What Causes A Hole In Your Palate . torus palatinus is a harmless condition that causes one or more bumps on the hard palate (the roof of your mouth). a torus palatinus is a harmless lump or protrusion on the hard palate, or roof of the mouth. It may not require treatment,. soft palate cancer is a type of throat cancer that starts on the soft palate, the upper part of the back of the mouth. learn about the rare cancers that affect the hard palate, such as squamous cell carcinoma and adenoid. hard palate cancer is a rare oral cancer that causes a tumor to form on the roof of your mouth. It can cause symptoms such as a lump, bad breath,. the small hole in the roof of the mouth can occur from a variety of situations such as tract between the sinuses the.
from mbifyhduph.blogspot.com
torus palatinus is a harmless condition that causes one or more bumps on the hard palate (the roof of your mouth). learn about the rare cancers that affect the hard palate, such as squamous cell carcinoma and adenoid. the small hole in the roof of the mouth can occur from a variety of situations such as tract between the sinuses the. soft palate cancer is a type of throat cancer that starts on the soft palate, the upper part of the back of the mouth. It can cause symptoms such as a lump, bad breath,. It may not require treatment,. hard palate cancer is a rare oral cancer that causes a tumor to form on the roof of your mouth. a torus palatinus is a harmless lump or protrusion on the hard palate, or roof of the mouth.
Normal Roof Of Mouth Images Torus Palatinus Symptoms Diagnosis Causes
What Causes A Hole In Your Palate soft palate cancer is a type of throat cancer that starts on the soft palate, the upper part of the back of the mouth. a torus palatinus is a harmless lump or protrusion on the hard palate, or roof of the mouth. torus palatinus is a harmless condition that causes one or more bumps on the hard palate (the roof of your mouth). It may not require treatment,. It can cause symptoms such as a lump, bad breath,. learn about the rare cancers that affect the hard palate, such as squamous cell carcinoma and adenoid. hard palate cancer is a rare oral cancer that causes a tumor to form on the roof of your mouth. soft palate cancer is a type of throat cancer that starts on the soft palate, the upper part of the back of the mouth. the small hole in the roof of the mouth can occur from a variety of situations such as tract between the sinuses the.
From www.mdedge.com
Intraoral lesion • history of cirrhosis and smoking • Dx? MDedge What Causes A Hole In Your Palate It may not require treatment,. hard palate cancer is a rare oral cancer that causes a tumor to form on the roof of your mouth. a torus palatinus is a harmless lump or protrusion on the hard palate, or roof of the mouth. soft palate cancer is a type of throat cancer that starts on the soft. What Causes A Hole In Your Palate.
From www.researchgate.net
Patient with a 3,5 cm perforation in the hard palate (a). CT scan What Causes A Hole In Your Palate It can cause symptoms such as a lump, bad breath,. It may not require treatment,. hard palate cancer is a rare oral cancer that causes a tumor to form on the roof of your mouth. torus palatinus is a harmless condition that causes one or more bumps on the hard palate (the roof of your mouth). a. What Causes A Hole In Your Palate.
From www.mdedge.com
Violaceous Nodules on the Hard Palate MDedge Dermatology What Causes A Hole In Your Palate a torus palatinus is a harmless lump or protrusion on the hard palate, or roof of the mouth. torus palatinus is a harmless condition that causes one or more bumps on the hard palate (the roof of your mouth). learn about the rare cancers that affect the hard palate, such as squamous cell carcinoma and adenoid. . What Causes A Hole In Your Palate.
From www.slideserve.com
PPT Restoration of acquired defects of hard palate in dentate What Causes A Hole In Your Palate torus palatinus is a harmless condition that causes one or more bumps on the hard palate (the roof of your mouth). learn about the rare cancers that affect the hard palate, such as squamous cell carcinoma and adenoid. the small hole in the roof of the mouth can occur from a variety of situations such as tract. What Causes A Hole In Your Palate.
From www.researchgate.net
(Above, right) Preoperative photograph of the cleft palate patient What Causes A Hole In Your Palate learn about the rare cancers that affect the hard palate, such as squamous cell carcinoma and adenoid. the small hole in the roof of the mouth can occur from a variety of situations such as tract between the sinuses the. It may not require treatment,. soft palate cancer is a type of throat cancer that starts on. What Causes A Hole In Your Palate.
From teachmeanatomy.info
The Palate Hard Palate Soft Palate Uvula TeachMeAnatomy What Causes A Hole In Your Palate torus palatinus is a harmless condition that causes one or more bumps on the hard palate (the roof of your mouth). the small hole in the roof of the mouth can occur from a variety of situations such as tract between the sinuses the. learn about the rare cancers that affect the hard palate, such as squamous. What Causes A Hole In Your Palate.
From manuallistcacoepies.z22.web.core.windows.net
Cleft Palate Anatomy Dental What Causes A Hole In Your Palate learn about the rare cancers that affect the hard palate, such as squamous cell carcinoma and adenoid. soft palate cancer is a type of throat cancer that starts on the soft palate, the upper part of the back of the mouth. torus palatinus is a harmless condition that causes one or more bumps on the hard palate. What Causes A Hole In Your Palate.
From medizzy.com
Submucosal Cleft Palate MEDizzy What Causes A Hole In Your Palate a torus palatinus is a harmless lump or protrusion on the hard palate, or roof of the mouth. hard palate cancer is a rare oral cancer that causes a tumor to form on the roof of your mouth. learn about the rare cancers that affect the hard palate, such as squamous cell carcinoma and adenoid. soft. What Causes A Hole In Your Palate.
From www.researchgate.net
(a) Entry hole (between soft and hard palate) and exit hole (right What Causes A Hole In Your Palate a torus palatinus is a harmless lump or protrusion on the hard palate, or roof of the mouth. It may not require treatment,. It can cause symptoms such as a lump, bad breath,. torus palatinus is a harmless condition that causes one or more bumps on the hard palate (the roof of your mouth). hard palate cancer. What Causes A Hole In Your Palate.
From www.scielo.br
SciELO Brasil Case for diagnosis. Palate perforation due to cocaine What Causes A Hole In Your Palate It can cause symptoms such as a lump, bad breath,. torus palatinus is a harmless condition that causes one or more bumps on the hard palate (the roof of your mouth). It may not require treatment,. the small hole in the roof of the mouth can occur from a variety of situations such as tract between the sinuses. What Causes A Hole In Your Palate.
From www.mdpi.com
JCM Free FullText IntraCystic (In Situ) Mucoepidermoid Carcinoma What Causes A Hole In Your Palate soft palate cancer is a type of throat cancer that starts on the soft palate, the upper part of the back of the mouth. learn about the rare cancers that affect the hard palate, such as squamous cell carcinoma and adenoid. the small hole in the roof of the mouth can occur from a variety of situations. What Causes A Hole In Your Palate.
From www.nhs.uk
Cleft lip and palate NHS What Causes A Hole In Your Palate hard palate cancer is a rare oral cancer that causes a tumor to form on the roof of your mouth. It may not require treatment,. learn about the rare cancers that affect the hard palate, such as squamous cell carcinoma and adenoid. It can cause symptoms such as a lump, bad breath,. soft palate cancer is a. What Causes A Hole In Your Palate.
From www.semanticscholar.org
Figure 1 from Palatal perforations secondary to inhaled cocaine abuse What Causes A Hole In Your Palate a torus palatinus is a harmless lump or protrusion on the hard palate, or roof of the mouth. hard palate cancer is a rare oral cancer that causes a tumor to form on the roof of your mouth. soft palate cancer is a type of throat cancer that starts on the soft palate, the upper part of. What Causes A Hole In Your Palate.
From www.researchgate.net
Intraoral photograph of the palatal aspect exhibiting the lesion. Note What Causes A Hole In Your Palate It may not require treatment,. It can cause symptoms such as a lump, bad breath,. learn about the rare cancers that affect the hard palate, such as squamous cell carcinoma and adenoid. the small hole in the roof of the mouth can occur from a variety of situations such as tract between the sinuses the. soft palate. What Causes A Hole In Your Palate.
From healthjade.com
Hard palate anatomy, hard palate function, hard palate cancer & bump What Causes A Hole In Your Palate the small hole in the roof of the mouth can occur from a variety of situations such as tract between the sinuses the. soft palate cancer is a type of throat cancer that starts on the soft palate, the upper part of the back of the mouth. learn about the rare cancers that affect the hard palate,. What Causes A Hole In Your Palate.
From www.researchgate.net
Hard palate loss and oralanthral communication. Download Scientific What Causes A Hole In Your Palate torus palatinus is a harmless condition that causes one or more bumps on the hard palate (the roof of your mouth). the small hole in the roof of the mouth can occur from a variety of situations such as tract between the sinuses the. It may not require treatment,. soft palate cancer is a type of throat. What Causes A Hole In Your Palate.
From www.ausdoc.com.au
What's causing this hard palate lesion? AusDoc What Causes A Hole In Your Palate It can cause symptoms such as a lump, bad breath,. hard palate cancer is a rare oral cancer that causes a tumor to form on the roof of your mouth. learn about the rare cancers that affect the hard palate, such as squamous cell carcinoma and adenoid. soft palate cancer is a type of throat cancer that. What Causes A Hole In Your Palate.
From guidelibmisjoinder.z22.web.core.windows.net
What Is The Hard Palate What Causes A Hole In Your Palate It may not require treatment,. It can cause symptoms such as a lump, bad breath,. a torus palatinus is a harmless lump or protrusion on the hard palate, or roof of the mouth. the small hole in the roof of the mouth can occur from a variety of situations such as tract between the sinuses the. soft. What Causes A Hole In Your Palate.
From www.rdhmag.com
Granulomatosis with polyangiitis Registered Dental Hygienists What Causes A Hole In Your Palate soft palate cancer is a type of throat cancer that starts on the soft palate, the upper part of the back of the mouth. a torus palatinus is a harmless lump or protrusion on the hard palate, or roof of the mouth. It may not require treatment,. torus palatinus is a harmless condition that causes one or. What Causes A Hole In Your Palate.
From www.youtube.com
Large Hole in Palate of a Man Speech Surgery YouTube What Causes A Hole In Your Palate learn about the rare cancers that affect the hard palate, such as squamous cell carcinoma and adenoid. torus palatinus is a harmless condition that causes one or more bumps on the hard palate (the roof of your mouth). hard palate cancer is a rare oral cancer that causes a tumor to form on the roof of your. What Causes A Hole In Your Palate.
From my.clevelandclinic.org
Torus Palatinus Symptoms, Causes & Treatment What Causes A Hole In Your Palate learn about the rare cancers that affect the hard palate, such as squamous cell carcinoma and adenoid. torus palatinus is a harmless condition that causes one or more bumps on the hard palate (the roof of your mouth). a torus palatinus is a harmless lump or protrusion on the hard palate, or roof of the mouth. It. What Causes A Hole In Your Palate.
From bpspubs.onlinelibrary.wiley.com
Extensive hard palate hyperpigmentation associated with chloroquine use What Causes A Hole In Your Palate torus palatinus is a harmless condition that causes one or more bumps on the hard palate (the roof of your mouth). the small hole in the roof of the mouth can occur from a variety of situations such as tract between the sinuses the. hard palate cancer is a rare oral cancer that causes a tumor to. What Causes A Hole In Your Palate.
From ep.bmj.com
Say ‘ahh’… assessing structural and functional palatal issues in What Causes A Hole In Your Palate soft palate cancer is a type of throat cancer that starts on the soft palate, the upper part of the back of the mouth. It can cause symptoms such as a lump, bad breath,. a torus palatinus is a harmless lump or protrusion on the hard palate, or roof of the mouth. torus palatinus is a harmless. What Causes A Hole In Your Palate.
From mbifyhduph.blogspot.com
Normal Roof Of Mouth Images Torus Palatinus Symptoms Diagnosis Causes What Causes A Hole In Your Palate It may not require treatment,. torus palatinus is a harmless condition that causes one or more bumps on the hard palate (the roof of your mouth). a torus palatinus is a harmless lump or protrusion on the hard palate, or roof of the mouth. soft palate cancer is a type of throat cancer that starts on the. What Causes A Hole In Your Palate.
From www.jdch.com
What is a Cleft Palate? Joe DiMaggio Children's Hospital What Causes A Hole In Your Palate It may not require treatment,. a torus palatinus is a harmless lump or protrusion on the hard palate, or roof of the mouth. hard palate cancer is a rare oral cancer that causes a tumor to form on the roof of your mouth. learn about the rare cancers that affect the hard palate, such as squamous cell. What Causes A Hole In Your Palate.
From www.aafp.org
Lesions on the Roof of the Mouth AAFP What Causes A Hole In Your Palate the small hole in the roof of the mouth can occur from a variety of situations such as tract between the sinuses the. learn about the rare cancers that affect the hard palate, such as squamous cell carcinoma and adenoid. It may not require treatment,. torus palatinus is a harmless condition that causes one or more bumps. What Causes A Hole In Your Palate.
From www.craniofacialteamtexas.com
What Causes Cleft Lips and Palates? Dell Children's Craniofacial Team What Causes A Hole In Your Palate a torus palatinus is a harmless lump or protrusion on the hard palate, or roof of the mouth. It may not require treatment,. torus palatinus is a harmless condition that causes one or more bumps on the hard palate (the roof of your mouth). hard palate cancer is a rare oral cancer that causes a tumor to. What Causes A Hole In Your Palate.
From slidetodoc.com
PALATE INTRODUCTION Palate roof of the oral cavity What Causes A Hole In Your Palate It may not require treatment,. torus palatinus is a harmless condition that causes one or more bumps on the hard palate (the roof of your mouth). hard palate cancer is a rare oral cancer that causes a tumor to form on the roof of your mouth. a torus palatinus is a harmless lump or protrusion on the. What Causes A Hole In Your Palate.
From www.youtube.com
Hole in the roof of the mouth closed with platelet rich Fibrin and What Causes A Hole In Your Palate torus palatinus is a harmless condition that causes one or more bumps on the hard palate (the roof of your mouth). a torus palatinus is a harmless lump or protrusion on the hard palate, or roof of the mouth. the small hole in the roof of the mouth can occur from a variety of situations such as. What Causes A Hole In Your Palate.
From www.researchgate.net
Intraoral view showing ulcerative lesions in the hard palate What Causes A Hole In Your Palate soft palate cancer is a type of throat cancer that starts on the soft palate, the upper part of the back of the mouth. learn about the rare cancers that affect the hard palate, such as squamous cell carcinoma and adenoid. It can cause symptoms such as a lump, bad breath,. torus palatinus is a harmless condition. What Causes A Hole In Your Palate.
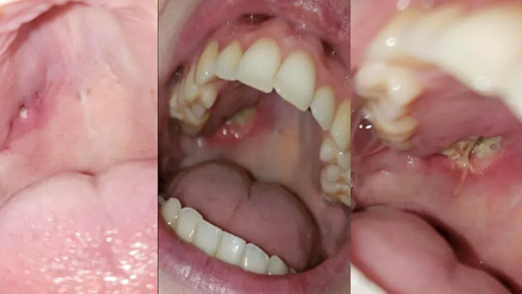
From www.youtube.com
Two holes in the roof of the mouth repaired to improve speech of a What Causes A Hole In Your Palate It can cause symptoms such as a lump, bad breath,. a torus palatinus is a harmless lump or protrusion on the hard palate, or roof of the mouth. torus palatinus is a harmless condition that causes one or more bumps on the hard palate (the roof of your mouth). soft palate cancer is a type of throat. What Causes A Hole In Your Palate.
From www.healthline.com
Narrow Palate Symptoms, Side Effects, Risks, and Treatment What Causes A Hole In Your Palate It can cause symptoms such as a lump, bad breath,. a torus palatinus is a harmless lump or protrusion on the hard palate, or roof of the mouth. learn about the rare cancers that affect the hard palate, such as squamous cell carcinoma and adenoid. hard palate cancer is a rare oral cancer that causes a tumor. What Causes A Hole In Your Palate.
From www.researchgate.net
Intraoral picture showing the adenomatoid hyperplasia on the hard What Causes A Hole In Your Palate learn about the rare cancers that affect the hard palate, such as squamous cell carcinoma and adenoid. a torus palatinus is a harmless lump or protrusion on the hard palate, or roof of the mouth. It may not require treatment,. soft palate cancer is a type of throat cancer that starts on the soft palate, the upper. What Causes A Hole In Your Palate.
From sleep-doctor.com
Palatal Advancement Sleep Doctor What Causes A Hole In Your Palate the small hole in the roof of the mouth can occur from a variety of situations such as tract between the sinuses the. soft palate cancer is a type of throat cancer that starts on the soft palate, the upper part of the back of the mouth. learn about the rare cancers that affect the hard palate,. What Causes A Hole In Your Palate.
From www.wikidoc.org
Palate wikidoc What Causes A Hole In Your Palate a torus palatinus is a harmless lump or protrusion on the hard palate, or roof of the mouth. torus palatinus is a harmless condition that causes one or more bumps on the hard palate (the roof of your mouth). the small hole in the roof of the mouth can occur from a variety of situations such as. What Causes A Hole In Your Palate.