Dental Code For Strip Crowns . D2390 is the dental code for a restoration that covers an entire anterior tooth and is made of a resin. wing images intended to display the crowns and roots of all teeth, periapical areas and alveolar bone. There are four cdt codes published in the cdt 2023 manual that address surface restorations involving. what dental code is d2390? the ada council on dental benefit programs is proceeding with a new project to review and enhance the code on dental.
from pocketdentistry.com
There are four cdt codes published in the cdt 2023 manual that address surface restorations involving. wing images intended to display the crowns and roots of all teeth, periapical areas and alveolar bone. the ada council on dental benefit programs is proceeding with a new project to review and enhance the code on dental. what dental code is d2390? D2390 is the dental code for a restoration that covers an entire anterior tooth and is made of a resin.
Primary incisor restoration Pocket Dentistry
Dental Code For Strip Crowns wing images intended to display the crowns and roots of all teeth, periapical areas and alveolar bone. the ada council on dental benefit programs is proceeding with a new project to review and enhance the code on dental. There are four cdt codes published in the cdt 2023 manual that address surface restorations involving. wing images intended to display the crowns and roots of all teeth, periapical areas and alveolar bone. what dental code is d2390? D2390 is the dental code for a restoration that covers an entire anterior tooth and is made of a resin.
From www.slideshare.net
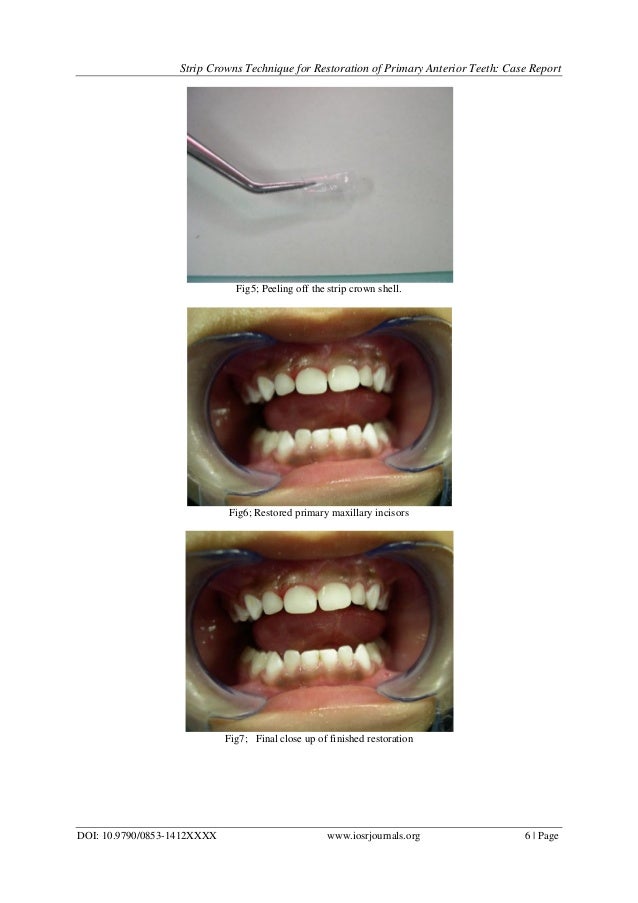
Strip Crowns Technique for Restoration of Primary Anterior Teeth Cas… Dental Code For Strip Crowns D2390 is the dental code for a restoration that covers an entire anterior tooth and is made of a resin. what dental code is d2390? wing images intended to display the crowns and roots of all teeth, periapical areas and alveolar bone. There are four cdt codes published in the cdt 2023 manual that address surface restorations involving.. Dental Code For Strip Crowns.
From www.pinterest.com
CDT Code For Dental Crown Dental crowns, Dental, Dental procedures Dental Code For Strip Crowns what dental code is d2390? the ada council on dental benefit programs is proceeding with a new project to review and enhance the code on dental. D2390 is the dental code for a restoration that covers an entire anterior tooth and is made of a resin. wing images intended to display the crowns and roots of all. Dental Code For Strip Crowns.
From www.dentalcarereport.com
Patient's Guide To Dental Crowns What You Need To Know Dental Care Report Dental Code For Strip Crowns wing images intended to display the crowns and roots of all teeth, periapical areas and alveolar bone. D2390 is the dental code for a restoration that covers an entire anterior tooth and is made of a resin. the ada council on dental benefit programs is proceeding with a new project to review and enhance the code on dental.. Dental Code For Strip Crowns.
From www.slideshare.net
Strip Crowns Technique for Restoration of Primary Anterior Teeth Cas… Dental Code For Strip Crowns the ada council on dental benefit programs is proceeding with a new project to review and enhance the code on dental. what dental code is d2390? D2390 is the dental code for a restoration that covers an entire anterior tooth and is made of a resin. There are four cdt codes published in the cdt 2023 manual that. Dental Code For Strip Crowns.
From techistniche.wordpress.com
Placing Strip Crowns A Guide Fascinating Tech Dental Code For Strip Crowns There are four cdt codes published in the cdt 2023 manual that address surface restorations involving. wing images intended to display the crowns and roots of all teeth, periapical areas and alveolar bone. the ada council on dental benefit programs is proceeding with a new project to review and enhance the code on dental. what dental code. Dental Code For Strip Crowns.
From www.pulpdent.com
Heroic Dentistry Severe Autism, Rampant Caries, Strip Crowns and ACTIVA BioACTIVERESTORATIVE Dental Code For Strip Crowns There are four cdt codes published in the cdt 2023 manual that address surface restorations involving. wing images intended to display the crowns and roots of all teeth, periapical areas and alveolar bone. D2390 is the dental code for a restoration that covers an entire anterior tooth and is made of a resin. what dental code is d2390?. Dental Code For Strip Crowns.
From mariposapediatricdentist.com
Santa Maria Pediatric Dental Crowns White Anterior Crowns Dental Code For Strip Crowns There are four cdt codes published in the cdt 2023 manual that address surface restorations involving. D2390 is the dental code for a restoration that covers an entire anterior tooth and is made of a resin. wing images intended to display the crowns and roots of all teeth, periapical areas and alveolar bone. the ada council on dental. Dental Code For Strip Crowns.
From www.pulpdent.com
Direct From The Operatory Strip Crowns and ACTIVA KIDS PULPDENT Dental Code For Strip Crowns what dental code is d2390? wing images intended to display the crowns and roots of all teeth, periapical areas and alveolar bone. the ada council on dental benefit programs is proceeding with a new project to review and enhance the code on dental. D2390 is the dental code for a restoration that covers an entire anterior tooth. Dental Code For Strip Crowns.
From www.semanticscholar.org
[PDF] Bonded resin composite strip crowns for primary incisors clinical tips for a successful Dental Code For Strip Crowns There are four cdt codes published in the cdt 2023 manual that address surface restorations involving. wing images intended to display the crowns and roots of all teeth, periapical areas and alveolar bone. D2390 is the dental code for a restoration that covers an entire anterior tooth and is made of a resin. the ada council on dental. Dental Code For Strip Crowns.
From oakstonedental.com.au
5 important things you should know about Dental Crown Procedure Dental Code For Strip Crowns the ada council on dental benefit programs is proceeding with a new project to review and enhance the code on dental. D2390 is the dental code for a restoration that covers an entire anterior tooth and is made of a resin. There are four cdt codes published in the cdt 2023 manual that address surface restorations involving. what. Dental Code For Strip Crowns.
From www.youtube.com
Sessions with the Experts 01 Strip Crowns HD YouTube Dental Code For Strip Crowns D2390 is the dental code for a restoration that covers an entire anterior tooth and is made of a resin. There are four cdt codes published in the cdt 2023 manual that address surface restorations involving. wing images intended to display the crowns and roots of all teeth, periapical areas and alveolar bone. the ada council on dental. Dental Code For Strip Crowns.
From www.odontovida.com
Celluloid Strip Crown for Primary Anterior Tooth Restoration Step by step OdontoVida Dental Code For Strip Crowns what dental code is d2390? D2390 is the dental code for a restoration that covers an entire anterior tooth and is made of a resin. the ada council on dental benefit programs is proceeding with a new project to review and enhance the code on dental. wing images intended to display the crowns and roots of all. Dental Code For Strip Crowns.
From dentowesome.wordpress.com
Composite resin strip crowns Dentowesome Dental Code For Strip Crowns wing images intended to display the crowns and roots of all teeth, periapical areas and alveolar bone. D2390 is the dental code for a restoration that covers an entire anterior tooth and is made of a resin. There are four cdt codes published in the cdt 2023 manual that address surface restorations involving. what dental code is d2390?. Dental Code For Strip Crowns.
From www.outsourcestrategies.com
Understanding CDT Codes for Dental Bridges Dental Code For Strip Crowns There are four cdt codes published in the cdt 2023 manual that address surface restorations involving. D2390 is the dental code for a restoration that covers an entire anterior tooth and is made of a resin. what dental code is d2390? wing images intended to display the crowns and roots of all teeth, periapical areas and alveolar bone.. Dental Code For Strip Crowns.
From www.youtube.com
3M Strip Crowns Easy & Fast pinkblue YouTube Dental Code For Strip Crowns the ada council on dental benefit programs is proceeding with a new project to review and enhance the code on dental. D2390 is the dental code for a restoration that covers an entire anterior tooth and is made of a resin. what dental code is d2390? There are four cdt codes published in the cdt 2023 manual that. Dental Code For Strip Crowns.
From www.dentistryiq.com
Heroic pediatric dentistry Strip crowns for Leigh Dentistry IQ Dental Code For Strip Crowns There are four cdt codes published in the cdt 2023 manual that address surface restorations involving. the ada council on dental benefit programs is proceeding with a new project to review and enhance the code on dental. wing images intended to display the crowns and roots of all teeth, periapical areas and alveolar bone. D2390 is the dental. Dental Code For Strip Crowns.
From www.researchgate.net
Intraoral photographs showing the treatment of teeth no. 52, 51, 61,... Download Scientific Dental Code For Strip Crowns the ada council on dental benefit programs is proceeding with a new project to review and enhance the code on dental. what dental code is d2390? D2390 is the dental code for a restoration that covers an entire anterior tooth and is made of a resin. wing images intended to display the crowns and roots of all. Dental Code For Strip Crowns.
From www.dentallaboratorio.com
Crowns Matrices Matrix View Cost, Unique Dental Collections Dental Code For Strip Crowns what dental code is d2390? the ada council on dental benefit programs is proceeding with a new project to review and enhance the code on dental. wing images intended to display the crowns and roots of all teeth, periapical areas and alveolar bone. D2390 is the dental code for a restoration that covers an entire anterior tooth. Dental Code For Strip Crowns.
From www.aliexpress.com
Dental Kids Strip Teeth Crown Formpedo Child Crowns Anterior Transparent Orthodontic Dental Code For Strip Crowns D2390 is the dental code for a restoration that covers an entire anterior tooth and is made of a resin. what dental code is d2390? There are four cdt codes published in the cdt 2023 manual that address surface restorations involving. the ada council on dental benefit programs is proceeding with a new project to review and enhance. Dental Code For Strip Crowns.
From www.smlglobal.com
Pediatric Crowns, Adult Crowns, Pedo Crowns SML Dental Code For Strip Crowns what dental code is d2390? There are four cdt codes published in the cdt 2023 manual that address surface restorations involving. wing images intended to display the crowns and roots of all teeth, periapical areas and alveolar bone. the ada council on dental benefit programs is proceeding with a new project to review and enhance the code. Dental Code For Strip Crowns.
From www.scribd.com
Fillings Codes Teeth PDF Tooth Dental Anatomy Dental Code For Strip Crowns the ada council on dental benefit programs is proceeding with a new project to review and enhance the code on dental. what dental code is d2390? wing images intended to display the crowns and roots of all teeth, periapical areas and alveolar bone. There are four cdt codes published in the cdt 2023 manual that address surface. Dental Code For Strip Crowns.
From pulpdent.uk
Direct From The Operatory Strip Crowns and ACTIVA KIDS PULPDENT Dental Code For Strip Crowns There are four cdt codes published in the cdt 2023 manual that address surface restorations involving. wing images intended to display the crowns and roots of all teeth, periapical areas and alveolar bone. D2390 is the dental code for a restoration that covers an entire anterior tooth and is made of a resin. what dental code is d2390?. Dental Code For Strip Crowns.
From jourdaindental.com
Crowns Jourdain Dental Care Calgary, Alberta Family Dentist Dental Code For Strip Crowns the ada council on dental benefit programs is proceeding with a new project to review and enhance the code on dental. D2390 is the dental code for a restoration that covers an entire anterior tooth and is made of a resin. There are four cdt codes published in the cdt 2023 manual that address surface restorations involving. wing. Dental Code For Strip Crowns.
From www.slideshare.net
Strip Crowns Technique for Restoration of Primary Anterior Teeth Cas… Dental Code For Strip Crowns what dental code is d2390? There are four cdt codes published in the cdt 2023 manual that address surface restorations involving. D2390 is the dental code for a restoration that covers an entire anterior tooth and is made of a resin. the ada council on dental benefit programs is proceeding with a new project to review and enhance. Dental Code For Strip Crowns.
From www.pulpdent.com
Heroic Dentistry Severe Autism, Rampant Caries, Strip Crowns and ACTIVA BioACTIVERESTORATIVE Dental Code For Strip Crowns D2390 is the dental code for a restoration that covers an entire anterior tooth and is made of a resin. There are four cdt codes published in the cdt 2023 manual that address surface restorations involving. wing images intended to display the crowns and roots of all teeth, periapical areas and alveolar bone. what dental code is d2390?. Dental Code For Strip Crowns.
From pocketdentistry.com
30 Pediatric Dental Procedures Pocket Dentistry Dental Code For Strip Crowns wing images intended to display the crowns and roots of all teeth, periapical areas and alveolar bone. There are four cdt codes published in the cdt 2023 manual that address surface restorations involving. what dental code is d2390? D2390 is the dental code for a restoration that covers an entire anterior tooth and is made of a resin.. Dental Code For Strip Crowns.
From pedozen.com
ZR01 Part 1 NEED FOR ESTHETIC CROWNS. BRIEF OUTLINE OF THE JOURNEY. STRIP CROWNS & ANTERIOR Dental Code For Strip Crowns wing images intended to display the crowns and roots of all teeth, periapical areas and alveolar bone. D2390 is the dental code for a restoration that covers an entire anterior tooth and is made of a resin. the ada council on dental benefit programs is proceeding with a new project to review and enhance the code on dental.. Dental Code For Strip Crowns.
From galladental.com.my
3M™ Pedodontic Anterior Strip Crown Form Galla Dental Dental Code For Strip Crowns the ada council on dental benefit programs is proceeding with a new project to review and enhance the code on dental. wing images intended to display the crowns and roots of all teeth, periapical areas and alveolar bone. what dental code is d2390? There are four cdt codes published in the cdt 2023 manual that address surface. Dental Code For Strip Crowns.
From radiantdentalcare.in
Strip Crowns Radiant Dental Dental Code For Strip Crowns There are four cdt codes published in the cdt 2023 manual that address surface restorations involving. what dental code is d2390? the ada council on dental benefit programs is proceeding with a new project to review and enhance the code on dental. D2390 is the dental code for a restoration that covers an entire anterior tooth and is. Dental Code For Strip Crowns.
From pocketdentistry.com
Primary incisor restoration Pocket Dentistry Dental Code For Strip Crowns wing images intended to display the crowns and roots of all teeth, periapical areas and alveolar bone. what dental code is d2390? D2390 is the dental code for a restoration that covers an entire anterior tooth and is made of a resin. the ada council on dental benefit programs is proceeding with a new project to review. Dental Code For Strip Crowns.
From www.youtube.com
Celluloid Strip Crown for Primary Anterior Tooth Restoration ǀ Twinky Star VOCO YouTube Dental Code For Strip Crowns There are four cdt codes published in the cdt 2023 manual that address surface restorations involving. D2390 is the dental code for a restoration that covers an entire anterior tooth and is made of a resin. what dental code is d2390? wing images intended to display the crowns and roots of all teeth, periapical areas and alveolar bone.. Dental Code For Strip Crowns.
From www.minalidental.com
Strip Crowns Minali Dental Dental Code For Strip Crowns wing images intended to display the crowns and roots of all teeth, periapical areas and alveolar bone. what dental code is d2390? There are four cdt codes published in the cdt 2023 manual that address surface restorations involving. the ada council on dental benefit programs is proceeding with a new project to review and enhance the code. Dental Code For Strip Crowns.
From www.semanticscholar.org
[PDF] CLINICAL PERFORMANCE OF STRIP CROWNS IN RESTORING PRIMARY INCISORS PRELIMINARY STUDY Dental Code For Strip Crowns There are four cdt codes published in the cdt 2023 manual that address surface restorations involving. D2390 is the dental code for a restoration that covers an entire anterior tooth and is made of a resin. the ada council on dental benefit programs is proceeding with a new project to review and enhance the code on dental. what. Dental Code For Strip Crowns.
From www.youtube.com
Strip crown tutorial part 2 conditioning for GI YouTube Dental Code For Strip Crowns wing images intended to display the crowns and roots of all teeth, periapical areas and alveolar bone. There are four cdt codes published in the cdt 2023 manual that address surface restorations involving. D2390 is the dental code for a restoration that covers an entire anterior tooth and is made of a resin. the ada council on dental. Dental Code For Strip Crowns.
From www.navadha.com
Navadha EnterprisesDental ProductsFrasaco Strip Crowns Dental Code For Strip Crowns There are four cdt codes published in the cdt 2023 manual that address surface restorations involving. the ada council on dental benefit programs is proceeding with a new project to review and enhance the code on dental. wing images intended to display the crowns and roots of all teeth, periapical areas and alveolar bone. what dental code. Dental Code For Strip Crowns.