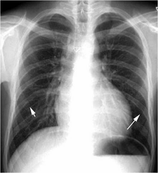
Rib Notching Definition . This article discusses how ribs are involved in a variety of traumatic, metabolic, inflammatory, neoplastic, and congenital disorders. Acute rib infections are seen as focal areas of bone destruction, whereas chronic infections may manifest as periosteal reaction or a bone sequestrum. Normal variants and abnormalities of the ribs are frequently encountered on chest radiographs. Rib notching are deformities that affect the upper surface of the rib, the lower surface of the rib (roesler’s sign), or both.
from www.slideshare.net
This article discusses how ribs are involved in a variety of traumatic, metabolic, inflammatory, neoplastic, and congenital disorders. Rib notching are deformities that affect the upper surface of the rib, the lower surface of the rib (roesler’s sign), or both. Normal variants and abnormalities of the ribs are frequently encountered on chest radiographs. Acute rib infections are seen as focal areas of bone destruction, whereas chronic infections may manifest as periosteal reaction or a bone sequestrum.
Rib notching
Rib Notching Definition Normal variants and abnormalities of the ribs are frequently encountered on chest radiographs. This article discusses how ribs are involved in a variety of traumatic, metabolic, inflammatory, neoplastic, and congenital disorders. Acute rib infections are seen as focal areas of bone destruction, whereas chronic infections may manifest as periosteal reaction or a bone sequestrum. Rib notching are deformities that affect the upper surface of the rib, the lower surface of the rib (roesler’s sign), or both. Normal variants and abnormalities of the ribs are frequently encountered on chest radiographs.
From www.slideshare.net
Rib notching Rib Notching Definition This article discusses how ribs are involved in a variety of traumatic, metabolic, inflammatory, neoplastic, and congenital disorders. Normal variants and abnormalities of the ribs are frequently encountered on chest radiographs. Acute rib infections are seen as focal areas of bone destruction, whereas chronic infections may manifest as periosteal reaction or a bone sequestrum. Rib notching are deformities that affect. Rib Notching Definition.
From quizlet.com
Ribs Labeling Diagram Quizlet Rib Notching Definition This article discusses how ribs are involved in a variety of traumatic, metabolic, inflammatory, neoplastic, and congenital disorders. Normal variants and abnormalities of the ribs are frequently encountered on chest radiographs. Acute rib infections are seen as focal areas of bone destruction, whereas chronic infections may manifest as periosteal reaction or a bone sequestrum. Rib notching are deformities that affect. Rib Notching Definition.
From www.slideshare.net
Rib notching Rib Notching Definition Normal variants and abnormalities of the ribs are frequently encountered on chest radiographs. This article discusses how ribs are involved in a variety of traumatic, metabolic, inflammatory, neoplastic, and congenital disorders. Rib notching are deformities that affect the upper surface of the rib, the lower surface of the rib (roesler’s sign), or both. Acute rib infections are seen as focal. Rib Notching Definition.
From www.researchgate.net
Chest radiogram showing notching of the inferior surface of several Rib Notching Definition Normal variants and abnormalities of the ribs are frequently encountered on chest radiographs. Rib notching are deformities that affect the upper surface of the rib, the lower surface of the rib (roesler’s sign), or both. This article discusses how ribs are involved in a variety of traumatic, metabolic, inflammatory, neoplastic, and congenital disorders. Acute rib infections are seen as focal. Rib Notching Definition.
From pedemmorsels.com
rib notching Archives — Pediatric EM Morsels Rib Notching Definition Rib notching are deformities that affect the upper surface of the rib, the lower surface of the rib (roesler’s sign), or both. Acute rib infections are seen as focal areas of bone destruction, whereas chronic infections may manifest as periosteal reaction or a bone sequestrum. Normal variants and abnormalities of the ribs are frequently encountered on chest radiographs. This article. Rib Notching Definition.
From www.slideshare.net
Rib notching Rib Notching Definition Acute rib infections are seen as focal areas of bone destruction, whereas chronic infections may manifest as periosteal reaction or a bone sequestrum. This article discusses how ribs are involved in a variety of traumatic, metabolic, inflammatory, neoplastic, and congenital disorders. Normal variants and abnormalities of the ribs are frequently encountered on chest radiographs. Rib notching are deformities that affect. Rib Notching Definition.
From radiologyspot.blogspot.com
RADIOLOGY IMAGE SPOTTERS Rib notching Coarctation of aorta Rib Notching Definition Rib notching are deformities that affect the upper surface of the rib, the lower surface of the rib (roesler’s sign), or both. Normal variants and abnormalities of the ribs are frequently encountered on chest radiographs. Acute rib infections are seen as focal areas of bone destruction, whereas chronic infections may manifest as periosteal reaction or a bone sequestrum. This article. Rib Notching Definition.
From www.slideshare.net
Rib notching Rib Notching Definition Acute rib infections are seen as focal areas of bone destruction, whereas chronic infections may manifest as periosteal reaction or a bone sequestrum. Rib notching are deformities that affect the upper surface of the rib, the lower surface of the rib (roesler’s sign), or both. Normal variants and abnormalities of the ribs are frequently encountered on chest radiographs. This article. Rib Notching Definition.
From microbenotes.com
Rib Cage Anatomy, Parts, Bones, Structures, Functions Rib Notching Definition Normal variants and abnormalities of the ribs are frequently encountered on chest radiographs. Acute rib infections are seen as focal areas of bone destruction, whereas chronic infections may manifest as periosteal reaction or a bone sequestrum. Rib notching are deformities that affect the upper surface of the rib, the lower surface of the rib (roesler’s sign), or both. This article. Rib Notching Definition.
From www.slideshare.net
Rib notching Rib Notching Definition Normal variants and abnormalities of the ribs are frequently encountered on chest radiographs. This article discusses how ribs are involved in a variety of traumatic, metabolic, inflammatory, neoplastic, and congenital disorders. Acute rib infections are seen as focal areas of bone destruction, whereas chronic infections may manifest as periosteal reaction or a bone sequestrum. Rib notching are deformities that affect. Rib Notching Definition.
From www.hcplive.com
Why Does This Young Woman with Hypertension Have Rib Notching on Her Rib Notching Definition This article discusses how ribs are involved in a variety of traumatic, metabolic, inflammatory, neoplastic, and congenital disorders. Acute rib infections are seen as focal areas of bone destruction, whereas chronic infections may manifest as periosteal reaction or a bone sequestrum. Rib notching are deformities that affect the upper surface of the rib, the lower surface of the rib (roesler’s. Rib Notching Definition.
From healthsciencebyakshay.wordpress.com
3. Inferior Rib Notching RadioImaging and Health Science Rib Notching Definition Rib notching are deformities that affect the upper surface of the rib, the lower surface of the rib (roesler’s sign), or both. This article discusses how ribs are involved in a variety of traumatic, metabolic, inflammatory, neoplastic, and congenital disorders. Normal variants and abnormalities of the ribs are frequently encountered on chest radiographs. Acute rib infections are seen as focal. Rib Notching Definition.
From www.slideshare.net
Rib notching Rib Notching Definition Normal variants and abnormalities of the ribs are frequently encountered on chest radiographs. Rib notching are deformities that affect the upper surface of the rib, the lower surface of the rib (roesler’s sign), or both. This article discusses how ribs are involved in a variety of traumatic, metabolic, inflammatory, neoplastic, and congenital disorders. Acute rib infections are seen as focal. Rib Notching Definition.
From www.thoracic.theclinics.com
The Anatomy of the Ribs and the Sternum and Their Relationship to Chest Rib Notching Definition Rib notching are deformities that affect the upper surface of the rib, the lower surface of the rib (roesler’s sign), or both. Acute rib infections are seen as focal areas of bone destruction, whereas chronic infections may manifest as periosteal reaction or a bone sequestrum. This article discusses how ribs are involved in a variety of traumatic, metabolic, inflammatory, neoplastic,. Rib Notching Definition.
From www.slideshare.net
Rib notching Rib Notching Definition Acute rib infections are seen as focal areas of bone destruction, whereas chronic infections may manifest as periosteal reaction or a bone sequestrum. Rib notching are deformities that affect the upper surface of the rib, the lower surface of the rib (roesler’s sign), or both. This article discusses how ribs are involved in a variety of traumatic, metabolic, inflammatory, neoplastic,. Rib Notching Definition.
From codehealth.co
Coarctation of the Aorta Rib Notching Definition Acute rib infections are seen as focal areas of bone destruction, whereas chronic infections may manifest as periosteal reaction or a bone sequestrum. Normal variants and abnormalities of the ribs are frequently encountered on chest radiographs. Rib notching are deformities that affect the upper surface of the rib, the lower surface of the rib (roesler’s sign), or both. This article. Rib Notching Definition.
From www.researchgate.net
Chest radiography Rib notching (white arrows). Download Scientific Rib Notching Definition Rib notching are deformities that affect the upper surface of the rib, the lower surface of the rib (roesler’s sign), or both. Normal variants and abnormalities of the ribs are frequently encountered on chest radiographs. Acute rib infections are seen as focal areas of bone destruction, whereas chronic infections may manifest as periosteal reaction or a bone sequestrum. This article. Rib Notching Definition.
From www.slideshare.net
Rib notching Rib Notching Definition Acute rib infections are seen as focal areas of bone destruction, whereas chronic infections may manifest as periosteal reaction or a bone sequestrum. This article discusses how ribs are involved in a variety of traumatic, metabolic, inflammatory, neoplastic, and congenital disorders. Normal variants and abnormalities of the ribs are frequently encountered on chest radiographs. Rib notching are deformities that affect. Rib Notching Definition.
From www.slideserve.com
PPT Findings Rib Notching PowerPoint Presentation, free download Rib Notching Definition Normal variants and abnormalities of the ribs are frequently encountered on chest radiographs. Acute rib infections are seen as focal areas of bone destruction, whereas chronic infections may manifest as periosteal reaction or a bone sequestrum. This article discusses how ribs are involved in a variety of traumatic, metabolic, inflammatory, neoplastic, and congenital disorders. Rib notching are deformities that affect. Rib Notching Definition.
From www.pinterest.com
Inferior Rib Notching causes Note Figure of 3 sign & Inferior rib Rib Notching Definition Normal variants and abnormalities of the ribs are frequently encountered on chest radiographs. Acute rib infections are seen as focal areas of bone destruction, whereas chronic infections may manifest as periosteal reaction or a bone sequestrum. This article discusses how ribs are involved in a variety of traumatic, metabolic, inflammatory, neoplastic, and congenital disorders. Rib notching are deformities that affect. Rib Notching Definition.
From www.wikiradiography.net
Coarctation of the Aorta wikiRadiography Rib Notching Definition Acute rib infections are seen as focal areas of bone destruction, whereas chronic infections may manifest as periosteal reaction or a bone sequestrum. Normal variants and abnormalities of the ribs are frequently encountered on chest radiographs. Rib notching are deformities that affect the upper surface of the rib, the lower surface of the rib (roesler’s sign), or both. This article. Rib Notching Definition.
From www.pinterest.com
Inferior rib notching remodeling deformity of the lower aspect of the Rib Notching Definition Rib notching are deformities that affect the upper surface of the rib, the lower surface of the rib (roesler’s sign), or both. Acute rib infections are seen as focal areas of bone destruction, whereas chronic infections may manifest as periosteal reaction or a bone sequestrum. This article discusses how ribs are involved in a variety of traumatic, metabolic, inflammatory, neoplastic,. Rib Notching Definition.
From radiopaedia.org
Rib notching Image Rib Notching Definition This article discusses how ribs are involved in a variety of traumatic, metabolic, inflammatory, neoplastic, and congenital disorders. Acute rib infections are seen as focal areas of bone destruction, whereas chronic infections may manifest as periosteal reaction or a bone sequestrum. Rib notching are deformities that affect the upper surface of the rib, the lower surface of the rib (roesler’s. Rib Notching Definition.
From epomedicine.com
Rib Notching Epomedicine Rib Notching Definition Normal variants and abnormalities of the ribs are frequently encountered on chest radiographs. Acute rib infections are seen as focal areas of bone destruction, whereas chronic infections may manifest as periosteal reaction or a bone sequestrum. Rib notching are deformities that affect the upper surface of the rib, the lower surface of the rib (roesler’s sign), or both. This article. Rib Notching Definition.
From www.slideshare.net
Rib notching Rib Notching Definition Rib notching are deformities that affect the upper surface of the rib, the lower surface of the rib (roesler’s sign), or both. Normal variants and abnormalities of the ribs are frequently encountered on chest radiographs. Acute rib infections are seen as focal areas of bone destruction, whereas chronic infections may manifest as periosteal reaction or a bone sequestrum. This article. Rib Notching Definition.
From generalpathology.blogspot.com
Cardiovascular Pathology Rib Notching Definition This article discusses how ribs are involved in a variety of traumatic, metabolic, inflammatory, neoplastic, and congenital disorders. Acute rib infections are seen as focal areas of bone destruction, whereas chronic infections may manifest as periosteal reaction or a bone sequestrum. Rib notching are deformities that affect the upper surface of the rib, the lower surface of the rib (roesler’s. Rib Notching Definition.
From www.thoracic.theclinics.com
Relevant Surgical Anatomy of the Chest Wall Thoracic Surgery Clinics Rib Notching Definition Acute rib infections are seen as focal areas of bone destruction, whereas chronic infections may manifest as periosteal reaction or a bone sequestrum. Normal variants and abnormalities of the ribs are frequently encountered on chest radiographs. Rib notching are deformities that affect the upper surface of the rib, the lower surface of the rib (roesler’s sign), or both. This article. Rib Notching Definition.
From mavink.com
Rib Notching On Chest X Ray Rib Notching Definition Normal variants and abnormalities of the ribs are frequently encountered on chest radiographs. Acute rib infections are seen as focal areas of bone destruction, whereas chronic infections may manifest as periosteal reaction or a bone sequestrum. Rib notching are deformities that affect the upper surface of the rib, the lower surface of the rib (roesler’s sign), or both. This article. Rib Notching Definition.
From www.semanticscholar.org
Figure 1 from Rib Notching following the BlalockTaussig Operation Rib Notching Definition This article discusses how ribs are involved in a variety of traumatic, metabolic, inflammatory, neoplastic, and congenital disorders. Acute rib infections are seen as focal areas of bone destruction, whereas chronic infections may manifest as periosteal reaction or a bone sequestrum. Rib notching are deformities that affect the upper surface of the rib, the lower surface of the rib (roesler’s. Rib Notching Definition.
From www.slideserve.com
PPT Findings Rib Notching PowerPoint Presentation, free download Rib Notching Definition Rib notching are deformities that affect the upper surface of the rib, the lower surface of the rib (roesler’s sign), or both. This article discusses how ribs are involved in a variety of traumatic, metabolic, inflammatory, neoplastic, and congenital disorders. Normal variants and abnormalities of the ribs are frequently encountered on chest radiographs. Acute rib infections are seen as focal. Rib Notching Definition.
From www.slideshare.net
Rib notching Rib Notching Definition Rib notching are deformities that affect the upper surface of the rib, the lower surface of the rib (roesler’s sign), or both. Normal variants and abnormalities of the ribs are frequently encountered on chest radiographs. Acute rib infections are seen as focal areas of bone destruction, whereas chronic infections may manifest as periosteal reaction or a bone sequestrum. This article. Rib Notching Definition.
From www.pinterest.com
Inferior rib notching, COA Diagnostic imaging, Radiography, Movie posters Rib Notching Definition Rib notching are deformities that affect the upper surface of the rib, the lower surface of the rib (roesler’s sign), or both. Normal variants and abnormalities of the ribs are frequently encountered on chest radiographs. Acute rib infections are seen as focal areas of bone destruction, whereas chronic infections may manifest as periosteal reaction or a bone sequestrum. This article. Rib Notching Definition.
From www.thoracic.theclinics.com
The Anatomy of the Ribs and the Sternum and Their Relationship to Chest Rib Notching Definition Normal variants and abnormalities of the ribs are frequently encountered on chest radiographs. This article discusses how ribs are involved in a variety of traumatic, metabolic, inflammatory, neoplastic, and congenital disorders. Rib notching are deformities that affect the upper surface of the rib, the lower surface of the rib (roesler’s sign), or both. Acute rib infections are seen as focal. Rib Notching Definition.
From savecatchingfire.blogspot.com
Notch Anatomy Definition Anatomy Reading Source Rib Notching Definition Normal variants and abnormalities of the ribs are frequently encountered on chest radiographs. This article discusses how ribs are involved in a variety of traumatic, metabolic, inflammatory, neoplastic, and congenital disorders. Acute rib infections are seen as focal areas of bone destruction, whereas chronic infections may manifest as periosteal reaction or a bone sequestrum. Rib notching are deformities that affect. Rib Notching Definition.
From www.roshreview.com
Image Coarctation of Aorta, rib notching Rib Notching Definition This article discusses how ribs are involved in a variety of traumatic, metabolic, inflammatory, neoplastic, and congenital disorders. Acute rib infections are seen as focal areas of bone destruction, whereas chronic infections may manifest as periosteal reaction or a bone sequestrum. Normal variants and abnormalities of the ribs are frequently encountered on chest radiographs. Rib notching are deformities that affect. Rib Notching Definition.