From www.ejog.org
The OSign early recognition of Oshaped abdominal distension avoids drastic surgical Ogilvie Bowel In some cases the small bowel may also be involved. A perforated bowel can cause intense abdominal pain, fever, and sepsis, a severe blood infection. Ogilvie Bowel.
From www.slideserve.com
PPT Ogilvie Syndrome A Gastrointestinal Clinical Case Study PowerPoint Presentation ID9679835 Ogilvie Bowel In some cases the small bowel may also be involved. A perforated bowel can cause intense abdominal pain, fever, and sepsis, a severe blood infection. Ogilvie Bowel.
From medicolearning.com
Ogilvie’s Syndrome (AcuteColonic Pseudo Obstruction) MedicoLearning Ogilvie Bowel A perforated bowel can cause intense abdominal pain, fever, and sepsis, a severe blood infection. In some cases the small bowel may also be involved. Ogilvie Bowel.
From ibimapublishing.com
IBIMA Publishing The Giant Caecum with No Apparent Reason Ogilvie’s Syndrome Ogilvie Bowel In some cases the small bowel may also be involved. A perforated bowel can cause intense abdominal pain, fever, and sepsis, a severe blood infection. Ogilvie Bowel.
From ultimate-radiology.blogspot.com
Ultimate Radiology Ogilvie Syndrome or Acute Colonic Pseudo Obstruction Ogilvie Bowel In some cases the small bowel may also be involved. A perforated bowel can cause intense abdominal pain, fever, and sepsis, a severe blood infection. Ogilvie Bowel.
From www.slideserve.com
PPT Large Bowel Obstruction PowerPoint Presentation ID244375 Ogilvie Bowel In some cases the small bowel may also be involved. A perforated bowel can cause intense abdominal pain, fever, and sepsis, a severe blood infection. Ogilvie Bowel.
From www.youtube.com
Bowel Obstruction and Ileus Large Bowel Obstruction & Ogilvie Syndrome Radiology Lecturio Ogilvie Bowel A perforated bowel can cause intense abdominal pain, fever, and sepsis, a severe blood infection. In some cases the small bowel may also be involved. Ogilvie Bowel.
From www.annsaudimed.net
Nonobstructive Large Bowel Distention (Ogilvie's Syndrome) Annals of Saudi Medicine Ogilvie Bowel In some cases the small bowel may also be involved. A perforated bowel can cause intense abdominal pain, fever, and sepsis, a severe blood infection. Ogilvie Bowel.
From step2.medbullets.com
Ogilvie Syndrome Gastrointestinal Medbullets Step 2/3 Ogilvie Bowel In some cases the small bowel may also be involved. A perforated bowel can cause intense abdominal pain, fever, and sepsis, a severe blood infection. Ogilvie Bowel.
From rk.md
Ogilvie's Syndrome RK.MD Ogilvie Bowel In some cases the small bowel may also be involved. A perforated bowel can cause intense abdominal pain, fever, and sepsis, a severe blood infection. Ogilvie Bowel.
From medizzy.com
Ogilvie Syndrome MEDizzy Ogilvie Bowel In some cases the small bowel may also be involved. A perforated bowel can cause intense abdominal pain, fever, and sepsis, a severe blood infection. Ogilvie Bowel.
From reference.medscape.com
Ogilvie Syndrome (Acute Colonic Pseudoobstruction) Early Recognition and Treatment Are Key Ogilvie Bowel A perforated bowel can cause intense abdominal pain, fever, and sepsis, a severe blood infection. In some cases the small bowel may also be involved. Ogilvie Bowel.
From ultimate-radiology.blogspot.com
Ultimate Radiology Ogilvie Syndrome or Acute Colonic Pseudo Obstruction Ogilvie Bowel A perforated bowel can cause intense abdominal pain, fever, and sepsis, a severe blood infection. In some cases the small bowel may also be involved. Ogilvie Bowel.
From www.semanticscholar.org
Figure 1 from Mechanical bowel obstruction secondary to fecal impaction with superimposed Ogilvie Bowel A perforated bowel can cause intense abdominal pain, fever, and sepsis, a severe blood infection. In some cases the small bowel may also be involved. Ogilvie Bowel.
From www.cmaj.ca
Ogilvie syndrome acute pseudoobstruction of the colon CMAJ Ogilvie Bowel A perforated bowel can cause intense abdominal pain, fever, and sepsis, a severe blood infection. In some cases the small bowel may also be involved. Ogilvie Bowel.
From www.youtube.com
Pseudoobstruction/Ogilvie syndrome pathophysiology, clinical features, investigation Ogilvie Bowel A perforated bowel can cause intense abdominal pain, fever, and sepsis, a severe blood infection. In some cases the small bowel may also be involved. Ogilvie Bowel.
From www.youtube.com
The OSign for Ogilvie syndrome after cesarean section. YouTube Ogilvie Bowel A perforated bowel can cause intense abdominal pain, fever, and sepsis, a severe blood infection. In some cases the small bowel may also be involved. Ogilvie Bowel.
From reference.medscape.com
Ogilvie Syndrome (Acute Colonic Pseudoobstruction) Early Recognition and Treatment Are Key Ogilvie Bowel A perforated bowel can cause intense abdominal pain, fever, and sepsis, a severe blood infection. In some cases the small bowel may also be involved. Ogilvie Bowel.
From www.slideshare.net
Plain picture in acute abdomen Ogilvie Bowel A perforated bowel can cause intense abdominal pain, fever, and sepsis, a severe blood infection. In some cases the small bowel may also be involved. Ogilvie Bowel.
From www.jmig.org
Ogilvie's Syndrome after RoboticAssisted Radical Hysterectomy for Cervical Cancer Journal of Ogilvie Bowel A perforated bowel can cause intense abdominal pain, fever, and sepsis, a severe blood infection. In some cases the small bowel may also be involved. Ogilvie Bowel.
From casereports.bmj.com
Ogilvie’s syndrome following caesarean section BMJ Case Reports Ogilvie Bowel In some cases the small bowel may also be involved. A perforated bowel can cause intense abdominal pain, fever, and sepsis, a severe blood infection. Ogilvie Bowel.
From www.aliem.com
SAEM Clinical Image Series Distended Bowels Ogilvie Bowel A perforated bowel can cause intense abdominal pain, fever, and sepsis, a severe blood infection. In some cases the small bowel may also be involved. Ogilvie Bowel.
From www.slideserve.com
PPT Large Bowel Obstruction PowerPoint Presentation ID244375 Ogilvie Bowel A perforated bowel can cause intense abdominal pain, fever, and sepsis, a severe blood infection. In some cases the small bowel may also be involved. Ogilvie Bowel.
From generalsurgeryclinics.blogspot.com
General Surgery Clinics A Surgeon's Blog Colonic Pseudo Obstruction/ Ogilvie Syndrome Ogilvie Bowel A perforated bowel can cause intense abdominal pain, fever, and sepsis, a severe blood infection. In some cases the small bowel may also be involved. Ogilvie Bowel.
From www.semanticscholar.org
Figure 1 from Mechanical bowel obstruction secondary to fecal impaction with superimposed Ogilvie Bowel In some cases the small bowel may also be involved. A perforated bowel can cause intense abdominal pain, fever, and sepsis, a severe blood infection. Ogilvie Bowel.
From www.annsaudimed.net
Nonobstructive Large Bowel Distention (Ogilvie's Syndrome) Annals of Saudi Medicine Ogilvie Bowel A perforated bowel can cause intense abdominal pain, fever, and sepsis, a severe blood infection. In some cases the small bowel may also be involved. Ogilvie Bowel.
From etvideosondemand.com
Bowel Obstruction and Ileus Large Bowel Obstruction & Ogilvie Syndrome Radiology Lecturio Ogilvie Bowel In some cases the small bowel may also be involved. A perforated bowel can cause intense abdominal pain, fever, and sepsis, a severe blood infection. Ogilvie Bowel.
From slidetodoc.com
LARGE BOWEL OBSTRUCTION Causes Colorectal cancers Volvulus sigmoid Ogilvie Bowel A perforated bowel can cause intense abdominal pain, fever, and sepsis, a severe blood infection. In some cases the small bowel may also be involved. Ogilvie Bowel.
From www.aafp.org
Intestinal Obstruction Evaluation and Management Ogilvie Bowel A perforated bowel can cause intense abdominal pain, fever, and sepsis, a severe blood infection. In some cases the small bowel may also be involved. Ogilvie Bowel.
From www.researchgate.net
(PDF) Ogilvie syndrome presenting with septic shock Ogilvie Bowel In some cases the small bowel may also be involved. A perforated bowel can cause intense abdominal pain, fever, and sepsis, a severe blood infection. Ogilvie Bowel.
From www.semanticscholar.org
Figure 1 from Acute Colonic Pseudoobstruction (The Ogilvie syndrome) A Case Report and Review Ogilvie Bowel In some cases the small bowel may also be involved. A perforated bowel can cause intense abdominal pain, fever, and sepsis, a severe blood infection. Ogilvie Bowel.
From wikidoc.org
Ogilvie syndrome CT wikidoc Ogilvie Bowel In some cases the small bowel may also be involved. A perforated bowel can cause intense abdominal pain, fever, and sepsis, a severe blood infection. Ogilvie Bowel.
From radiopaedia.org
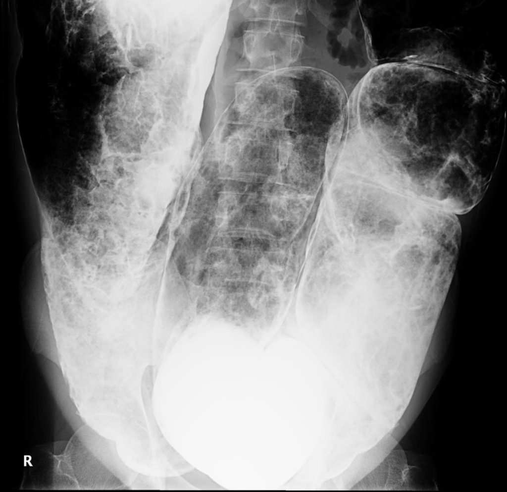
Ogilvie syndrome Image Ogilvie Bowel In some cases the small bowel may also be involved. A perforated bowel can cause intense abdominal pain, fever, and sepsis, a severe blood infection. Ogilvie Bowel.
From ultimate-radiology.blogspot.com
Ultimate Radiology Ogilvie Syndrome or Acute Colonic Pseudo Obstruction Ogilvie Bowel A perforated bowel can cause intense abdominal pain, fever, and sepsis, a severe blood infection. In some cases the small bowel may also be involved. Ogilvie Bowel.
From generalsurgeryclinics.blogspot.co.uk
General Surgery Clinics A Surgeon's Blog Colonic Pseudo Obstruction/ Ogilvie Syndrome Ogilvie Bowel A perforated bowel can cause intense abdominal pain, fever, and sepsis, a severe blood infection. In some cases the small bowel may also be involved. Ogilvie Bowel.