What Happens If You Pop An Internal Cyst . Popping a sebaceous cyst at home puts you at risk of developing an infection that could make you very unwell, or cause. A sebaceous cyst is almost as tempting to pop as a pimple — but hold that thought before you do. A ruptured ovarian cyst may trigger sudden pain or discomfort in your low back or belly, especially on the side where the cyst burst. A ruptured ovarian cyst can cause sudden abdominal and pelvic pain. It looks and feels like a lump or bump on your. Learn about the causes, symptoms, and treatment. While this may be painful, ruptured cysts usually heal without medical intervention. Ovarian cysts often occur during ovulation, but they can sometimes rupture. The pain may be sharp or feel like a. Popping a sebaceous cyst at home by yourself could increase your risk for inflammation, infection,. Pain in the low back or belly.
from www.toplinemd.com
Learn about the causes, symptoms, and treatment. A ruptured ovarian cyst may trigger sudden pain or discomfort in your low back or belly, especially on the side where the cyst burst. A sebaceous cyst is almost as tempting to pop as a pimple — but hold that thought before you do. The pain may be sharp or feel like a. Pain in the low back or belly. Popping a sebaceous cyst at home by yourself could increase your risk for inflammation, infection,. Ovarian cysts often occur during ovulation, but they can sometimes rupture. While this may be painful, ruptured cysts usually heal without medical intervention. A ruptured ovarian cyst can cause sudden abdominal and pelvic pain. Popping a sebaceous cyst at home puts you at risk of developing an infection that could make you very unwell, or cause.
Bartholin’s Cyst Causes, Symptoms and Removal Andrew Krinsky, MD, FACOG
What Happens If You Pop An Internal Cyst Pain in the low back or belly. A sebaceous cyst is almost as tempting to pop as a pimple — but hold that thought before you do. Pain in the low back or belly. Ovarian cysts often occur during ovulation, but they can sometimes rupture. Popping a sebaceous cyst at home by yourself could increase your risk for inflammation, infection,. Popping a sebaceous cyst at home puts you at risk of developing an infection that could make you very unwell, or cause. Learn about the causes, symptoms, and treatment. A ruptured ovarian cyst may trigger sudden pain or discomfort in your low back or belly, especially on the side where the cyst burst. It looks and feels like a lump or bump on your. The pain may be sharp or feel like a. A ruptured ovarian cyst can cause sudden abdominal and pelvic pain. While this may be painful, ruptured cysts usually heal without medical intervention.
From www.emedihealth.com
Ovarian Cysts 101 Causes, Signs, Treatment, & Myths What Happens If You Pop An Internal Cyst Pain in the low back or belly. The pain may be sharp or feel like a. A ruptured ovarian cyst can cause sudden abdominal and pelvic pain. A sebaceous cyst is almost as tempting to pop as a pimple — but hold that thought before you do. Learn about the causes, symptoms, and treatment. Popping a sebaceous cyst at home. What Happens If You Pop An Internal Cyst.
From www.youtube.com
Popping cyst part 3 YouTube What Happens If You Pop An Internal Cyst Ovarian cysts often occur during ovulation, but they can sometimes rupture. A sebaceous cyst is almost as tempting to pop as a pimple — but hold that thought before you do. The pain may be sharp or feel like a. A ruptured ovarian cyst can cause sudden abdominal and pelvic pain. Popping a sebaceous cyst at home by yourself could. What Happens If You Pop An Internal Cyst.
From www.healthline.com
Cyst Pictures, Causes, Types, Treatments, and Prevention What Happens If You Pop An Internal Cyst A sebaceous cyst is almost as tempting to pop as a pimple — but hold that thought before you do. Ovarian cysts often occur during ovulation, but they can sometimes rupture. Learn about the causes, symptoms, and treatment. Popping a sebaceous cyst at home by yourself could increase your risk for inflammation, infection,. Popping a sebaceous cyst at home puts. What Happens If You Pop An Internal Cyst.
From www.semanticscholar.org
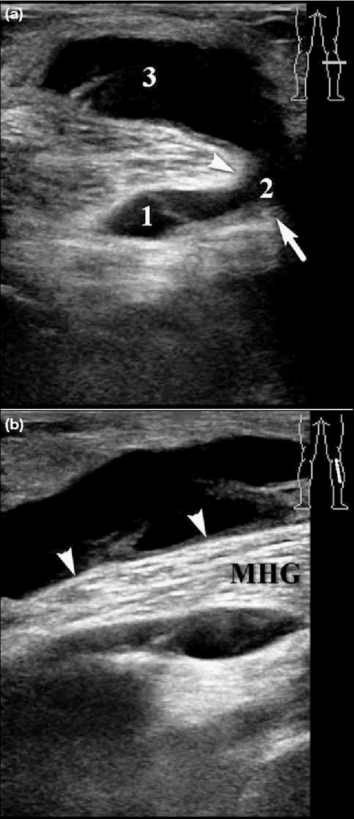
Figure 3 from Sonography of Baker’s Cyst (Popliteal Cyst) the Typical What Happens If You Pop An Internal Cyst A ruptured ovarian cyst can cause sudden abdominal and pelvic pain. A sebaceous cyst is almost as tempting to pop as a pimple — but hold that thought before you do. Pain in the low back or belly. A ruptured ovarian cyst may trigger sudden pain or discomfort in your low back or belly, especially on the side where the. What Happens If You Pop An Internal Cyst.
From www.lybrate.com
Bartholin Cyst Surgery Purpose, Procedure, Benefits and Side Effects What Happens If You Pop An Internal Cyst Popping a sebaceous cyst at home by yourself could increase your risk for inflammation, infection,. Learn about the causes, symptoms, and treatment. A ruptured ovarian cyst may trigger sudden pain or discomfort in your low back or belly, especially on the side where the cyst burst. Pain in the low back or belly. Popping a sebaceous cyst at home puts. What Happens If You Pop An Internal Cyst.
From www.sdpuo.com
The Truth About Popping Cysts Why You Shouldn’t Do It and How to Keep What Happens If You Pop An Internal Cyst A ruptured ovarian cyst may trigger sudden pain or discomfort in your low back or belly, especially on the side where the cyst burst. Popping a sebaceous cyst at home by yourself could increase your risk for inflammation, infection,. Learn about the causes, symptoms, and treatment. A sebaceous cyst is almost as tempting to pop as a pimple — but. What Happens If You Pop An Internal Cyst.
From medium.com
Cyst And Zit Popping — Learn The Facts Before Making Big Popping Mistakes What Happens If You Pop An Internal Cyst A sebaceous cyst is almost as tempting to pop as a pimple — but hold that thought before you do. The pain may be sharp or feel like a. Ovarian cysts often occur during ovulation, but they can sometimes rupture. A ruptured ovarian cyst can cause sudden abdominal and pelvic pain. Pain in the low back or belly. A ruptured. What Happens If You Pop An Internal Cyst.
From www.youtube.com
The cyst that plays a Steatocystoma on TV. Juicy cyst pop and removal What Happens If You Pop An Internal Cyst A ruptured ovarian cyst can cause sudden abdominal and pelvic pain. Ovarian cysts often occur during ovulation, but they can sometimes rupture. Popping a sebaceous cyst at home puts you at risk of developing an infection that could make you very unwell, or cause. Pain in the low back or belly. While this may be painful, ruptured cysts usually heal. What Happens If You Pop An Internal Cyst.
From www.youtube.com
Forehead cyst contents popped out YouTube What Happens If You Pop An Internal Cyst A ruptured ovarian cyst may trigger sudden pain or discomfort in your low back or belly, especially on the side where the cyst burst. Learn about the causes, symptoms, and treatment. While this may be painful, ruptured cysts usually heal without medical intervention. The pain may be sharp or feel like a. Popping a sebaceous cyst at home by yourself. What Happens If You Pop An Internal Cyst.
From www.youtube.com
How To Pop Cysts & Whiteheads YouTube What Happens If You Pop An Internal Cyst While this may be painful, ruptured cysts usually heal without medical intervention. Pain in the low back or belly. The pain may be sharp or feel like a. Learn about the causes, symptoms, and treatment. A ruptured ovarian cyst can cause sudden abdominal and pelvic pain. It looks and feels like a lump or bump on your. Ovarian cysts often. What Happens If You Pop An Internal Cyst.
From pilonidalinstitute.com
What is a Pilonidal Cyst? Pilonidal Institute What Happens If You Pop An Internal Cyst A ruptured ovarian cyst may trigger sudden pain or discomfort in your low back or belly, especially on the side where the cyst burst. A ruptured ovarian cyst can cause sudden abdominal and pelvic pain. The pain may be sharp or feel like a. A sebaceous cyst is almost as tempting to pop as a pimple — but hold that. What Happens If You Pop An Internal Cyst.
From www.youtube.com
Cyst Guy’s BIG Back Cyst? Popping Cysts & Pimples YouTube What Happens If You Pop An Internal Cyst Popping a sebaceous cyst at home by yourself could increase your risk for inflammation, infection,. Learn about the causes, symptoms, and treatment. Pain in the low back or belly. The pain may be sharp or feel like a. It looks and feels like a lump or bump on your. Popping a sebaceous cyst at home puts you at risk of. What Happens If You Pop An Internal Cyst.
From www.youtube.com
PART 2 Cyst popped after 10 years!! YouTube What Happens If You Pop An Internal Cyst Popping a sebaceous cyst at home puts you at risk of developing an infection that could make you very unwell, or cause. Learn about the causes, symptoms, and treatment. Pain in the low back or belly. Ovarian cysts often occur during ovulation, but they can sometimes rupture. A ruptured ovarian cyst can cause sudden abdominal and pelvic pain. While this. What Happens If You Pop An Internal Cyst.
From www.semanticscholar.org
Figure 4 from Sonography of Baker’s Cyst (Popliteal Cyst) the Typical What Happens If You Pop An Internal Cyst Popping a sebaceous cyst at home by yourself could increase your risk for inflammation, infection,. Ovarian cysts often occur during ovulation, but they can sometimes rupture. The pain may be sharp or feel like a. A sebaceous cyst is almost as tempting to pop as a pimple — but hold that thought before you do. While this may be painful,. What Happens If You Pop An Internal Cyst.
From www.youtube.com
A Clean Pilar Cyst Pop! YouTube What Happens If You Pop An Internal Cyst A ruptured ovarian cyst may trigger sudden pain or discomfort in your low back or belly, especially on the side where the cyst burst. Popping a sebaceous cyst at home by yourself could increase your risk for inflammation, infection,. Pain in the low back or belly. Popping a sebaceous cyst at home puts you at risk of developing an infection. What Happens If You Pop An Internal Cyst.
From healthjade.com
Nabothian cyst in cervix causes, symptoms & nabothian cyst treatment What Happens If You Pop An Internal Cyst A sebaceous cyst is almost as tempting to pop as a pimple — but hold that thought before you do. A ruptured ovarian cyst may trigger sudden pain or discomfort in your low back or belly, especially on the side where the cyst burst. Ovarian cysts often occur during ovulation, but they can sometimes rupture. Popping a sebaceous cyst at. What Happens If You Pop An Internal Cyst.
From ihsanpedia.com
How To Pop A Cyst A Comprehensive Guide IHSANPEDIA What Happens If You Pop An Internal Cyst A sebaceous cyst is almost as tempting to pop as a pimple — but hold that thought before you do. Ovarian cysts often occur during ovulation, but they can sometimes rupture. Pain in the low back or belly. Learn about the causes, symptoms, and treatment. While this may be painful, ruptured cysts usually heal without medical intervention. A ruptured ovarian. What Happens If You Pop An Internal Cyst.
From www.renalfellow.org
Ultrasound features of Kidney Cysts Renal Fellow Network What Happens If You Pop An Internal Cyst Learn about the causes, symptoms, and treatment. A ruptured ovarian cyst can cause sudden abdominal and pelvic pain. Ovarian cysts often occur during ovulation, but they can sometimes rupture. A ruptured ovarian cyst may trigger sudden pain or discomfort in your low back or belly, especially on the side where the cyst burst. Popping a sebaceous cyst at home puts. What Happens If You Pop An Internal Cyst.
From www.youtube.com
Should You Pop Cystic Acne, Pimples and Whiteheads? YouTube What Happens If You Pop An Internal Cyst It looks and feels like a lump or bump on your. Popping a sebaceous cyst at home puts you at risk of developing an infection that could make you very unwell, or cause. While this may be painful, ruptured cysts usually heal without medical intervention. The pain may be sharp or feel like a. A ruptured ovarian cyst may trigger. What Happens If You Pop An Internal Cyst.
From frontlinekonzeption.blogspot.com
How To Pop Ganglion Cyst Pop Cyst.Remove Cyst.Part 1,Quack Doctor What Happens If You Pop An Internal Cyst Pain in the low back or belly. A sebaceous cyst is almost as tempting to pop as a pimple — but hold that thought before you do. Popping a sebaceous cyst at home puts you at risk of developing an infection that could make you very unwell, or cause. Popping a sebaceous cyst at home by yourself could increase your. What Happens If You Pop An Internal Cyst.
From www.youtube.com
Top Terrible Pus Cyst Removal & Popping Pimple Dr. Pimple Popping What Happens If You Pop An Internal Cyst Popping a sebaceous cyst at home puts you at risk of developing an infection that could make you very unwell, or cause. Ovarian cysts often occur during ovulation, but they can sometimes rupture. Pain in the low back or belly. A ruptured ovarian cyst can cause sudden abdominal and pelvic pain. The pain may be sharp or feel like a.. What Happens If You Pop An Internal Cyst.
From www.youtube.com
cysts popping at home 2019 YouTube What Happens If You Pop An Internal Cyst Ovarian cysts often occur during ovulation, but they can sometimes rupture. Learn about the causes, symptoms, and treatment. Popping a sebaceous cyst at home puts you at risk of developing an infection that could make you very unwell, or cause. The pain may be sharp or feel like a. While this may be painful, ruptured cysts usually heal without medical. What Happens If You Pop An Internal Cyst.
From www.toplinemd.com
Bartholin’s Cyst Causes, Symptoms and Removal Andrew Krinsky, MD, FACOG What Happens If You Pop An Internal Cyst Popping a sebaceous cyst at home by yourself could increase your risk for inflammation, infection,. Popping a sebaceous cyst at home puts you at risk of developing an infection that could make you very unwell, or cause. Pain in the low back or belly. A sebaceous cyst is almost as tempting to pop as a pimple — but hold that. What Happens If You Pop An Internal Cyst.
From www.healthresource4u.com
Dermoid Cyst Causes, Pictures, Symptoms And Treatment What Happens If You Pop An Internal Cyst A ruptured ovarian cyst may trigger sudden pain or discomfort in your low back or belly, especially on the side where the cyst burst. Learn about the causes, symptoms, and treatment. A ruptured ovarian cyst can cause sudden abdominal and pelvic pain. The pain may be sharp or feel like a. While this may be painful, ruptured cysts usually heal. What Happens If You Pop An Internal Cyst.
From www.youtube.com
Popping Huge Infected Cyst! YouTube What Happens If You Pop An Internal Cyst Ovarian cysts often occur during ovulation, but they can sometimes rupture. While this may be painful, ruptured cysts usually heal without medical intervention. A ruptured ovarian cyst can cause sudden abdominal and pelvic pain. Popping a sebaceous cyst at home puts you at risk of developing an infection that could make you very unwell, or cause. Popping a sebaceous cyst. What Happens If You Pop An Internal Cyst.
From allaccess.drpimplepopper.com
Popping a GREAT Pilar Cyst Dr. Pimple Popper What Happens If You Pop An Internal Cyst A ruptured ovarian cyst may trigger sudden pain or discomfort in your low back or belly, especially on the side where the cyst burst. Ovarian cysts often occur during ovulation, but they can sometimes rupture. Pain in the low back or belly. While this may be painful, ruptured cysts usually heal without medical intervention. Popping a sebaceous cyst at home. What Happens If You Pop An Internal Cyst.
From www.youtube.com
Draining an Infected Cyst (Cyst Popping) CONTOUR DERMATOLOGY YouTube What Happens If You Pop An Internal Cyst The pain may be sharp or feel like a. Popping a sebaceous cyst at home by yourself could increase your risk for inflammation, infection,. A ruptured ovarian cyst can cause sudden abdominal and pelvic pain. Learn about the causes, symptoms, and treatment. While this may be painful, ruptured cysts usually heal without medical intervention. Pain in the low back or. What Happens If You Pop An Internal Cyst.
From cancercureindia.com
Ovarian cysts symptoms, treatment of ruptured ovarian cyst Cancer What Happens If You Pop An Internal Cyst It looks and feels like a lump or bump on your. Learn about the causes, symptoms, and treatment. The pain may be sharp or feel like a. Popping a sebaceous cyst at home by yourself could increase your risk for inflammation, infection,. Popping a sebaceous cyst at home puts you at risk of developing an infection that could make you. What Happens If You Pop An Internal Cyst.
From aminoco.com
How Do You Get Rid of a Cyst? The Amino Company What Happens If You Pop An Internal Cyst Learn about the causes, symptoms, and treatment. Popping a sebaceous cyst at home puts you at risk of developing an infection that could make you very unwell, or cause. A ruptured ovarian cyst can cause sudden abdominal and pelvic pain. Pain in the low back or belly. Popping a sebaceous cyst at home by yourself could increase your risk for. What Happens If You Pop An Internal Cyst.
From dermatologypracticeofroanoke.com
Dermatology Practice of Roanoke Cysts What Happens If You Pop An Internal Cyst Learn about the causes, symptoms, and treatment. Popping a sebaceous cyst at home puts you at risk of developing an infection that could make you very unwell, or cause. Pain in the low back or belly. It looks and feels like a lump or bump on your. While this may be painful, ruptured cysts usually heal without medical intervention. The. What Happens If You Pop An Internal Cyst.
From aventusclinic.com
Popping a Sebaceous Cyst Can I Burst a Sebaceous Cyst at Home What Happens If You Pop An Internal Cyst The pain may be sharp or feel like a. A ruptured ovarian cyst may trigger sudden pain or discomfort in your low back or belly, especially on the side where the cyst burst. Pain in the low back or belly. Popping a sebaceous cyst at home by yourself could increase your risk for inflammation, infection,. Learn about the causes, symptoms,. What Happens If You Pop An Internal Cyst.
From ca.movies.yahoo.com
What to Do If You Think an Ovarian Cyst Burst What Happens If You Pop An Internal Cyst Pain in the low back or belly. Popping a sebaceous cyst at home puts you at risk of developing an infection that could make you very unwell, or cause. A ruptured ovarian cyst may trigger sudden pain or discomfort in your low back or belly, especially on the side where the cyst burst. Popping a sebaceous cyst at home by. What Happens If You Pop An Internal Cyst.
From www.top10homeremedies.com
10 Common Signs and Symptoms of Polycystic Ovary Syndrome (PCOS) You What Happens If You Pop An Internal Cyst Pain in the low back or belly. A ruptured ovarian cyst can cause sudden abdominal and pelvic pain. A ruptured ovarian cyst may trigger sudden pain or discomfort in your low back or belly, especially on the side where the cyst burst. Ovarian cysts often occur during ovulation, but they can sometimes rupture. A sebaceous cyst is almost as tempting. What Happens If You Pop An Internal Cyst.
From lorenadollani.com
Cysts What Are the Most Common Types of Cysts & How to Treat Them What Happens If You Pop An Internal Cyst Ovarian cysts often occur during ovulation, but they can sometimes rupture. A ruptured ovarian cyst may trigger sudden pain or discomfort in your low back or belly, especially on the side where the cyst burst. While this may be painful, ruptured cysts usually heal without medical intervention. A ruptured ovarian cyst can cause sudden abdominal and pelvic pain. The pain. What Happens If You Pop An Internal Cyst.
From frontlinekonzeption.blogspot.com
How To Pop Ganglion Cyst Pop Cyst.Remove Cyst.Part 1,Quack Doctor What Happens If You Pop An Internal Cyst A sebaceous cyst is almost as tempting to pop as a pimple — but hold that thought before you do. Learn about the causes, symptoms, and treatment. Pain in the low back or belly. Popping a sebaceous cyst at home by yourself could increase your risk for inflammation, infection,. While this may be painful, ruptured cysts usually heal without medical. What Happens If You Pop An Internal Cyst.