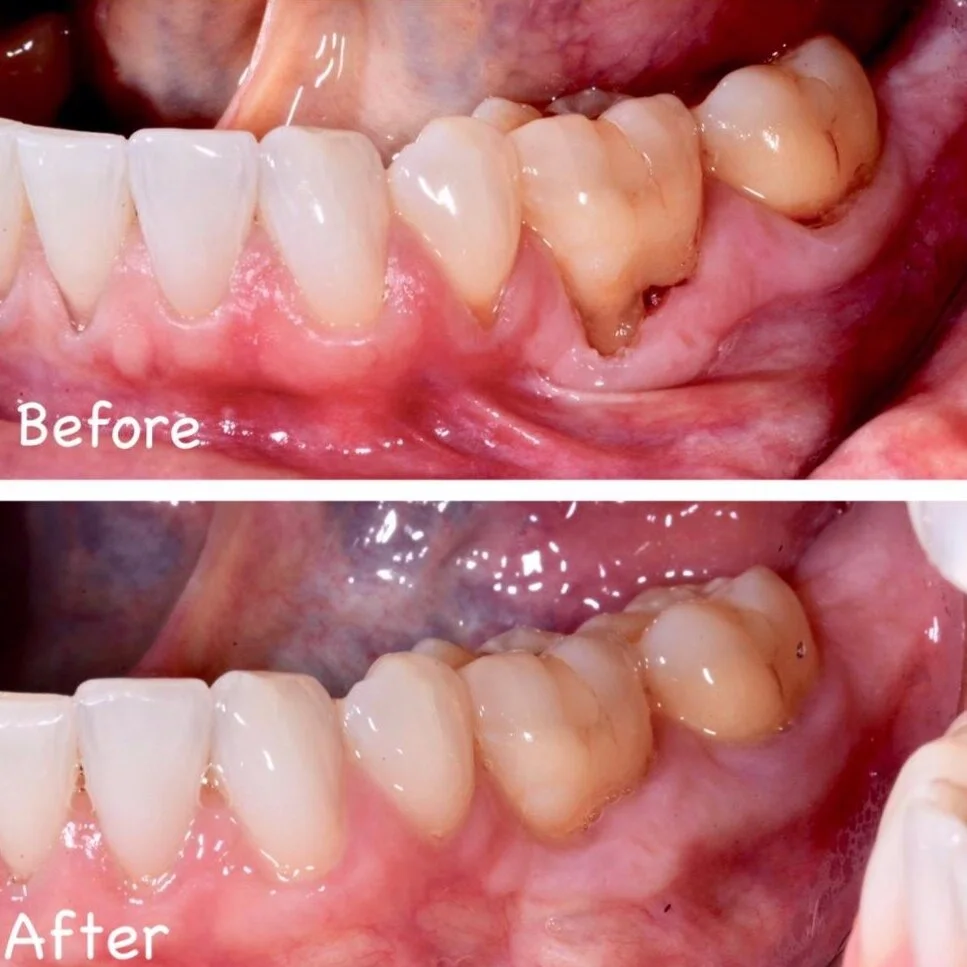
Dental Pinhole Surgery . Enter the pinhole surgical technique (pst), a minimally invasive treatment option to reverse gingival recession without grafting or sutures. Find out how it works, as well as its advantages and disadvantages. Pinhole gum surgery, also known as the pinhole surgical technique (pst), is a dental procedure used to treat gum recession. Luckily, there’s an approach called the pinhole surgical technique (pst™) that offers a less invasive way to. Learn the pros, cons, and what to expect. The pinhole surgical technique, also known as pst or pinhole gum rejuvenation was developed as a minimally invasive alternative. The goal of pinhole gum surgery is to improve the appearance of your gums by correcting gum recession (the movement of your gums away from your teeth, exposing the tooth root). What is pst (also referred to as the lunchtime gum lift or pinhole gum rejuvenation)? Pinhole gum surgery is a treatment option that can help to treat a receding gumline. As our gums pull away from our teeth, it affects both our smile and oral health.
from www.fujinakaperio.com
Enter the pinhole surgical technique (pst), a minimally invasive treatment option to reverse gingival recession without grafting or sutures. Find out how it works, as well as its advantages and disadvantages. The pinhole surgical technique, also known as pst or pinhole gum rejuvenation was developed as a minimally invasive alternative. Pinhole gum surgery is a treatment option that can help to treat a receding gumline. The goal of pinhole gum surgery is to improve the appearance of your gums by correcting gum recession (the movement of your gums away from your teeth, exposing the tooth root). What is pst (also referred to as the lunchtime gum lift or pinhole gum rejuvenation)? Luckily, there’s an approach called the pinhole surgical technique (pst™) that offers a less invasive way to. Pinhole gum surgery, also known as the pinhole surgical technique (pst), is a dental procedure used to treat gum recession. Learn the pros, cons, and what to expect. As our gums pull away from our teeth, it affects both our smile and oral health.
Pinhole Procedure Oakland CA, Glenn M. Fujinaka, DDS
Dental Pinhole Surgery Luckily, there’s an approach called the pinhole surgical technique (pst™) that offers a less invasive way to. Enter the pinhole surgical technique (pst), a minimally invasive treatment option to reverse gingival recession without grafting or sutures. Pinhole gum surgery is a treatment option that can help to treat a receding gumline. The goal of pinhole gum surgery is to improve the appearance of your gums by correcting gum recession (the movement of your gums away from your teeth, exposing the tooth root). Pinhole gum surgery, also known as the pinhole surgical technique (pst), is a dental procedure used to treat gum recession. Luckily, there’s an approach called the pinhole surgical technique (pst™) that offers a less invasive way to. Find out how it works, as well as its advantages and disadvantages. What is pst (also referred to as the lunchtime gum lift or pinhole gum rejuvenation)? As our gums pull away from our teeth, it affects both our smile and oral health. The pinhole surgical technique, also known as pst or pinhole gum rejuvenation was developed as a minimally invasive alternative. Learn the pros, cons, and what to expect.
From www.stlawrencedentistry.com
Pinhole Procedure After Care Instructions Dental Pinhole Surgery The goal of pinhole gum surgery is to improve the appearance of your gums by correcting gum recession (the movement of your gums away from your teeth, exposing the tooth root). What is pst (also referred to as the lunchtime gum lift or pinhole gum rejuvenation)? Find out how it works, as well as its advantages and disadvantages. Pinhole gum. Dental Pinhole Surgery.
From www.iriedental.com
Pinhole Surgical Technique New Jersey Irie Dental Associates Dental Pinhole Surgery Enter the pinhole surgical technique (pst), a minimally invasive treatment option to reverse gingival recession without grafting or sutures. The pinhole surgical technique, also known as pst or pinhole gum rejuvenation was developed as a minimally invasive alternative. The goal of pinhole gum surgery is to improve the appearance of your gums by correcting gum recession (the movement of your. Dental Pinhole Surgery.
From merakidentalstudio.com
Pinhole Gum Surgery Meraki Dental Studio Dental Pinhole Surgery The pinhole surgical technique, also known as pst or pinhole gum rejuvenation was developed as a minimally invasive alternative. Find out how it works, as well as its advantages and disadvantages. Luckily, there’s an approach called the pinhole surgical technique (pst™) that offers a less invasive way to. What is pst (also referred to as the lunchtime gum lift or. Dental Pinhole Surgery.
From www.brooklynheightsdental.com
Chao Pinhole® Surgical Technique Brooklyn Heights, NY Dental Pinhole Surgery Luckily, there’s an approach called the pinhole surgical technique (pst™) that offers a less invasive way to. Learn the pros, cons, and what to expect. Find out how it works, as well as its advantages and disadvantages. Enter the pinhole surgical technique (pst), a minimally invasive treatment option to reverse gingival recession without grafting or sutures. Pinhole gum surgery is. Dental Pinhole Surgery.
From www.indyimplants.com
Pinhole Surgical Technique Indianapolis & Fishers, IN Implant Dental Pinhole Surgery What is pst (also referred to as the lunchtime gum lift or pinhole gum rejuvenation)? The goal of pinhole gum surgery is to improve the appearance of your gums by correcting gum recession (the movement of your gums away from your teeth, exposing the tooth root). The pinhole surgical technique, also known as pst or pinhole gum rejuvenation was developed. Dental Pinhole Surgery.
From allaboutyoudentalcare.net
Pinhole Surgery Technique Gum Recession & PST Geneva IL Dentist Dental Pinhole Surgery What is pst (also referred to as the lunchtime gum lift or pinhole gum rejuvenation)? Enter the pinhole surgical technique (pst), a minimally invasive treatment option to reverse gingival recession without grafting or sutures. The goal of pinhole gum surgery is to improve the appearance of your gums by correcting gum recession (the movement of your gums away from your. Dental Pinhole Surgery.
From www.rioranchodentalassociates.com
Chao Pinhole® Surgical Technique Rio Rancho Dental Associates Rio Dental Pinhole Surgery What is pst (also referred to as the lunchtime gum lift or pinhole gum rejuvenation)? Pinhole gum surgery, also known as the pinhole surgical technique (pst), is a dental procedure used to treat gum recession. Luckily, there’s an approach called the pinhole surgical technique (pst™) that offers a less invasive way to. Find out how it works, as well as. Dental Pinhole Surgery.
From www.wenatcheedental.com
Pinhole Surgical Technique — Wenatchee Dental Dental Pinhole Surgery Learn the pros, cons, and what to expect. The goal of pinhole gum surgery is to improve the appearance of your gums by correcting gum recession (the movement of your gums away from your teeth, exposing the tooth root). Pinhole gum surgery, also known as the pinhole surgical technique (pst), is a dental procedure used to treat gum recession. What. Dental Pinhole Surgery.
From www.youtube.com
Pinhole Procedure/ Pinhole Gum Rejuvenation YouTube Dental Pinhole Surgery Enter the pinhole surgical technique (pst), a minimally invasive treatment option to reverse gingival recession without grafting or sutures. As our gums pull away from our teeth, it affects both our smile and oral health. Luckily, there’s an approach called the pinhole surgical technique (pst™) that offers a less invasive way to. Pinhole gum surgery is a treatment option that. Dental Pinhole Surgery.
From pinholesurgicaltechnique.com
Pinhole Gum Rejuvenation® Dental Gum Restoration in Alhambra, CA Dental Pinhole Surgery As our gums pull away from our teeth, it affects both our smile and oral health. Enter the pinhole surgical technique (pst), a minimally invasive treatment option to reverse gingival recession without grafting or sutures. Luckily, there’s an approach called the pinhole surgical technique (pst™) that offers a less invasive way to. Pinhole gum surgery, also known as the pinhole. Dental Pinhole Surgery.
From alhambradental.com
Pinhole® Surgical Technique Alhambra Dental Dental Pinhole Surgery As our gums pull away from our teeth, it affects both our smile and oral health. Find out how it works, as well as its advantages and disadvantages. Luckily, there’s an approach called the pinhole surgical technique (pst™) that offers a less invasive way to. Pinhole gum surgery is a treatment option that can help to treat a receding gumline.. Dental Pinhole Surgery.
From www.rosemeadedental.com
Chao Pinhole Surgical Technique Carrollton, TX Gum Disease Oral Health Dental Pinhole Surgery Enter the pinhole surgical technique (pst), a minimally invasive treatment option to reverse gingival recession without grafting or sutures. As our gums pull away from our teeth, it affects both our smile and oral health. Learn the pros, cons, and what to expect. Pinhole gum surgery is a treatment option that can help to treat a receding gumline. Luckily, there’s. Dental Pinhole Surgery.
From www.implantperiospecialist.com
Pinhole Surgical Technique Vancouver Burnaby, Gum Recession Treatment Dental Pinhole Surgery Luckily, there’s an approach called the pinhole surgical technique (pst™) that offers a less invasive way to. Pinhole gum surgery is a treatment option that can help to treat a receding gumline. What is pst (also referred to as the lunchtime gum lift or pinhole gum rejuvenation)? Find out how it works, as well as its advantages and disadvantages. The. Dental Pinhole Surgery.
From www.associatesofdentalarts.com
Receding Gums? Associates of Dental Arts Has the Answer Pinhole Dental Pinhole Surgery The pinhole surgical technique, also known as pst or pinhole gum rejuvenation was developed as a minimally invasive alternative. Find out how it works, as well as its advantages and disadvantages. The goal of pinhole gum surgery is to improve the appearance of your gums by correcting gum recession (the movement of your gums away from your teeth, exposing the. Dental Pinhole Surgery.
From www.drmayadental.com
Pinhole Surgery Dr Maya Dental Clinic Dental Pinhole Surgery The goal of pinhole gum surgery is to improve the appearance of your gums by correcting gum recession (the movement of your gums away from your teeth, exposing the tooth root). Pinhole gum surgery is a treatment option that can help to treat a receding gumline. Learn the pros, cons, and what to expect. Pinhole gum surgery, also known as. Dental Pinhole Surgery.
From www.wenatcheedental.com
Pinhole Surgical Technique — Wenatchee Dental Dental Pinhole Surgery Pinhole gum surgery, also known as the pinhole surgical technique (pst), is a dental procedure used to treat gum recession. The goal of pinhole gum surgery is to improve the appearance of your gums by correcting gum recession (the movement of your gums away from your teeth, exposing the tooth root). Enter the pinhole surgical technique (pst), a minimally invasive. Dental Pinhole Surgery.
From www.youtube.com
Chao Pinhole Gum Rejuvenation Chao Pinhole Surgical Technique YouTube Dental Pinhole Surgery Find out how it works, as well as its advantages and disadvantages. As our gums pull away from our teeth, it affects both our smile and oral health. Luckily, there’s an approach called the pinhole surgical technique (pst™) that offers a less invasive way to. Pinhole gum surgery, also known as the pinhole surgical technique (pst), is a dental procedure. Dental Pinhole Surgery.
From pinholesurgicaltechnique.com
Pinhole Gum Rejuvenation® Dental Gum Restoration in Alhambra, CA Dental Pinhole Surgery As our gums pull away from our teeth, it affects both our smile and oral health. Enter the pinhole surgical technique (pst), a minimally invasive treatment option to reverse gingival recession without grafting or sutures. The pinhole surgical technique, also known as pst or pinhole gum rejuvenation was developed as a minimally invasive alternative. Find out how it works, as. Dental Pinhole Surgery.
From cascadiadental.com
Why Your Gums Are Receding & What To Do Cascadia Dental Specialists Dental Pinhole Surgery Pinhole gum surgery is a treatment option that can help to treat a receding gumline. Luckily, there’s an approach called the pinhole surgical technique (pst™) that offers a less invasive way to. As our gums pull away from our teeth, it affects both our smile and oral health. Enter the pinhole surgical technique (pst), a minimally invasive treatment option to. Dental Pinhole Surgery.
From allaboutyoudentalcare.net
Pinhole Surgery Technique Gum Recession & PST Geneva IL Dentist Dental Pinhole Surgery Pinhole gum surgery, also known as the pinhole surgical technique (pst), is a dental procedure used to treat gum recession. Pinhole gum surgery is a treatment option that can help to treat a receding gumline. What is pst (also referred to as the lunchtime gum lift or pinhole gum rejuvenation)? The goal of pinhole gum surgery is to improve the. Dental Pinhole Surgery.
From www.nwaperio.com
Pinhole Surgical Technique PST™ Arkansas Periodontal and Implant Dental Pinhole Surgery What is pst (also referred to as the lunchtime gum lift or pinhole gum rejuvenation)? As our gums pull away from our teeth, it affects both our smile and oral health. Pinhole gum surgery is a treatment option that can help to treat a receding gumline. Find out how it works, as well as its advantages and disadvantages. The goal. Dental Pinhole Surgery.
From www.asterfamilydental.com
Pinhole Surgical Technique Aster Family Dental Dental Pinhole Surgery As our gums pull away from our teeth, it affects both our smile and oral health. Luckily, there’s an approach called the pinhole surgical technique (pst™) that offers a less invasive way to. What is pst (also referred to as the lunchtime gum lift or pinhole gum rejuvenation)? Pinhole gum surgery, also known as the pinhole surgical technique (pst), is. Dental Pinhole Surgery.
From www.healthplusdental.ca
Pinhole Gum Surgery Health Plus Dental Calgary Dentist in Midnapore Dental Pinhole Surgery Find out how it works, as well as its advantages and disadvantages. Pinhole gum surgery, also known as the pinhole surgical technique (pst), is a dental procedure used to treat gum recession. As our gums pull away from our teeth, it affects both our smile and oral health. What is pst (also referred to as the lunchtime gum lift or. Dental Pinhole Surgery.
From www.rosemeadedental.com
Chao Pinhole Surgical Technique Carrollton, TX Gum Disease Oral Health Dental Pinhole Surgery Luckily, there’s an approach called the pinhole surgical technique (pst™) that offers a less invasive way to. Enter the pinhole surgical technique (pst), a minimally invasive treatment option to reverse gingival recession without grafting or sutures. Pinhole gum surgery is a treatment option that can help to treat a receding gumline. What is pst (also referred to as the lunchtime. Dental Pinhole Surgery.
From alhambradental.com
Pinhole® Surgical Technique Alhambra Dental Dental Pinhole Surgery Pinhole gum surgery is a treatment option that can help to treat a receding gumline. The goal of pinhole gum surgery is to improve the appearance of your gums by correcting gum recession (the movement of your gums away from your teeth, exposing the tooth root). Pinhole gum surgery, also known as the pinhole surgical technique (pst), is a dental. Dental Pinhole Surgery.
From www.padentalimplants.com
pinhole_before_after_01 PA Dental Implants Dental Pinhole Surgery The goal of pinhole gum surgery is to improve the appearance of your gums by correcting gum recession (the movement of your gums away from your teeth, exposing the tooth root). Enter the pinhole surgical technique (pst), a minimally invasive treatment option to reverse gingival recession without grafting or sutures. What is pst (also referred to as the lunchtime gum. Dental Pinhole Surgery.
From www.anzurperiodontics.com
Pinhole Surgical Technique Periodontal Procedures Dental Pinhole Surgery As our gums pull away from our teeth, it affects both our smile and oral health. Luckily, there’s an approach called the pinhole surgical technique (pst™) that offers a less invasive way to. Enter the pinhole surgical technique (pst), a minimally invasive treatment option to reverse gingival recession without grafting or sutures. The goal of pinhole gum surgery is to. Dental Pinhole Surgery.
From www.fujinakaperio.com
Pinhole Procedure Oakland CA, Glenn M. Fujinaka, DDS Dental Pinhole Surgery What is pst (also referred to as the lunchtime gum lift or pinhole gum rejuvenation)? Pinhole gum surgery, also known as the pinhole surgical technique (pst), is a dental procedure used to treat gum recession. The pinhole surgical technique, also known as pst or pinhole gum rejuvenation was developed as a minimally invasive alternative. As our gums pull away from. Dental Pinhole Surgery.
From www.hbadvanceddentalgroup.com
Advanced Dental Huntington Beach Pinhole Surgical Technique Dental Pinhole Surgery As our gums pull away from our teeth, it affects both our smile and oral health. Luckily, there’s an approach called the pinhole surgical technique (pst™) that offers a less invasive way to. What is pst (also referred to as the lunchtime gum lift or pinhole gum rejuvenation)? The goal of pinhole gum surgery is to improve the appearance of. Dental Pinhole Surgery.
From www.asterfamilydental.com
Pinhole Surgical Technique Aster Family Dental Dental Pinhole Surgery Luckily, there’s an approach called the pinhole surgical technique (pst™) that offers a less invasive way to. Learn the pros, cons, and what to expect. Enter the pinhole surgical technique (pst), a minimally invasive treatment option to reverse gingival recession without grafting or sutures. Pinhole gum surgery, also known as the pinhole surgical technique (pst), is a dental procedure used. Dental Pinhole Surgery.
From www.beverlyhillsladentist.com
Beverly Hills Receding Gums Treatment Pinhole Surgical Technique Los Dental Pinhole Surgery The pinhole surgical technique, also known as pst or pinhole gum rejuvenation was developed as a minimally invasive alternative. The goal of pinhole gum surgery is to improve the appearance of your gums by correcting gum recession (the movement of your gums away from your teeth, exposing the tooth root). Pinhole gum surgery, also known as the pinhole surgical technique. Dental Pinhole Surgery.
From allaboutyoudentalcare.net
Pinhole Surgery Technique Gum Recession & PST Geneva IL Dentist Dental Pinhole Surgery Pinhole gum surgery, also known as the pinhole surgical technique (pst), is a dental procedure used to treat gum recession. As our gums pull away from our teeth, it affects both our smile and oral health. What is pst (also referred to as the lunchtime gum lift or pinhole gum rejuvenation)? Pinhole gum surgery is a treatment option that can. Dental Pinhole Surgery.
From paradisedentalllc.com
Pinhole Surgical Technique Periodontics Paradise Dental Associates Dental Pinhole Surgery The pinhole surgical technique, also known as pst or pinhole gum rejuvenation was developed as a minimally invasive alternative. What is pst (also referred to as the lunchtime gum lift or pinhole gum rejuvenation)? The goal of pinhole gum surgery is to improve the appearance of your gums by correcting gum recession (the movement of your gums away from your. Dental Pinhole Surgery.
From drjohnharman.com
Pinhole Surgical Technique Dr. John Harman Dental Care Dental Pinhole Surgery The goal of pinhole gum surgery is to improve the appearance of your gums by correcting gum recession (the movement of your gums away from your teeth, exposing the tooth root). Find out how it works, as well as its advantages and disadvantages. Pinhole gum surgery is a treatment option that can help to treat a receding gumline. Luckily, there’s. Dental Pinhole Surgery.
From uptowndentalassociates.com
Chao Pinhole® Surgical Technique Uptown Dental Dental Pinhole Surgery Learn the pros, cons, and what to expect. Enter the pinhole surgical technique (pst), a minimally invasive treatment option to reverse gingival recession without grafting or sutures. The pinhole surgical technique, also known as pst or pinhole gum rejuvenation was developed as a minimally invasive alternative. Luckily, there’s an approach called the pinhole surgical technique (pst™) that offers a less. Dental Pinhole Surgery.