What Causes Air Bubbles In Rib Cage . Diseases like these can damage the lungs, leaving them. Air trapping can occur in people with lung conditions such as asthma or chronic obstructive pulmonary disease (copd). A pneumothorax occurs when air becomes trapped between a lung and the chest wall. Buildup of air might push on the area around your lungs, causing one to collapse (pneumothorax). Some individuals would describe it as a sort of cracking feeling in the chest, with the sensation that something (the air bubble) is about to “pop” right. Air may move from the. A pneumothorax can be caused by a blunt or penetrating chest injury, certain medical procedures, or damage from underlying lung. The air usually gets there either from the lungs or.
from www.ecgedu.com
A pneumothorax can be caused by a blunt or penetrating chest injury, certain medical procedures, or damage from underlying lung. Some individuals would describe it as a sort of cracking feeling in the chest, with the sensation that something (the air bubble) is about to “pop” right. A pneumothorax occurs when air becomes trapped between a lung and the chest wall. The air usually gets there either from the lungs or. Diseases like these can damage the lungs, leaving them. Buildup of air might push on the area around your lungs, causing one to collapse (pneumothorax). Air trapping can occur in people with lung conditions such as asthma or chronic obstructive pulmonary disease (copd). Air may move from the.
Proper Electrocardiogram (ECG/EKG) Lead Placement ECGEDU
What Causes Air Bubbles In Rib Cage Air trapping can occur in people with lung conditions such as asthma or chronic obstructive pulmonary disease (copd). Diseases like these can damage the lungs, leaving them. Air trapping can occur in people with lung conditions such as asthma or chronic obstructive pulmonary disease (copd). A pneumothorax can be caused by a blunt or penetrating chest injury, certain medical procedures, or damage from underlying lung. The air usually gets there either from the lungs or. Some individuals would describe it as a sort of cracking feeling in the chest, with the sensation that something (the air bubble) is about to “pop” right. Buildup of air might push on the area around your lungs, causing one to collapse (pneumothorax). Air may move from the. A pneumothorax occurs when air becomes trapped between a lung and the chest wall.
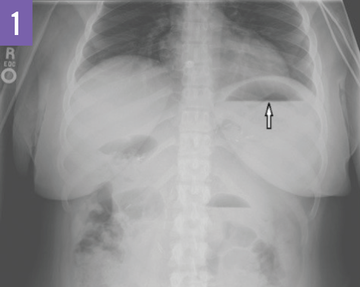
From johnsonfrancis.org
Dextrocardia and dextroposition All About Cardiovascular System and What Causes Air Bubbles In Rib Cage Air may move from the. The air usually gets there either from the lungs or. Buildup of air might push on the area around your lungs, causing one to collapse (pneumothorax). Some individuals would describe it as a sort of cracking feeling in the chest, with the sensation that something (the air bubble) is about to “pop” right. Diseases like. What Causes Air Bubbles In Rib Cage.
From www.ribinjuryclinic.com
Rib Injury Rib Injury Clinic What Causes Air Bubbles In Rib Cage Air trapping can occur in people with lung conditions such as asthma or chronic obstructive pulmonary disease (copd). Some individuals would describe it as a sort of cracking feeling in the chest, with the sensation that something (the air bubble) is about to “pop” right. Diseases like these can damage the lungs, leaving them. The air usually gets there either. What Causes Air Bubbles In Rib Cage.
From www.youtube.com
Rib Flare Fix It for Good YouTube What Causes Air Bubbles In Rib Cage A pneumothorax can be caused by a blunt or penetrating chest injury, certain medical procedures, or damage from underlying lung. Some individuals would describe it as a sort of cracking feeling in the chest, with the sensation that something (the air bubble) is about to “pop” right. Buildup of air might push on the area around your lungs, causing one. What Causes Air Bubbles In Rib Cage.
From loehbmmcp.blob.core.windows.net
Sharp Pain In Lower Right Rib Cage at Colleen Magill blog What Causes Air Bubbles In Rib Cage Air may move from the. Diseases like these can damage the lungs, leaving them. Buildup of air might push on the area around your lungs, causing one to collapse (pneumothorax). A pneumothorax occurs when air becomes trapped between a lung and the chest wall. The air usually gets there either from the lungs or. Air trapping can occur in people. What Causes Air Bubbles In Rib Cage.
From klaruollu.blob.core.windows.net
What Causes Air Bubbles In Your Joints at Verna Loney blog What Causes Air Bubbles In Rib Cage Some individuals would describe it as a sort of cracking feeling in the chest, with the sensation that something (the air bubble) is about to “pop” right. A pneumothorax can be caused by a blunt or penetrating chest injury, certain medical procedures, or damage from underlying lung. Diseases like these can damage the lungs, leaving them. Buildup of air might. What Causes Air Bubbles In Rib Cage.
From skillingsandsons.squarespace.com
What Causes Air Bubbles in my Well Water — Skillings & Sons, LLC NH What Causes Air Bubbles In Rib Cage Air may move from the. Air trapping can occur in people with lung conditions such as asthma or chronic obstructive pulmonary disease (copd). The air usually gets there either from the lungs or. Some individuals would describe it as a sort of cracking feeling in the chest, with the sensation that something (the air bubble) is about to “pop” right.. What Causes Air Bubbles In Rib Cage.
From almostadoctor.co.uk
Chest XRay almostadoctor What Causes Air Bubbles In Rib Cage The air usually gets there either from the lungs or. Air trapping can occur in people with lung conditions such as asthma or chronic obstructive pulmonary disease (copd). Buildup of air might push on the area around your lungs, causing one to collapse (pneumothorax). A pneumothorax occurs when air becomes trapped between a lung and the chest wall. Some individuals. What Causes Air Bubbles In Rib Cage.
From loetunjhi.blob.core.windows.net
Pain Under Rib Cage Symptoms at Stan Stewart blog What Causes Air Bubbles In Rib Cage Air trapping can occur in people with lung conditions such as asthma or chronic obstructive pulmonary disease (copd). Diseases like these can damage the lungs, leaving them. Buildup of air might push on the area around your lungs, causing one to collapse (pneumothorax). The air usually gets there either from the lungs or. Some individuals would describe it as a. What Causes Air Bubbles In Rib Cage.
From rocadosim.blogspot.com
Rib Pain Left Side Here's What It Means If You Have Pain Under You What Causes Air Bubbles In Rib Cage Diseases like these can damage the lungs, leaving them. Air trapping can occur in people with lung conditions such as asthma or chronic obstructive pulmonary disease (copd). A pneumothorax can be caused by a blunt or penetrating chest injury, certain medical procedures, or damage from underlying lung. A pneumothorax occurs when air becomes trapped between a lung and the chest. What Causes Air Bubbles In Rib Cage.
From yogvidnyan.blogspot.com
Rib Cage Yoga and Medical Science What Causes Air Bubbles In Rib Cage Air may move from the. A pneumothorax occurs when air becomes trapped between a lung and the chest wall. Air trapping can occur in people with lung conditions such as asthma or chronic obstructive pulmonary disease (copd). Diseases like these can damage the lungs, leaving them. Buildup of air might push on the area around your lungs, causing one to. What Causes Air Bubbles In Rib Cage.
From www.pectusclinic.com
Rib Flare Pectus Clinic What Causes Air Bubbles In Rib Cage Some individuals would describe it as a sort of cracking feeling in the chest, with the sensation that something (the air bubble) is about to “pop” right. Buildup of air might push on the area around your lungs, causing one to collapse (pneumothorax). A pneumothorax occurs when air becomes trapped between a lung and the chest wall. A pneumothorax can. What Causes Air Bubbles In Rib Cage.
From www.researchgate.net
A chest Xray shows the presence of a gastric air bubble in the chest What Causes Air Bubbles In Rib Cage Diseases like these can damage the lungs, leaving them. Air may move from the. The air usually gets there either from the lungs or. Air trapping can occur in people with lung conditions such as asthma or chronic obstructive pulmonary disease (copd). A pneumothorax occurs when air becomes trapped between a lung and the chest wall. Buildup of air might. What Causes Air Bubbles In Rib Cage.
From jcp.bmj.com
Posttraumatic fibroosseous lesion of the ribs a relatively under What Causes Air Bubbles In Rib Cage Air trapping can occur in people with lung conditions such as asthma or chronic obstructive pulmonary disease (copd). Buildup of air might push on the area around your lungs, causing one to collapse (pneumothorax). The air usually gets there either from the lungs or. Air may move from the. A pneumothorax can be caused by a blunt or penetrating chest. What Causes Air Bubbles In Rib Cage.
From www.tamingthesru.com
The Abdominal XRay A relic or a reliable tool? — Taming the SRU What Causes Air Bubbles In Rib Cage Buildup of air might push on the area around your lungs, causing one to collapse (pneumothorax). Air may move from the. Some individuals would describe it as a sort of cracking feeling in the chest, with the sensation that something (the air bubble) is about to “pop” right. Air trapping can occur in people with lung conditions such as asthma. What Causes Air Bubbles In Rib Cage.
From www.cureus.com
Perforation of the Meckel’s Diverticulum Following Blunt Trauma to the What Causes Air Bubbles In Rib Cage Some individuals would describe it as a sort of cracking feeling in the chest, with the sensation that something (the air bubble) is about to “pop” right. A pneumothorax occurs when air becomes trapped between a lung and the chest wall. Diseases like these can damage the lungs, leaving them. The air usually gets there either from the lungs or.. What Causes Air Bubbles In Rib Cage.
From exozatbrx.blob.core.windows.net
Causes For Pain Under Right Rib Cage at Danyelle Chaffin blog What Causes Air Bubbles In Rib Cage A pneumothorax can be caused by a blunt or penetrating chest injury, certain medical procedures, or damage from underlying lung. Buildup of air might push on the area around your lungs, causing one to collapse (pneumothorax). Air may move from the. A pneumothorax occurs when air becomes trapped between a lung and the chest wall. Air trapping can occur in. What Causes Air Bubbles In Rib Cage.
From www.builtlean.com
What Is Rib Flare (& How To Prevent It) BuiltLean What Causes Air Bubbles In Rib Cage The air usually gets there either from the lungs or. A pneumothorax can be caused by a blunt or penetrating chest injury, certain medical procedures, or damage from underlying lung. Diseases like these can damage the lungs, leaving them. Some individuals would describe it as a sort of cracking feeling in the chest, with the sensation that something (the air. What Causes Air Bubbles In Rib Cage.
From klaruollu.blob.core.windows.net
What Causes Air Bubbles In Your Joints at Verna Loney blog What Causes Air Bubbles In Rib Cage Air may move from the. A pneumothorax occurs when air becomes trapped between a lung and the chest wall. Diseases like these can damage the lungs, leaving them. A pneumothorax can be caused by a blunt or penetrating chest injury, certain medical procedures, or damage from underlying lung. Air trapping can occur in people with lung conditions such as asthma. What Causes Air Bubbles In Rib Cage.
From www.researchgate.net
Chest Xray showing massive left side pleural effusion and right upper What Causes Air Bubbles In Rib Cage Air trapping can occur in people with lung conditions such as asthma or chronic obstructive pulmonary disease (copd). Air may move from the. Some individuals would describe it as a sort of cracking feeling in the chest, with the sensation that something (the air bubble) is about to “pop” right. Buildup of air might push on the area around your. What Causes Air Bubbles In Rib Cage.
From www.consultant360.com
Internal Hernia and Gastric Remnant Perforation After Gastric Bypass What Causes Air Bubbles In Rib Cage Air trapping can occur in people with lung conditions such as asthma or chronic obstructive pulmonary disease (copd). A pneumothorax can be caused by a blunt or penetrating chest injury, certain medical procedures, or damage from underlying lung. Air may move from the. A pneumothorax occurs when air becomes trapped between a lung and the chest wall. Diseases like these. What Causes Air Bubbles In Rib Cage.
From dxoqqmfzd.blob.core.windows.net
Hip Pain Radiating To Ribs at Corrine Calhoun blog What Causes Air Bubbles In Rib Cage Air trapping can occur in people with lung conditions such as asthma or chronic obstructive pulmonary disease (copd). Buildup of air might push on the area around your lungs, causing one to collapse (pneumothorax). A pneumothorax can be caused by a blunt or penetrating chest injury, certain medical procedures, or damage from underlying lung. Diseases like these can damage the. What Causes Air Bubbles In Rib Cage.
From www.medicalnewstoday.com
Slipping rib syndrome Causes, treatment, and diagnosis What Causes Air Bubbles In Rib Cage Diseases like these can damage the lungs, leaving them. Air trapping can occur in people with lung conditions such as asthma or chronic obstructive pulmonary disease (copd). A pneumothorax can be caused by a blunt or penetrating chest injury, certain medical procedures, or damage from underlying lung. A pneumothorax occurs when air becomes trapped between a lung and the chest. What Causes Air Bubbles In Rib Cage.
From www.cureus.com
Cureus An Unfortunate Polyneuropathy, Organomegaly, Endocrinopathy What Causes Air Bubbles In Rib Cage Buildup of air might push on the area around your lungs, causing one to collapse (pneumothorax). Some individuals would describe it as a sort of cracking feeling in the chest, with the sensation that something (the air bubble) is about to “pop” right. A pneumothorax occurs when air becomes trapped between a lung and the chest wall. Air may move. What Causes Air Bubbles In Rib Cage.
From exonnicat.blob.core.windows.net
Does A Chest X Ray Show The Stomach at Brad Grass blog What Causes Air Bubbles In Rib Cage Diseases like these can damage the lungs, leaving them. The air usually gets there either from the lungs or. Some individuals would describe it as a sort of cracking feeling in the chest, with the sensation that something (the air bubble) is about to “pop” right. Buildup of air might push on the area around your lungs, causing one to. What Causes Air Bubbles In Rib Cage.
From www.roshreview.com
Image Coarctation of Aorta, rib notching What Causes Air Bubbles In Rib Cage Buildup of air might push on the area around your lungs, causing one to collapse (pneumothorax). A pneumothorax can be caused by a blunt or penetrating chest injury, certain medical procedures, or damage from underlying lung. Diseases like these can damage the lungs, leaving them. Air trapping can occur in people with lung conditions such as asthma or chronic obstructive. What Causes Air Bubbles In Rib Cage.
From www.slideserve.com
PPT Basics of Chest XRay PowerPoint Presentation, free download ID What Causes Air Bubbles In Rib Cage Some individuals would describe it as a sort of cracking feeling in the chest, with the sensation that something (the air bubble) is about to “pop” right. The air usually gets there either from the lungs or. A pneumothorax can be caused by a blunt or penetrating chest injury, certain medical procedures, or damage from underlying lung. Buildup of air. What Causes Air Bubbles In Rib Cage.
From goodybedside.georgetown.domains
Splenomegaly Allan J. Goody Bedside Medicine Series What Causes Air Bubbles In Rib Cage Air may move from the. A pneumothorax can be caused by a blunt or penetrating chest injury, certain medical procedures, or damage from underlying lung. The air usually gets there either from the lungs or. Buildup of air might push on the area around your lungs, causing one to collapse (pneumothorax). Diseases like these can damage the lungs, leaving them.. What Causes Air Bubbles In Rib Cage.
From chloe-annhiggs.blogspot.com
What Is Right Below Ribcage / 23 Common Causes of Pain under Left Rib What Causes Air Bubbles In Rib Cage Some individuals would describe it as a sort of cracking feeling in the chest, with the sensation that something (the air bubble) is about to “pop” right. Air may move from the. Diseases like these can damage the lungs, leaving them. The air usually gets there either from the lungs or. A pneumothorax occurs when air becomes trapped between a. What Causes Air Bubbles In Rib Cage.
From wholesomealive.com
Have You Ever Felt Pop in Rib Cage? 6 Ways to Treat a Popped Rib at Home! What Causes Air Bubbles In Rib Cage Air trapping can occur in people with lung conditions such as asthma or chronic obstructive pulmonary disease (copd). The air usually gets there either from the lungs or. Air may move from the. Buildup of air might push on the area around your lungs, causing one to collapse (pneumothorax). A pneumothorax can be caused by a blunt or penetrating chest. What Causes Air Bubbles In Rib Cage.
From exyfbegni.blob.core.windows.net
Pain Under Left Rib Cage And Between Shoulder Blades at Dwayne Ortiz blog What Causes Air Bubbles In Rib Cage Diseases like these can damage the lungs, leaving them. Air may move from the. A pneumothorax can be caused by a blunt or penetrating chest injury, certain medical procedures, or damage from underlying lung. Buildup of air might push on the area around your lungs, causing one to collapse (pneumothorax). The air usually gets there either from the lungs or.. What Causes Air Bubbles In Rib Cage.
From www.ecgedu.com
Proper Electrocardiogram (ECG/EKG) Lead Placement ECGEDU What Causes Air Bubbles In Rib Cage Some individuals would describe it as a sort of cracking feeling in the chest, with the sensation that something (the air bubble) is about to “pop” right. The air usually gets there either from the lungs or. A pneumothorax can be caused by a blunt or penetrating chest injury, certain medical procedures, or damage from underlying lung. A pneumothorax occurs. What Causes Air Bubbles In Rib Cage.
From www.online-sciences.com
Mechanics of Pulmonary Ventilation and Pressure changes during What Causes Air Bubbles In Rib Cage Buildup of air might push on the area around your lungs, causing one to collapse (pneumothorax). Diseases like these can damage the lungs, leaving them. A pneumothorax can be caused by a blunt or penetrating chest injury, certain medical procedures, or damage from underlying lung. Air trapping can occur in people with lung conditions such as asthma or chronic obstructive. What Causes Air Bubbles In Rib Cage.
From pubs.rsna.org
Traumatic Rib Injury Patterns, Imaging Pitfalls, Complications, and What Causes Air Bubbles In Rib Cage A pneumothorax can be caused by a blunt or penetrating chest injury, certain medical procedures, or damage from underlying lung. The air usually gets there either from the lungs or. Diseases like these can damage the lungs, leaving them. Air trapping can occur in people with lung conditions such as asthma or chronic obstructive pulmonary disease (copd). Air may move. What Causes Air Bubbles In Rib Cage.
From www.stylecraze.com
Sudden Sharp Pain Under The Left Rib Cage Causes, Symptoms, And What Causes Air Bubbles In Rib Cage The air usually gets there either from the lungs or. Some individuals would describe it as a sort of cracking feeling in the chest, with the sensation that something (the air bubble) is about to “pop” right. Air trapping can occur in people with lung conditions such as asthma or chronic obstructive pulmonary disease (copd). A pneumothorax occurs when air. What Causes Air Bubbles In Rib Cage.
From www.researchgate.net
A) chest Xray showing stomach dilation, prominent gastric air bubble What Causes Air Bubbles In Rib Cage Buildup of air might push on the area around your lungs, causing one to collapse (pneumothorax). A pneumothorax occurs when air becomes trapped between a lung and the chest wall. The air usually gets there either from the lungs or. A pneumothorax can be caused by a blunt or penetrating chest injury, certain medical procedures, or damage from underlying lung.. What Causes Air Bubbles In Rib Cage.