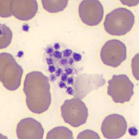
How To Report Platelet Clumping . Reporting platelet counts on samples that show platelet clumps can be a challenge. Peripheral smear examination is important in patients with thrombocytopenia because automated platelet counts sometimes show pseudothrombocytopenia due. Ptcp occurs when platelets clump together. Clumping can make it seem like the blood has too. The platelet clumping protocol is used to resolve falsely decreased platelet counts (pseudothrombocytopenia) in patients whose. Unrecognized pseudothrombocytopenia may result in unnecessary diagnostic testing and clinical. Platelet clumping can lead to a falsely decreased automated platelet count. Causes of platelet clumping include platelet activation (due to traumatic. Thrombocytopenia may be associated with a variety of conditions, with clinical presentations ranging from. A recommended approach is not to give a platelet result value for a sample with.
from imagebank.hematology.org
The platelet clumping protocol is used to resolve falsely decreased platelet counts (pseudothrombocytopenia) in patients whose. Peripheral smear examination is important in patients with thrombocytopenia because automated platelet counts sometimes show pseudothrombocytopenia due. Platelet clumping can lead to a falsely decreased automated platelet count. A recommended approach is not to give a platelet result value for a sample with. Reporting platelet counts on samples that show platelet clumps can be a challenge. Clumping can make it seem like the blood has too. Causes of platelet clumping include platelet activation (due to traumatic. Thrombocytopenia may be associated with a variety of conditions, with clinical presentations ranging from. Ptcp occurs when platelets clump together. Unrecognized pseudothrombocytopenia may result in unnecessary diagnostic testing and clinical.
Platelet clump
How To Report Platelet Clumping Peripheral smear examination is important in patients with thrombocytopenia because automated platelet counts sometimes show pseudothrombocytopenia due. Clumping can make it seem like the blood has too. Unrecognized pseudothrombocytopenia may result in unnecessary diagnostic testing and clinical. The platelet clumping protocol is used to resolve falsely decreased platelet counts (pseudothrombocytopenia) in patients whose. Platelet clumping can lead to a falsely decreased automated platelet count. Reporting platelet counts on samples that show platelet clumps can be a challenge. A recommended approach is not to give a platelet result value for a sample with. Causes of platelet clumping include platelet activation (due to traumatic. Ptcp occurs when platelets clump together. Thrombocytopenia may be associated with a variety of conditions, with clinical presentations ranging from. Peripheral smear examination is important in patients with thrombocytopenia because automated platelet counts sometimes show pseudothrombocytopenia due.
From www.istockphoto.com
Platelets Clumps Micrograph Stock Photo Download Image Now How To Report Platelet Clumping Thrombocytopenia may be associated with a variety of conditions, with clinical presentations ranging from. Unrecognized pseudothrombocytopenia may result in unnecessary diagnostic testing and clinical. Clumping can make it seem like the blood has too. A recommended approach is not to give a platelet result value for a sample with. The platelet clumping protocol is used to resolve falsely decreased platelet. How To Report Platelet Clumping.
From www.pinterest.com
Thrombocytopenia, platelets (also called thrombocytes) are low in How To Report Platelet Clumping A recommended approach is not to give a platelet result value for a sample with. Thrombocytopenia may be associated with a variety of conditions, with clinical presentations ranging from. Peripheral smear examination is important in patients with thrombocytopenia because automated platelet counts sometimes show pseudothrombocytopenia due. Reporting platelet counts on samples that show platelet clumps can be a challenge. Causes. How To Report Platelet Clumping.
From www.researchgate.net
(PDF) Pseudothrombocytopenia due to Platelet Clumping A Case Report How To Report Platelet Clumping A recommended approach is not to give a platelet result value for a sample with. Clumping can make it seem like the blood has too. Thrombocytopenia may be associated with a variety of conditions, with clinical presentations ranging from. Reporting platelet counts on samples that show platelet clumps can be a challenge. The platelet clumping protocol is used to resolve. How To Report Platelet Clumping.
From www.shutterstock.com
165 Platelet clumping 이미지, 스톡 사진 및 벡터 Shutterstock How To Report Platelet Clumping Unrecognized pseudothrombocytopenia may result in unnecessary diagnostic testing and clinical. Reporting platelet counts on samples that show platelet clumps can be a challenge. Platelet clumping can lead to a falsely decreased automated platelet count. The platelet clumping protocol is used to resolve falsely decreased platelet counts (pseudothrombocytopenia) in patients whose. A recommended approach is not to give a platelet result. How To Report Platelet Clumping.
From imagebank.hematology.org
Clumps of platelets in peripheral blood smear How To Report Platelet Clumping Clumping can make it seem like the blood has too. Unrecognized pseudothrombocytopenia may result in unnecessary diagnostic testing and clinical. Reporting platelet counts on samples that show platelet clumps can be a challenge. The platelet clumping protocol is used to resolve falsely decreased platelet counts (pseudothrombocytopenia) in patients whose. Platelet clumping can lead to a falsely decreased automated platelet count.. How To Report Platelet Clumping.
From www.dreamstime.com
Platelet clumping. stock photo. Image of clumping, blood 279906824 How To Report Platelet Clumping Thrombocytopenia may be associated with a variety of conditions, with clinical presentations ranging from. The platelet clumping protocol is used to resolve falsely decreased platelet counts (pseudothrombocytopenia) in patients whose. Clumping can make it seem like the blood has too. Causes of platelet clumping include platelet activation (due to traumatic. Peripheral smear examination is important in patients with thrombocytopenia because. How To Report Platelet Clumping.
From www.pinterest.com.mx
Morphology of platelet Medical technology, Medical laboratory science How To Report Platelet Clumping Ptcp occurs when platelets clump together. A recommended approach is not to give a platelet result value for a sample with. Clumping can make it seem like the blood has too. Thrombocytopenia may be associated with a variety of conditions, with clinical presentations ranging from. The platelet clumping protocol is used to resolve falsely decreased platelet counts (pseudothrombocytopenia) in patients. How To Report Platelet Clumping.
From www.bigstockphoto.com
Platelet Clumping Image & Photo (Free Trial) Bigstock How To Report Platelet Clumping The platelet clumping protocol is used to resolve falsely decreased platelet counts (pseudothrombocytopenia) in patients whose. Platelet clumping can lead to a falsely decreased automated platelet count. Causes of platelet clumping include platelet activation (due to traumatic. Unrecognized pseudothrombocytopenia may result in unnecessary diagnostic testing and clinical. Clumping can make it seem like the blood has too. Reporting platelet counts. How To Report Platelet Clumping.
From fity.club
Rare Giant Platelets How To Report Platelet Clumping Platelet clumping can lead to a falsely decreased automated platelet count. Reporting platelet counts on samples that show platelet clumps can be a challenge. Peripheral smear examination is important in patients with thrombocytopenia because automated platelet counts sometimes show pseudothrombocytopenia due. Causes of platelet clumping include platelet activation (due to traumatic. Ptcp occurs when platelets clump together. Unrecognized pseudothrombocytopenia may. How To Report Platelet Clumping.
From www.shutterstock.com
187 Platelet Clumping Images, Stock Photos & Vectors Shutterstock How To Report Platelet Clumping Causes of platelet clumping include platelet activation (due to traumatic. The platelet clumping protocol is used to resolve falsely decreased platelet counts (pseudothrombocytopenia) in patients whose. Platelet clumping can lead to a falsely decreased automated platelet count. Reporting platelet counts on samples that show platelet clumps can be a challenge. A recommended approach is not to give a platelet result. How To Report Platelet Clumping.
From www.mdpi.com
JCM Free FullText Diagnosis of Inherited Platelet Disorders on a How To Report Platelet Clumping Causes of platelet clumping include platelet activation (due to traumatic. Platelet clumping can lead to a falsely decreased automated platelet count. Peripheral smear examination is important in patients with thrombocytopenia because automated platelet counts sometimes show pseudothrombocytopenia due. Clumping can make it seem like the blood has too. A recommended approach is not to give a platelet result value for. How To Report Platelet Clumping.
From medschool.co
Platelet Morphology Blood Film MedSchool How To Report Platelet Clumping Thrombocytopenia may be associated with a variety of conditions, with clinical presentations ranging from. Reporting platelet counts on samples that show platelet clumps can be a challenge. A recommended approach is not to give a platelet result value for a sample with. The platelet clumping protocol is used to resolve falsely decreased platelet counts (pseudothrombocytopenia) in patients whose. Unrecognized pseudothrombocytopenia. How To Report Platelet Clumping.
From labmedicineblog.com
Hematology Case Study The Story of the Platelet Clump EDTAInduced How To Report Platelet Clumping Causes of platelet clumping include platelet activation (due to traumatic. The platelet clumping protocol is used to resolve falsely decreased platelet counts (pseudothrombocytopenia) in patients whose. A recommended approach is not to give a platelet result value for a sample with. Reporting platelet counts on samples that show platelet clumps can be a challenge. Peripheral smear examination is important in. How To Report Platelet Clumping.
From www.medical-labs.net
PseudoThrombocytopenia caused by platelet clumps Medical Laboratories How To Report Platelet Clumping Peripheral smear examination is important in patients with thrombocytopenia because automated platelet counts sometimes show pseudothrombocytopenia due. Thrombocytopenia may be associated with a variety of conditions, with clinical presentations ranging from. Causes of platelet clumping include platelet activation (due to traumatic. Unrecognized pseudothrombocytopenia may result in unnecessary diagnostic testing and clinical. Platelet clumping can lead to a falsely decreased automated. How To Report Platelet Clumping.
From www.shutterstock.com
Platelet Clumping Cbc Test Find With Microscope. Stock Photo 288658373 How To Report Platelet Clumping Causes of platelet clumping include platelet activation (due to traumatic. The platelet clumping protocol is used to resolve falsely decreased platelet counts (pseudothrombocytopenia) in patients whose. Reporting platelet counts on samples that show platelet clumps can be a challenge. Peripheral smear examination is important in patients with thrombocytopenia because automated platelet counts sometimes show pseudothrombocytopenia due. Unrecognized pseudothrombocytopenia may result. How To Report Platelet Clumping.
From imagebank.hematology.org
Platelet clump How To Report Platelet Clumping Clumping can make it seem like the blood has too. Causes of platelet clumping include platelet activation (due to traumatic. Unrecognized pseudothrombocytopenia may result in unnecessary diagnostic testing and clinical. Peripheral smear examination is important in patients with thrombocytopenia because automated platelet counts sometimes show pseudothrombocytopenia due. Reporting platelet counts on samples that show platelet clumps can be a challenge.. How To Report Platelet Clumping.
From medschool.co
Platelet Morphology Blood Film MedSchool How To Report Platelet Clumping Ptcp occurs when platelets clump together. Clumping can make it seem like the blood has too. The platelet clumping protocol is used to resolve falsely decreased platelet counts (pseudothrombocytopenia) in patients whose. Reporting platelet counts on samples that show platelet clumps can be a challenge. Thrombocytopenia may be associated with a variety of conditions, with clinical presentations ranging from. Platelet. How To Report Platelet Clumping.
From www.gribblesvets.co.nz
When it's ok to have low platelets Gribbles Veterinary How To Report Platelet Clumping The platelet clumping protocol is used to resolve falsely decreased platelet counts (pseudothrombocytopenia) in patients whose. Unrecognized pseudothrombocytopenia may result in unnecessary diagnostic testing and clinical. Causes of platelet clumping include platelet activation (due to traumatic. A recommended approach is not to give a platelet result value for a sample with. Ptcp occurs when platelets clump together. Peripheral smear examination. How To Report Platelet Clumping.
From www.youtube.com
Platelets Clumps कैसे पहचाने How to identity Platelets clumps How To Report Platelet Clumping The platelet clumping protocol is used to resolve falsely decreased platelet counts (pseudothrombocytopenia) in patients whose. Causes of platelet clumping include platelet activation (due to traumatic. A recommended approach is not to give a platelet result value for a sample with. Clumping can make it seem like the blood has too. Platelet clumping can lead to a falsely decreased automated. How To Report Platelet Clumping.
From www.hindawi.com
Pseudothrombocytopenia due to Platelet Clumping A Case Report and How To Report Platelet Clumping Clumping can make it seem like the blood has too. Peripheral smear examination is important in patients with thrombocytopenia because automated platelet counts sometimes show pseudothrombocytopenia due. Thrombocytopenia may be associated with a variety of conditions, with clinical presentations ranging from. Ptcp occurs when platelets clump together. The platelet clumping protocol is used to resolve falsely decreased platelet counts (pseudothrombocytopenia). How To Report Platelet Clumping.
From www.pinterest.com
platelet clumping on smear, due to EDTA in tube, pseudothrombocytopenia How To Report Platelet Clumping Clumping can make it seem like the blood has too. Unrecognized pseudothrombocytopenia may result in unnecessary diagnostic testing and clinical. The platelet clumping protocol is used to resolve falsely decreased platelet counts (pseudothrombocytopenia) in patients whose. Ptcp occurs when platelets clump together. A recommended approach is not to give a platelet result value for a sample with. Reporting platelet counts. How To Report Platelet Clumping.
From igcse-biology-2017.blogspot.com
IGCSE Biology 2017 2.64B Understand How Platelets are Involved in How To Report Platelet Clumping Platelet clumping can lead to a falsely decreased automated platelet count. Causes of platelet clumping include platelet activation (due to traumatic. Reporting platelet counts on samples that show platelet clumps can be a challenge. Clumping can make it seem like the blood has too. Unrecognized pseudothrombocytopenia may result in unnecessary diagnostic testing and clinical. Ptcp occurs when platelets clump together.. How To Report Platelet Clumping.
From www.pinterest.com
The arrow in this picture is pointing to a clump of platelets How To Report Platelet Clumping Clumping can make it seem like the blood has too. Unrecognized pseudothrombocytopenia may result in unnecessary diagnostic testing and clinical. Reporting platelet counts on samples that show platelet clumps can be a challenge. Ptcp occurs when platelets clump together. Peripheral smear examination is important in patients with thrombocytopenia because automated platelet counts sometimes show pseudothrombocytopenia due. Thrombocytopenia may be associated. How To Report Platelet Clumping.
From labmedicineblog.com
Hematology Case Study The Story of the Platelet Clump EDTAInduced How To Report Platelet Clumping Unrecognized pseudothrombocytopenia may result in unnecessary diagnostic testing and clinical. Causes of platelet clumping include platelet activation (due to traumatic. A recommended approach is not to give a platelet result value for a sample with. Peripheral smear examination is important in patients with thrombocytopenia because automated platelet counts sometimes show pseudothrombocytopenia due. Reporting platelet counts on samples that show platelet. How To Report Platelet Clumping.
From imagebank.hematology.org
Platelet clump 1. How To Report Platelet Clumping Ptcp occurs when platelets clump together. A recommended approach is not to give a platelet result value for a sample with. The platelet clumping protocol is used to resolve falsely decreased platelet counts (pseudothrombocytopenia) in patients whose. Clumping can make it seem like the blood has too. Reporting platelet counts on samples that show platelet clumps can be a challenge.. How To Report Platelet Clumping.
From www.istockphoto.com
Platelets Clumps Micrograph Stock Photo Download Image Now How To Report Platelet Clumping Unrecognized pseudothrombocytopenia may result in unnecessary diagnostic testing and clinical. Reporting platelet counts on samples that show platelet clumps can be a challenge. Thrombocytopenia may be associated with a variety of conditions, with clinical presentations ranging from. Causes of platelet clumping include platelet activation (due to traumatic. Peripheral smear examination is important in patients with thrombocytopenia because automated platelet counts. How To Report Platelet Clumping.
From en.rattibha.com
1/5 PSEUOTHROMBOCYTOPENIA I tweeted a poll asking for the next step in How To Report Platelet Clumping Unrecognized pseudothrombocytopenia may result in unnecessary diagnostic testing and clinical. The platelet clumping protocol is used to resolve falsely decreased platelet counts (pseudothrombocytopenia) in patients whose. Ptcp occurs when platelets clump together. Peripheral smear examination is important in patients with thrombocytopenia because automated platelet counts sometimes show pseudothrombocytopenia due. Reporting platelet counts on samples that show platelet clumps can be. How To Report Platelet Clumping.
From loehnampk.blob.core.windows.net
Platelets In Blood Meaning at Virginia Gordon blog How To Report Platelet Clumping A recommended approach is not to give a platelet result value for a sample with. Peripheral smear examination is important in patients with thrombocytopenia because automated platelet counts sometimes show pseudothrombocytopenia due. Ptcp occurs when platelets clump together. The platelet clumping protocol is used to resolve falsely decreased platelet counts (pseudothrombocytopenia) in patients whose. Reporting platelet counts on samples that. How To Report Platelet Clumping.
From www.youtube.com
Low Platelets Signs & Symptoms (Basics for Beginners) YouTube How To Report Platelet Clumping Clumping can make it seem like the blood has too. A recommended approach is not to give a platelet result value for a sample with. Platelet clumping can lead to a falsely decreased automated platelet count. Causes of platelet clumping include platelet activation (due to traumatic. Thrombocytopenia may be associated with a variety of conditions, with clinical presentations ranging from.. How To Report Platelet Clumping.
From www.researchgate.net
Platelets size and morphology of EDTAassociated clumps in (a) and (b How To Report Platelet Clumping Platelet clumping can lead to a falsely decreased automated platelet count. A recommended approach is not to give a platelet result value for a sample with. Unrecognized pseudothrombocytopenia may result in unnecessary diagnostic testing and clinical. Reporting platelet counts on samples that show platelet clumps can be a challenge. Ptcp occurs when platelets clump together. Clumping can make it seem. How To Report Platelet Clumping.
From www.pinterest.com
platelet clumps Medical laboratory, Medical laboratory science How To Report Platelet Clumping Clumping can make it seem like the blood has too. Platelet clumping can lead to a falsely decreased automated platelet count. Ptcp occurs when platelets clump together. Thrombocytopenia may be associated with a variety of conditions, with clinical presentations ranging from. The platelet clumping protocol is used to resolve falsely decreased platelet counts (pseudothrombocytopenia) in patients whose. Reporting platelet counts. How To Report Platelet Clumping.
From stock.adobe.com
platelet clumping as a possible cause of low platelet count in patients How To Report Platelet Clumping The platelet clumping protocol is used to resolve falsely decreased platelet counts (pseudothrombocytopenia) in patients whose. Platelet clumping can lead to a falsely decreased automated platelet count. Thrombocytopenia may be associated with a variety of conditions, with clinical presentations ranging from. Peripheral smear examination is important in patients with thrombocytopenia because automated platelet counts sometimes show pseudothrombocytopenia due. Reporting platelet. How To Report Platelet Clumping.
From www.youtube.com
Platelet Histograms YouTube How To Report Platelet Clumping Peripheral smear examination is important in patients with thrombocytopenia because automated platelet counts sometimes show pseudothrombocytopenia due. Platelet clumping can lead to a falsely decreased automated platelet count. A recommended approach is not to give a platelet result value for a sample with. The platelet clumping protocol is used to resolve falsely decreased platelet counts (pseudothrombocytopenia) in patients whose. Clumping. How To Report Platelet Clumping.
From www.facebook.com
Facebook How To Report Platelet Clumping A recommended approach is not to give a platelet result value for a sample with. Thrombocytopenia may be associated with a variety of conditions, with clinical presentations ranging from. Peripheral smear examination is important in patients with thrombocytopenia because automated platelet counts sometimes show pseudothrombocytopenia due. Ptcp occurs when platelets clump together. Reporting platelet counts on samples that show platelet. How To Report Platelet Clumping.
From guidediagramsignalling.z21.web.core.windows.net
How To Do A Manual Platelet Count In Dogs How To Report Platelet Clumping Clumping can make it seem like the blood has too. Thrombocytopenia may be associated with a variety of conditions, with clinical presentations ranging from. A recommended approach is not to give a platelet result value for a sample with. Causes of platelet clumping include platelet activation (due to traumatic. Peripheral smear examination is important in patients with thrombocytopenia because automated. How To Report Platelet Clumping.