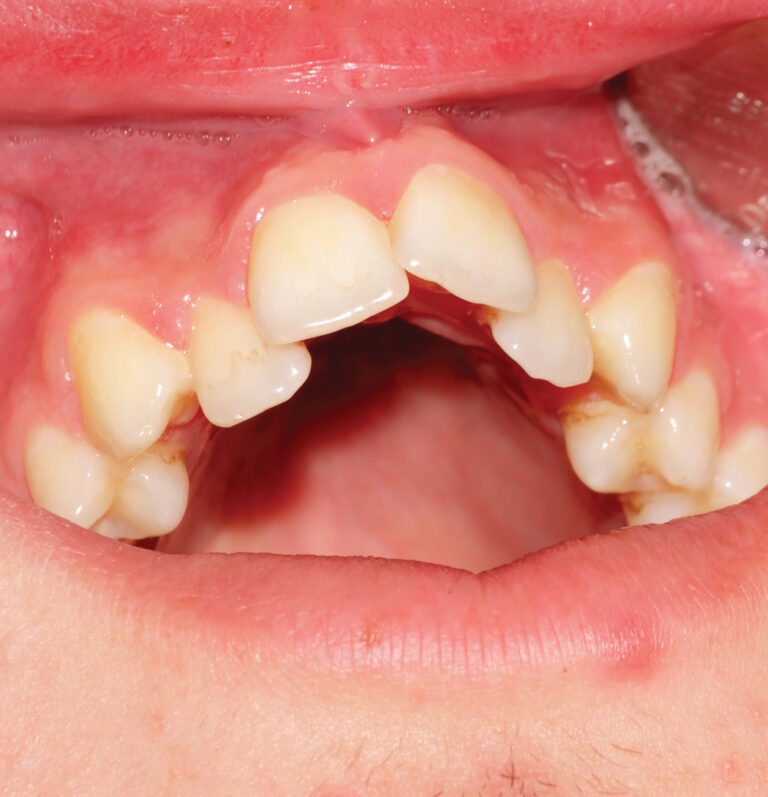
Can Dummies Cause Teeth Problems . When dummies are used conservatively, evidence suggests that they cannot and will not have a detrimental impact on the development of a child’s teeth. Dummies don’t cause as much trouble for adult teeth as thumb sucking, as a dummy habit is usually curbed before the age of seven. Risks of oral health issues only apply when a child is allowed to use a dummy continuously and relentlessly, doctors and dentists argue. How can a dummy damage teeth? Impact of dummies on teeth. Can they cause dental problems? But are they bad for your children? Just like a baby or toddler sucking their thumb can lead to children's oral health problems, dummies can also end up harming and causing. Extended dummy use may result in improper teeth positioning, causing biting and chewing issues. This can cause severe tooth decay very quickly. Never dip dummies in sweet things such as honey, jams or syrups; Dummies, or pacifiers, are initially used for comfort, but extended use can influence a child’s oral cavity. You should be aware, though, that the longer your.
from positive-healthcare.com
But are they bad for your children? Dummies don’t cause as much trouble for adult teeth as thumb sucking, as a dummy habit is usually curbed before the age of seven. Never dip dummies in sweet things such as honey, jams or syrups; Just like a baby or toddler sucking their thumb can lead to children's oral health problems, dummies can also end up harming and causing. Can they cause dental problems? How can a dummy damage teeth? Risks of oral health issues only apply when a child is allowed to use a dummy continuously and relentlessly, doctors and dentists argue. When dummies are used conservatively, evidence suggests that they cannot and will not have a detrimental impact on the development of a child’s teeth. Extended dummy use may result in improper teeth positioning, causing biting and chewing issues. Dummies, or pacifiers, are initially used for comfort, but extended use can influence a child’s oral cavity.
Common Dental Problems and How to Prevent Them Positive Healthcare
Can Dummies Cause Teeth Problems Risks of oral health issues only apply when a child is allowed to use a dummy continuously and relentlessly, doctors and dentists argue. This can cause severe tooth decay very quickly. Extended dummy use may result in improper teeth positioning, causing biting and chewing issues. Dummies, or pacifiers, are initially used for comfort, but extended use can influence a child’s oral cavity. But are they bad for your children? You should be aware, though, that the longer your. Impact of dummies on teeth. How can a dummy damage teeth? When dummies are used conservatively, evidence suggests that they cannot and will not have a detrimental impact on the development of a child’s teeth. Risks of oral health issues only apply when a child is allowed to use a dummy continuously and relentlessly, doctors and dentists argue. Can they cause dental problems? Never dip dummies in sweet things such as honey, jams or syrups; Just like a baby or toddler sucking their thumb can lead to children's oral health problems, dummies can also end up harming and causing. Dummies don’t cause as much trouble for adult teeth as thumb sucking, as a dummy habit is usually curbed before the age of seven.
From www.drsilmansmilespa.com
Most Common Symptoms of Tooth Decay Can Dummies Cause Teeth Problems When dummies are used conservatively, evidence suggests that they cannot and will not have a detrimental impact on the development of a child’s teeth. This can cause severe tooth decay very quickly. How can a dummy damage teeth? Risks of oral health issues only apply when a child is allowed to use a dummy continuously and relentlessly, doctors and dentists. Can Dummies Cause Teeth Problems.
From www.allsmilesdental.sg
Gum Disease Symptoms and Treatment AllSmiles Dental Care Can Dummies Cause Teeth Problems Can they cause dental problems? When dummies are used conservatively, evidence suggests that they cannot and will not have a detrimental impact on the development of a child’s teeth. Never dip dummies in sweet things such as honey, jams or syrups; You should be aware, though, that the longer your. Just like a baby or toddler sucking their thumb can. Can Dummies Cause Teeth Problems.
From www.leedentistryoxford.com
8 Common Dental Problems Children and Adults Lee Family and Can Dummies Cause Teeth Problems Impact of dummies on teeth. You should be aware, though, that the longer your. Dummies don’t cause as much trouble for adult teeth as thumb sucking, as a dummy habit is usually curbed before the age of seven. Dummies, or pacifiers, are initially used for comfort, but extended use can influence a child’s oral cavity. Never dip dummies in sweet. Can Dummies Cause Teeth Problems.
From positive-healthcare.com
Common Dental Problems and How to Prevent Them Positive Healthcare Can Dummies Cause Teeth Problems How can a dummy damage teeth? Dummies, or pacifiers, are initially used for comfort, but extended use can influence a child’s oral cavity. Risks of oral health issues only apply when a child is allowed to use a dummy continuously and relentlessly, doctors and dentists argue. When dummies are used conservatively, evidence suggests that they cannot and will not have. Can Dummies Cause Teeth Problems.
From www.hcdentistryak.com
What Are Issues Caused by Bad Dental Hygiene? Can Dummies Cause Teeth Problems How can a dummy damage teeth? Dummies, or pacifiers, are initially used for comfort, but extended use can influence a child’s oral cavity. When dummies are used conservatively, evidence suggests that they cannot and will not have a detrimental impact on the development of a child’s teeth. This can cause severe tooth decay very quickly. Impact of dummies on teeth.. Can Dummies Cause Teeth Problems.
From smileangels.com
A Look into Common Dental Problems and Diseases in 2020 Smile Angels Can Dummies Cause Teeth Problems But are they bad for your children? Impact of dummies on teeth. Dummies don’t cause as much trouble for adult teeth as thumb sucking, as a dummy habit is usually curbed before the age of seven. You should be aware, though, that the longer your. Never dip dummies in sweet things such as honey, jams or syrups; Can they cause. Can Dummies Cause Teeth Problems.
From www.ericdavisdental.com
Eric Davis Dental Dummy Teeth and Pacifier Teeth How the Use of Can Dummies Cause Teeth Problems You should be aware, though, that the longer your. Impact of dummies on teeth. Dummies don’t cause as much trouble for adult teeth as thumb sucking, as a dummy habit is usually curbed before the age of seven. Dummies, or pacifiers, are initially used for comfort, but extended use can influence a child’s oral cavity. Can they cause dental problems?. Can Dummies Cause Teeth Problems.
From hospitalk.blogspot.com
What kind of problems can an infected tooth cause? Can Dummies Cause Teeth Problems Dummies, or pacifiers, are initially used for comfort, but extended use can influence a child’s oral cavity. When dummies are used conservatively, evidence suggests that they cannot and will not have a detrimental impact on the development of a child’s teeth. Extended dummy use may result in improper teeth positioning, causing biting and chewing issues. You should be aware, though,. Can Dummies Cause Teeth Problems.
From blyssdental.com
Top 15 Common Dental Problems Causes, Treatments, Prevention Can Dummies Cause Teeth Problems You should be aware, though, that the longer your. This can cause severe tooth decay very quickly. Never dip dummies in sweet things such as honey, jams or syrups; Dummies, or pacifiers, are initially used for comfort, but extended use can influence a child’s oral cavity. How can a dummy damage teeth? Just like a baby or toddler sucking their. Can Dummies Cause Teeth Problems.
From www.findatopdoc.com
Cavities/ Tooth Decay Symptoms, Causes, Treatment, and Diagnosis Can Dummies Cause Teeth Problems Can they cause dental problems? This can cause severe tooth decay very quickly. Risks of oral health issues only apply when a child is allowed to use a dummy continuously and relentlessly, doctors and dentists argue. Dummies, or pacifiers, are initially used for comfort, but extended use can influence a child’s oral cavity. How can a dummy damage teeth? Never. Can Dummies Cause Teeth Problems.
From citydentalnyc.com
22 Most Common Dental Problems and Common Tooth Diseases Can Dummies Cause Teeth Problems This can cause severe tooth decay very quickly. Dummies, or pacifiers, are initially used for comfort, but extended use can influence a child’s oral cavity. Impact of dummies on teeth. When dummies are used conservatively, evidence suggests that they cannot and will not have a detrimental impact on the development of a child’s teeth. How can a dummy damage teeth?. Can Dummies Cause Teeth Problems.
From idental.com.sg
All About Crooked Teeth Causes, Issues and Treatment Options Can Dummies Cause Teeth Problems Never dip dummies in sweet things such as honey, jams or syrups; You should be aware, though, that the longer your. This can cause severe tooth decay very quickly. Extended dummy use may result in improper teeth positioning, causing biting and chewing issues. Risks of oral health issues only apply when a child is allowed to use a dummy continuously. Can Dummies Cause Teeth Problems.
From www.pinterest.com
The Start Process of Tooth Decay Issues!!!! Dental tooth decay is the Can Dummies Cause Teeth Problems You should be aware, though, that the longer your. Dummies don’t cause as much trouble for adult teeth as thumb sucking, as a dummy habit is usually curbed before the age of seven. Extended dummy use may result in improper teeth positioning, causing biting and chewing issues. But are they bad for your children? This can cause severe tooth decay. Can Dummies Cause Teeth Problems.
From together.stjude.org
Dental Problems in Childhood Cancer Survivors Together by St. Jude™ Can Dummies Cause Teeth Problems Dummies don’t cause as much trouble for adult teeth as thumb sucking, as a dummy habit is usually curbed before the age of seven. Just like a baby or toddler sucking their thumb can lead to children's oral health problems, dummies can also end up harming and causing. Never dip dummies in sweet things such as honey, jams or syrups;. Can Dummies Cause Teeth Problems.
From www.firsthilldentalcenter.com
Family Dental Care Seattle 5 Common Causes of Cavities Can Dummies Cause Teeth Problems Can they cause dental problems? Dummies don’t cause as much trouble for adult teeth as thumb sucking, as a dummy habit is usually curbed before the age of seven. Dummies, or pacifiers, are initially used for comfort, but extended use can influence a child’s oral cavity. This can cause severe tooth decay very quickly. Impact of dummies on teeth. How. Can Dummies Cause Teeth Problems.
From fightgumdisease.com
Learn About Gum Disease Gum Infection Stages Periodontitis Treatment Can Dummies Cause Teeth Problems Just like a baby or toddler sucking their thumb can lead to children's oral health problems, dummies can also end up harming and causing. You should be aware, though, that the longer your. Risks of oral health issues only apply when a child is allowed to use a dummy continuously and relentlessly, doctors and dentists argue. But are they bad. Can Dummies Cause Teeth Problems.
From www.drwilliammckenzie.com
The Five Stages of Gum Disease — The McKenzie Center Implants Can Dummies Cause Teeth Problems You should be aware, though, that the longer your. Dummies, or pacifiers, are initially used for comfort, but extended use can influence a child’s oral cavity. Dummies don’t cause as much trouble for adult teeth as thumb sucking, as a dummy habit is usually curbed before the age of seven. Never dip dummies in sweet things such as honey, jams. Can Dummies Cause Teeth Problems.
From www.rrdch.org
10 Different Causes of Tooth Sensitivity RRDCH Can Dummies Cause Teeth Problems Never dip dummies in sweet things such as honey, jams or syrups; Risks of oral health issues only apply when a child is allowed to use a dummy continuously and relentlessly, doctors and dentists argue. When dummies are used conservatively, evidence suggests that they cannot and will not have a detrimental impact on the development of a child’s teeth. You. Can Dummies Cause Teeth Problems.
From dentalmedicalmarketing.com
Best Solution To Your All Dental Problems Dental Medical Marketing Can Dummies Cause Teeth Problems How can a dummy damage teeth? Can they cause dental problems? This can cause severe tooth decay very quickly. Just like a baby or toddler sucking their thumb can lead to children's oral health problems, dummies can also end up harming and causing. But are they bad for your children? Never dip dummies in sweet things such as honey, jams. Can Dummies Cause Teeth Problems.
From dimensionsofdentalhygiene.com
Tips to Effectively Educate Caregivers Regarding NonNutritive Sucking Can Dummies Cause Teeth Problems Impact of dummies on teeth. Dummies, or pacifiers, are initially used for comfort, but extended use can influence a child’s oral cavity. How can a dummy damage teeth? Never dip dummies in sweet things such as honey, jams or syrups; Extended dummy use may result in improper teeth positioning, causing biting and chewing issues. You should be aware, though, that. Can Dummies Cause Teeth Problems.
From www.pinterest.com
There are 5 most common dental problems that generally found in people Can Dummies Cause Teeth Problems Never dip dummies in sweet things such as honey, jams or syrups; Dummies, or pacifiers, are initially used for comfort, but extended use can influence a child’s oral cavity. Risks of oral health issues only apply when a child is allowed to use a dummy continuously and relentlessly, doctors and dentists argue. When dummies are used conservatively, evidence suggests that. Can Dummies Cause Teeth Problems.
From medshun.com
The Implications Of A Bad Wisdom Tooth Problems To Watch Out For MedShun Can Dummies Cause Teeth Problems This can cause severe tooth decay very quickly. Extended dummy use may result in improper teeth positioning, causing biting and chewing issues. Just like a baby or toddler sucking their thumb can lead to children's oral health problems, dummies can also end up harming and causing. You should be aware, though, that the longer your. When dummies are used conservatively,. Can Dummies Cause Teeth Problems.
From edmontonsmiles.net
Symptoms Of Common Dental Problems Can Dummies Cause Teeth Problems You should be aware, though, that the longer your. Extended dummy use may result in improper teeth positioning, causing biting and chewing issues. Never dip dummies in sweet things such as honey, jams or syrups; How can a dummy damage teeth? This can cause severe tooth decay very quickly. When dummies are used conservatively, evidence suggests that they cannot and. Can Dummies Cause Teeth Problems.
From ar.inspiredpencil.com
Teeth Mouth Diseases Can Dummies Cause Teeth Problems Extended dummy use may result in improper teeth positioning, causing biting and chewing issues. This can cause severe tooth decay very quickly. Can they cause dental problems? How can a dummy damage teeth? Impact of dummies on teeth. Never dip dummies in sweet things such as honey, jams or syrups; Dummies don’t cause as much trouble for adult teeth as. Can Dummies Cause Teeth Problems.
From toothshow.com
Can An Abscessed Tooth Cause Dizziness? Yes! Can Dummies Cause Teeth Problems Can they cause dental problems? When dummies are used conservatively, evidence suggests that they cannot and will not have a detrimental impact on the development of a child’s teeth. Never dip dummies in sweet things such as honey, jams or syrups; You should be aware, though, that the longer your. Dummies don’t cause as much trouble for adult teeth as. Can Dummies Cause Teeth Problems.
From www.vectorstock.com
Dental problems diseases infographic set Vector Image Can Dummies Cause Teeth Problems Impact of dummies on teeth. Extended dummy use may result in improper teeth positioning, causing biting and chewing issues. Dummies, or pacifiers, are initially used for comfort, but extended use can influence a child’s oral cavity. This can cause severe tooth decay very quickly. You should be aware, though, that the longer your. Never dip dummies in sweet things such. Can Dummies Cause Teeth Problems.
From www.sciencephoto.com
Abnormal teeth in ectodermal dysplasia Stock Image C004/2440 Can Dummies Cause Teeth Problems You should be aware, though, that the longer your. Never dip dummies in sweet things such as honey, jams or syrups; But are they bad for your children? When dummies are used conservatively, evidence suggests that they cannot and will not have a detrimental impact on the development of a child’s teeth. Risks of oral health issues only apply when. Can Dummies Cause Teeth Problems.
From www.verywellhealth.com
Tooth Pain Causes, Treatment, When to See a Dentist Can Dummies Cause Teeth Problems Impact of dummies on teeth. When dummies are used conservatively, evidence suggests that they cannot and will not have a detrimental impact on the development of a child’s teeth. Dummies, or pacifiers, are initially used for comfort, but extended use can influence a child’s oral cavity. This can cause severe tooth decay very quickly. Dummies don’t cause as much trouble. Can Dummies Cause Teeth Problems.
From heritagedentaledmonton.ca
Common Dental Problems And How To Prevent Them Heritage Dental Centre Can Dummies Cause Teeth Problems This can cause severe tooth decay very quickly. When dummies are used conservatively, evidence suggests that they cannot and will not have a detrimental impact on the development of a child’s teeth. Can they cause dental problems? But are they bad for your children? Extended dummy use may result in improper teeth positioning, causing biting and chewing issues. Never dip. Can Dummies Cause Teeth Problems.
From www.adentalplace.com
Can Broken Teeth Cause Dental Problems? A Dental Place Can Dummies Cause Teeth Problems Extended dummy use may result in improper teeth positioning, causing biting and chewing issues. How can a dummy damage teeth? Just like a baby or toddler sucking their thumb can lead to children's oral health problems, dummies can also end up harming and causing. When dummies are used conservatively, evidence suggests that they cannot and will not have a detrimental. Can Dummies Cause Teeth Problems.
From prettymanorthodontics.com
Bite Problems Prettyman Orthodontics Can Dummies Cause Teeth Problems Impact of dummies on teeth. But are they bad for your children? Extended dummy use may result in improper teeth positioning, causing biting and chewing issues. This can cause severe tooth decay very quickly. How can a dummy damage teeth? You should be aware, though, that the longer your. Risks of oral health issues only apply when a child is. Can Dummies Cause Teeth Problems.
From www.pinterest.com
Dummies can affect teeth Dummy, Canning, Teeth Can Dummies Cause Teeth Problems Dummies don’t cause as much trouble for adult teeth as thumb sucking, as a dummy habit is usually curbed before the age of seven. Risks of oral health issues only apply when a child is allowed to use a dummy continuously and relentlessly, doctors and dentists argue. Dummies, or pacifiers, are initially used for comfort, but extended use can influence. Can Dummies Cause Teeth Problems.
From www.animalia-life.club
Teeth Diseases Can Dummies Cause Teeth Problems Risks of oral health issues only apply when a child is allowed to use a dummy continuously and relentlessly, doctors and dentists argue. You should be aware, though, that the longer your. Never dip dummies in sweet things such as honey, jams or syrups; When dummies are used conservatively, evidence suggests that they cannot and will not have a detrimental. Can Dummies Cause Teeth Problems.
From hxewbxhso.blob.core.windows.net
Dummies Teeth Problems at Minnie Grey blog Can Dummies Cause Teeth Problems This can cause severe tooth decay very quickly. Never dip dummies in sweet things such as honey, jams or syrups; Can they cause dental problems? Risks of oral health issues only apply when a child is allowed to use a dummy continuously and relentlessly, doctors and dentists argue. But are they bad for your children? Just like a baby or. Can Dummies Cause Teeth Problems.
From drjarredsoon.com
Cavities and Tooth Decay DR. Soon Can Dummies Cause Teeth Problems Can they cause dental problems? Extended dummy use may result in improper teeth positioning, causing biting and chewing issues. But are they bad for your children? When dummies are used conservatively, evidence suggests that they cannot and will not have a detrimental impact on the development of a child’s teeth. Impact of dummies on teeth. Risks of oral health issues. Can Dummies Cause Teeth Problems.