Wrist Replacement Vs Fusion . people who want to remain active and lift considerable weight with their wrist may be better served with a wrist fusion, which removes motion at the wrist but typically results in a strong and painless wrist that can stand up to heavier demands. doctors and researchers at the university of iowa compared treatment for patients with severe wrist arthritis. The arthritic surface is removed and the bones on each side of the joint are fused together. It can relieve wrist pain caused by severe wrist arthritis, wrist injuries, or genetic disorders. outcomes are compared with wrist fusion or arthrodesis, the alternative to wrist replacement. Arthrodesis can get rid of. sometimes called arthroplasty, total wrist replacement involves removing damaged bones and cartilage in. Joint fusion may be used. a wrist fusion surgery permanently fuses the bones in the wrist. wrist replacement is not as common as other joint replacement surgeries.
from trimedortho.com
It can relieve wrist pain caused by severe wrist arthritis, wrist injuries, or genetic disorders. people who want to remain active and lift considerable weight with their wrist may be better served with a wrist fusion, which removes motion at the wrist but typically results in a strong and painless wrist that can stand up to heavier demands. Arthrodesis can get rid of. wrist replacement is not as common as other joint replacement surgeries. sometimes called arthroplasty, total wrist replacement involves removing damaged bones and cartilage in. The arthritic surface is removed and the bones on each side of the joint are fused together. a wrist fusion surgery permanently fuses the bones in the wrist. outcomes are compared with wrist fusion or arthrodesis, the alternative to wrist replacement. doctors and researchers at the university of iowa compared treatment for patients with severe wrist arthritis. Joint fusion may be used.
Total Wrist Fusion Plate Wrist Fracture Fixation TriMed Inc.
Wrist Replacement Vs Fusion outcomes are compared with wrist fusion or arthrodesis, the alternative to wrist replacement. Arthrodesis can get rid of. outcomes are compared with wrist fusion or arthrodesis, the alternative to wrist replacement. a wrist fusion surgery permanently fuses the bones in the wrist. It can relieve wrist pain caused by severe wrist arthritis, wrist injuries, or genetic disorders. The arthritic surface is removed and the bones on each side of the joint are fused together. sometimes called arthroplasty, total wrist replacement involves removing damaged bones and cartilage in. Joint fusion may be used. doctors and researchers at the university of iowa compared treatment for patients with severe wrist arthritis. people who want to remain active and lift considerable weight with their wrist may be better served with a wrist fusion, which removes motion at the wrist but typically results in a strong and painless wrist that can stand up to heavier demands. wrist replacement is not as common as other joint replacement surgeries.
From trimedortho.com
Total Wrist Fusion Plate Wrist Fracture Fixation TriMed Inc. Wrist Replacement Vs Fusion outcomes are compared with wrist fusion or arthrodesis, the alternative to wrist replacement. people who want to remain active and lift considerable weight with their wrist may be better served with a wrist fusion, which removes motion at the wrist but typically results in a strong and painless wrist that can stand up to heavier demands. Arthrodesis can. Wrist Replacement Vs Fusion.
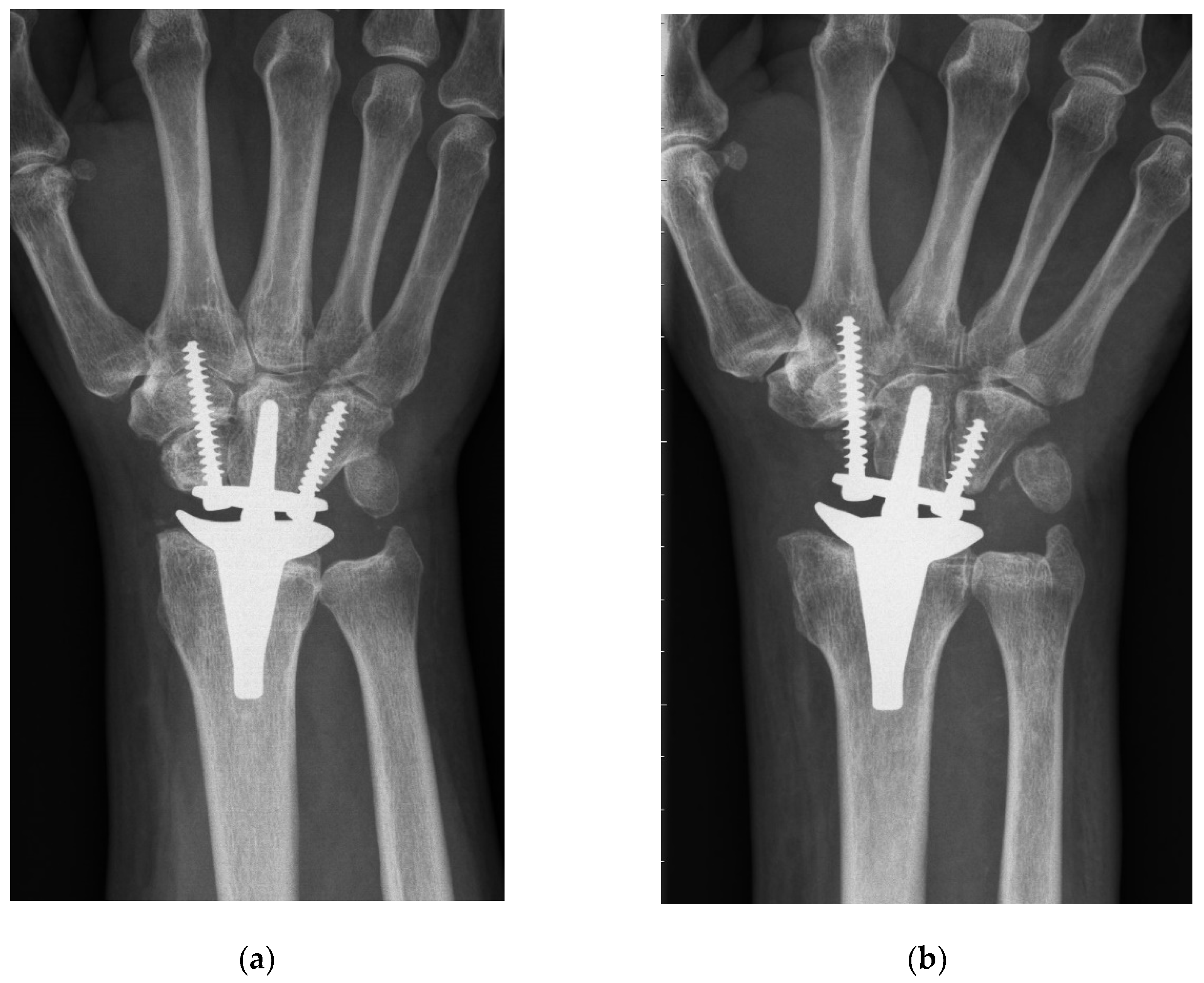
From www.jhandsurg.org
References in Wrist Arthrodesis for Failed Total Wrist Arthroplasty Wrist Replacement Vs Fusion Joint fusion may be used. outcomes are compared with wrist fusion or arthrodesis, the alternative to wrist replacement. wrist replacement is not as common as other joint replacement surgeries. It can relieve wrist pain caused by severe wrist arthritis, wrist injuries, or genetic disorders. a wrist fusion surgery permanently fuses the bones in the wrist. sometimes. Wrist Replacement Vs Fusion.
From www.gripsurgery.com.au
Partial / total wrist fusion Grip Hand & Wrist Surgery Wrist Replacement Vs Fusion outcomes are compared with wrist fusion or arthrodesis, the alternative to wrist replacement. sometimes called arthroplasty, total wrist replacement involves removing damaged bones and cartilage in. The arthritic surface is removed and the bones on each side of the joint are fused together. a wrist fusion surgery permanently fuses the bones in the wrist. people who. Wrist Replacement Vs Fusion.
From www.jhandsurg.org
References in Clinical of Total Wrist Arthroplasty Journal Wrist Replacement Vs Fusion Arthrodesis can get rid of. doctors and researchers at the university of iowa compared treatment for patients with severe wrist arthritis. people who want to remain active and lift considerable weight with their wrist may be better served with a wrist fusion, which removes motion at the wrist but typically results in a strong and painless wrist that. Wrist Replacement Vs Fusion.
From www.ladanhajipour.com
Wrist_fusion Manchester Hand & Wrist Surgery Wrist Replacement Vs Fusion Arthrodesis can get rid of. a wrist fusion surgery permanently fuses the bones in the wrist. The arthritic surface is removed and the bones on each side of the joint are fused together. people who want to remain active and lift considerable weight with their wrist may be better served with a wrist fusion, which removes motion at. Wrist Replacement Vs Fusion.
From musculoskeletalkey.com
Arthroscopic Partial Wrist Fusion Musculoskeletal Key Wrist Replacement Vs Fusion a wrist fusion surgery permanently fuses the bones in the wrist. outcomes are compared with wrist fusion or arthrodesis, the alternative to wrist replacement. Arthrodesis can get rid of. people who want to remain active and lift considerable weight with their wrist may be better served with a wrist fusion, which removes motion at the wrist but. Wrist Replacement Vs Fusion.
From oregenmed.com
Wrist surgery? Not so fast! Stem cells proven effective ORM Wrist Replacement Vs Fusion sometimes called arthroplasty, total wrist replacement involves removing damaged bones and cartilage in. The arthritic surface is removed and the bones on each side of the joint are fused together. Arthrodesis can get rid of. Joint fusion may be used. people who want to remain active and lift considerable weight with their wrist may be better served with. Wrist Replacement Vs Fusion.
From orthopaedicprinciples.com
Total Wrist Fusion Using the Second Metacarpal Plate (Demo Wrist Replacement Vs Fusion The arthritic surface is removed and the bones on each side of the joint are fused together. It can relieve wrist pain caused by severe wrist arthritis, wrist injuries, or genetic disorders. doctors and researchers at the university of iowa compared treatment for patients with severe wrist arthritis. a wrist fusion surgery permanently fuses the bones in the. Wrist Replacement Vs Fusion.
From www.clinilab.gr
TriMed Total Wrist Fusion Plate CliniLab Wrist Replacement Vs Fusion The arthritic surface is removed and the bones on each side of the joint are fused together. a wrist fusion surgery permanently fuses the bones in the wrist. Arthrodesis can get rid of. sometimes called arthroplasty, total wrist replacement involves removing damaged bones and cartilage in. outcomes are compared with wrist fusion or arthrodesis, the alternative to. Wrist Replacement Vs Fusion.
From www.slideserve.com
PPT SLAC & SNAC wrists Management & Results PowerPoint Presentation Wrist Replacement Vs Fusion wrist replacement is not as common as other joint replacement surgeries. The arthritic surface is removed and the bones on each side of the joint are fused together. outcomes are compared with wrist fusion or arthrodesis, the alternative to wrist replacement. Arthrodesis can get rid of. a wrist fusion surgery permanently fuses the bones in the wrist.. Wrist Replacement Vs Fusion.
From sportshanddoctor.com
Complete Wrist Fusion Thomas R. Hunt III, M.D., D.Sc. Wrist Replacement Vs Fusion The arthritic surface is removed and the bones on each side of the joint are fused together. a wrist fusion surgery permanently fuses the bones in the wrist. wrist replacement is not as common as other joint replacement surgeries. people who want to remain active and lift considerable weight with their wrist may be better served with. Wrist Replacement Vs Fusion.
From www.mountainproject.com
Wrist Fusion Wrist Replacement Vs Fusion people who want to remain active and lift considerable weight with their wrist may be better served with a wrist fusion, which removes motion at the wrist but typically results in a strong and painless wrist that can stand up to heavier demands. Joint fusion may be used. a wrist fusion surgery permanently fuses the bones in the. Wrist Replacement Vs Fusion.
From www.researchgate.net
Two years following wrist fusion in a patient with rheumatoid arthritis Wrist Replacement Vs Fusion wrist replacement is not as common as other joint replacement surgeries. doctors and researchers at the university of iowa compared treatment for patients with severe wrist arthritis. Arthrodesis can get rid of. outcomes are compared with wrist fusion or arthrodesis, the alternative to wrist replacement. people who want to remain active and lift considerable weight with. Wrist Replacement Vs Fusion.
From medopt.com.au
Acumed Total Wrist Fusion Plating System Medical + Optical Wrist Replacement Vs Fusion Arthrodesis can get rid of. It can relieve wrist pain caused by severe wrist arthritis, wrist injuries, or genetic disorders. outcomes are compared with wrist fusion or arthrodesis, the alternative to wrist replacement. Joint fusion may be used. doctors and researchers at the university of iowa compared treatment for patients with severe wrist arthritis. people who want. Wrist Replacement Vs Fusion.
From www.mdpi.com
JCM Free FullText Proximal Row Carpectomy with Total Scapoidectomy Wrist Replacement Vs Fusion a wrist fusion surgery permanently fuses the bones in the wrist. doctors and researchers at the university of iowa compared treatment for patients with severe wrist arthritis. outcomes are compared with wrist fusion or arthrodesis, the alternative to wrist replacement. sometimes called arthroplasty, total wrist replacement involves removing damaged bones and cartilage in. Arthrodesis can get. Wrist Replacement Vs Fusion.
From trimedortho.com
Total Wrist Fusion Plate Wrist Fracture Fixation TriMed Inc. Wrist Replacement Vs Fusion sometimes called arthroplasty, total wrist replacement involves removing damaged bones and cartilage in. Arthrodesis can get rid of. Joint fusion may be used. wrist replacement is not as common as other joint replacement surgeries. doctors and researchers at the university of iowa compared treatment for patients with severe wrist arthritis. The arthritic surface is removed and the. Wrist Replacement Vs Fusion.
From www.openorthopaedicsjournal.com
Functional After Salvage Procedures for Wrist Trauma and Wrist Replacement Vs Fusion Arthrodesis can get rid of. wrist replacement is not as common as other joint replacement surgeries. It can relieve wrist pain caused by severe wrist arthritis, wrist injuries, or genetic disorders. Joint fusion may be used. doctors and researchers at the university of iowa compared treatment for patients with severe wrist arthritis. a wrist fusion surgery permanently. Wrist Replacement Vs Fusion.
From www.alamy.com
Failed Right Wrist Fusion with Repeat Fusion Procedure Stock Photo Alamy Wrist Replacement Vs Fusion doctors and researchers at the university of iowa compared treatment for patients with severe wrist arthritis. sometimes called arthroplasty, total wrist replacement involves removing damaged bones and cartilage in. Joint fusion may be used. Arthrodesis can get rid of. The arthritic surface is removed and the bones on each side of the joint are fused together. people. Wrist Replacement Vs Fusion.
From www.ladanhajipour.com
Wrist Fusion Surgery Everything You Need To Know Manchester Hand Wrist Replacement Vs Fusion Arthrodesis can get rid of. outcomes are compared with wrist fusion or arthrodesis, the alternative to wrist replacement. It can relieve wrist pain caused by severe wrist arthritis, wrist injuries, or genetic disorders. a wrist fusion surgery permanently fuses the bones in the wrist. The arthritic surface is removed and the bones on each side of the joint. Wrist Replacement Vs Fusion.
From musculoskeletalkey.com
Chapter 27 Arthroscopic Partial Wrist Fusion Musculoskeletal Key Wrist Replacement Vs Fusion sometimes called arthroplasty, total wrist replacement involves removing damaged bones and cartilage in. doctors and researchers at the university of iowa compared treatment for patients with severe wrist arthritis. The arthritic surface is removed and the bones on each side of the joint are fused together. a wrist fusion surgery permanently fuses the bones in the wrist.. Wrist Replacement Vs Fusion.
From sonjacerovac.com
wristfusion dr Sonja Cerovac Wrist Replacement Vs Fusion outcomes are compared with wrist fusion or arthrodesis, the alternative to wrist replacement. people who want to remain active and lift considerable weight with their wrist may be better served with a wrist fusion, which removes motion at the wrist but typically results in a strong and painless wrist that can stand up to heavier demands. sometimes. Wrist Replacement Vs Fusion.
From www.medhold.co.za
Hand & Wrist Total Wrist Fusion Plating System Medhold Medical Wrist Replacement Vs Fusion people who want to remain active and lift considerable weight with their wrist may be better served with a wrist fusion, which removes motion at the wrist but typically results in a strong and painless wrist that can stand up to heavier demands. a wrist fusion surgery permanently fuses the bones in the wrist. outcomes are compared. Wrist Replacement Vs Fusion.
From boneandjoint.org.uk
Fusion of the wrist in rheumatoid arthritis Bone & Joint Wrist Replacement Vs Fusion Joint fusion may be used. people who want to remain active and lift considerable weight with their wrist may be better served with a wrist fusion, which removes motion at the wrist but typically results in a strong and painless wrist that can stand up to heavier demands. a wrist fusion surgery permanently fuses the bones in the. Wrist Replacement Vs Fusion.
From www.benthamopen.com
Functional After Salvage Procedures for Wrist Trauma and Wrist Replacement Vs Fusion sometimes called arthroplasty, total wrist replacement involves removing damaged bones and cartilage in. Joint fusion may be used. It can relieve wrist pain caused by severe wrist arthritis, wrist injuries, or genetic disorders. a wrist fusion surgery permanently fuses the bones in the wrist. doctors and researchers at the university of iowa compared treatment for patients with. Wrist Replacement Vs Fusion.
From www.researchgate.net
(PDF) Wrist Arthrodesis with the Wrist Fusion Rod for Patients with Wrist Replacement Vs Fusion It can relieve wrist pain caused by severe wrist arthritis, wrist injuries, or genetic disorders. Arthrodesis can get rid of. people who want to remain active and lift considerable weight with their wrist may be better served with a wrist fusion, which removes motion at the wrist but typically results in a strong and painless wrist that can stand. Wrist Replacement Vs Fusion.
From www.slideserve.com
PPT Hand and Wrist Arthritis PowerPoint Presentation, free download Wrist Replacement Vs Fusion doctors and researchers at the university of iowa compared treatment for patients with severe wrist arthritis. Arthrodesis can get rid of. It can relieve wrist pain caused by severe wrist arthritis, wrist injuries, or genetic disorders. outcomes are compared with wrist fusion or arthrodesis, the alternative to wrist replacement. The arthritic surface is removed and the bones on. Wrist Replacement Vs Fusion.
From musculoskeletalkey.com
Total Wrist Fusion Musculoskeletal Key Wrist Replacement Vs Fusion outcomes are compared with wrist fusion or arthrodesis, the alternative to wrist replacement. wrist replacement is not as common as other joint replacement surgeries. Joint fusion may be used. Arthrodesis can get rid of. people who want to remain active and lift considerable weight with their wrist may be better served with a wrist fusion, which removes. Wrist Replacement Vs Fusion.
From www.ladanhajipour.com
Wrist Fusion Surgery Ladan Hajipour Orthopaedic Surgeon Wrist Replacement Vs Fusion wrist replacement is not as common as other joint replacement surgeries. doctors and researchers at the university of iowa compared treatment for patients with severe wrist arthritis. outcomes are compared with wrist fusion or arthrodesis, the alternative to wrist replacement. Joint fusion may be used. It can relieve wrist pain caused by severe wrist arthritis, wrist injuries,. Wrist Replacement Vs Fusion.
From boneandjoint.org.uk
Fusion of the wrist in rheumatoid arthritis Bone & Joint Wrist Replacement Vs Fusion doctors and researchers at the university of iowa compared treatment for patients with severe wrist arthritis. wrist replacement is not as common as other joint replacement surgeries. Joint fusion may be used. a wrist fusion surgery permanently fuses the bones in the wrist. It can relieve wrist pain caused by severe wrist arthritis, wrist injuries, or genetic. Wrist Replacement Vs Fusion.
From arksurgicalhospital.com
Wrist Fusion for Arthritis & Injury Arkansas Surgical Hospital Wrist Replacement Vs Fusion Arthrodesis can get rid of. Joint fusion may be used. outcomes are compared with wrist fusion or arthrodesis, the alternative to wrist replacement. doctors and researchers at the university of iowa compared treatment for patients with severe wrist arthritis. wrist replacement is not as common as other joint replacement surgeries. a wrist fusion surgery permanently fuses. Wrist Replacement Vs Fusion.
From www.orthoracle.com
Wrist fusion for Volkmann’s ischaemic contracture (Using Synthes fusion Wrist Replacement Vs Fusion a wrist fusion surgery permanently fuses the bones in the wrist. Joint fusion may be used. Arthrodesis can get rid of. doctors and researchers at the university of iowa compared treatment for patients with severe wrist arthritis. It can relieve wrist pain caused by severe wrist arthritis, wrist injuries, or genetic disorders. wrist replacement is not as. Wrist Replacement Vs Fusion.
From orthosportsmed.com
blog Orthopedic & Sports Medicine Wrist Replacement Vs Fusion wrist replacement is not as common as other joint replacement surgeries. It can relieve wrist pain caused by severe wrist arthritis, wrist injuries, or genetic disorders. sometimes called arthroplasty, total wrist replacement involves removing damaged bones and cartilage in. Joint fusion may be used. doctors and researchers at the university of iowa compared treatment for patients with. Wrist Replacement Vs Fusion.
From motionlit.com
Wrist Fusion MotionLit Wrist Replacement Vs Fusion wrist replacement is not as common as other joint replacement surgeries. people who want to remain active and lift considerable weight with their wrist may be better served with a wrist fusion, which removes motion at the wrist but typically results in a strong and painless wrist that can stand up to heavier demands. doctors and researchers. Wrist Replacement Vs Fusion.
From blog.orthoindy.com
What is a wrist fusion? OrthoIndy Blog Wrist Replacement Vs Fusion doctors and researchers at the university of iowa compared treatment for patients with severe wrist arthritis. It can relieve wrist pain caused by severe wrist arthritis, wrist injuries, or genetic disorders. Joint fusion may be used. Arthrodesis can get rid of. sometimes called arthroplasty, total wrist replacement involves removing damaged bones and cartilage in. The arthritic surface is. Wrist Replacement Vs Fusion.
From www.researchgate.net
Wrist fusion options. Download Scientific Diagram Wrist Replacement Vs Fusion outcomes are compared with wrist fusion or arthrodesis, the alternative to wrist replacement. Arthrodesis can get rid of. It can relieve wrist pain caused by severe wrist arthritis, wrist injuries, or genetic disorders. people who want to remain active and lift considerable weight with their wrist may be better served with a wrist fusion, which removes motion at. Wrist Replacement Vs Fusion.