Does Dental Abscess Show On X Ray . plain radiograph / opg and ct. This is usually a periapical. how we vet brands and products. a dental abscess xray will typically show the location of the abscess, as well as the surrounding bone and any damage that may have. An abscessed tooth can cause throbbing pain. But treatment may reduce your symptoms in a few days. You can't actually see a dental abscess at this stage because it is hidden within the bone.
from www.sciencephoto.com
This is usually a periapical. plain radiograph / opg and ct. You can't actually see a dental abscess at this stage because it is hidden within the bone. An abscessed tooth can cause throbbing pain. a dental abscess xray will typically show the location of the abscess, as well as the surrounding bone and any damage that may have. how we vet brands and products. But treatment may reduce your symptoms in a few days.
Dental abscess Stock Image C029/1867 Science Photo Library
Does Dental Abscess Show On X Ray An abscessed tooth can cause throbbing pain. An abscessed tooth can cause throbbing pain. But treatment may reduce your symptoms in a few days. This is usually a periapical. plain radiograph / opg and ct. a dental abscess xray will typically show the location of the abscess, as well as the surrounding bone and any damage that may have. You can't actually see a dental abscess at this stage because it is hidden within the bone. how we vet brands and products.
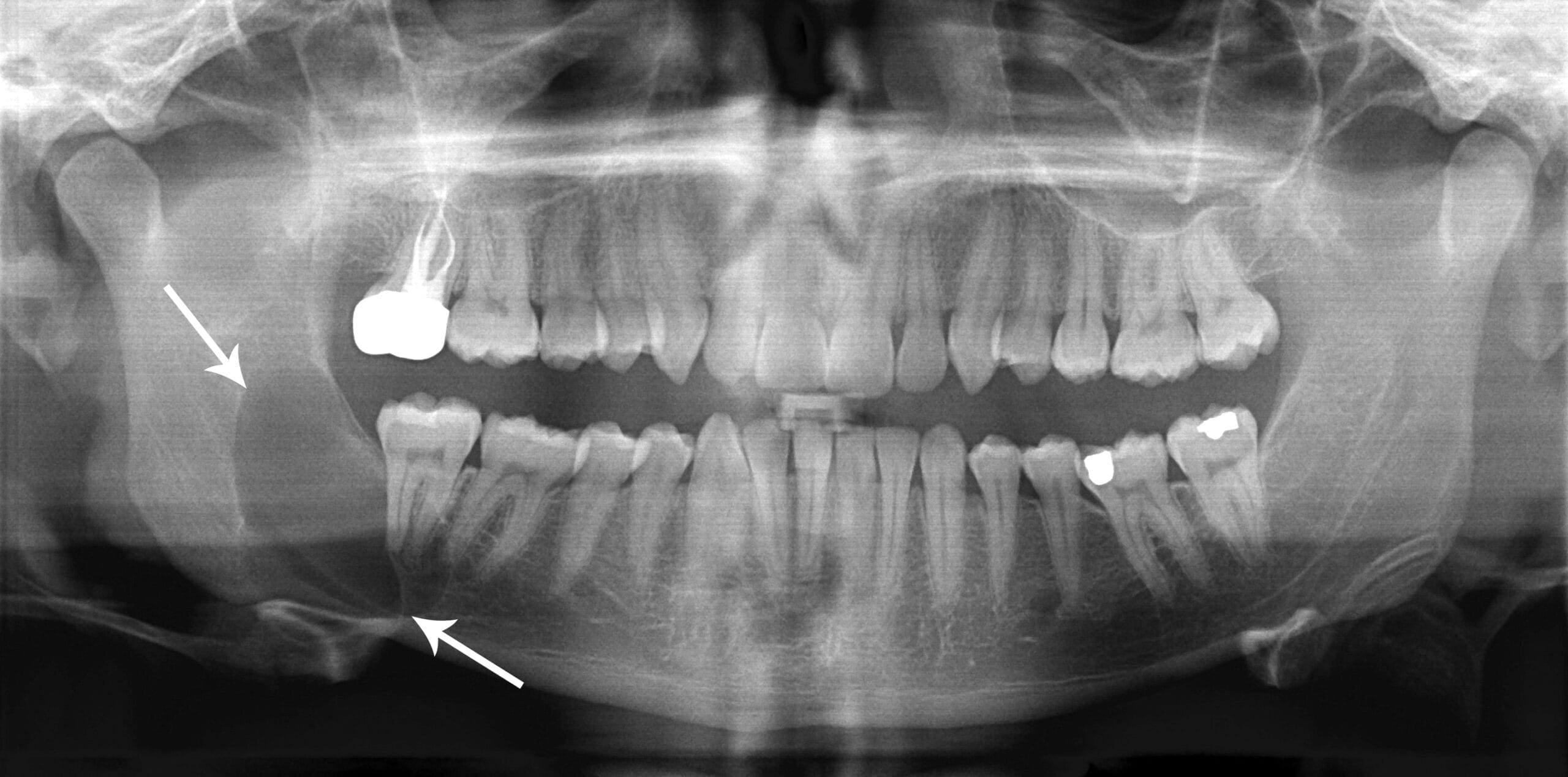
From periopeak.com
Abscessed Teeth Perio Peak Does Dental Abscess Show On X Ray plain radiograph / opg and ct. how we vet brands and products. This is usually a periapical. An abscessed tooth can cause throbbing pain. a dental abscess xray will typically show the location of the abscess, as well as the surrounding bone and any damage that may have. But treatment may reduce your symptoms in a few. Does Dental Abscess Show On X Ray.
From webdmd.org
Tooth Abscess Stages Pictures and Treatment Options DMD Does Dental Abscess Show On X Ray You can't actually see a dental abscess at this stage because it is hidden within the bone. But treatment may reduce your symptoms in a few days. a dental abscess xray will typically show the location of the abscess, as well as the surrounding bone and any damage that may have. how we vet brands and products. . Does Dental Abscess Show On X Ray.
From www.todaysrdh.com
Oral Pathology Distinguishing Cysts from Abscesses Today's RDH Does Dental Abscess Show On X Ray An abscessed tooth can cause throbbing pain. a dental abscess xray will typically show the location of the abscess, as well as the surrounding bone and any damage that may have. You can't actually see a dental abscess at this stage because it is hidden within the bone. This is usually a periapical. But treatment may reduce your symptoms. Does Dental Abscess Show On X Ray.
From www.reddit.com
Please take a look at my pictures! (XRay,Abscess) r/Dentistry Does Dental Abscess Show On X Ray a dental abscess xray will typically show the location of the abscess, as well as the surrounding bone and any damage that may have. You can't actually see a dental abscess at this stage because it is hidden within the bone. But treatment may reduce your symptoms in a few days. plain radiograph / opg and ct. An. Does Dental Abscess Show On X Ray.
From ar.inspiredpencil.com
Periapical Abscess Radiograph Does Dental Abscess Show On X Ray An abscessed tooth can cause throbbing pain. plain radiograph / opg and ct. You can't actually see a dental abscess at this stage because it is hidden within the bone. This is usually a periapical. how we vet brands and products. a dental abscess xray will typically show the location of the abscess, as well as the. Does Dental Abscess Show On X Ray.
From www.sciencephoto.com
Dental Abscess XRay Stock Image C013/0003 Science Photo Library Does Dental Abscess Show On X Ray a dental abscess xray will typically show the location of the abscess, as well as the surrounding bone and any damage that may have. An abscessed tooth can cause throbbing pain. You can't actually see a dental abscess at this stage because it is hidden within the bone. how we vet brands and products. This is usually a. Does Dental Abscess Show On X Ray.
From radiopaedia.org
Wisdom tooth abscess Image Does Dental Abscess Show On X Ray An abscessed tooth can cause throbbing pain. You can't actually see a dental abscess at this stage because it is hidden within the bone. a dental abscess xray will typically show the location of the abscess, as well as the surrounding bone and any damage that may have. how we vet brands and products. plain radiograph /. Does Dental Abscess Show On X Ray.
From proper-cooking.info
Periodontal Abscess Xray Does Dental Abscess Show On X Ray This is usually a periapical. But treatment may reduce your symptoms in a few days. You can't actually see a dental abscess at this stage because it is hidden within the bone. plain radiograph / opg and ct. a dental abscess xray will typically show the location of the abscess, as well as the surrounding bone and any. Does Dental Abscess Show On X Ray.
From antelope.beauty
Periapical Abscess Radiograph Does Dental Abscess Show On X Ray An abscessed tooth can cause throbbing pain. a dental abscess xray will typically show the location of the abscess, as well as the surrounding bone and any damage that may have. You can't actually see a dental abscess at this stage because it is hidden within the bone. plain radiograph / opg and ct. But treatment may reduce. Does Dental Abscess Show On X Ray.
From ar.inspiredpencil.com
Periapical Abscess Radiograph Does Dental Abscess Show On X Ray You can't actually see a dental abscess at this stage because it is hidden within the bone. how we vet brands and products. But treatment may reduce your symptoms in a few days. An abscessed tooth can cause throbbing pain. a dental abscess xray will typically show the location of the abscess, as well as the surrounding bone. Does Dental Abscess Show On X Ray.
From toothshow.com
Does Tooth Abscess Show On X Ray? Yes! Does Dental Abscess Show On X Ray An abscessed tooth can cause throbbing pain. how we vet brands and products. You can't actually see a dental abscess at this stage because it is hidden within the bone. But treatment may reduce your symptoms in a few days. plain radiograph / opg and ct. a dental abscess xray will typically show the location of the. Does Dental Abscess Show On X Ray.
From webdmd.org
Tooth Abscess Stages Pictures and Treatment Options DMD Does Dental Abscess Show On X Ray You can't actually see a dental abscess at this stage because it is hidden within the bone. plain radiograph / opg and ct. An abscessed tooth can cause throbbing pain. a dental abscess xray will typically show the location of the abscess, as well as the surrounding bone and any damage that may have. This is usually a. Does Dental Abscess Show On X Ray.
From mavink.com
Periapical Abscess Ppt Does Dental Abscess Show On X Ray An abscessed tooth can cause throbbing pain. This is usually a periapical. a dental abscess xray will typically show the location of the abscess, as well as the surrounding bone and any damage that may have. plain radiograph / opg and ct. You can't actually see a dental abscess at this stage because it is hidden within the. Does Dental Abscess Show On X Ray.
From periopeak.com
Abscessed Teeth Perio Peak Does Dental Abscess Show On X Ray An abscessed tooth can cause throbbing pain. But treatment may reduce your symptoms in a few days. This is usually a periapical. how we vet brands and products. You can't actually see a dental abscess at this stage because it is hidden within the bone. a dental abscess xray will typically show the location of the abscess, as. Does Dental Abscess Show On X Ray.
From www.sciencephoto.com
Dental Abscess Xray Stock Image C013/0002 Science Photo Library Does Dental Abscess Show On X Ray plain radiograph / opg and ct. a dental abscess xray will typically show the location of the abscess, as well as the surrounding bone and any damage that may have. This is usually a periapical. how we vet brands and products. You can't actually see a dental abscess at this stage because it is hidden within the. Does Dental Abscess Show On X Ray.
From www.almadental.ca
Root Canal Procedure Vancouver Kitsilano Alma Dental Does Dental Abscess Show On X Ray You can't actually see a dental abscess at this stage because it is hidden within the bone. a dental abscess xray will typically show the location of the abscess, as well as the surrounding bone and any damage that may have. An abscessed tooth can cause throbbing pain. But treatment may reduce your symptoms in a few days. . Does Dental Abscess Show On X Ray.
From www.vrogue.co
Tooth Abscess X Ray vrogue.co Does Dental Abscess Show On X Ray But treatment may reduce your symptoms in a few days. This is usually a periapical. You can't actually see a dental abscess at this stage because it is hidden within the bone. An abscessed tooth can cause throbbing pain. a dental abscess xray will typically show the location of the abscess, as well as the surrounding bone and any. Does Dental Abscess Show On X Ray.
From seattlecornerstonedental.com
Abscess Tooth Symptoms, causes, and 5 timely treatments Seattle Does Dental Abscess Show On X Ray a dental abscess xray will typically show the location of the abscess, as well as the surrounding bone and any damage that may have. You can't actually see a dental abscess at this stage because it is hidden within the bone. This is usually a periapical. plain radiograph / opg and ct. But treatment may reduce your symptoms. Does Dental Abscess Show On X Ray.
From webdmd.org
Tooth Abscess Stages Pictures and Treatment Options DMD Does Dental Abscess Show On X Ray But treatment may reduce your symptoms in a few days. You can't actually see a dental abscess at this stage because it is hidden within the bone. This is usually a periapical. how we vet brands and products. An abscessed tooth can cause throbbing pain. a dental abscess xray will typically show the location of the abscess, as. Does Dental Abscess Show On X Ray.
From sweettoothkids.com
Dental XRays The Whole Tooth Pediatric Dental Blog Does Dental Abscess Show On X Ray a dental abscess xray will typically show the location of the abscess, as well as the surrounding bone and any damage that may have. how we vet brands and products. You can't actually see a dental abscess at this stage because it is hidden within the bone. An abscessed tooth can cause throbbing pain. This is usually a. Does Dental Abscess Show On X Ray.
From www.victoriandentalgroup.com.au
Tooth Abscess What to do? Signs, Symptoms & Treatment Malvern Does Dental Abscess Show On X Ray plain radiograph / opg and ct. You can't actually see a dental abscess at this stage because it is hidden within the bone. But treatment may reduce your symptoms in a few days. a dental abscess xray will typically show the location of the abscess, as well as the surrounding bone and any damage that may have. This. Does Dental Abscess Show On X Ray.
From mavink.com
Dental Abscess X Ray Does Dental Abscess Show On X Ray plain radiograph / opg and ct. But treatment may reduce your symptoms in a few days. You can't actually see a dental abscess at this stage because it is hidden within the bone. An abscessed tooth can cause throbbing pain. a dental abscess xray will typically show the location of the abscess, as well as the surrounding bone. Does Dental Abscess Show On X Ray.
From www.twinkledental.com.sg
Why Do I Need XRays When I Visit the Dentist? Twinkle Family Dentalcare Does Dental Abscess Show On X Ray You can't actually see a dental abscess at this stage because it is hidden within the bone. An abscessed tooth can cause throbbing pain. a dental abscess xray will typically show the location of the abscess, as well as the surrounding bone and any damage that may have. But treatment may reduce your symptoms in a few days. This. Does Dental Abscess Show On X Ray.
From proper-cooking.info
Tooth Abscess Xray Does Dental Abscess Show On X Ray a dental abscess xray will typically show the location of the abscess, as well as the surrounding bone and any damage that may have. how we vet brands and products. plain radiograph / opg and ct. An abscessed tooth can cause throbbing pain. But treatment may reduce your symptoms in a few days. You can't actually see. Does Dental Abscess Show On X Ray.
From www.ilajak.com
Tooth Abscess Symptoms, Causes, and Treatment ILAJAK Medical Does Dental Abscess Show On X Ray But treatment may reduce your symptoms in a few days. This is usually a periapical. how we vet brands and products. You can't actually see a dental abscess at this stage because it is hidden within the bone. a dental abscess xray will typically show the location of the abscess, as well as the surrounding bone and any. Does Dental Abscess Show On X Ray.
From dentagama.com
What is phoenix dental abscess? News Dentagama Does Dental Abscess Show On X Ray This is usually a periapical. But treatment may reduce your symptoms in a few days. You can't actually see a dental abscess at this stage because it is hidden within the bone. plain radiograph / opg and ct. a dental abscess xray will typically show the location of the abscess, as well as the surrounding bone and any. Does Dental Abscess Show On X Ray.
From exorooqbj.blob.core.windows.net
How To Read Dental Panoramic XRay at Carmen Rivera blog Does Dental Abscess Show On X Ray This is usually a periapical. how we vet brands and products. An abscessed tooth can cause throbbing pain. But treatment may reduce your symptoms in a few days. plain radiograph / opg and ct. You can't actually see a dental abscess at this stage because it is hidden within the bone. a dental abscess xray will typically. Does Dental Abscess Show On X Ray.
From www.gentledentalcentre.com.au
Tooth Abscess Gentle Dental Centre Does Dental Abscess Show On X Ray This is usually a periapical. plain radiograph / opg and ct. how we vet brands and products. But treatment may reduce your symptoms in a few days. An abscessed tooth can cause throbbing pain. You can't actually see a dental abscess at this stage because it is hidden within the bone. a dental abscess xray will typically. Does Dental Abscess Show On X Ray.
From www.bmj.com
Management of severe acute dental infections The BMJ Does Dental Abscess Show On X Ray This is usually a periapical. But treatment may reduce your symptoms in a few days. how we vet brands and products. You can't actually see a dental abscess at this stage because it is hidden within the bone. a dental abscess xray will typically show the location of the abscess, as well as the surrounding bone and any. Does Dental Abscess Show On X Ray.
From www.lakesregiondentalcenter.info
Why Do I Need XRays? — Lakes Region Dental Center Does Dental Abscess Show On X Ray a dental abscess xray will typically show the location of the abscess, as well as the surrounding bone and any damage that may have. An abscessed tooth can cause throbbing pain. This is usually a periapical. You can't actually see a dental abscess at this stage because it is hidden within the bone. plain radiograph / opg and. Does Dental Abscess Show On X Ray.
From www.taylor-dental.com
8 Common Dental Problems That XRays Can Uncover Dr. Rebecca Rath DMD Does Dental Abscess Show On X Ray how we vet brands and products. An abscessed tooth can cause throbbing pain. You can't actually see a dental abscess at this stage because it is hidden within the bone. This is usually a periapical. plain radiograph / opg and ct. But treatment may reduce your symptoms in a few days. a dental abscess xray will typically. Does Dental Abscess Show On X Ray.
From www.sciencephoto.com
Dental abscess Stock Image C029/1867 Science Photo Library Does Dental Abscess Show On X Ray An abscessed tooth can cause throbbing pain. But treatment may reduce your symptoms in a few days. You can't actually see a dental abscess at this stage because it is hidden within the bone. how we vet brands and products. This is usually a periapical. a dental abscess xray will typically show the location of the abscess, as. Does Dental Abscess Show On X Ray.
From www.capstonedental.com.au
Ask the Dentist What are dental xrays and are they safe? Capstone Does Dental Abscess Show On X Ray a dental abscess xray will typically show the location of the abscess, as well as the surrounding bone and any damage that may have. how we vet brands and products. An abscessed tooth can cause throbbing pain. This is usually a periapical. You can't actually see a dental abscess at this stage because it is hidden within the. Does Dental Abscess Show On X Ray.
From www.justanswer.com
Tooth Abscess, misdiagnosis Does Dental Abscess Show On X Ray An abscessed tooth can cause throbbing pain. a dental abscess xray will typically show the location of the abscess, as well as the surrounding bone and any damage that may have. You can't actually see a dental abscess at this stage because it is hidden within the bone. plain radiograph / opg and ct. how we vet. Does Dental Abscess Show On X Ray.
From webdmd.org
Tooth Abscess Stages Pictures and Treatment Options DMD Does Dental Abscess Show On X Ray This is usually a periapical. An abscessed tooth can cause throbbing pain. a dental abscess xray will typically show the location of the abscess, as well as the surrounding bone and any damage that may have. You can't actually see a dental abscess at this stage because it is hidden within the bone. plain radiograph / opg and. Does Dental Abscess Show On X Ray.