Broken Tibia Cast . If a nonsurgical treatment is advisable, your doctor may apply a cast to immobilize the bone and allow it to heal. A study of cadavera with use of a magnetic motion sensor. Analysis of external fracture immobilization in anatomic specimens in casts and braces. Control of motion of tibial fractures with use of a functional brace or an external fixator. Find out how they occur, what symptoms to look for, and how they are treated with or without surgery. Here we explain the various types and. A tibia fracture in the lower leg is the most common injury of all long bone fractures. A tibia fracture is a break in the shinbone, which is the most common long bone in the body to fracture. Learn about tibia shaft fractures, the most commonly fractured long bone in the body. Learn about the types, symptoms and treatment options for a broken tibia, one of the most commonly fractured long bones in the body. Learn about the causes, symptoms, diagnosis, and treatment options for a. Learn about the causes, symptoms and treatments of broken shinbone or calf bone. Find out how to prevent complications and recover. Full recovery can take at least a year and sometimes two.
from www.orthobullets.com
Learn about the types, symptoms and treatment options for a broken tibia, one of the most commonly fractured long bones in the body. Analysis of external fracture immobilization in anatomic specimens in casts and braces. Learn about tibia shaft fractures, the most commonly fractured long bone in the body. Learn about the causes, symptoms and treatments of broken shinbone or calf bone. If a nonsurgical treatment is advisable, your doctor may apply a cast to immobilize the bone and allow it to heal. A tibia fracture is a break in the shinbone, which is the most common long bone in the body to fracture. Control of motion of tibial fractures with use of a functional brace or an external fixator. Find out how they occur, what symptoms to look for, and how they are treated with or without surgery. Find out how to prevent complications and recover. Here we explain the various types and.
Tibial Shaft Fractures Trauma Orthobullets
Broken Tibia Cast Here we explain the various types and. Learn about tibia shaft fractures, the most commonly fractured long bone in the body. If a nonsurgical treatment is advisable, your doctor may apply a cast to immobilize the bone and allow it to heal. Learn about the causes, symptoms, diagnosis, and treatment options for a. Control of motion of tibial fractures with use of a functional brace or an external fixator. Find out how to prevent complications and recover. Analysis of external fracture immobilization in anatomic specimens in casts and braces. Learn about the types, symptoms and treatment options for a broken tibia, one of the most commonly fractured long bones in the body. A tibia fracture is a break in the shinbone, which is the most common long bone in the body to fracture. Learn about the causes, symptoms and treatments of broken shinbone or calf bone. Full recovery can take at least a year and sometimes two. Here we explain the various types and. A study of cadavera with use of a magnetic motion sensor. Find out how they occur, what symptoms to look for, and how they are treated with or without surgery. A tibia fracture in the lower leg is the most common injury of all long bone fractures.
From www.youtube.com
BROKEN TIBIAL EMINENCE FULL LEG CAST REMOVAL AND NEW BRACE YouTube Broken Tibia Cast Analysis of external fracture immobilization in anatomic specimens in casts and braces. If a nonsurgical treatment is advisable, your doctor may apply a cast to immobilize the bone and allow it to heal. Find out how they occur, what symptoms to look for, and how they are treated with or without surgery. Here we explain the various types and. A. Broken Tibia Cast.
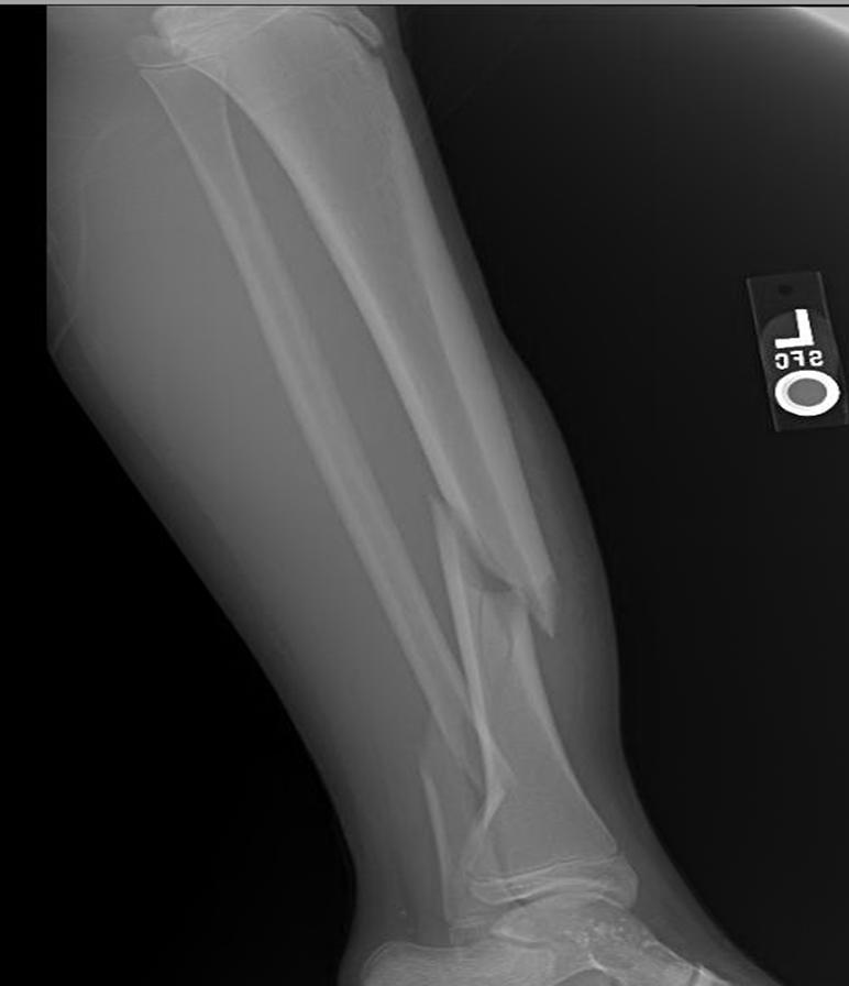
From mavink.com
Tibial Plateau Fracture Cast Broken Tibia Cast A tibia fracture is a break in the shinbone, which is the most common long bone in the body to fracture. Find out how to prevent complications and recover. A study of cadavera with use of a magnetic motion sensor. Learn about the types, symptoms and treatment options for a broken tibia, one of the most commonly fractured long bones. Broken Tibia Cast.
From james-mccormack.com
Tibial Plateau Fracture Brace Best Brace Tibial Plateau Fracture Broken Tibia Cast Find out how they occur, what symptoms to look for, and how they are treated with or without surgery. Learn about tibia shaft fractures, the most commonly fractured long bone in the body. A tibia fracture is a break in the shinbone, which is the most common long bone in the body to fracture. A study of cadavera with use. Broken Tibia Cast.
From musculoskeletalkey.com
Tibial Shaft Fractures Musculoskeletal Key Broken Tibia Cast Analysis of external fracture immobilization in anatomic specimens in casts and braces. A tibia fracture in the lower leg is the most common injury of all long bone fractures. Learn about the causes, symptoms, diagnosis, and treatment options for a. Full recovery can take at least a year and sometimes two. Learn about the types, symptoms and treatment options for. Broken Tibia Cast.
From fity.club
Leg Injury Treatment Tibial Fracture External Fixation Broken Tibia Cast A study of cadavera with use of a magnetic motion sensor. A tibia fracture is a break in the shinbone, which is the most common long bone in the body to fracture. Learn about the causes, symptoms, diagnosis, and treatment options for a. Learn about the types, symptoms and treatment options for a broken tibia, one of the most commonly. Broken Tibia Cast.
From www.alamy.com
Sequence showing an fracture of tibia showing left to Broken Tibia Cast A study of cadavera with use of a magnetic motion sensor. Full recovery can take at least a year and sometimes two. Learn about tibia shaft fractures, the most commonly fractured long bone in the body. Analysis of external fracture immobilization in anatomic specimens in casts and braces. Learn about the causes, symptoms and treatments of broken shinbone or calf. Broken Tibia Cast.
From www.orthobullets.com
Tibial Shaft Fractures Trauma Orthobullets Broken Tibia Cast A tibia fracture is a break in the shinbone, which is the most common long bone in the body to fracture. Learn about the causes, symptoms, diagnosis, and treatment options for a. Learn about the causes, symptoms and treatments of broken shinbone or calf bone. Find out how they occur, what symptoms to look for, and how they are treated. Broken Tibia Cast.
From www.medicalnewstoday.com
Tibia fracture Types, symptoms, and treatment Broken Tibia Cast A study of cadavera with use of a magnetic motion sensor. Learn about tibia shaft fractures, the most commonly fractured long bone in the body. Here we explain the various types and. A tibia fracture in the lower leg is the most common injury of all long bone fractures. Full recovery can take at least a year and sometimes two.. Broken Tibia Cast.
From www.orthobullets.com
Tibia Shaft Fractures Trauma Broken Tibia Cast Analysis of external fracture immobilization in anatomic specimens in casts and braces. Learn about the causes, symptoms, diagnosis, and treatment options for a. Learn about tibia shaft fractures, the most commonly fractured long bone in the body. Learn about the types, symptoms and treatment options for a broken tibia, one of the most commonly fractured long bones in the body.. Broken Tibia Cast.
From www.orthobullets.com
Tibial Shaft Fractures Pediatric Pediatrics Orthobullets Broken Tibia Cast A tibia fracture is a break in the shinbone, which is the most common long bone in the body to fracture. A study of cadavera with use of a magnetic motion sensor. If a nonsurgical treatment is advisable, your doctor may apply a cast to immobilize the bone and allow it to heal. Learn about the causes, symptoms and treatments. Broken Tibia Cast.
From www.youtube.com
Fractured Tibia. Cast on.. How to Descend the Stairs.. YouTube Broken Tibia Cast Learn about the types, symptoms and treatment options for a broken tibia, one of the most commonly fractured long bones in the body. A tibia fracture in the lower leg is the most common injury of all long bone fractures. If a nonsurgical treatment is advisable, your doctor may apply a cast to immobilize the bone and allow it to. Broken Tibia Cast.
From www.hopkinsmedicine.org
Tibia and Fibula Fractures Johns Hopkins Medicine Broken Tibia Cast A tibia fracture in the lower leg is the most common injury of all long bone fractures. A tibia fracture is a break in the shinbone, which is the most common long bone in the body to fracture. Control of motion of tibial fractures with use of a functional brace or an external fixator. Learn about tibia shaft fractures, the. Broken Tibia Cast.
From healthjade.net
Tibial shaft fracture causes, types, symptoms, diagnosis, treatment Broken Tibia Cast A tibia fracture in the lower leg is the most common injury of all long bone fractures. Find out how they occur, what symptoms to look for, and how they are treated with or without surgery. Control of motion of tibial fractures with use of a functional brace or an external fixator. Here we explain the various types and. A. Broken Tibia Cast.
From www.wisegeek.org
What Is the Treatment for a Spiral Fracture of the Tibia? Broken Tibia Cast Full recovery can take at least a year and sometimes two. Analysis of external fracture immobilization in anatomic specimens in casts and braces. Find out how they occur, what symptoms to look for, and how they are treated with or without surgery. Control of motion of tibial fractures with use of a functional brace or an external fixator. Learn about. Broken Tibia Cast.
From healthjade.net
Tibial shaft fracture causes, types, symptoms, diagnosis, treatment Broken Tibia Cast Learn about the types, symptoms and treatment options for a broken tibia, one of the most commonly fractured long bones in the body. Find out how to prevent complications and recover. Analysis of external fracture immobilization in anatomic specimens in casts and braces. A tibia fracture is a break in the shinbone, which is the most common long bone in. Broken Tibia Cast.
From www.youtube.com
Childhood Accidental Spiral Tibial (CAST) Fracture YouTube Broken Tibia Cast Learn about the types, symptoms and treatment options for a broken tibia, one of the most commonly fractured long bones in the body. Learn about the causes, symptoms, diagnosis, and treatment options for a. Learn about tibia shaft fractures, the most commonly fractured long bone in the body. If a nonsurgical treatment is advisable, your doctor may apply a cast. Broken Tibia Cast.
From healthjade.net
Tibial shaft fracture causes, types, symptoms, diagnosis, treatment Broken Tibia Cast Here we explain the various types and. Find out how they occur, what symptoms to look for, and how they are treated with or without surgery. Learn about tibia shaft fractures, the most commonly fractured long bone in the body. Learn about the types, symptoms and treatment options for a broken tibia, one of the most commonly fractured long bones. Broken Tibia Cast.
From www.alimed.com
Tibial Fracture Brace Miami Tibial Fracture PTB Brace Broken Tibia Cast Learn about tibia shaft fractures, the most commonly fractured long bone in the body. A tibia fracture is a break in the shinbone, which is the most common long bone in the body to fracture. Learn about the causes, symptoms, diagnosis, and treatment options for a. Find out how they occur, what symptoms to look for, and how they are. Broken Tibia Cast.
From intermountainhealthcare.org
Tibial Fractures Orthopedics Sports Medicine Broken Tibia Cast If a nonsurgical treatment is advisable, your doctor may apply a cast to immobilize the bone and allow it to heal. Find out how to prevent complications and recover. Control of motion of tibial fractures with use of a functional brace or an external fixator. A tibia fracture in the lower leg is the most common injury of all long. Broken Tibia Cast.
From www.youtube.com
How to Recover Quickly From Broken Leg (Fractured Tibia + Fibula, ORIF Broken Tibia Cast A study of cadavera with use of a magnetic motion sensor. A tibia fracture is a break in the shinbone, which is the most common long bone in the body to fracture. Full recovery can take at least a year and sometimes two. Find out how to prevent complications and recover. Find out how they occur, what symptoms to look. Broken Tibia Cast.
From orthopaedicprinciples.com
Open Fractures of the Tibia — Broken Tibia Cast Learn about tibia shaft fractures, the most commonly fractured long bone in the body. A study of cadavera with use of a magnetic motion sensor. Learn about the causes, symptoms and treatments of broken shinbone or calf bone. Here we explain the various types and. Find out how they occur, what symptoms to look for, and how they are treated. Broken Tibia Cast.
From www.orthobullets.com
Tibia Shaft Fractures Trauma Broken Tibia Cast Learn about the types, symptoms and treatment options for a broken tibia, one of the most commonly fractured long bones in the body. Analysis of external fracture immobilization in anatomic specimens in casts and braces. Learn about the causes, symptoms and treatments of broken shinbone or calf bone. A tibia fracture is a break in the shinbone, which is the. Broken Tibia Cast.
From enak.heroinewarrior.com
Spiral Fracture Healing Time, Tibia, and Fibula Broken Tibia Cast A study of cadavera with use of a magnetic motion sensor. Find out how to prevent complications and recover. Learn about tibia shaft fractures, the most commonly fractured long bone in the body. Learn about the causes, symptoms, diagnosis, and treatment options for a. Learn about the causes, symptoms and treatments of broken shinbone or calf bone. Find out how. Broken Tibia Cast.
From www.occ-ortho.com
Tibia Fracture Orthopedic Centers of Colorado Broken Tibia Cast Full recovery can take at least a year and sometimes two. Here we explain the various types and. A tibia fracture in the lower leg is the most common injury of all long bone fractures. Analysis of external fracture immobilization in anatomic specimens in casts and braces. Learn about tibia shaft fractures, the most commonly fractured long bone in the. Broken Tibia Cast.
From fracturetreatment.blogspot.com
Spiral Fracture Of The Tibia Fracture Treatment Broken Tibia Cast Control of motion of tibial fractures with use of a functional brace or an external fixator. Find out how they occur, what symptoms to look for, and how they are treated with or without surgery. Full recovery can take at least a year and sometimes two. Learn about the causes, symptoms and treatments of broken shinbone or calf bone. A. Broken Tibia Cast.
From www.orthoinfo.org
Tibia (Shinbone) Shaft Fractures OrthoInfo AAOS Broken Tibia Cast Full recovery can take at least a year and sometimes two. A tibia fracture in the lower leg is the most common injury of all long bone fractures. Learn about the causes, symptoms, diagnosis, and treatment options for a. Learn about the causes, symptoms and treatments of broken shinbone or calf bone. Control of motion of tibial fractures with use. Broken Tibia Cast.
From www.youtube.com
Childhood Accidental Spiral Tibial (CAST) Fracture YouTube Broken Tibia Cast Learn about tibia shaft fractures, the most commonly fractured long bone in the body. A tibia fracture in the lower leg is the most common injury of all long bone fractures. Here we explain the various types and. A tibia fracture is a break in the shinbone, which is the most common long bone in the body to fracture. Find. Broken Tibia Cast.
From www.orthobullets.com
Tibial Shaft Fracture Pediatric Pediatrics Orthobullets Broken Tibia Cast A study of cadavera with use of a magnetic motion sensor. A tibia fracture in the lower leg is the most common injury of all long bone fractures. Learn about the causes, symptoms and treatments of broken shinbone or calf bone. Analysis of external fracture immobilization in anatomic specimens in casts and braces. Full recovery can take at least a. Broken Tibia Cast.
From depanaceadasdesign101.blogspot.com
What Is A Fractured Tibia Tibial Fracture after Accident The Vrana Broken Tibia Cast If a nonsurgical treatment is advisable, your doctor may apply a cast to immobilize the bone and allow it to heal. A tibia fracture in the lower leg is the most common injury of all long bone fractures. Analysis of external fracture immobilization in anatomic specimens in casts and braces. A tibia fracture is a break in the shinbone, which. Broken Tibia Cast.
From musculoskeletalkey.com
Tibia and fibula, shaft simple fracture, oblique Musculoskeletal Key Broken Tibia Cast A tibia fracture is a break in the shinbone, which is the most common long bone in the body to fracture. A study of cadavera with use of a magnetic motion sensor. Analysis of external fracture immobilization in anatomic specimens in casts and braces. Learn about the causes, symptoms, diagnosis, and treatment options for a. Control of motion of tibial. Broken Tibia Cast.
From www.youtube.com
Childhood Accidental Spiral Tibial Fracture YouTube Broken Tibia Cast Learn about tibia shaft fractures, the most commonly fractured long bone in the body. If a nonsurgical treatment is advisable, your doctor may apply a cast to immobilize the bone and allow it to heal. Find out how to prevent complications and recover. Learn about the causes, symptoms, diagnosis, and treatment options for a. Learn about the types, symptoms and. Broken Tibia Cast.
From orthoinfo.aaos.org
Fractures of the Proximal Tibia (Shinbone) OrthoInfo AAOS Broken Tibia Cast A study of cadavera with use of a magnetic motion sensor. Learn about tibia shaft fractures, the most commonly fractured long bone in the body. A tibia fracture in the lower leg is the most common injury of all long bone fractures. A tibia fracture is a break in the shinbone, which is the most common long bone in the. Broken Tibia Cast.
From www.youtube.com
Broken Tibia & Fibula 9 Months later Post Fibula Plate Surgery Broken Tibia Cast Learn about the causes, symptoms and treatments of broken shinbone or calf bone. Learn about the causes, symptoms, diagnosis, and treatment options for a. A tibia fracture is a break in the shinbone, which is the most common long bone in the body to fracture. Full recovery can take at least a year and sometimes two. Learn about tibia shaft. Broken Tibia Cast.
From www.orthobullets.com
Tibia Shaft Fractures Trauma Broken Tibia Cast A tibia fracture is a break in the shinbone, which is the most common long bone in the body to fracture. Learn about the causes, symptoms and treatments of broken shinbone or calf bone. A study of cadavera with use of a magnetic motion sensor. Learn about the types, symptoms and treatment options for a broken tibia, one of the. Broken Tibia Cast.
From mavink.com
Tibial Plateau Fracture Cast Broken Tibia Cast Find out how they occur, what symptoms to look for, and how they are treated with or without surgery. A study of cadavera with use of a magnetic motion sensor. Learn about the causes, symptoms and treatments of broken shinbone or calf bone. Find out how to prevent complications and recover. Learn about the causes, symptoms, diagnosis, and treatment options. Broken Tibia Cast.