Ribbond In Pediatric Dentistry . thus, in the present in vitro study, two different frc posts (ribbond and everstick) were evaluated and compared. different clinical applications of ribbond include space maintainers, fixed partial dentures with a natural tooth. this case report demonstrates usage of ribbond as a space maintainer, a fixed partial denture with a natural tooth pontic,. ribbond may be an option for the treatment of traumatized teeth because of its aesthetic properties;
from www.ribbond.com
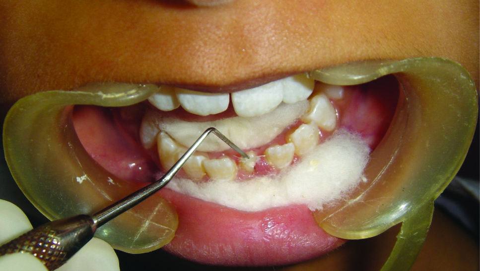
thus, in the present in vitro study, two different frc posts (ribbond and everstick) were evaluated and compared. ribbond may be an option for the treatment of traumatized teeth because of its aesthetic properties; this case report demonstrates usage of ribbond as a space maintainer, a fixed partial denture with a natural tooth pontic,. different clinical applications of ribbond include space maintainers, fixed partial dentures with a natural tooth.
Trauma Stabilization Clinical Applications Ribbond
Ribbond In Pediatric Dentistry thus, in the present in vitro study, two different frc posts (ribbond and everstick) were evaluated and compared. different clinical applications of ribbond include space maintainers, fixed partial dentures with a natural tooth. this case report demonstrates usage of ribbond as a space maintainer, a fixed partial denture with a natural tooth pontic,. ribbond may be an option for the treatment of traumatized teeth because of its aesthetic properties; thus, in the present in vitro study, two different frc posts (ribbond and everstick) were evaluated and compared.
From www.semanticscholar.org
Figure 1 from Different Clinical Applications of Bondable Reinforcement Ribbond In Pediatric Dentistry thus, in the present in vitro study, two different frc posts (ribbond and everstick) were evaluated and compared. different clinical applications of ribbond include space maintainers, fixed partial dentures with a natural tooth. this case report demonstrates usage of ribbond as a space maintainer, a fixed partial denture with a natural tooth pontic,. ribbond may be. Ribbond In Pediatric Dentistry.
From ribbond.com
Ribbond Ribbond In Pediatric Dentistry thus, in the present in vitro study, two different frc posts (ribbond and everstick) were evaluated and compared. ribbond may be an option for the treatment of traumatized teeth because of its aesthetic properties; this case report demonstrates usage of ribbond as a space maintainer, a fixed partial denture with a natural tooth pontic,. different clinical. Ribbond In Pediatric Dentistry.
From www.youtube.com
Ribbond Dental Fiber Clinical Research Dental Canada YouTube Ribbond In Pediatric Dentistry different clinical applications of ribbond include space maintainers, fixed partial dentures with a natural tooth. ribbond may be an option for the treatment of traumatized teeth because of its aesthetic properties; this case report demonstrates usage of ribbond as a space maintainer, a fixed partial denture with a natural tooth pontic,. thus, in the present in. Ribbond In Pediatric Dentistry.
From www.medif.com
Ribbond MEDIF dentistry Ribbond In Pediatric Dentistry different clinical applications of ribbond include space maintainers, fixed partial dentures with a natural tooth. this case report demonstrates usage of ribbond as a space maintainer, a fixed partial denture with a natural tooth pontic,. ribbond may be an option for the treatment of traumatized teeth because of its aesthetic properties; thus, in the present in. Ribbond In Pediatric Dentistry.
From www.ribbond.com
Ribbond Ribbond In Pediatric Dentistry thus, in the present in vitro study, two different frc posts (ribbond and everstick) were evaluated and compared. different clinical applications of ribbond include space maintainers, fixed partial dentures with a natural tooth. ribbond may be an option for the treatment of traumatized teeth because of its aesthetic properties; this case report demonstrates usage of ribbond. Ribbond In Pediatric Dentistry.
From www.ribbond.com
Trauma Stabilization Clinical Applications Ribbond Ribbond In Pediatric Dentistry this case report demonstrates usage of ribbond as a space maintainer, a fixed partial denture with a natural tooth pontic,. ribbond may be an option for the treatment of traumatized teeth because of its aesthetic properties; thus, in the present in vitro study, two different frc posts (ribbond and everstick) were evaluated and compared. different clinical. Ribbond In Pediatric Dentistry.
From dentalmart.in
Ribbond Ribbon 3mm Ribbond In Pediatric Dentistry ribbond may be an option for the treatment of traumatized teeth because of its aesthetic properties; different clinical applications of ribbond include space maintainers, fixed partial dentures with a natural tooth. this case report demonstrates usage of ribbond as a space maintainer, a fixed partial denture with a natural tooth pontic,. thus, in the present in. Ribbond In Pediatric Dentistry.
From www.slideshare.net
Different clinical applications of bondable reinforcement ribbond in Ribbond In Pediatric Dentistry this case report demonstrates usage of ribbond as a space maintainer, a fixed partial denture with a natural tooth pontic,. ribbond may be an option for the treatment of traumatized teeth because of its aesthetic properties; thus, in the present in vitro study, two different frc posts (ribbond and everstick) were evaluated and compared. different clinical. Ribbond In Pediatric Dentistry.
From optident.co.uk
Ribbond Ultra Starter Kit Optident Ribbond In Pediatric Dentistry this case report demonstrates usage of ribbond as a space maintainer, a fixed partial denture with a natural tooth pontic,. different clinical applications of ribbond include space maintainers, fixed partial dentures with a natural tooth. ribbond may be an option for the treatment of traumatized teeth because of its aesthetic properties; thus, in the present in. Ribbond In Pediatric Dentistry.
From www.ribbond.com
Trauma Stabilization Clinical Applications Ribbond Ribbond In Pediatric Dentistry different clinical applications of ribbond include space maintainers, fixed partial dentures with a natural tooth. this case report demonstrates usage of ribbond as a space maintainer, a fixed partial denture with a natural tooth pontic,. thus, in the present in vitro study, two different frc posts (ribbond and everstick) were evaluated and compared. ribbond may be. Ribbond In Pediatric Dentistry.
From www.ribbond.com
Trauma Stabilization Clinical Applications Ribbond Ribbond In Pediatric Dentistry ribbond may be an option for the treatment of traumatized teeth because of its aesthetic properties; thus, in the present in vitro study, two different frc posts (ribbond and everstick) were evaluated and compared. different clinical applications of ribbond include space maintainers, fixed partial dentures with a natural tooth. this case report demonstrates usage of ribbond. Ribbond In Pediatric Dentistry.
From optident.co.uk
Ribbond THM Started Kit Optident Specialist Dental Products And Courses Ribbond In Pediatric Dentistry different clinical applications of ribbond include space maintainers, fixed partial dentures with a natural tooth. ribbond may be an option for the treatment of traumatized teeth because of its aesthetic properties; this case report demonstrates usage of ribbond as a space maintainer, a fixed partial denture with a natural tooth pontic,. thus, in the present in. Ribbond In Pediatric Dentistry.
From scite.ai
Different Clinical Applications of Bondable Reinforcement Ribbond in Ribbond In Pediatric Dentistry thus, in the present in vitro study, two different frc posts (ribbond and everstick) were evaluated and compared. this case report demonstrates usage of ribbond as a space maintainer, a fixed partial denture with a natural tooth pontic,. ribbond may be an option for the treatment of traumatized teeth because of its aesthetic properties; different clinical. Ribbond In Pediatric Dentistry.
From www.youtube.com
Ribbond compared to other dental fiber reinforcement materials YouTube Ribbond In Pediatric Dentistry this case report demonstrates usage of ribbond as a space maintainer, a fixed partial denture with a natural tooth pontic,. ribbond may be an option for the treatment of traumatized teeth because of its aesthetic properties; different clinical applications of ribbond include space maintainers, fixed partial dentures with a natural tooth. thus, in the present in. Ribbond In Pediatric Dentistry.
From www.semanticscholar.org
Figure 1 from Different Clinical Applications of Bondable Reinforcement Ribbond In Pediatric Dentistry this case report demonstrates usage of ribbond as a space maintainer, a fixed partial denture with a natural tooth pontic,. different clinical applications of ribbond include space maintainers, fixed partial dentures with a natural tooth. thus, in the present in vitro study, two different frc posts (ribbond and everstick) were evaluated and compared. ribbond may be. Ribbond In Pediatric Dentistry.
From www.jcdr.net
Radiograph showing ribbond inside canal Ribbond In Pediatric Dentistry different clinical applications of ribbond include space maintainers, fixed partial dentures with a natural tooth. thus, in the present in vitro study, two different frc posts (ribbond and everstick) were evaluated and compared. this case report demonstrates usage of ribbond as a space maintainer, a fixed partial denture with a natural tooth pontic,. ribbond may be. Ribbond In Pediatric Dentistry.
From www.ribbond.com
Trauma Stabilization Clinical Applications Ribbond Ribbond In Pediatric Dentistry ribbond may be an option for the treatment of traumatized teeth because of its aesthetic properties; this case report demonstrates usage of ribbond as a space maintainer, a fixed partial denture with a natural tooth pontic,. different clinical applications of ribbond include space maintainers, fixed partial dentures with a natural tooth. thus, in the present in. Ribbond In Pediatric Dentistry.
From www.tv.odontologiavirtual.com
RIBBOND How to create a Direct Resin Bonded Bridge Ribbond In Pediatric Dentistry thus, in the present in vitro study, two different frc posts (ribbond and everstick) were evaluated and compared. different clinical applications of ribbond include space maintainers, fixed partial dentures with a natural tooth. this case report demonstrates usage of ribbond as a space maintainer, a fixed partial denture with a natural tooth pontic,. ribbond may be. Ribbond In Pediatric Dentistry.
From www.ribbond.com
Trauma Stabilization Clinical Applications Ribbond Ribbond In Pediatric Dentistry thus, in the present in vitro study, two different frc posts (ribbond and everstick) were evaluated and compared. different clinical applications of ribbond include space maintainers, fixed partial dentures with a natural tooth. ribbond may be an option for the treatment of traumatized teeth because of its aesthetic properties; this case report demonstrates usage of ribbond. Ribbond In Pediatric Dentistry.
From www.medif.com
Ribbond MEDIF dentistry Ribbond In Pediatric Dentistry this case report demonstrates usage of ribbond as a space maintainer, a fixed partial denture with a natural tooth pontic,. thus, in the present in vitro study, two different frc posts (ribbond and everstick) were evaluated and compared. ribbond may be an option for the treatment of traumatized teeth because of its aesthetic properties; different clinical. Ribbond In Pediatric Dentistry.
From www.semanticscholar.org
Figure 1 from Different Clinical Applications of Bondable Reinforcement Ribbond In Pediatric Dentistry different clinical applications of ribbond include space maintainers, fixed partial dentures with a natural tooth. thus, in the present in vitro study, two different frc posts (ribbond and everstick) were evaluated and compared. ribbond may be an option for the treatment of traumatized teeth because of its aesthetic properties; this case report demonstrates usage of ribbond. Ribbond In Pediatric Dentistry.
From www.ribbond.com
Trauma Stabilization Clinical Applications Ribbond Ribbond In Pediatric Dentistry this case report demonstrates usage of ribbond as a space maintainer, a fixed partial denture with a natural tooth pontic,. thus, in the present in vitro study, two different frc posts (ribbond and everstick) were evaluated and compared. ribbond may be an option for the treatment of traumatized teeth because of its aesthetic properties; different clinical. Ribbond In Pediatric Dentistry.
From www.ribbond.com
Composite Restoration Clinical Applications Ribbond Ribbond In Pediatric Dentistry thus, in the present in vitro study, two different frc posts (ribbond and everstick) were evaluated and compared. ribbond may be an option for the treatment of traumatized teeth because of its aesthetic properties; different clinical applications of ribbond include space maintainers, fixed partial dentures with a natural tooth. this case report demonstrates usage of ribbond. Ribbond In Pediatric Dentistry.
From dentalgenie.in
Ribbond Ribbon Fiber Splint Dental Genie Ribbond In Pediatric Dentistry thus, in the present in vitro study, two different frc posts (ribbond and everstick) were evaluated and compared. this case report demonstrates usage of ribbond as a space maintainer, a fixed partial denture with a natural tooth pontic,. ribbond may be an option for the treatment of traumatized teeth because of its aesthetic properties; different clinical. Ribbond In Pediatric Dentistry.
From www.researchgate.net
(PDF) Case Report VERSTALITY OF RIBBOND IN PEDIATRIC DENTISTRYA SERIES Ribbond In Pediatric Dentistry ribbond may be an option for the treatment of traumatized teeth because of its aesthetic properties; different clinical applications of ribbond include space maintainers, fixed partial dentures with a natural tooth. this case report demonstrates usage of ribbond as a space maintainer, a fixed partial denture with a natural tooth pontic,. thus, in the present in. Ribbond In Pediatric Dentistry.
From www.youtube.com
Dental Splinting for Loose Teeth using Ribbond after a Tooth Extraction Ribbond In Pediatric Dentistry this case report demonstrates usage of ribbond as a space maintainer, a fixed partial denture with a natural tooth pontic,. ribbond may be an option for the treatment of traumatized teeth because of its aesthetic properties; thus, in the present in vitro study, two different frc posts (ribbond and everstick) were evaluated and compared. different clinical. Ribbond In Pediatric Dentistry.
From www.researchgate.net
(PDF) Versatility of Ribbond in Contemporary Dental Practice Ribbond In Pediatric Dentistry this case report demonstrates usage of ribbond as a space maintainer, a fixed partial denture with a natural tooth pontic,. thus, in the present in vitro study, two different frc posts (ribbond and everstick) were evaluated and compared. different clinical applications of ribbond include space maintainers, fixed partial dentures with a natural tooth. ribbond may be. Ribbond In Pediatric Dentistry.
From www.researchgate.net
(PDF) Different Clinical Applications of Bondable Reinforcement Ribbond Ribbond In Pediatric Dentistry this case report demonstrates usage of ribbond as a space maintainer, a fixed partial denture with a natural tooth pontic,. different clinical applications of ribbond include space maintainers, fixed partial dentures with a natural tooth. ribbond may be an option for the treatment of traumatized teeth because of its aesthetic properties; thus, in the present in. Ribbond In Pediatric Dentistry.
From www.ribbond.com
Trauma Stabilization Clinical Applications Ribbond Ribbond In Pediatric Dentistry ribbond may be an option for the treatment of traumatized teeth because of its aesthetic properties; thus, in the present in vitro study, two different frc posts (ribbond and everstick) were evaluated and compared. different clinical applications of ribbond include space maintainers, fixed partial dentures with a natural tooth. this case report demonstrates usage of ribbond. Ribbond In Pediatric Dentistry.
From www.myzerodonto.com
Using “Ribbond” to save destructive lateral incisor ! MyZerodonto Ribbond In Pediatric Dentistry different clinical applications of ribbond include space maintainers, fixed partial dentures with a natural tooth. thus, in the present in vitro study, two different frc posts (ribbond and everstick) were evaluated and compared. this case report demonstrates usage of ribbond as a space maintainer, a fixed partial denture with a natural tooth pontic,. ribbond may be. Ribbond In Pediatric Dentistry.
From www.youtube.com
Biomimetic dentistry (ribbond ) YouTube Ribbond In Pediatric Dentistry this case report demonstrates usage of ribbond as a space maintainer, a fixed partial denture with a natural tooth pontic,. ribbond may be an option for the treatment of traumatized teeth because of its aesthetic properties; different clinical applications of ribbond include space maintainers, fixed partial dentures with a natural tooth. thus, in the present in. Ribbond In Pediatric Dentistry.
From www.tv.odontologiavirtual.com
RIBBOND Single Visit Bridge Technique Step by Step Ribbond In Pediatric Dentistry this case report demonstrates usage of ribbond as a space maintainer, a fixed partial denture with a natural tooth pontic,. different clinical applications of ribbond include space maintainers, fixed partial dentures with a natural tooth. ribbond may be an option for the treatment of traumatized teeth because of its aesthetic properties; thus, in the present in. Ribbond In Pediatric Dentistry.
From www.youtube.com
Ribbond Demonstration Materials YouTube Ribbond In Pediatric Dentistry this case report demonstrates usage of ribbond as a space maintainer, a fixed partial denture with a natural tooth pontic,. thus, in the present in vitro study, two different frc posts (ribbond and everstick) were evaluated and compared. different clinical applications of ribbond include space maintainers, fixed partial dentures with a natural tooth. ribbond may be. Ribbond In Pediatric Dentistry.
From ribbond.com
Ribbond Ribbond In Pediatric Dentistry ribbond may be an option for the treatment of traumatized teeth because of its aesthetic properties; thus, in the present in vitro study, two different frc posts (ribbond and everstick) were evaluated and compared. different clinical applications of ribbond include space maintainers, fixed partial dentures with a natural tooth. this case report demonstrates usage of ribbond. Ribbond In Pediatric Dentistry.
From www.ribbond.com
Ribbond Ribbond In Pediatric Dentistry this case report demonstrates usage of ribbond as a space maintainer, a fixed partial denture with a natural tooth pontic,. different clinical applications of ribbond include space maintainers, fixed partial dentures with a natural tooth. ribbond may be an option for the treatment of traumatized teeth because of its aesthetic properties; thus, in the present in. Ribbond In Pediatric Dentistry.