How To Prevent Dental Bonding From Staining . This means flossing and brushing at least two times a day and. Cosmetic dental bonding is a simple and common way to improve the look of your front teeth. Preventive measures include avoiding foods and beverages known to cause staining, maintaining good oral hygiene,. Whether or not the stain can be removed depends on the material and the type of stain. Avoiding staining foods and beverages, practising good oral hygiene,. Bonding is typically used to close spaces between natural teeth, replace worn. The first action you can take to avoid dental bonding taking on the color coffee is proper dental hygiene. One of the most effective ways to prevent staining is to maintain good oral hygiene practices. Staining and degradation of composite bonding can be remedied using various methods, depending on the severity of the damage: How can i prevent staining of composite bonding? Composite bonding materials can be susceptible to staining over time, primarily if proper oral care is not maintained. To keep your bonded teeth looking their best and to prevent staining and damage, you’ll need to be diligent with your oral hygiene.
from www.priorshalldental.com
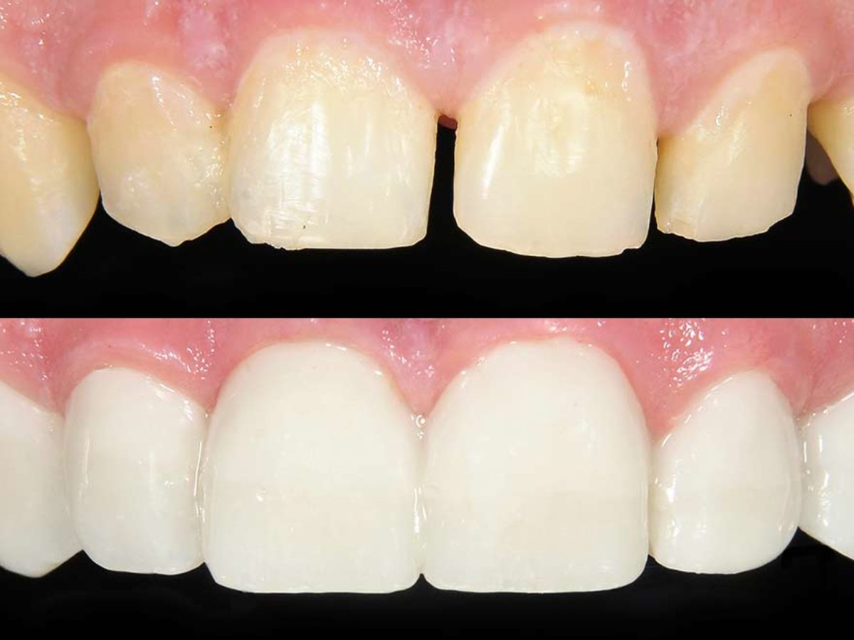
Cosmetic dental bonding is a simple and common way to improve the look of your front teeth. How can i prevent staining of composite bonding? Avoiding staining foods and beverages, practising good oral hygiene,. To keep your bonded teeth looking their best and to prevent staining and damage, you’ll need to be diligent with your oral hygiene. Whether or not the stain can be removed depends on the material and the type of stain. Composite bonding materials can be susceptible to staining over time, primarily if proper oral care is not maintained. The first action you can take to avoid dental bonding taking on the color coffee is proper dental hygiene. One of the most effective ways to prevent staining is to maintain good oral hygiene practices. Bonding is typically used to close spaces between natural teeth, replace worn. Staining and degradation of composite bonding can be remedied using various methods, depending on the severity of the damage:
Composite Bonding Dental Bonding Northampton Priors Hall Dental
How To Prevent Dental Bonding From Staining Bonding is typically used to close spaces between natural teeth, replace worn. Avoiding staining foods and beverages, practising good oral hygiene,. Bonding is typically used to close spaces between natural teeth, replace worn. How can i prevent staining of composite bonding? To keep your bonded teeth looking their best and to prevent staining and damage, you’ll need to be diligent with your oral hygiene. Whether or not the stain can be removed depends on the material and the type of stain. Preventive measures include avoiding foods and beverages known to cause staining, maintaining good oral hygiene,. Cosmetic dental bonding is a simple and common way to improve the look of your front teeth. One of the most effective ways to prevent staining is to maintain good oral hygiene practices. Composite bonding materials can be susceptible to staining over time, primarily if proper oral care is not maintained. This means flossing and brushing at least two times a day and. Staining and degradation of composite bonding can be remedied using various methods, depending on the severity of the damage: The first action you can take to avoid dental bonding taking on the color coffee is proper dental hygiene.
From davisdentalcarenewmarket.com
How to Prevent Staining of Teeth? How To Prevent Dental Bonding From Staining Preventive measures include avoiding foods and beverages known to cause staining, maintaining good oral hygiene,. How can i prevent staining of composite bonding? Staining and degradation of composite bonding can be remedied using various methods, depending on the severity of the damage: Avoiding staining foods and beverages, practising good oral hygiene,. Composite bonding materials can be susceptible to staining over. How To Prevent Dental Bonding From Staining.
From kitchenerfamilydentist.com
5 Tips for Preventing Tooth Stains! ENAMEL REPUBLIC Family Dentist How To Prevent Dental Bonding From Staining To keep your bonded teeth looking their best and to prevent staining and damage, you’ll need to be diligent with your oral hygiene. One of the most effective ways to prevent staining is to maintain good oral hygiene practices. Cosmetic dental bonding is a simple and common way to improve the look of your front teeth. Staining and degradation of. How To Prevent Dental Bonding From Staining.
From ladentalclinic.com
Gaps in Your Teeth and Why Bonding May Do The Trick LA Dental Clinic How To Prevent Dental Bonding From Staining The first action you can take to avoid dental bonding taking on the color coffee is proper dental hygiene. Bonding is typically used to close spaces between natural teeth, replace worn. This means flossing and brushing at least two times a day and. To keep your bonded teeth looking their best and to prevent staining and damage, you’ll need to. How To Prevent Dental Bonding From Staining.
From www.panoramicdental.com
Composite Bonding Panoramic Dental Walnut Creek California How To Prevent Dental Bonding From Staining Whether or not the stain can be removed depends on the material and the type of stain. Preventive measures include avoiding foods and beverages known to cause staining, maintaining good oral hygiene,. One of the most effective ways to prevent staining is to maintain good oral hygiene practices. The first action you can take to avoid dental bonding taking on. How To Prevent Dental Bonding From Staining.
From mydentaladvocate.com
Teeth Staining The Ultimate Guide (Content Hub) MDA How To Prevent Dental Bonding From Staining Whether or not the stain can be removed depends on the material and the type of stain. This means flossing and brushing at least two times a day and. The first action you can take to avoid dental bonding taking on the color coffee is proper dental hygiene. Bonding is typically used to close spaces between natural teeth, replace worn.. How To Prevent Dental Bonding From Staining.
From supremedentalct.com
Teeth Bonding Disadvantages Supreme Dental How To Prevent Dental Bonding From Staining Composite bonding materials can be susceptible to staining over time, primarily if proper oral care is not maintained. This means flossing and brushing at least two times a day and. How can i prevent staining of composite bonding? One of the most effective ways to prevent staining is to maintain good oral hygiene practices. To keep your bonded teeth looking. How To Prevent Dental Bonding From Staining.
From bespokesmile.co.uk
How Is Composite Bonding Different To Dental Veneers How To Prevent Dental Bonding From Staining Cosmetic dental bonding is a simple and common way to improve the look of your front teeth. To keep your bonded teeth looking their best and to prevent staining and damage, you’ll need to be diligent with your oral hygiene. How can i prevent staining of composite bonding? Bonding is typically used to close spaces between natural teeth, replace worn.. How To Prevent Dental Bonding From Staining.
From buckheaddentalgroup.com
Dental Bonding Atlanta, GA Buckhead Dental Group How To Prevent Dental Bonding From Staining Bonding is typically used to close spaces between natural teeth, replace worn. The first action you can take to avoid dental bonding taking on the color coffee is proper dental hygiene. To keep your bonded teeth looking their best and to prevent staining and damage, you’ll need to be diligent with your oral hygiene. One of the most effective ways. How To Prevent Dental Bonding From Staining.
From johnhopkinsdds.com
Dental Bonding in Gulfport, MS John Hopkins, DDS How To Prevent Dental Bonding From Staining Preventive measures include avoiding foods and beverages known to cause staining, maintaining good oral hygiene,. Avoiding staining foods and beverages, practising good oral hygiene,. To keep your bonded teeth looking their best and to prevent staining and damage, you’ll need to be diligent with your oral hygiene. One of the most effective ways to prevent staining is to maintain good. How To Prevent Dental Bonding From Staining.
From preventivedentistry.com.au
Dental Bonding Before and After at Preventive Dentistry Braddon How To Prevent Dental Bonding From Staining The first action you can take to avoid dental bonding taking on the color coffee is proper dental hygiene. Whether or not the stain can be removed depends on the material and the type of stain. Preventive measures include avoiding foods and beverages known to cause staining, maintaining good oral hygiene,. Bonding is typically used to close spaces between natural. How To Prevent Dental Bonding From Staining.
From raynerdental.co.uk
Composite Bonding Rayner Dental Practice, Bradford, West Yorkshire How To Prevent Dental Bonding From Staining Bonding is typically used to close spaces between natural teeth, replace worn. Composite bonding materials can be susceptible to staining over time, primarily if proper oral care is not maintained. This means flossing and brushing at least two times a day and. Avoiding staining foods and beverages, practising good oral hygiene,. One of the most effective ways to prevent staining. How To Prevent Dental Bonding From Staining.
From www.charlesmartindds.com
Dental Bonding in South Tampa Dental Bonding Near You How To Prevent Dental Bonding From Staining How can i prevent staining of composite bonding? Cosmetic dental bonding is a simple and common way to improve the look of your front teeth. Bonding is typically used to close spaces between natural teeth, replace worn. The first action you can take to avoid dental bonding taking on the color coffee is proper dental hygiene. Staining and degradation of. How To Prevent Dental Bonding From Staining.
From www.gentledentalllc.com
Dental Bonding Edison Tooth Bonding Metuchen Gentle Dental How To Prevent Dental Bonding From Staining Preventive measures include avoiding foods and beverages known to cause staining, maintaining good oral hygiene,. Avoiding staining foods and beverages, practising good oral hygiene,. Staining and degradation of composite bonding can be remedied using various methods, depending on the severity of the damage: To keep your bonded teeth looking their best and to prevent staining and damage, you’ll need to. How To Prevent Dental Bonding From Staining.
From www.youtube.com
Front Tooth Bonding YouTube How To Prevent Dental Bonding From Staining Composite bonding materials can be susceptible to staining over time, primarily if proper oral care is not maintained. Cosmetic dental bonding is a simple and common way to improve the look of your front teeth. Staining and degradation of composite bonding can be remedied using various methods, depending on the severity of the damage: One of the most effective ways. How To Prevent Dental Bonding From Staining.
From edu.svet.gob.gt
Dental Bonding Rockville Centre, NY Cosmetic Teeth Bonding How To Prevent Dental Bonding From Staining This means flossing and brushing at least two times a day and. How can i prevent staining of composite bonding? Cosmetic dental bonding is a simple and common way to improve the look of your front teeth. The first action you can take to avoid dental bonding taking on the color coffee is proper dental hygiene. Preventive measures include avoiding. How To Prevent Dental Bonding From Staining.
From www.youtube.com
Teeth Bonding Tooth Bonding Cosmetic Dentistry AACD YouTube How To Prevent Dental Bonding From Staining Avoiding staining foods and beverages, practising good oral hygiene,. Cosmetic dental bonding is a simple and common way to improve the look of your front teeth. One of the most effective ways to prevent staining is to maintain good oral hygiene practices. Staining and degradation of composite bonding can be remedied using various methods, depending on the severity of the. How To Prevent Dental Bonding From Staining.
From www.designerforsmiles.com
How to Prevent Dental Staining How To Prevent Dental Bonding From Staining Staining and degradation of composite bonding can be remedied using various methods, depending on the severity of the damage: The first action you can take to avoid dental bonding taking on the color coffee is proper dental hygiene. This means flossing and brushing at least two times a day and. How can i prevent staining of composite bonding? To keep. How To Prevent Dental Bonding From Staining.
From www.dentisteugene.com
Dental Bonding • Dentist Eugene, OR • Eugene Dental Group How To Prevent Dental Bonding From Staining To keep your bonded teeth looking their best and to prevent staining and damage, you’ll need to be diligent with your oral hygiene. Avoiding staining foods and beverages, practising good oral hygiene,. Whether or not the stain can be removed depends on the material and the type of stain. Preventive measures include avoiding foods and beverages known to cause staining,. How To Prevent Dental Bonding From Staining.
From dentalmadeeasy.com
Dental Bonding Dental Made Easy How To Prevent Dental Bonding From Staining One of the most effective ways to prevent staining is to maintain good oral hygiene practices. How can i prevent staining of composite bonding? Staining and degradation of composite bonding can be remedied using various methods, depending on the severity of the damage: The first action you can take to avoid dental bonding taking on the color coffee is proper. How To Prevent Dental Bonding From Staining.
From dentistspreston.com
stained front tooth bonding procedure before How To Prevent Dental Bonding From Staining To keep your bonded teeth looking their best and to prevent staining and damage, you’ll need to be diligent with your oral hygiene. Preventive measures include avoiding foods and beverages known to cause staining, maintaining good oral hygiene,. Avoiding staining foods and beverages, practising good oral hygiene,. How can i prevent staining of composite bonding? Composite bonding materials can be. How To Prevent Dental Bonding From Staining.
From www.brisbanesmileboutique.com.au
Composite Bonding Brisbane Smile Boutique Dentists Brisbane Dentist How To Prevent Dental Bonding From Staining One of the most effective ways to prevent staining is to maintain good oral hygiene practices. Whether or not the stain can be removed depends on the material and the type of stain. Avoiding staining foods and beverages, practising good oral hygiene,. Bonding is typically used to close spaces between natural teeth, replace worn. The first action you can take. How To Prevent Dental Bonding From Staining.
From inlanddentalgroup.com
Dental Bonding La Verne White Filings San Dimas Inland Dental Group How To Prevent Dental Bonding From Staining Avoiding staining foods and beverages, practising good oral hygiene,. Cosmetic dental bonding is a simple and common way to improve the look of your front teeth. Bonding is typically used to close spaces between natural teeth, replace worn. To keep your bonded teeth looking their best and to prevent staining and damage, you’ll need to be diligent with your oral. How To Prevent Dental Bonding From Staining.
From www.designerforsmiles.com
How to Prevent Dental Staining How To Prevent Dental Bonding From Staining Whether or not the stain can be removed depends on the material and the type of stain. Preventive measures include avoiding foods and beverages known to cause staining, maintaining good oral hygiene,. One of the most effective ways to prevent staining is to maintain good oral hygiene practices. This means flossing and brushing at least two times a day and.. How To Prevent Dental Bonding From Staining.
From www.courtneydental.com.au
Habits that lead to stained teeth Dentist Townsville How To Prevent Dental Bonding From Staining To keep your bonded teeth looking their best and to prevent staining and damage, you’ll need to be diligent with your oral hygiene. Whether or not the stain can be removed depends on the material and the type of stain. Staining and degradation of composite bonding can be remedied using various methods, depending on the severity of the damage: How. How To Prevent Dental Bonding From Staining.
From www.dhamadison.com
Madison Bonding Cosmetic Dentistry Dental Health Associates How To Prevent Dental Bonding From Staining Bonding is typically used to close spaces between natural teeth, replace worn. Avoiding staining foods and beverages, practising good oral hygiene,. The first action you can take to avoid dental bonding taking on the color coffee is proper dental hygiene. Preventive measures include avoiding foods and beverages known to cause staining, maintaining good oral hygiene,. Composite bonding materials can be. How To Prevent Dental Bonding From Staining.
From www.nyccd.com
Composite Bonding [GUIDE] Fix Teeth Stains, Gaps, Shape & More How To Prevent Dental Bonding From Staining Composite bonding materials can be susceptible to staining over time, primarily if proper oral care is not maintained. Cosmetic dental bonding is a simple and common way to improve the look of your front teeth. How can i prevent staining of composite bonding? This means flossing and brushing at least two times a day and. Staining and degradation of composite. How To Prevent Dental Bonding From Staining.
From www.croftondentalcare.co.uk
Composite Bonding Fareham Crofton Dental Care How To Prevent Dental Bonding From Staining Composite bonding materials can be susceptible to staining over time, primarily if proper oral care is not maintained. To keep your bonded teeth looking their best and to prevent staining and damage, you’ll need to be diligent with your oral hygiene. How can i prevent staining of composite bonding? Whether or not the stain can be removed depends on the. How To Prevent Dental Bonding From Staining.
From www.priorshalldental.com
Composite Bonding Dental Bonding Northampton Priors Hall Dental How To Prevent Dental Bonding From Staining Staining and degradation of composite bonding can be remedied using various methods, depending on the severity of the damage: Preventive measures include avoiding foods and beverages known to cause staining, maintaining good oral hygiene,. Bonding is typically used to close spaces between natural teeth, replace worn. To keep your bonded teeth looking their best and to prevent staining and damage,. How To Prevent Dental Bonding From Staining.
From synergydental.org.uk
Stain Removal Composite Bonding Dr. Ali Altaf • Synergy Dental Clinic How To Prevent Dental Bonding From Staining How can i prevent staining of composite bonding? Avoiding staining foods and beverages, practising good oral hygiene,. Whether or not the stain can be removed depends on the material and the type of stain. Bonding is typically used to close spaces between natural teeth, replace worn. This means flossing and brushing at least two times a day and. Preventive measures. How To Prevent Dental Bonding From Staining.
From www.sydneysmiledoctor.com.au
What is Composite Bonding Teeth Sydney Smile Doctor How To Prevent Dental Bonding From Staining Cosmetic dental bonding is a simple and common way to improve the look of your front teeth. To keep your bonded teeth looking their best and to prevent staining and damage, you’ll need to be diligent with your oral hygiene. Composite bonding materials can be susceptible to staining over time, primarily if proper oral care is not maintained. This means. How To Prevent Dental Bonding From Staining.
From lasrydentalclinic.com
Composite Bonding Everything You Need To Know How To Prevent Dental Bonding From Staining Composite bonding materials can be susceptible to staining over time, primarily if proper oral care is not maintained. This means flossing and brushing at least two times a day and. Bonding is typically used to close spaces between natural teeth, replace worn. To keep your bonded teeth looking their best and to prevent staining and damage, you’ll need to be. How To Prevent Dental Bonding From Staining.
From www.skylinefamilydental.com
Dental Bonding Treating Common Dental Issues How To Prevent Dental Bonding From Staining This means flossing and brushing at least two times a day and. Staining and degradation of composite bonding can be remedied using various methods, depending on the severity of the damage: Cosmetic dental bonding is a simple and common way to improve the look of your front teeth. One of the most effective ways to prevent staining is to maintain. How To Prevent Dental Bonding From Staining.
From www.cornerstone.dental
Dental Bonding Calgary NE Cornerstone Family Dental How To Prevent Dental Bonding From Staining Staining and degradation of composite bonding can be remedied using various methods, depending on the severity of the damage: One of the most effective ways to prevent staining is to maintain good oral hygiene practices. How can i prevent staining of composite bonding? To keep your bonded teeth looking their best and to prevent staining and damage, you’ll need to. How To Prevent Dental Bonding From Staining.
From preventivedental.com
Tooth Bonding in South West London Preventive Dental How To Prevent Dental Bonding From Staining Whether or not the stain can be removed depends on the material and the type of stain. How can i prevent staining of composite bonding? This means flossing and brushing at least two times a day and. Bonding is typically used to close spaces between natural teeth, replace worn. One of the most effective ways to prevent staining is to. How To Prevent Dental Bonding From Staining.
From dentiquecochin.com
How to Prevent Staining Your Dental Veneers? How To Prevent Dental Bonding From Staining The first action you can take to avoid dental bonding taking on the color coffee is proper dental hygiene. Whether or not the stain can be removed depends on the material and the type of stain. How can i prevent staining of composite bonding? Composite bonding materials can be susceptible to staining over time, primarily if proper oral care is. How To Prevent Dental Bonding From Staining.