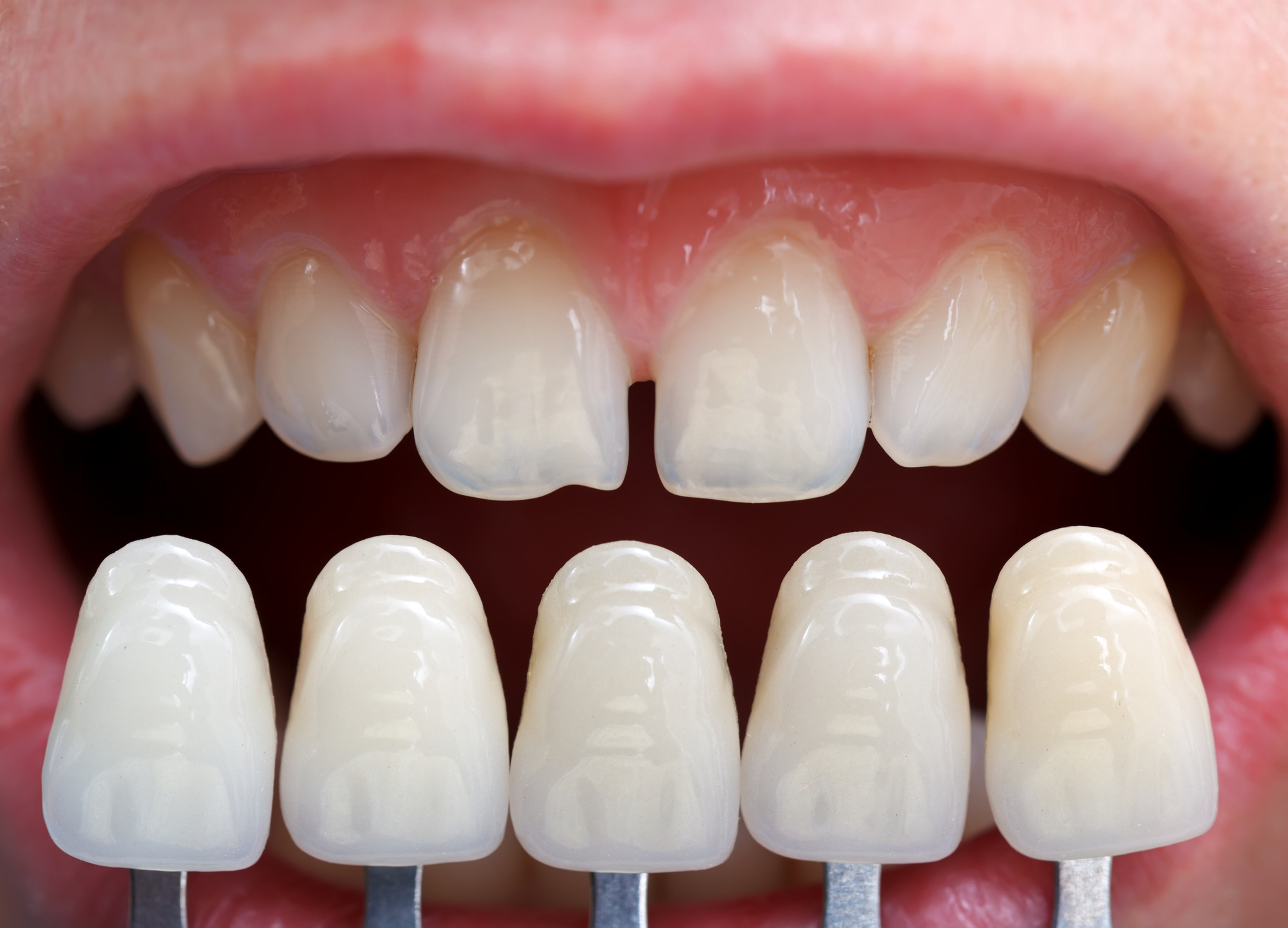
Ceramic Veneers Benefits . Whether you’re looking to correct a single tooth or undergo a complete smile makeover, porcelain veneers can do it all. dental veneers are a cosmetic treatment. they’re commonly used to help with smile makeovers, restoring broken down teeth, uneven teeth, worn down teeth, chipped teeth, stained. what are the benefits and risks of choosing veneers? They can be used to cover chips, cracks, and gaps in teeth, as well. Veneers can significantly improve the look of your teeth. Steven davidowitz, a cosmetic dentist based. In other words, they improve your smile, but they don’t necessarily strengthen or repair. one of the biggest benefits of porcelain veneers is their ability to correct a variety of dental defects. “veneers are a beautiful, strong, smooth ceramic surface that transforms the outer layer of the tooth,” says dr.
from www.westervilledental.com
they’re commonly used to help with smile makeovers, restoring broken down teeth, uneven teeth, worn down teeth, chipped teeth, stained. They can be used to cover chips, cracks, and gaps in teeth, as well. dental veneers are a cosmetic treatment. one of the biggest benefits of porcelain veneers is their ability to correct a variety of dental defects. “veneers are a beautiful, strong, smooth ceramic surface that transforms the outer layer of the tooth,” says dr. Steven davidowitz, a cosmetic dentist based. Veneers can significantly improve the look of your teeth. In other words, they improve your smile, but they don’t necessarily strengthen or repair. Whether you’re looking to correct a single tooth or undergo a complete smile makeover, porcelain veneers can do it all. what are the benefits and risks of choosing veneers?
The Benefits of Porcelain Veneers Westerville Dental Associates
Ceramic Veneers Benefits They can be used to cover chips, cracks, and gaps in teeth, as well. one of the biggest benefits of porcelain veneers is their ability to correct a variety of dental defects. In other words, they improve your smile, but they don’t necessarily strengthen or repair. they’re commonly used to help with smile makeovers, restoring broken down teeth, uneven teeth, worn down teeth, chipped teeth, stained. what are the benefits and risks of choosing veneers? Whether you’re looking to correct a single tooth or undergo a complete smile makeover, porcelain veneers can do it all. dental veneers are a cosmetic treatment. Steven davidowitz, a cosmetic dentist based. Veneers can significantly improve the look of your teeth. “veneers are a beautiful, strong, smooth ceramic surface that transforms the outer layer of the tooth,” says dr. They can be used to cover chips, cracks, and gaps in teeth, as well.
From www.lovettdentistrycorpuschristi.com
5 Benefits of Dental Veneers Dental Veneers Corpus Christi TX Ceramic Veneers Benefits what are the benefits and risks of choosing veneers? one of the biggest benefits of porcelain veneers is their ability to correct a variety of dental defects. dental veneers are a cosmetic treatment. In other words, they improve your smile, but they don’t necessarily strengthen or repair. They can be used to cover chips, cracks, and gaps. Ceramic Veneers Benefits.
From www.westervilledental.com
The Benefits of Porcelain Veneers Westerville Dental Associates Ceramic Veneers Benefits one of the biggest benefits of porcelain veneers is their ability to correct a variety of dental defects. Whether you’re looking to correct a single tooth or undergo a complete smile makeover, porcelain veneers can do it all. dental veneers are a cosmetic treatment. They can be used to cover chips, cracks, and gaps in teeth, as well.. Ceramic Veneers Benefits.
From www.drjeffcook.com
The Benefits Of Porcelain Veneers Restoring Teeth Ceramic Veneers Benefits They can be used to cover chips, cracks, and gaps in teeth, as well. Whether you’re looking to correct a single tooth or undergo a complete smile makeover, porcelain veneers can do it all. In other words, they improve your smile, but they don’t necessarily strengthen or repair. one of the biggest benefits of porcelain veneers is their ability. Ceramic Veneers Benefits.
From chicagobeautifulsmiles.com
Benefits of Porcelain Veneers Chicago Beautiful Smiles Ceramic Veneers Benefits They can be used to cover chips, cracks, and gaps in teeth, as well. one of the biggest benefits of porcelain veneers is their ability to correct a variety of dental defects. they’re commonly used to help with smile makeovers, restoring broken down teeth, uneven teeth, worn down teeth, chipped teeth, stained. Steven davidowitz, a cosmetic dentist based.. Ceramic Veneers Benefits.
From www.cdsmile.com
Benefits of Porcelain Veneers California Dental Care Blog Veneers Ceramic Veneers Benefits what are the benefits and risks of choosing veneers? dental veneers are a cosmetic treatment. They can be used to cover chips, cracks, and gaps in teeth, as well. Whether you’re looking to correct a single tooth or undergo a complete smile makeover, porcelain veneers can do it all. In other words, they improve your smile, but they. Ceramic Veneers Benefits.
From www.paradisefamilydentalwa.com
The Benefits of Porcelain Veneers Paradise Family Dental West Ceramic Veneers Benefits Veneers can significantly improve the look of your teeth. In other words, they improve your smile, but they don’t necessarily strengthen or repair. “veneers are a beautiful, strong, smooth ceramic surface that transforms the outer layer of the tooth,” says dr. Whether you’re looking to correct a single tooth or undergo a complete smile makeover, porcelain veneers can do. Ceramic Veneers Benefits.
From curedentalbeltontx.com
5 Benefits Of Porcelain Veneers Cure Dental Ceramic Veneers Benefits Veneers can significantly improve the look of your teeth. dental veneers are a cosmetic treatment. Whether you’re looking to correct a single tooth or undergo a complete smile makeover, porcelain veneers can do it all. In other words, they improve your smile, but they don’t necessarily strengthen or repair. Steven davidowitz, a cosmetic dentist based. one of the. Ceramic Veneers Benefits.
From www.thedentistsomaha.com
Porcelain Veneers in Omaha Dental Veneers For Tooth Damage Ceramic Veneers Benefits Veneers can significantly improve the look of your teeth. In other words, they improve your smile, but they don’t necessarily strengthen or repair. what are the benefits and risks of choosing veneers? “veneers are a beautiful, strong, smooth ceramic surface that transforms the outer layer of the tooth,” says dr. one of the biggest benefits of porcelain. Ceramic Veneers Benefits.
From www.slideserve.com
PPT Underlying Benefit of Porcelain Veneers PowerPoint Presentation Ceramic Veneers Benefits In other words, they improve your smile, but they don’t necessarily strengthen or repair. Whether you’re looking to correct a single tooth or undergo a complete smile makeover, porcelain veneers can do it all. They can be used to cover chips, cracks, and gaps in teeth, as well. they’re commonly used to help with smile makeovers, restoring broken down. Ceramic Veneers Benefits.
From drshreyashetty.com
Comprehensive Guide to Porcelain Veneers Benefits, Process, and Ceramic Veneers Benefits Steven davidowitz, a cosmetic dentist based. They can be used to cover chips, cracks, and gaps in teeth, as well. In other words, they improve your smile, but they don’t necessarily strengthen or repair. Veneers can significantly improve the look of your teeth. what are the benefits and risks of choosing veneers? they’re commonly used to help with. Ceramic Veneers Benefits.
From sachemdental.com
Porcelain Veneers Benefits and Risks Sachem Dental Group Ceramic Veneers Benefits Whether you’re looking to correct a single tooth or undergo a complete smile makeover, porcelain veneers can do it all. one of the biggest benefits of porcelain veneers is their ability to correct a variety of dental defects. “veneers are a beautiful, strong, smooth ceramic surface that transforms the outer layer of the tooth,” says dr. they’re. Ceramic Veneers Benefits.
From www.holisticsmilecare.com
StepbyStep Guide to Porcelain Veneer Procedure West Hollywood Ceramic Veneers Benefits one of the biggest benefits of porcelain veneers is their ability to correct a variety of dental defects. Steven davidowitz, a cosmetic dentist based. Whether you’re looking to correct a single tooth or undergo a complete smile makeover, porcelain veneers can do it all. In other words, they improve your smile, but they don’t necessarily strengthen or repair. . Ceramic Veneers Benefits.
From www.flossdentalsugarland.com
5 Benefits of Getting Porcelain Veneers Ceramic Veneers Benefits They can be used to cover chips, cracks, and gaps in teeth, as well. what are the benefits and risks of choosing veneers? Whether you’re looking to correct a single tooth or undergo a complete smile makeover, porcelain veneers can do it all. Veneers can significantly improve the look of your teeth. they’re commonly used to help with. Ceramic Veneers Benefits.
From www.creekwooddentalarts.com
How You Can Benefit From Porcelain Veneers Waco, Texas Ceramic Veneers Benefits Veneers can significantly improve the look of your teeth. In other words, they improve your smile, but they don’t necessarily strengthen or repair. what are the benefits and risks of choosing veneers? they’re commonly used to help with smile makeovers, restoring broken down teeth, uneven teeth, worn down teeth, chipped teeth, stained. Steven davidowitz, a cosmetic dentist based.. Ceramic Veneers Benefits.
From www.smilepointdentalvictoria.com
Benefits of Porcelain Veneers Ceramic Veneers Benefits dental veneers are a cosmetic treatment. Veneers can significantly improve the look of your teeth. “veneers are a beautiful, strong, smooth ceramic surface that transforms the outer layer of the tooth,” says dr. Steven davidowitz, a cosmetic dentist based. They can be used to cover chips, cracks, and gaps in teeth, as well. what are the benefits. Ceramic Veneers Benefits.
From www.bristlesdentalstudios.com
Ceramic Veneers Chandigarh Ceramic Veneers Benefits, Uses, ProsCons Ceramic Veneers Benefits “veneers are a beautiful, strong, smooth ceramic surface that transforms the outer layer of the tooth,” says dr. dental veneers are a cosmetic treatment. Whether you’re looking to correct a single tooth or undergo a complete smile makeover, porcelain veneers can do it all. Veneers can significantly improve the look of your teeth. one of the biggest. Ceramic Veneers Benefits.
From azdentalwellness.com
The Wonderful Benefits Offered by Naturallooking Porcelain Teeth Ceramic Veneers Benefits “veneers are a beautiful, strong, smooth ceramic surface that transforms the outer layer of the tooth,” says dr. dental veneers are a cosmetic treatment. they’re commonly used to help with smile makeovers, restoring broken down teeth, uneven teeth, worn down teeth, chipped teeth, stained. Whether you’re looking to correct a single tooth or undergo a complete smile. Ceramic Veneers Benefits.
From www.whitesagedentistry.com
Benefits of Porcelain Veneers White Sage Dentistry Ceramic Veneers Benefits they’re commonly used to help with smile makeovers, restoring broken down teeth, uneven teeth, worn down teeth, chipped teeth, stained. They can be used to cover chips, cracks, and gaps in teeth, as well. Steven davidowitz, a cosmetic dentist based. “veneers are a beautiful, strong, smooth ceramic surface that transforms the outer layer of the tooth,” says dr.. Ceramic Veneers Benefits.
From russoddsraleigh.com
Porcelain Veneers by Dr. Russo Cosmetic Dentist in Raleigh & Durham Ceramic Veneers Benefits They can be used to cover chips, cracks, and gaps in teeth, as well. one of the biggest benefits of porcelain veneers is their ability to correct a variety of dental defects. In other words, they improve your smile, but they don’t necessarily strengthen or repair. Whether you’re looking to correct a single tooth or undergo a complete smile. Ceramic Veneers Benefits.
From www.slideserve.com
PPT What are the benefits of Porcelain veneers? PowerPoint Ceramic Veneers Benefits Veneers can significantly improve the look of your teeth. Steven davidowitz, a cosmetic dentist based. They can be used to cover chips, cracks, and gaps in teeth, as well. Whether you’re looking to correct a single tooth or undergo a complete smile makeover, porcelain veneers can do it all. dental veneers are a cosmetic treatment. what are the. Ceramic Veneers Benefits.
From www.rockwelldentistry.com
The 5 Benefits Of Porcelain Veneers and An Enhanced Smile Ceramic Veneers Benefits They can be used to cover chips, cracks, and gaps in teeth, as well. one of the biggest benefits of porcelain veneers is their ability to correct a variety of dental defects. Veneers can significantly improve the look of your teeth. they’re commonly used to help with smile makeovers, restoring broken down teeth, uneven teeth, worn down teeth,. Ceramic Veneers Benefits.
From www.directorioodontologico.info
The Benefits of Porcelain Veneers Directorio Odontológico Ceramic Veneers Benefits In other words, they improve your smile, but they don’t necessarily strengthen or repair. Whether you’re looking to correct a single tooth or undergo a complete smile makeover, porcelain veneers can do it all. what are the benefits and risks of choosing veneers? “veneers are a beautiful, strong, smooth ceramic surface that transforms the outer layer of the. Ceramic Veneers Benefits.
From thomasjpraydds.com
Benefits of Porcelain Veneers Pray DDS Ballston Spa, NY Ceramic Veneers Benefits what are the benefits and risks of choosing veneers? Whether you’re looking to correct a single tooth or undergo a complete smile makeover, porcelain veneers can do it all. they’re commonly used to help with smile makeovers, restoring broken down teeth, uneven teeth, worn down teeth, chipped teeth, stained. dental veneers are a cosmetic treatment. Veneers can. Ceramic Veneers Benefits.
From www.slideserve.com
PPT Porcelain Veneers Before And After Process, Benefits, Cost Ceramic Veneers Benefits “veneers are a beautiful, strong, smooth ceramic surface that transforms the outer layer of the tooth,” says dr. In other words, they improve your smile, but they don’t necessarily strengthen or repair. one of the biggest benefits of porcelain veneers is their ability to correct a variety of dental defects. Veneers can significantly improve the look of your. Ceramic Veneers Benefits.
From www.rossavefamilydental.com
Benefits of Porcelain Veneers Dallas Ross Avenue Family Dental Ceramic Veneers Benefits In other words, they improve your smile, but they don’t necessarily strengthen or repair. They can be used to cover chips, cracks, and gaps in teeth, as well. dental veneers are a cosmetic treatment. Steven davidowitz, a cosmetic dentist based. what are the benefits and risks of choosing veneers? Whether you’re looking to correct a single tooth or. Ceramic Veneers Benefits.
From www.birchlakedental.com
Key Benefits of Porcelain Veneers Cosmetic Dentistry in Lino Lakes MN Ceramic Veneers Benefits Steven davidowitz, a cosmetic dentist based. Veneers can significantly improve the look of your teeth. “veneers are a beautiful, strong, smooth ceramic surface that transforms the outer layer of the tooth,” says dr. they’re commonly used to help with smile makeovers, restoring broken down teeth, uneven teeth, worn down teeth, chipped teeth, stained. what are the benefits. Ceramic Veneers Benefits.
From www.ashevillesmilecenter.com
Benefits Of Porcelain Veneers Asheville Dentist Asheville 28704 Ceramic Veneers Benefits “veneers are a beautiful, strong, smooth ceramic surface that transforms the outer layer of the tooth,” says dr. Steven davidowitz, a cosmetic dentist based. one of the biggest benefits of porcelain veneers is their ability to correct a variety of dental defects. Whether you’re looking to correct a single tooth or undergo a complete smile makeover, porcelain veneers. Ceramic Veneers Benefits.
From pomdental.wordpress.com
Oral Health Benefits Of Porcelain Veneers Peace of Mind Dental Studio Ceramic Veneers Benefits Whether you’re looking to correct a single tooth or undergo a complete smile makeover, porcelain veneers can do it all. They can be used to cover chips, cracks, and gaps in teeth, as well. what are the benefits and risks of choosing veneers? “veneers are a beautiful, strong, smooth ceramic surface that transforms the outer layer of the. Ceramic Veneers Benefits.
From www.airport-dental.com
5 Popular Benefits of Porcelain Veneers Brian LaBombard, DMD General Ceramic Veneers Benefits In other words, they improve your smile, but they don’t necessarily strengthen or repair. Veneers can significantly improve the look of your teeth. dental veneers are a cosmetic treatment. Steven davidowitz, a cosmetic dentist based. They can be used to cover chips, cracks, and gaps in teeth, as well. one of the biggest benefits of porcelain veneers is. Ceramic Veneers Benefits.
From mabletonfamilydentistry.com
Benefits of Porcelain Veneers Mableton Family Dentistry Ceramic Veneers Benefits Steven davidowitz, a cosmetic dentist based. dental veneers are a cosmetic treatment. Whether you’re looking to correct a single tooth or undergo a complete smile makeover, porcelain veneers can do it all. what are the benefits and risks of choosing veneers? They can be used to cover chips, cracks, and gaps in teeth, as well. Veneers can significantly. Ceramic Veneers Benefits.
From www.columbiafamilydentalcare.com
Oral Health Benefits with Porcelain Veneers Dentist in Columbia, MD Ceramic Veneers Benefits Whether you’re looking to correct a single tooth or undergo a complete smile makeover, porcelain veneers can do it all. “veneers are a beautiful, strong, smooth ceramic surface that transforms the outer layer of the tooth,” says dr. Steven davidowitz, a cosmetic dentist based. Veneers can significantly improve the look of your teeth. what are the benefits and. Ceramic Veneers Benefits.
From seattledentistry.com
The Rewarding Benefits of Porcelain Veneers Seattle Specialty Dentistry Ceramic Veneers Benefits they’re commonly used to help with smile makeovers, restoring broken down teeth, uneven teeth, worn down teeth, chipped teeth, stained. In other words, they improve your smile, but they don’t necessarily strengthen or repair. They can be used to cover chips, cracks, and gaps in teeth, as well. what are the benefits and risks of choosing veneers? . Ceramic Veneers Benefits.
From www.207dentalcare.com
Benefits of Porcelain Veneers 207dentalcare Ceramic Veneers Benefits one of the biggest benefits of porcelain veneers is their ability to correct a variety of dental defects. dental veneers are a cosmetic treatment. what are the benefits and risks of choosing veneers? “veneers are a beautiful, strong, smooth ceramic surface that transforms the outer layer of the tooth,” says dr. Steven davidowitz, a cosmetic dentist. Ceramic Veneers Benefits.
From veneersdentistlosangeles.com
Benefits of Getting Ceramic Veneers for Your Teeth Ceramic Veneers Benefits they’re commonly used to help with smile makeovers, restoring broken down teeth, uneven teeth, worn down teeth, chipped teeth, stained. Veneers can significantly improve the look of your teeth. They can be used to cover chips, cracks, and gaps in teeth, as well. dental veneers are a cosmetic treatment. “veneers are a beautiful, strong, smooth ceramic surface. Ceramic Veneers Benefits.
From ritesmiledental.wordpress.com
How Porcelain Veneers Can Benefit You? Rite Smile Dental Ceramic Veneers Benefits “veneers are a beautiful, strong, smooth ceramic surface that transforms the outer layer of the tooth,” says dr. Veneers can significantly improve the look of your teeth. Steven davidowitz, a cosmetic dentist based. In other words, they improve your smile, but they don’t necessarily strengthen or repair. They can be used to cover chips, cracks, and gaps in teeth,. Ceramic Veneers Benefits.