Chest Expander After Mastectomy . The expander is slowly filled with. In the first stage, the surgeon places a device, called a tissue expander, under the skin that is left after the mastectomy or under the chest muscle (1,2). You may also have some discomfort in. Tissue expanders are used after a mastectomy to increase the amount of tissue doctors have to work with when they’re. A tissue expander is essentially a temporary, empty breast implant that is placed in the chest to make room for a breast implant after a patient. After each expansion, you may feel some tightness and fullness in your reconstructed breast. After a mastectomy, tissue expanders can be used during immediate or delayed breast reconstruction to stretch the breast skin and chest muscle in order to prepare for your. Expanders are used so that. They can be uncomfortable, but there are. After mastectomy, your care team may use a breast tissue expander to ensure there’s enough room to reconstruct your new breast.
from mrimplant.org
After each expansion, you may feel some tightness and fullness in your reconstructed breast. Expanders are used so that. After mastectomy, your care team may use a breast tissue expander to ensure there’s enough room to reconstruct your new breast. Tissue expanders are used after a mastectomy to increase the amount of tissue doctors have to work with when they’re. In the first stage, the surgeon places a device, called a tissue expander, under the skin that is left after the mastectomy or under the chest muscle (1,2). They can be uncomfortable, but there are. After a mastectomy, tissue expanders can be used during immediate or delayed breast reconstruction to stretch the breast skin and chest muscle in order to prepare for your. You may also have some discomfort in. A tissue expander is essentially a temporary, empty breast implant that is placed in the chest to make room for a breast implant after a patient. The expander is slowly filled with.
Breast Implants/Spacers/Tissue Expanders MR IMPLANT
Chest Expander After Mastectomy After mastectomy, your care team may use a breast tissue expander to ensure there’s enough room to reconstruct your new breast. After mastectomy, your care team may use a breast tissue expander to ensure there’s enough room to reconstruct your new breast. The expander is slowly filled with. After each expansion, you may feel some tightness and fullness in your reconstructed breast. You may also have some discomfort in. After a mastectomy, tissue expanders can be used during immediate or delayed breast reconstruction to stretch the breast skin and chest muscle in order to prepare for your. A tissue expander is essentially a temporary, empty breast implant that is placed in the chest to make room for a breast implant after a patient. Expanders are used so that. They can be uncomfortable, but there are. In the first stage, the surgeon places a device, called a tissue expander, under the skin that is left after the mastectomy or under the chest muscle (1,2). Tissue expanders are used after a mastectomy to increase the amount of tissue doctors have to work with when they’re.
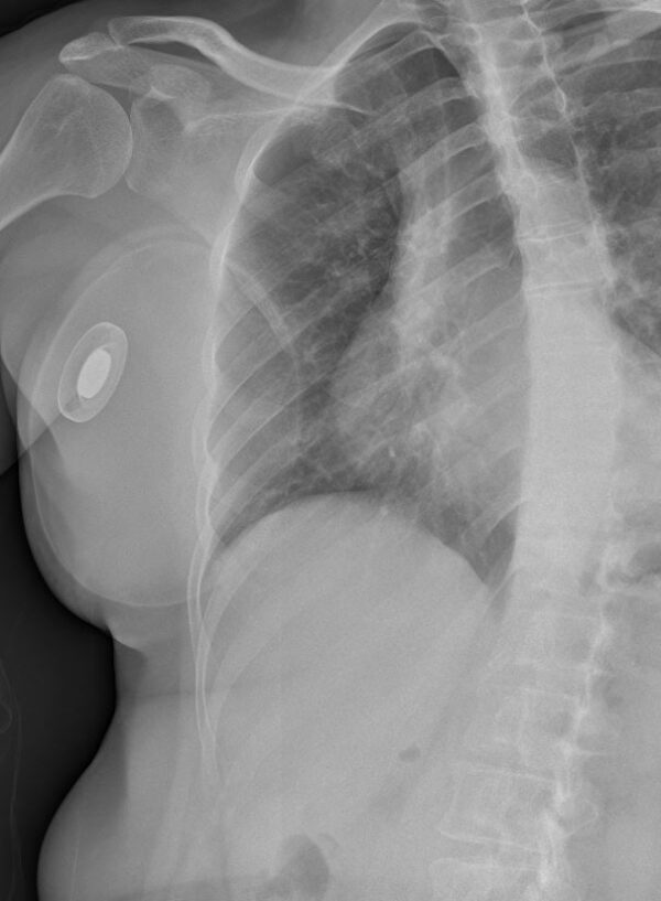
From radiopaedia.org
Breast tissue expander implants Image Chest Expander After Mastectomy You may also have some discomfort in. The expander is slowly filled with. After mastectomy, your care team may use a breast tissue expander to ensure there’s enough room to reconstruct your new breast. After a mastectomy, tissue expanders can be used during immediate or delayed breast reconstruction to stretch the breast skin and chest muscle in order to prepare. Chest Expander After Mastectomy.
From theroadlestraveled.com
Lifting up the Ladies Breast Implants After My Double Mastectomy The Chest Expander After Mastectomy Tissue expanders are used after a mastectomy to increase the amount of tissue doctors have to work with when they’re. In the first stage, the surgeon places a device, called a tissue expander, under the skin that is left after the mastectomy or under the chest muscle (1,2). After a mastectomy, tissue expanders can be used during immediate or delayed. Chest Expander After Mastectomy.
From www.etsy.com
Versatile/Post chest/breast surgical bra Mastectomy Etsy Chest Expander After Mastectomy After each expansion, you may feel some tightness and fullness in your reconstructed breast. The expander is slowly filled with. After mastectomy, your care team may use a breast tissue expander to ensure there’s enough room to reconstruct your new breast. After a mastectomy, tissue expanders can be used during immediate or delayed breast reconstruction to stretch the breast skin. Chest Expander After Mastectomy.
From www.svuhradiology.ie
Mastectomy CXR Radiology at St. Vincent's University Hospital Chest Expander After Mastectomy After mastectomy, your care team may use a breast tissue expander to ensure there’s enough room to reconstruct your new breast. After each expansion, you may feel some tightness and fullness in your reconstructed breast. After a mastectomy, tissue expanders can be used during immediate or delayed breast reconstruction to stretch the breast skin and chest muscle in order to. Chest Expander After Mastectomy.
From healthter.org
Kansarka Naasaha Calaamadihihiisa, Nuucyada, Heerarka Iyo Daaweynta Chest Expander After Mastectomy After mastectomy, your care team may use a breast tissue expander to ensure there’s enough room to reconstruct your new breast. After each expansion, you may feel some tightness and fullness in your reconstructed breast. After a mastectomy, tissue expanders can be used during immediate or delayed breast reconstruction to stretch the breast skin and chest muscle in order to. Chest Expander After Mastectomy.
From herald-review.com
After double mastectomy, seeking normal again Health Chest Expander After Mastectomy A tissue expander is essentially a temporary, empty breast implant that is placed in the chest to make room for a breast implant after a patient. They can be uncomfortable, but there are. After a mastectomy, tissue expanders can be used during immediate or delayed breast reconstruction to stretch the breast skin and chest muscle in order to prepare for. Chest Expander After Mastectomy.
From www.youtube.com
Workout for your chest Chest Expanders Male YouTube Chest Expander After Mastectomy After mastectomy, your care team may use a breast tissue expander to ensure there’s enough room to reconstruct your new breast. In the first stage, the surgeon places a device, called a tissue expander, under the skin that is left after the mastectomy or under the chest muscle (1,2). The expander is slowly filled with. They can be uncomfortable, but. Chest Expander After Mastectomy.
From www.mycancerchic.com
How to Prepare for a Mastectomy My Cancer Chic Chest Expander After Mastectomy Tissue expanders are used after a mastectomy to increase the amount of tissue doctors have to work with when they’re. After mastectomy, your care team may use a breast tissue expander to ensure there’s enough room to reconstruct your new breast. After a mastectomy, tissue expanders can be used during immediate or delayed breast reconstruction to stretch the breast skin. Chest Expander After Mastectomy.
From www.youtube.com
Breast Reconstruction After Mastectomy with Tissue Expanders Dr Chest Expander After Mastectomy In the first stage, the surgeon places a device, called a tissue expander, under the skin that is left after the mastectomy or under the chest muscle (1,2). They can be uncomfortable, but there are. The expander is slowly filled with. After a mastectomy, tissue expanders can be used during immediate or delayed breast reconstruction to stretch the breast skin. Chest Expander After Mastectomy.
From www.onehealthcare.co.uk
Breast Reconstruction with an Implant or Tissue Expander One Healthcare Chest Expander After Mastectomy After mastectomy, your care team may use a breast tissue expander to ensure there’s enough room to reconstruct your new breast. After a mastectomy, tissue expanders can be used during immediate or delayed breast reconstruction to stretch the breast skin and chest muscle in order to prepare for your. Tissue expanders are used after a mastectomy to increase the amount. Chest Expander After Mastectomy.
From theroadlestraveled.com
My Double Mastectomy Surgery in 24 Photos The Road Les Traveled Chest Expander After Mastectomy Expanders are used so that. A tissue expander is essentially a temporary, empty breast implant that is placed in the chest to make room for a breast implant after a patient. You may also have some discomfort in. After mastectomy, your care team may use a breast tissue expander to ensure there’s enough room to reconstruct your new breast. After. Chest Expander After Mastectomy.
From www.youtube.com
POST MASTECTOMY BREAST RECONSTRUCTION UPDATE YouTube Chest Expander After Mastectomy Expanders are used so that. In the first stage, the surgeon places a device, called a tissue expander, under the skin that is left after the mastectomy or under the chest muscle (1,2). After mastectomy, your care team may use a breast tissue expander to ensure there’s enough room to reconstruct your new breast. They can be uncomfortable, but there. Chest Expander After Mastectomy.
From www.pinterest.jp
Pin on Bloggers BEST Recipes and Lifestyle Decor Chest Expander After Mastectomy Tissue expanders are used after a mastectomy to increase the amount of tissue doctors have to work with when they’re. You may also have some discomfort in. A tissue expander is essentially a temporary, empty breast implant that is placed in the chest to make room for a breast implant after a patient. After a mastectomy, tissue expanders can be. Chest Expander After Mastectomy.
From www.youtube.com
My breast cancer lumpectomy, mastectomy and reconstruction YouTube Chest Expander After Mastectomy They can be uncomfortable, but there are. The expander is slowly filled with. Tissue expanders are used after a mastectomy to increase the amount of tissue doctors have to work with when they’re. After a mastectomy, tissue expanders can be used during immediate or delayed breast reconstruction to stretch the breast skin and chest muscle in order to prepare for. Chest Expander After Mastectomy.
From www.youtube.com
AlloX2 Breast Reconstruction after Breast Cancer Drain Patency at 3 Chest Expander After Mastectomy A tissue expander is essentially a temporary, empty breast implant that is placed in the chest to make room for a breast implant after a patient. After a mastectomy, tissue expanders can be used during immediate or delayed breast reconstruction to stretch the breast skin and chest muscle in order to prepare for your. Tissue expanders are used after a. Chest Expander After Mastectomy.
From www.youtube.com
What is a Tissue Expander Breast Reconstruction Overview YouTube Chest Expander After Mastectomy A tissue expander is essentially a temporary, empty breast implant that is placed in the chest to make room for a breast implant after a patient. After mastectomy, your care team may use a breast tissue expander to ensure there’s enough room to reconstruct your new breast. Tissue expanders are used after a mastectomy to increase the amount of tissue. Chest Expander After Mastectomy.
From www.mycancerchic.com
tissues expanders My Cancer Chic Chest Expander After Mastectomy The expander is slowly filled with. After a mastectomy, tissue expanders can be used during immediate or delayed breast reconstruction to stretch the breast skin and chest muscle in order to prepare for your. Expanders are used so that. You may also have some discomfort in. In the first stage, the surgeon places a device, called a tissue expander, under. Chest Expander After Mastectomy.
From theroadlestraveled.com
My Double Mastectomy Surgery in 24 Photos The Road Les Traveled Chest Expander After Mastectomy Expanders are used so that. A tissue expander is essentially a temporary, empty breast implant that is placed in the chest to make room for a breast implant after a patient. After mastectomy, your care team may use a breast tissue expander to ensure there’s enough room to reconstruct your new breast. After each expansion, you may feel some tightness. Chest Expander After Mastectomy.
From www.myxxgirl.com
Chest X Rays Of The Patient After Insertion Of A Chest Tube And My Chest Expander After Mastectomy They can be uncomfortable, but there are. A tissue expander is essentially a temporary, empty breast implant that is placed in the chest to make room for a breast implant after a patient. Expanders are used so that. After mastectomy, your care team may use a breast tissue expander to ensure there’s enough room to reconstruct your new breast. After. Chest Expander After Mastectomy.
From www.pinterest.com
Tissue Expanders after Mastectomy Implants breast, Breast surgery Chest Expander After Mastectomy Expanders are used so that. Tissue expanders are used after a mastectomy to increase the amount of tissue doctors have to work with when they’re. A tissue expander is essentially a temporary, empty breast implant that is placed in the chest to make room for a breast implant after a patient. After each expansion, you may feel some tightness and. Chest Expander After Mastectomy.
From www.medicaldesignandoutsourcing.com
Mentor Introduces New Tissue Expander With Smooth Surface For Patients Chest Expander After Mastectomy A tissue expander is essentially a temporary, empty breast implant that is placed in the chest to make room for a breast implant after a patient. After mastectomy, your care team may use a breast tissue expander to ensure there’s enough room to reconstruct your new breast. Tissue expanders are used after a mastectomy to increase the amount of tissue. Chest Expander After Mastectomy.
From www.youtube.com
Breast Reconstruction Expanders and the Fill Process YouTube Chest Expander After Mastectomy In the first stage, the surgeon places a device, called a tissue expander, under the skin that is left after the mastectomy or under the chest muscle (1,2). After mastectomy, your care team may use a breast tissue expander to ensure there’s enough room to reconstruct your new breast. A tissue expander is essentially a temporary, empty breast implant that. Chest Expander After Mastectomy.
From mhudik.blogspot.com
Brca 1 positive and my choice of a prophylactic double mastectomy Chest Expander After Mastectomy You may also have some discomfort in. In the first stage, the surgeon places a device, called a tissue expander, under the skin that is left after the mastectomy or under the chest muscle (1,2). After each expansion, you may feel some tightness and fullness in your reconstructed breast. Expanders are used so that. After a mastectomy, tissue expanders can. Chest Expander After Mastectomy.
From www.vice.com
Life After a Double Mastectomy at 33 VICE Chest Expander After Mastectomy After mastectomy, your care team may use a breast tissue expander to ensure there’s enough room to reconstruct your new breast. After each expansion, you may feel some tightness and fullness in your reconstructed breast. The expander is slowly filled with. They can be uncomfortable, but there are. You may also have some discomfort in. Expanders are used so that.. Chest Expander After Mastectomy.
From theroadlestraveled.com
My Double Mastectomy Surgery in 24 Photos The Road Les Traveled Chest Expander After Mastectomy Expanders are used so that. You may also have some discomfort in. After each expansion, you may feel some tightness and fullness in your reconstructed breast. They can be uncomfortable, but there are. A tissue expander is essentially a temporary, empty breast implant that is placed in the chest to make room for a breast implant after a patient. After. Chest Expander After Mastectomy.
From www.youtube.com
51. Tissue Expander to Implant Swap Surgery Start to Finish YouTube Chest Expander After Mastectomy After each expansion, you may feel some tightness and fullness in your reconstructed breast. They can be uncomfortable, but there are. After mastectomy, your care team may use a breast tissue expander to ensure there’s enough room to reconstruct your new breast. The expander is slowly filled with. In the first stage, the surgeon places a device, called a tissue. Chest Expander After Mastectomy.
From www.clinicspots.com
Breast cancer recurrence after Mastectomy ClinicSpots Chest Expander After Mastectomy In the first stage, the surgeon places a device, called a tissue expander, under the skin that is left after the mastectomy or under the chest muscle (1,2). Tissue expanders are used after a mastectomy to increase the amount of tissue doctors have to work with when they’re. After mastectomy, your care team may use a breast tissue expander to. Chest Expander After Mastectomy.
From www.youtube.com
TISSUE EXPANDERS (Breast Reconstruction) Everything You Need to Know Chest Expander After Mastectomy Tissue expanders are used after a mastectomy to increase the amount of tissue doctors have to work with when they’re. They can be uncomfortable, but there are. The expander is slowly filled with. After each expansion, you may feel some tightness and fullness in your reconstructed breast. You may also have some discomfort in. After a mastectomy, tissue expanders can. Chest Expander After Mastectomy.
From www.standardmedia.co.ke
Why older women keep off implants after mastectomy The Standard Health Chest Expander After Mastectomy After a mastectomy, tissue expanders can be used during immediate or delayed breast reconstruction to stretch the breast skin and chest muscle in order to prepare for your. After each expansion, you may feel some tightness and fullness in your reconstructed breast. They can be uncomfortable, but there are. Tissue expanders are used after a mastectomy to increase the amount. Chest Expander After Mastectomy.
From www.youtube.com
Considering breast reconstruction after mastectomy YouTube Chest Expander After Mastectomy Expanders are used so that. After mastectomy, your care team may use a breast tissue expander to ensure there’s enough room to reconstruct your new breast. In the first stage, the surgeon places a device, called a tissue expander, under the skin that is left after the mastectomy or under the chest muscle (1,2). Tissue expanders are used after a. Chest Expander After Mastectomy.
From www.youtube.com
SKIN SPARING MASTECTOMY in Breast Cancer Treatment Dr.Sandeep Nayak Chest Expander After Mastectomy Tissue expanders are used after a mastectomy to increase the amount of tissue doctors have to work with when they’re. They can be uncomfortable, but there are. In the first stage, the surgeon places a device, called a tissue expander, under the skin that is left after the mastectomy or under the chest muscle (1,2). After a mastectomy, tissue expanders. Chest Expander After Mastectomy.
From www.northcarolinacharm.com
Mastectomy 101 Surgical Drains & Tissue Expanders (10 Weeks Post Op Chest Expander After Mastectomy After a mastectomy, tissue expanders can be used during immediate or delayed breast reconstruction to stretch the breast skin and chest muscle in order to prepare for your. Tissue expanders are used after a mastectomy to increase the amount of tissue doctors have to work with when they’re. They can be uncomfortable, but there are. The expander is slowly filled. Chest Expander After Mastectomy.
From markcz.com
A week since my mastectomy Breast cancer blog Chest Expander After Mastectomy After mastectomy, your care team may use a breast tissue expander to ensure there’s enough room to reconstruct your new breast. Expanders are used so that. In the first stage, the surgeon places a device, called a tissue expander, under the skin that is left after the mastectomy or under the chest muscle (1,2). After each expansion, you may feel. Chest Expander After Mastectomy.
From www.jenhoverstad.com
Picking out new boobs and going in for the exchange — Jen Hoverstad Chest Expander After Mastectomy They can be uncomfortable, but there are. In the first stage, the surgeon places a device, called a tissue expander, under the skin that is left after the mastectomy or under the chest muscle (1,2). A tissue expander is essentially a temporary, empty breast implant that is placed in the chest to make room for a breast implant after a. Chest Expander After Mastectomy.
From mrimplant.org
Breast Implants/Spacers/Tissue Expanders MR IMPLANT Chest Expander After Mastectomy Expanders are used so that. In the first stage, the surgeon places a device, called a tissue expander, under the skin that is left after the mastectomy or under the chest muscle (1,2). After each expansion, you may feel some tightness and fullness in your reconstructed breast. Tissue expanders are used after a mastectomy to increase the amount of tissue. Chest Expander After Mastectomy.