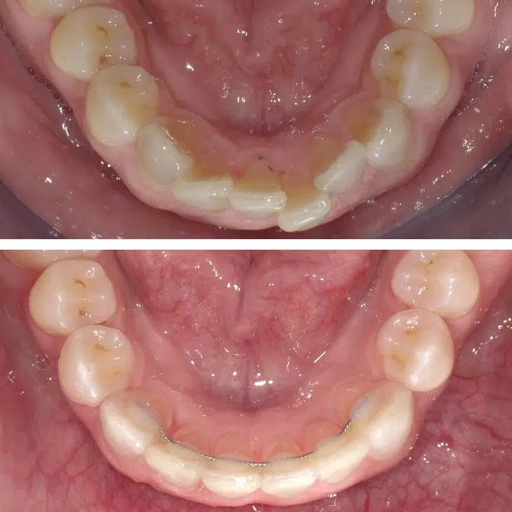
Why Do Orthodontists Use Permanent Retainers . Permanent retainers can cost between $150 to $500. A permanent retainer is a metal wire that an orthodontist bonds behind the teeth to keep them in place after braces. Learn about the advantages and. Learn why your orthodontist might. They are permanent because they. One of the biggest benefits of permanent retainers is that they help maintain the alignment of the teeth after orthodontic treatment. We asked dentists and orthodontists about how to. Following the completion of orthodontic treatment, retainers are necessary to help stabilize the new position of your teeth and prevent them from relapsing. Permanent retainers, or bonded retainers, are often installed on teeth after braces, but they could be causing dental health issues. A permanent retainer is a metal wire that is positioned behind your teeth to keep them from shifting back to the position they were in before braces. Permanent retainers are wires fixed to your teeth to prevent them from moving after braces. Permanent or fixed retainers are retainers that use metal wires to keep your teeth in place.
from medium.com
Permanent retainers can cost between $150 to $500. Permanent retainers are wires fixed to your teeth to prevent them from moving after braces. A permanent retainer is a metal wire that an orthodontist bonds behind the teeth to keep them in place after braces. They are permanent because they. We asked dentists and orthodontists about how to. Learn why your orthodontist might. One of the biggest benefits of permanent retainers is that they help maintain the alignment of the teeth after orthodontic treatment. Permanent retainers, or bonded retainers, are often installed on teeth after braces, but they could be causing dental health issues. Permanent or fixed retainers are retainers that use metal wires to keep your teeth in place. Following the completion of orthodontic treatment, retainers are necessary to help stabilize the new position of your teeth and prevent them from relapsing.
Permanent retainers. Congratulations! You made it through… by Gibbs
Why Do Orthodontists Use Permanent Retainers A permanent retainer is a metal wire that is positioned behind your teeth to keep them from shifting back to the position they were in before braces. Learn about the advantages and. Learn why your orthodontist might. Permanent retainers, or bonded retainers, are often installed on teeth after braces, but they could be causing dental health issues. A permanent retainer is a metal wire that is positioned behind your teeth to keep them from shifting back to the position they were in before braces. Permanent retainers are wires fixed to your teeth to prevent them from moving after braces. Permanent retainers can cost between $150 to $500. A permanent retainer is a metal wire that an orthodontist bonds behind the teeth to keep them in place after braces. Following the completion of orthodontic treatment, retainers are necessary to help stabilize the new position of your teeth and prevent them from relapsing. They are permanent because they. Permanent or fixed retainers are retainers that use metal wires to keep your teeth in place. We asked dentists and orthodontists about how to. One of the biggest benefits of permanent retainers is that they help maintain the alignment of the teeth after orthodontic treatment.
From www.fitnesshealthforever.com
A Guide to Permanent Retainers after Braces From Orthodontist Why Do Orthodontists Use Permanent Retainers Permanent retainers are wires fixed to your teeth to prevent them from moving after braces. They are permanent because they. We asked dentists and orthodontists about how to. A permanent retainer is a metal wire that is positioned behind your teeth to keep them from shifting back to the position they were in before braces. A permanent retainer is a. Why Do Orthodontists Use Permanent Retainers.
From www.youtube.com
How do they put a permanent retainer on Fixed Lower Retainer Tooth Why Do Orthodontists Use Permanent Retainers Permanent or fixed retainers are retainers that use metal wires to keep your teeth in place. Permanent retainers, or bonded retainers, are often installed on teeth after braces, but they could be causing dental health issues. We asked dentists and orthodontists about how to. A permanent retainer is a metal wire that is positioned behind your teeth to keep them. Why Do Orthodontists Use Permanent Retainers.
From www.youtube.com
fixed permanent retainer bonding in orthodontics by dr. Amr asker YouTube Why Do Orthodontists Use Permanent Retainers They are permanent because they. Permanent or fixed retainers are retainers that use metal wires to keep your teeth in place. A permanent retainer is a metal wire that is positioned behind your teeth to keep them from shifting back to the position they were in before braces. A permanent retainer is a metal wire that an orthodontist bonds behind. Why Do Orthodontists Use Permanent Retainers.
From www.worldofarticles.com
Why Do Dental Specialists Use Permanent Retainers? Why Do Orthodontists Use Permanent Retainers Following the completion of orthodontic treatment, retainers are necessary to help stabilize the new position of your teeth and prevent them from relapsing. We asked dentists and orthodontists about how to. One of the biggest benefits of permanent retainers is that they help maintain the alignment of the teeth after orthodontic treatment. Permanent or fixed retainers are retainers that use. Why Do Orthodontists Use Permanent Retainers.
From magnoliaortho.com
Retainers Magnolia Orthodontics Why Do Orthodontists Use Permanent Retainers Following the completion of orthodontic treatment, retainers are necessary to help stabilize the new position of your teeth and prevent them from relapsing. Permanent or fixed retainers are retainers that use metal wires to keep your teeth in place. They are permanent because they. A permanent retainer is a metal wire that is positioned behind your teeth to keep them. Why Do Orthodontists Use Permanent Retainers.
From orthodonticassoc.com
What Is the Difference between Permanent And Removable Retainers Why Do Orthodontists Use Permanent Retainers Permanent or fixed retainers are retainers that use metal wires to keep your teeth in place. Learn about the advantages and. Permanent retainers are wires fixed to your teeth to prevent them from moving after braces. Following the completion of orthodontic treatment, retainers are necessary to help stabilize the new position of your teeth and prevent them from relapsing. We. Why Do Orthodontists Use Permanent Retainers.
From www.hardypedoortho.com
Permanent Retainers How Long Will You Need One? Hardy Pediatric Why Do Orthodontists Use Permanent Retainers We asked dentists and orthodontists about how to. They are permanent because they. A permanent retainer is a metal wire that is positioned behind your teeth to keep them from shifting back to the position they were in before braces. Permanent or fixed retainers are retainers that use metal wires to keep your teeth in place. Permanent retainers, or bonded. Why Do Orthodontists Use Permanent Retainers.
From nearsay.com
Orthodontist Explains Why You Need a Permanent Retainer PostBraces Why Do Orthodontists Use Permanent Retainers They are permanent because they. A permanent retainer is a metal wire that an orthodontist bonds behind the teeth to keep them in place after braces. Learn about the advantages and. Following the completion of orthodontic treatment, retainers are necessary to help stabilize the new position of your teeth and prevent them from relapsing. Permanent retainers, or bonded retainers, are. Why Do Orthodontists Use Permanent Retainers.
From www.youtube.com
How to Floss a Permanent Retainer Premier Orthodontics YouTube Why Do Orthodontists Use Permanent Retainers A permanent retainer is a metal wire that an orthodontist bonds behind the teeth to keep them in place after braces. A permanent retainer is a metal wire that is positioned behind your teeth to keep them from shifting back to the position they were in before braces. Permanent retainers, or bonded retainers, are often installed on teeth after braces,. Why Do Orthodontists Use Permanent Retainers.
From bweisshealth.com
Why Orthodontists Tread Cautiously with Permanent Retainers Why Do Orthodontists Use Permanent Retainers One of the biggest benefits of permanent retainers is that they help maintain the alignment of the teeth after orthodontic treatment. Learn about the advantages and. A permanent retainer is a metal wire that is positioned behind your teeth to keep them from shifting back to the position they were in before braces. Following the completion of orthodontic treatment, retainers. Why Do Orthodontists Use Permanent Retainers.
From www.sonomaortho.com
Do you do permanent retainers? Laurent Orthodontics Why Do Orthodontists Use Permanent Retainers A permanent retainer is a metal wire that is positioned behind your teeth to keep them from shifting back to the position they were in before braces. Permanent retainers, or bonded retainers, are often installed on teeth after braces, but they could be causing dental health issues. Learn why your orthodontist might. Permanent or fixed retainers are retainers that use. Why Do Orthodontists Use Permanent Retainers.
From moodyortho.com
Retainers 101 Why You Need Them, How to Care for Them, And How Long Do Why Do Orthodontists Use Permanent Retainers Permanent retainers can cost between $150 to $500. Permanent retainers are wires fixed to your teeth to prevent them from moving after braces. Learn about the advantages and. Following the completion of orthodontic treatment, retainers are necessary to help stabilize the new position of your teeth and prevent them from relapsing. Permanent retainers, or bonded retainers, are often installed on. Why Do Orthodontists Use Permanent Retainers.
From www.pinterest.com
use a permanent retainer Retainers, Permanent retainer Why Do Orthodontists Use Permanent Retainers Following the completion of orthodontic treatment, retainers are necessary to help stabilize the new position of your teeth and prevent them from relapsing. Learn about the advantages and. We asked dentists and orthodontists about how to. A permanent retainer is a metal wire that is positioned behind your teeth to keep them from shifting back to the position they were. Why Do Orthodontists Use Permanent Retainers.
From bweisshealth.com
Retainers Decoded What Your Orthodontist Uses and Why Why Do Orthodontists Use Permanent Retainers Permanent retainers can cost between $150 to $500. One of the biggest benefits of permanent retainers is that they help maintain the alignment of the teeth after orthodontic treatment. Learn why your orthodontist might. Permanent retainers, or bonded retainers, are often installed on teeth after braces, but they could be causing dental health issues. Following the completion of orthodontic treatment,. Why Do Orthodontists Use Permanent Retainers.
From www.youtube.com
Bonding fixed permanent retainer in orthodontics with dental floss Why Do Orthodontists Use Permanent Retainers Permanent retainers are wires fixed to your teeth to prevent them from moving after braces. Permanent or fixed retainers are retainers that use metal wires to keep your teeth in place. Permanent retainers, or bonded retainers, are often installed on teeth after braces, but they could be causing dental health issues. Following the completion of orthodontic treatment, retainers are necessary. Why Do Orthodontists Use Permanent Retainers.
From orthoarts.com
5 Reasons to Steer Clear of SoCalled "Permanent" Retainers Ortho Why Do Orthodontists Use Permanent Retainers Permanent or fixed retainers are retainers that use metal wires to keep your teeth in place. Learn why your orthodontist might. A permanent retainer is a metal wire that is positioned behind your teeth to keep them from shifting back to the position they were in before braces. Learn about the advantages and. They are permanent because they. Permanent retainers. Why Do Orthodontists Use Permanent Retainers.
From www.creamridgeortho.com
Retainers Cream Ridge Orthodontics Why Do Orthodontists Use Permanent Retainers One of the biggest benefits of permanent retainers is that they help maintain the alignment of the teeth after orthodontic treatment. Learn why your orthodontist might. A permanent retainer is a metal wire that is positioned behind your teeth to keep them from shifting back to the position they were in before braces. Permanent retainers, or bonded retainers, are often. Why Do Orthodontists Use Permanent Retainers.
From orthodontistcarson.com
Permanent Retainers Carson CA Why Do Orthodontists Use Permanent Retainers Permanent retainers are wires fixed to your teeth to prevent them from moving after braces. A permanent retainer is a metal wire that an orthodontist bonds behind the teeth to keep them in place after braces. Learn why your orthodontist might. Learn about the advantages and. They are permanent because they. Permanent or fixed retainers are retainers that use metal. Why Do Orthodontists Use Permanent Retainers.
From www.bovbakerortho.com
Permanent Retainers Bovenizer & Baker Orthodontics Why Do Orthodontists Use Permanent Retainers Following the completion of orthodontic treatment, retainers are necessary to help stabilize the new position of your teeth and prevent them from relapsing. One of the biggest benefits of permanent retainers is that they help maintain the alignment of the teeth after orthodontic treatment. Learn about the advantages and. A permanent retainer is a metal wire that an orthodontist bonds. Why Do Orthodontists Use Permanent Retainers.
From www.suffolkbraces.com
Retainer Instructions Smile Suffolk Braces Suffolk, VA Orthodontist Why Do Orthodontists Use Permanent Retainers A permanent retainer is a metal wire that an orthodontist bonds behind the teeth to keep them in place after braces. They are permanent because they. Following the completion of orthodontic treatment, retainers are necessary to help stabilize the new position of your teeth and prevent them from relapsing. One of the biggest benefits of permanent retainers is that they. Why Do Orthodontists Use Permanent Retainers.
From medium.com
Permanent retainers. Congratulations! You made it through… by Gibbs Why Do Orthodontists Use Permanent Retainers Permanent retainers are wires fixed to your teeth to prevent them from moving after braces. A permanent retainer is a metal wire that is positioned behind your teeth to keep them from shifting back to the position they were in before braces. Permanent retainers, or bonded retainers, are often installed on teeth after braces, but they could be causing dental. Why Do Orthodontists Use Permanent Retainers.
From www.premierdentalohio.com
Learn the Pros and Cons of Permanent Retainers Why Do Orthodontists Use Permanent Retainers Following the completion of orthodontic treatment, retainers are necessary to help stabilize the new position of your teeth and prevent them from relapsing. We asked dentists and orthodontists about how to. Learn about the advantages and. Permanent or fixed retainers are retainers that use metal wires to keep your teeth in place. They are permanent because they. Permanent retainers, or. Why Do Orthodontists Use Permanent Retainers.
From www.baileyorthodontics.com
Why Retainers Are Important Bailey Orthodontics Why Do Orthodontists Use Permanent Retainers Permanent or fixed retainers are retainers that use metal wires to keep your teeth in place. Permanent retainers are wires fixed to your teeth to prevent them from moving after braces. One of the biggest benefits of permanent retainers is that they help maintain the alignment of the teeth after orthodontic treatment. We asked dentists and orthodontists about how to.. Why Do Orthodontists Use Permanent Retainers.
From www.orthodonticarts.com
Permanent Retainer 8 Things To Know Orthodontic Arts Why Do Orthodontists Use Permanent Retainers One of the biggest benefits of permanent retainers is that they help maintain the alignment of the teeth after orthodontic treatment. We asked dentists and orthodontists about how to. Permanent retainers are wires fixed to your teeth to prevent them from moving after braces. Following the completion of orthodontic treatment, retainers are necessary to help stabilize the new position of. Why Do Orthodontists Use Permanent Retainers.
From www.drnirenblatt.com
Why do we use a "permanent" lower retainer after braces? Why Do Orthodontists Use Permanent Retainers One of the biggest benefits of permanent retainers is that they help maintain the alignment of the teeth after orthodontic treatment. A permanent retainer is a metal wire that an orthodontist bonds behind the teeth to keep them in place after braces. Following the completion of orthodontic treatment, retainers are necessary to help stabilize the new position of your teeth. Why Do Orthodontists Use Permanent Retainers.
From www.stroopeorthodontics.com
How Long Do Permanent Retainers Last? — Stroope Orthodontics Why Do Orthodontists Use Permanent Retainers Permanent retainers can cost between $150 to $500. A permanent retainer is a metal wire that an orthodontist bonds behind the teeth to keep them in place after braces. One of the biggest benefits of permanent retainers is that they help maintain the alignment of the teeth after orthodontic treatment. We asked dentists and orthodontists about how to. A permanent. Why Do Orthodontists Use Permanent Retainers.
From www.orthodonticarts.com
Everything To Know About Permanent Retainers Orthodontic Arts Why Do Orthodontists Use Permanent Retainers We asked dentists and orthodontists about how to. Learn about the advantages and. A permanent retainer is a metal wire that an orthodontist bonds behind the teeth to keep them in place after braces. A permanent retainer is a metal wire that is positioned behind your teeth to keep them from shifting back to the position they were in before. Why Do Orthodontists Use Permanent Retainers.
From www.milnororthodontics.com
Permanent and Removable Retainers Orthodontist in Fort Collins CO Why Do Orthodontists Use Permanent Retainers Following the completion of orthodontic treatment, retainers are necessary to help stabilize the new position of your teeth and prevent them from relapsing. A permanent retainer is a metal wire that is positioned behind your teeth to keep them from shifting back to the position they were in before braces. Permanent or fixed retainers are retainers that use metal wires. Why Do Orthodontists Use Permanent Retainers.
From www.corylissortho.ca
How to Floss Your Permanent Retainer Cory Liss Orthodontics Why Do Orthodontists Use Permanent Retainers Permanent or fixed retainers are retainers that use metal wires to keep your teeth in place. Learn about the advantages and. We asked dentists and orthodontists about how to. Permanent retainers, or bonded retainers, are often installed on teeth after braces, but they could be causing dental health issues. A permanent retainer is a metal wire that an orthodontist bonds. Why Do Orthodontists Use Permanent Retainers.
From loudounorthodontics.com
What Are the Pros and Cons of Permanent Retainers? Why Do Orthodontists Use Permanent Retainers A permanent retainer is a metal wire that an orthodontist bonds behind the teeth to keep them in place after braces. Permanent retainers, or bonded retainers, are often installed on teeth after braces, but they could be causing dental health issues. One of the biggest benefits of permanent retainers is that they help maintain the alignment of the teeth after. Why Do Orthodontists Use Permanent Retainers.
From www.youtube.com
Retainers After Braces Permanent and Temporary Ashley Craig YouTube Why Do Orthodontists Use Permanent Retainers Permanent retainers are wires fixed to your teeth to prevent them from moving after braces. A permanent retainer is a metal wire that an orthodontist bonds behind the teeth to keep them in place after braces. Learn why your orthodontist might. Following the completion of orthodontic treatment, retainers are necessary to help stabilize the new position of your teeth and. Why Do Orthodontists Use Permanent Retainers.
From bweisshealth.com
The Truth Behind Orthodontists' Concerns About Permanent Retainers Why Do Orthodontists Use Permanent Retainers A permanent retainer is a metal wire that is positioned behind your teeth to keep them from shifting back to the position they were in before braces. Learn about the advantages and. Permanent retainers can cost between $150 to $500. Learn why your orthodontist might. A permanent retainer is a metal wire that an orthodontist bonds behind the teeth to. Why Do Orthodontists Use Permanent Retainers.
From www.hinterlandviewdental.com.au
Orthodontic Retainers Your Caring Sunshine Coast Dentist Hinterland Why Do Orthodontists Use Permanent Retainers They are permanent because they. A permanent retainer is a metal wire that an orthodontist bonds behind the teeth to keep them in place after braces. Following the completion of orthodontic treatment, retainers are necessary to help stabilize the new position of your teeth and prevent them from relapsing. Permanent retainers can cost between $150 to $500. One of the. Why Do Orthodontists Use Permanent Retainers.
From reikoreich.blogspot.com
how do retainers work after braces Reiko Reich Why Do Orthodontists Use Permanent Retainers Learn why your orthodontist might. One of the biggest benefits of permanent retainers is that they help maintain the alignment of the teeth after orthodontic treatment. Permanent or fixed retainers are retainers that use metal wires to keep your teeth in place. Permanent retainers are wires fixed to your teeth to prevent them from moving after braces. Permanent retainers, or. Why Do Orthodontists Use Permanent Retainers.
From www.smilepointdental.com
How long do permanent retainers last? Why Do Orthodontists Use Permanent Retainers Learn about the advantages and. Permanent retainers, or bonded retainers, are often installed on teeth after braces, but they could be causing dental health issues. They are permanent because they. One of the biggest benefits of permanent retainers is that they help maintain the alignment of the teeth after orthodontic treatment. We asked dentists and orthodontists about how to. Learn. Why Do Orthodontists Use Permanent Retainers.