Tracheal Diverticulum Anesthesia . Tracheal diverticulum is a rare and often incidental diagnosis found on chest imaging in an asymptomatic patient with. Tracheal diverticulum (dv) is a type of paratracheal air cyst (ptac) that is often. Tracheal diverticula are rare congenital or acquired abnormalities of the posterior tracheal wall. Tracheal diverticula are extremely rare. This strategy should include risk assessment, planning and preparation. Tracheal extubation requires a clear strategy to avoid complications and keep patients safe.
from www.researchgate.net
Tracheal diverticula are rare congenital or acquired abnormalities of the posterior tracheal wall. Tracheal diverticula are extremely rare. Tracheal extubation requires a clear strategy to avoid complications and keep patients safe. Tracheal diverticulum (dv) is a type of paratracheal air cyst (ptac) that is often. Tracheal diverticulum is a rare and often incidental diagnosis found on chest imaging in an asymptomatic patient with. This strategy should include risk assessment, planning and preparation.
The scheme of simulated positional relationships between tracheal
Tracheal Diverticulum Anesthesia Tracheal diverticulum (dv) is a type of paratracheal air cyst (ptac) that is often. Tracheal diverticula are extremely rare. This strategy should include risk assessment, planning and preparation. Tracheal diverticula are rare congenital or acquired abnormalities of the posterior tracheal wall. Tracheal diverticulum (dv) is a type of paratracheal air cyst (ptac) that is often. Tracheal extubation requires a clear strategy to avoid complications and keep patients safe. Tracheal diverticulum is a rare and often incidental diagnosis found on chest imaging in an asymptomatic patient with.
From www.researchgate.net
(PDF) Positional relationships between a tracheal diverticulum and the Tracheal Diverticulum Anesthesia Tracheal extubation requires a clear strategy to avoid complications and keep patients safe. Tracheal diverticula are extremely rare. Tracheal diverticulum (dv) is a type of paratracheal air cyst (ptac) that is often. This strategy should include risk assessment, planning and preparation. Tracheal diverticula are rare congenital or acquired abnormalities of the posterior tracheal wall. Tracheal diverticulum is a rare and. Tracheal Diverticulum Anesthesia.
From radiopaedia.org
Tracheal diverticulum Image Tracheal Diverticulum Anesthesia Tracheal diverticulum is a rare and often incidental diagnosis found on chest imaging in an asymptomatic patient with. Tracheal diverticula are rare congenital or acquired abnormalities of the posterior tracheal wall. Tracheal extubation requires a clear strategy to avoid complications and keep patients safe. Tracheal diverticula are extremely rare. This strategy should include risk assessment, planning and preparation. Tracheal diverticulum. Tracheal Diverticulum Anesthesia.
From radiopaedia.org
Tracheal diverticulum Image Tracheal Diverticulum Anesthesia Tracheal diverticula are rare congenital or acquired abnormalities of the posterior tracheal wall. Tracheal diverticula are extremely rare. Tracheal diverticulum is a rare and often incidental diagnosis found on chest imaging in an asymptomatic patient with. Tracheal extubation requires a clear strategy to avoid complications and keep patients safe. Tracheal diverticulum (dv) is a type of paratracheal air cyst (ptac). Tracheal Diverticulum Anesthesia.
From www.thoracic.theclinics.com
Anatomy of the Trachea, Carina, and Bronchi Thoracic Surgery Clinics Tracheal Diverticulum Anesthesia Tracheal diverticula are extremely rare. Tracheal diverticulum is a rare and often incidental diagnosis found on chest imaging in an asymptomatic patient with. This strategy should include risk assessment, planning and preparation. Tracheal diverticula are rare congenital or acquired abnormalities of the posterior tracheal wall. Tracheal diverticulum (dv) is a type of paratracheal air cyst (ptac) that is often. Tracheal. Tracheal Diverticulum Anesthesia.
From radiopaedia.org
Tracheal diverticulum Image Tracheal Diverticulum Anesthesia Tracheal diverticulum is a rare and often incidental diagnosis found on chest imaging in an asymptomatic patient with. Tracheal diverticula are rare congenital or acquired abnormalities of the posterior tracheal wall. Tracheal extubation requires a clear strategy to avoid complications and keep patients safe. Tracheal diverticulum (dv) is a type of paratracheal air cyst (ptac) that is often. This strategy. Tracheal Diverticulum Anesthesia.
From www.researchgate.net
(PDF) Positional relationships between a tracheal diverticulum and the Tracheal Diverticulum Anesthesia Tracheal diverticulum is a rare and often incidental diagnosis found on chest imaging in an asymptomatic patient with. Tracheal diverticulum (dv) is a type of paratracheal air cyst (ptac) that is often. Tracheal diverticula are rare congenital or acquired abnormalities of the posterior tracheal wall. Tracheal diverticula are extremely rare. Tracheal extubation requires a clear strategy to avoid complications and. Tracheal Diverticulum Anesthesia.
From www.semanticscholar.org
Figure 2 from Anesthetic Management of Tracheal Resection and Tracheal Diverticulum Anesthesia Tracheal extubation requires a clear strategy to avoid complications and keep patients safe. Tracheal diverticulum (dv) is a type of paratracheal air cyst (ptac) that is often. This strategy should include risk assessment, planning and preparation. Tracheal diverticula are extremely rare. Tracheal diverticulum is a rare and often incidental diagnosis found on chest imaging in an asymptomatic patient with. Tracheal. Tracheal Diverticulum Anesthesia.
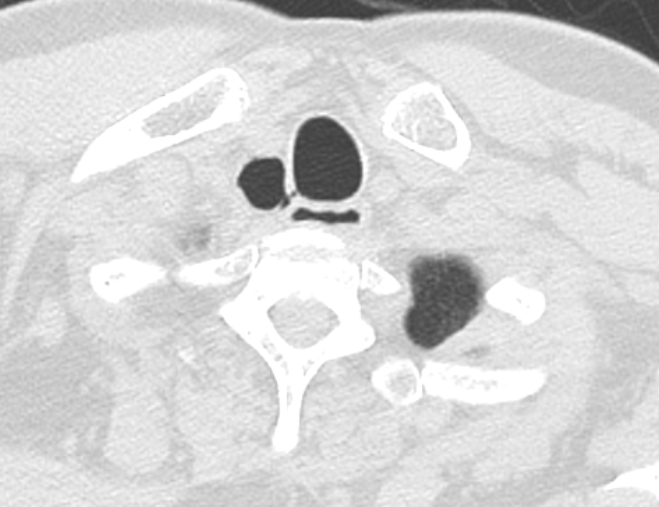
From www.researchgate.net
Axial CT image showing a tracheal diverticulum just behind the upper Tracheal Diverticulum Anesthesia Tracheal diverticula are rare congenital or acquired abnormalities of the posterior tracheal wall. This strategy should include risk assessment, planning and preparation. Tracheal diverticulum is a rare and often incidental diagnosis found on chest imaging in an asymptomatic patient with. Tracheal diverticula are extremely rare. Tracheal extubation requires a clear strategy to avoid complications and keep patients safe. Tracheal diverticulum. Tracheal Diverticulum Anesthesia.
From journals.sagepub.com
Anesthetic management of thoracoscopic pulmonary wedge resection with a Tracheal Diverticulum Anesthesia Tracheal diverticulum is a rare and often incidental diagnosis found on chest imaging in an asymptomatic patient with. Tracheal diverticula are rare congenital or acquired abnormalities of the posterior tracheal wall. Tracheal diverticula are extremely rare. Tracheal diverticulum (dv) is a type of paratracheal air cyst (ptac) that is often. Tracheal extubation requires a clear strategy to avoid complications and. Tracheal Diverticulum Anesthesia.
From www.eurorad.org
Tracheal diverticula Eurorad Tracheal Diverticulum Anesthesia Tracheal extubation requires a clear strategy to avoid complications and keep patients safe. Tracheal diverticula are extremely rare. Tracheal diverticulum (dv) is a type of paratracheal air cyst (ptac) that is often. Tracheal diverticula are rare congenital or acquired abnormalities of the posterior tracheal wall. Tracheal diverticulum is a rare and often incidental diagnosis found on chest imaging in an. Tracheal Diverticulum Anesthesia.
From www.cureus.com
Cureus Chronic Cough Revealing a Tracheal Diverticulum A Case Report Tracheal Diverticulum Anesthesia Tracheal diverticulum (dv) is a type of paratracheal air cyst (ptac) that is often. This strategy should include risk assessment, planning and preparation. Tracheal diverticulum is a rare and often incidental diagnosis found on chest imaging in an asymptomatic patient with. Tracheal diverticula are extremely rare. Tracheal diverticula are rare congenital or acquired abnormalities of the posterior tracheal wall. Tracheal. Tracheal Diverticulum Anesthesia.
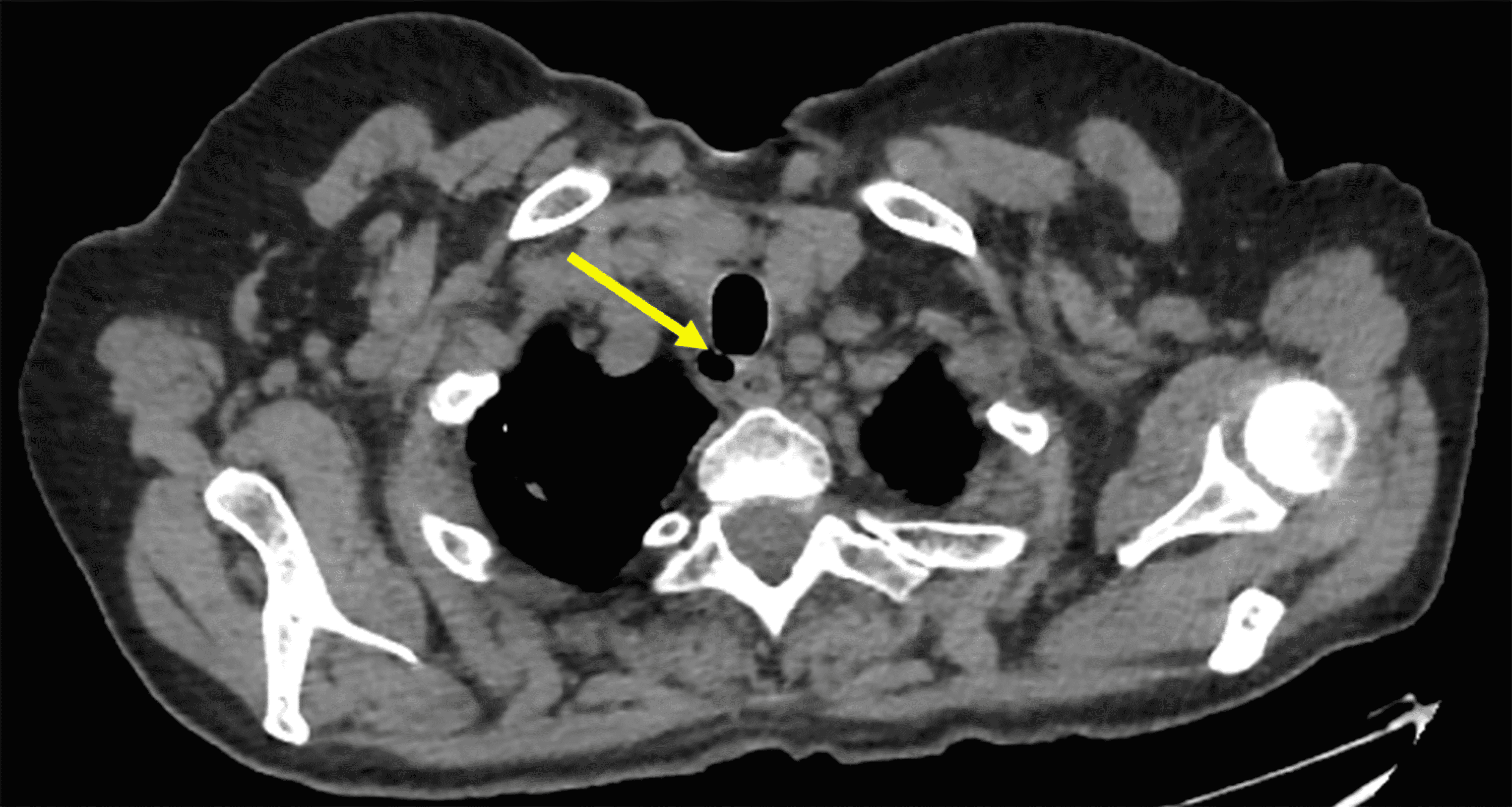
From www.researchgate.net
a Lengths from the vocal cord to the distal end of tracheal diverticula Tracheal Diverticulum Anesthesia This strategy should include risk assessment, planning and preparation. Tracheal diverticulum (dv) is a type of paratracheal air cyst (ptac) that is often. Tracheal diverticula are extremely rare. Tracheal diverticulum is a rare and often incidental diagnosis found on chest imaging in an asymptomatic patient with. Tracheal extubation requires a clear strategy to avoid complications and keep patients safe. Tracheal. Tracheal Diverticulum Anesthesia.
From www.eurorad.org
Tracheal diverticula Eurorad Tracheal Diverticulum Anesthesia Tracheal diverticula are rare congenital or acquired abnormalities of the posterior tracheal wall. This strategy should include risk assessment, planning and preparation. Tracheal diverticula are extremely rare. Tracheal extubation requires a clear strategy to avoid complications and keep patients safe. Tracheal diverticulum (dv) is a type of paratracheal air cyst (ptac) that is often. Tracheal diverticulum is a rare and. Tracheal Diverticulum Anesthesia.
From www.semanticscholar.org
Figure 1 from Surgical Resection of Tracheal Diverticulum with Tracheal Diverticulum Anesthesia Tracheal diverticula are rare congenital or acquired abnormalities of the posterior tracheal wall. Tracheal diverticulum is a rare and often incidental diagnosis found on chest imaging in an asymptomatic patient with. Tracheal diverticula are extremely rare. Tracheal diverticulum (dv) is a type of paratracheal air cyst (ptac) that is often. Tracheal extubation requires a clear strategy to avoid complications and. Tracheal Diverticulum Anesthesia.
From radiopaedia.org
Tracheal diverticulum Image Tracheal Diverticulum Anesthesia Tracheal diverticula are extremely rare. Tracheal diverticula are rare congenital or acquired abnormalities of the posterior tracheal wall. Tracheal diverticulum is a rare and often incidental diagnosis found on chest imaging in an asymptomatic patient with. Tracheal diverticulum (dv) is a type of paratracheal air cyst (ptac) that is often. This strategy should include risk assessment, planning and preparation. Tracheal. Tracheal Diverticulum Anesthesia.
From www.cureus.com
Tracheal Diverticulum Mimicking Pneumomediastinum A Case Report Tracheal Diverticulum Anesthesia Tracheal diverticula are rare congenital or acquired abnormalities of the posterior tracheal wall. This strategy should include risk assessment, planning and preparation. Tracheal extubation requires a clear strategy to avoid complications and keep patients safe. Tracheal diverticulum is a rare and often incidental diagnosis found on chest imaging in an asymptomatic patient with. Tracheal diverticula are extremely rare. Tracheal diverticulum. Tracheal Diverticulum Anesthesia.
From sumerdoc.blogspot.com
Tracheal DiverticulumCT Sumer's Radiology Blog Tracheal Diverticulum Anesthesia Tracheal diverticulum is a rare and often incidental diagnosis found on chest imaging in an asymptomatic patient with. Tracheal diverticulum (dv) is a type of paratracheal air cyst (ptac) that is often. Tracheal diverticula are rare congenital or acquired abnormalities of the posterior tracheal wall. Tracheal extubation requires a clear strategy to avoid complications and keep patients safe. This strategy. Tracheal Diverticulum Anesthesia.
From www.researchgate.net
Step by step of tracheal segmental resection and endtoend anastomosis Tracheal Diverticulum Anesthesia Tracheal diverticulum (dv) is a type of paratracheal air cyst (ptac) that is often. This strategy should include risk assessment, planning and preparation. Tracheal extubation requires a clear strategy to avoid complications and keep patients safe. Tracheal diverticulum is a rare and often incidental diagnosis found on chest imaging in an asymptomatic patient with. Tracheal diverticula are rare congenital or. Tracheal Diverticulum Anesthesia.
From aneskey.com
The Foregut and Chest Anesthesia Key Tracheal Diverticulum Anesthesia Tracheal diverticula are rare congenital or acquired abnormalities of the posterior tracheal wall. Tracheal extubation requires a clear strategy to avoid complications and keep patients safe. Tracheal diverticulum is a rare and often incidental diagnosis found on chest imaging in an asymptomatic patient with. This strategy should include risk assessment, planning and preparation. Tracheal diverticula are extremely rare. Tracheal diverticulum. Tracheal Diverticulum Anesthesia.
From journals.sagepub.com
Anesthetic management of thoracoscopic pulmonary wedge resection with a Tracheal Diverticulum Anesthesia Tracheal diverticula are extremely rare. Tracheal diverticula are rare congenital or acquired abnormalities of the posterior tracheal wall. Tracheal diverticulum (dv) is a type of paratracheal air cyst (ptac) that is often. Tracheal diverticulum is a rare and often incidental diagnosis found on chest imaging in an asymptomatic patient with. This strategy should include risk assessment, planning and preparation. Tracheal. Tracheal Diverticulum Anesthesia.
From www.researchgate.net
Intraoperative view of (A) the tracheal diverticulum (blue arrow) and Tracheal Diverticulum Anesthesia Tracheal extubation requires a clear strategy to avoid complications and keep patients safe. Tracheal diverticula are extremely rare. Tracheal diverticulum (dv) is a type of paratracheal air cyst (ptac) that is often. This strategy should include risk assessment, planning and preparation. Tracheal diverticulum is a rare and often incidental diagnosis found on chest imaging in an asymptomatic patient with. Tracheal. Tracheal Diverticulum Anesthesia.
From www.wikidoc.org
Tracheal diverticulum wikidoc Tracheal Diverticulum Anesthesia Tracheal diverticulum is a rare and often incidental diagnosis found on chest imaging in an asymptomatic patient with. Tracheal diverticula are extremely rare. Tracheal diverticulum (dv) is a type of paratracheal air cyst (ptac) that is often. Tracheal extubation requires a clear strategy to avoid complications and keep patients safe. This strategy should include risk assessment, planning and preparation. Tracheal. Tracheal Diverticulum Anesthesia.
From radiopaedia.org
Tracheal diverticulum Image Tracheal Diverticulum Anesthesia Tracheal diverticulum is a rare and often incidental diagnosis found on chest imaging in an asymptomatic patient with. Tracheal diverticula are extremely rare. Tracheal diverticulum (dv) is a type of paratracheal air cyst (ptac) that is often. Tracheal diverticula are rare congenital or acquired abnormalities of the posterior tracheal wall. This strategy should include risk assessment, planning and preparation. Tracheal. Tracheal Diverticulum Anesthesia.
From www.researchgate.net
(PDF) Anesthetic management of thoracoscopic pulmonary wedge resection Tracheal Diverticulum Anesthesia Tracheal diverticula are rare congenital or acquired abnormalities of the posterior tracheal wall. Tracheal diverticulum is a rare and often incidental diagnosis found on chest imaging in an asymptomatic patient with. Tracheal diverticula are extremely rare. Tracheal diverticulum (dv) is a type of paratracheal air cyst (ptac) that is often. This strategy should include risk assessment, planning and preparation. Tracheal. Tracheal Diverticulum Anesthesia.
From radiopaedia.org
Tracheal diverticulum Image Tracheal Diverticulum Anesthesia Tracheal diverticulum (dv) is a type of paratracheal air cyst (ptac) that is often. This strategy should include risk assessment, planning and preparation. Tracheal extubation requires a clear strategy to avoid complications and keep patients safe. Tracheal diverticulum is a rare and often incidental diagnosis found on chest imaging in an asymptomatic patient with. Tracheal diverticula are rare congenital or. Tracheal Diverticulum Anesthesia.
From www.researchgate.net
(PDF) Posterior Tracheal Diverticulosis Tracheal Diverticulum Anesthesia Tracheal extubation requires a clear strategy to avoid complications and keep patients safe. Tracheal diverticulum (dv) is a type of paratracheal air cyst (ptac) that is often. Tracheal diverticulum is a rare and often incidental diagnosis found on chest imaging in an asymptomatic patient with. Tracheal diverticula are extremely rare. Tracheal diverticula are rare congenital or acquired abnormalities of the. Tracheal Diverticulum Anesthesia.
From radrounds.com
Tracheal Diverticulum radRounds Radiology Network Tracheal Diverticulum Anesthesia Tracheal extubation requires a clear strategy to avoid complications and keep patients safe. Tracheal diverticula are rare congenital or acquired abnormalities of the posterior tracheal wall. Tracheal diverticula are extremely rare. Tracheal diverticulum is a rare and often incidental diagnosis found on chest imaging in an asymptomatic patient with. This strategy should include risk assessment, planning and preparation. Tracheal diverticulum. Tracheal Diverticulum Anesthesia.
From www.jcvaonline.com
Anesthesia for Resection and Reconstruction of the Trachea and Carina Tracheal Diverticulum Anesthesia Tracheal diverticulum (dv) is a type of paratracheal air cyst (ptac) that is often. This strategy should include risk assessment, planning and preparation. Tracheal extubation requires a clear strategy to avoid complications and keep patients safe. Tracheal diverticula are extremely rare. Tracheal diverticulum is a rare and often incidental diagnosis found on chest imaging in an asymptomatic patient with. Tracheal. Tracheal Diverticulum Anesthesia.
From sumerdoc.blogspot.co.uk
Tracheal DiverticulumCT Sumer's Radiology Blog Tracheal Diverticulum Anesthesia Tracheal diverticula are extremely rare. Tracheal diverticula are rare congenital or acquired abnormalities of the posterior tracheal wall. Tracheal diverticulum is a rare and often incidental diagnosis found on chest imaging in an asymptomatic patient with. Tracheal diverticulum (dv) is a type of paratracheal air cyst (ptac) that is often. This strategy should include risk assessment, planning and preparation. Tracheal. Tracheal Diverticulum Anesthesia.
From afmr.org
AFMR Tracheal diverticulumdiagnosis, implications, and treatment Tracheal Diverticulum Anesthesia Tracheal diverticulum is a rare and often incidental diagnosis found on chest imaging in an asymptomatic patient with. Tracheal diverticulum (dv) is a type of paratracheal air cyst (ptac) that is often. Tracheal diverticula are extremely rare. Tracheal extubation requires a clear strategy to avoid complications and keep patients safe. Tracheal diverticula are rare congenital or acquired abnormalities of the. Tracheal Diverticulum Anesthesia.
From radiopaedia.org
Tracheal diverticulum Image Tracheal Diverticulum Anesthesia Tracheal diverticulum (dv) is a type of paratracheal air cyst (ptac) that is often. This strategy should include risk assessment, planning and preparation. Tracheal diverticulum is a rare and often incidental diagnosis found on chest imaging in an asymptomatic patient with. Tracheal diverticula are extremely rare. Tracheal diverticula are rare congenital or acquired abnormalities of the posterior tracheal wall. Tracheal. Tracheal Diverticulum Anesthesia.
From radiopaedia.org
Tracheal diverticulum Image Tracheal Diverticulum Anesthesia Tracheal diverticulum (dv) is a type of paratracheal air cyst (ptac) that is often. Tracheal diverticula are rare congenital or acquired abnormalities of the posterior tracheal wall. This strategy should include risk assessment, planning and preparation. Tracheal extubation requires a clear strategy to avoid complications and keep patients safe. Tracheal diverticula are extremely rare. Tracheal diverticulum is a rare and. Tracheal Diverticulum Anesthesia.
From www.researchgate.net
The scheme of simulated positional relationships between tracheal Tracheal Diverticulum Anesthesia Tracheal diverticulum is a rare and often incidental diagnosis found on chest imaging in an asymptomatic patient with. Tracheal diverticulum (dv) is a type of paratracheal air cyst (ptac) that is often. This strategy should include risk assessment, planning and preparation. Tracheal diverticula are rare congenital or acquired abnormalities of the posterior tracheal wall. Tracheal diverticula are extremely rare. Tracheal. Tracheal Diverticulum Anesthesia.
From journals.sagepub.com
Anesthetic management of thoracoscopic pulmonary wedge resection with a Tracheal Diverticulum Anesthesia Tracheal diverticula are rare congenital or acquired abnormalities of the posterior tracheal wall. Tracheal diverticula are extremely rare. Tracheal extubation requires a clear strategy to avoid complications and keep patients safe. This strategy should include risk assessment, planning and preparation. Tracheal diverticulum (dv) is a type of paratracheal air cyst (ptac) that is often. Tracheal diverticulum is a rare and. Tracheal Diverticulum Anesthesia.
From radiopaedia.org
Image Tracheal Diverticulum Anesthesia Tracheal extubation requires a clear strategy to avoid complications and keep patients safe. Tracheal diverticula are extremely rare. This strategy should include risk assessment, planning and preparation. Tracheal diverticulum (dv) is a type of paratracheal air cyst (ptac) that is often. Tracheal diverticulum is a rare and often incidental diagnosis found on chest imaging in an asymptomatic patient with. Tracheal. Tracheal Diverticulum Anesthesia.