Can Ms Be Seen On Neck Mri . the number of lesions on an initial mri of the brain (or spinal cord) can help assess your risk of developing a second attack in. ms activity appears on an mri scan as either bright or dark spots. mri pictures of your brain and spinal cord can help you have a fuller understanding of how ms affects you. mri criteria for ms are based on the presence of focal lesions in the white matter (wm) of the central nervous system. Typical ms lesions tend to be oval or frame shaped. there are a number of different images that can be taken during a single mri session. Ms lesions can appear in. The most important scans are t1 scans with contrast. ms symptoms can mimic many other health issues. magnetic resonance imaging (mri) plays a crucial role in multiple sclerosis (ms) diagnosis, disease monitoring,. It's very difficult to diagnose ms without advanced imaging, such as magnetic.
from www.researchgate.net
magnetic resonance imaging (mri) plays a crucial role in multiple sclerosis (ms) diagnosis, disease monitoring,. Typical ms lesions tend to be oval or frame shaped. mri pictures of your brain and spinal cord can help you have a fuller understanding of how ms affects you. The most important scans are t1 scans with contrast. It's very difficult to diagnose ms without advanced imaging, such as magnetic. the number of lesions on an initial mri of the brain (or spinal cord) can help assess your risk of developing a second attack in. there are a number of different images that can be taken during a single mri session. Ms lesions can appear in. ms activity appears on an mri scan as either bright or dark spots. mri criteria for ms are based on the presence of focal lesions in the white matter (wm) of the central nervous system.
Case 1; head and neck MRI before CRT The tumor is located to the right
Can Ms Be Seen On Neck Mri ms symptoms can mimic many other health issues. mri pictures of your brain and spinal cord can help you have a fuller understanding of how ms affects you. Ms lesions can appear in. It's very difficult to diagnose ms without advanced imaging, such as magnetic. there are a number of different images that can be taken during a single mri session. magnetic resonance imaging (mri) plays a crucial role in multiple sclerosis (ms) diagnosis, disease monitoring,. ms symptoms can mimic many other health issues. The most important scans are t1 scans with contrast. Typical ms lesions tend to be oval or frame shaped. the number of lesions on an initial mri of the brain (or spinal cord) can help assess your risk of developing a second attack in. mri criteria for ms are based on the presence of focal lesions in the white matter (wm) of the central nervous system. ms activity appears on an mri scan as either bright or dark spots.
From www.ctisus.com
multiple sclerosis. Neuro MR Case Studies CTisus CT Scanning Can Ms Be Seen On Neck Mri Typical ms lesions tend to be oval or frame shaped. mri pictures of your brain and spinal cord can help you have a fuller understanding of how ms affects you. there are a number of different images that can be taken during a single mri session. ms activity appears on an mri scan as either bright or. Can Ms Be Seen On Neck Mri.
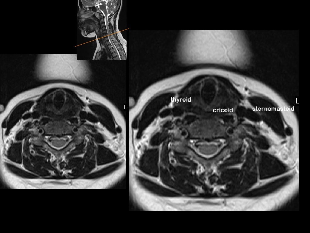
From radiologykey.com
Neck MR Imaging Anatomy Radiology Key Can Ms Be Seen On Neck Mri mri criteria for ms are based on the presence of focal lesions in the white matter (wm) of the central nervous system. ms symptoms can mimic many other health issues. Ms lesions can appear in. Typical ms lesions tend to be oval or frame shaped. there are a number of different images that can be taken during. Can Ms Be Seen On Neck Mri.
From www.mri.theclinics.com
Neck MR Imaging Anatomy Resonance Imaging Clinics Can Ms Be Seen On Neck Mri The most important scans are t1 scans with contrast. mri pictures of your brain and spinal cord can help you have a fuller understanding of how ms affects you. the number of lesions on an initial mri of the brain (or spinal cord) can help assess your risk of developing a second attack in. ms symptoms can. Can Ms Be Seen On Neck Mri.
From www.cureus.com
Cureus Reverse Cervical Lordosis Caused by Giant Vertebral Artery Can Ms Be Seen On Neck Mri Typical ms lesions tend to be oval or frame shaped. The most important scans are t1 scans with contrast. the number of lesions on an initial mri of the brain (or spinal cord) can help assess your risk of developing a second attack in. ms activity appears on an mri scan as either bright or dark spots. . Can Ms Be Seen On Neck Mri.
From health.wenwo.com
青年人颈肩痛,警惕颈椎病(症状诊断篇)_文天林_副主任医师_爱问健康 Can Ms Be Seen On Neck Mri mri pictures of your brain and spinal cord can help you have a fuller understanding of how ms affects you. The most important scans are t1 scans with contrast. Ms lesions can appear in. magnetic resonance imaging (mri) plays a crucial role in multiple sclerosis (ms) diagnosis, disease monitoring,. ms activity appears on an mri scan as. Can Ms Be Seen On Neck Mri.
From dpleblanc.wordpress.com
My neck injury Keeping my head up high Can Ms Be Seen On Neck Mri Typical ms lesions tend to be oval or frame shaped. It's very difficult to diagnose ms without advanced imaging, such as magnetic. ms activity appears on an mri scan as either bright or dark spots. the number of lesions on an initial mri of the brain (or spinal cord) can help assess your risk of developing a second. Can Ms Be Seen On Neck Mri.
From mavink.com
Abnormal Mri Scans Can Ms Be Seen On Neck Mri ms symptoms can mimic many other health issues. It's very difficult to diagnose ms without advanced imaging, such as magnetic. Typical ms lesions tend to be oval or frame shaped. the number of lesions on an initial mri of the brain (or spinal cord) can help assess your risk of developing a second attack in. mri pictures. Can Ms Be Seen On Neck Mri.
From www.cureus.com
Cureus A Diagnosis of Multiple Sclerosis Following Whiplash Injury Can Ms Be Seen On Neck Mri Ms lesions can appear in. there are a number of different images that can be taken during a single mri session. ms activity appears on an mri scan as either bright or dark spots. Typical ms lesions tend to be oval or frame shaped. It's very difficult to diagnose ms without advanced imaging, such as magnetic. mri. Can Ms Be Seen On Neck Mri.
From www.mr-tip.com
MRI Sliders Anatomic MRI of the Neck Can Ms Be Seen On Neck Mri there are a number of different images that can be taken during a single mri session. ms symptoms can mimic many other health issues. ms activity appears on an mri scan as either bright or dark spots. The most important scans are t1 scans with contrast. Typical ms lesions tend to be oval or frame shaped. It's. Can Ms Be Seen On Neck Mri.
From www.sciencephoto.com
MRI of Acute MS Stock Image M210/0396 Science Photo Library Can Ms Be Seen On Neck Mri magnetic resonance imaging (mri) plays a crucial role in multiple sclerosis (ms) diagnosis, disease monitoring,. the number of lesions on an initial mri of the brain (or spinal cord) can help assess your risk of developing a second attack in. mri criteria for ms are based on the presence of focal lesions in the white matter (wm). Can Ms Be Seen On Neck Mri.
From www.cureus.com
Cureus Supraclavicular Solitary Hybrid Schwannoma/Neurofibroma A Can Ms Be Seen On Neck Mri It's very difficult to diagnose ms without advanced imaging, such as magnetic. magnetic resonance imaging (mri) plays a crucial role in multiple sclerosis (ms) diagnosis, disease monitoring,. mri pictures of your brain and spinal cord can help you have a fuller understanding of how ms affects you. there are a number of different images that can be. Can Ms Be Seen On Neck Mri.
From www.svuhradiology.ie
Cervical myelopathy MRI Radiology at St. Vincent's University Hospital Can Ms Be Seen On Neck Mri there are a number of different images that can be taken during a single mri session. Ms lesions can appear in. ms symptoms can mimic many other health issues. Typical ms lesions tend to be oval or frame shaped. It's very difficult to diagnose ms without advanced imaging, such as magnetic. The most important scans are t1 scans. Can Ms Be Seen On Neck Mri.
From www.youtube.com
Multiple Sclerosis MRI MS Lesions on Spine YouTube Can Ms Be Seen On Neck Mri Ms lesions can appear in. Typical ms lesions tend to be oval or frame shaped. ms symptoms can mimic many other health issues. mri pictures of your brain and spinal cord can help you have a fuller understanding of how ms affects you. the number of lesions on an initial mri of the brain (or spinal cord). Can Ms Be Seen On Neck Mri.
From www.youtube.com
Multiple Sclerosis Vlog Thoracic Spine MRI YouTube Can Ms Be Seen On Neck Mri ms activity appears on an mri scan as either bright or dark spots. Typical ms lesions tend to be oval or frame shaped. there are a number of different images that can be taken during a single mri session. It's very difficult to diagnose ms without advanced imaging, such as magnetic. mri criteria for ms are based. Can Ms Be Seen On Neck Mri.
From www.researchgate.net
MRI of the neck demonstrates a subcutaneous mass (white arrows) in the Can Ms Be Seen On Neck Mri Ms lesions can appear in. there are a number of different images that can be taken during a single mri session. mri pictures of your brain and spinal cord can help you have a fuller understanding of how ms affects you. It's very difficult to diagnose ms without advanced imaging, such as magnetic. ms activity appears on. Can Ms Be Seen On Neck Mri.
From www.researchgate.net
Case 1; head and neck MRI before CRT The tumor is located to the right Can Ms Be Seen On Neck Mri ms activity appears on an mri scan as either bright or dark spots. the number of lesions on an initial mri of the brain (or spinal cord) can help assess your risk of developing a second attack in. mri criteria for ms are based on the presence of focal lesions in the white matter (wm) of the. Can Ms Be Seen On Neck Mri.
From multiplesclerosisnewstoday.com
MRI and MS diagnosis Does MS show up on MRI? Multiple Sclerosis Can Ms Be Seen On Neck Mri The most important scans are t1 scans with contrast. Typical ms lesions tend to be oval or frame shaped. mri pictures of your brain and spinal cord can help you have a fuller understanding of how ms affects you. there are a number of different images that can be taken during a single mri session. Ms lesions can. Can Ms Be Seen On Neck Mri.
From kingsmedical.com
CT vs. MRI Understanding the Differences Kings Medical Group Can Ms Be Seen On Neck Mri Typical ms lesions tend to be oval or frame shaped. It's very difficult to diagnose ms without advanced imaging, such as magnetic. mri pictures of your brain and spinal cord can help you have a fuller understanding of how ms affects you. the number of lesions on an initial mri of the brain (or spinal cord) can help. Can Ms Be Seen On Neck Mri.
From www.healthimages.com
Text Neck Diagnosis with Cervical Spine MRI Health Images Can Ms Be Seen On Neck Mri mri pictures of your brain and spinal cord can help you have a fuller understanding of how ms affects you. there are a number of different images that can be taken during a single mri session. magnetic resonance imaging (mri) plays a crucial role in multiple sclerosis (ms) diagnosis, disease monitoring,. ms symptoms can mimic many. Can Ms Be Seen On Neck Mri.
From radiopaedia.org
Normal neck MRI Image Can Ms Be Seen On Neck Mri The most important scans are t1 scans with contrast. ms activity appears on an mri scan as either bright or dark spots. ms symptoms can mimic many other health issues. mri criteria for ms are based on the presence of focal lesions in the white matter (wm) of the central nervous system. Typical ms lesions tend to. Can Ms Be Seen On Neck Mri.
From radiopaedia.org
Image Can Ms Be Seen On Neck Mri Typical ms lesions tend to be oval or frame shaped. ms symptoms can mimic many other health issues. the number of lesions on an initial mri of the brain (or spinal cord) can help assess your risk of developing a second attack in. mri criteria for ms are based on the presence of focal lesions in the. Can Ms Be Seen On Neck Mri.
From mavink.com
Normal Neck Mri Scan Can Ms Be Seen On Neck Mri there are a number of different images that can be taken during a single mri session. magnetic resonance imaging (mri) plays a crucial role in multiple sclerosis (ms) diagnosis, disease monitoring,. It's very difficult to diagnose ms without advanced imaging, such as magnetic. Typical ms lesions tend to be oval or frame shaped. ms symptoms can mimic. Can Ms Be Seen On Neck Mri.
From animalia-life.club
Ms Brain Mri With Contrast Can Ms Be Seen On Neck Mri It's very difficult to diagnose ms without advanced imaging, such as magnetic. there are a number of different images that can be taken during a single mri session. Ms lesions can appear in. mri pictures of your brain and spinal cord can help you have a fuller understanding of how ms affects you. magnetic resonance imaging (mri). Can Ms Be Seen On Neck Mri.
From health1stwpm.com
Neck MRI And XRay Health 1st Wellness & Physical Medicine Can Ms Be Seen On Neck Mri Ms lesions can appear in. ms activity appears on an mri scan as either bright or dark spots. The most important scans are t1 scans with contrast. mri criteria for ms are based on the presence of focal lesions in the white matter (wm) of the central nervous system. magnetic resonance imaging (mri) plays a crucial role. Can Ms Be Seen On Neck Mri.
From www.researchgate.net
MRI T1 sequence of the head and neck region. Head and neck MRI showed a Can Ms Be Seen On Neck Mri ms symptoms can mimic many other health issues. mri pictures of your brain and spinal cord can help you have a fuller understanding of how ms affects you. the number of lesions on an initial mri of the brain (or spinal cord) can help assess your risk of developing a second attack in. mri criteria for. Can Ms Be Seen On Neck Mri.
From ar.inspiredpencil.com
Cervical Spine Mri Ms Can Ms Be Seen On Neck Mri Ms lesions can appear in. It's very difficult to diagnose ms without advanced imaging, such as magnetic. The most important scans are t1 scans with contrast. mri criteria for ms are based on the presence of focal lesions in the white matter (wm) of the central nervous system. the number of lesions on an initial mri of the. Can Ms Be Seen On Neck Mri.
From www.slideshare.net
MRI in neck imaging Can Ms Be Seen On Neck Mri the number of lesions on an initial mri of the brain (or spinal cord) can help assess your risk of developing a second attack in. ms activity appears on an mri scan as either bright or dark spots. It's very difficult to diagnose ms without advanced imaging, such as magnetic. The most important scans are t1 scans with. Can Ms Be Seen On Neck Mri.
From ar.inspiredpencil.com
Cervical Spine Mri Ms Can Ms Be Seen On Neck Mri mri pictures of your brain and spinal cord can help you have a fuller understanding of how ms affects you. there are a number of different images that can be taken during a single mri session. It's very difficult to diagnose ms without advanced imaging, such as magnetic. Ms lesions can appear in. The most important scans are. Can Ms Be Seen On Neck Mri.
From josephspine.com
MRI vs. CT Scan; Diagnosing Spine & Neck Injuries & Degenerative Diseases Can Ms Be Seen On Neck Mri Ms lesions can appear in. The most important scans are t1 scans with contrast. mri pictures of your brain and spinal cord can help you have a fuller understanding of how ms affects you. ms activity appears on an mri scan as either bright or dark spots. Typical ms lesions tend to be oval or frame shaped. . Can Ms Be Seen On Neck Mri.
From ar.inspiredpencil.com
Ms Mri Brain Scan Results Can Ms Be Seen On Neck Mri It's very difficult to diagnose ms without advanced imaging, such as magnetic. Typical ms lesions tend to be oval or frame shaped. ms symptoms can mimic many other health issues. mri pictures of your brain and spinal cord can help you have a fuller understanding of how ms affects you. The most important scans are t1 scans with. Can Ms Be Seen On Neck Mri.
From www.ajnr.org
A 3T PhaseSensitive Inversion Recovery MRI Sequence Improves Detection Can Ms Be Seen On Neck Mri The most important scans are t1 scans with contrast. mri criteria for ms are based on the presence of focal lesions in the white matter (wm) of the central nervous system. ms symptoms can mimic many other health issues. there are a number of different images that can be taken during a single mri session. Ms lesions. Can Ms Be Seen On Neck Mri.
From radiopaedia.org
Normal neck (MRI) Image Can Ms Be Seen On Neck Mri ms activity appears on an mri scan as either bright or dark spots. mri criteria for ms are based on the presence of focal lesions in the white matter (wm) of the central nervous system. Typical ms lesions tend to be oval or frame shaped. magnetic resonance imaging (mri) plays a crucial role in multiple sclerosis (ms). Can Ms Be Seen On Neck Mri.
From www.slideshare.net
MRI in neck imaging Can Ms Be Seen On Neck Mri the number of lesions on an initial mri of the brain (or spinal cord) can help assess your risk of developing a second attack in. Ms lesions can appear in. mri pictures of your brain and spinal cord can help you have a fuller understanding of how ms affects you. ms activity appears on an mri scan. Can Ms Be Seen On Neck Mri.
From www.reddit.com
MRI Features of Multiple Sclerosis ( MS ) For more information https Can Ms Be Seen On Neck Mri ms symptoms can mimic many other health issues. mri criteria for ms are based on the presence of focal lesions in the white matter (wm) of the central nervous system. mri pictures of your brain and spinal cord can help you have a fuller understanding of how ms affects you. there are a number of different. Can Ms Be Seen On Neck Mri.
From www.precisemri.com
MRI Scans with Contrast and How They Differ From MRI Scans Without Can Ms Be Seen On Neck Mri ms activity appears on an mri scan as either bright or dark spots. ms symptoms can mimic many other health issues. mri criteria for ms are based on the presence of focal lesions in the white matter (wm) of the central nervous system. the number of lesions on an initial mri of the brain (or spinal. Can Ms Be Seen On Neck Mri.