Spindle Cell Fibrosarcoma . Spindle cell sarcoma is an extremely rare bone cancer. A spindle cell sarcoma is a soft tissue tumor that originates in a bone. Spindle cell sarcoma is a rare form of bone cancer or soft tissue cancer. Spindle cell tumor and spindle cell sarcoma are descriptive names used when tumor cells look long and narrow under the microscope. What is spindle cell sarcoma?
from www.researchgate.net
What is spindle cell sarcoma? Spindle cell sarcoma is an extremely rare bone cancer. A spindle cell sarcoma is a soft tissue tumor that originates in a bone. Spindle cell sarcoma is a rare form of bone cancer or soft tissue cancer. Spindle cell tumor and spindle cell sarcoma are descriptive names used when tumor cells look long and narrow under the microscope.
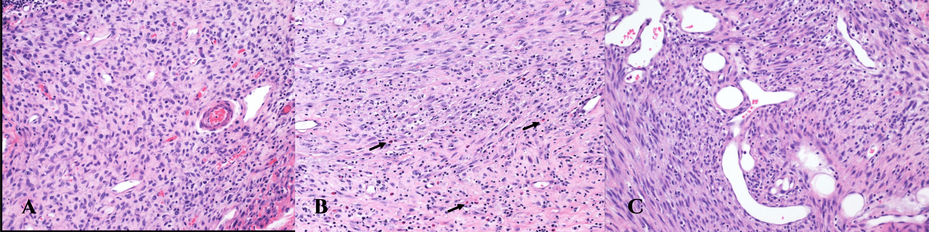
Histologic features of 4 additional pediatric spindle cell
Spindle Cell Fibrosarcoma A spindle cell sarcoma is a soft tissue tumor that originates in a bone. Spindle cell tumor and spindle cell sarcoma are descriptive names used when tumor cells look long and narrow under the microscope. A spindle cell sarcoma is a soft tissue tumor that originates in a bone. Spindle cell sarcoma is an extremely rare bone cancer. What is spindle cell sarcoma? Spindle cell sarcoma is a rare form of bone cancer or soft tissue cancer.
From www.researchgate.net
Histopathologic section of showing fascicles of Spindle Cell Fibrosarcoma Spindle cell tumor and spindle cell sarcoma are descriptive names used when tumor cells look long and narrow under the microscope. Spindle cell sarcoma is a rare form of bone cancer or soft tissue cancer. Spindle cell sarcoma is an extremely rare bone cancer. What is spindle cell sarcoma? A spindle cell sarcoma is a soft tissue tumor that originates. Spindle Cell Fibrosarcoma.
From www.researchgate.net
A) A well differentiated from a rat. (H&E, bar = 100 µm Spindle Cell Fibrosarcoma Spindle cell tumor and spindle cell sarcoma are descriptive names used when tumor cells look long and narrow under the microscope. What is spindle cell sarcoma? Spindle cell sarcoma is an extremely rare bone cancer. Spindle cell sarcoma is a rare form of bone cancer or soft tissue cancer. A spindle cell sarcoma is a soft tissue tumor that originates. Spindle Cell Fibrosarcoma.
From www.researchgate.net
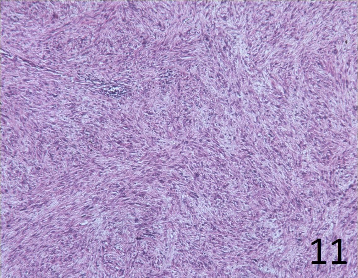
a Solitary fibrous tumor (SFT) composed of short spindle cells with a Spindle Cell Fibrosarcoma Spindle cell tumor and spindle cell sarcoma are descriptive names used when tumor cells look long and narrow under the microscope. Spindle cell sarcoma is a rare form of bone cancer or soft tissue cancer. A spindle cell sarcoma is a soft tissue tumor that originates in a bone. What is spindle cell sarcoma? Spindle cell sarcoma is an extremely. Spindle Cell Fibrosarcoma.
From www.researchgate.net
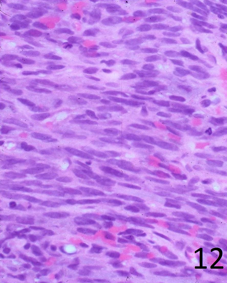
immature fibroblasts and atypical spindle cells, a Spindle Cell Fibrosarcoma Spindle cell sarcoma is an extremely rare bone cancer. Spindle cell sarcoma is a rare form of bone cancer or soft tissue cancer. Spindle cell tumor and spindle cell sarcoma are descriptive names used when tumor cells look long and narrow under the microscope. What is spindle cell sarcoma? A spindle cell sarcoma is a soft tissue tumor that originates. Spindle Cell Fibrosarcoma.
From basicmedicalkey.com
Malignant Solitary Fibrous Tumor Basicmedical Key Spindle Cell Fibrosarcoma What is spindle cell sarcoma? Spindle cell tumor and spindle cell sarcoma are descriptive names used when tumor cells look long and narrow under the microscope. Spindle cell sarcoma is a rare form of bone cancer or soft tissue cancer. Spindle cell sarcoma is an extremely rare bone cancer. A spindle cell sarcoma is a soft tissue tumor that originates. Spindle Cell Fibrosarcoma.
From www.researchgate.net
Spindleshaped fibroblast cells arranged in intersected Spindle Cell Fibrosarcoma A spindle cell sarcoma is a soft tissue tumor that originates in a bone. Spindle cell tumor and spindle cell sarcoma are descriptive names used when tumor cells look long and narrow under the microscope. What is spindle cell sarcoma? Spindle cell sarcoma is an extremely rare bone cancer. Spindle cell sarcoma is a rare form of bone cancer or. Spindle Cell Fibrosarcoma.
From www.researchgate.net
Spindle cell pattern of the HE Spindle Cell Fibrosarcoma Spindle cell sarcoma is a rare form of bone cancer or soft tissue cancer. A spindle cell sarcoma is a soft tissue tumor that originates in a bone. Spindle cell sarcoma is an extremely rare bone cancer. Spindle cell tumor and spindle cell sarcoma are descriptive names used when tumor cells look long and narrow under the microscope. What is. Spindle Cell Fibrosarcoma.
From www.researchgate.net
protuberans. (A) Spindle cell tumor surrounding Spindle Cell Fibrosarcoma Spindle cell tumor and spindle cell sarcoma are descriptive names used when tumor cells look long and narrow under the microscope. A spindle cell sarcoma is a soft tissue tumor that originates in a bone. Spindle cell sarcoma is a rare form of bone cancer or soft tissue cancer. What is spindle cell sarcoma? Spindle cell sarcoma is an extremely. Spindle Cell Fibrosarcoma.
From www.researchgate.net
Histologic features of 4 additional pediatric spindle cell Spindle Cell Fibrosarcoma What is spindle cell sarcoma? Spindle cell sarcoma is an extremely rare bone cancer. A spindle cell sarcoma is a soft tissue tumor that originates in a bone. Spindle cell sarcoma is a rare form of bone cancer or soft tissue cancer. Spindle cell tumor and spindle cell sarcoma are descriptive names used when tumor cells look long and narrow. Spindle Cell Fibrosarcoma.
From www.spandidos-publications.com
Spindle cell with KIAA1549‑BRAF resembling infantile Spindle Cell Fibrosarcoma Spindle cell tumor and spindle cell sarcoma are descriptive names used when tumor cells look long and narrow under the microscope. Spindle cell sarcoma is an extremely rare bone cancer. A spindle cell sarcoma is a soft tissue tumor that originates in a bone. What is spindle cell sarcoma? Spindle cell sarcoma is a rare form of bone cancer or. Spindle Cell Fibrosarcoma.
From www.researchgate.net
Spindle cell resembling monophasic fibrous type of synovial Spindle Cell Fibrosarcoma What is spindle cell sarcoma? A spindle cell sarcoma is a soft tissue tumor that originates in a bone. Spindle cell tumor and spindle cell sarcoma are descriptive names used when tumor cells look long and narrow under the microscope. Spindle cell sarcoma is an extremely rare bone cancer. Spindle cell sarcoma is a rare form of bone cancer or. Spindle Cell Fibrosarcoma.
From tumorsurgery.org
Page Management Spindle Cell Fibrosarcoma What is spindle cell sarcoma? A spindle cell sarcoma is a soft tissue tumor that originates in a bone. Spindle cell sarcoma is a rare form of bone cancer or soft tissue cancer. Spindle cell sarcoma is an extremely rare bone cancer. Spindle cell tumor and spindle cell sarcoma are descriptive names used when tumor cells look long and narrow. Spindle Cell Fibrosarcoma.
From www.researchgate.net
HPE show cellular spindle shaped cells with tumour cells forming Spindle Cell Fibrosarcoma A spindle cell sarcoma is a soft tissue tumor that originates in a bone. Spindle cell sarcoma is a rare form of bone cancer or soft tissue cancer. What is spindle cell sarcoma? Spindle cell tumor and spindle cell sarcoma are descriptive names used when tumor cells look long and narrow under the microscope. Spindle cell sarcoma is an extremely. Spindle Cell Fibrosarcoma.
From www.moffitt.org
Spindle Cell Moffitt Spindle Cell Fibrosarcoma A spindle cell sarcoma is a soft tissue tumor that originates in a bone. Spindle cell sarcoma is a rare form of bone cancer or soft tissue cancer. Spindle cell sarcoma is an extremely rare bone cancer. Spindle cell tumor and spindle cell sarcoma are descriptive names used when tumor cells look long and narrow under the microscope. What is. Spindle Cell Fibrosarcoma.
From www.researchgate.net
H&E stain showing spindle cell neoplasm consistent with low grade Spindle Cell Fibrosarcoma A spindle cell sarcoma is a soft tissue tumor that originates in a bone. Spindle cell sarcoma is a rare form of bone cancer or soft tissue cancer. Spindle cell sarcoma is an extremely rare bone cancer. Spindle cell tumor and spindle cell sarcoma are descriptive names used when tumor cells look long and narrow under the microscope. What is. Spindle Cell Fibrosarcoma.
From www.researchgate.net
Portions of the tumor show atypical spindleshaped cells arranged in Spindle Cell Fibrosarcoma Spindle cell tumor and spindle cell sarcoma are descriptive names used when tumor cells look long and narrow under the microscope. What is spindle cell sarcoma? Spindle cell sarcoma is an extremely rare bone cancer. Spindle cell sarcoma is a rare form of bone cancer or soft tissue cancer. A spindle cell sarcoma is a soft tissue tumor that originates. Spindle Cell Fibrosarcoma.
From www.researchgate.net
Spindle cell pattern of the HE Spindle Cell Fibrosarcoma A spindle cell sarcoma is a soft tissue tumor that originates in a bone. Spindle cell sarcoma is a rare form of bone cancer or soft tissue cancer. Spindle cell tumor and spindle cell sarcoma are descriptive names used when tumor cells look long and narrow under the microscope. What is spindle cell sarcoma? Spindle cell sarcoma is an extremely. Spindle Cell Fibrosarcoma.
From eclinpath.com
Mesenchymal tumors eClinpath Spindle Cell Fibrosarcoma Spindle cell sarcoma is an extremely rare bone cancer. Spindle cell tumor and spindle cell sarcoma are descriptive names used when tumor cells look long and narrow under the microscope. What is spindle cell sarcoma? A spindle cell sarcoma is a soft tissue tumor that originates in a bone. Spindle cell sarcoma is a rare form of bone cancer or. Spindle Cell Fibrosarcoma.
From www.researchgate.net
Photomicrograph of showing spindle cells in interwoven Spindle Cell Fibrosarcoma A spindle cell sarcoma is a soft tissue tumor that originates in a bone. Spindle cell sarcoma is a rare form of bone cancer or soft tissue cancer. Spindle cell sarcoma is an extremely rare bone cancer. Spindle cell tumor and spindle cell sarcoma are descriptive names used when tumor cells look long and narrow under the microscope. What is. Spindle Cell Fibrosarcoma.
From www.researchgate.net
Microscopic examinations of the The mass is composed of Spindle Cell Fibrosarcoma Spindle cell sarcoma is a rare form of bone cancer or soft tissue cancer. What is spindle cell sarcoma? Spindle cell sarcoma is an extremely rare bone cancer. Spindle cell tumor and spindle cell sarcoma are descriptive names used when tumor cells look long and narrow under the microscope. A spindle cell sarcoma is a soft tissue tumor that originates. Spindle Cell Fibrosarcoma.
From ar.inspiredpencil.com
Histology Spindle Cell Fibrosarcoma A spindle cell sarcoma is a soft tissue tumor that originates in a bone. Spindle cell sarcoma is an extremely rare bone cancer. Spindle cell tumor and spindle cell sarcoma are descriptive names used when tumor cells look long and narrow under the microscope. Spindle cell sarcoma is a rare form of bone cancer or soft tissue cancer. What is. Spindle Cell Fibrosarcoma.
From www.cureus.com
KIAA1549BRAF Gene Fusion Spindle Cell With Infantile Spindle Cell Fibrosarcoma Spindle cell sarcoma is a rare form of bone cancer or soft tissue cancer. Spindle cell tumor and spindle cell sarcoma are descriptive names used when tumor cells look long and narrow under the microscope. What is spindle cell sarcoma? Spindle cell sarcoma is an extremely rare bone cancer. A spindle cell sarcoma is a soft tissue tumor that originates. Spindle Cell Fibrosarcoma.
From www.researchgate.net
Meningeal (spindle cell in the dorsal cerebellum Spindle Cell Fibrosarcoma Spindle cell tumor and spindle cell sarcoma are descriptive names used when tumor cells look long and narrow under the microscope. Spindle cell sarcoma is an extremely rare bone cancer. A spindle cell sarcoma is a soft tissue tumor that originates in a bone. What is spindle cell sarcoma? Spindle cell sarcoma is a rare form of bone cancer or. Spindle Cell Fibrosarcoma.
From www.researchgate.net
Bland spindle cells with a herringbone pattern, Haematoxylin and Eosin Spindle Cell Fibrosarcoma What is spindle cell sarcoma? Spindle cell sarcoma is an extremely rare bone cancer. Spindle cell sarcoma is a rare form of bone cancer or soft tissue cancer. Spindle cell tumor and spindle cell sarcoma are descriptive names used when tumor cells look long and narrow under the microscope. A spindle cell sarcoma is a soft tissue tumor that originates. Spindle Cell Fibrosarcoma.
From www.pathologyoutlines.com
Pathology Outlines of bone Spindle Cell Fibrosarcoma Spindle cell tumor and spindle cell sarcoma are descriptive names used when tumor cells look long and narrow under the microscope. A spindle cell sarcoma is a soft tissue tumor that originates in a bone. Spindle cell sarcoma is a rare form of bone cancer or soft tissue cancer. What is spindle cell sarcoma? Spindle cell sarcoma is an extremely. Spindle Cell Fibrosarcoma.
From www.researchgate.net
Spindle cell pattern of the HE Spindle Cell Fibrosarcoma Spindle cell sarcoma is an extremely rare bone cancer. Spindle cell sarcoma is a rare form of bone cancer or soft tissue cancer. A spindle cell sarcoma is a soft tissue tumor that originates in a bone. Spindle cell tumor and spindle cell sarcoma are descriptive names used when tumor cells look long and narrow under the microscope. What is. Spindle Cell Fibrosarcoma.
From www.researchgate.net
Pathology slides a Spindled pleomorphic cells of Spindle Cell Fibrosarcoma Spindle cell tumor and spindle cell sarcoma are descriptive names used when tumor cells look long and narrow under the microscope. Spindle cell sarcoma is an extremely rare bone cancer. Spindle cell sarcoma is a rare form of bone cancer or soft tissue cancer. What is spindle cell sarcoma? A spindle cell sarcoma is a soft tissue tumor that originates. Spindle Cell Fibrosarcoma.
From www.cureus.com
KIAA1549BRAF Gene Fusion Spindle Cell With Infantile Spindle Cell Fibrosarcoma What is spindle cell sarcoma? Spindle cell sarcoma is an extremely rare bone cancer. A spindle cell sarcoma is a soft tissue tumor that originates in a bone. Spindle cell sarcoma is a rare form of bone cancer or soft tissue cancer. Spindle cell tumor and spindle cell sarcoma are descriptive names used when tumor cells look long and narrow. Spindle Cell Fibrosarcoma.
From eclinpath.com
eClinpath Spindle Cell Fibrosarcoma What is spindle cell sarcoma? A spindle cell sarcoma is a soft tissue tumor that originates in a bone. Spindle cell sarcoma is a rare form of bone cancer or soft tissue cancer. Spindle cell tumor and spindle cell sarcoma are descriptive names used when tumor cells look long and narrow under the microscope. Spindle cell sarcoma is an extremely. Spindle Cell Fibrosarcoma.
From pathology.or.jp
18.Soft tissue Core Pictures Spindle Cell Fibrosarcoma Spindle cell tumor and spindle cell sarcoma are descriptive names used when tumor cells look long and narrow under the microscope. Spindle cell sarcoma is an extremely rare bone cancer. What is spindle cell sarcoma? A spindle cell sarcoma is a soft tissue tumor that originates in a bone. Spindle cell sarcoma is a rare form of bone cancer or. Spindle Cell Fibrosarcoma.
From www.researchgate.net
A H&E staining ×200 magnification showing Monomorphic Spindle Cell Spindle Cell Fibrosarcoma Spindle cell sarcoma is an extremely rare bone cancer. Spindle cell tumor and spindle cell sarcoma are descriptive names used when tumor cells look long and narrow under the microscope. Spindle cell sarcoma is a rare form of bone cancer or soft tissue cancer. A spindle cell sarcoma is a soft tissue tumor that originates in a bone. What is. Spindle Cell Fibrosarcoma.
From www.researchgate.net
Spindle cell (A) Some tumors like this spindle cell Spindle Cell Fibrosarcoma Spindle cell tumor and spindle cell sarcoma are descriptive names used when tumor cells look long and narrow under the microscope. A spindle cell sarcoma is a soft tissue tumor that originates in a bone. Spindle cell sarcoma is a rare form of bone cancer or soft tissue cancer. What is spindle cell sarcoma? Spindle cell sarcoma is an extremely. Spindle Cell Fibrosarcoma.
From www.pathologyoutlines.com
Pathology Outlines Spindle Cell Fibrosarcoma Spindle cell sarcoma is an extremely rare bone cancer. Spindle cell sarcoma is a rare form of bone cancer or soft tissue cancer. Spindle cell tumor and spindle cell sarcoma are descriptive names used when tumor cells look long and narrow under the microscope. A spindle cell sarcoma is a soft tissue tumor that originates in a bone. What is. Spindle Cell Fibrosarcoma.
From tumorsurgery.org
Page Management Spindle Cell Fibrosarcoma A spindle cell sarcoma is a soft tissue tumor that originates in a bone. What is spindle cell sarcoma? Spindle cell sarcoma is a rare form of bone cancer or soft tissue cancer. Spindle cell tumor and spindle cell sarcoma are descriptive names used when tumor cells look long and narrow under the microscope. Spindle cell sarcoma is an extremely. Spindle Cell Fibrosarcoma.
From www.researchgate.net
in subcutis. Composed of spindleshaped cells arranged in Spindle Cell Fibrosarcoma What is spindle cell sarcoma? Spindle cell sarcoma is a rare form of bone cancer or soft tissue cancer. Spindle cell tumor and spindle cell sarcoma are descriptive names used when tumor cells look long and narrow under the microscope. Spindle cell sarcoma is an extremely rare bone cancer. A spindle cell sarcoma is a soft tissue tumor that originates. Spindle Cell Fibrosarcoma.