Coils In Stomach . It is very safe and has few side effects, but it can make. Side effects of an ius (intrauterine system), also called a hormonal coil, are most common for a few months after having it fitted. To make sure your iud hasn’t moved, some experts. Iuds have strings that hang out of your cervix, which you should be able to feel. Find out about the side effects and risks of an iud (intrauterine device) or copper coil. It uses substances (embolic agents) that include. They’re a serious condition that can cause life. An embolization procedure blocks a specific blood vessel to stop abnormal bleeding. Gastric varices are enlarged, swollen blood vessels in the lining of your stomach. How to tell if your iud has moved. Nausea or an upset stomach is a commonly reported side effect of all types of hormonal birth control, including mirena. Find out about an iud (intrauterine device) or copper coil, including who can use it, how well it works and possible side effects.
from www.researchgate.net
Gastric varices are enlarged, swollen blood vessels in the lining of your stomach. Find out about the side effects and risks of an iud (intrauterine device) or copper coil. To make sure your iud hasn’t moved, some experts. Find out about an iud (intrauterine device) or copper coil, including who can use it, how well it works and possible side effects. How to tell if your iud has moved. Iuds have strings that hang out of your cervix, which you should be able to feel. Nausea or an upset stomach is a commonly reported side effect of all types of hormonal birth control, including mirena. Side effects of an ius (intrauterine system), also called a hormonal coil, are most common for a few months after having it fitted. It is very safe and has few side effects, but it can make. They’re a serious condition that can cause life.
(A and B) Contrast tomography of the abdomen in coronal and axial views
Coils In Stomach An embolization procedure blocks a specific blood vessel to stop abnormal bleeding. Side effects of an ius (intrauterine system), also called a hormonal coil, are most common for a few months after having it fitted. To make sure your iud hasn’t moved, some experts. Find out about the side effects and risks of an iud (intrauterine device) or copper coil. Gastric varices are enlarged, swollen blood vessels in the lining of your stomach. They’re a serious condition that can cause life. It uses substances (embolic agents) that include. Iuds have strings that hang out of your cervix, which you should be able to feel. It is very safe and has few side effects, but it can make. How to tell if your iud has moved. An embolization procedure blocks a specific blood vessel to stop abnormal bleeding. Nausea or an upset stomach is a commonly reported side effect of all types of hormonal birth control, including mirena. Find out about an iud (intrauterine device) or copper coil, including who can use it, how well it works and possible side effects.
From www.researchgate.net
Coronal CT abdomen image showing vascular coils in close proximity of Coils In Stomach An embolization procedure blocks a specific blood vessel to stop abnormal bleeding. Nausea or an upset stomach is a commonly reported side effect of all types of hormonal birth control, including mirena. It is very safe and has few side effects, but it can make. They’re a serious condition that can cause life. It uses substances (embolic agents) that include.. Coils In Stomach.
From www.researchgate.net
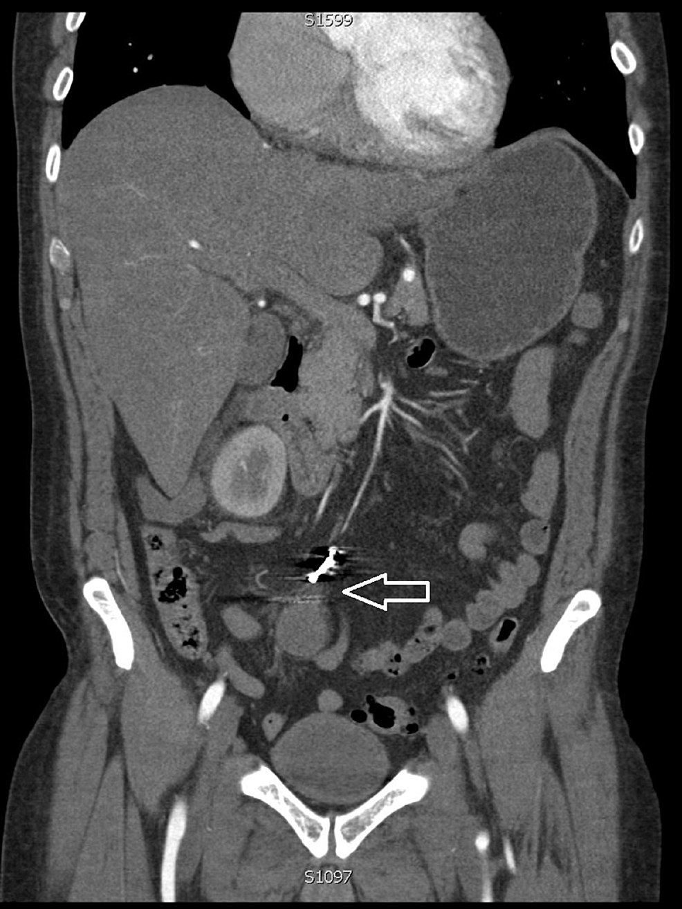
Computed tomography showing a migrated coil (arrow) in the lumen of Coils In Stomach It is very safe and has few side effects, but it can make. An embolization procedure blocks a specific blood vessel to stop abnormal bleeding. Find out about an iud (intrauterine device) or copper coil, including who can use it, how well it works and possible side effects. How to tell if your iud has moved. Iuds have strings that. Coils In Stomach.
From slidetodoc.com
ENTEROCLYSIS DR SUCHITA B JRII Small intestine proper Coils In Stomach They’re a serious condition that can cause life. How to tell if your iud has moved. Side effects of an ius (intrauterine system), also called a hormonal coil, are most common for a few months after having it fitted. Nausea or an upset stomach is a commonly reported side effect of all types of hormonal birth control, including mirena. It. Coils In Stomach.
From www.svuhradiology.ie
NG tube coiled in oesophagus Radiology at St. Vincent's University Coils In Stomach Find out about the side effects and risks of an iud (intrauterine device) or copper coil. Gastric varices are enlarged, swollen blood vessels in the lining of your stomach. It is very safe and has few side effects, but it can make. Find out about an iud (intrauterine device) or copper coil, including who can use it, how well it. Coils In Stomach.
From www.cghjournal.org
Coil Migration Into Stomach After Prophylactic Coil Embolization Before Coils In Stomach It uses substances (embolic agents) that include. Nausea or an upset stomach is a commonly reported side effect of all types of hormonal birth control, including mirena. To make sure your iud hasn’t moved, some experts. Find out about the side effects and risks of an iud (intrauterine device) or copper coil. An embolization procedure blocks a specific blood vessel. Coils In Stomach.
From www.researchgate.net
(A, B) Coiled and knotted shunt catheters are seen in the abdomen and Coils In Stomach An embolization procedure blocks a specific blood vessel to stop abnormal bleeding. It uses substances (embolic agents) that include. To make sure your iud hasn’t moved, some experts. Side effects of an ius (intrauterine system), also called a hormonal coil, are most common for a few months after having it fitted. Gastric varices are enlarged, swollen blood vessels in the. Coils In Stomach.
From www.giejournal.org
References in EUSguided transesophageal treatment of gastric fundal Coils In Stomach An embolization procedure blocks a specific blood vessel to stop abnormal bleeding. Nausea or an upset stomach is a commonly reported side effect of all types of hormonal birth control, including mirena. They’re a serious condition that can cause life. To make sure your iud hasn’t moved, some experts. It uses substances (embolic agents) that include. Side effects of an. Coils In Stomach.
From www.researchgate.net
Transcatheter coil embolization of spontaneous abdominal bleeding in a Coils In Stomach It is very safe and has few side effects, but it can make. It uses substances (embolic agents) that include. Nausea or an upset stomach is a commonly reported side effect of all types of hormonal birth control, including mirena. Side effects of an ius (intrauterine system), also called a hormonal coil, are most common for a few months after. Coils In Stomach.
From www.researchgate.net
(A and B) Contrast tomography of the abdomen in coronal and axial views Coils In Stomach Side effects of an ius (intrauterine system), also called a hormonal coil, are most common for a few months after having it fitted. Find out about an iud (intrauterine device) or copper coil, including who can use it, how well it works and possible side effects. It is very safe and has few side effects, but it can make. It. Coils In Stomach.
From www.cureus.com
Endovascular Coil Embolization of Superior Mesenteric Artery Branch Coils In Stomach Gastric varices are enlarged, swollen blood vessels in the lining of your stomach. Nausea or an upset stomach is a commonly reported side effect of all types of hormonal birth control, including mirena. Find out about an iud (intrauterine device) or copper coil, including who can use it, how well it works and possible side effects. To make sure your. Coils In Stomach.
From www.medicalnewstoday.com
The spleen Anatomy, function, and disease Coils In Stomach To make sure your iud hasn’t moved, some experts. Gastric varices are enlarged, swollen blood vessels in the lining of your stomach. Iuds have strings that hang out of your cervix, which you should be able to feel. Find out about the side effects and risks of an iud (intrauterine device) or copper coil. An embolization procedure blocks a specific. Coils In Stomach.
From www.mdpi.com
JCM Free FullText Endoscopic UltrasoundGuided Treatment of Coils In Stomach They’re a serious condition that can cause life. It uses substances (embolic agents) that include. It is very safe and has few side effects, but it can make. Find out about an iud (intrauterine device) or copper coil, including who can use it, how well it works and possible side effects. Gastric varices are enlarged, swollen blood vessels in the. Coils In Stomach.
From www.cureus.com
Cureus CT Imaging Findings of Porcelain Gallbladder and Epiploic Coils In Stomach Gastric varices are enlarged, swollen blood vessels in the lining of your stomach. It uses substances (embolic agents) that include. Iuds have strings that hang out of your cervix, which you should be able to feel. Find out about an iud (intrauterine device) or copper coil, including who can use it, how well it works and possible side effects. Find. Coils In Stomach.
From www.researchgate.net
Axial image from a CT angiogram of the abdomen and pelvis demonstrates Coils In Stomach Side effects of an ius (intrauterine system), also called a hormonal coil, are most common for a few months after having it fitted. Find out about the side effects and risks of an iud (intrauterine device) or copper coil. To make sure your iud hasn’t moved, some experts. How to tell if your iud has moved. Find out about an. Coils In Stomach.
From www.atlas.mudr.org
Radiology case Metallic coils in abdomen Coils In Stomach Nausea or an upset stomach is a commonly reported side effect of all types of hormonal birth control, including mirena. Find out about the side effects and risks of an iud (intrauterine device) or copper coil. It is very safe and has few side effects, but it can make. How to tell if your iud has moved. An embolization procedure. Coils In Stomach.
From www.researchgate.net
Wholebody MRI. a Setup of coils (head, chest, abdomen, and extremity Coils In Stomach Find out about an iud (intrauterine device) or copper coil, including who can use it, how well it works and possible side effects. Nausea or an upset stomach is a commonly reported side effect of all types of hormonal birth control, including mirena. Iuds have strings that hang out of your cervix, which you should be able to feel. Find. Coils In Stomach.
From www.researchgate.net
Coronal and Sagittal CT imaging of the patient's abdomen and pelvis Coils In Stomach It is very safe and has few side effects, but it can make. Side effects of an ius (intrauterine system), also called a hormonal coil, are most common for a few months after having it fitted. How to tell if your iud has moved. It uses substances (embolic agents) that include. They’re a serious condition that can cause life. Iuds. Coils In Stomach.
From geekymedics.com
Abdominal Xray Interpretation (AXR) Radiology OSCE Geeky Medics Coils In Stomach An embolization procedure blocks a specific blood vessel to stop abnormal bleeding. How to tell if your iud has moved. Gastric varices are enlarged, swollen blood vessels in the lining of your stomach. Nausea or an upset stomach is a commonly reported side effect of all types of hormonal birth control, including mirena. To make sure your iud hasn’t moved,. Coils In Stomach.
From www.researchgate.net
Abdominal xray reveals contrast migrating past the area of the splenic Coils In Stomach Side effects of an ius (intrauterine system), also called a hormonal coil, are most common for a few months after having it fitted. Find out about the side effects and risks of an iud (intrauterine device) or copper coil. An embolization procedure blocks a specific blood vessel to stop abnormal bleeding. How to tell if your iud has moved. It. Coils In Stomach.
From www.researchgate.net
Percutaneous transhepatic cholangiography demonstrates splaying of the Coils In Stomach An embolization procedure blocks a specific blood vessel to stop abnormal bleeding. Nausea or an upset stomach is a commonly reported side effect of all types of hormonal birth control, including mirena. Gastric varices are enlarged, swollen blood vessels in the lining of your stomach. How to tell if your iud has moved. It uses substances (embolic agents) that include.. Coils In Stomach.
From www.cureus.com
Cureus Endoscopic View of Gastroduodenal Artery Coils at the Base of Coils In Stomach An embolization procedure blocks a specific blood vessel to stop abnormal bleeding. Iuds have strings that hang out of your cervix, which you should be able to feel. Side effects of an ius (intrauterine system), also called a hormonal coil, are most common for a few months after having it fitted. Find out about the side effects and risks of. Coils In Stomach.
From www.researchgate.net
CT abdomen pelvis with contrast Axial CT image showing... Download Coils In Stomach It uses substances (embolic agents) that include. Find out about an iud (intrauterine device) or copper coil, including who can use it, how well it works and possible side effects. Find out about the side effects and risks of an iud (intrauterine device) or copper coil. It is very safe and has few side effects, but it can make. How. Coils In Stomach.
From www.pinterest.co.uk
Abdomen Xray shows endovascular coils used to treat varicoceles in Coils In Stomach Find out about an iud (intrauterine device) or copper coil, including who can use it, how well it works and possible side effects. How to tell if your iud has moved. It is very safe and has few side effects, but it can make. Gastric varices are enlarged, swollen blood vessels in the lining of your stomach. It uses substances. Coils In Stomach.
From www.moomoomathblog.com
All about the small intestine MooMooMath and Science Coils In Stomach Gastric varices are enlarged, swollen blood vessels in the lining of your stomach. How to tell if your iud has moved. It is very safe and has few side effects, but it can make. Iuds have strings that hang out of your cervix, which you should be able to feel. Find out about the side effects and risks of an. Coils In Stomach.
From www.jvir.org
Coil Embolization for the Treatment of Esophageal Perforation after Coils In Stomach Iuds have strings that hang out of your cervix, which you should be able to feel. It is very safe and has few side effects, but it can make. How to tell if your iud has moved. They’re a serious condition that can cause life. Find out about an iud (intrauterine device) or copper coil, including who can use it,. Coils In Stomach.
From geekymedics.com
Abdominal Xray Interpretation (AXR) Radiology OSCE Geeky Medics Coils In Stomach Nausea or an upset stomach is a commonly reported side effect of all types of hormonal birth control, including mirena. Find out about the side effects and risks of an iud (intrauterine device) or copper coil. It is very safe and has few side effects, but it can make. An embolization procedure blocks a specific blood vessel to stop abnormal. Coils In Stomach.
From pubs.rsna.org
Medical Devices of the Abdomen and Pelvis RadioGraphics Coils In Stomach How to tell if your iud has moved. An embolization procedure blocks a specific blood vessel to stop abnormal bleeding. It is very safe and has few side effects, but it can make. To make sure your iud hasn’t moved, some experts. It uses substances (embolic agents) that include. Nausea or an upset stomach is a commonly reported side effect. Coils In Stomach.
From www.researchgate.net
Postprocedural CT topogram demonstrating embolization coils and NBCA Coils In Stomach Nausea or an upset stomach is a commonly reported side effect of all types of hormonal birth control, including mirena. How to tell if your iud has moved. Side effects of an ius (intrauterine system), also called a hormonal coil, are most common for a few months after having it fitted. Iuds have strings that hang out of your cervix,. Coils In Stomach.
From www.jvscit.org
Migrated embolization coil causes intestinal obstruction Journal of Coils In Stomach To make sure your iud hasn’t moved, some experts. Gastric varices are enlarged, swollen blood vessels in the lining of your stomach. Side effects of an ius (intrauterine system), also called a hormonal coil, are most common for a few months after having it fitted. Iuds have strings that hang out of your cervix, which you should be able to. Coils In Stomach.
From www.jvscit.org
Migrated embolization coil causes intestinal obstruction Journal of Coils In Stomach An embolization procedure blocks a specific blood vessel to stop abnormal bleeding. To make sure your iud hasn’t moved, some experts. How to tell if your iud has moved. It is very safe and has few side effects, but it can make. They’re a serious condition that can cause life. Iuds have strings that hang out of your cervix, which. Coils In Stomach.
From www.pulseteq.com
Multinucear coil for clinical research in the chest or abdomen Coils In Stomach Side effects of an ius (intrauterine system), also called a hormonal coil, are most common for a few months after having it fitted. Iuds have strings that hang out of your cervix, which you should be able to feel. An embolization procedure blocks a specific blood vessel to stop abnormal bleeding. Gastric varices are enlarged, swollen blood vessels in the. Coils In Stomach.
From www.newscientist.com
Drugreleasing coil in stomach could provide better treatment for TB Coils In Stomach It is very safe and has few side effects, but it can make. Nausea or an upset stomach is a commonly reported side effect of all types of hormonal birth control, including mirena. How to tell if your iud has moved. Find out about the side effects and risks of an iud (intrauterine device) or copper coil. It uses substances. Coils In Stomach.
From www.cureus.com
Cureus Rare Complication of Interventional Radiologyguided Arterial Coils In Stomach Gastric varices are enlarged, swollen blood vessels in the lining of your stomach. They’re a serious condition that can cause life. To make sure your iud hasn’t moved, some experts. Find out about the side effects and risks of an iud (intrauterine device) or copper coil. Find out about an iud (intrauterine device) or copper coil, including who can use. Coils In Stomach.
From www.researchgate.net
AP supine radiograph of the abdomen demonstrates the coils (arrow) post Coils In Stomach An embolization procedure blocks a specific blood vessel to stop abnormal bleeding. Gastric varices are enlarged, swollen blood vessels in the lining of your stomach. Find out about an iud (intrauterine device) or copper coil, including who can use it, how well it works and possible side effects. They’re a serious condition that can cause life. It is very safe. Coils In Stomach.
From www.researchgate.net
Abdominal Xray erect abdominal Xray showed endovascular coils in Coils In Stomach Iuds have strings that hang out of your cervix, which you should be able to feel. Side effects of an ius (intrauterine system), also called a hormonal coil, are most common for a few months after having it fitted. To make sure your iud hasn’t moved, some experts. They’re a serious condition that can cause life. Gastric varices are enlarged,. Coils In Stomach.