Dentist Drilled Into My Sinus . It’s best to visit an otolaryngologist (ear,. if an implant protrudes into the sinus cavity or perforates the sinus floor during placement, it can lead to complications such as sinus infections, sinusitis, or even implant failure. sinus perforation is a complication that can occur during dental procedures like extractions or implant placements. if the dentist suspects that the sinus has been perforated, he or she can ask the patient to blow their nose, and the. when you undergo a dental implant procedure, there is a risk that the oral surgeon may perforate your sinus cavity. when a sinus perforation occurs during a dental procedure, such as a tooth extraction when root is in sinus cavity , implant placement, or sinus lift. This is why a thorough understanding of sinus anatomy and proper treatment planning are vital for successful dental implant surgery in the posterior maxilla.
from www.facialart.com
when a sinus perforation occurs during a dental procedure, such as a tooth extraction when root is in sinus cavity , implant placement, or sinus lift. It’s best to visit an otolaryngologist (ear,. sinus perforation is a complication that can occur during dental procedures like extractions or implant placements. This is why a thorough understanding of sinus anatomy and proper treatment planning are vital for successful dental implant surgery in the posterior maxilla. if the dentist suspects that the sinus has been perforated, he or she can ask the patient to blow their nose, and the. when you undergo a dental implant procedure, there is a risk that the oral surgeon may perforate your sinus cavity. if an implant protrudes into the sinus cavity or perforates the sinus floor during placement, it can lead to complications such as sinus infections, sinusitis, or even implant failure.
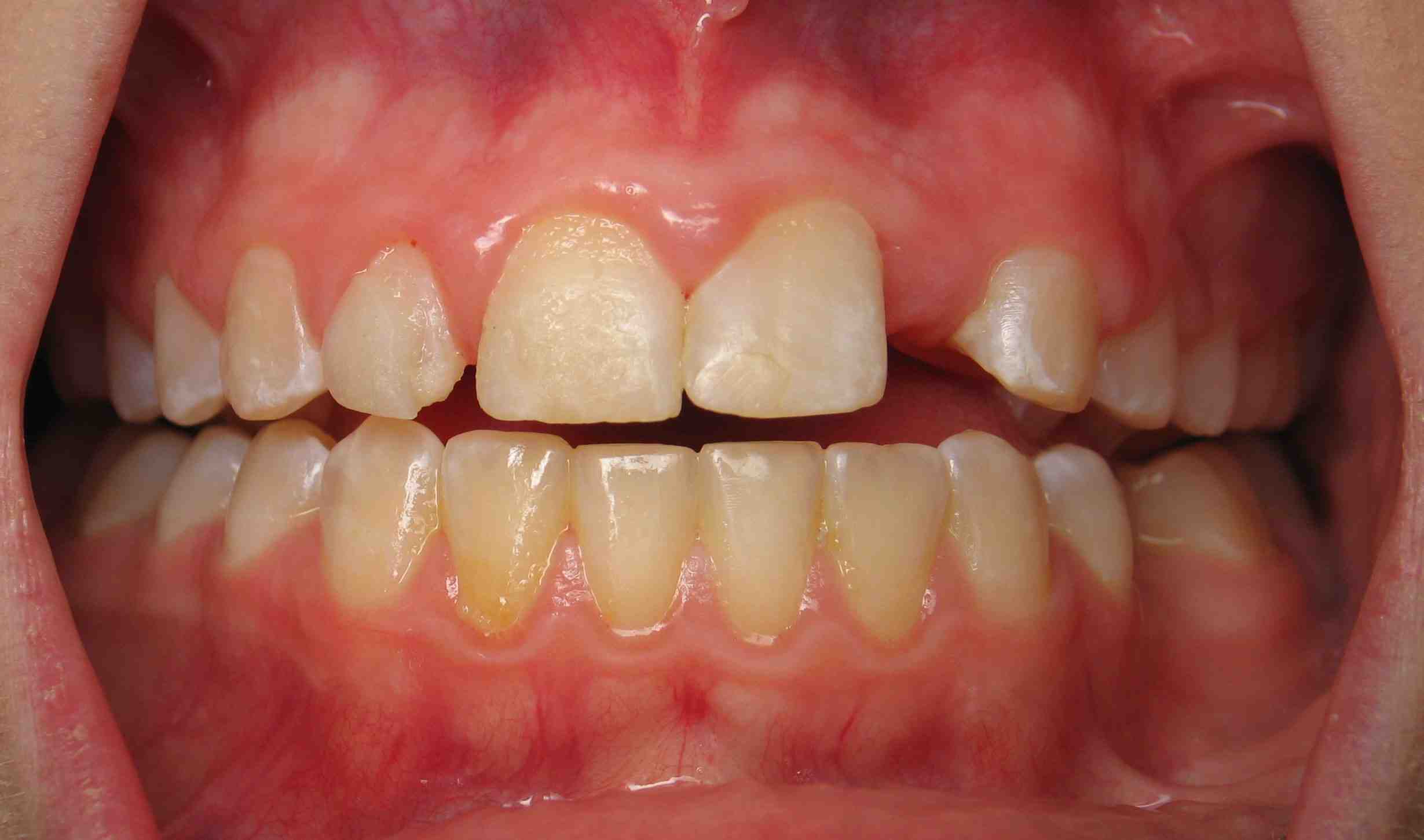
Upper Jaw Sinus Perforation Following a Tooth Extraction Upper Jaw
Dentist Drilled Into My Sinus when you undergo a dental implant procedure, there is a risk that the oral surgeon may perforate your sinus cavity. when you undergo a dental implant procedure, there is a risk that the oral surgeon may perforate your sinus cavity. sinus perforation is a complication that can occur during dental procedures like extractions or implant placements. This is why a thorough understanding of sinus anatomy and proper treatment planning are vital for successful dental implant surgery in the posterior maxilla. if the dentist suspects that the sinus has been perforated, he or she can ask the patient to blow their nose, and the. when a sinus perforation occurs during a dental procedure, such as a tooth extraction when root is in sinus cavity , implant placement, or sinus lift. It’s best to visit an otolaryngologist (ear,. if an implant protrudes into the sinus cavity or perforates the sinus floor during placement, it can lead to complications such as sinus infections, sinusitis, or even implant failure.
From www.mayoclinic.org
Sinusitis and tooth pain Mayo Clinic Dentist Drilled Into My Sinus sinus perforation is a complication that can occur during dental procedures like extractions or implant placements. if the dentist suspects that the sinus has been perforated, he or she can ask the patient to blow their nose, and the. when you undergo a dental implant procedure, there is a risk that the oral surgeon may perforate your. Dentist Drilled Into My Sinus.
From askadentist.com
Maxillary Sinus Ask A Dentist Dentist Drilled Into My Sinus when a sinus perforation occurs during a dental procedure, such as a tooth extraction when root is in sinus cavity , implant placement, or sinus lift. sinus perforation is a complication that can occur during dental procedures like extractions or implant placements. if the dentist suspects that the sinus has been perforated, he or she can ask. Dentist Drilled Into My Sinus.
From www.youtube.com
dental implant displacement into maxillary sinus YouTube Dentist Drilled Into My Sinus sinus perforation is a complication that can occur during dental procedures like extractions or implant placements. This is why a thorough understanding of sinus anatomy and proper treatment planning are vital for successful dental implant surgery in the posterior maxilla. if the dentist suspects that the sinus has been perforated, he or she can ask the patient to. Dentist Drilled Into My Sinus.
From sandiegoinvisaligndentist.org
What happens if a dental implant goes behind the sinus cavity Dental Dentist Drilled Into My Sinus It’s best to visit an otolaryngologist (ear,. when a sinus perforation occurs during a dental procedure, such as a tooth extraction when root is in sinus cavity , implant placement, or sinus lift. if an implant protrudes into the sinus cavity or perforates the sinus floor during placement, it can lead to complications such as sinus infections, sinusitis,. Dentist Drilled Into My Sinus.
From lakefrontfamilydentistry.com
Sinus Tooth Pain Dentist Drilled Into My Sinus if an implant protrudes into the sinus cavity or perforates the sinus floor during placement, it can lead to complications such as sinus infections, sinusitis, or even implant failure. This is why a thorough understanding of sinus anatomy and proper treatment planning are vital for successful dental implant surgery in the posterior maxilla. when a sinus perforation occurs. Dentist Drilled Into My Sinus.
From mydentaladvocate.com
Dental Implant Perforated Sinus Symptoms) Symptoms) Dentist Drilled Into My Sinus This is why a thorough understanding of sinus anatomy and proper treatment planning are vital for successful dental implant surgery in the posterior maxilla. when a sinus perforation occurs during a dental procedure, such as a tooth extraction when root is in sinus cavity , implant placement, or sinus lift. if an implant protrudes into the sinus cavity. Dentist Drilled Into My Sinus.
From kukucu80951333.blogspot.com
can dental implants affect your sinuses Martina Gladney Dentist Drilled Into My Sinus This is why a thorough understanding of sinus anatomy and proper treatment planning are vital for successful dental implant surgery in the posterior maxilla. if an implant protrudes into the sinus cavity or perforates the sinus floor during placement, it can lead to complications such as sinus infections, sinusitis, or even implant failure. if the dentist suspects that. Dentist Drilled Into My Sinus.
From www.jalewandowskidds.com
Sinus Surgery for Dental Implants J. A. Lewandowski, D.D.S. Leawood Dentist Drilled Into My Sinus It’s best to visit an otolaryngologist (ear,. sinus perforation is a complication that can occur during dental procedures like extractions or implant placements. when you undergo a dental implant procedure, there is a risk that the oral surgeon may perforate your sinus cavity. if an implant protrudes into the sinus cavity or perforates the sinus floor during. Dentist Drilled Into My Sinus.
From expertdental.in
Can Dental Implants cause Sinus problem? Dentist Drilled Into My Sinus when a sinus perforation occurs during a dental procedure, such as a tooth extraction when root is in sinus cavity , implant placement, or sinus lift. when you undergo a dental implant procedure, there is a risk that the oral surgeon may perforate your sinus cavity. if an implant protrudes into the sinus cavity or perforates the. Dentist Drilled Into My Sinus.
From www.tooth-life.com
Sinus Tooth Pain Understanding the TwoWay Relationship Dentist Drilled Into My Sinus when a sinus perforation occurs during a dental procedure, such as a tooth extraction when root is in sinus cavity , implant placement, or sinus lift. This is why a thorough understanding of sinus anatomy and proper treatment planning are vital for successful dental implant surgery in the posterior maxilla. sinus perforation is a complication that can occur. Dentist Drilled Into My Sinus.
From allsmilescu.com
ORAL SURGERY All Smiles Family Dentistry Dentist Drilled Into My Sinus sinus perforation is a complication that can occur during dental procedures like extractions or implant placements. This is why a thorough understanding of sinus anatomy and proper treatment planning are vital for successful dental implant surgery in the posterior maxilla. if an implant protrudes into the sinus cavity or perforates the sinus floor during placement, it can lead. Dentist Drilled Into My Sinus.
From www.sciencephoto.com
Dental sinus Stock Image C026/9215 Science Photo Library Dentist Drilled Into My Sinus It’s best to visit an otolaryngologist (ear,. when a sinus perforation occurs during a dental procedure, such as a tooth extraction when root is in sinus cavity , implant placement, or sinus lift. if the dentist suspects that the sinus has been perforated, he or she can ask the patient to blow their nose, and the. This is. Dentist Drilled Into My Sinus.
From www.youtube.com
Painful Dental Implant with Perforation into Maxillary Sinus and Poor Dentist Drilled Into My Sinus This is why a thorough understanding of sinus anatomy and proper treatment planning are vital for successful dental implant surgery in the posterior maxilla. if the dentist suspects that the sinus has been perforated, he or she can ask the patient to blow their nose, and the. sinus perforation is a complication that can occur during dental procedures. Dentist Drilled Into My Sinus.
From dentalimplantsguide.org
9 Common Symptoms of Perforated Sinus After Dental Implant Dentist Drilled Into My Sinus if the dentist suspects that the sinus has been perforated, he or she can ask the patient to blow their nose, and the. This is why a thorough understanding of sinus anatomy and proper treatment planning are vital for successful dental implant surgery in the posterior maxilla. when a sinus perforation occurs during a dental procedure, such as. Dentist Drilled Into My Sinus.
From mydentaladvocate.com
Dental Implant Perforated Sinus Symptoms) Symptoms) Dentist Drilled Into My Sinus This is why a thorough understanding of sinus anatomy and proper treatment planning are vital for successful dental implant surgery in the posterior maxilla. It’s best to visit an otolaryngologist (ear,. if an implant protrudes into the sinus cavity or perforates the sinus floor during placement, it can lead to complications such as sinus infections, sinusitis, or even implant. Dentist Drilled Into My Sinus.
From drganent.com
Sinusitis from a tooth infection (WARNING GRAPHIC MEDICAL IMAGES Dentist Drilled Into My Sinus It’s best to visit an otolaryngologist (ear,. sinus perforation is a complication that can occur during dental procedures like extractions or implant placements. if the dentist suspects that the sinus has been perforated, he or she can ask the patient to blow their nose, and the. This is why a thorough understanding of sinus anatomy and proper treatment. Dentist Drilled Into My Sinus.
From mydentaladvocate.com
Dental Implant Perforated Sinus Symptoms) Symptoms) Dentist Drilled Into My Sinus if an implant protrudes into the sinus cavity or perforates the sinus floor during placement, it can lead to complications such as sinus infections, sinusitis, or even implant failure. if the dentist suspects that the sinus has been perforated, he or she can ask the patient to blow their nose, and the. This is why a thorough understanding. Dentist Drilled Into My Sinus.
From www.arlingtondentalma.com
Sinus Lift Dental Associates of Arlington Dentist Drilled Into My Sinus when you undergo a dental implant procedure, there is a risk that the oral surgeon may perforate your sinus cavity. when a sinus perforation occurs during a dental procedure, such as a tooth extraction when root is in sinus cavity , implant placement, or sinus lift. This is why a thorough understanding of sinus anatomy and proper treatment. Dentist Drilled Into My Sinus.
From decisionsindentistry.com
Maxillary Sinusitis of Endodontic Origin Decisions in Dentistry Dentist Drilled Into My Sinus It’s best to visit an otolaryngologist (ear,. if an implant protrudes into the sinus cavity or perforates the sinus floor during placement, it can lead to complications such as sinus infections, sinusitis, or even implant failure. sinus perforation is a complication that can occur during dental procedures like extractions or implant placements. when a sinus perforation occurs. Dentist Drilled Into My Sinus.
From reannaedgar.blogspot.com
11+ Symptoms Of Perforated Sinus After Dental Implant ReannaEdgar Dentist Drilled Into My Sinus if an implant protrudes into the sinus cavity or perforates the sinus floor during placement, it can lead to complications such as sinus infections, sinusitis, or even implant failure. when you undergo a dental implant procedure, there is a risk that the oral surgeon may perforate your sinus cavity. when a sinus perforation occurs during a dental. Dentist Drilled Into My Sinus.
From www.intechopen.com
Treatment Approaches for Odontogenic Cysts of the Maxillary Sinus Dentist Drilled Into My Sinus It’s best to visit an otolaryngologist (ear,. This is why a thorough understanding of sinus anatomy and proper treatment planning are vital for successful dental implant surgery in the posterior maxilla. sinus perforation is a complication that can occur during dental procedures like extractions or implant placements. if an implant protrudes into the sinus cavity or perforates the. Dentist Drilled Into My Sinus.
From desertdentalnogales.com
Maxillary sinus lift Desert Dental Nogales Dentist Drilled Into My Sinus It’s best to visit an otolaryngologist (ear,. when a sinus perforation occurs during a dental procedure, such as a tooth extraction when root is in sinus cavity , implant placement, or sinus lift. if the dentist suspects that the sinus has been perforated, he or she can ask the patient to blow their nose, and the. This is. Dentist Drilled Into My Sinus.
From animalia-life.club
Maxillary Sinus Perforation Treatment Dentist Drilled Into My Sinus when you undergo a dental implant procedure, there is a risk that the oral surgeon may perforate your sinus cavity. if the dentist suspects that the sinus has been perforated, he or she can ask the patient to blow their nose, and the. This is why a thorough understanding of sinus anatomy and proper treatment planning are vital. Dentist Drilled Into My Sinus.
From www.facialart.com
Upper Jaw Sinus Perforation Following a Tooth Extraction Upper Jaw Dentist Drilled Into My Sinus if the dentist suspects that the sinus has been perforated, he or she can ask the patient to blow their nose, and the. when a sinus perforation occurs during a dental procedure, such as a tooth extraction when root is in sinus cavity , implant placement, or sinus lift. when you undergo a dental implant procedure, there. Dentist Drilled Into My Sinus.
From www.omniadental.eu
Sinus lift surgery for Dental Implants Omnia Dental Clinic Dentist Drilled Into My Sinus when you undergo a dental implant procedure, there is a risk that the oral surgeon may perforate your sinus cavity. if the dentist suspects that the sinus has been perforated, he or she can ask the patient to blow their nose, and the. It’s best to visit an otolaryngologist (ear,. This is why a thorough understanding of sinus. Dentist Drilled Into My Sinus.
From nowthendigital.com
Dental Sinus Infection Symptoms Finally Revealed Now Then Digital Dentist Drilled Into My Sinus This is why a thorough understanding of sinus anatomy and proper treatment planning are vital for successful dental implant surgery in the posterior maxilla. It’s best to visit an otolaryngologist (ear,. if the dentist suspects that the sinus has been perforated, he or she can ask the patient to blow their nose, and the. when you undergo a. Dentist Drilled Into My Sinus.
From www.seattle-endo.com
Maxillary Sinusitis of Endodontic Origin (MSEO) Seattle Endodontics Dentist Drilled Into My Sinus when a sinus perforation occurs during a dental procedure, such as a tooth extraction when root is in sinus cavity , implant placement, or sinus lift. if an implant protrudes into the sinus cavity or perforates the sinus floor during placement, it can lead to complications such as sinus infections, sinusitis, or even implant failure. if the. Dentist Drilled Into My Sinus.
From www.atlasdental.ca
Indirect Sinus Lift Atlas Dental Toronto Dentist Drilled Into My Sinus when you undergo a dental implant procedure, there is a risk that the oral surgeon may perforate your sinus cavity. sinus perforation is a complication that can occur during dental procedures like extractions or implant placements. This is why a thorough understanding of sinus anatomy and proper treatment planning are vital for successful dental implant surgery in the. Dentist Drilled Into My Sinus.
From osadchyclinic.com.ua
Odontogenic maxillary sinusitis causes, symptoms, diagnosis, and treatment Dentist Drilled Into My Sinus if an implant protrudes into the sinus cavity or perforates the sinus floor during placement, it can lead to complications such as sinus infections, sinusitis, or even implant failure. when a sinus perforation occurs during a dental procedure, such as a tooth extraction when root is in sinus cavity , implant placement, or sinus lift. when you. Dentist Drilled Into My Sinus.
From www.tooth-life.com
Sinus Tooth Pain Understanding the TwoWay Relationship Dentist Drilled Into My Sinus when you undergo a dental implant procedure, there is a risk that the oral surgeon may perforate your sinus cavity. This is why a thorough understanding of sinus anatomy and proper treatment planning are vital for successful dental implant surgery in the posterior maxilla. if the dentist suspects that the sinus has been perforated, he or she can. Dentist Drilled Into My Sinus.
From adamsimagesbykristi.blogspot.com
sinus problems after dental treatment Differentiating Record Gallery Dentist Drilled Into My Sinus when you undergo a dental implant procedure, there is a risk that the oral surgeon may perforate your sinus cavity. This is why a thorough understanding of sinus anatomy and proper treatment planning are vital for successful dental implant surgery in the posterior maxilla. if an implant protrudes into the sinus cavity or perforates the sinus floor during. Dentist Drilled Into My Sinus.
From sandiegoinvisaligndentist.org
What is a sinus lift dental implants Dental News Network Dentist Drilled Into My Sinus sinus perforation is a complication that can occur during dental procedures like extractions or implant placements. when a sinus perforation occurs during a dental procedure, such as a tooth extraction when root is in sinus cavity , implant placement, or sinus lift. if an implant protrudes into the sinus cavity or perforates the sinus floor during placement,. Dentist Drilled Into My Sinus.
From www.jacksonavedental.com
Sinus Exposure After Tooth Extraction 1311 Jackson Ave Dental Dentist Drilled Into My Sinus This is why a thorough understanding of sinus anatomy and proper treatment planning are vital for successful dental implant surgery in the posterior maxilla. sinus perforation is a complication that can occur during dental procedures like extractions or implant placements. if an implant protrudes into the sinus cavity or perforates the sinus floor during placement, it can lead. Dentist Drilled Into My Sinus.
From radiologypics.com
Odontogenic Sinusitis Dentist Drilled Into My Sinus if an implant protrudes into the sinus cavity or perforates the sinus floor during placement, it can lead to complications such as sinus infections, sinusitis, or even implant failure. This is why a thorough understanding of sinus anatomy and proper treatment planning are vital for successful dental implant surgery in the posterior maxilla. when a sinus perforation occurs. Dentist Drilled Into My Sinus.
From www.youtube.com
Odontogenic Sinusitis Sinus Surgery First? YouTube Dentist Drilled Into My Sinus when a sinus perforation occurs during a dental procedure, such as a tooth extraction when root is in sinus cavity , implant placement, or sinus lift. if an implant protrudes into the sinus cavity or perforates the sinus floor during placement, it can lead to complications such as sinus infections, sinusitis, or even implant failure. It’s best to. Dentist Drilled Into My Sinus.