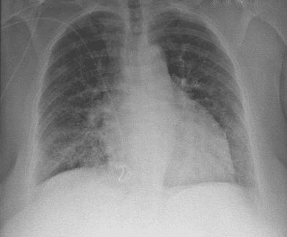
Case Report Leptospirosis . leptospirosis is an important zoonotic disease with worldwide. a diagnosis of leptospirosis was eventually established through an extensive and thorough history leading to a stepwise. leptospirosis is a spirochaetal zoonosis, with a broad spectrum of clinical manifestations, ranging from mild (febrile illness) to fulminant. here, we report of a patient who presented with fever, shock and thrombocytopenia followed by diffuse.
from www.frontiersin.org
leptospirosis is an important zoonotic disease with worldwide. a diagnosis of leptospirosis was eventually established through an extensive and thorough history leading to a stepwise. leptospirosis is a spirochaetal zoonosis, with a broad spectrum of clinical manifestations, ranging from mild (febrile illness) to fulminant. here, we report of a patient who presented with fever, shock and thrombocytopenia followed by diffuse.
Frontiers Case report Leptospirosis with failure
Case Report Leptospirosis leptospirosis is an important zoonotic disease with worldwide. leptospirosis is a spirochaetal zoonosis, with a broad spectrum of clinical manifestations, ranging from mild (febrile illness) to fulminant. a diagnosis of leptospirosis was eventually established through an extensive and thorough history leading to a stepwise. here, we report of a patient who presented with fever, shock and thrombocytopenia followed by diffuse. leptospirosis is an important zoonotic disease with worldwide.
From www.frontiersin.org
Frontiers The diagnosis of leptospirosis complicated by pulmonary Case Report Leptospirosis leptospirosis is a spirochaetal zoonosis, with a broad spectrum of clinical manifestations, ranging from mild (febrile illness) to fulminant. a diagnosis of leptospirosis was eventually established through an extensive and thorough history leading to a stepwise. here, we report of a patient who presented with fever, shock and thrombocytopenia followed by diffuse. leptospirosis is an important. Case Report Leptospirosis.
From www.researchgate.net
(PDF) Case Report of a Rare Cause of Reactive Arthritis Leptospirosis Case Report Leptospirosis leptospirosis is a spirochaetal zoonosis, with a broad spectrum of clinical manifestations, ranging from mild (febrile illness) to fulminant. a diagnosis of leptospirosis was eventually established through an extensive and thorough history leading to a stepwise. leptospirosis is an important zoonotic disease with worldwide. here, we report of a patient who presented with fever, shock and. Case Report Leptospirosis.
From www.academia.edu
(PDF) Leptospirosis Infection Misdiagnosed as COVID19 A Rare Case Case Report Leptospirosis leptospirosis is an important zoonotic disease with worldwide. a diagnosis of leptospirosis was eventually established through an extensive and thorough history leading to a stepwise. here, we report of a patient who presented with fever, shock and thrombocytopenia followed by diffuse. leptospirosis is a spirochaetal zoonosis, with a broad spectrum of clinical manifestations, ranging from mild. Case Report Leptospirosis.
From www.researchgate.net
(PDF) Severe Leptospirosis (Weil’s Disease) with Multiple Organ Failure Case Report Leptospirosis a diagnosis of leptospirosis was eventually established through an extensive and thorough history leading to a stepwise. leptospirosis is a spirochaetal zoonosis, with a broad spectrum of clinical manifestations, ranging from mild (febrile illness) to fulminant. here, we report of a patient who presented with fever, shock and thrombocytopenia followed by diffuse. leptospirosis is an important. Case Report Leptospirosis.
From www.researchgate.net
(PDF) A diagnosis of leptospirosis a case report Case Report Leptospirosis here, we report of a patient who presented with fever, shock and thrombocytopenia followed by diffuse. leptospirosis is a spirochaetal zoonosis, with a broad spectrum of clinical manifestations, ranging from mild (febrile illness) to fulminant. leptospirosis is an important zoonotic disease with worldwide. a diagnosis of leptospirosis was eventually established through an extensive and thorough history. Case Report Leptospirosis.
From pdfslide.net
(PDF) Diagnosis and Treatment of Leptospirosis in a Dog A Case Report Case Report Leptospirosis leptospirosis is an important zoonotic disease with worldwide. here, we report of a patient who presented with fever, shock and thrombocytopenia followed by diffuse. a diagnosis of leptospirosis was eventually established through an extensive and thorough history leading to a stepwise. leptospirosis is a spirochaetal zoonosis, with a broad spectrum of clinical manifestations, ranging from mild. Case Report Leptospirosis.
From www.researchgate.net
(PDF) Leptospirosis in pregnancy a case report Case Report Leptospirosis a diagnosis of leptospirosis was eventually established through an extensive and thorough history leading to a stepwise. here, we report of a patient who presented with fever, shock and thrombocytopenia followed by diffuse. leptospirosis is an important zoonotic disease with worldwide. leptospirosis is a spirochaetal zoonosis, with a broad spectrum of clinical manifestations, ranging from mild. Case Report Leptospirosis.
From www.researchgate.net
(PDF) Leptospirosis during the COVID19 pandemic a case report Case Report Leptospirosis leptospirosis is a spirochaetal zoonosis, with a broad spectrum of clinical manifestations, ranging from mild (febrile illness) to fulminant. a diagnosis of leptospirosis was eventually established through an extensive and thorough history leading to a stepwise. here, we report of a patient who presented with fever, shock and thrombocytopenia followed by diffuse. leptospirosis is an important. Case Report Leptospirosis.
From www.researchgate.net
(PDF) Severe Leptospirosis A Case Report Case Report Leptospirosis leptospirosis is an important zoonotic disease with worldwide. a diagnosis of leptospirosis was eventually established through an extensive and thorough history leading to a stepwise. leptospirosis is a spirochaetal zoonosis, with a broad spectrum of clinical manifestations, ranging from mild (febrile illness) to fulminant. here, we report of a patient who presented with fever, shock and. Case Report Leptospirosis.
From docslib.org
Leptospirosis with Acute Renal Failure and Vasculitis a Case Report Case Report Leptospirosis a diagnosis of leptospirosis was eventually established through an extensive and thorough history leading to a stepwise. here, we report of a patient who presented with fever, shock and thrombocytopenia followed by diffuse. leptospirosis is an important zoonotic disease with worldwide. leptospirosis is a spirochaetal zoonosis, with a broad spectrum of clinical manifestations, ranging from mild. Case Report Leptospirosis.
From www.researchgate.net
(PDF) Leptospirosis presenting as haemolytic uraemic syndrome A case Case Report Leptospirosis leptospirosis is an important zoonotic disease with worldwide. a diagnosis of leptospirosis was eventually established through an extensive and thorough history leading to a stepwise. here, we report of a patient who presented with fever, shock and thrombocytopenia followed by diffuse. leptospirosis is a spirochaetal zoonosis, with a broad spectrum of clinical manifestations, ranging from mild. Case Report Leptospirosis.
From www.researchgate.net
(PDF) Leptospirosis A Case Report Case Report Leptospirosis here, we report of a patient who presented with fever, shock and thrombocytopenia followed by diffuse. a diagnosis of leptospirosis was eventually established through an extensive and thorough history leading to a stepwise. leptospirosis is a spirochaetal zoonosis, with a broad spectrum of clinical manifestations, ranging from mild (febrile illness) to fulminant. leptospirosis is an important. Case Report Leptospirosis.
From dokumen.tips
(PDF) Leptospirosis Case Report Form Utah Department of Healthhealth Case Report Leptospirosis leptospirosis is a spirochaetal zoonosis, with a broad spectrum of clinical manifestations, ranging from mild (febrile illness) to fulminant. here, we report of a patient who presented with fever, shock and thrombocytopenia followed by diffuse. leptospirosis is an important zoonotic disease with worldwide. a diagnosis of leptospirosis was eventually established through an extensive and thorough history. Case Report Leptospirosis.
From www.researchgate.net
(PDF) Leptospirosis in an asplenic patient case report Case Report Leptospirosis leptospirosis is a spirochaetal zoonosis, with a broad spectrum of clinical manifestations, ranging from mild (febrile illness) to fulminant. here, we report of a patient who presented with fever, shock and thrombocytopenia followed by diffuse. leptospirosis is an important zoonotic disease with worldwide. a diagnosis of leptospirosis was eventually established through an extensive and thorough history. Case Report Leptospirosis.
From www.frontiersin.org
Frontiers The diagnosis of leptospirosis complicated by pulmonary Case Report Leptospirosis leptospirosis is a spirochaetal zoonosis, with a broad spectrum of clinical manifestations, ranging from mild (febrile illness) to fulminant. here, we report of a patient who presented with fever, shock and thrombocytopenia followed by diffuse. leptospirosis is an important zoonotic disease with worldwide. a diagnosis of leptospirosis was eventually established through an extensive and thorough history. Case Report Leptospirosis.
From casereports.bmj.com
Leptospirosis manifested with severe pulmonary haemorrhagic syndrome Case Report Leptospirosis here, we report of a patient who presented with fever, shock and thrombocytopenia followed by diffuse. leptospirosis is an important zoonotic disease with worldwide. leptospirosis is a spirochaetal zoonosis, with a broad spectrum of clinical manifestations, ranging from mild (febrile illness) to fulminant. a diagnosis of leptospirosis was eventually established through an extensive and thorough history. Case Report Leptospirosis.
From www.cureus.com
Cureus Severe Leptospirosis A Case Report Case Report Leptospirosis a diagnosis of leptospirosis was eventually established through an extensive and thorough history leading to a stepwise. leptospirosis is an important zoonotic disease with worldwide. leptospirosis is a spirochaetal zoonosis, with a broad spectrum of clinical manifestations, ranging from mild (febrile illness) to fulminant. here, we report of a patient who presented with fever, shock and. Case Report Leptospirosis.
From www.researchgate.net
(PDF) A rare case of severe leptospirosis infection presenting as Case Report Leptospirosis here, we report of a patient who presented with fever, shock and thrombocytopenia followed by diffuse. a diagnosis of leptospirosis was eventually established through an extensive and thorough history leading to a stepwise. leptospirosis is a spirochaetal zoonosis, with a broad spectrum of clinical manifestations, ranging from mild (febrile illness) to fulminant. leptospirosis is an important. Case Report Leptospirosis.
From dokumen.tips
(PDF) Leptospirosis A Case Report of a Patient with Unusual 2 (1 Case Report Leptospirosis leptospirosis is an important zoonotic disease with worldwide. a diagnosis of leptospirosis was eventually established through an extensive and thorough history leading to a stepwise. here, we report of a patient who presented with fever, shock and thrombocytopenia followed by diffuse. leptospirosis is a spirochaetal zoonosis, with a broad spectrum of clinical manifestations, ranging from mild. Case Report Leptospirosis.
From vdocuments.mx
Leptospirosis Case Report Form Queensland Health · Fever Nausea Case Report Leptospirosis here, we report of a patient who presented with fever, shock and thrombocytopenia followed by diffuse. leptospirosis is an important zoonotic disease with worldwide. a diagnosis of leptospirosis was eventually established through an extensive and thorough history leading to a stepwise. leptospirosis is a spirochaetal zoonosis, with a broad spectrum of clinical manifestations, ranging from mild. Case Report Leptospirosis.
From www.researchgate.net
(PDF) Workplace and ResidenceAssociated Leptospirosis A Case Report Case Report Leptospirosis here, we report of a patient who presented with fever, shock and thrombocytopenia followed by diffuse. leptospirosis is a spirochaetal zoonosis, with a broad spectrum of clinical manifestations, ranging from mild (febrile illness) to fulminant. a diagnosis of leptospirosis was eventually established through an extensive and thorough history leading to a stepwise. leptospirosis is an important. Case Report Leptospirosis.
From fdocuments.ec
RELATO DE CASO LEPTOSPIROSE CANINA CAUSADA … · 1 relato de caso Case Report Leptospirosis a diagnosis of leptospirosis was eventually established through an extensive and thorough history leading to a stepwise. leptospirosis is a spirochaetal zoonosis, with a broad spectrum of clinical manifestations, ranging from mild (febrile illness) to fulminant. leptospirosis is an important zoonotic disease with worldwide. here, we report of a patient who presented with fever, shock and. Case Report Leptospirosis.
From www.researchgate.net
(PDF) Case report Leptospirosis with failure complicated Case Report Leptospirosis leptospirosis is an important zoonotic disease with worldwide. a diagnosis of leptospirosis was eventually established through an extensive and thorough history leading to a stepwise. here, we report of a patient who presented with fever, shock and thrombocytopenia followed by diffuse. leptospirosis is a spirochaetal zoonosis, with a broad spectrum of clinical manifestations, ranging from mild. Case Report Leptospirosis.
From docslib.org
Leptospirosis Associated Kawasaki Disease. Differential Diagnosis Or Case Report Leptospirosis a diagnosis of leptospirosis was eventually established through an extensive and thorough history leading to a stepwise. leptospirosis is an important zoonotic disease with worldwide. leptospirosis is a spirochaetal zoonosis, with a broad spectrum of clinical manifestations, ranging from mild (febrile illness) to fulminant. here, we report of a patient who presented with fever, shock and. Case Report Leptospirosis.
From www.researchgate.net
(PDF) Leptospirosis Fever Case Report Case Report Leptospirosis here, we report of a patient who presented with fever, shock and thrombocytopenia followed by diffuse. a diagnosis of leptospirosis was eventually established through an extensive and thorough history leading to a stepwise. leptospirosis is a spirochaetal zoonosis, with a broad spectrum of clinical manifestations, ranging from mild (febrile illness) to fulminant. leptospirosis is an important. Case Report Leptospirosis.
From fdokumen.com
Case Report Leptospirosis [PPTX Powerpoint] Case Report Leptospirosis a diagnosis of leptospirosis was eventually established through an extensive and thorough history leading to a stepwise. leptospirosis is a spirochaetal zoonosis, with a broad spectrum of clinical manifestations, ranging from mild (febrile illness) to fulminant. here, we report of a patient who presented with fever, shock and thrombocytopenia followed by diffuse. leptospirosis is an important. Case Report Leptospirosis.
From www.scribd.com
LeptospirosisCaseReport PDF Clinical Medicine Medical Specialties Case Report Leptospirosis leptospirosis is an important zoonotic disease with worldwide. leptospirosis is a spirochaetal zoonosis, with a broad spectrum of clinical manifestations, ranging from mild (febrile illness) to fulminant. a diagnosis of leptospirosis was eventually established through an extensive and thorough history leading to a stepwise. here, we report of a patient who presented with fever, shock and. Case Report Leptospirosis.
From www.academia.edu
(PDF) Cardiac Leptospirosis, a Case Report and Review mert berke gür Case Report Leptospirosis a diagnosis of leptospirosis was eventually established through an extensive and thorough history leading to a stepwise. leptospirosis is an important zoonotic disease with worldwide. here, we report of a patient who presented with fever, shock and thrombocytopenia followed by diffuse. leptospirosis is a spirochaetal zoonosis, with a broad spectrum of clinical manifestations, ranging from mild. Case Report Leptospirosis.
From www.frontiersin.org
Frontiers Case report Leptospirosis with failure Case Report Leptospirosis leptospirosis is an important zoonotic disease with worldwide. leptospirosis is a spirochaetal zoonosis, with a broad spectrum of clinical manifestations, ranging from mild (febrile illness) to fulminant. a diagnosis of leptospirosis was eventually established through an extensive and thorough history leading to a stepwise. here, we report of a patient who presented with fever, shock and. Case Report Leptospirosis.
From www.researchgate.net
(PDF) Leptospirosis complicated with Weils disease and severe pulmonary Case Report Leptospirosis leptospirosis is an important zoonotic disease with worldwide. leptospirosis is a spirochaetal zoonosis, with a broad spectrum of clinical manifestations, ranging from mild (febrile illness) to fulminant. here, we report of a patient who presented with fever, shock and thrombocytopenia followed by diffuse. a diagnosis of leptospirosis was eventually established through an extensive and thorough history. Case Report Leptospirosis.
From www.scribd.com
Case Study of Leptospirosis Rtt Health Sciences Case Report Leptospirosis leptospirosis is a spirochaetal zoonosis, with a broad spectrum of clinical manifestations, ranging from mild (febrile illness) to fulminant. a diagnosis of leptospirosis was eventually established through an extensive and thorough history leading to a stepwise. here, we report of a patient who presented with fever, shock and thrombocytopenia followed by diffuse. leptospirosis is an important. Case Report Leptospirosis.
From www.researchgate.net
(PDF) Case Report A Cluster of Three Leptospirosis Cases in a New York Case Report Leptospirosis here, we report of a patient who presented with fever, shock and thrombocytopenia followed by diffuse. leptospirosis is an important zoonotic disease with worldwide. a diagnosis of leptospirosis was eventually established through an extensive and thorough history leading to a stepwise. leptospirosis is a spirochaetal zoonosis, with a broad spectrum of clinical manifestations, ranging from mild. Case Report Leptospirosis.
From www.slideshare.net
IJBAMR Case reportLeptospirosis Case Report Leptospirosis a diagnosis of leptospirosis was eventually established through an extensive and thorough history leading to a stepwise. leptospirosis is an important zoonotic disease with worldwide. leptospirosis is a spirochaetal zoonosis, with a broad spectrum of clinical manifestations, ranging from mild (febrile illness) to fulminant. here, we report of a patient who presented with fever, shock and. Case Report Leptospirosis.
From dokumen.tips
(PDF) Leptospirosis Case Report CDPH Home Document Library Case Report Leptospirosis a diagnosis of leptospirosis was eventually established through an extensive and thorough history leading to a stepwise. leptospirosis is a spirochaetal zoonosis, with a broad spectrum of clinical manifestations, ranging from mild (febrile illness) to fulminant. here, we report of a patient who presented with fever, shock and thrombocytopenia followed by diffuse. leptospirosis is an important. Case Report Leptospirosis.
From www.frontiersin.org
Frontiers Case report Leptospirosis with failure Case Report Leptospirosis a diagnosis of leptospirosis was eventually established through an extensive and thorough history leading to a stepwise. here, we report of a patient who presented with fever, shock and thrombocytopenia followed by diffuse. leptospirosis is an important zoonotic disease with worldwide. leptospirosis is a spirochaetal zoonosis, with a broad spectrum of clinical manifestations, ranging from mild. Case Report Leptospirosis.