Ra Thrombus Medical Abbreviation . Floating right heart thrombi (rht) probably represent an extreme medical emergency in the context of acute pulmonary embolism (ape) [1]. Thrombosis* right atrial thrombi is a serious complication of central venous cannulation although incidence is less as compared to left atrial. Right atrial thrombus is an underdiagnosed condition with a high mortality rate. Pulmonary embolism (pe) due to right atrial (ra) thrombus is gaining increasing recognition as a common clinical problem. The best management modality has not yet been. The best management modality has not yet been established. The prevalence of rht in the setting of pe is.
from www.dramedical.com
The best management modality has not yet been. The best management modality has not yet been established. Floating right heart thrombi (rht) probably represent an extreme medical emergency in the context of acute pulmonary embolism (ape) [1]. Right atrial thrombus is an underdiagnosed condition with a high mortality rate. Pulmonary embolism (pe) due to right atrial (ra) thrombus is gaining increasing recognition as a common clinical problem. The prevalence of rht in the setting of pe is. Thrombosis* right atrial thrombi is a serious complication of central venous cannulation although incidence is less as compared to left atrial.
Deep Vein Thrombosis Treatment in Israel D.R.A Medical
Ra Thrombus Medical Abbreviation Thrombosis* right atrial thrombi is a serious complication of central venous cannulation although incidence is less as compared to left atrial. Floating right heart thrombi (rht) probably represent an extreme medical emergency in the context of acute pulmonary embolism (ape) [1]. Pulmonary embolism (pe) due to right atrial (ra) thrombus is gaining increasing recognition as a common clinical problem. Thrombosis* right atrial thrombi is a serious complication of central venous cannulation although incidence is less as compared to left atrial. The prevalence of rht in the setting of pe is. The best management modality has not yet been established. The best management modality has not yet been. Right atrial thrombus is an underdiagnosed condition with a high mortality rate.
From www.bigstockphoto.com
Thrombus Types, Image & Photo (Free Trial) Bigstock Ra Thrombus Medical Abbreviation The prevalence of rht in the setting of pe is. Floating right heart thrombi (rht) probably represent an extreme medical emergency in the context of acute pulmonary embolism (ape) [1]. Thrombosis* right atrial thrombi is a serious complication of central venous cannulation although incidence is less as compared to left atrial. The best management modality has not yet been established.. Ra Thrombus Medical Abbreviation.
From heart.thecommonvein.net
061H 71M RA thrombus saccular anurysms Heart Ra Thrombus Medical Abbreviation The best management modality has not yet been. Floating right heart thrombi (rht) probably represent an extreme medical emergency in the context of acute pulmonary embolism (ape) [1]. Pulmonary embolism (pe) due to right atrial (ra) thrombus is gaining increasing recognition as a common clinical problem. The best management modality has not yet been established. The prevalence of rht in. Ra Thrombus Medical Abbreviation.
From www.scribd.com
Terminology and Medical Abbreviation PDF Echocardiography Thrombus Ra Thrombus Medical Abbreviation The best management modality has not yet been. Right atrial thrombus is an underdiagnosed condition with a high mortality rate. Pulmonary embolism (pe) due to right atrial (ra) thrombus is gaining increasing recognition as a common clinical problem. Floating right heart thrombi (rht) probably represent an extreme medical emergency in the context of acute pulmonary embolism (ape) [1]. The best. Ra Thrombus Medical Abbreviation.
From loehspcna.blob.core.windows.net
Ra Acronym Medical at Flora Ledesma blog Ra Thrombus Medical Abbreviation The prevalence of rht in the setting of pe is. Thrombosis* right atrial thrombi is a serious complication of central venous cannulation although incidence is less as compared to left atrial. The best management modality has not yet been established. Pulmonary embolism (pe) due to right atrial (ra) thrombus is gaining increasing recognition as a common clinical problem. Floating right. Ra Thrombus Medical Abbreviation.
From srkewspotumksjq.blogspot.com
Ra Medical Abbreviation, How To Code Rheumatoid Arthritis Medical Ra Thrombus Medical Abbreviation The best management modality has not yet been established. Right atrial thrombus is an underdiagnosed condition with a high mortality rate. Thrombosis* right atrial thrombi is a serious complication of central venous cannulation although incidence is less as compared to left atrial. Pulmonary embolism (pe) due to right atrial (ra) thrombus is gaining increasing recognition as a common clinical problem.. Ra Thrombus Medical Abbreviation.
From www.pinterest.com
Mnemonic for Thrombosis Medical school studying, Medical mnemonics Ra Thrombus Medical Abbreviation The best management modality has not yet been established. Floating right heart thrombi (rht) probably represent an extreme medical emergency in the context of acute pulmonary embolism (ape) [1]. The prevalence of rht in the setting of pe is. Pulmonary embolism (pe) due to right atrial (ra) thrombus is gaining increasing recognition as a common clinical problem. Right atrial thrombus. Ra Thrombus Medical Abbreviation.
From www.researchgate.net
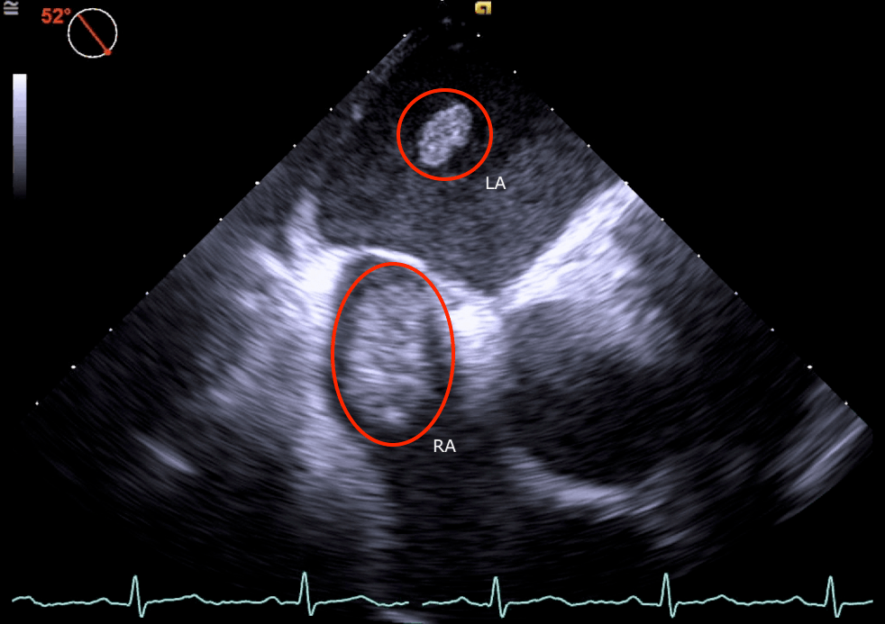
Right atrial thrombus. Transesophageal longaxis view. RA = right Ra Thrombus Medical Abbreviation Pulmonary embolism (pe) due to right atrial (ra) thrombus is gaining increasing recognition as a common clinical problem. The best management modality has not yet been. Floating right heart thrombi (rht) probably represent an extreme medical emergency in the context of acute pulmonary embolism (ape) [1]. Thrombosis* right atrial thrombi is a serious complication of central venous cannulation although incidence. Ra Thrombus Medical Abbreviation.
From www.ezmedlearning.com
List of Common Medical Abbreviations, Acronyms, Terms Nursing, NCLEX Ra Thrombus Medical Abbreviation Pulmonary embolism (pe) due to right atrial (ra) thrombus is gaining increasing recognition as a common clinical problem. Floating right heart thrombi (rht) probably represent an extreme medical emergency in the context of acute pulmonary embolism (ape) [1]. Thrombosis* right atrial thrombi is a serious complication of central venous cannulation although incidence is less as compared to left atrial. The. Ra Thrombus Medical Abbreviation.
From www.wordscoach.com
Common Medical Abbreviations Word Coach Ra Thrombus Medical Abbreviation Pulmonary embolism (pe) due to right atrial (ra) thrombus is gaining increasing recognition as a common clinical problem. The prevalence of rht in the setting of pe is. Floating right heart thrombi (rht) probably represent an extreme medical emergency in the context of acute pulmonary embolism (ape) [1]. The best management modality has not yet been established. Thrombosis* right atrial. Ra Thrombus Medical Abbreviation.
From www.consultant360.com
Caught in the Act Thrombus Straddling a Patent Foramen Ovale Ra Thrombus Medical Abbreviation Right atrial thrombus is an underdiagnosed condition with a high mortality rate. Floating right heart thrombi (rht) probably represent an extreme medical emergency in the context of acute pulmonary embolism (ape) [1]. The best management modality has not yet been. Pulmonary embolism (pe) due to right atrial (ra) thrombus is gaining increasing recognition as a common clinical problem. The prevalence. Ra Thrombus Medical Abbreviation.
From www.consultant360.com
Caught in the Act Thrombus Straddling a Patent Foramen Ovale Ra Thrombus Medical Abbreviation Floating right heart thrombi (rht) probably represent an extreme medical emergency in the context of acute pulmonary embolism (ape) [1]. Pulmonary embolism (pe) due to right atrial (ra) thrombus is gaining increasing recognition as a common clinical problem. Right atrial thrombus is an underdiagnosed condition with a high mortality rate. The prevalence of rht in the setting of pe is.. Ra Thrombus Medical Abbreviation.
From study.com
What Is Thrombosis? Definition, Symptoms & Treatment Lesson Ra Thrombus Medical Abbreviation Floating right heart thrombi (rht) probably represent an extreme medical emergency in the context of acute pulmonary embolism (ape) [1]. Pulmonary embolism (pe) due to right atrial (ra) thrombus is gaining increasing recognition as a common clinical problem. The prevalence of rht in the setting of pe is. Thrombosis* right atrial thrombi is a serious complication of central venous cannulation. Ra Thrombus Medical Abbreviation.
From heart.thecommonvein.net
061H 71M RA thrombus saccular anurysms Heart Ra Thrombus Medical Abbreviation The best management modality has not yet been established. The prevalence of rht in the setting of pe is. Right atrial thrombus is an underdiagnosed condition with a high mortality rate. Thrombosis* right atrial thrombi is a serious complication of central venous cannulation although incidence is less as compared to left atrial. Floating right heart thrombi (rht) probably represent an. Ra Thrombus Medical Abbreviation.
From grammarvocab.com
500+ List Of Common Medical Abbreviations GrammarVocab Ra Thrombus Medical Abbreviation The prevalence of rht in the setting of pe is. Right atrial thrombus is an underdiagnosed condition with a high mortality rate. Pulmonary embolism (pe) due to right atrial (ra) thrombus is gaining increasing recognition as a common clinical problem. The best management modality has not yet been. The best management modality has not yet been established. Thrombosis* right atrial. Ra Thrombus Medical Abbreviation.
From www.researchgate.net
Occlusive thrombus in the right IJ; back pressure in the... Download Ra Thrombus Medical Abbreviation The best management modality has not yet been established. Floating right heart thrombi (rht) probably represent an extreme medical emergency in the context of acute pulmonary embolism (ape) [1]. The prevalence of rht in the setting of pe is. Thrombosis* right atrial thrombi is a serious complication of central venous cannulation although incidence is less as compared to left atrial.. Ra Thrombus Medical Abbreviation.
From heart.thecommonvein.net
061H 71M RA thrombus saccular anurysms Heart Ra Thrombus Medical Abbreviation Pulmonary embolism (pe) due to right atrial (ra) thrombus is gaining increasing recognition as a common clinical problem. Thrombosis* right atrial thrombi is a serious complication of central venous cannulation although incidence is less as compared to left atrial. Floating right heart thrombi (rht) probably represent an extreme medical emergency in the context of acute pulmonary embolism (ape) [1]. Right. Ra Thrombus Medical Abbreviation.
From exonrblar.blob.core.windows.net
Ra Medical Abbreviation Trauma at William Ramirez blog Ra Thrombus Medical Abbreviation Floating right heart thrombi (rht) probably represent an extreme medical emergency in the context of acute pulmonary embolism (ape) [1]. The prevalence of rht in the setting of pe is. The best management modality has not yet been established. Pulmonary embolism (pe) due to right atrial (ra) thrombus is gaining increasing recognition as a common clinical problem. Right atrial thrombus. Ra Thrombus Medical Abbreviation.
From heart.thecommonvein.net
061H 71M RA thrombus saccular anurysms Heart Ra Thrombus Medical Abbreviation Thrombosis* right atrial thrombi is a serious complication of central venous cannulation although incidence is less as compared to left atrial. The best management modality has not yet been. The prevalence of rht in the setting of pe is. Floating right heart thrombi (rht) probably represent an extreme medical emergency in the context of acute pulmonary embolism (ape) [1]. The. Ra Thrombus Medical Abbreviation.
From nevadacityfreepress.com
List of Medical Abbreviations (A to Z) EngDic (2022) Ra Thrombus Medical Abbreviation The best management modality has not yet been. Pulmonary embolism (pe) due to right atrial (ra) thrombus is gaining increasing recognition as a common clinical problem. Right atrial thrombus is an underdiagnosed condition with a high mortality rate. The best management modality has not yet been established. Thrombosis* right atrial thrombi is a serious complication of central venous cannulation although. Ra Thrombus Medical Abbreviation.
From exonrblar.blob.core.windows.net
Ra Medical Abbreviation Trauma at William Ramirez blog Ra Thrombus Medical Abbreviation Thrombosis* right atrial thrombi is a serious complication of central venous cannulation although incidence is less as compared to left atrial. The best management modality has not yet been established. The best management modality has not yet been. The prevalence of rht in the setting of pe is. Floating right heart thrombi (rht) probably represent an extreme medical emergency in. Ra Thrombus Medical Abbreviation.
From www.ahajournals.org
Thrombus Structural Composition in Cardiovascular Disease Ra Thrombus Medical Abbreviation The best management modality has not yet been. The best management modality has not yet been established. Right atrial thrombus is an underdiagnosed condition with a high mortality rate. Thrombosis* right atrial thrombi is a serious complication of central venous cannulation although incidence is less as compared to left atrial. The prevalence of rht in the setting of pe is.. Ra Thrombus Medical Abbreviation.
From www.researchgate.net
Abbreviations DVT = deep vein thrombosis; IVC = inferior vena cava Ra Thrombus Medical Abbreviation Pulmonary embolism (pe) due to right atrial (ra) thrombus is gaining increasing recognition as a common clinical problem. Thrombosis* right atrial thrombi is a serious complication of central venous cannulation although incidence is less as compared to left atrial. The best management modality has not yet been. The prevalence of rht in the setting of pe is. Floating right heart. Ra Thrombus Medical Abbreviation.
From www.dramedical.com
Deep Vein Thrombosis Treatment in Israel D.R.A Medical Ra Thrombus Medical Abbreviation The prevalence of rht in the setting of pe is. The best management modality has not yet been established. Floating right heart thrombi (rht) probably represent an extreme medical emergency in the context of acute pulmonary embolism (ape) [1]. Pulmonary embolism (pe) due to right atrial (ra) thrombus is gaining increasing recognition as a common clinical problem. The best management. Ra Thrombus Medical Abbreviation.
From www.thejh.org
J Hematol Ra Thrombus Medical Abbreviation Thrombosis* right atrial thrombi is a serious complication of central venous cannulation although incidence is less as compared to left atrial. Right atrial thrombus is an underdiagnosed condition with a high mortality rate. The best management modality has not yet been established. Floating right heart thrombi (rht) probably represent an extreme medical emergency in the context of acute pulmonary embolism. Ra Thrombus Medical Abbreviation.
From slideplayer.com
Terminology and Abbreviations ppt download Ra Thrombus Medical Abbreviation Pulmonary embolism (pe) due to right atrial (ra) thrombus is gaining increasing recognition as a common clinical problem. Floating right heart thrombi (rht) probably represent an extreme medical emergency in the context of acute pulmonary embolism (ape) [1]. The best management modality has not yet been established. The best management modality has not yet been. The prevalence of rht in. Ra Thrombus Medical Abbreviation.
From dxomtchtv.blob.core.windows.net
Ra Factor Medical Abbreviation at James Goodrich blog Ra Thrombus Medical Abbreviation Right atrial thrombus is an underdiagnosed condition with a high mortality rate. Pulmonary embolism (pe) due to right atrial (ra) thrombus is gaining increasing recognition as a common clinical problem. The prevalence of rht in the setting of pe is. Thrombosis* right atrial thrombi is a serious complication of central venous cannulation although incidence is less as compared to left. Ra Thrombus Medical Abbreviation.
From www.researchgate.net
Transthoracic echocardiogram (TTE) showing thrombus in the right Ra Thrombus Medical Abbreviation The prevalence of rht in the setting of pe is. Floating right heart thrombi (rht) probably represent an extreme medical emergency in the context of acute pulmonary embolism (ape) [1]. The best management modality has not yet been. The best management modality has not yet been established. Pulmonary embolism (pe) due to right atrial (ra) thrombus is gaining increasing recognition. Ra Thrombus Medical Abbreviation.
From exyjibrez.blob.core.windows.net
Spo2 On Ra Medical Abbreviation at Gloria Farmer blog Ra Thrombus Medical Abbreviation Thrombosis* right atrial thrombi is a serious complication of central venous cannulation although incidence is less as compared to left atrial. Floating right heart thrombi (rht) probably represent an extreme medical emergency in the context of acute pulmonary embolism (ape) [1]. The best management modality has not yet been established. The prevalence of rht in the setting of pe is.. Ra Thrombus Medical Abbreviation.
From dxomtchtv.blob.core.windows.net
Ra Factor Medical Abbreviation at James Goodrich blog Ra Thrombus Medical Abbreviation Thrombosis* right atrial thrombi is a serious complication of central venous cannulation although incidence is less as compared to left atrial. Pulmonary embolism (pe) due to right atrial (ra) thrombus is gaining increasing recognition as a common clinical problem. The best management modality has not yet been established. Right atrial thrombus is an underdiagnosed condition with a high mortality rate.. Ra Thrombus Medical Abbreviation.
From www.dreamstime.com
RA Use by Doctors Medical Abbreviation Meaning Rheumatoid Arthritis Ra Thrombus Medical Abbreviation Floating right heart thrombi (rht) probably represent an extreme medical emergency in the context of acute pulmonary embolism (ape) [1]. The best management modality has not yet been. Right atrial thrombus is an underdiagnosed condition with a high mortality rate. The best management modality has not yet been established. Pulmonary embolism (pe) due to right atrial (ra) thrombus is gaining. Ra Thrombus Medical Abbreviation.
From www.shutterstock.com
Thrombus Formation Stages Medical Anatomy Illustration Stock Ra Thrombus Medical Abbreviation The best management modality has not yet been. Right atrial thrombus is an underdiagnosed condition with a high mortality rate. Thrombosis* right atrial thrombi is a serious complication of central venous cannulation although incidence is less as compared to left atrial. The prevalence of rht in the setting of pe is. Floating right heart thrombi (rht) probably represent an extreme. Ra Thrombus Medical Abbreviation.
From www.peertechzpublications.org
Echocardiogram showing RA thrombus from IVC into RA across Tricuspid Valve. Ra Thrombus Medical Abbreviation The best management modality has not yet been established. Thrombosis* right atrial thrombi is a serious complication of central venous cannulation although incidence is less as compared to left atrial. Pulmonary embolism (pe) due to right atrial (ra) thrombus is gaining increasing recognition as a common clinical problem. The best management modality has not yet been. Floating right heart thrombi. Ra Thrombus Medical Abbreviation.
From heart.thecommonvein.net
061H 71M RA thrombus saccular anurysms Heart Ra Thrombus Medical Abbreviation The best management modality has not yet been established. Pulmonary embolism (pe) due to right atrial (ra) thrombus is gaining increasing recognition as a common clinical problem. The prevalence of rht in the setting of pe is. The best management modality has not yet been. Floating right heart thrombi (rht) probably represent an extreme medical emergency in the context of. Ra Thrombus Medical Abbreviation.
From www.youtube.com
Right Atrial Thrombus YouTube Ra Thrombus Medical Abbreviation The prevalence of rht in the setting of pe is. The best management modality has not yet been established. Thrombosis* right atrial thrombi is a serious complication of central venous cannulation although incidence is less as compared to left atrial. Pulmonary embolism (pe) due to right atrial (ra) thrombus is gaining increasing recognition as a common clinical problem. Right atrial. Ra Thrombus Medical Abbreviation.
From heart.thecommonvein.net
061H 71M RA thrombus saccular anurysms Heart Ra Thrombus Medical Abbreviation The best management modality has not yet been established. Floating right heart thrombi (rht) probably represent an extreme medical emergency in the context of acute pulmonary embolism (ape) [1]. The prevalence of rht in the setting of pe is. Pulmonary embolism (pe) due to right atrial (ra) thrombus is gaining increasing recognition as a common clinical problem. Thrombosis* right atrial. Ra Thrombus Medical Abbreviation.