What Does A Cat Hernia Feel Like . Here are some symptoms you may. What are symptoms of hernias in cats? The symptoms associated with hernias in cats vary depending on the type of defect. When caught early on, usually cat hernias aren’t serious, however they may become fatal if they’re left untreated. If detected early, hernias in cats usually aren’t serious and can be repaired with surgery. Keep reading to find out about the different. It is located just under the ribcage on a cat’s underside,. Hernias in cats are uncommon but they can still occur, causing painful symptoms for your feline companion. Hernias in cats typically aren't serious and can be repaired with surgery, as long as they are detected early. Fortunately, if hernias are detected early, they can be. If your cat has an umbilical hernia, this may feel like a soft swelling, bulge or squishy protrusion below the skin. If your cat is exhibiting any of these symptoms, it’s time to see the vet: In this post, our clemmons vets define the.
from www.zeelandveterinary.com
Hernias in cats are uncommon but they can still occur, causing painful symptoms for your feline companion. When caught early on, usually cat hernias aren’t serious, however they may become fatal if they’re left untreated. If detected early, hernias in cats usually aren’t serious and can be repaired with surgery. Keep reading to find out about the different. If your cat has an umbilical hernia, this may feel like a soft swelling, bulge or squishy protrusion below the skin. Here are some symptoms you may. If your cat is exhibiting any of these symptoms, it’s time to see the vet: Hernias in cats typically aren't serious and can be repaired with surgery, as long as they are detected early. In this post, our clemmons vets define the. Fortunately, if hernias are detected early, they can be.
Cat hernia surgery Zeeland vets
What Does A Cat Hernia Feel Like Fortunately, if hernias are detected early, they can be. It is located just under the ribcage on a cat’s underside,. Fortunately, if hernias are detected early, they can be. If your cat is exhibiting any of these symptoms, it’s time to see the vet: Hernias in cats are uncommon but they can still occur, causing painful symptoms for your feline companion. What are symptoms of hernias in cats? Hernias in cats typically aren't serious and can be repaired with surgery, as long as they are detected early. When caught early on, usually cat hernias aren’t serious, however they may become fatal if they’re left untreated. Here are some symptoms you may. If detected early, hernias in cats usually aren’t serious and can be repaired with surgery. The symptoms associated with hernias in cats vary depending on the type of defect. In this post, our clemmons vets define the. If your cat has an umbilical hernia, this may feel like a soft swelling, bulge or squishy protrusion below the skin. Keep reading to find out about the different.
From petshun.com
Hernias In Cats Causes, Symptoms And Treatment Options PetShun What Does A Cat Hernia Feel Like Here are some symptoms you may. If your cat has an umbilical hernia, this may feel like a soft swelling, bulge or squishy protrusion below the skin. The symptoms associated with hernias in cats vary depending on the type of defect. In this post, our clemmons vets define the. Hernias in cats are uncommon but they can still occur, causing. What Does A Cat Hernia Feel Like.
From www.riversideanimal.net
Cat Hernia Surgery Veterinary Dental Care in Riverside What Does A Cat Hernia Feel Like If detected early, hernias in cats usually aren’t serious and can be repaired with surgery. If your cat has an umbilical hernia, this may feel like a soft swelling, bulge or squishy protrusion below the skin. When caught early on, usually cat hernias aren’t serious, however they may become fatal if they’re left untreated. If your cat is exhibiting any. What Does A Cat Hernia Feel Like.
From www.youtube.com
Cat 101 Diaphragmatic Hernia in Cats YouTube What Does A Cat Hernia Feel Like Hernias in cats typically aren't serious and can be repaired with surgery, as long as they are detected early. In this post, our clemmons vets define the. If your cat is exhibiting any of these symptoms, it’s time to see the vet: Keep reading to find out about the different. Hernias in cats are uncommon but they can still occur,. What Does A Cat Hernia Feel Like.
From petshun.com
Can Cats Develop Hernias After Undergoing Spay Surgery? PetShun What Does A Cat Hernia Feel Like Fortunately, if hernias are detected early, they can be. If your cat is exhibiting any of these symptoms, it’s time to see the vet: What are symptoms of hernias in cats? It is located just under the ribcage on a cat’s underside,. Hernias in cats are uncommon but they can still occur, causing painful symptoms for your feline companion. When. What Does A Cat Hernia Feel Like.
From www.ccvhankeny.com
Cat Hernia Surgery Ankeny Vets What Does A Cat Hernia Feel Like When caught early on, usually cat hernias aren’t serious, however they may become fatal if they’re left untreated. In this post, our clemmons vets define the. If detected early, hernias in cats usually aren’t serious and can be repaired with surgery. Hernias in cats are uncommon but they can still occur, causing painful symptoms for your feline companion. Here are. What Does A Cat Hernia Feel Like.
From petshun.com
Common Symptoms Of Hernia After Spaying A Cat PetShun What Does A Cat Hernia Feel Like If detected early, hernias in cats usually aren’t serious and can be repaired with surgery. When caught early on, usually cat hernias aren’t serious, however they may become fatal if they’re left untreated. Hernias in cats typically aren't serious and can be repaired with surgery, as long as they are detected early. Hernias in cats are uncommon but they can. What Does A Cat Hernia Feel Like.
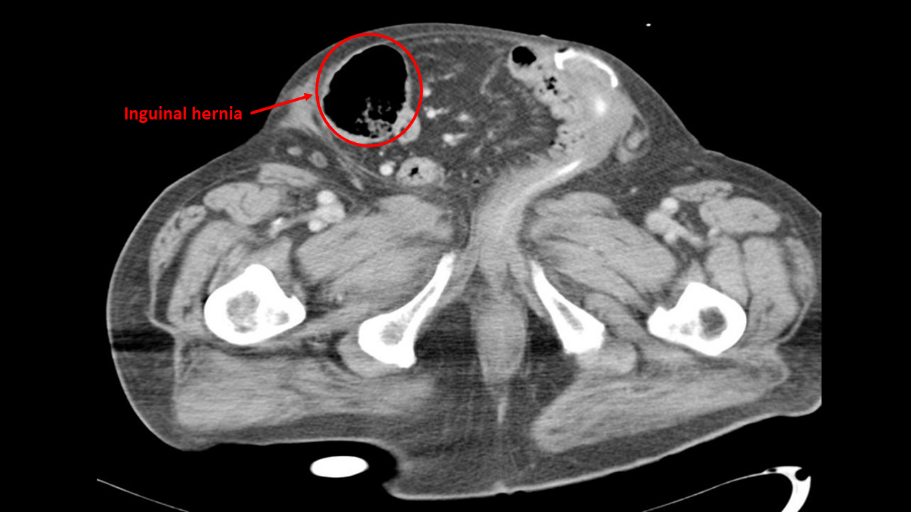
From wikidoc.org
Inguinal hernia CT wikidoc What Does A Cat Hernia Feel Like If your cat is exhibiting any of these symptoms, it’s time to see the vet: The symptoms associated with hernias in cats vary depending on the type of defect. It is located just under the ribcage on a cat’s underside,. When caught early on, usually cat hernias aren’t serious, however they may become fatal if they’re left untreated. Hernias in. What Does A Cat Hernia Feel Like.
From www.millplainvet.com
Cat Hernia Surgery Danbury Vet What Does A Cat Hernia Feel Like Keep reading to find out about the different. Fortunately, if hernias are detected early, they can be. If your cat has an umbilical hernia, this may feel like a soft swelling, bulge or squishy protrusion below the skin. The symptoms associated with hernias in cats vary depending on the type of defect. If your cat is exhibiting any of these. What Does A Cat Hernia Feel Like.
From www.littlemiamivetclinic.com
Hernias in Cats Causes, Symptoms & Surgeries Clemmons Vet What Does A Cat Hernia Feel Like When caught early on, usually cat hernias aren’t serious, however they may become fatal if they’re left untreated. What are symptoms of hernias in cats? In this post, our clemmons vets define the. Hernias in cats are uncommon but they can still occur, causing painful symptoms for your feline companion. If detected early, hernias in cats usually aren’t serious and. What Does A Cat Hernia Feel Like.
From www.westportveterinary.com
Hernias in Cats Causes, Symptom & Surgery Fairfield County Vet What Does A Cat Hernia Feel Like When caught early on, usually cat hernias aren’t serious, however they may become fatal if they’re left untreated. In this post, our clemmons vets define the. Keep reading to find out about the different. If detected early, hernias in cats usually aren’t serious and can be repaired with surgery. It is located just under the ribcage on a cat’s underside,.. What Does A Cat Hernia Feel Like.
From www.santacruzveterinarian.com
Cat Hernia Surgery What To Consider Santa Cruz Vets What Does A Cat Hernia Feel Like Hernias in cats typically aren't serious and can be repaired with surgery, as long as they are detected early. The symptoms associated with hernias in cats vary depending on the type of defect. Keep reading to find out about the different. When caught early on, usually cat hernias aren’t serious, however they may become fatal if they’re left untreated. In. What Does A Cat Hernia Feel Like.
From www.ahna.net
Hernias in Cats Causes, Symptoms & Surgery Asheville Vet Animal What Does A Cat Hernia Feel Like The symptoms associated with hernias in cats vary depending on the type of defect. Fortunately, if hernias are detected early, they can be. Keep reading to find out about the different. If detected early, hernias in cats usually aren’t serious and can be repaired with surgery. Hernias in cats are uncommon but they can still occur, causing painful symptoms for. What Does A Cat Hernia Feel Like.
From www.catclinicofseattle.com
Cat Hernia Surgery Cat Clinic of Seattle Seattle Vets What Does A Cat Hernia Feel Like Here are some symptoms you may. It is located just under the ribcage on a cat’s underside,. When caught early on, usually cat hernias aren’t serious, however they may become fatal if they’re left untreated. If detected early, hernias in cats usually aren’t serious and can be repaired with surgery. What are symptoms of hernias in cats? Hernias in cats. What Does A Cat Hernia Feel Like.
From jadechandler.z13.web.core.windows.net
How Much Does A Hernia Weigh What Does A Cat Hernia Feel Like If your cat is exhibiting any of these symptoms, it’s time to see the vet: What are symptoms of hernias in cats? The symptoms associated with hernias in cats vary depending on the type of defect. Fortunately, if hernias are detected early, they can be. Hernias in cats typically aren't serious and can be repaired with surgery, as long as. What Does A Cat Hernia Feel Like.
From www.fremontvetclinic.com
Cat Hernia Surgery Everything You Should Know Stockton Vets What Does A Cat Hernia Feel Like If detected early, hernias in cats usually aren’t serious and can be repaired with surgery. Hernias in cats are uncommon but they can still occur, causing painful symptoms for your feline companion. What are symptoms of hernias in cats? When caught early on, usually cat hernias aren’t serious, however they may become fatal if they’re left untreated. Here are some. What Does A Cat Hernia Feel Like.
From gwjrbqvujl.blogspot.com
Umbilical Hernia Pictures Of Cat Hernias Cats And Hernias Symptoms What Does A Cat Hernia Feel Like What are symptoms of hernias in cats? It is located just under the ribcage on a cat’s underside,. The symptoms associated with hernias in cats vary depending on the type of defect. Fortunately, if hernias are detected early, they can be. Here are some symptoms you may. In this post, our clemmons vets define the. If your cat has an. What Does A Cat Hernia Feel Like.
From www.reddit.com
Hernia after spay? Details in comments. r/vet What Does A Cat Hernia Feel Like In this post, our clemmons vets define the. If your cat has an umbilical hernia, this may feel like a soft swelling, bulge or squishy protrusion below the skin. Fortunately, if hernias are detected early, they can be. If detected early, hernias in cats usually aren’t serious and can be repaired with surgery. The symptoms associated with hernias in cats. What Does A Cat Hernia Feel Like.
From www.pinterest.com.mx
hernia umbilical Gatos, Salud What Does A Cat Hernia Feel Like When caught early on, usually cat hernias aren’t serious, however they may become fatal if they’re left untreated. Here are some symptoms you may. The symptoms associated with hernias in cats vary depending on the type of defect. Hernias in cats are uncommon but they can still occur, causing painful symptoms for your feline companion. It is located just under. What Does A Cat Hernia Feel Like.
From www.kailashhealthblog.com
A hernia occurs when an organ pushes through an opening in the muscle What Does A Cat Hernia Feel Like In this post, our clemmons vets define the. When caught early on, usually cat hernias aren’t serious, however they may become fatal if they’re left untreated. Hernias in cats typically aren't serious and can be repaired with surgery, as long as they are detected early. If your cat is exhibiting any of these symptoms, it’s time to see the vet:. What Does A Cat Hernia Feel Like.
From www.wellesleynatickveterinaryhospital.com
Cat Hernia Surgery Natick Vets What Does A Cat Hernia Feel Like In this post, our clemmons vets define the. Hernias in cats are uncommon but they can still occur, causing painful symptoms for your feline companion. When caught early on, usually cat hernias aren’t serious, however they may become fatal if they’re left untreated. If your cat is exhibiting any of these symptoms, it’s time to see the vet: Hernias in. What Does A Cat Hernia Feel Like.
From www.nerdynaut.com
What Is the Best Cat Hernia Treatment? Nerdynaut What Does A Cat Hernia Feel Like Fortunately, if hernias are detected early, they can be. Keep reading to find out about the different. Hernias in cats typically aren't serious and can be repaired with surgery, as long as they are detected early. If your cat has an umbilical hernia, this may feel like a soft swelling, bulge or squishy protrusion below the skin. If your cat. What Does A Cat Hernia Feel Like.
From www.metlifepetinsurance.com
Cat Hernias Symptoms & Surgery Cost MetLife Pet Insurance What Does A Cat Hernia Feel Like If detected early, hernias in cats usually aren’t serious and can be repaired with surgery. If your cat has an umbilical hernia, this may feel like a soft swelling, bulge or squishy protrusion below the skin. It is located just under the ribcage on a cat’s underside,. The symptoms associated with hernias in cats vary depending on the type of. What Does A Cat Hernia Feel Like.
From www.crittercreekvet.com
Cat Hernias Surgery Symptoms & Procedure Lincoln Vets What Does A Cat Hernia Feel Like If detected early, hernias in cats usually aren’t serious and can be repaired with surgery. Hernias in cats typically aren't serious and can be repaired with surgery, as long as they are detected early. Hernias in cats are uncommon but they can still occur, causing painful symptoms for your feline companion. Here are some symptoms you may. What are symptoms. What Does A Cat Hernia Feel Like.
From www.10faq.com
Hernia What Does a Hernia Feel Like? What Does A Cat Hernia Feel Like What are symptoms of hernias in cats? It is located just under the ribcage on a cat’s underside,. If detected early, hernias in cats usually aren’t serious and can be repaired with surgery. In this post, our clemmons vets define the. The symptoms associated with hernias in cats vary depending on the type of defect. Hernias in cats are uncommon. What Does A Cat Hernia Feel Like.
From www.rhpch.com
Cat Hernia Surgery & Recovery Mankato Vet What Does A Cat Hernia Feel Like What are symptoms of hernias in cats? If your cat is exhibiting any of these symptoms, it’s time to see the vet: Fortunately, if hernias are detected early, they can be. It is located just under the ribcage on a cat’s underside,. The symptoms associated with hernias in cats vary depending on the type of defect. In this post, our. What Does A Cat Hernia Feel Like.
From www.wikihow.com
3 Ways to Diagnose and Treat Hernias in Cats wikiHow What Does A Cat Hernia Feel Like Here are some symptoms you may. It is located just under the ribcage on a cat’s underside,. The symptoms associated with hernias in cats vary depending on the type of defect. Hernias in cats typically aren't serious and can be repaired with surgery, as long as they are detected early. If detected early, hernias in cats usually aren’t serious and. What Does A Cat Hernia Feel Like.
From www.aspcapetinsurance.com
Cat Hernias Causes, Symptoms, and Treatment ASPCA Pet Insurance What Does A Cat Hernia Feel Like What are symptoms of hernias in cats? Hernias in cats typically aren't serious and can be repaired with surgery, as long as they are detected early. It is located just under the ribcage on a cat’s underside,. When caught early on, usually cat hernias aren’t serious, however they may become fatal if they’re left untreated. Keep reading to find out. What Does A Cat Hernia Feel Like.
From www.wikihow.com
3 Ways to Diagnose and Treat Hernias in Cats wikiHow What Does A Cat Hernia Feel Like Fortunately, if hernias are detected early, they can be. In this post, our clemmons vets define the. If your cat has an umbilical hernia, this may feel like a soft swelling, bulge or squishy protrusion below the skin. Keep reading to find out about the different. Hernias in cats typically aren't serious and can be repaired with surgery, as long. What Does A Cat Hernia Feel Like.
From www.eastbayvetclinic.com
Cat Hernia Surgery Oakland Vets What Does A Cat Hernia Feel Like Here are some symptoms you may. It is located just under the ribcage on a cat’s underside,. What are symptoms of hernias in cats? In this post, our clemmons vets define the. If your cat is exhibiting any of these symptoms, it’s time to see the vet: If your cat has an umbilical hernia, this may feel like a soft. What Does A Cat Hernia Feel Like.
From www.wikihow.com
3 Ways to Diagnose and Treat Hernias in Cats wikiHow What Does A Cat Hernia Feel Like What are symptoms of hernias in cats? It is located just under the ribcage on a cat’s underside,. Keep reading to find out about the different. When caught early on, usually cat hernias aren’t serious, however they may become fatal if they’re left untreated. Hernias in cats are uncommon but they can still occur, causing painful symptoms for your feline. What Does A Cat Hernia Feel Like.
From www.aptos-creeksidepets.com
Everything About Cat Hernia Surgery Santa Cruz County Vets What Does A Cat Hernia Feel Like Hernias in cats typically aren't serious and can be repaired with surgery, as long as they are detected early. If your cat is exhibiting any of these symptoms, it’s time to see the vet: What are symptoms of hernias in cats? Here are some symptoms you may. In this post, our clemmons vets define the. It is located just under. What Does A Cat Hernia Feel Like.
From www.pinterest.com
Cat Hernias Causes, Symptoms, and Treatment Cats, Pet health, Pet What Does A Cat Hernia Feel Like If your cat has an umbilical hernia, this may feel like a soft swelling, bulge or squishy protrusion below the skin. What are symptoms of hernias in cats? If your cat is exhibiting any of these symptoms, it’s time to see the vet: Keep reading to find out about the different. It is located just under the ribcage on a. What Does A Cat Hernia Feel Like.
From www.youtube.com
Gigantic Kitten Hernia repaired. Pt 3 YouTube What Does A Cat Hernia Feel Like It is located just under the ribcage on a cat’s underside,. If detected early, hernias in cats usually aren’t serious and can be repaired with surgery. When caught early on, usually cat hernias aren’t serious, however they may become fatal if they’re left untreated. In this post, our clemmons vets define the. If your cat has an umbilical hernia, this. What Does A Cat Hernia Feel Like.
From www.zeelandveterinary.com
Cat hernia surgery Zeeland vets What Does A Cat Hernia Feel Like If your cat is exhibiting any of these symptoms, it’s time to see the vet: If detected early, hernias in cats usually aren’t serious and can be repaired with surgery. In this post, our clemmons vets define the. It is located just under the ribcage on a cat’s underside,. The symptoms associated with hernias in cats vary depending on the. What Does A Cat Hernia Feel Like.
From www.youtube.com
Hernia Repair in Cats Wag! YouTube What Does A Cat Hernia Feel Like In this post, our clemmons vets define the. Hernias in cats are uncommon but they can still occur, causing painful symptoms for your feline companion. If your cat is exhibiting any of these symptoms, it’s time to see the vet: When caught early on, usually cat hernias aren’t serious, however they may become fatal if they’re left untreated. If detected. What Does A Cat Hernia Feel Like.