Radiology Gastric Volvulus . — the various imaging appearances of volvulus of the gastrointestinal tract are described, with. — ménétrier disease is a rare overgrowth of gastric mucus cells and can appear with imaging features similar to. the radiologists were 90% accurate (55/61 with six misclassifications of gastric volvulus as a hiatal hernia for each reader). — gastric volvulus is characterized by rotation of the stomach along its long or short axis leading to. — the stomach is suspended at the esophageal hiatus by four ligaments, namely the gastrohepatic, gastrocolic, gastrosplenic and.
from
the radiologists were 90% accurate (55/61 with six misclassifications of gastric volvulus as a hiatal hernia for each reader). — the stomach is suspended at the esophageal hiatus by four ligaments, namely the gastrohepatic, gastrocolic, gastrosplenic and. — ménétrier disease is a rare overgrowth of gastric mucus cells and can appear with imaging features similar to. — gastric volvulus is characterized by rotation of the stomach along its long or short axis leading to. — the various imaging appearances of volvulus of the gastrointestinal tract are described, with.
Radiology Gastric Volvulus — gastric volvulus is characterized by rotation of the stomach along its long or short axis leading to. — ménétrier disease is a rare overgrowth of gastric mucus cells and can appear with imaging features similar to. — the stomach is suspended at the esophageal hiatus by four ligaments, namely the gastrohepatic, gastrocolic, gastrosplenic and. — gastric volvulus is characterized by rotation of the stomach along its long or short axis leading to. the radiologists were 90% accurate (55/61 with six misclassifications of gastric volvulus as a hiatal hernia for each reader). — the various imaging appearances of volvulus of the gastrointestinal tract are described, with.
From
Radiology Gastric Volvulus — the stomach is suspended at the esophageal hiatus by four ligaments, namely the gastrohepatic, gastrocolic, gastrosplenic and. — the various imaging appearances of volvulus of the gastrointestinal tract are described, with. the radiologists were 90% accurate (55/61 with six misclassifications of gastric volvulus as a hiatal hernia for each reader). — ménétrier disease is a. Radiology Gastric Volvulus.
From
Radiology Gastric Volvulus the radiologists were 90% accurate (55/61 with six misclassifications of gastric volvulus as a hiatal hernia for each reader). — the various imaging appearances of volvulus of the gastrointestinal tract are described, with. — ménétrier disease is a rare overgrowth of gastric mucus cells and can appear with imaging features similar to. — gastric volvulus is. Radiology Gastric Volvulus.
From
Radiology Gastric Volvulus — the stomach is suspended at the esophageal hiatus by four ligaments, namely the gastrohepatic, gastrocolic, gastrosplenic and. — gastric volvulus is characterized by rotation of the stomach along its long or short axis leading to. — the various imaging appearances of volvulus of the gastrointestinal tract are described, with. the radiologists were 90% accurate (55/61. Radiology Gastric Volvulus.
From
Radiology Gastric Volvulus — the various imaging appearances of volvulus of the gastrointestinal tract are described, with. — ménétrier disease is a rare overgrowth of gastric mucus cells and can appear with imaging features similar to. — the stomach is suspended at the esophageal hiatus by four ligaments, namely the gastrohepatic, gastrocolic, gastrosplenic and. — gastric volvulus is characterized. Radiology Gastric Volvulus.
From
Radiology Gastric Volvulus — gastric volvulus is characterized by rotation of the stomach along its long or short axis leading to. the radiologists were 90% accurate (55/61 with six misclassifications of gastric volvulus as a hiatal hernia for each reader). — ménétrier disease is a rare overgrowth of gastric mucus cells and can appear with imaging features similar to. . Radiology Gastric Volvulus.
From
Radiology Gastric Volvulus — the various imaging appearances of volvulus of the gastrointestinal tract are described, with. — gastric volvulus is characterized by rotation of the stomach along its long or short axis leading to. — ménétrier disease is a rare overgrowth of gastric mucus cells and can appear with imaging features similar to. the radiologists were 90% accurate. Radiology Gastric Volvulus.
From
Radiology Gastric Volvulus — ménétrier disease is a rare overgrowth of gastric mucus cells and can appear with imaging features similar to. — the stomach is suspended at the esophageal hiatus by four ligaments, namely the gastrohepatic, gastrocolic, gastrosplenic and. — the various imaging appearances of volvulus of the gastrointestinal tract are described, with. — gastric volvulus is characterized. Radiology Gastric Volvulus.
From
Radiology Gastric Volvulus — gastric volvulus is characterized by rotation of the stomach along its long or short axis leading to. — the various imaging appearances of volvulus of the gastrointestinal tract are described, with. — ménétrier disease is a rare overgrowth of gastric mucus cells and can appear with imaging features similar to. — the stomach is suspended. Radiology Gastric Volvulus.
From
Radiology Gastric Volvulus — gastric volvulus is characterized by rotation of the stomach along its long or short axis leading to. — ménétrier disease is a rare overgrowth of gastric mucus cells and can appear with imaging features similar to. the radiologists were 90% accurate (55/61 with six misclassifications of gastric volvulus as a hiatal hernia for each reader). . Radiology Gastric Volvulus.
From radiopaedia.org
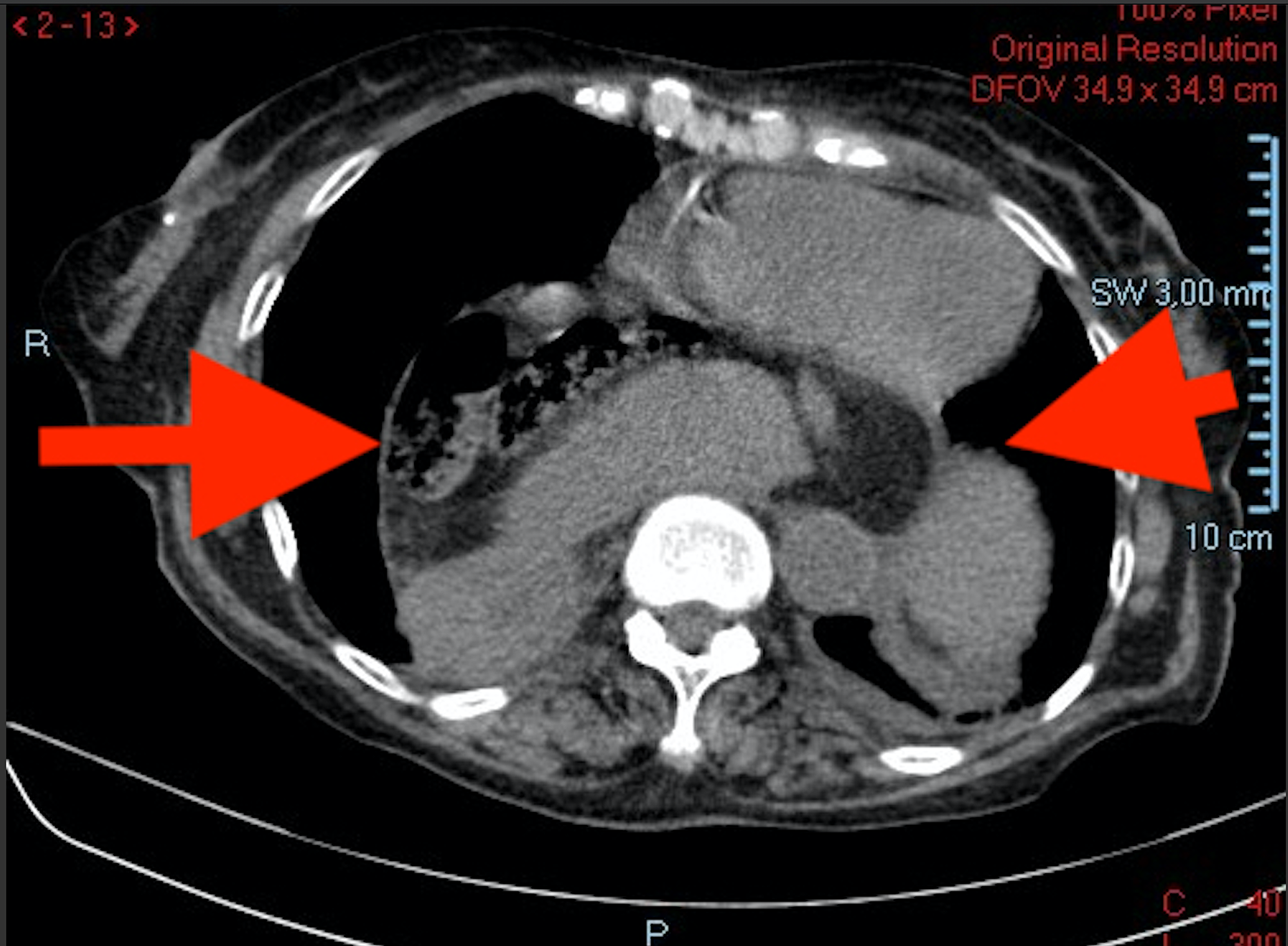
Gastric volvulus with perforation Image Radiology Gastric Volvulus the radiologists were 90% accurate (55/61 with six misclassifications of gastric volvulus as a hiatal hernia for each reader). — gastric volvulus is characterized by rotation of the stomach along its long or short axis leading to. — the stomach is suspended at the esophageal hiatus by four ligaments, namely the gastrohepatic, gastrocolic, gastrosplenic and. —. Radiology Gastric Volvulus.
From www.wikidoc.org
Gastric volvulus wikidoc Radiology Gastric Volvulus — ménétrier disease is a rare overgrowth of gastric mucus cells and can appear with imaging features similar to. — the various imaging appearances of volvulus of the gastrointestinal tract are described, with. — the stomach is suspended at the esophageal hiatus by four ligaments, namely the gastrohepatic, gastrocolic, gastrosplenic and. the radiologists were 90% accurate. Radiology Gastric Volvulus.
From pediatricimaging.org
Pediatric Mesenteroaxial Gastric Volvulus Pediatric Radiology Reference Article Pediatric Radiology Gastric Volvulus — the various imaging appearances of volvulus of the gastrointestinal tract are described, with. — gastric volvulus is characterized by rotation of the stomach along its long or short axis leading to. — ménétrier disease is a rare overgrowth of gastric mucus cells and can appear with imaging features similar to. the radiologists were 90% accurate. Radiology Gastric Volvulus.
From www.cureus.com
Cureus Gastric Volvulus A Multidisciplinary Approach and Conservative Treatment Radiology Gastric Volvulus — the various imaging appearances of volvulus of the gastrointestinal tract are described, with. the radiologists were 90% accurate (55/61 with six misclassifications of gastric volvulus as a hiatal hernia for each reader). — ménétrier disease is a rare overgrowth of gastric mucus cells and can appear with imaging features similar to. — the stomach is. Radiology Gastric Volvulus.
From
Radiology Gastric Volvulus — the various imaging appearances of volvulus of the gastrointestinal tract are described, with. — gastric volvulus is characterized by rotation of the stomach along its long or short axis leading to. the radiologists were 90% accurate (55/61 with six misclassifications of gastric volvulus as a hiatal hernia for each reader). — the stomach is suspended. Radiology Gastric Volvulus.
From www.globalradiologycme.com
Gastric Volvulus Radiology Gastric Volvulus — the various imaging appearances of volvulus of the gastrointestinal tract are described, with. — ménétrier disease is a rare overgrowth of gastric mucus cells and can appear with imaging features similar to. — gastric volvulus is characterized by rotation of the stomach along its long or short axis leading to. — the stomach is suspended. Radiology Gastric Volvulus.
From www.clinicalimaging.org
Radiological features of acute gastric volvulus in adult patients Clinical Imaging Radiology Gastric Volvulus the radiologists were 90% accurate (55/61 with six misclassifications of gastric volvulus as a hiatal hernia for each reader). — gastric volvulus is characterized by rotation of the stomach along its long or short axis leading to. — the various imaging appearances of volvulus of the gastrointestinal tract are described, with. — ménétrier disease is a. Radiology Gastric Volvulus.
From radiopaedia.org
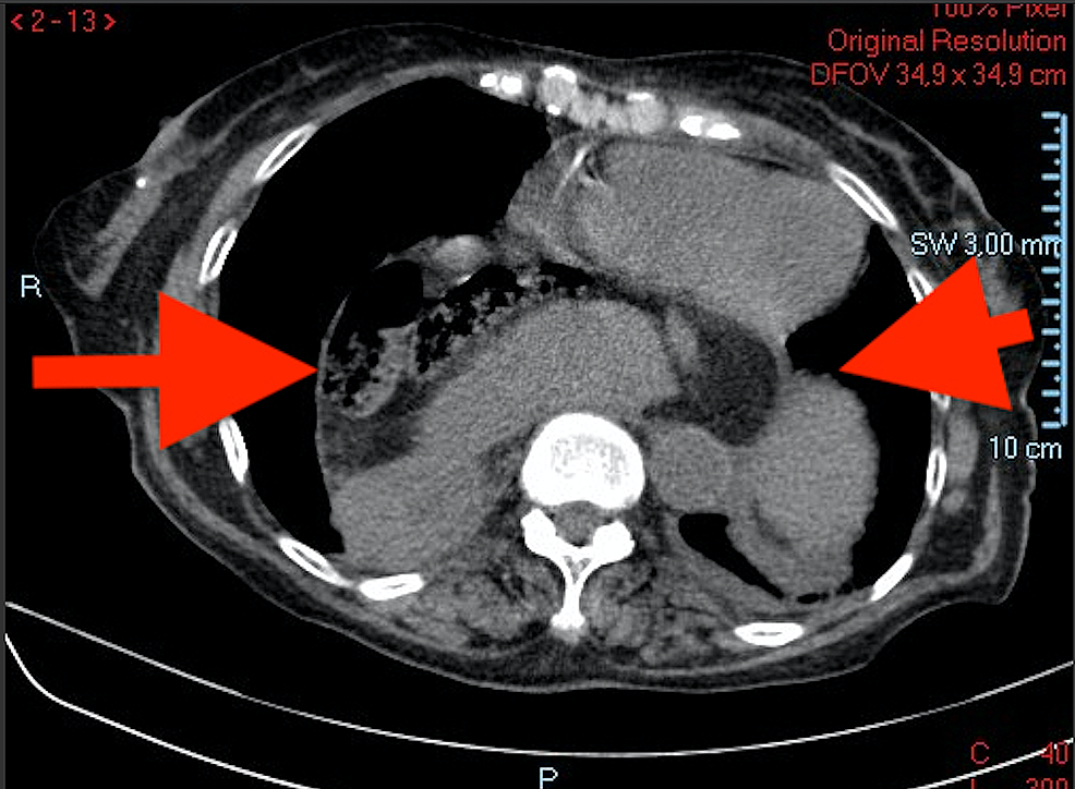
Organoaxial gastric volvulus Image Radiology Gastric Volvulus — the various imaging appearances of volvulus of the gastrointestinal tract are described, with. — the stomach is suspended at the esophageal hiatus by four ligaments, namely the gastrohepatic, gastrocolic, gastrosplenic and. — gastric volvulus is characterized by rotation of the stomach along its long or short axis leading to. the radiologists were 90% accurate (55/61. Radiology Gastric Volvulus.
From pubs.rsna.org
Volvulus of the Gastrointestinal Tract Appearances at Multimodality Imaging RadioGraphics Radiology Gastric Volvulus — the various imaging appearances of volvulus of the gastrointestinal tract are described, with. — the stomach is suspended at the esophageal hiatus by four ligaments, namely the gastrohepatic, gastrocolic, gastrosplenic and. the radiologists were 90% accurate (55/61 with six misclassifications of gastric volvulus as a hiatal hernia for each reader). — ménétrier disease is a. Radiology Gastric Volvulus.
From
Radiology Gastric Volvulus — the stomach is suspended at the esophageal hiatus by four ligaments, namely the gastrohepatic, gastrocolic, gastrosplenic and. — ménétrier disease is a rare overgrowth of gastric mucus cells and can appear with imaging features similar to. the radiologists were 90% accurate (55/61 with six misclassifications of gastric volvulus as a hiatal hernia for each reader). . Radiology Gastric Volvulus.
From
Radiology Gastric Volvulus — gastric volvulus is characterized by rotation of the stomach along its long or short axis leading to. the radiologists were 90% accurate (55/61 with six misclassifications of gastric volvulus as a hiatal hernia for each reader). — ménétrier disease is a rare overgrowth of gastric mucus cells and can appear with imaging features similar to. . Radiology Gastric Volvulus.
From
Radiology Gastric Volvulus — gastric volvulus is characterized by rotation of the stomach along its long or short axis leading to. the radiologists were 90% accurate (55/61 with six misclassifications of gastric volvulus as a hiatal hernia for each reader). — ménétrier disease is a rare overgrowth of gastric mucus cells and can appear with imaging features similar to. . Radiology Gastric Volvulus.
From www.ajronline.org
CT of Gastric Volvulus Interobserver Reliability, Radiologists' Accuracy, and Imaging Findings Radiology Gastric Volvulus — gastric volvulus is characterized by rotation of the stomach along its long or short axis leading to. — ménétrier disease is a rare overgrowth of gastric mucus cells and can appear with imaging features similar to. — the various imaging appearances of volvulus of the gastrointestinal tract are described, with. — the stomach is suspended. Radiology Gastric Volvulus.
From radiologykey.com
81 Organoaxial Gastric Volvulus in a Large Hiatal Hernia Radiology Key Radiology Gastric Volvulus — the stomach is suspended at the esophageal hiatus by four ligaments, namely the gastrohepatic, gastrocolic, gastrosplenic and. — ménétrier disease is a rare overgrowth of gastric mucus cells and can appear with imaging features similar to. the radiologists were 90% accurate (55/61 with six misclassifications of gastric volvulus as a hiatal hernia for each reader). . Radiology Gastric Volvulus.
From pubs.rsna.org
Volvulus of the Gastrointestinal Tract Appearances at Multimodality Imaging RadioGraphics Radiology Gastric Volvulus — the stomach is suspended at the esophageal hiatus by four ligaments, namely the gastrohepatic, gastrocolic, gastrosplenic and. — gastric volvulus is characterized by rotation of the stomach along its long or short axis leading to. — the various imaging appearances of volvulus of the gastrointestinal tract are described, with. — ménétrier disease is a rare. Radiology Gastric Volvulus.
From
Radiology Gastric Volvulus — the stomach is suspended at the esophageal hiatus by four ligaments, namely the gastrohepatic, gastrocolic, gastrosplenic and. — ménétrier disease is a rare overgrowth of gastric mucus cells and can appear with imaging features similar to. — the various imaging appearances of volvulus of the gastrointestinal tract are described, with. — gastric volvulus is characterized. Radiology Gastric Volvulus.
From www.clinicalimaging.org
Radiological features of acute gastric volvulus in adult patients Clinical Imaging Radiology Gastric Volvulus — ménétrier disease is a rare overgrowth of gastric mucus cells and can appear with imaging features similar to. — the various imaging appearances of volvulus of the gastrointestinal tract are described, with. — the stomach is suspended at the esophageal hiatus by four ligaments, namely the gastrohepatic, gastrocolic, gastrosplenic and. — gastric volvulus is characterized. Radiology Gastric Volvulus.
From learningradiology.com
LearningRadiology Gastric Volvulus, Organoaxial, Mesenteroaxial Radiology Gastric Volvulus — the stomach is suspended at the esophageal hiatus by four ligaments, namely the gastrohepatic, gastrocolic, gastrosplenic and. — the various imaging appearances of volvulus of the gastrointestinal tract are described, with. the radiologists were 90% accurate (55/61 with six misclassifications of gastric volvulus as a hiatal hernia for each reader). — ménétrier disease is a. Radiology Gastric Volvulus.
From
Radiology Gastric Volvulus the radiologists were 90% accurate (55/61 with six misclassifications of gastric volvulus as a hiatal hernia for each reader). — ménétrier disease is a rare overgrowth of gastric mucus cells and can appear with imaging features similar to. — the stomach is suspended at the esophageal hiatus by four ligaments, namely the gastrohepatic, gastrocolic, gastrosplenic and. . Radiology Gastric Volvulus.
From radiologykey.com
Gastric Volvulus Radiology Key Radiology Gastric Volvulus the radiologists were 90% accurate (55/61 with six misclassifications of gastric volvulus as a hiatal hernia for each reader). — the various imaging appearances of volvulus of the gastrointestinal tract are described, with. — the stomach is suspended at the esophageal hiatus by four ligaments, namely the gastrohepatic, gastrocolic, gastrosplenic and. — ménétrier disease is a. Radiology Gastric Volvulus.
From
Radiology Gastric Volvulus — ménétrier disease is a rare overgrowth of gastric mucus cells and can appear with imaging features similar to. — the stomach is suspended at the esophageal hiatus by four ligaments, namely the gastrohepatic, gastrocolic, gastrosplenic and. the radiologists were 90% accurate (55/61 with six misclassifications of gastric volvulus as a hiatal hernia for each reader). . Radiology Gastric Volvulus.
From
Radiology Gastric Volvulus — ménétrier disease is a rare overgrowth of gastric mucus cells and can appear with imaging features similar to. — gastric volvulus is characterized by rotation of the stomach along its long or short axis leading to. — the various imaging appearances of volvulus of the gastrointestinal tract are described, with. — the stomach is suspended. Radiology Gastric Volvulus.
From pubs.rsna.org
Volvulus of the Gastrointestinal Tract Appearances at Multimodality Imaging RadioGraphics Radiology Gastric Volvulus — the various imaging appearances of volvulus of the gastrointestinal tract are described, with. — gastric volvulus is characterized by rotation of the stomach along its long or short axis leading to. the radiologists were 90% accurate (55/61 with six misclassifications of gastric volvulus as a hiatal hernia for each reader). — ménétrier disease is a. Radiology Gastric Volvulus.
From www.cureus.com
Cureus A Case of Intermittent OrganoAxial Gastric Volvulus Radiology Gastric Volvulus the radiologists were 90% accurate (55/61 with six misclassifications of gastric volvulus as a hiatal hernia for each reader). — the stomach is suspended at the esophageal hiatus by four ligaments, namely the gastrohepatic, gastrocolic, gastrosplenic and. — ménétrier disease is a rare overgrowth of gastric mucus cells and can appear with imaging features similar to. . Radiology Gastric Volvulus.
From radiopaedia.org
Gastric volvulus Radiology Reference Article Radiology Gastric Volvulus the radiologists were 90% accurate (55/61 with six misclassifications of gastric volvulus as a hiatal hernia for each reader). — ménétrier disease is a rare overgrowth of gastric mucus cells and can appear with imaging features similar to. — the various imaging appearances of volvulus of the gastrointestinal tract are described, with. — the stomach is. Radiology Gastric Volvulus.
From
Radiology Gastric Volvulus — gastric volvulus is characterized by rotation of the stomach along its long or short axis leading to. — the various imaging appearances of volvulus of the gastrointestinal tract are described, with. the radiologists were 90% accurate (55/61 with six misclassifications of gastric volvulus as a hiatal hernia for each reader). — the stomach is suspended. Radiology Gastric Volvulus.