Electrosurgery In Dentistry . Electrosurgery cuts extremely rapidly when compared to a diode laser. The surgeon using electrosurgery must be properly. When on the proper setting, hemostasis is almost immediate. Electrosurgery is a controlled precise application of radiofrequency electrical current to the soft tissue site to be cut which is achieved by. Tissue undergoing electrosurgery must be adequately hydrated for satisfactory results. Electrosurgery electrodes cut on their side as well as their ends, which affords easy access for contouring or cutting deeply into soft tissue. Electrosurgery is a controlled precise application of radiofrequency electrical current to the soft tissue site to be cut which is achieved by means of carefully designed electrodes. This article briefly explains the literature review of electrosurgery and clinical application of electrosurgery in aesthetic and restorative dentistry. Electrosurgical therapeutic objectives pertinent to restorative dentistry include cutting, which is. This article briefly explains the literature review of electrosurgery and clinical application of electrosurgery in aesthetic and restorative dentistry.
from www.amazon.co.uk
This article briefly explains the literature review of electrosurgery and clinical application of electrosurgery in aesthetic and restorative dentistry. This article briefly explains the literature review of electrosurgery and clinical application of electrosurgery in aesthetic and restorative dentistry. Tissue undergoing electrosurgery must be adequately hydrated for satisfactory results. Electrosurgical therapeutic objectives pertinent to restorative dentistry include cutting, which is. Electrosurgery cuts extremely rapidly when compared to a diode laser. When on the proper setting, hemostasis is almost immediate. The surgeon using electrosurgery must be properly. Electrosurgery is a controlled precise application of radiofrequency electrical current to the soft tissue site to be cut which is achieved by. Electrosurgery electrodes cut on their side as well as their ends, which affords easy access for contouring or cutting deeply into soft tissue. Electrosurgery is a controlled precise application of radiofrequency electrical current to the soft tissue site to be cut which is achieved by means of carefully designed electrodes.
Medical Dental Electrosurgery Cutting and Coagulating Unit 220V ARTE1
Electrosurgery In Dentistry Electrosurgery cuts extremely rapidly when compared to a diode laser. Electrosurgery is a controlled precise application of radiofrequency electrical current to the soft tissue site to be cut which is achieved by. This article briefly explains the literature review of electrosurgery and clinical application of electrosurgery in aesthetic and restorative dentistry. Electrosurgical therapeutic objectives pertinent to restorative dentistry include cutting, which is. The surgeon using electrosurgery must be properly. Tissue undergoing electrosurgery must be adequately hydrated for satisfactory results. When on the proper setting, hemostasis is almost immediate. This article briefly explains the literature review of electrosurgery and clinical application of electrosurgery in aesthetic and restorative dentistry. Electrosurgery electrodes cut on their side as well as their ends, which affords easy access for contouring or cutting deeply into soft tissue. Electrosurgery cuts extremely rapidly when compared to a diode laser. Electrosurgery is a controlled precise application of radiofrequency electrical current to the soft tissue site to be cut which is achieved by means of carefully designed electrodes.
From periobasics.com
Electrosurgery in periodontal therapy Electrosurgery In Dentistry Electrosurgery cuts extremely rapidly when compared to a diode laser. Electrosurgery is a controlled precise application of radiofrequency electrical current to the soft tissue site to be cut which is achieved by. The surgeon using electrosurgery must be properly. Tissue undergoing electrosurgery must be adequately hydrated for satisfactory results. Electrosurgery electrodes cut on their side as well as their ends,. Electrosurgery In Dentistry.
From zzlinker.en.made-in-china.com
LKU34A Dental Surgical Electrocautery & Electrosurgery Scalpel Cutting Electrosurgery In Dentistry Electrosurgery is a controlled precise application of radiofrequency electrical current to the soft tissue site to be cut which is achieved by. Tissue undergoing electrosurgery must be adequately hydrated for satisfactory results. The surgeon using electrosurgery must be properly. Electrosurgery cuts extremely rapidly when compared to a diode laser. Electrosurgery electrodes cut on their side as well as their ends,. Electrosurgery In Dentistry.
From www.dorrclinic.com
الکتروسرجری بهتر است یا لیزر؟ روش های جراحی لثه مزایا و معایب الکتروسرجری Electrosurgery In Dentistry Electrosurgery is a controlled precise application of radiofrequency electrical current to the soft tissue site to be cut which is achieved by. The surgeon using electrosurgery must be properly. This article briefly explains the literature review of electrosurgery and clinical application of electrosurgery in aesthetic and restorative dentistry. Electrosurgery is a controlled precise application of radiofrequency electrical current to the. Electrosurgery In Dentistry.
From pocketdentistry.com
8 Premedication, Electrosurgery, Temporary and Provisional Electrosurgery In Dentistry Tissue undergoing electrosurgery must be adequately hydrated for satisfactory results. This article briefly explains the literature review of electrosurgery and clinical application of electrosurgery in aesthetic and restorative dentistry. Electrosurgery is a controlled precise application of radiofrequency electrical current to the soft tissue site to be cut which is achieved by. Electrosurgery cuts extremely rapidly when compared to a diode. Electrosurgery In Dentistry.
From www.sabradent.com
ARTElectron Electrosurgery... Sabra Dental Products Electrosurgery In Dentistry Electrosurgery electrodes cut on their side as well as their ends, which affords easy access for contouring or cutting deeply into soft tissue. When on the proper setting, hemostasis is almost immediate. Electrosurgery is a controlled precise application of radiofrequency electrical current to the soft tissue site to be cut which is achieved by. Electrosurgical therapeutic objectives pertinent to restorative. Electrosurgery In Dentistry.
From www.researchgate.net
(PDF) Electrosurgery in current dentistry Electrosurgery In Dentistry Electrosurgery is a controlled precise application of radiofrequency electrical current to the soft tissue site to be cut which is achieved by means of carefully designed electrodes. Electrosurgery cuts extremely rapidly when compared to a diode laser. Electrosurgery is a controlled precise application of radiofrequency electrical current to the soft tissue site to be cut which is achieved by. Electrosurgical. Electrosurgery In Dentistry.
From www.youtube.com
ROOT CANAL TREATMENT maxilla 2nd 🦷ELECTROSURGERY ️POP DENTISTRY Electrosurgery In Dentistry This article briefly explains the literature review of electrosurgery and clinical application of electrosurgery in aesthetic and restorative dentistry. This article briefly explains the literature review of electrosurgery and clinical application of electrosurgery in aesthetic and restorative dentistry. Electrosurgery cuts extremely rapidly when compared to a diode laser. Tissue undergoing electrosurgery must be adequately hydrated for satisfactory results. The surgeon. Electrosurgery In Dentistry.
From www.ukdentalsupplies.com
Acteon Servotome Electrosurgery Unit BDSI Dental Supplies Electrosurgery In Dentistry The surgeon using electrosurgery must be properly. Electrosurgery is a controlled precise application of radiofrequency electrical current to the soft tissue site to be cut which is achieved by means of carefully designed electrodes. When on the proper setting, hemostasis is almost immediate. Electrosurgical therapeutic objectives pertinent to restorative dentistry include cutting, which is. Tissue undergoing electrosurgery must be adequately. Electrosurgery In Dentistry.
From www.youtube.com
Electrosurgery Unit Dental Electro Surgery System High Frequency Electrosurgery In Dentistry When on the proper setting, hemostasis is almost immediate. Electrosurgery cuts extremely rapidly when compared to a diode laser. Electrosurgery is a controlled precise application of radiofrequency electrical current to the soft tissue site to be cut which is achieved by means of carefully designed electrodes. Electrosurgical therapeutic objectives pertinent to restorative dentistry include cutting, which is. Tissue undergoing electrosurgery. Electrosurgery In Dentistry.
From www.youtube.com
single visit root canal treatment 2nd 🦷pop dentistry eighteeth Electrosurgery In Dentistry Electrosurgery cuts extremely rapidly when compared to a diode laser. When on the proper setting, hemostasis is almost immediate. This article briefly explains the literature review of electrosurgery and clinical application of electrosurgery in aesthetic and restorative dentistry. Electrosurgery is a controlled precise application of radiofrequency electrical current to the soft tissue site to be cut which is achieved by. Electrosurgery In Dentistry.
From directorioodontologico.blogspot.com
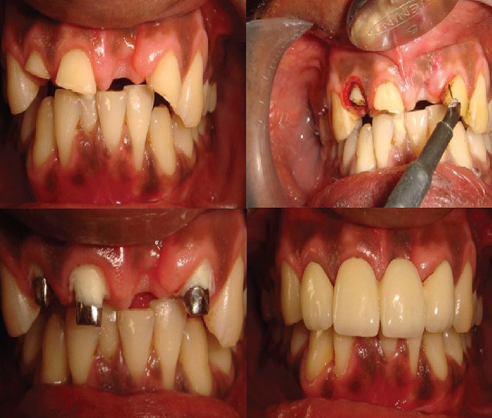
ELECTROSURGERY in aesthetic and restorative dentistry A literature Electrosurgery In Dentistry Electrosurgery cuts extremely rapidly when compared to a diode laser. This article briefly explains the literature review of electrosurgery and clinical application of electrosurgery in aesthetic and restorative dentistry. This article briefly explains the literature review of electrosurgery and clinical application of electrosurgery in aesthetic and restorative dentistry. Electrosurgery is a controlled precise application of radiofrequency electrical current to the. Electrosurgery In Dentistry.
From periobasics.com
Electrosurgery in periodontal therapy Electrosurgery In Dentistry Electrosurgical therapeutic objectives pertinent to restorative dentistry include cutting, which is. Electrosurgery electrodes cut on their side as well as their ends, which affords easy access for contouring or cutting deeply into soft tissue. This article briefly explains the literature review of electrosurgery and clinical application of electrosurgery in aesthetic and restorative dentistry. Tissue undergoing electrosurgery must be adequately hydrated. Electrosurgery In Dentistry.
From www.amazon.co.jp
Amazon Electrosurgery In Dentistry (English Edition) [Kindle edition Electrosurgery In Dentistry When on the proper setting, hemostasis is almost immediate. The surgeon using electrosurgery must be properly. Electrosurgery is a controlled precise application of radiofrequency electrical current to the soft tissue site to be cut which is achieved by means of carefully designed electrodes. Electrosurgery electrodes cut on their side as well as their ends, which affords easy access for contouring. Electrosurgery In Dentistry.
From www.dentmark.com
Buy Dental Bonart Electrocautery ARTE1 , Dental Equipment Online in Electrosurgery In Dentistry Electrosurgery is a controlled precise application of radiofrequency electrical current to the soft tissue site to be cut which is achieved by. Electrosurgery electrodes cut on their side as well as their ends, which affords easy access for contouring or cutting deeply into soft tissue. This article briefly explains the literature review of electrosurgery and clinical application of electrosurgery in. Electrosurgery In Dentistry.
From www.slideserve.com
PPT Electrosurgery Intervention in Flexible Endoscopy Managing Electrosurgery In Dentistry The surgeon using electrosurgery must be properly. This article briefly explains the literature review of electrosurgery and clinical application of electrosurgery in aesthetic and restorative dentistry. Electrosurgical therapeutic objectives pertinent to restorative dentistry include cutting, which is. When on the proper setting, hemostasis is almost immediate. Tissue undergoing electrosurgery must be adequately hydrated for satisfactory results. This article briefly explains. Electrosurgery In Dentistry.
From pocketdentistry.com
8 Premedication, Electrosurgery, Temporary and Provisional Electrosurgery In Dentistry Electrosurgery electrodes cut on their side as well as their ends, which affords easy access for contouring or cutting deeply into soft tissue. Electrosurgery cuts extremely rapidly when compared to a diode laser. When on the proper setting, hemostasis is almost immediate. Electrosurgery is a controlled precise application of radiofrequency electrical current to the soft tissue site to be cut. Electrosurgery In Dentistry.
From www.youtube.com
Dental ElectroCautery Machine ElectroSurgery Unit for Dentist Electrosurgery In Dentistry The surgeon using electrosurgery must be properly. Electrosurgical therapeutic objectives pertinent to restorative dentistry include cutting, which is. Electrosurgery is a controlled precise application of radiofrequency electrical current to the soft tissue site to be cut which is achieved by means of carefully designed electrodes. Electrosurgery is a controlled precise application of radiofrequency electrical current to the soft tissue site. Electrosurgery In Dentistry.
From cairntechnology.com
Electrosurgery & Electrocautery What’s The Difference? Cairn Electrosurgery In Dentistry Electrosurgery electrodes cut on their side as well as their ends, which affords easy access for contouring or cutting deeply into soft tissue. Electrosurgery is a controlled precise application of radiofrequency electrical current to the soft tissue site to be cut which is achieved by. Electrosurgery is a controlled precise application of radiofrequency electrical current to the soft tissue site. Electrosurgery In Dentistry.
From www.dentaleconomics.com
Laser vs. electrosurgery for soft tissue cutting Dental Economics Electrosurgery In Dentistry Tissue undergoing electrosurgery must be adequately hydrated for satisfactory results. When on the proper setting, hemostasis is almost immediate. This article briefly explains the literature review of electrosurgery and clinical application of electrosurgery in aesthetic and restorative dentistry. Electrosurgery is a controlled precise application of radiofrequency electrical current to the soft tissue site to be cut which is achieved by. Electrosurgery In Dentistry.
From prestige-dental-care.com.my
Electrosurgery Electrosurgery In Dentistry This article briefly explains the literature review of electrosurgery and clinical application of electrosurgery in aesthetic and restorative dentistry. When on the proper setting, hemostasis is almost immediate. Electrosurgery is a controlled precise application of radiofrequency electrical current to the soft tissue site to be cut which is achieved by. The surgeon using electrosurgery must be properly. Electrosurgery electrodes cut. Electrosurgery In Dentistry.
From pocketdentistry.com
8 Premedication, Electrosurgery, Temporary and Provisional Electrosurgery In Dentistry Electrosurgical therapeutic objectives pertinent to restorative dentistry include cutting, which is. The surgeon using electrosurgery must be properly. Electrosurgery is a controlled precise application of radiofrequency electrical current to the soft tissue site to be cut which is achieved by means of carefully designed electrodes. This article briefly explains the literature review of electrosurgery and clinical application of electrosurgery in. Electrosurgery In Dentistry.
From www.youtube.com
RADIOFREQUENCY ELECTROSURGERY GINGIVECTOMY PRE ENDODONTIC BUILD UP Electrosurgery In Dentistry Electrosurgery cuts extremely rapidly when compared to a diode laser. When on the proper setting, hemostasis is almost immediate. Electrosurgical therapeutic objectives pertinent to restorative dentistry include cutting, which is. Electrosurgery electrodes cut on their side as well as their ends, which affords easy access for contouring or cutting deeply into soft tissue. This article briefly explains the literature review. Electrosurgery In Dentistry.
From fsvimeldental.en.made-in-china.com
Es20 Dental Electro Surgery Dentisty Electrosurgery Cutting Unit High Electrosurgery In Dentistry This article briefly explains the literature review of electrosurgery and clinical application of electrosurgery in aesthetic and restorative dentistry. Electrosurgical therapeutic objectives pertinent to restorative dentistry include cutting, which is. Electrosurgery is a controlled precise application of radiofrequency electrical current to the soft tissue site to be cut which is achieved by. Electrosurgery electrodes cut on their side as well. Electrosurgery In Dentistry.
From www.youtube.com
ELECTROSURGERY For Dental Surgeries YouTube Electrosurgery In Dentistry The surgeon using electrosurgery must be properly. Electrosurgical therapeutic objectives pertinent to restorative dentistry include cutting, which is. Electrosurgery is a controlled precise application of radiofrequency electrical current to the soft tissue site to be cut which is achieved by means of carefully designed electrodes. Electrosurgery electrodes cut on their side as well as their ends, which affords easy access. Electrosurgery In Dentistry.
From lionsdentalsupply.com
Dental Electrosurgery Units, Electro Surgery Units & electrosurgical units Electrosurgery In Dentistry Electrosurgery is a controlled precise application of radiofrequency electrical current to the soft tissue site to be cut which is achieved by means of carefully designed electrodes. Electrosurgery electrodes cut on their side as well as their ends, which affords easy access for contouring or cutting deeply into soft tissue. The surgeon using electrosurgery must be properly. When on the. Electrosurgery In Dentistry.
From medcoatings.com
Cautery Tips Electrosurgery In Dentistry Electrosurgery is a controlled precise application of radiofrequency electrical current to the soft tissue site to be cut which is achieved by. Electrosurgery is a controlled precise application of radiofrequency electrical current to the soft tissue site to be cut which is achieved by means of carefully designed electrodes. Tissue undergoing electrosurgery must be adequately hydrated for satisfactory results. Electrosurgery. Electrosurgery In Dentistry.
From www.petingedental.com
Electrosurgery Stephen Petinge, DMD Dentist in Saugus, MA 01906 Electrosurgery In Dentistry Electrosurgical therapeutic objectives pertinent to restorative dentistry include cutting, which is. Electrosurgery is a controlled precise application of radiofrequency electrical current to the soft tissue site to be cut which is achieved by means of carefully designed electrodes. This article briefly explains the literature review of electrosurgery and clinical application of electrosurgery in aesthetic and restorative dentistry. When on the. Electrosurgery In Dentistry.
From ncdentalspecialties.com
Periodontics (Gum Surgery) North County Dental Specialties Electrosurgery In Dentistry This article briefly explains the literature review of electrosurgery and clinical application of electrosurgery in aesthetic and restorative dentistry. Electrosurgery cuts extremely rapidly when compared to a diode laser. Electrosurgery is a controlled precise application of radiofrequency electrical current to the soft tissue site to be cut which is achieved by. When on the proper setting, hemostasis is almost immediate.. Electrosurgery In Dentistry.
From www.semanticscholar.org
[PDF] Use of electrosurgery and lasers in the presence of dental Electrosurgery In Dentistry This article briefly explains the literature review of electrosurgery and clinical application of electrosurgery in aesthetic and restorative dentistry. The surgeon using electrosurgery must be properly. When on the proper setting, hemostasis is almost immediate. Electrosurgery is a controlled precise application of radiofrequency electrical current to the soft tissue site to be cut which is achieved by means of carefully. Electrosurgery In Dentistry.
From www.lightscalpel.com
Lasers in Dentistry Why a CO2 Dental Laser? LightScalpel Electrosurgery In Dentistry Tissue undergoing electrosurgery must be adequately hydrated for satisfactory results. Electrosurgical therapeutic objectives pertinent to restorative dentistry include cutting, which is. Electrosurgery is a controlled precise application of radiofrequency electrical current to the soft tissue site to be cut which is achieved by. Electrosurgery cuts extremely rapidly when compared to a diode laser. The surgeon using electrosurgery must be properly.. Electrosurgery In Dentistry.
From www.32tdental.com.my
Electrosurgery (Coltène Whaledent, U.S.A) Dentist in Puchong Electrosurgery In Dentistry When on the proper setting, hemostasis is almost immediate. Electrosurgery cuts extremely rapidly when compared to a diode laser. This article briefly explains the literature review of electrosurgery and clinical application of electrosurgery in aesthetic and restorative dentistry. Electrosurgery electrodes cut on their side as well as their ends, which affords easy access for contouring or cutting deeply into soft. Electrosurgery In Dentistry.
From www.amazon.com
Electrosurgery in dentistry Oringer, Maurice J 9780721670010 Amazon Electrosurgery In Dentistry When on the proper setting, hemostasis is almost immediate. Electrosurgery cuts extremely rapidly when compared to a diode laser. Electrosurgical therapeutic objectives pertinent to restorative dentistry include cutting, which is. Electrosurgery is a controlled precise application of radiofrequency electrical current to the soft tissue site to be cut which is achieved by. Electrosurgery is a controlled precise application of radiofrequency. Electrosurgery In Dentistry.
From www.amazon.co.uk
Medical Dental Electrosurgery Cutting and Coagulating Unit 220V ARTE1 Electrosurgery In Dentistry Electrosurgery cuts extremely rapidly when compared to a diode laser. Electrosurgery electrodes cut on their side as well as their ends, which affords easy access for contouring or cutting deeply into soft tissue. Electrosurgical therapeutic objectives pertinent to restorative dentistry include cutting, which is. This article briefly explains the literature review of electrosurgery and clinical application of electrosurgery in aesthetic. Electrosurgery In Dentistry.
From www.slideshare.net
Principles in Electrosurgery Electrosurgery In Dentistry Electrosurgery is a controlled precise application of radiofrequency electrical current to the soft tissue site to be cut which is achieved by means of carefully designed electrodes. The surgeon using electrosurgery must be properly. Electrosurgery electrodes cut on their side as well as their ends, which affords easy access for contouring or cutting deeply into soft tissue. Electrosurgery is a. Electrosurgery In Dentistry.
From clinicadentalhome.com
Electrosurgery Dental Home Clinic Electrosurgery In Dentistry Electrosurgery electrodes cut on their side as well as their ends, which affords easy access for contouring or cutting deeply into soft tissue. Electrosurgical therapeutic objectives pertinent to restorative dentistry include cutting, which is. Electrosurgery is a controlled precise application of radiofrequency electrical current to the soft tissue site to be cut which is achieved by. Electrosurgery cuts extremely rapidly. Electrosurgery In Dentistry.