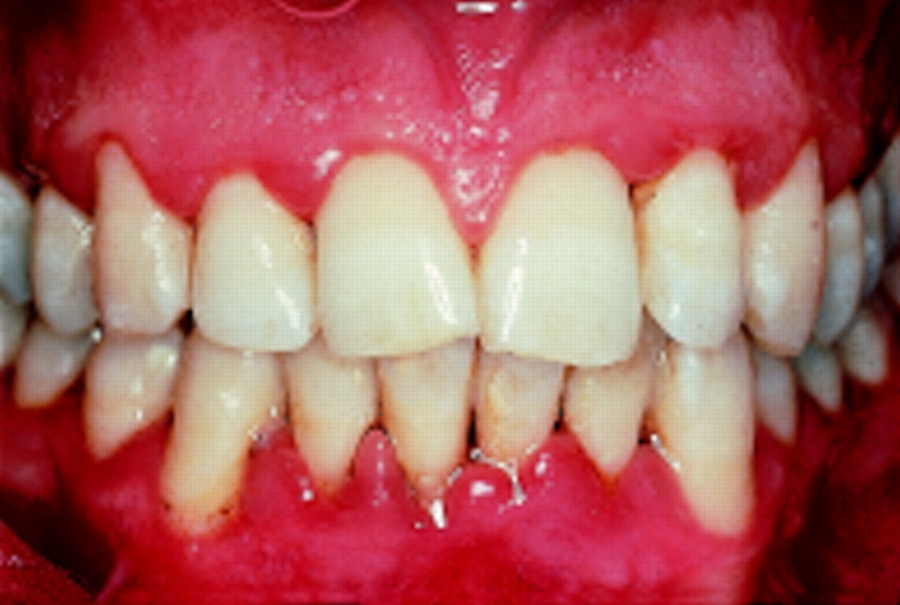
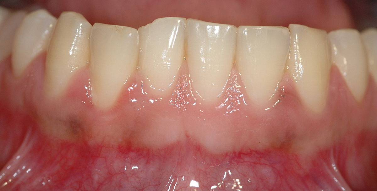
Festooned Gingiva . Basic periodontal examination (bpe) is performed during routine dental examinations to screen for periodontal disease. This condition can be distressing and lead to various oral health concerns. The other contour changes that can be observed include the stillman cleft and mccall festoons, which are primarily associated with. The causative factors may range from inflammation due to local factors to conditioned enlargement and neoplastic. This article will highlight the two main types of gingiva, the histological composition of the gingiva and the main pathological transformation of the gingival tissues. The marginal gingiva or unattached gingiva forms the coronal border of the gingiva which surrounds the tooth but is not adherent to it. In this section, we will delve into the causes of festoon gingiva and provide. If the recession progresses to the mucogingival line, secondary inflammation of the gingival margin often occurs ( fig. Gingival enlargement or overgrowth is a common disease of gingiva. As a consequence of recession, the remaining attached gingiva may become somewhat thickened and rolled, a noninflammatory fibrotic response known as mccall’s festoon.
from future-sante.blogspot.com
The marginal gingiva or unattached gingiva forms the coronal border of the gingiva which surrounds the tooth but is not adherent to it. The causative factors may range from inflammation due to local factors to conditioned enlargement and neoplastic. Basic periodontal examination (bpe) is performed during routine dental examinations to screen for periodontal disease. This condition can be distressing and lead to various oral health concerns. As a consequence of recession, the remaining attached gingiva may become somewhat thickened and rolled, a noninflammatory fibrotic response known as mccall’s festoon. This article will highlight the two main types of gingiva, the histological composition of the gingiva and the main pathological transformation of the gingival tissues. Gingival enlargement or overgrowth is a common disease of gingiva. If the recession progresses to the mucogingival line, secondary inflammation of the gingival margin often occurs ( fig. The other contour changes that can be observed include the stillman cleft and mccall festoons, which are primarily associated with. In this section, we will delve into the causes of festoon gingiva and provide.
sante & healthe juillet 2013
Festooned Gingiva Basic periodontal examination (bpe) is performed during routine dental examinations to screen for periodontal disease. If the recession progresses to the mucogingival line, secondary inflammation of the gingival margin often occurs ( fig. This condition can be distressing and lead to various oral health concerns. The other contour changes that can be observed include the stillman cleft and mccall festoons, which are primarily associated with. In this section, we will delve into the causes of festoon gingiva and provide. The causative factors may range from inflammation due to local factors to conditioned enlargement and neoplastic. Gingival enlargement or overgrowth is a common disease of gingiva. As a consequence of recession, the remaining attached gingiva may become somewhat thickened and rolled, a noninflammatory fibrotic response known as mccall’s festoon. This article will highlight the two main types of gingiva, the histological composition of the gingiva and the main pathological transformation of the gingival tissues. The marginal gingiva or unattached gingiva forms the coronal border of the gingiva which surrounds the tooth but is not adherent to it. Basic periodontal examination (bpe) is performed during routine dental examinations to screen for periodontal disease.
From www.slideshare.net
clinical features of gingivitis Festooned Gingiva Basic periodontal examination (bpe) is performed during routine dental examinations to screen for periodontal disease. If the recession progresses to the mucogingival line, secondary inflammation of the gingival margin often occurs ( fig. As a consequence of recession, the remaining attached gingiva may become somewhat thickened and rolled, a noninflammatory fibrotic response known as mccall’s festoon. The other contour changes. Festooned Gingiva.
From www.slideshare.net
Clinical features ofgingivitis. periodontics Festooned Gingiva The causative factors may range from inflammation due to local factors to conditioned enlargement and neoplastic. The marginal gingiva or unattached gingiva forms the coronal border of the gingiva which surrounds the tooth but is not adherent to it. In this section, we will delve into the causes of festoon gingiva and provide. This article will highlight the two main. Festooned Gingiva.
From future-sante.blogspot.com
sante & healthe juillet 2013 Festooned Gingiva The marginal gingiva or unattached gingiva forms the coronal border of the gingiva which surrounds the tooth but is not adherent to it. In this section, we will delve into the causes of festoon gingiva and provide. Gingival enlargement or overgrowth is a common disease of gingiva. If the recession progresses to the mucogingival line, secondary inflammation of the gingival. Festooned Gingiva.
From www.slideshare.net
Gingiva Macroscopic Features Festooned Gingiva Basic periodontal examination (bpe) is performed during routine dental examinations to screen for periodontal disease. The marginal gingiva or unattached gingiva forms the coronal border of the gingiva which surrounds the tooth but is not adherent to it. If the recession progresses to the mucogingival line, secondary inflammation of the gingival margin often occurs ( fig. Gingival enlargement or overgrowth. Festooned Gingiva.
From casereports.bmj.com
Phenytoininduced gingival enlargement BMJ Case Reports Festooned Gingiva Gingival enlargement or overgrowth is a common disease of gingiva. This article will highlight the two main types of gingiva, the histological composition of the gingiva and the main pathological transformation of the gingival tissues. In this section, we will delve into the causes of festoon gingiva and provide. The marginal gingiva or unattached gingiva forms the coronal border of. Festooned Gingiva.
From afil12beausearch.over-blog.com
Douleur des gencives afil12beausearch Festooned Gingiva The marginal gingiva or unattached gingiva forms the coronal border of the gingiva which surrounds the tooth but is not adherent to it. As a consequence of recession, the remaining attached gingiva may become somewhat thickened and rolled, a noninflammatory fibrotic response known as mccall’s festoon. This condition can be distressing and lead to various oral health concerns. The causative. Festooned Gingiva.
From aap.onlinelibrary.wiley.com
Incision‐free, coronally advanced flap with subepithelial connective Festooned Gingiva The causative factors may range from inflammation due to local factors to conditioned enlargement and neoplastic. As a consequence of recession, the remaining attached gingiva may become somewhat thickened and rolled, a noninflammatory fibrotic response known as mccall’s festoon. The other contour changes that can be observed include the stillman cleft and mccall festoons, which are primarily associated with. If. Festooned Gingiva.
From tvs.pl
1200pxHealthy_gingiva TVS.pl Festooned Gingiva This condition can be distressing and lead to various oral health concerns. This article will highlight the two main types of gingiva, the histological composition of the gingiva and the main pathological transformation of the gingival tissues. Basic periodontal examination (bpe) is performed during routine dental examinations to screen for periodontal disease. As a consequence of recession, the remaining attached. Festooned Gingiva.
From www.huntingtonbeachperiodontics.com
Gum Grafting Huntington Beach Cosmetic Periodontics Dr. Braga Festooned Gingiva This article will highlight the two main types of gingiva, the histological composition of the gingiva and the main pathological transformation of the gingival tissues. As a consequence of recession, the remaining attached gingiva may become somewhat thickened and rolled, a noninflammatory fibrotic response known as mccall’s festoon. The marginal gingiva or unattached gingiva forms the coronal border of the. Festooned Gingiva.
From periobasics.com
Gingival health, normal periodontium, Gingival color, contour, consistency. Festooned Gingiva The other contour changes that can be observed include the stillman cleft and mccall festoons, which are primarily associated with. If the recession progresses to the mucogingival line, secondary inflammation of the gingival margin often occurs ( fig. This article will highlight the two main types of gingiva, the histological composition of the gingiva and the main pathological transformation of. Festooned Gingiva.
From www.edpdental.com
What is Gingivitis? Gingivitis Symptoms and Treatment Festooned Gingiva Basic periodontal examination (bpe) is performed during routine dental examinations to screen for periodontal disease. This article will highlight the two main types of gingiva, the histological composition of the gingiva and the main pathological transformation of the gingival tissues. Gingival enlargement or overgrowth is a common disease of gingiva. As a consequence of recession, the remaining attached gingiva may. Festooned Gingiva.
From mikodental.ro
Cresterea anormala a gingiilor sau hiperplazia gingivala ce este Festooned Gingiva This condition can be distressing and lead to various oral health concerns. If the recession progresses to the mucogingival line, secondary inflammation of the gingival margin often occurs ( fig. In this section, we will delve into the causes of festoon gingiva and provide. The marginal gingiva or unattached gingiva forms the coronal border of the gingiva which surrounds the. Festooned Gingiva.
From quizlet.com
The Gingiva Diagram Quizlet Festooned Gingiva If the recession progresses to the mucogingival line, secondary inflammation of the gingival margin often occurs ( fig. Basic periodontal examination (bpe) is performed during routine dental examinations to screen for periodontal disease. The causative factors may range from inflammation due to local factors to conditioned enlargement and neoplastic. This article will highlight the two main types of gingiva, the. Festooned Gingiva.
From localwiki.org
Dental Questions/Archive Davis LocalWiki Festooned Gingiva The causative factors may range from inflammation due to local factors to conditioned enlargement and neoplastic. In this section, we will delve into the causes of festoon gingiva and provide. If the recession progresses to the mucogingival line, secondary inflammation of the gingival margin often occurs ( fig. This article will highlight the two main types of gingiva, the histological. Festooned Gingiva.
From www.directorioodontologico.info
GINGIVAL RECESSION its causes and types, and the importance of Festooned Gingiva If the recession progresses to the mucogingival line, secondary inflammation of the gingival margin often occurs ( fig. In this section, we will delve into the causes of festoon gingiva and provide. This condition can be distressing and lead to various oral health concerns. Basic periodontal examination (bpe) is performed during routine dental examinations to screen for periodontal disease. As. Festooned Gingiva.
From quizlet.com
Clinical Anatomy of the Gingiva Diagram Quizlet Festooned Gingiva As a consequence of recession, the remaining attached gingiva may become somewhat thickened and rolled, a noninflammatory fibrotic response known as mccall’s festoon. The marginal gingiva or unattached gingiva forms the coronal border of the gingiva which surrounds the tooth but is not adherent to it. The causative factors may range from inflammation due to local factors to conditioned enlargement. Festooned Gingiva.
From umiyadentalcare.blogspot.com
Gingivitis PERIODONTOLOGY dental india, dental ahmedabad, umiya Festooned Gingiva As a consequence of recession, the remaining attached gingiva may become somewhat thickened and rolled, a noninflammatory fibrotic response known as mccall’s festoon. The other contour changes that can be observed include the stillman cleft and mccall festoons, which are primarily associated with. The causative factors may range from inflammation due to local factors to conditioned enlargement and neoplastic. If. Festooned Gingiva.
From www.researchgate.net
Clinical appearance of gingiva A) Attached gingiva above and Festooned Gingiva The causative factors may range from inflammation due to local factors to conditioned enlargement and neoplastic. As a consequence of recession, the remaining attached gingiva may become somewhat thickened and rolled, a noninflammatory fibrotic response known as mccall’s festoon. This condition can be distressing and lead to various oral health concerns. Basic periodontal examination (bpe) is performed during routine dental. Festooned Gingiva.
From www.youtube.com
BCS2 Resesi Gingiva YouTube Festooned Gingiva As a consequence of recession, the remaining attached gingiva may become somewhat thickened and rolled, a noninflammatory fibrotic response known as mccall’s festoon. This condition can be distressing and lead to various oral health concerns. The other contour changes that can be observed include the stillman cleft and mccall festoons, which are primarily associated with. The marginal gingiva or unattached. Festooned Gingiva.
From www.cfnei.com
gingiva CFNEI Festooned Gingiva Basic periodontal examination (bpe) is performed during routine dental examinations to screen for periodontal disease. Gingival enlargement or overgrowth is a common disease of gingiva. The marginal gingiva or unattached gingiva forms the coronal border of the gingiva which surrounds the tooth but is not adherent to it. The causative factors may range from inflammation due to local factors to. Festooned Gingiva.
From cabinetdentairesaintouen.com
La récession gingivale Festooned Gingiva In this section, we will delve into the causes of festoon gingiva and provide. As a consequence of recession, the remaining attached gingiva may become somewhat thickened and rolled, a noninflammatory fibrotic response known as mccall’s festoon. Gingival enlargement or overgrowth is a common disease of gingiva. The marginal gingiva or unattached gingiva forms the coronal border of the gingiva. Festooned Gingiva.
From www.youtube.com
Hewitt, ACPCase Study YouTube Festooned Gingiva The causative factors may range from inflammation due to local factors to conditioned enlargement and neoplastic. Gingival enlargement or overgrowth is a common disease of gingiva. This article will highlight the two main types of gingiva, the histological composition of the gingiva and the main pathological transformation of the gingival tissues. If the recession progresses to the mucogingival line, secondary. Festooned Gingiva.
From www.myzerodonto.com
Gingival Recession Treatment FGG MyZerodonto Festooned Gingiva As a consequence of recession, the remaining attached gingiva may become somewhat thickened and rolled, a noninflammatory fibrotic response known as mccall’s festoon. This article will highlight the two main types of gingiva, the histological composition of the gingiva and the main pathological transformation of the gingival tissues. Basic periodontal examination (bpe) is performed during routine dental examinations to screen. Festooned Gingiva.
From lookfordiagnosis.com
Gingival Fibromatosis Festooned Gingiva Basic periodontal examination (bpe) is performed during routine dental examinations to screen for periodontal disease. As a consequence of recession, the remaining attached gingiva may become somewhat thickened and rolled, a noninflammatory fibrotic response known as mccall’s festoon. This condition can be distressing and lead to various oral health concerns. The causative factors may range from inflammation due to local. Festooned Gingiva.
From www.mdpi.com
Dentistry Journal Free FullText Evaluation of Carbon Dioxide Laser Festooned Gingiva The other contour changes that can be observed include the stillman cleft and mccall festoons, which are primarily associated with. Basic periodontal examination (bpe) is performed during routine dental examinations to screen for periodontal disease. This condition can be distressing and lead to various oral health concerns. In this section, we will delve into the causes of festoon gingiva and. Festooned Gingiva.
From dict.youdao.com
【gingivae】什么意思_英语gingivae的翻译_音标_读音_用法_例句_在线翻译_有道词典 Festooned Gingiva The marginal gingiva or unattached gingiva forms the coronal border of the gingiva which surrounds the tooth but is not adherent to it. If the recession progresses to the mucogingival line, secondary inflammation of the gingival margin often occurs ( fig. This condition can be distressing and lead to various oral health concerns. This article will highlight the two main. Festooned Gingiva.
From periobasics.com
Gingival health, normal periodontium, Gingival color, contour, consistency. Festooned Gingiva The marginal gingiva or unattached gingiva forms the coronal border of the gingiva which surrounds the tooth but is not adherent to it. The other contour changes that can be observed include the stillman cleft and mccall festoons, which are primarily associated with. In this section, we will delve into the causes of festoon gingiva and provide. This article will. Festooned Gingiva.
From www.muhadharaty.com
2 pptx Dr. Muhammed Muhadharaty Festooned Gingiva The marginal gingiva or unattached gingiva forms the coronal border of the gingiva which surrounds the tooth but is not adherent to it. Gingival enlargement or overgrowth is a common disease of gingiva. Basic periodontal examination (bpe) is performed during routine dental examinations to screen for periodontal disease. This condition can be distressing and lead to various oral health concerns.. Festooned Gingiva.
From www.slideshare.net
12.esthetics&characterization Festooned Gingiva In this section, we will delve into the causes of festoon gingiva and provide. Gingival enlargement or overgrowth is a common disease of gingiva. The causative factors may range from inflammation due to local factors to conditioned enlargement and neoplastic. This condition can be distressing and lead to various oral health concerns. If the recession progresses to the mucogingival line,. Festooned Gingiva.
From periobasics.com
Art of history taking in periodontics Festooned Gingiva In this section, we will delve into the causes of festoon gingiva and provide. If the recession progresses to the mucogingival line, secondary inflammation of the gingival margin often occurs ( fig. Gingival enlargement or overgrowth is a common disease of gingiva. Basic periodontal examination (bpe) is performed during routine dental examinations to screen for periodontal disease. The marginal gingiva. Festooned Gingiva.
From www.slideserve.com
PPT Festooning and Stippling Dr. William G. Golden Director of Festooned Gingiva The marginal gingiva or unattached gingiva forms the coronal border of the gingiva which surrounds the tooth but is not adherent to it. Gingival enlargement or overgrowth is a common disease of gingiva. In this section, we will delve into the causes of festoon gingiva and provide. This article will highlight the two main types of gingiva, the histological composition. Festooned Gingiva.
From periobasics.com
Normal Periodontium (Gingiva) Basic Periodontology Festooned Gingiva Gingival enlargement or overgrowth is a common disease of gingiva. Basic periodontal examination (bpe) is performed during routine dental examinations to screen for periodontal disease. The marginal gingiva or unattached gingiva forms the coronal border of the gingiva which surrounds the tooth but is not adherent to it. If the recession progresses to the mucogingival line, secondary inflammation of the. Festooned Gingiva.
From www.shutterstock.com
Patients Upper Jaw Gingiva Resection Stock Photo 2189926973 Shutterstock Festooned Gingiva The marginal gingiva or unattached gingiva forms the coronal border of the gingiva which surrounds the tooth but is not adherent to it. Gingival enlargement or overgrowth is a common disease of gingiva. In this section, we will delve into the causes of festoon gingiva and provide. Basic periodontal examination (bpe) is performed during routine dental examinations to screen for. Festooned Gingiva.
From www.mdpi.com
Healthcare Free FullText Is There a Correlation between Gingival Festooned Gingiva As a consequence of recession, the remaining attached gingiva may become somewhat thickened and rolled, a noninflammatory fibrotic response known as mccall’s festoon. The marginal gingiva or unattached gingiva forms the coronal border of the gingiva which surrounds the tooth but is not adherent to it. If the recession progresses to the mucogingival line, secondary inflammation of the gingival margin. Festooned Gingiva.
From putripetslover.blogspot.com
Kesan pertama Gingivitis Festooned Gingiva The marginal gingiva or unattached gingiva forms the coronal border of the gingiva which surrounds the tooth but is not adherent to it. Gingival enlargement or overgrowth is a common disease of gingiva. As a consequence of recession, the remaining attached gingiva may become somewhat thickened and rolled, a noninflammatory fibrotic response known as mccall’s festoon. Basic periodontal examination (bpe). Festooned Gingiva.