Boot For 4Th Metatarsal Fracture . A fifth metatarsal tuberosity avulsion fracture can be treated acutely with a compressive dressing, then the patient can be transitioned to a short leg walking boot for two weeks, with. This is followed by gradual weight bearing, as tolerated, in a cast or walking. You might have a cast or boot to protect it. Diagnosis is made with plain radiographs. Your doctor will check your healing progress. Most metatarsal fractures can be treated with an initial period of elevation and limited weight bearing. Metatarsal fractures are common in the paediatric population and rarely require operative management. Metatarsal fractures are among the most common injuries of the foot that may occur due to trauma or repetitive microstress. Pins might be removed after six to eight weeks, while plates and screws might stay in. Metatarsal fractures (broken metatarsal bones) can be acute, or caused immediately by injury.
from www.cureus.com
This is followed by gradual weight bearing, as tolerated, in a cast or walking. A fifth metatarsal tuberosity avulsion fracture can be treated acutely with a compressive dressing, then the patient can be transitioned to a short leg walking boot for two weeks, with. Metatarsal fractures are among the most common injuries of the foot that may occur due to trauma or repetitive microstress. Metatarsal fractures (broken metatarsal bones) can be acute, or caused immediately by injury. Your doctor will check your healing progress. Diagnosis is made with plain radiographs. You might have a cast or boot to protect it. Pins might be removed after six to eight weeks, while plates and screws might stay in. Metatarsal fractures are common in the paediatric population and rarely require operative management. Most metatarsal fractures can be treated with an initial period of elevation and limited weight bearing.
Surgical Realignment of a Dorsiflexed Metatarsal Fracture Cureus
Boot For 4Th Metatarsal Fracture Metatarsal fractures (broken metatarsal bones) can be acute, or caused immediately by injury. Pins might be removed after six to eight weeks, while plates and screws might stay in. Diagnosis is made with plain radiographs. Metatarsal fractures are among the most common injuries of the foot that may occur due to trauma or repetitive microstress. This is followed by gradual weight bearing, as tolerated, in a cast or walking. Metatarsal fractures (broken metatarsal bones) can be acute, or caused immediately by injury. Metatarsal fractures are common in the paediatric population and rarely require operative management. You might have a cast or boot to protect it. A fifth metatarsal tuberosity avulsion fracture can be treated acutely with a compressive dressing, then the patient can be transitioned to a short leg walking boot for two weeks, with. Most metatarsal fractures can be treated with an initial period of elevation and limited weight bearing. Your doctor will check your healing progress.
From james-mccormack.com
5th Metatarsal Fracture Questions Answered Can You walk on a Fracture Boot For 4Th Metatarsal Fracture Your doctor will check your healing progress. Diagnosis is made with plain radiographs. Metatarsal fractures (broken metatarsal bones) can be acute, or caused immediately by injury. A fifth metatarsal tuberosity avulsion fracture can be treated acutely with a compressive dressing, then the patient can be transitioned to a short leg walking boot for two weeks, with. Metatarsal fractures are among. Boot For 4Th Metatarsal Fracture.
From ar.inspiredpencil.com
4th Metatarsal Fracture Boot For 4Th Metatarsal Fracture Metatarsal fractures are common in the paediatric population and rarely require operative management. Your doctor will check your healing progress. Pins might be removed after six to eight weeks, while plates and screws might stay in. Metatarsal fractures are among the most common injuries of the foot that may occur due to trauma or repetitive microstress. Most metatarsal fractures can. Boot For 4Th Metatarsal Fracture.
From www.cchit.org
List Of 10 Best Walking Boot For 5th Metatarsal Fracture For The Money Boot For 4Th Metatarsal Fracture Diagnosis is made with plain radiographs. This is followed by gradual weight bearing, as tolerated, in a cast or walking. Metatarsal fractures (broken metatarsal bones) can be acute, or caused immediately by injury. You might have a cast or boot to protect it. Most metatarsal fractures can be treated with an initial period of elevation and limited weight bearing. A. Boot For 4Th Metatarsal Fracture.
From www.youtube.com
Stress Fractures Of The Metatarsal Bones Everything You Need To Know Boot For 4Th Metatarsal Fracture Most metatarsal fractures can be treated with an initial period of elevation and limited weight bearing. This is followed by gradual weight bearing, as tolerated, in a cast or walking. Your doctor will check your healing progress. Metatarsal fractures (broken metatarsal bones) can be acute, or caused immediately by injury. Pins might be removed after six to eight weeks, while. Boot For 4Th Metatarsal Fracture.
From varietypick.com
Top 10 Best Walking Boot For 5th Metatarsal Fracture Reviews For You Boot For 4Th Metatarsal Fracture Your doctor will check your healing progress. Metatarsal fractures are among the most common injuries of the foot that may occur due to trauma or repetitive microstress. Metatarsal fractures are common in the paediatric population and rarely require operative management. This is followed by gradual weight bearing, as tolerated, in a cast or walking. A fifth metatarsal tuberosity avulsion fracture. Boot For 4Th Metatarsal Fracture.
From james-mccormack.com
Best Walking Boot for 5th Metatarsal Fracture Boot For 4Th Metatarsal Fracture Pins might be removed after six to eight weeks, while plates and screws might stay in. You might have a cast or boot to protect it. Metatarsal fractures (broken metatarsal bones) can be acute, or caused immediately by injury. This is followed by gradual weight bearing, as tolerated, in a cast or walking. Metatarsal fractures are among the most common. Boot For 4Th Metatarsal Fracture.
From www.cureus.com
Cureus Surgical Realignment of a Dorsiflexed Metatarsal Fracture Boot For 4Th Metatarsal Fracture Your doctor will check your healing progress. You might have a cast or boot to protect it. Metatarsal fractures are common in the paediatric population and rarely require operative management. Diagnosis is made with plain radiographs. Metatarsal fractures (broken metatarsal bones) can be acute, or caused immediately by injury. A fifth metatarsal tuberosity avulsion fracture can be treated acutely with. Boot For 4Th Metatarsal Fracture.
From www.aafp.org
Diagnosis and Management of Common Foot Fractures AAFP Boot For 4Th Metatarsal Fracture You might have a cast or boot to protect it. Pins might be removed after six to eight weeks, while plates and screws might stay in. Your doctor will check your healing progress. Metatarsal fractures (broken metatarsal bones) can be acute, or caused immediately by injury. Metatarsal fractures are common in the paediatric population and rarely require operative management. A. Boot For 4Th Metatarsal Fracture.
From journals.sagepub.com
Metatarsal fractures A review and current concepts Tarek Boot For 4Th Metatarsal Fracture A fifth metatarsal tuberosity avulsion fracture can be treated acutely with a compressive dressing, then the patient can be transitioned to a short leg walking boot for two weeks, with. Metatarsal fractures (broken metatarsal bones) can be acute, or caused immediately by injury. This is followed by gradual weight bearing, as tolerated, in a cast or walking. Pins might be. Boot For 4Th Metatarsal Fracture.
From utoptens.com
Best Walking Boot For 5th Metatarsal Fracture In 2024 Boot For 4Th Metatarsal Fracture Your doctor will check your healing progress. This is followed by gradual weight bearing, as tolerated, in a cast or walking. You might have a cast or boot to protect it. Metatarsal fractures (broken metatarsal bones) can be acute, or caused immediately by injury. Metatarsal fractures are among the most common injuries of the foot that may occur due to. Boot For 4Th Metatarsal Fracture.
From amibery.weebly.com
Air cast boot for 5th metatarsal fracture amibery Boot For 4Th Metatarsal Fracture This is followed by gradual weight bearing, as tolerated, in a cast or walking. Your doctor will check your healing progress. Metatarsal fractures are among the most common injuries of the foot that may occur due to trauma or repetitive microstress. Diagnosis is made with plain radiographs. Most metatarsal fractures can be treated with an initial period of elevation and. Boot For 4Th Metatarsal Fracture.
From james-mccormack.com
Best Walking Boot for 5th Metatarsal Fracture Boot For 4Th Metatarsal Fracture Your doctor will check your healing progress. Metatarsal fractures (broken metatarsal bones) can be acute, or caused immediately by injury. Metatarsal fractures are common in the paediatric population and rarely require operative management. Most metatarsal fractures can be treated with an initial period of elevation and limited weight bearing. Diagnosis is made with plain radiographs. Metatarsal fractures are among the. Boot For 4Th Metatarsal Fracture.
From blackgirlsguidetohorror.com
I Tested the Best Walking Boot for My 5th Metatarsal Fracture Here's Boot For 4Th Metatarsal Fracture A fifth metatarsal tuberosity avulsion fracture can be treated acutely with a compressive dressing, then the patient can be transitioned to a short leg walking boot for two weeks, with. You might have a cast or boot to protect it. Your doctor will check your healing progress. Diagnosis is made with plain radiographs. Metatarsal fractures are among the most common. Boot For 4Th Metatarsal Fracture.
From pressbooks.pub
Metatarsal Fractures Orthopaedia Foot & Ankle Boot For 4Th Metatarsal Fracture You might have a cast or boot to protect it. Most metatarsal fractures can be treated with an initial period of elevation and limited weight bearing. Metatarsal fractures (broken metatarsal bones) can be acute, or caused immediately by injury. Metatarsal fractures are among the most common injuries of the foot that may occur due to trauma or repetitive microstress. A. Boot For 4Th Metatarsal Fracture.
From mavink.com
Metatarsal Fracture Left Foot Boot For 4Th Metatarsal Fracture A fifth metatarsal tuberosity avulsion fracture can be treated acutely with a compressive dressing, then the patient can be transitioned to a short leg walking boot for two weeks, with. Metatarsal fractures (broken metatarsal bones) can be acute, or caused immediately by injury. Pins might be removed after six to eight weeks, while plates and screws might stay in. Metatarsal. Boot For 4Th Metatarsal Fracture.
From www.thebracingexperts.com
Best Brace for 5th Metatarsal Fracture or Walking Boot Boot For 4Th Metatarsal Fracture Your doctor will check your healing progress. You might have a cast or boot to protect it. Pins might be removed after six to eight weeks, while plates and screws might stay in. Most metatarsal fractures can be treated with an initial period of elevation and limited weight bearing. Metatarsal fractures (broken metatarsal bones) can be acute, or caused immediately. Boot For 4Th Metatarsal Fracture.
From ar.inspiredpencil.com
4th Metatarsal Fracture Boot For 4Th Metatarsal Fracture Metatarsal fractures are common in the paediatric population and rarely require operative management. You might have a cast or boot to protect it. Metatarsal fractures are among the most common injuries of the foot that may occur due to trauma or repetitive microstress. Diagnosis is made with plain radiographs. Most metatarsal fractures can be treated with an initial period of. Boot For 4Th Metatarsal Fracture.
From www.flickr.com
Fifth Metatarsal Fracture Jason Thompson Flickr Boot For 4Th Metatarsal Fracture Metatarsal fractures are among the most common injuries of the foot that may occur due to trauma or repetitive microstress. Your doctor will check your healing progress. This is followed by gradual weight bearing, as tolerated, in a cast or walking. Most metatarsal fractures can be treated with an initial period of elevation and limited weight bearing. Metatarsal fractures (broken. Boot For 4Th Metatarsal Fracture.
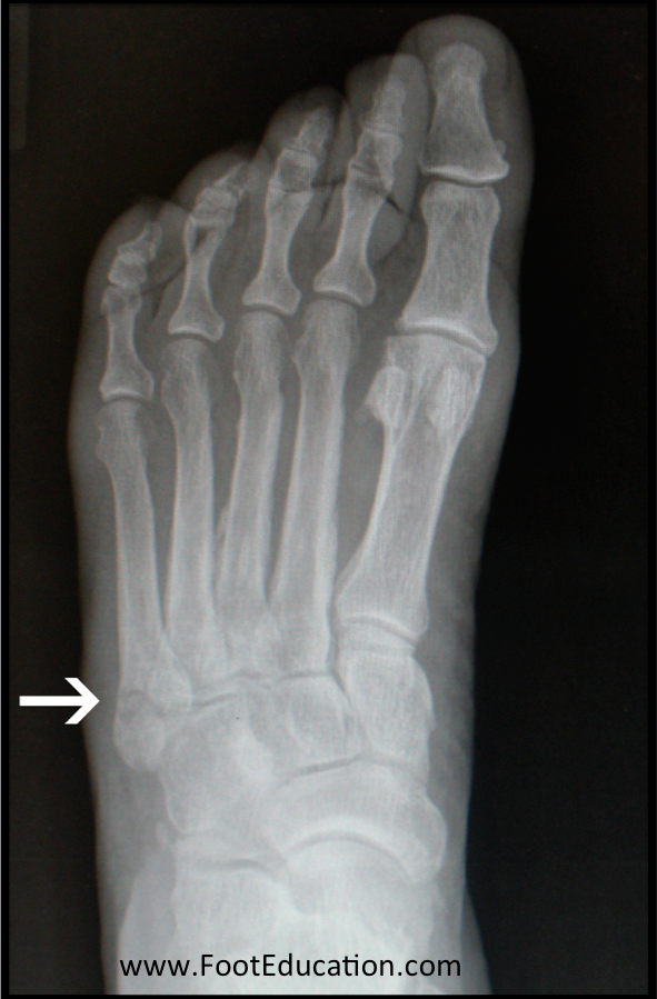
From www.footeducation.com
5th Metatarsal Avulsion Fracture FootEducation Boot For 4Th Metatarsal Fracture Metatarsal fractures are common in the paediatric population and rarely require operative management. Most metatarsal fractures can be treated with an initial period of elevation and limited weight bearing. A fifth metatarsal tuberosity avulsion fracture can be treated acutely with a compressive dressing, then the patient can be transitioned to a short leg walking boot for two weeks, with. You. Boot For 4Th Metatarsal Fracture.
From www.cureus.com
Surgical Realignment of a Dorsiflexed Metatarsal Fracture Cureus Boot For 4Th Metatarsal Fracture Your doctor will check your healing progress. Metatarsal fractures are among the most common injuries of the foot that may occur due to trauma or repetitive microstress. Diagnosis is made with plain radiographs. Most metatarsal fractures can be treated with an initial period of elevation and limited weight bearing. Metatarsal fractures (broken metatarsal bones) can be acute, or caused immediately. Boot For 4Th Metatarsal Fracture.
From footeducation.com
Metatarsal Shaft Fractures FootEducation Boot For 4Th Metatarsal Fracture Metatarsal fractures are common in the paediatric population and rarely require operative management. A fifth metatarsal tuberosity avulsion fracture can be treated acutely with a compressive dressing, then the patient can be transitioned to a short leg walking boot for two weeks, with. This is followed by gradual weight bearing, as tolerated, in a cast or walking. Most metatarsal fractures. Boot For 4Th Metatarsal Fracture.
From ar.inspiredpencil.com
4th Metatarsal Fracture Boot For 4Th Metatarsal Fracture Most metatarsal fractures can be treated with an initial period of elevation and limited weight bearing. A fifth metatarsal tuberosity avulsion fracture can be treated acutely with a compressive dressing, then the patient can be transitioned to a short leg walking boot for two weeks, with. Pins might be removed after six to eight weeks, while plates and screws might. Boot For 4Th Metatarsal Fracture.
From www.pisceshealth.com
Pisces Healthcare Solutions. Metatarsal Stress Fracture Foot Brace Boot For 4Th Metatarsal Fracture Your doctor will check your healing progress. Metatarsal fractures (broken metatarsal bones) can be acute, or caused immediately by injury. A fifth metatarsal tuberosity avulsion fracture can be treated acutely with a compressive dressing, then the patient can be transitioned to a short leg walking boot for two weeks, with. You might have a cast or boot to protect it.. Boot For 4Th Metatarsal Fracture.
From faoj.org
Treatment of Fourth Metatarsal Base Fracture NonUnions in Middle Aged Boot For 4Th Metatarsal Fracture This is followed by gradual weight bearing, as tolerated, in a cast or walking. Most metatarsal fractures can be treated with an initial period of elevation and limited weight bearing. Your doctor will check your healing progress. Pins might be removed after six to eight weeks, while plates and screws might stay in. A fifth metatarsal tuberosity avulsion fracture can. Boot For 4Th Metatarsal Fracture.
From 5th-metatarsal-fracture-boot-cast.clinic007.com
5th Metatarsal Fracture Boot Cast Clinic Boot For 4Th Metatarsal Fracture Metatarsal fractures are among the most common injuries of the foot that may occur due to trauma or repetitive microstress. Most metatarsal fractures can be treated with an initial period of elevation and limited weight bearing. Metatarsal fractures are common in the paediatric population and rarely require operative management. A fifth metatarsal tuberosity avulsion fracture can be treated acutely with. Boot For 4Th Metatarsal Fracture.
From www.reddit.com
2nd, 3rd and 4th metatarsal displaced fractures r/brokenbones Boot For 4Th Metatarsal Fracture Your doctor will check your healing progress. This is followed by gradual weight bearing, as tolerated, in a cast or walking. Most metatarsal fractures can be treated with an initial period of elevation and limited weight bearing. Metatarsal fractures are common in the paediatric population and rarely require operative management. A fifth metatarsal tuberosity avulsion fracture can be treated acutely. Boot For 4Th Metatarsal Fracture.
From www.researchgate.net
AP plain film radiographs of fourth metatarsal fracture treated with a Boot For 4Th Metatarsal Fracture A fifth metatarsal tuberosity avulsion fracture can be treated acutely with a compressive dressing, then the patient can be transitioned to a short leg walking boot for two weeks, with. Your doctor will check your healing progress. Metatarsal fractures are among the most common injuries of the foot that may occur due to trauma or repetitive microstress. This is followed. Boot For 4Th Metatarsal Fracture.
From maineinns.com
Our Top 20 Best Walking Boot For 5Th Metatarsal Fracture Boot For 4Th Metatarsal Fracture Metatarsal fractures (broken metatarsal bones) can be acute, or caused immediately by injury. This is followed by gradual weight bearing, as tolerated, in a cast or walking. Metatarsal fractures are among the most common injuries of the foot that may occur due to trauma or repetitive microstress. Metatarsal fractures are common in the paediatric population and rarely require operative management.. Boot For 4Th Metatarsal Fracture.
From footeducation.com
5th Metatarsal Shaft "Dancer's" Fracture FootEducation Boot For 4Th Metatarsal Fracture Metatarsal fractures are among the most common injuries of the foot that may occur due to trauma or repetitive microstress. This is followed by gradual weight bearing, as tolerated, in a cast or walking. Metatarsal fractures are common in the paediatric population and rarely require operative management. Diagnosis is made with plain radiographs. Metatarsal fractures (broken metatarsal bones) can be. Boot For 4Th Metatarsal Fracture.
From footeducation.com
Metatarsal Shaft Fractures FootEducation Boot For 4Th Metatarsal Fracture This is followed by gradual weight bearing, as tolerated, in a cast or walking. You might have a cast or boot to protect it. Diagnosis is made with plain radiographs. A fifth metatarsal tuberosity avulsion fracture can be treated acutely with a compressive dressing, then the patient can be transitioned to a short leg walking boot for two weeks, with.. Boot For 4Th Metatarsal Fracture.
From ar.inspiredpencil.com
4th Metatarsal Fracture Boot For 4Th Metatarsal Fracture Metatarsal fractures are common in the paediatric population and rarely require operative management. This is followed by gradual weight bearing, as tolerated, in a cast or walking. Your doctor will check your healing progress. Most metatarsal fractures can be treated with an initial period of elevation and limited weight bearing. A fifth metatarsal tuberosity avulsion fracture can be treated acutely. Boot For 4Th Metatarsal Fracture.
From www.cchit.org
Ranking Of The Best Walking Boot For 5th Metatarsal Fracture [ 2022 Boot For 4Th Metatarsal Fracture You might have a cast or boot to protect it. A fifth metatarsal tuberosity avulsion fracture can be treated acutely with a compressive dressing, then the patient can be transitioned to a short leg walking boot for two weeks, with. Your doctor will check your healing progress. Metatarsal fractures (broken metatarsal bones) can be acute, or caused immediately by injury.. Boot For 4Th Metatarsal Fracture.
From pch.health.wa.gov.au
Fractures Foot Boot For 4Th Metatarsal Fracture Metatarsal fractures are among the most common injuries of the foot that may occur due to trauma or repetitive microstress. Your doctor will check your healing progress. You might have a cast or boot to protect it. Metatarsal fractures are common in the paediatric population and rarely require operative management. Diagnosis is made with plain radiographs. A fifth metatarsal tuberosity. Boot For 4Th Metatarsal Fracture.
From www.drblakeshealingsole.com
Foot and Ankle Problems By Dr. Richard Blake Metatarsal Fractures Boot For 4Th Metatarsal Fracture Metatarsal fractures are among the most common injuries of the foot that may occur due to trauma or repetitive microstress. This is followed by gradual weight bearing, as tolerated, in a cast or walking. Metatarsal fractures are common in the paediatric population and rarely require operative management. You might have a cast or boot to protect it. A fifth metatarsal. Boot For 4Th Metatarsal Fracture.
From www.verywellhealth.com
4 Types of Fifth Metatarsal Fracture Boot For 4Th Metatarsal Fracture Your doctor will check your healing progress. A fifth metatarsal tuberosity avulsion fracture can be treated acutely with a compressive dressing, then the patient can be transitioned to a short leg walking boot for two weeks, with. Metatarsal fractures are common in the paediatric population and rarely require operative management. Most metatarsal fractures can be treated with an initial period. Boot For 4Th Metatarsal Fracture.