Sleeping After Hip Replacement Complications . What are the risks or complications of a hip replacement? After hip replacement surgery, you'll temporarily be at increased risk of blood clots in your legs. The most common cause of sleep disruption is pain. Complications from a hip replacement are rare, but can happen. “as with any surgery, there is some risk of complications during and after a hip replacement, which may include infection at the incision site, bone fractures and hip dislocations,” explains thakkar. When you’re sleeping on your back, make sure you don’t cross your ankles or legs. After hip replacement surgery, you should be able to sleep on your side for a few weeks. Hospital staff will discuss possible complications, and review with. Although the complication rate after total hip replacement is low, when complications do occur, they can prolong or limit full recovery. The best position to sleep in after total hip replacement is on your back with a pillow between your legs. To ensure a quick recovery, keep two pillows between your legs at all times, avoid crossing your legs. Possible measures to prevent this. One of the most common complaints after total hip replacement is difficulty sleeping.
from exykdfxho.blob.core.windows.net
One of the most common complaints after total hip replacement is difficulty sleeping. After hip replacement surgery, you'll temporarily be at increased risk of blood clots in your legs. Although the complication rate after total hip replacement is low, when complications do occur, they can prolong or limit full recovery. The best position to sleep in after total hip replacement is on your back with a pillow between your legs. Hospital staff will discuss possible complications, and review with. Complications from a hip replacement are rare, but can happen. Possible measures to prevent this. What are the risks or complications of a hip replacement? “as with any surgery, there is some risk of complications during and after a hip replacement, which may include infection at the incision site, bone fractures and hip dislocations,” explains thakkar. The most common cause of sleep disruption is pain.
How Do You Sleep After Hip Pinning Surgery at Jeramy Nettles blog
Sleeping After Hip Replacement Complications When you’re sleeping on your back, make sure you don’t cross your ankles or legs. What are the risks or complications of a hip replacement? One of the most common complaints after total hip replacement is difficulty sleeping. After hip replacement surgery, you'll temporarily be at increased risk of blood clots in your legs. Hospital staff will discuss possible complications, and review with. “as with any surgery, there is some risk of complications during and after a hip replacement, which may include infection at the incision site, bone fractures and hip dislocations,” explains thakkar. The best position to sleep in after total hip replacement is on your back with a pillow between your legs. Although the complication rate after total hip replacement is low, when complications do occur, they can prolong or limit full recovery. Possible measures to prevent this. After hip replacement surgery, you should be able to sleep on your side for a few weeks. The most common cause of sleep disruption is pain. To ensure a quick recovery, keep two pillows between your legs at all times, avoid crossing your legs. When you’re sleeping on your back, make sure you don’t cross your ankles or legs. Complications from a hip replacement are rare, but can happen.
From www.equipmeot.com
How To Sleep After Hip Replacement EquipMeOT Sleeping After Hip Replacement Complications Although the complication rate after total hip replacement is low, when complications do occur, they can prolong or limit full recovery. To ensure a quick recovery, keep two pillows between your legs at all times, avoid crossing your legs. Complications from a hip replacement are rare, but can happen. One of the most common complaints after total hip replacement is. Sleeping After Hip Replacement Complications.
From www.karasmd.com
Having Trouble Sleeping After Your Surgery? Vasili Karas, M.D., M.S. Hip and Knee Replacement Sleeping After Hip Replacement Complications When you’re sleeping on your back, make sure you don’t cross your ankles or legs. “as with any surgery, there is some risk of complications during and after a hip replacement, which may include infection at the incision site, bone fractures and hip dislocations,” explains thakkar. What are the risks or complications of a hip replacement? After hip replacement surgery,. Sleeping After Hip Replacement Complications.
From drvarunaggarwal.com
How to sleep after hip replacement surgery? Dr. Varun Aggarwal Sleeping After Hip Replacement Complications What are the risks or complications of a hip replacement? The best position to sleep in after total hip replacement is on your back with a pillow between your legs. “as with any surgery, there is some risk of complications during and after a hip replacement, which may include infection at the incision site, bone fractures and hip dislocations,” explains. Sleeping After Hip Replacement Complications.
From www.youtube.com
How To Sleep After Hip Replacement Hip Surgery YouTube Sleeping After Hip Replacement Complications One of the most common complaints after total hip replacement is difficulty sleeping. To ensure a quick recovery, keep two pillows between your legs at all times, avoid crossing your legs. The most common cause of sleep disruption is pain. What are the risks or complications of a hip replacement? Possible measures to prevent this. “as with any surgery, there. Sleeping After Hip Replacement Complications.
From www.brandonorthopedics.com
5 Tips For A Good Night’s Sleep After Hip Replacement Surgery Brandon Orthopedics Sleeping After Hip Replacement Complications “as with any surgery, there is some risk of complications during and after a hip replacement, which may include infection at the incision site, bone fractures and hip dislocations,” explains thakkar. Complications from a hip replacement are rare, but can happen. The best position to sleep in after total hip replacement is on your back with a pillow between your. Sleeping After Hip Replacement Complications.
From www.mobilitygoal.com
How to Sleep After Hip Replacement Hip Knee Replacement Recovery Tips Advice Sleeping After Hip Replacement Complications “as with any surgery, there is some risk of complications during and after a hip replacement, which may include infection at the incision site, bone fractures and hip dislocations,” explains thakkar. Possible measures to prevent this. Complications from a hip replacement are rare, but can happen. One of the most common complaints after total hip replacement is difficulty sleeping. To. Sleeping After Hip Replacement Complications.
From www.equipmeot.com
Bed Mobility After Hip Replacement How to Get In and Out of Bed Sleeping After Hip Replacement Complications “as with any surgery, there is some risk of complications during and after a hip replacement, which may include infection at the incision site, bone fractures and hip dislocations,” explains thakkar. Complications from a hip replacement are rare, but can happen. When you’re sleeping on your back, make sure you don’t cross your ankles or legs. The best position to. Sleeping After Hip Replacement Complications.
From thesleepsavvy.com
How To Sleep After Hip Arthroscopy? Sleep Savvy Sleeping After Hip Replacement Complications One of the most common complaints after total hip replacement is difficulty sleeping. What are the risks or complications of a hip replacement? The most common cause of sleep disruption is pain. When you’re sleeping on your back, make sure you don’t cross your ankles or legs. Hospital staff will discuss possible complications, and review with. After hip replacement surgery,. Sleeping After Hip Replacement Complications.
From www.webdicine.com
Complications of Total Hip Replacement Surgery/Total Hip Arthroplasty Sleeping After Hip Replacement Complications The most common cause of sleep disruption is pain. After hip replacement surgery, you should be able to sleep on your side for a few weeks. One of the most common complaints after total hip replacement is difficulty sleeping. The best position to sleep in after total hip replacement is on your back with a pillow between your legs. After. Sleeping After Hip Replacement Complications.
From www.drstuartmackenzie.com.au
The best sleeping positions after a hip replacement Dr Stuart MacKenzie Sleeping After Hip Replacement Complications Possible measures to prevent this. “as with any surgery, there is some risk of complications during and after a hip replacement, which may include infection at the incision site, bone fractures and hip dislocations,” explains thakkar. The most common cause of sleep disruption is pain. Complications from a hip replacement are rare, but can happen. What are the risks or. Sleeping After Hip Replacement Complications.
From exylfuypc.blob.core.windows.net
When Can I Sleep On My Surgical Side After Hip Replacement at James Vega blog Sleeping After Hip Replacement Complications Although the complication rate after total hip replacement is low, when complications do occur, they can prolong or limit full recovery. Possible measures to prevent this. To ensure a quick recovery, keep two pillows between your legs at all times, avoid crossing your legs. The best position to sleep in after total hip replacement is on your back with a. Sleeping After Hip Replacement Complications.
From www.equipmeot.com
How To Sleep After Hip Replacement EquipMeOT Sleeping After Hip Replacement Complications To ensure a quick recovery, keep two pillows between your legs at all times, avoid crossing your legs. Although the complication rate after total hip replacement is low, when complications do occur, they can prolong or limit full recovery. After hip replacement surgery, you'll temporarily be at increased risk of blood clots in your legs. Hospital staff will discuss possible. Sleeping After Hip Replacement Complications.
From www.slideserve.com
PPT How to sleep After Total Hip Replacement surgery PowerPoint Presentation ID12268697 Sleeping After Hip Replacement Complications Possible measures to prevent this. What are the risks or complications of a hip replacement? To ensure a quick recovery, keep two pillows between your legs at all times, avoid crossing your legs. Complications from a hip replacement are rare, but can happen. One of the most common complaints after total hip replacement is difficulty sleeping. Hospital staff will discuss. Sleeping After Hip Replacement Complications.
From www.partaniclinic.com
How Should I Sleep After Hip Surgery? Partani Clinic Sleeping After Hip Replacement Complications Complications from a hip replacement are rare, but can happen. Hospital staff will discuss possible complications, and review with. What are the risks or complications of a hip replacement? Although the complication rate after total hip replacement is low, when complications do occur, they can prolong or limit full recovery. After hip replacement surgery, you should be able to sleep. Sleeping After Hip Replacement Complications.
From 34.194.2.33
How To Sleep After Hip Replacement EquipMeOT Sleeping After Hip Replacement Complications Hospital staff will discuss possible complications, and review with. What are the risks or complications of a hip replacement? Although the complication rate after total hip replacement is low, when complications do occur, they can prolong or limit full recovery. Complications from a hip replacement are rare, but can happen. The most common cause of sleep disruption is pain. Possible. Sleeping After Hip Replacement Complications.
From www.pinterest.com
Sleeping After Hip Surgery Cleveland Clinic Hip surgery, Hip replacement surgery, Surgery Sleeping After Hip Replacement Complications Although the complication rate after total hip replacement is low, when complications do occur, they can prolong or limit full recovery. After hip replacement surgery, you'll temporarily be at increased risk of blood clots in your legs. After hip replacement surgery, you should be able to sleep on your side for a few weeks. Complications from a hip replacement are. Sleeping After Hip Replacement Complications.
From jukitchen.com
How to Sleep After Hip Replacement Ju Kitchen Sleeping After Hip Replacement Complications “as with any surgery, there is some risk of complications during and after a hip replacement, which may include infection at the incision site, bone fractures and hip dislocations,” explains thakkar. After hip replacement surgery, you should be able to sleep on your side for a few weeks. One of the most common complaints after total hip replacement is difficulty. Sleeping After Hip Replacement Complications.
From www.equipmeot.com
How To Sleep After Hip Replacement EquipMeOT Sleeping After Hip Replacement Complications After hip replacement surgery, you should be able to sleep on your side for a few weeks. Complications from a hip replacement are rare, but can happen. One of the most common complaints after total hip replacement is difficulty sleeping. Hospital staff will discuss possible complications, and review with. To ensure a quick recovery, keep two pillows between your legs. Sleeping After Hip Replacement Complications.
From www.northwell.edu
Hip replacement Orthopaedic Institute Northwell Health Sleeping After Hip Replacement Complications One of the most common complaints after total hip replacement is difficulty sleeping. After hip replacement surgery, you should be able to sleep on your side for a few weeks. Complications from a hip replacement are rare, but can happen. Possible measures to prevent this. To ensure a quick recovery, keep two pillows between your legs at all times, avoid. Sleeping After Hip Replacement Complications.
From ortil.com
Best Sleeping Position after Hip Replacement Ortil Healthcare Sleeping After Hip Replacement Complications What are the risks or complications of a hip replacement? Possible measures to prevent this. Although the complication rate after total hip replacement is low, when complications do occur, they can prolong or limit full recovery. When you’re sleeping on your back, make sure you don’t cross your ankles or legs. One of the most common complaints after total hip. Sleeping After Hip Replacement Complications.
From drnkmagu.com
Best Sleeping Positions After Total Hip Replacement Surgery Sleeping After Hip Replacement Complications One of the most common complaints after total hip replacement is difficulty sleeping. “as with any surgery, there is some risk of complications during and after a hip replacement, which may include infection at the incision site, bone fractures and hip dislocations,” explains thakkar. After hip replacement surgery, you should be able to sleep on your side for a few. Sleeping After Hip Replacement Complications.
From dxobnuzgt.blob.core.windows.net
How To Sleep After Arthroscopic Hip Surgery at John Bradshaw blog Sleeping After Hip Replacement Complications One of the most common complaints after total hip replacement is difficulty sleeping. The best position to sleep in after total hip replacement is on your back with a pillow between your legs. Complications from a hip replacement are rare, but can happen. To ensure a quick recovery, keep two pillows between your legs at all times, avoid crossing your. Sleeping After Hip Replacement Complications.
From 34.194.2.33
How To Sleep After Hip Replacement EquipMeOT Sleeping After Hip Replacement Complications “as with any surgery, there is some risk of complications during and after a hip replacement, which may include infection at the incision site, bone fractures and hip dislocations,” explains thakkar. Possible measures to prevent this. To ensure a quick recovery, keep two pillows between your legs at all times, avoid crossing your legs. The most common cause of sleep. Sleeping After Hip Replacement Complications.
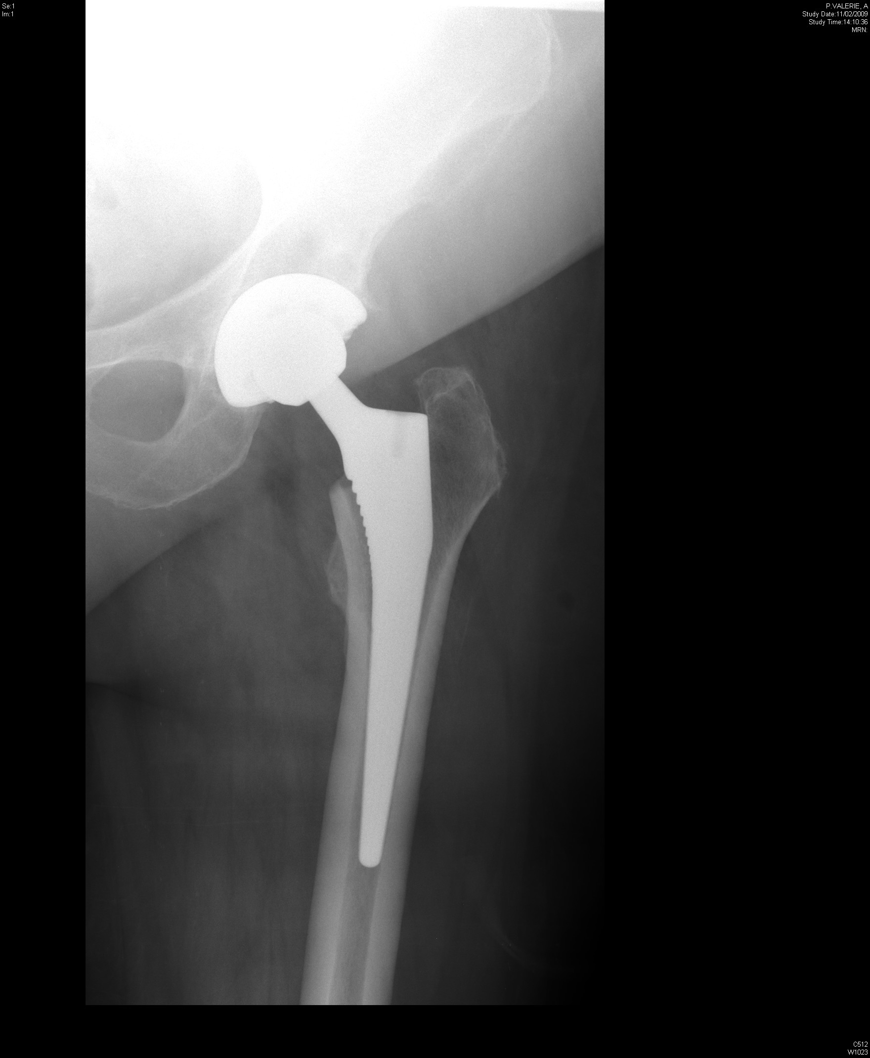
From radiopaedia.org
Dislocation of hip replacement Image Sleeping After Hip Replacement Complications “as with any surgery, there is some risk of complications during and after a hip replacement, which may include infection at the incision site, bone fractures and hip dislocations,” explains thakkar. When you’re sleeping on your back, make sure you don’t cross your ankles or legs. Hospital staff will discuss possible complications, and review with. To ensure a quick recovery,. Sleeping After Hip Replacement Complications.
From exylfuypc.blob.core.windows.net
When Can I Sleep On My Surgical Side After Hip Replacement at James Vega blog Sleeping After Hip Replacement Complications After hip replacement surgery, you'll temporarily be at increased risk of blood clots in your legs. Possible measures to prevent this. When you’re sleeping on your back, make sure you don’t cross your ankles or legs. The best position to sleep in after total hip replacement is on your back with a pillow between your legs. Complications from a hip. Sleeping After Hip Replacement Complications.
From 34.194.2.33
How To Sleep After Hip Replacement EquipMeOT Sleeping After Hip Replacement Complications What are the risks or complications of a hip replacement? Possible measures to prevent this. “as with any surgery, there is some risk of complications during and after a hip replacement, which may include infection at the incision site, bone fractures and hip dislocations,” explains thakkar. One of the most common complaints after total hip replacement is difficulty sleeping. The. Sleeping After Hip Replacement Complications.
From 34.194.2.33
How To Sleep After Hip Replacement EquipMeOT Sleeping After Hip Replacement Complications The most common cause of sleep disruption is pain. Complications from a hip replacement are rare, but can happen. One of the most common complaints after total hip replacement is difficulty sleeping. The best position to sleep in after total hip replacement is on your back with a pillow between your legs. “as with any surgery, there is some risk. Sleeping After Hip Replacement Complications.
From www.pinterest.es
How to get into bed after hip replacement surgery in 2020 Hip replacement surgery, Hip surgery Sleeping After Hip Replacement Complications After hip replacement surgery, you should be able to sleep on your side for a few weeks. After hip replacement surgery, you'll temporarily be at increased risk of blood clots in your legs. The best position to sleep in after total hip replacement is on your back with a pillow between your legs. One of the most common complaints after. Sleeping After Hip Replacement Complications.
From klalznver.blob.core.windows.net
Can You Sleep With A Pillow Under Your Leg After Hip Replacement at Diane Ludwig blog Sleeping After Hip Replacement Complications “as with any surgery, there is some risk of complications during and after a hip replacement, which may include infection at the incision site, bone fractures and hip dislocations,” explains thakkar. To ensure a quick recovery, keep two pillows between your legs at all times, avoid crossing your legs. The most common cause of sleep disruption is pain. When you’re. Sleeping After Hip Replacement Complications.
From www.youtube.com
Complications of Total Hip Replacement Surgery HexaHealth Expert YouTube Sleeping After Hip Replacement Complications One of the most common complaints after total hip replacement is difficulty sleeping. Possible measures to prevent this. Hospital staff will discuss possible complications, and review with. After hip replacement surgery, you should be able to sleep on your side for a few weeks. To ensure a quick recovery, keep two pillows between your legs at all times, avoid crossing. Sleeping After Hip Replacement Complications.
From www.youtube.com
Hip replacement sleeping position YouTube Sleeping After Hip Replacement Complications What are the risks or complications of a hip replacement? The most common cause of sleep disruption is pain. “as with any surgery, there is some risk of complications during and after a hip replacement, which may include infection at the incision site, bone fractures and hip dislocations,” explains thakkar. After hip replacement surgery, you should be able to sleep. Sleeping After Hip Replacement Complications.
From www.pinterest.ca
Sleeping Positions after a Hip Replacement Naples Orthopedic Doctor Leon Mead MD Hip Sleeping After Hip Replacement Complications To ensure a quick recovery, keep two pillows between your legs at all times, avoid crossing your legs. After hip replacement surgery, you should be able to sleep on your side for a few weeks. One of the most common complaints after total hip replacement is difficulty sleeping. What are the risks or complications of a hip replacement? Complications from. Sleeping After Hip Replacement Complications.
From exykdfxho.blob.core.windows.net
How Do You Sleep After Hip Pinning Surgery at Jeramy Nettles blog Sleeping After Hip Replacement Complications “as with any surgery, there is some risk of complications during and after a hip replacement, which may include infection at the incision site, bone fractures and hip dislocations,” explains thakkar. Complications from a hip replacement are rare, but can happen. Hospital staff will discuss possible complications, and review with. What are the risks or complications of a hip replacement?. Sleeping After Hip Replacement Complications.
From 34.194.2.33
How To Sleep After Hip Replacement EquipMeOT Sleeping After Hip Replacement Complications After hip replacement surgery, you should be able to sleep on your side for a few weeks. Complications from a hip replacement are rare, but can happen. When you’re sleeping on your back, make sure you don’t cross your ankles or legs. After hip replacement surgery, you'll temporarily be at increased risk of blood clots in your legs. Although the. Sleeping After Hip Replacement Complications.
From www.drjesujacob.com
How To Sleep After Total Hip Replacement Surgery Dr. Jesu Jacob Sleeping After Hip Replacement Complications After hip replacement surgery, you'll temporarily be at increased risk of blood clots in your legs. What are the risks or complications of a hip replacement? Possible measures to prevent this. Complications from a hip replacement are rare, but can happen. “as with any surgery, there is some risk of complications during and after a hip replacement, which may include. Sleeping After Hip Replacement Complications.