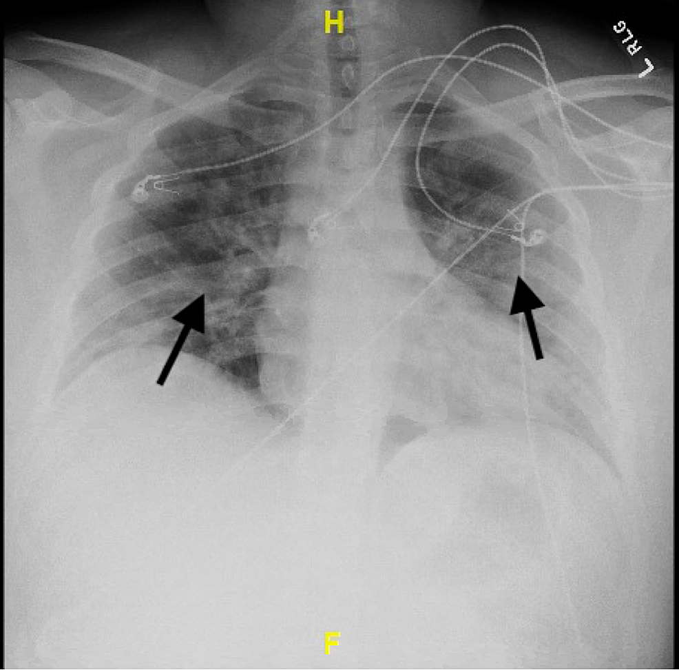
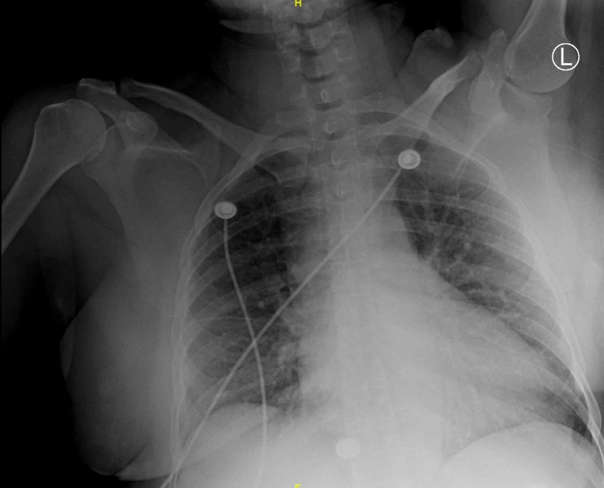
Chest X Ray Findings Myocardial Infarction . Reduced air entry, coarse crackles) to screen for. Respiratory distress, pallor, diaphoresis, tachycardia, high/low bp, s4 heart sound, signs of mitral regurgitation, pulmonary oedema. Features of myocardial infarction (e.g., chest pain, nausea, vomiting). Sound waves (ultrasound) create images of the moving heart. Patients may develop severe hypotension following nitroglycerine or morphine. Chest radiography is useful in determining the presence of cardiomegaly, pulmonary edema, pleural effusions, kerley b lines, and other criteria of hf. The traditional triad of findings seen in rvmi is hypotension, clear lung fields, and jugular venous distention. This test can show how blood moves through the heart and heart valves. An echocardiogram can help identify whether an area of your heart has been damaged.
from pubs.rsna.org
Features of myocardial infarction (e.g., chest pain, nausea, vomiting). Chest radiography is useful in determining the presence of cardiomegaly, pulmonary edema, pleural effusions, kerley b lines, and other criteria of hf. Reduced air entry, coarse crackles) to screen for. The traditional triad of findings seen in rvmi is hypotension, clear lung fields, and jugular venous distention. An echocardiogram can help identify whether an area of your heart has been damaged. Sound waves (ultrasound) create images of the moving heart. This test can show how blood moves through the heart and heart valves. Patients may develop severe hypotension following nitroglycerine or morphine. Respiratory distress, pallor, diaphoresis, tachycardia, high/low bp, s4 heart sound, signs of mitral regurgitation, pulmonary oedema.
Cardiac MRI to Visualize Myocardial Damage after STSegment Elevation
Chest X Ray Findings Myocardial Infarction Chest radiography is useful in determining the presence of cardiomegaly, pulmonary edema, pleural effusions, kerley b lines, and other criteria of hf. Sound waves (ultrasound) create images of the moving heart. Features of myocardial infarction (e.g., chest pain, nausea, vomiting). Chest radiography is useful in determining the presence of cardiomegaly, pulmonary edema, pleural effusions, kerley b lines, and other criteria of hf. Respiratory distress, pallor, diaphoresis, tachycardia, high/low bp, s4 heart sound, signs of mitral regurgitation, pulmonary oedema. This test can show how blood moves through the heart and heart valves. Patients may develop severe hypotension following nitroglycerine or morphine. Reduced air entry, coarse crackles) to screen for. The traditional triad of findings seen in rvmi is hypotension, clear lung fields, and jugular venous distention. An echocardiogram can help identify whether an area of your heart has been damaged.
From cardiologyres.org
Diagnostic Approach to Myocarditis Mimicking Myocardial Infarction at Chest X Ray Findings Myocardial Infarction Sound waves (ultrasound) create images of the moving heart. Respiratory distress, pallor, diaphoresis, tachycardia, high/low bp, s4 heart sound, signs of mitral regurgitation, pulmonary oedema. This test can show how blood moves through the heart and heart valves. The traditional triad of findings seen in rvmi is hypotension, clear lung fields, and jugular venous distention. Reduced air entry, coarse crackles). Chest X Ray Findings Myocardial Infarction.
From www.alamy.com
Ischemic Heart Disease , Myocardial Infarction ( MI ) ( Film xray body Chest X Ray Findings Myocardial Infarction This test can show how blood moves through the heart and heart valves. Sound waves (ultrasound) create images of the moving heart. Chest radiography is useful in determining the presence of cardiomegaly, pulmonary edema, pleural effusions, kerley b lines, and other criteria of hf. Respiratory distress, pallor, diaphoresis, tachycardia, high/low bp, s4 heart sound, signs of mitral regurgitation, pulmonary oedema.. Chest X Ray Findings Myocardial Infarction.
From www.semanticscholar.org
Figure 2 from The Initial Chest X‐ray in Acute Myocardial Infarction Chest X Ray Findings Myocardial Infarction Features of myocardial infarction (e.g., chest pain, nausea, vomiting). An echocardiogram can help identify whether an area of your heart has been damaged. Reduced air entry, coarse crackles) to screen for. Patients may develop severe hypotension following nitroglycerine or morphine. Chest radiography is useful in determining the presence of cardiomegaly, pulmonary edema, pleural effusions, kerley b lines, and other criteria. Chest X Ray Findings Myocardial Infarction.
From pubs.rsna.org
MR Imaging of Myocardial Infarction RadioGraphics Chest X Ray Findings Myocardial Infarction Features of myocardial infarction (e.g., chest pain, nausea, vomiting). Patients may develop severe hypotension following nitroglycerine or morphine. The traditional triad of findings seen in rvmi is hypotension, clear lung fields, and jugular venous distention. An echocardiogram can help identify whether an area of your heart has been damaged. Sound waves (ultrasound) create images of the moving heart. Respiratory distress,. Chest X Ray Findings Myocardial Infarction.
From www.cureus.com
Cureus Diagnosis and Management of an Inferior STelevation Chest X Ray Findings Myocardial Infarction Sound waves (ultrasound) create images of the moving heart. Features of myocardial infarction (e.g., chest pain, nausea, vomiting). This test can show how blood moves through the heart and heart valves. Chest radiography is useful in determining the presence of cardiomegaly, pulmonary edema, pleural effusions, kerley b lines, and other criteria of hf. An echocardiogram can help identify whether an. Chest X Ray Findings Myocardial Infarction.
From bmccardiovascdisord.biomedcentral.com
Acute myocardial infarction after blunt chest wall trauma with Chest X Ray Findings Myocardial Infarction Chest radiography is useful in determining the presence of cardiomegaly, pulmonary edema, pleural effusions, kerley b lines, and other criteria of hf. This test can show how blood moves through the heart and heart valves. Features of myocardial infarction (e.g., chest pain, nausea, vomiting). An echocardiogram can help identify whether an area of your heart has been damaged. Reduced air. Chest X Ray Findings Myocardial Infarction.
From www.cureus.com
Cureus STElevation Myocardial Infarction in a 27YearOld Male With Chest X Ray Findings Myocardial Infarction An echocardiogram can help identify whether an area of your heart has been damaged. Chest radiography is useful in determining the presence of cardiomegaly, pulmonary edema, pleural effusions, kerley b lines, and other criteria of hf. This test can show how blood moves through the heart and heart valves. Sound waves (ultrasound) create images of the moving heart. Features of. Chest X Ray Findings Myocardial Infarction.
From www.researchgate.net
Chest Xray 4 months prior to myocardial infarction. Normal findings Chest X Ray Findings Myocardial Infarction Respiratory distress, pallor, diaphoresis, tachycardia, high/low bp, s4 heart sound, signs of mitral regurgitation, pulmonary oedema. Reduced air entry, coarse crackles) to screen for. An echocardiogram can help identify whether an area of your heart has been damaged. This test can show how blood moves through the heart and heart valves. Sound waves (ultrasound) create images of the moving heart.. Chest X Ray Findings Myocardial Infarction.
From www.researchgate.net
Repeat chest Xray (CXR) and highresolution chest CT scan findings 6A Chest X Ray Findings Myocardial Infarction This test can show how blood moves through the heart and heart valves. Features of myocardial infarction (e.g., chest pain, nausea, vomiting). The traditional triad of findings seen in rvmi is hypotension, clear lung fields, and jugular venous distention. Respiratory distress, pallor, diaphoresis, tachycardia, high/low bp, s4 heart sound, signs of mitral regurgitation, pulmonary oedema. Reduced air entry, coarse crackles). Chest X Ray Findings Myocardial Infarction.
From www.ctisus.com
Myocardial Infarction Cardiac Case Studies CTisus CT Scanning Chest X Ray Findings Myocardial Infarction Features of myocardial infarction (e.g., chest pain, nausea, vomiting). This test can show how blood moves through the heart and heart valves. Patients may develop severe hypotension following nitroglycerine or morphine. Respiratory distress, pallor, diaphoresis, tachycardia, high/low bp, s4 heart sound, signs of mitral regurgitation, pulmonary oedema. An echocardiogram can help identify whether an area of your heart has been. Chest X Ray Findings Myocardial Infarction.
From www.ebmconsult.com
Radiology Chest Xray Normal Chest X Ray Findings Myocardial Infarction The traditional triad of findings seen in rvmi is hypotension, clear lung fields, and jugular venous distention. An echocardiogram can help identify whether an area of your heart has been damaged. Sound waves (ultrasound) create images of the moving heart. This test can show how blood moves through the heart and heart valves. Reduced air entry, coarse crackles) to screen. Chest X Ray Findings Myocardial Infarction.
From www.researchgate.net
Chest Xray findings at admission. The chest Xray shows a large Chest X Ray Findings Myocardial Infarction This test can show how blood moves through the heart and heart valves. Features of myocardial infarction (e.g., chest pain, nausea, vomiting). Respiratory distress, pallor, diaphoresis, tachycardia, high/low bp, s4 heart sound, signs of mitral regurgitation, pulmonary oedema. Chest radiography is useful in determining the presence of cardiomegaly, pulmonary edema, pleural effusions, kerley b lines, and other criteria of hf.. Chest X Ray Findings Myocardial Infarction.
From www.researchgate.net
Chest Xray findings confirmed Download Scientific Diagram Chest X Ray Findings Myocardial Infarction This test can show how blood moves through the heart and heart valves. An echocardiogram can help identify whether an area of your heart has been damaged. Chest radiography is useful in determining the presence of cardiomegaly, pulmonary edema, pleural effusions, kerley b lines, and other criteria of hf. Reduced air entry, coarse crackles) to screen for. Patients may develop. Chest X Ray Findings Myocardial Infarction.
From www.researchgate.net
Chest XRay on Presentation Download Scientific Diagram Chest X Ray Findings Myocardial Infarction Chest radiography is useful in determining the presence of cardiomegaly, pulmonary edema, pleural effusions, kerley b lines, and other criteria of hf. Sound waves (ultrasound) create images of the moving heart. Reduced air entry, coarse crackles) to screen for. Respiratory distress, pallor, diaphoresis, tachycardia, high/low bp, s4 heart sound, signs of mitral regurgitation, pulmonary oedema. Patients may develop severe hypotension. Chest X Ray Findings Myocardial Infarction.
From journals.sagepub.com
STSegment Elevation Myocardial Infarction on the Line Inadvertent Chest X Ray Findings Myocardial Infarction This test can show how blood moves through the heart and heart valves. The traditional triad of findings seen in rvmi is hypotension, clear lung fields, and jugular venous distention. Chest radiography is useful in determining the presence of cardiomegaly, pulmonary edema, pleural effusions, kerley b lines, and other criteria of hf. Features of myocardial infarction (e.g., chest pain, nausea,. Chest X Ray Findings Myocardial Infarction.
From www.researchgate.net
Chest Xray 4 months prior to myocardial infarction. Normal findings Chest X Ray Findings Myocardial Infarction Respiratory distress, pallor, diaphoresis, tachycardia, high/low bp, s4 heart sound, signs of mitral regurgitation, pulmonary oedema. Features of myocardial infarction (e.g., chest pain, nausea, vomiting). This test can show how blood moves through the heart and heart valves. Chest radiography is useful in determining the presence of cardiomegaly, pulmonary edema, pleural effusions, kerley b lines, and other criteria of hf.. Chest X Ray Findings Myocardial Infarction.
From www.slideserve.com
PPT ST Elevation Myocardial Infarction (STEMI) PowerPoint Chest X Ray Findings Myocardial Infarction Features of myocardial infarction (e.g., chest pain, nausea, vomiting). Reduced air entry, coarse crackles) to screen for. An echocardiogram can help identify whether an area of your heart has been damaged. This test can show how blood moves through the heart and heart valves. Chest radiography is useful in determining the presence of cardiomegaly, pulmonary edema, pleural effusions, kerley b. Chest X Ray Findings Myocardial Infarction.
From www.ctisus.com
Myocardial Infarction Cardiac Case Studies CTisus CT Scanning Chest X Ray Findings Myocardial Infarction Chest radiography is useful in determining the presence of cardiomegaly, pulmonary edema, pleural effusions, kerley b lines, and other criteria of hf. Sound waves (ultrasound) create images of the moving heart. This test can show how blood moves through the heart and heart valves. Reduced air entry, coarse crackles) to screen for. Respiratory distress, pallor, diaphoresis, tachycardia, high/low bp, s4. Chest X Ray Findings Myocardial Infarction.
From www.cureus.com
Cureus STElevation Myocardial Infarction in a 27YearOld Male With Chest X Ray Findings Myocardial Infarction Patients may develop severe hypotension following nitroglycerine or morphine. The traditional triad of findings seen in rvmi is hypotension, clear lung fields, and jugular venous distention. Sound waves (ultrasound) create images of the moving heart. Reduced air entry, coarse crackles) to screen for. This test can show how blood moves through the heart and heart valves. Respiratory distress, pallor, diaphoresis,. Chest X Ray Findings Myocardial Infarction.
From www.cureus.com
Cureus NaltrexoneAssociated NonSTElevated Myocardial Infarction Chest X Ray Findings Myocardial Infarction Sound waves (ultrasound) create images of the moving heart. This test can show how blood moves through the heart and heart valves. Respiratory distress, pallor, diaphoresis, tachycardia, high/low bp, s4 heart sound, signs of mitral regurgitation, pulmonary oedema. Reduced air entry, coarse crackles) to screen for. The traditional triad of findings seen in rvmi is hypotension, clear lung fields, and. Chest X Ray Findings Myocardial Infarction.
From www.cureus.com
Cureus Medical Management of a Case of InferiorPosterior Wall ST Chest X Ray Findings Myocardial Infarction The traditional triad of findings seen in rvmi is hypotension, clear lung fields, and jugular venous distention. Chest radiography is useful in determining the presence of cardiomegaly, pulmonary edema, pleural effusions, kerley b lines, and other criteria of hf. Features of myocardial infarction (e.g., chest pain, nausea, vomiting). Sound waves (ultrasound) create images of the moving heart. Patients may develop. Chest X Ray Findings Myocardial Infarction.
From www.researchgate.net
Chest Xray acute phase Download Scientific Diagram Chest X Ray Findings Myocardial Infarction Reduced air entry, coarse crackles) to screen for. Patients may develop severe hypotension following nitroglycerine or morphine. Features of myocardial infarction (e.g., chest pain, nausea, vomiting). An echocardiogram can help identify whether an area of your heart has been damaged. Chest radiography is useful in determining the presence of cardiomegaly, pulmonary edema, pleural effusions, kerley b lines, and other criteria. Chest X Ray Findings Myocardial Infarction.
From pubs.rsna.org
Cardiac MRI to Visualize Myocardial Damage after STSegment Elevation Chest X Ray Findings Myocardial Infarction Reduced air entry, coarse crackles) to screen for. This test can show how blood moves through the heart and heart valves. The traditional triad of findings seen in rvmi is hypotension, clear lung fields, and jugular venous distention. Sound waves (ultrasound) create images of the moving heart. An echocardiogram can help identify whether an area of your heart has been. Chest X Ray Findings Myocardial Infarction.
From www.researchgate.net
Chest Xray findings in Case 4. Chest Xray shows prior left lower Chest X Ray Findings Myocardial Infarction Patients may develop severe hypotension following nitroglycerine or morphine. Respiratory distress, pallor, diaphoresis, tachycardia, high/low bp, s4 heart sound, signs of mitral regurgitation, pulmonary oedema. The traditional triad of findings seen in rvmi is hypotension, clear lung fields, and jugular venous distention. Reduced air entry, coarse crackles) to screen for. This test can show how blood moves through the heart. Chest X Ray Findings Myocardial Infarction.
From www.researchgate.net
Chest Xray showing cardiomegaly and a radioopaque mass next to the Chest X Ray Findings Myocardial Infarction Respiratory distress, pallor, diaphoresis, tachycardia, high/low bp, s4 heart sound, signs of mitral regurgitation, pulmonary oedema. Reduced air entry, coarse crackles) to screen for. Chest radiography is useful in determining the presence of cardiomegaly, pulmonary edema, pleural effusions, kerley b lines, and other criteria of hf. This test can show how blood moves through the heart and heart valves. Sound. Chest X Ray Findings Myocardial Infarction.
From www.slideserve.com
PPT Chest Xray signs of cardiac disease PowerPoint Presentation Chest X Ray Findings Myocardial Infarction The traditional triad of findings seen in rvmi is hypotension, clear lung fields, and jugular venous distention. Respiratory distress, pallor, diaphoresis, tachycardia, high/low bp, s4 heart sound, signs of mitral regurgitation, pulmonary oedema. Reduced air entry, coarse crackles) to screen for. An echocardiogram can help identify whether an area of your heart has been damaged. Chest radiography is useful in. Chest X Ray Findings Myocardial Infarction.
From www.researchgate.net
Chest XRay Films Before and After Percutaneous Transluminal Septal Chest X Ray Findings Myocardial Infarction An echocardiogram can help identify whether an area of your heart has been damaged. Chest radiography is useful in determining the presence of cardiomegaly, pulmonary edema, pleural effusions, kerley b lines, and other criteria of hf. Sound waves (ultrasound) create images of the moving heart. The traditional triad of findings seen in rvmi is hypotension, clear lung fields, and jugular. Chest X Ray Findings Myocardial Infarction.
From fyoqxmivi.blob.core.windows.net
What Cardiac Condition Shows Cardiomegaly On A Chest X Ray at Mary Chest X Ray Findings Myocardial Infarction The traditional triad of findings seen in rvmi is hypotension, clear lung fields, and jugular venous distention. Reduced air entry, coarse crackles) to screen for. An echocardiogram can help identify whether an area of your heart has been damaged. Sound waves (ultrasound) create images of the moving heart. Chest radiography is useful in determining the presence of cardiomegaly, pulmonary edema,. Chest X Ray Findings Myocardial Infarction.
From www.researchgate.net
Chest Xray findings during hospitalization course. (A) Day 1 Chest X Ray Findings Myocardial Infarction Reduced air entry, coarse crackles) to screen for. This test can show how blood moves through the heart and heart valves. Sound waves (ultrasound) create images of the moving heart. Chest radiography is useful in determining the presence of cardiomegaly, pulmonary edema, pleural effusions, kerley b lines, and other criteria of hf. The traditional triad of findings seen in rvmi. Chest X Ray Findings Myocardial Infarction.
From www.researchgate.net
Patient's chest xray after myocardial infarction and 3 codes shows Chest X Ray Findings Myocardial Infarction Reduced air entry, coarse crackles) to screen for. Sound waves (ultrasound) create images of the moving heart. This test can show how blood moves through the heart and heart valves. The traditional triad of findings seen in rvmi is hypotension, clear lung fields, and jugular venous distention. Patients may develop severe hypotension following nitroglycerine or morphine. An echocardiogram can help. Chest X Ray Findings Myocardial Infarction.
From www.ahajournals.org
Ventricular Septum Rupture After Myocardial Infarction Demonstrated by Chest X Ray Findings Myocardial Infarction Reduced air entry, coarse crackles) to screen for. Chest radiography is useful in determining the presence of cardiomegaly, pulmonary edema, pleural effusions, kerley b lines, and other criteria of hf. Respiratory distress, pallor, diaphoresis, tachycardia, high/low bp, s4 heart sound, signs of mitral regurgitation, pulmonary oedema. Patients may develop severe hypotension following nitroglycerine or morphine. This test can show how. Chest X Ray Findings Myocardial Infarction.
From www.slideserve.com
PPT Myocardial Infarction PowerPoint Presentation, free download ID Chest X Ray Findings Myocardial Infarction The traditional triad of findings seen in rvmi is hypotension, clear lung fields, and jugular venous distention. Patients may develop severe hypotension following nitroglycerine or morphine. Reduced air entry, coarse crackles) to screen for. This test can show how blood moves through the heart and heart valves. An echocardiogram can help identify whether an area of your heart has been. Chest X Ray Findings Myocardial Infarction.
From www.researchgate.net
Echocardiographic and Chest XRay Findings From Patient 1 Download Chest X Ray Findings Myocardial Infarction Sound waves (ultrasound) create images of the moving heart. An echocardiogram can help identify whether an area of your heart has been damaged. Reduced air entry, coarse crackles) to screen for. Features of myocardial infarction (e.g., chest pain, nausea, vomiting). Respiratory distress, pallor, diaphoresis, tachycardia, high/low bp, s4 heart sound, signs of mitral regurgitation, pulmonary oedema. The traditional triad of. Chest X Ray Findings Myocardial Infarction.
From casereports.bmj.com
Pulmonary haemorrhage following thrombolysis with streptokinase in Chest X Ray Findings Myocardial Infarction This test can show how blood moves through the heart and heart valves. Features of myocardial infarction (e.g., chest pain, nausea, vomiting). Reduced air entry, coarse crackles) to screen for. Chest radiography is useful in determining the presence of cardiomegaly, pulmonary edema, pleural effusions, kerley b lines, and other criteria of hf. An echocardiogram can help identify whether an area. Chest X Ray Findings Myocardial Infarction.
From calgaryguide.ucalgary.ca
COPD Findings on PosteriorAnterior and Lateral Chest Xray Findings Chest X Ray Findings Myocardial Infarction An echocardiogram can help identify whether an area of your heart has been damaged. Reduced air entry, coarse crackles) to screen for. Chest radiography is useful in determining the presence of cardiomegaly, pulmonary edema, pleural effusions, kerley b lines, and other criteria of hf. The traditional triad of findings seen in rvmi is hypotension, clear lung fields, and jugular venous. Chest X Ray Findings Myocardial Infarction.