Causes Of Bowel Perforation . gastrointestinal perforation is when the gastrointestinal tract loses continuity. What causes a bowel perforation? It can be caused by several different conditions,. There are three main causes of a perforated bowel: Gastrointestinal perforation (gp) occurs when a hole forms all the way through the stomach, large bowel, or small intestine. Bowel perforation results from insult or injury to the mucosa of the bowel wall caused due to a violation of the closed system. The contents in your colon can leak out through the hole caused by a perforated bowel. The most common form of bowel perforation trauma is an accidental injury to the. Intestinal perforation, defined as a loss of continuity of the bowel wall, is a potentially devastating complication that may result from a variety of disease processes. An overview of the clinical features, diagnosis, and management of the patient with alimentary tract perforation is reviewed here. This condition can easily develop into serious. This can cause bleeding, as well as a painful and serious infection.
from www.verywellhealth.com
It can be caused by several different conditions,. gastrointestinal perforation is when the gastrointestinal tract loses continuity. Intestinal perforation, defined as a loss of continuity of the bowel wall, is a potentially devastating complication that may result from a variety of disease processes. The contents in your colon can leak out through the hole caused by a perforated bowel. The most common form of bowel perforation trauma is an accidental injury to the. An overview of the clinical features, diagnosis, and management of the patient with alimentary tract perforation is reviewed here. Gastrointestinal perforation (gp) occurs when a hole forms all the way through the stomach, large bowel, or small intestine. What causes a bowel perforation? This can cause bleeding, as well as a painful and serious infection. This condition can easily develop into serious.
Bowel Perforation Symptoms, Causes, and Treatments
Causes Of Bowel Perforation There are three main causes of a perforated bowel: What causes a bowel perforation? This can cause bleeding, as well as a painful and serious infection. It can be caused by several different conditions,. gastrointestinal perforation is when the gastrointestinal tract loses continuity. Gastrointestinal perforation (gp) occurs when a hole forms all the way through the stomach, large bowel, or small intestine. Bowel perforation results from insult or injury to the mucosa of the bowel wall caused due to a violation of the closed system. This condition can easily develop into serious. Intestinal perforation, defined as a loss of continuity of the bowel wall, is a potentially devastating complication that may result from a variety of disease processes. There are three main causes of a perforated bowel: The contents in your colon can leak out through the hole caused by a perforated bowel. The most common form of bowel perforation trauma is an accidental injury to the. An overview of the clinical features, diagnosis, and management of the patient with alimentary tract perforation is reviewed here.
From www.adhub360.com
Large Bowel Obstruction With Cecal Perforation What’s the Cause Causes Of Bowel Perforation An overview of the clinical features, diagnosis, and management of the patient with alimentary tract perforation is reviewed here. gastrointestinal perforation is when the gastrointestinal tract loses continuity. This can cause bleeding, as well as a painful and serious infection. Bowel perforation results from insult or injury to the mucosa of the bowel wall caused due to a violation of. Causes Of Bowel Perforation.
From doctube.com
Bowel Perforation Signs and Causes Causes Of Bowel Perforation Intestinal perforation, defined as a loss of continuity of the bowel wall, is a potentially devastating complication that may result from a variety of disease processes. An overview of the clinical features, diagnosis, and management of the patient with alimentary tract perforation is reviewed here. There are three main causes of a perforated bowel: This condition can easily develop into. Causes Of Bowel Perforation.
From www.trialexhibitsinc.com
Mechanism of Bowel Perforation Heavy African American Female Causes Of Bowel Perforation Bowel perforation results from insult or injury to the mucosa of the bowel wall caused due to a violation of the closed system. The most common form of bowel perforation trauma is an accidental injury to the. What causes a bowel perforation? Intestinal perforation, defined as a loss of continuity of the bowel wall, is a potentially devastating complication that. Causes Of Bowel Perforation.
From onlinelibrary.wiley.com
Neonatal small bowel perforation in ileal atresia in a low resource Causes Of Bowel Perforation What causes a bowel perforation? Intestinal perforation, defined as a loss of continuity of the bowel wall, is a potentially devastating complication that may result from a variety of disease processes. gastrointestinal perforation is when the gastrointestinal tract loses continuity. This condition can easily develop into serious. It can be caused by several different conditions,. An overview of the clinical. Causes Of Bowel Perforation.
From www.trialexhibitsinc.com
Delayed Postoperative Bowel Perforation TrialExhibits Inc. Causes Of Bowel Perforation It can be caused by several different conditions,. This condition can easily develop into serious. gastrointestinal perforation is when the gastrointestinal tract loses continuity. An overview of the clinical features, diagnosis, and management of the patient with alimentary tract perforation is reviewed here. Bowel perforation results from insult or injury to the mucosa of the bowel wall caused due to. Causes Of Bowel Perforation.
From calgaryguide.ucalgary.ca
Large Bowel Obstruction Findings on Abdominal Xray Calgary Guide Causes Of Bowel Perforation Intestinal perforation, defined as a loss of continuity of the bowel wall, is a potentially devastating complication that may result from a variety of disease processes. Gastrointestinal perforation (gp) occurs when a hole forms all the way through the stomach, large bowel, or small intestine. This can cause bleeding, as well as a painful and serious infection. The contents in. Causes Of Bowel Perforation.
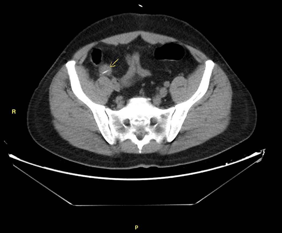
From litfl.com
Abdominal CT bowel perforation • LITFL • Radiology Library Causes Of Bowel Perforation An overview of the clinical features, diagnosis, and management of the patient with alimentary tract perforation is reviewed here. The contents in your colon can leak out through the hole caused by a perforated bowel. There are three main causes of a perforated bowel: The most common form of bowel perforation trauma is an accidental injury to the. It can. Causes Of Bowel Perforation.
From www.thelancet.com
Perforated peptic ulcer The Lancet Causes Of Bowel Perforation There are three main causes of a perforated bowel: This condition can easily develop into serious. Intestinal perforation, defined as a loss of continuity of the bowel wall, is a potentially devastating complication that may result from a variety of disease processes. What causes a bowel perforation? This can cause bleeding, as well as a painful and serious infection. Gastrointestinal. Causes Of Bowel Perforation.
From www.healthline.com
Gastrointestinal Perforation Causes, Symptoms & Diagnosis Causes Of Bowel Perforation Bowel perforation results from insult or injury to the mucosa of the bowel wall caused due to a violation of the closed system. gastrointestinal perforation is when the gastrointestinal tract loses continuity. Gastrointestinal perforation (gp) occurs when a hole forms all the way through the stomach, large bowel, or small intestine. It can be caused by several different conditions,. What. Causes Of Bowel Perforation.
From teachmesurgery.com
Gastrointestinal Perforation Aetiology Management TeachMeSurgery Causes Of Bowel Perforation The contents in your colon can leak out through the hole caused by a perforated bowel. The most common form of bowel perforation trauma is an accidental injury to the. This can cause bleeding, as well as a painful and serious infection. Gastrointestinal perforation (gp) occurs when a hole forms all the way through the stomach, large bowel, or small. Causes Of Bowel Perforation.
From www.trialexhibitsinc.com
Mechanism of Bowel Perforation TrialQuest Inc. Causes Of Bowel Perforation gastrointestinal perforation is when the gastrointestinal tract loses continuity. Bowel perforation results from insult or injury to the mucosa of the bowel wall caused due to a violation of the closed system. The most common form of bowel perforation trauma is an accidental injury to the. Gastrointestinal perforation (gp) occurs when a hole forms all the way through the stomach,. Causes Of Bowel Perforation.
From www.researchgate.net
Various aetiologies of the small bowel perforation. Download Table Causes Of Bowel Perforation What causes a bowel perforation? An overview of the clinical features, diagnosis, and management of the patient with alimentary tract perforation is reviewed here. This condition can easily develop into serious. It can be caused by several different conditions,. This can cause bleeding, as well as a painful and serious infection. There are three main causes of a perforated bowel:. Causes Of Bowel Perforation.
From www.cureus.com
Cureus Unusual Cause of Small Bowel Perforation A Case Report Causes Of Bowel Perforation This can cause bleeding, as well as a painful and serious infection. The most common form of bowel perforation trauma is an accidental injury to the. gastrointestinal perforation is when the gastrointestinal tract loses continuity. Gastrointestinal perforation (gp) occurs when a hole forms all the way through the stomach, large bowel, or small intestine. Intestinal perforation, defined as a loss. Causes Of Bowel Perforation.
From pressbooks.pub
Intestinal Perforation Pneumoperitoneum Undergraduate Diagnostic Causes Of Bowel Perforation Bowel perforation results from insult or injury to the mucosa of the bowel wall caused due to a violation of the closed system. It can be caused by several different conditions,. The contents in your colon can leak out through the hole caused by a perforated bowel. Gastrointestinal perforation (gp) occurs when a hole forms all the way through the. Causes Of Bowel Perforation.
From www.medicalnewstoday.com
Gastrointestinal perforation Causes, treatment, and complications Causes Of Bowel Perforation The most common form of bowel perforation trauma is an accidental injury to the. This can cause bleeding, as well as a painful and serious infection. This condition can easily develop into serious. Intestinal perforation, defined as a loss of continuity of the bowel wall, is a potentially devastating complication that may result from a variety of disease processes. There. Causes Of Bowel Perforation.
From www.cureus.com
Cureus Unusual Cause of Small Bowel Perforation A Case Report Causes Of Bowel Perforation gastrointestinal perforation is when the gastrointestinal tract loses continuity. The contents in your colon can leak out through the hole caused by a perforated bowel. Intestinal perforation, defined as a loss of continuity of the bowel wall, is a potentially devastating complication that may result from a variety of disease processes. What causes a bowel perforation? An overview of the. Causes Of Bowel Perforation.
From www.amjmed.com
Perforated Appendicitis Presenting as Mechanical Small Bowel Causes Of Bowel Perforation gastrointestinal perforation is when the gastrointestinal tract loses continuity. It can be caused by several different conditions,. This can cause bleeding, as well as a painful and serious infection. The contents in your colon can leak out through the hole caused by a perforated bowel. There are three main causes of a perforated bowel: Gastrointestinal perforation (gp) occurs when a. Causes Of Bowel Perforation.
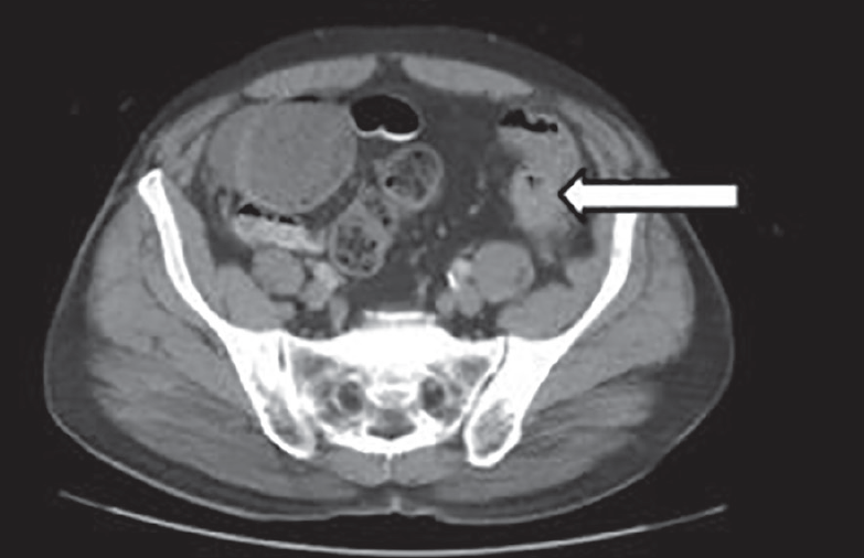
From litfl.com
Abdominal CT bowel perforation • LITFL • Radiology Library Causes Of Bowel Perforation There are three main causes of a perforated bowel: Gastrointestinal perforation (gp) occurs when a hole forms all the way through the stomach, large bowel, or small intestine. This can cause bleeding, as well as a painful and serious infection. This condition can easily develop into serious. Bowel perforation results from insult or injury to the mucosa of the bowel. Causes Of Bowel Perforation.
From www.verywellhealth.com
Bowel Perforation Symptoms, Causes, and Treatments Causes Of Bowel Perforation An overview of the clinical features, diagnosis, and management of the patient with alimentary tract perforation is reviewed here. It can be caused by several different conditions,. There are three main causes of a perforated bowel: The most common form of bowel perforation trauma is an accidental injury to the. The contents in your colon can leak out through the. Causes Of Bowel Perforation.
From www.youtube.com
bowel perforation types, causes, symptoms, diagnosis, treatment YouTube Causes Of Bowel Perforation An overview of the clinical features, diagnosis, and management of the patient with alimentary tract perforation is reviewed here. The most common form of bowel perforation trauma is an accidental injury to the. This condition can easily develop into serious. There are three main causes of a perforated bowel: The contents in your colon can leak out through the hole. Causes Of Bowel Perforation.
From www.researchgate.net
Causes of nontraumatic small bowel perforation. Download Scientific Causes Of Bowel Perforation It can be caused by several different conditions,. Gastrointestinal perforation (gp) occurs when a hole forms all the way through the stomach, large bowel, or small intestine. What causes a bowel perforation? There are three main causes of a perforated bowel: The contents in your colon can leak out through the hole caused by a perforated bowel. Bowel perforation results. Causes Of Bowel Perforation.
From medium.com
Gastrointestinal Perforation Causes, Symptoms & Diagnosis by SIDS Causes Of Bowel Perforation The most common form of bowel perforation trauma is an accidental injury to the. Bowel perforation results from insult or injury to the mucosa of the bowel wall caused due to a violation of the closed system. An overview of the clinical features, diagnosis, and management of the patient with alimentary tract perforation is reviewed here. It can be caused. Causes Of Bowel Perforation.
From nursestudy.net
Bowel Perforation Nursing Diagnosis and Nursing Care Plan Causes Of Bowel Perforation The contents in your colon can leak out through the hole caused by a perforated bowel. Gastrointestinal perforation (gp) occurs when a hole forms all the way through the stomach, large bowel, or small intestine. Intestinal perforation, defined as a loss of continuity of the bowel wall, is a potentially devastating complication that may result from a variety of disease. Causes Of Bowel Perforation.
From www.oh-mygut.com
What Are The Signs Of A Perforated Bowel After A Colonoscopy? Oh My Gut Causes Of Bowel Perforation This condition can easily develop into serious. An overview of the clinical features, diagnosis, and management of the patient with alimentary tract perforation is reviewed here. The most common form of bowel perforation trauma is an accidental injury to the. There are three main causes of a perforated bowel: The contents in your colon can leak out through the hole. Causes Of Bowel Perforation.
From study.com
Perforated Bowel Definition, Symptoms & Causes Lesson Causes Of Bowel Perforation Gastrointestinal perforation (gp) occurs when a hole forms all the way through the stomach, large bowel, or small intestine. An overview of the clinical features, diagnosis, and management of the patient with alimentary tract perforation is reviewed here. gastrointestinal perforation is when the gastrointestinal tract loses continuity. The most common form of bowel perforation trauma is an accidental injury to. Causes Of Bowel Perforation.
From doctube.com
Bowel Perforation Signs and Causes Causes Of Bowel Perforation Bowel perforation results from insult or injury to the mucosa of the bowel wall caused due to a violation of the closed system. There are three main causes of a perforated bowel: gastrointestinal perforation is when the gastrointestinal tract loses continuity. This can cause bleeding, as well as a painful and serious infection. The contents in your colon can leak. Causes Of Bowel Perforation.
From www.researchgate.net
Classical types of iatrogenic duodenal perforations type I Causes Of Bowel Perforation This condition can easily develop into serious. Intestinal perforation, defined as a loss of continuity of the bowel wall, is a potentially devastating complication that may result from a variety of disease processes. An overview of the clinical features, diagnosis, and management of the patient with alimentary tract perforation is reviewed here. What causes a bowel perforation? This can cause. Causes Of Bowel Perforation.
From www.slideshare.net
Spontaneous intestinal perforation vs nec Causes Of Bowel Perforation An overview of the clinical features, diagnosis, and management of the patient with alimentary tract perforation is reviewed here. There are three main causes of a perforated bowel: Intestinal perforation, defined as a loss of continuity of the bowel wall, is a potentially devastating complication that may result from a variety of disease processes. gastrointestinal perforation is when the gastrointestinal. Causes Of Bowel Perforation.
From www.familycarers.org.uk
Gastrointestinal Perforation Causes, Symptoms, & Treatments Health Causes Of Bowel Perforation Bowel perforation results from insult or injury to the mucosa of the bowel wall caused due to a violation of the closed system. It can be caused by several different conditions,. Intestinal perforation, defined as a loss of continuity of the bowel wall, is a potentially devastating complication that may result from a variety of disease processes. The most common. Causes Of Bowel Perforation.
From www.semanticscholar.org
Figure 1 from Case report on a rare cause of small bowel perforation Causes Of Bowel Perforation This can cause bleeding, as well as a painful and serious infection. What causes a bowel perforation? Intestinal perforation, defined as a loss of continuity of the bowel wall, is a potentially devastating complication that may result from a variety of disease processes. Bowel perforation results from insult or injury to the mucosa of the bowel wall caused due to. Causes Of Bowel Perforation.
From www.osmosis.org
Perforated Viscus What Is It, Causes, Symptoms, and More Osmosis Causes Of Bowel Perforation What causes a bowel perforation? This condition can easily develop into serious. The contents in your colon can leak out through the hole caused by a perforated bowel. gastrointestinal perforation is when the gastrointestinal tract loses continuity. Intestinal perforation, defined as a loss of continuity of the bowel wall, is a potentially devastating complication that may result from a variety. Causes Of Bowel Perforation.
From www.osmosis.org
Ileus What Is It, Types, Causes, Diagnosis, Treatment, and More Osmosis Causes Of Bowel Perforation What causes a bowel perforation? Gastrointestinal perforation (gp) occurs when a hole forms all the way through the stomach, large bowel, or small intestine. gastrointestinal perforation is when the gastrointestinal tract loses continuity. The most common form of bowel perforation trauma is an accidental injury to the. This condition can easily develop into serious. An overview of the clinical features,. Causes Of Bowel Perforation.
From www.researchgate.net
Causes for small bowel perforation Causes of bowel perforation Specific Causes Of Bowel Perforation gastrointestinal perforation is when the gastrointestinal tract loses continuity. The contents in your colon can leak out through the hole caused by a perforated bowel. Bowel perforation results from insult or injury to the mucosa of the bowel wall caused due to a violation of the closed system. Gastrointestinal perforation (gp) occurs when a hole forms all the way through. Causes Of Bowel Perforation.
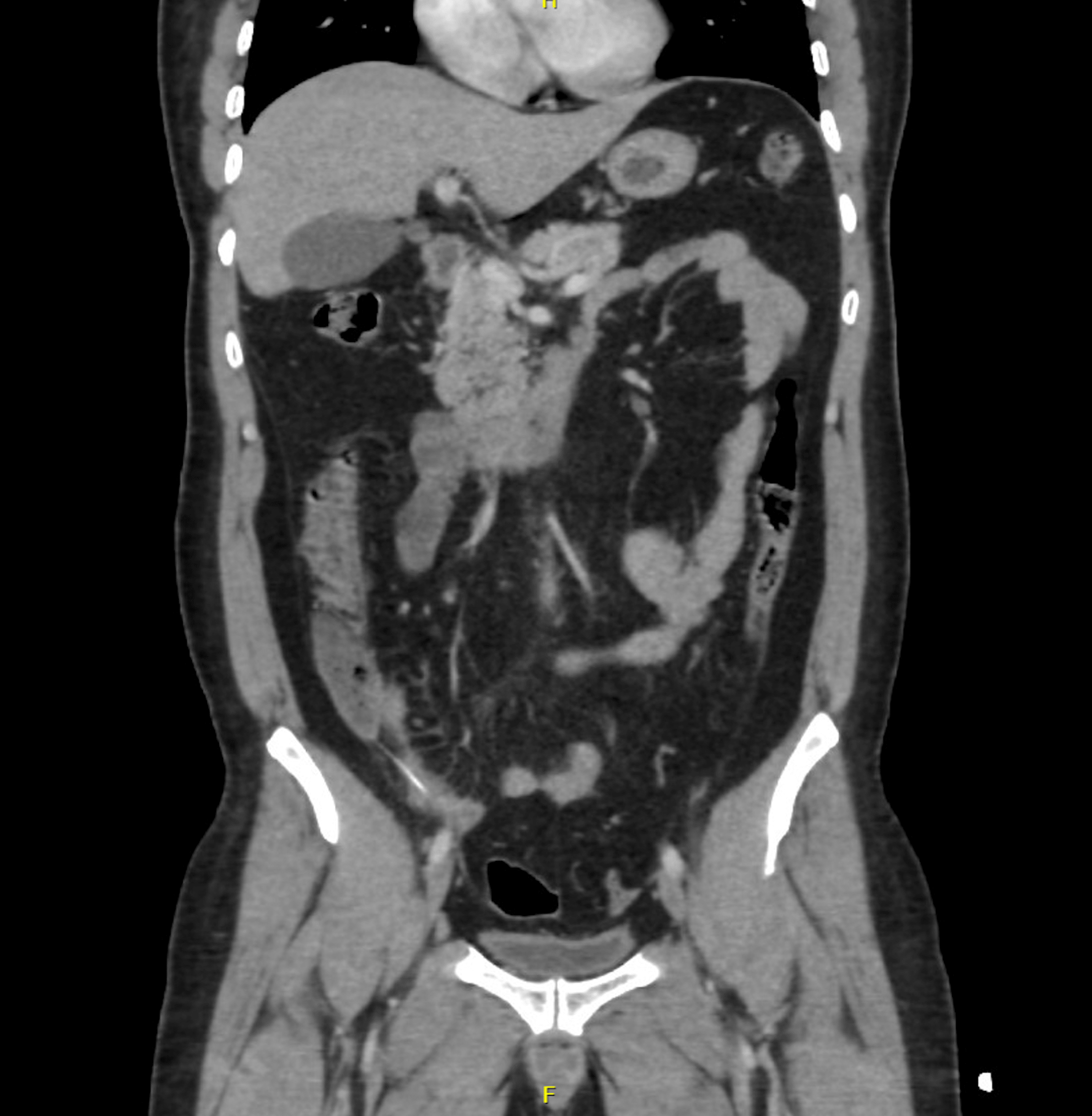
From litfl.com
Abdominal CT bowel perforation • LITFL • Radiology Library Causes Of Bowel Perforation It can be caused by several different conditions,. The most common form of bowel perforation trauma is an accidental injury to the. An overview of the clinical features, diagnosis, and management of the patient with alimentary tract perforation is reviewed here. Intestinal perforation, defined as a loss of continuity of the bowel wall, is a potentially devastating complication that may. Causes Of Bowel Perforation.
From medshun.com
Laxatives The Bowel Perforation Risk MedShun Causes Of Bowel Perforation It can be caused by several different conditions,. There are three main causes of a perforated bowel: The contents in your colon can leak out through the hole caused by a perforated bowel. gastrointestinal perforation is when the gastrointestinal tract loses continuity. What causes a bowel perforation? Gastrointestinal perforation (gp) occurs when a hole forms all the way through the. Causes Of Bowel Perforation.