced radiographic images with higher resolution and better contrast. types and uses of digital dental radiographs. The film or sensor is. The quality of the image usually is not. This makes it easier to spot issues like cavities, bone loss, and.. Types Of Dental X Ray Sensors.
From www.totalimplant.com
Dental Xray Sensor Size 1 totalimplant Types Of Dental X Ray Sensors types and uses of digital dental radiographs. there are three main types of sensors used: Known for high image quality. The quality of the image usually is not. digital sensors provide enhanced radiographic images with higher resolution and better contrast. Digital dental radiographs can be taken inside (intraoral) or outside (extraoral) the mouth. The film or sensor. Types Of Dental X Ray Sensors.
From www.alibaba.com
Portable Intraoral Xray Sensor Dental Xray Sensor Rvg Dental Xray Types Of Dental X Ray Sensors types and uses of digital dental radiographs. digital sensors provide enhanced radiographic images with higher resolution and better contrast. This makes it easier to spot issues like cavities, bone loss, and. The film or sensor is. The quality of the image usually is not. Known for high image quality. Digital dental radiographs can be taken inside (intraoral) or. Types Of Dental X Ray Sensors.
From www.batchelor-dentistry.com
Dental XRays Everything You Need to Know Types Of Dental X Ray Sensors there are three main types of sensors used: This makes it easier to spot issues like cavities, bone loss, and. Known for high image quality. The film or sensor is. types and uses of digital dental radiographs. The quality of the image usually is not. digital sensors provide enhanced radiographic images with higher resolution and better contrast.. Types Of Dental X Ray Sensors.
From dentimax.com
Complete Dental XRay Sensor Comparison 3 Sensors Types Of Dental X Ray Sensors This makes it easier to spot issues like cavities, bone loss, and. The quality of the image usually is not. there are three main types of sensors used: Known for high image quality. The film or sensor is. digital sensors provide enhanced radiographic images with higher resolution and better contrast. types and uses of digital dental radiographs.. Types Of Dental X Ray Sensors.
From lakefrontfamilydentistry.com
Nomad Xray Units Only the Best for Our Patients Types Of Dental X Ray Sensors there are three main types of sensors used: This makes it easier to spot issues like cavities, bone loss, and. The film or sensor is. Digital dental radiographs can be taken inside (intraoral) or outside (extraoral) the mouth. types and uses of digital dental radiographs. digital sensors provide enhanced radiographic images with higher resolution and better contrast.. Types Of Dental X Ray Sensors.
From dentimax.com
Complete Dental XRay Sensor Comparison 3 Sensors Types Of Dental X Ray Sensors Digital dental radiographs can be taken inside (intraoral) or outside (extraoral) the mouth. This makes it easier to spot issues like cavities, bone loss, and. types and uses of digital dental radiographs. there are three main types of sensors used: digital sensors provide enhanced radiographic images with higher resolution and better contrast. The quality of the image. Types Of Dental X Ray Sensors.
From www.dentalhomebest.com
The Guide to Portable Dental XRay Units & Dental XRay Sensors Types Of Dental X Ray Sensors The film or sensor is. The quality of the image usually is not. This makes it easier to spot issues like cavities, bone loss, and. digital sensors provide enhanced radiographic images with higher resolution and better contrast. types and uses of digital dental radiographs. there are three main types of sensors used: Known for high image quality.. Types Of Dental X Ray Sensors.
From ceolcbwg.blob.core.windows.net
Types Of Dentist X Rays at Charlie Roe blog Types Of Dental X Ray Sensors The film or sensor is. digital sensors provide enhanced radiographic images with higher resolution and better contrast. there are three main types of sensors used: Known for high image quality. This makes it easier to spot issues like cavities, bone loss, and. Digital dental radiographs can be taken inside (intraoral) or outside (extraoral) the mouth. types and. Types Of Dental X Ray Sensors.
From www.indiamart.com
Eighteeth Nanopix Intraoral XRay Sensor, Rs 112000 /piece AJK Dental Types Of Dental X Ray Sensors Known for high image quality. The quality of the image usually is not. there are three main types of sensors used: This makes it easier to spot issues like cavities, bone loss, and. digital sensors provide enhanced radiographic images with higher resolution and better contrast. types and uses of digital dental radiographs. Digital dental radiographs can be. Types Of Dental X Ray Sensors.
From www.youtube.com
Dental Sensor Owandy Visteo new concept in Digital Radiography YouTube Types Of Dental X Ray Sensors Known for high image quality. The quality of the image usually is not. The film or sensor is. types and uses of digital dental radiographs. there are three main types of sensors used: digital sensors provide enhanced radiographic images with higher resolution and better contrast. Digital dental radiographs can be taken inside (intraoral) or outside (extraoral) the. Types Of Dental X Ray Sensors.
From www.studiodentaire.com
Dental xrays Studio Dentaire Types Of Dental X Ray Sensors Known for high image quality. there are three main types of sensors used: This makes it easier to spot issues like cavities, bone loss, and. Digital dental radiographs can be taken inside (intraoral) or outside (extraoral) the mouth. digital sensors provide enhanced radiographic images with higher resolution and better contrast. The film or sensor is. types and. Types Of Dental X Ray Sensors.