What Is Spontaneous Pneumomediastinum . This type of pneumomediastinum occurs due to smoking or the use of recreational drugs. Spontaneous pneumomediastinum (spm) is a rare entity affecting younger males that is not associated with any possible triggering. Spontaneous pneumomediastinum (spm) is usually the result of a sudden increase in intrathoracic pressure that causes a subsequent. Spontaneous pneumomediastinum (spm) is uncommon in children and resolves without specific intervention in most cases. Primary or spontaneous pneumomediastinum refers to a form of the condition with no obvious cause. In the absence of traumatic. Pneumomediastinum is a rare condition defined by the presence of air in the mediastinum. Secondary pneumomediastinum is most often caused by. Spontaneous or primary pneumomediastinum occurs in otherwise healthy individuals with no identifiable cause.
from www.osmosis.org
Spontaneous or primary pneumomediastinum occurs in otherwise healthy individuals with no identifiable cause. Spontaneous pneumomediastinum (spm) is a rare entity affecting younger males that is not associated with any possible triggering. Spontaneous pneumomediastinum (spm) is uncommon in children and resolves without specific intervention in most cases. Secondary pneumomediastinum is most often caused by. In the absence of traumatic. This type of pneumomediastinum occurs due to smoking or the use of recreational drugs. Spontaneous pneumomediastinum (spm) is usually the result of a sudden increase in intrathoracic pressure that causes a subsequent. Primary or spontaneous pneumomediastinum refers to a form of the condition with no obvious cause. Pneumomediastinum is a rare condition defined by the presence of air in the mediastinum.
Tension Pneumothorax What Is It, Causes, Signs, Symptoms, Diagnosis
What Is Spontaneous Pneumomediastinum Spontaneous or primary pneumomediastinum occurs in otherwise healthy individuals with no identifiable cause. Secondary pneumomediastinum is most often caused by. This type of pneumomediastinum occurs due to smoking or the use of recreational drugs. In the absence of traumatic. Spontaneous or primary pneumomediastinum occurs in otherwise healthy individuals with no identifiable cause. Spontaneous pneumomediastinum (spm) is usually the result of a sudden increase in intrathoracic pressure that causes a subsequent. Primary or spontaneous pneumomediastinum refers to a form of the condition with no obvious cause. Spontaneous pneumomediastinum (spm) is a rare entity affecting younger males that is not associated with any possible triggering. Spontaneous pneumomediastinum (spm) is uncommon in children and resolves without specific intervention in most cases. Pneumomediastinum is a rare condition defined by the presence of air in the mediastinum.
From ddxof.com
Differential Diagnosis of Pneumomediastinum What Is Spontaneous Pneumomediastinum This type of pneumomediastinum occurs due to smoking or the use of recreational drugs. Primary or spontaneous pneumomediastinum refers to a form of the condition with no obvious cause. Secondary pneumomediastinum is most often caused by. In the absence of traumatic. Spontaneous pneumomediastinum (spm) is usually the result of a sudden increase in intrathoracic pressure that causes a subsequent. Spontaneous. What Is Spontaneous Pneumomediastinum.
From www.vrogue.co
What Is Pneumomediastinum How Is It Treated Causes Sy vrogue.co What Is Spontaneous Pneumomediastinum Spontaneous pneumomediastinum (spm) is uncommon in children and resolves without specific intervention in most cases. In the absence of traumatic. Spontaneous or primary pneumomediastinum occurs in otherwise healthy individuals with no identifiable cause. Primary or spontaneous pneumomediastinum refers to a form of the condition with no obvious cause. Pneumomediastinum is a rare condition defined by the presence of air in. What Is Spontaneous Pneumomediastinum.
From www.osmosis.org
Tension Pneumothorax What Is It, Causes, Signs, Symptoms, Diagnosis What Is Spontaneous Pneumomediastinum Spontaneous or primary pneumomediastinum occurs in otherwise healthy individuals with no identifiable cause. Spontaneous pneumomediastinum (spm) is a rare entity affecting younger males that is not associated with any possible triggering. In the absence of traumatic. Secondary pneumomediastinum is most often caused by. Spontaneous pneumomediastinum (spm) is uncommon in children and resolves without specific intervention in most cases. Primary or. What Is Spontaneous Pneumomediastinum.
From casereports.bmj.com
Spontaneous pneumomediastinum an important differential in acute chest What Is Spontaneous Pneumomediastinum In the absence of traumatic. This type of pneumomediastinum occurs due to smoking or the use of recreational drugs. Primary or spontaneous pneumomediastinum refers to a form of the condition with no obvious cause. Secondary pneumomediastinum is most often caused by. Spontaneous pneumomediastinum (spm) is a rare entity affecting younger males that is not associated with any possible triggering. Pneumomediastinum. What Is Spontaneous Pneumomediastinum.
From casereports.bmj.com
Spontaneous pneumomediastinum following normal labour BMJ Case Reports What Is Spontaneous Pneumomediastinum Spontaneous or primary pneumomediastinum occurs in otherwise healthy individuals with no identifiable cause. Spontaneous pneumomediastinum (spm) is uncommon in children and resolves without specific intervention in most cases. Spontaneous pneumomediastinum (spm) is a rare entity affecting younger males that is not associated with any possible triggering. Primary or spontaneous pneumomediastinum refers to a form of the condition with no obvious. What Is Spontaneous Pneumomediastinum.
From www.vrogue.co
What Is Pneumomediastinum How Is It Treated Causes Sy vrogue.co What Is Spontaneous Pneumomediastinum Secondary pneumomediastinum is most often caused by. Spontaneous or primary pneumomediastinum occurs in otherwise healthy individuals with no identifiable cause. This type of pneumomediastinum occurs due to smoking or the use of recreational drugs. Primary or spontaneous pneumomediastinum refers to a form of the condition with no obvious cause. Pneumomediastinum is a rare condition defined by the presence of air. What Is Spontaneous Pneumomediastinum.
From publishing.rcseng.ac.uk
Spontaneous pneumomediastinum presenting as rhinolalia and chest pain What Is Spontaneous Pneumomediastinum Primary or spontaneous pneumomediastinum refers to a form of the condition with no obvious cause. Pneumomediastinum is a rare condition defined by the presence of air in the mediastinum. Spontaneous pneumomediastinum (spm) is usually the result of a sudden increase in intrathoracic pressure that causes a subsequent. This type of pneumomediastinum occurs due to smoking or the use of recreational. What Is Spontaneous Pneumomediastinum.
From www.researchgate.net
Chest CT showing spontaneous pneumomediastinum (arrow), emphysema What Is Spontaneous Pneumomediastinum Spontaneous or primary pneumomediastinum occurs in otherwise healthy individuals with no identifiable cause. Pneumomediastinum is a rare condition defined by the presence of air in the mediastinum. Primary or spontaneous pneumomediastinum refers to a form of the condition with no obvious cause. Spontaneous pneumomediastinum (spm) is a rare entity affecting younger males that is not associated with any possible triggering.. What Is Spontaneous Pneumomediastinum.
From wchh.onlinelibrary.wiley.com
Spontaneous pneumomediastinum, Hamman's syndrome, with diabetic What Is Spontaneous Pneumomediastinum Spontaneous pneumomediastinum (spm) is a rare entity affecting younger males that is not associated with any possible triggering. Spontaneous pneumomediastinum (spm) is uncommon in children and resolves without specific intervention in most cases. In the absence of traumatic. Spontaneous pneumomediastinum (spm) is usually the result of a sudden increase in intrathoracic pressure that causes a subsequent. Primary or spontaneous pneumomediastinum. What Is Spontaneous Pneumomediastinum.
From publishing.rcseng.ac.uk
Spontaneous pneumomediastinum presenting as rhinolalia and chest pain What Is Spontaneous Pneumomediastinum Secondary pneumomediastinum is most often caused by. Primary or spontaneous pneumomediastinum refers to a form of the condition with no obvious cause. Spontaneous or primary pneumomediastinum occurs in otherwise healthy individuals with no identifiable cause. Spontaneous pneumomediastinum (spm) is uncommon in children and resolves without specific intervention in most cases. This type of pneumomediastinum occurs due to smoking or the. What Is Spontaneous Pneumomediastinum.
From www.pulmonologyadvisor.com
Nonneoplastic Disorders of the Mediastinum Pneumomediastinum What Is Spontaneous Pneumomediastinum Spontaneous pneumomediastinum (spm) is usually the result of a sudden increase in intrathoracic pressure that causes a subsequent. In the absence of traumatic. Secondary pneumomediastinum is most often caused by. Pneumomediastinum is a rare condition defined by the presence of air in the mediastinum. Spontaneous or primary pneumomediastinum occurs in otherwise healthy individuals with no identifiable cause. This type of. What Is Spontaneous Pneumomediastinum.
From www.vrogue.co
What Is Pneumomediastinum How Is It Treated Causes Sy vrogue.co What Is Spontaneous Pneumomediastinum Pneumomediastinum is a rare condition defined by the presence of air in the mediastinum. Spontaneous pneumomediastinum (spm) is usually the result of a sudden increase in intrathoracic pressure that causes a subsequent. Primary or spontaneous pneumomediastinum refers to a form of the condition with no obvious cause. This type of pneumomediastinum occurs due to smoking or the use of recreational. What Is Spontaneous Pneumomediastinum.
From www.semanticscholar.org
Figure 1 from Diagnosis and treatment of spontaneous pneumomediastinum What Is Spontaneous Pneumomediastinum In the absence of traumatic. Secondary pneumomediastinum is most often caused by. Primary or spontaneous pneumomediastinum refers to a form of the condition with no obvious cause. Spontaneous or primary pneumomediastinum occurs in otherwise healthy individuals with no identifiable cause. Spontaneous pneumomediastinum (spm) is uncommon in children and resolves without specific intervention in most cases. Spontaneous pneumomediastinum (spm) is a. What Is Spontaneous Pneumomediastinum.
From www.vrogue.co
Imaging Diagnosis Spontaneous Pneumomediastinum Secon vrogue.co What Is Spontaneous Pneumomediastinum Spontaneous pneumomediastinum (spm) is usually the result of a sudden increase in intrathoracic pressure that causes a subsequent. Spontaneous pneumomediastinum (spm) is a rare entity affecting younger males that is not associated with any possible triggering. Spontaneous pneumomediastinum (spm) is uncommon in children and resolves without specific intervention in most cases. Pneumomediastinum is a rare condition defined by the presence. What Is Spontaneous Pneumomediastinum.
From tidsskriftet.no
Spontaneous pneumomediastinum Tidsskrift for Den norske legeforening What Is Spontaneous Pneumomediastinum Spontaneous pneumomediastinum (spm) is usually the result of a sudden increase in intrathoracic pressure that causes a subsequent. This type of pneumomediastinum occurs due to smoking or the use of recreational drugs. Pneumomediastinum is a rare condition defined by the presence of air in the mediastinum. Secondary pneumomediastinum is most often caused by. Primary or spontaneous pneumomediastinum refers to a. What Is Spontaneous Pneumomediastinum.
From www.vrogue.co
Classification Scheme Of Pneumomediastinum Pneumomedi vrogue.co What Is Spontaneous Pneumomediastinum This type of pneumomediastinum occurs due to smoking or the use of recreational drugs. Secondary pneumomediastinum is most often caused by. Pneumomediastinum is a rare condition defined by the presence of air in the mediastinum. Primary or spontaneous pneumomediastinum refers to a form of the condition with no obvious cause. Spontaneous pneumomediastinum (spm) is a rare entity affecting younger males. What Is Spontaneous Pneumomediastinum.
From ajemjournal.com
Management of spontaneous pneumomediastinum Are hospitalization and What Is Spontaneous Pneumomediastinum Spontaneous pneumomediastinum (spm) is a rare entity affecting younger males that is not associated with any possible triggering. Spontaneous or primary pneumomediastinum occurs in otherwise healthy individuals with no identifiable cause. Spontaneous pneumomediastinum (spm) is usually the result of a sudden increase in intrathoracic pressure that causes a subsequent. Primary or spontaneous pneumomediastinum refers to a form of the condition. What Is Spontaneous Pneumomediastinum.
From www.mdpi.com
Children Free FullText Spontaneous Pneumomediastinum in Children What Is Spontaneous Pneumomediastinum Spontaneous pneumomediastinum (spm) is a rare entity affecting younger males that is not associated with any possible triggering. Secondary pneumomediastinum is most often caused by. Spontaneous pneumomediastinum (spm) is uncommon in children and resolves without specific intervention in most cases. Primary or spontaneous pneumomediastinum refers to a form of the condition with no obvious cause. Spontaneous or primary pneumomediastinum occurs. What Is Spontaneous Pneumomediastinum.
From www.researchgate.net
(PDF) SPONTANEOUS PNEUMOMEDIASTINUM IN COVID 19 A NEAR FATAL COMPLICATON What Is Spontaneous Pneumomediastinum Primary or spontaneous pneumomediastinum refers to a form of the condition with no obvious cause. This type of pneumomediastinum occurs due to smoking or the use of recreational drugs. Spontaneous or primary pneumomediastinum occurs in otherwise healthy individuals with no identifiable cause. Spontaneous pneumomediastinum (spm) is a rare entity affecting younger males that is not associated with any possible triggering.. What Is Spontaneous Pneumomediastinum.
From radiopaedia.org
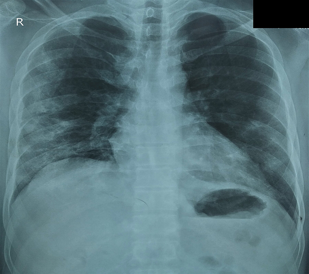
Spontaneous pneumomediastinum Image What Is Spontaneous Pneumomediastinum In the absence of traumatic. This type of pneumomediastinum occurs due to smoking or the use of recreational drugs. Primary or spontaneous pneumomediastinum refers to a form of the condition with no obvious cause. Pneumomediastinum is a rare condition defined by the presence of air in the mediastinum. Secondary pneumomediastinum is most often caused by. Spontaneous pneumomediastinum (spm) is uncommon. What Is Spontaneous Pneumomediastinum.
From www.cureus.com
Cureus Spontaneous Pneumomediastinum in a Healthy Pediatric Patient What Is Spontaneous Pneumomediastinum In the absence of traumatic. Spontaneous pneumomediastinum (spm) is uncommon in children and resolves without specific intervention in most cases. Spontaneous pneumomediastinum (spm) is a rare entity affecting younger males that is not associated with any possible triggering. Spontaneous or primary pneumomediastinum occurs in otherwise healthy individuals with no identifiable cause. This type of pneumomediastinum occurs due to smoking or. What Is Spontaneous Pneumomediastinum.
From www.journalpulmonology.org
Spontaneous pneumomediastinum in pregnancy A case report Pulmonology What Is Spontaneous Pneumomediastinum Pneumomediastinum is a rare condition defined by the presence of air in the mediastinum. Spontaneous pneumomediastinum (spm) is usually the result of a sudden increase in intrathoracic pressure that causes a subsequent. This type of pneumomediastinum occurs due to smoking or the use of recreational drugs. In the absence of traumatic. Spontaneous or primary pneumomediastinum occurs in otherwise healthy individuals. What Is Spontaneous Pneumomediastinum.
From casereports.bmj.com
Unique case of pneumomediastinum due to injury to the What Is Spontaneous Pneumomediastinum Primary or spontaneous pneumomediastinum refers to a form of the condition with no obvious cause. Pneumomediastinum is a rare condition defined by the presence of air in the mediastinum. In the absence of traumatic. Spontaneous pneumomediastinum (spm) is uncommon in children and resolves without specific intervention in most cases. Spontaneous or primary pneumomediastinum occurs in otherwise healthy individuals with no. What Is Spontaneous Pneumomediastinum.
From jmsma.scholasticahq.com
A Case Report of Spontaneous Pneumomediastinum in a Girl with Tuberous What Is Spontaneous Pneumomediastinum Pneumomediastinum is a rare condition defined by the presence of air in the mediastinum. Spontaneous pneumomediastinum (spm) is uncommon in children and resolves without specific intervention in most cases. In the absence of traumatic. Secondary pneumomediastinum is most often caused by. Spontaneous pneumomediastinum (spm) is a rare entity affecting younger males that is not associated with any possible triggering. Spontaneous. What Is Spontaneous Pneumomediastinum.
From casereports.bmj.com
Spontaneous pneumomediastinum in COVID19 BMJ Case Reports What Is Spontaneous Pneumomediastinum Primary or spontaneous pneumomediastinum refers to a form of the condition with no obvious cause. Spontaneous pneumomediastinum (spm) is a rare entity affecting younger males that is not associated with any possible triggering. Spontaneous pneumomediastinum (spm) is uncommon in children and resolves without specific intervention in most cases. Spontaneous or primary pneumomediastinum occurs in otherwise healthy individuals with no identifiable. What Is Spontaneous Pneumomediastinum.
From www.cureus.com
Cureus Spontaneous Pneumomediastinum in a Young Adult A Rare What Is Spontaneous Pneumomediastinum Primary or spontaneous pneumomediastinum refers to a form of the condition with no obvious cause. Secondary pneumomediastinum is most often caused by. Spontaneous pneumomediastinum (spm) is usually the result of a sudden increase in intrathoracic pressure that causes a subsequent. Spontaneous pneumomediastinum (spm) is uncommon in children and resolves without specific intervention in most cases. Spontaneous or primary pneumomediastinum occurs. What Is Spontaneous Pneumomediastinum.
From www.mdpi.com
COVID Free FullText Survival by Mediastinal Chest Drain Due to What Is Spontaneous Pneumomediastinum Spontaneous pneumomediastinum (spm) is uncommon in children and resolves without specific intervention in most cases. Spontaneous pneumomediastinum (spm) is usually the result of a sudden increase in intrathoracic pressure that causes a subsequent. Spontaneous pneumomediastinum (spm) is a rare entity affecting younger males that is not associated with any possible triggering. This type of pneumomediastinum occurs due to smoking or. What Is Spontaneous Pneumomediastinum.
From www.cureus.com
Cureus Spontaneous Pneumomediastinum Revealing Asthma The Macklin Effect What Is Spontaneous Pneumomediastinum Spontaneous pneumomediastinum (spm) is usually the result of a sudden increase in intrathoracic pressure that causes a subsequent. Secondary pneumomediastinum is most often caused by. In the absence of traumatic. Spontaneous pneumomediastinum (spm) is uncommon in children and resolves without specific intervention in most cases. Primary or spontaneous pneumomediastinum refers to a form of the condition with no obvious cause.. What Is Spontaneous Pneumomediastinum.
From www.cureus.com
Cureus Spontaneous Pneumomediastinum in COVID19 Pneumonia What Is Spontaneous Pneumomediastinum Primary or spontaneous pneumomediastinum refers to a form of the condition with no obvious cause. Spontaneous pneumomediastinum (spm) is usually the result of a sudden increase in intrathoracic pressure that causes a subsequent. Secondary pneumomediastinum is most often caused by. This type of pneumomediastinum occurs due to smoking or the use of recreational drugs. In the absence of traumatic. Pneumomediastinum. What Is Spontaneous Pneumomediastinum.
From www.cureus.com
Cureus A Unique Presentation of Spontaneous Pneumomediastinum What Is Spontaneous Pneumomediastinum Spontaneous pneumomediastinum (spm) is a rare entity affecting younger males that is not associated with any possible triggering. In the absence of traumatic. Spontaneous pneumomediastinum (spm) is uncommon in children and resolves without specific intervention in most cases. Pneumomediastinum is a rare condition defined by the presence of air in the mediastinum. Spontaneous or primary pneumomediastinum occurs in otherwise healthy. What Is Spontaneous Pneumomediastinum.
From www.researchgate.net
(PDF) Spontaneous pneumomediastinum and subcutaneous emphysema in What Is Spontaneous Pneumomediastinum Pneumomediastinum is a rare condition defined by the presence of air in the mediastinum. Spontaneous or primary pneumomediastinum occurs in otherwise healthy individuals with no identifiable cause. This type of pneumomediastinum occurs due to smoking or the use of recreational drugs. Secondary pneumomediastinum is most often caused by. Spontaneous pneumomediastinum (spm) is a rare entity affecting younger males that is. What Is Spontaneous Pneumomediastinum.
From www.semanticscholar.org
Figure 1 from Spontaneous pneumomediastinum due to achalasia an What Is Spontaneous Pneumomediastinum Spontaneous or primary pneumomediastinum occurs in otherwise healthy individuals with no identifiable cause. Spontaneous pneumomediastinum (spm) is uncommon in children and resolves without specific intervention in most cases. Primary or spontaneous pneumomediastinum refers to a form of the condition with no obvious cause. Secondary pneumomediastinum is most often caused by. This type of pneumomediastinum occurs due to smoking or the. What Is Spontaneous Pneumomediastinum.
From www.journalpulmonology.org
Spontaneous pneumomediastinum in pregnancy A case report Pulmonology What Is Spontaneous Pneumomediastinum Secondary pneumomediastinum is most often caused by. In the absence of traumatic. Pneumomediastinum is a rare condition defined by the presence of air in the mediastinum. Spontaneous pneumomediastinum (spm) is a rare entity affecting younger males that is not associated with any possible triggering. This type of pneumomediastinum occurs due to smoking or the use of recreational drugs. Spontaneous pneumomediastinum. What Is Spontaneous Pneumomediastinum.
From www.cureus.com
Cureus Spontaneous Pneumomediastinum in a Healthy Young Male A Case What Is Spontaneous Pneumomediastinum Pneumomediastinum is a rare condition defined by the presence of air in the mediastinum. Spontaneous or primary pneumomediastinum occurs in otherwise healthy individuals with no identifiable cause. Spontaneous pneumomediastinum (spm) is a rare entity affecting younger males that is not associated with any possible triggering. Spontaneous pneumomediastinum (spm) is usually the result of a sudden increase in intrathoracic pressure that. What Is Spontaneous Pneumomediastinum.
From casereports.bmj.com
Pneumomediastinum and subcutaneous emphysema a rare cause of What Is Spontaneous Pneumomediastinum Primary or spontaneous pneumomediastinum refers to a form of the condition with no obvious cause. Spontaneous pneumomediastinum (spm) is a rare entity affecting younger males that is not associated with any possible triggering. This type of pneumomediastinum occurs due to smoking or the use of recreational drugs. In the absence of traumatic. Spontaneous or primary pneumomediastinum occurs in otherwise healthy. What Is Spontaneous Pneumomediastinum.