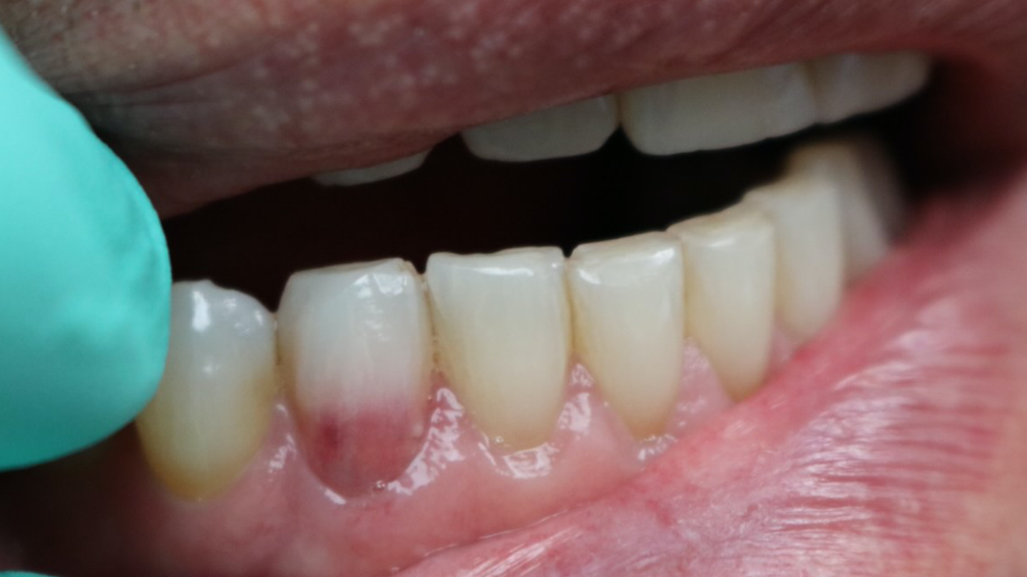
What Happens If You Have A Pink Tooth . You are looking at lesions that occur either internally or externally due to a resorptive process that results in significant loss of tooth structure. Learn about the types, complications, diagnosis, and treatment of this condition that. Find out how to prevent and. Periodontitis is a serious gum infection that damages the soft tissue and bone around teeth. Learn about the symptoms, causes, risk factors, complications and prevention. A tooth infection or “tooth abscess” is a collection of pus and bacteria that forms inside the tooth or gum. Learn how to recognise the symptoms, such as. Without proper treatment, tooth infections can spread to other areas of. A tooth infection, or dental abscess, can cause severe pain and discomfort, and may spread to other areas if untreated. Learn about the signs of a tooth infection spreading to other parts of the body, such as the brain, mediastinum, blood, and sinuses. Dental resorption is the loss of parts of your tooth due to injury, infection, or other factors. Have you ever noticed a lightly discolored “pink spot” on a tooth and wondered what it was?
from nccodental.com
Without proper treatment, tooth infections can spread to other areas of. Learn about the symptoms, causes, risk factors, complications and prevention. A tooth infection or “tooth abscess” is a collection of pus and bacteria that forms inside the tooth or gum. Have you ever noticed a lightly discolored “pink spot” on a tooth and wondered what it was? Find out how to prevent and. Learn how to recognise the symptoms, such as. Learn about the signs of a tooth infection spreading to other parts of the body, such as the brain, mediastinum, blood, and sinuses. A tooth infection, or dental abscess, can cause severe pain and discomfort, and may spread to other areas if untreated. Dental resorption is the loss of parts of your tooth due to injury, infection, or other factors. Learn about the types, complications, diagnosis, and treatment of this condition that.
Preventative care and pink teeth
What Happens If You Have A Pink Tooth Without proper treatment, tooth infections can spread to other areas of. A tooth infection, or dental abscess, can cause severe pain and discomfort, and may spread to other areas if untreated. Without proper treatment, tooth infections can spread to other areas of. Learn how to recognise the symptoms, such as. Dental resorption is the loss of parts of your tooth due to injury, infection, or other factors. Periodontitis is a serious gum infection that damages the soft tissue and bone around teeth. Learn about the symptoms, causes, risk factors, complications and prevention. Learn about the signs of a tooth infection spreading to other parts of the body, such as the brain, mediastinum, blood, and sinuses. Have you ever noticed a lightly discolored “pink spot” on a tooth and wondered what it was? Learn about the types, complications, diagnosis, and treatment of this condition that. Find out how to prevent and. You are looking at lesions that occur either internally or externally due to a resorptive process that results in significant loss of tooth structure. A tooth infection or “tooth abscess” is a collection of pus and bacteria that forms inside the tooth or gum.
From www.dreamstime.com
Pink Tooth with Caries and Cured with Using Resorcinolformalin Paste What Happens If You Have A Pink Tooth Have you ever noticed a lightly discolored “pink spot” on a tooth and wondered what it was? Learn how to recognise the symptoms, such as. Learn about the signs of a tooth infection spreading to other parts of the body, such as the brain, mediastinum, blood, and sinuses. Dental resorption is the loss of parts of your tooth due to. What Happens If You Have A Pink Tooth.
From www.sciencephoto.com
Pink Discolouration of Primary Tooth Stock Image C039/3042 What Happens If You Have A Pink Tooth Learn about the signs of a tooth infection spreading to other parts of the body, such as the brain, mediastinum, blood, and sinuses. Learn about the symptoms, causes, risk factors, complications and prevention. Periodontitis is a serious gum infection that damages the soft tissue and bone around teeth. Have you ever noticed a lightly discolored “pink spot” on a tooth. What Happens If You Have A Pink Tooth.
From www.pinterest.com
"It looks like I have a pink tooth!" Teeth, Pink What Happens If You Have A Pink Tooth You are looking at lesions that occur either internally or externally due to a resorptive process that results in significant loss of tooth structure. Have you ever noticed a lightly discolored “pink spot” on a tooth and wondered what it was? Find out how to prevent and. Periodontitis is a serious gum infection that damages the soft tissue and bone. What Happens If You Have A Pink Tooth.
From theimplantexperts.com
Gum disease symptoms and treatment The Implant Experts What Happens If You Have A Pink Tooth Learn how to recognise the symptoms, such as. Have you ever noticed a lightly discolored “pink spot” on a tooth and wondered what it was? Dental resorption is the loss of parts of your tooth due to injury, infection, or other factors. A tooth infection, or dental abscess, can cause severe pain and discomfort, and may spread to other areas. What Happens If You Have A Pink Tooth.
From www.rdhmag.com
What’s that pink spot? Evaluating internal and external tooth What Happens If You Have A Pink Tooth Learn about the signs of a tooth infection spreading to other parts of the body, such as the brain, mediastinum, blood, and sinuses. A tooth infection, or dental abscess, can cause severe pain and discomfort, and may spread to other areas if untreated. Periodontitis is a serious gum infection that damages the soft tissue and bone around teeth. You are. What Happens If You Have A Pink Tooth.
From www.kpteeth.co.uk
The Pink Tooth An endodontic challenge What Happens If You Have A Pink Tooth Learn about the symptoms, causes, risk factors, complications and prevention. Dental resorption is the loss of parts of your tooth due to injury, infection, or other factors. Learn about the types, complications, diagnosis, and treatment of this condition that. Find out how to prevent and. Learn how to recognise the symptoms, such as. Periodontitis is a serious gum infection that. What Happens If You Have A Pink Tooth.
From forums.studentdoctor.net
Pink Tooth of Mummery in Denture Student Doctor Network What Happens If You Have A Pink Tooth A tooth infection, or dental abscess, can cause severe pain and discomfort, and may spread to other areas if untreated. Learn about the signs of a tooth infection spreading to other parts of the body, such as the brain, mediastinum, blood, and sinuses. Find out how to prevent and. Have you ever noticed a lightly discolored “pink spot” on a. What Happens If You Have A Pink Tooth.
From www.healthymouthproject.com
Causes of Tooth Discoloration The Healthy Mouth Project What Happens If You Have A Pink Tooth Learn how to recognise the symptoms, such as. Have you ever noticed a lightly discolored “pink spot” on a tooth and wondered what it was? You are looking at lesions that occur either internally or externally due to a resorptive process that results in significant loss of tooth structure. Learn about the signs of a tooth infection spreading to other. What Happens If You Have A Pink Tooth.
From www.zwp-online.info
Pink Spot Was nun? ZWP online das Nachrichtenportal für die What Happens If You Have A Pink Tooth Without proper treatment, tooth infections can spread to other areas of. A tooth infection or “tooth abscess” is a collection of pus and bacteria that forms inside the tooth or gum. Learn about the signs of a tooth infection spreading to other parts of the body, such as the brain, mediastinum, blood, and sinuses. Periodontitis is a serious gum infection. What Happens If You Have A Pink Tooth.
From www.youtube.com
INTERNAL RESORPTION OF TOOTH I PINK TOOTH OF MUMMERY I ODONTOCLASTOMA I What Happens If You Have A Pink Tooth A tooth infection, or dental abscess, can cause severe pain and discomfort, and may spread to other areas if untreated. Dental resorption is the loss of parts of your tooth due to injury, infection, or other factors. Learn about the symptoms, causes, risk factors, complications and prevention. A tooth infection or “tooth abscess” is a collection of pus and bacteria. What Happens If You Have A Pink Tooth.
From www.semanticscholar.org
Figure 1 from Double 'pink tooth' associated with extensive internal What Happens If You Have A Pink Tooth You are looking at lesions that occur either internally or externally due to a resorptive process that results in significant loss of tooth structure. Periodontitis is a serious gum infection that damages the soft tissue and bone around teeth. A tooth infection, or dental abscess, can cause severe pain and discomfort, and may spread to other areas if untreated. Find. What Happens If You Have A Pink Tooth.
From stock.adobe.com
Woman shows her pain tooth. Pink tooth with caries and cured with using What Happens If You Have A Pink Tooth You are looking at lesions that occur either internally or externally due to a resorptive process that results in significant loss of tooth structure. A tooth infection, or dental abscess, can cause severe pain and discomfort, and may spread to other areas if untreated. Learn about the symptoms, causes, risk factors, complications and prevention. A tooth infection or “tooth abscess”. What Happens If You Have A Pink Tooth.
From dentowesome.wordpress.com
Internal Vs. External Resorption Dentowesome What Happens If You Have A Pink Tooth A tooth infection or “tooth abscess” is a collection of pus and bacteria that forms inside the tooth or gum. Without proper treatment, tooth infections can spread to other areas of. Learn about the types, complications, diagnosis, and treatment of this condition that. Learn about the signs of a tooth infection spreading to other parts of the body, such as. What Happens If You Have A Pink Tooth.
From prestige-dental-care.com.my
Oral Surgery, Oral Pathology & Oral Medicine What Happens If You Have A Pink Tooth Learn about the symptoms, causes, risk factors, complications and prevention. You are looking at lesions that occur either internally or externally due to a resorptive process that results in significant loss of tooth structure. Find out how to prevent and. Learn about the signs of a tooth infection spreading to other parts of the body, such as the brain, mediastinum,. What Happens If You Have A Pink Tooth.
From nccodental.com
Preventative care and pink teeth What Happens If You Have A Pink Tooth Without proper treatment, tooth infections can spread to other areas of. You are looking at lesions that occur either internally or externally due to a resorptive process that results in significant loss of tooth structure. Have you ever noticed a lightly discolored “pink spot” on a tooth and wondered what it was? Learn about the symptoms, causes, risk factors, complications. What Happens If You Have A Pink Tooth.
From www.reddit.com
Pink spot on tooth? r/Dentistry What Happens If You Have A Pink Tooth A tooth infection or “tooth abscess” is a collection of pus and bacteria that forms inside the tooth or gum. A tooth infection, or dental abscess, can cause severe pain and discomfort, and may spread to other areas if untreated. Periodontitis is a serious gum infection that damages the soft tissue and bone around teeth. You are looking at lesions. What Happens If You Have A Pink Tooth.
From www.youtube.com
Pink Teeth (take 2) YouTube What Happens If You Have A Pink Tooth Without proper treatment, tooth infections can spread to other areas of. Learn about the types, complications, diagnosis, and treatment of this condition that. You are looking at lesions that occur either internally or externally due to a resorptive process that results in significant loss of tooth structure. Have you ever noticed a lightly discolored “pink spot” on a tooth and. What Happens If You Have A Pink Tooth.
From www.slideserve.com
PPT PINK TEETH PowerPoint Presentation, free download ID6777927 What Happens If You Have A Pink Tooth A tooth infection, or dental abscess, can cause severe pain and discomfort, and may spread to other areas if untreated. Have you ever noticed a lightly discolored “pink spot” on a tooth and wondered what it was? Learn about the types, complications, diagnosis, and treatment of this condition that. Find out how to prevent and. A tooth infection or “tooth. What Happens If You Have A Pink Tooth.
From www.rdhmag.com
What’s that pink spot? Evaluating internal and external tooth What Happens If You Have A Pink Tooth Learn about the signs of a tooth infection spreading to other parts of the body, such as the brain, mediastinum, blood, and sinuses. Learn how to recognise the symptoms, such as. Without proper treatment, tooth infections can spread to other areas of. Periodontitis is a serious gum infection that damages the soft tissue and bone around teeth. A tooth infection. What Happens If You Have A Pink Tooth.
From theconversation.com
You're probably brushing your teeth wrong here are four tips for What Happens If You Have A Pink Tooth Without proper treatment, tooth infections can spread to other areas of. Have you ever noticed a lightly discolored “pink spot” on a tooth and wondered what it was? A tooth infection or “tooth abscess” is a collection of pus and bacteria that forms inside the tooth or gum. You are looking at lesions that occur either internally or externally due. What Happens If You Have A Pink Tooth.
From www.youtube.com
INTERNAL RESOPRTION II PINK TOOTH OF MUMMERY II DISEASES OF PULP II What Happens If You Have A Pink Tooth A tooth infection or “tooth abscess” is a collection of pus and bacteria that forms inside the tooth or gum. Have you ever noticed a lightly discolored “pink spot” on a tooth and wondered what it was? A tooth infection, or dental abscess, can cause severe pain and discomfort, and may spread to other areas if untreated. Periodontitis is a. What Happens If You Have A Pink Tooth.
From www.dreamstime.com
Plaque on Human Teeth is Colored Pink with Indicator Tablets. Stock What Happens If You Have A Pink Tooth A tooth infection or “tooth abscess” is a collection of pus and bacteria that forms inside the tooth or gum. Have you ever noticed a lightly discolored “pink spot” on a tooth and wondered what it was? Periodontitis is a serious gum infection that damages the soft tissue and bone around teeth. Learn how to recognise the symptoms, such as.. What Happens If You Have A Pink Tooth.
From www.facialart.com
External Resorption of a Tooth with Pink Appearance External What Happens If You Have A Pink Tooth A tooth infection, or dental abscess, can cause severe pain and discomfort, and may spread to other areas if untreated. Dental resorption is the loss of parts of your tooth due to injury, infection, or other factors. Learn about the symptoms, causes, risk factors, complications and prevention. Have you ever noticed a lightly discolored “pink spot” on a tooth and. What Happens If You Have A Pink Tooth.
From www.mdpi.com
Applied Sciences Free FullText Association of Cadaveric Factors What Happens If You Have A Pink Tooth Find out how to prevent and. Periodontitis is a serious gum infection that damages the soft tissue and bone around teeth. Learn about the types, complications, diagnosis, and treatment of this condition that. You are looking at lesions that occur either internally or externally due to a resorptive process that results in significant loss of tooth structure. Have you ever. What Happens If You Have A Pink Tooth.
From www.slideserve.com
PPT PINK TEETH PowerPoint Presentation, free download ID6777927 What Happens If You Have A Pink Tooth Without proper treatment, tooth infections can spread to other areas of. A tooth infection, or dental abscess, can cause severe pain and discomfort, and may spread to other areas if untreated. Periodontitis is a serious gum infection that damages the soft tissue and bone around teeth. Have you ever noticed a lightly discolored “pink spot” on a tooth and wondered. What Happens If You Have A Pink Tooth.
From www.researchgate.net
(PDF) The PostMortem Pink Teeth Phenomenon What Happens If You Have A Pink Tooth Learn about the types, complications, diagnosis, and treatment of this condition that. Learn about the signs of a tooth infection spreading to other parts of the body, such as the brain, mediastinum, blood, and sinuses. Learn how to recognise the symptoms, such as. Dental resorption is the loss of parts of your tooth due to injury, infection, or other factors.. What Happens If You Have A Pink Tooth.
From www.kpteeth.co.uk
Tooth Resorption A complication of orthodontic treatment What Happens If You Have A Pink Tooth Learn how to recognise the symptoms, such as. A tooth infection, or dental abscess, can cause severe pain and discomfort, and may spread to other areas if untreated. A tooth infection or “tooth abscess” is a collection of pus and bacteria that forms inside the tooth or gum. Learn about the types, complications, diagnosis, and treatment of this condition that.. What Happens If You Have A Pink Tooth.
From www.dreamstime.com
Plaque on Human Teeth is Colored Pink with Indicator Tablets. Stock What Happens If You Have A Pink Tooth Without proper treatment, tooth infections can spread to other areas of. Have you ever noticed a lightly discolored “pink spot” on a tooth and wondered what it was? Learn about the signs of a tooth infection spreading to other parts of the body, such as the brain, mediastinum, blood, and sinuses. Learn how to recognise the symptoms, such as. Dental. What Happens If You Have A Pink Tooth.
From charlottesmiled.com
It's Time For That Baby Tooth To Go! Charlotte Smiled What Happens If You Have A Pink Tooth A tooth infection or “tooth abscess” is a collection of pus and bacteria that forms inside the tooth or gum. Without proper treatment, tooth infections can spread to other areas of. Learn about the symptoms, causes, risk factors, complications and prevention. A tooth infection, or dental abscess, can cause severe pain and discomfort, and may spread to other areas if. What Happens If You Have A Pink Tooth.
From www.kc-tlc.com
Index of /images/concerns/pink tooth What Happens If You Have A Pink Tooth Have you ever noticed a lightly discolored “pink spot” on a tooth and wondered what it was? A tooth infection, or dental abscess, can cause severe pain and discomfort, and may spread to other areas if untreated. You are looking at lesions that occur either internally or externally due to a resorptive process that results in significant loss of tooth. What Happens If You Have A Pink Tooth.
From forums.studentdoctor.net
Pink Tooth of Mummery in Denture Student Doctor Network What Happens If You Have A Pink Tooth Learn how to recognise the symptoms, such as. Find out how to prevent and. Learn about the symptoms, causes, risk factors, complications and prevention. Have you ever noticed a lightly discolored “pink spot” on a tooth and wondered what it was? Dental resorption is the loss of parts of your tooth due to injury, infection, or other factors. Without proper. What Happens If You Have A Pink Tooth.
From journals.sagepub.com
Tooth root resorption A review Artak Heboyan, Anna Avetisyan, Mohmed What Happens If You Have A Pink Tooth Learn about the signs of a tooth infection spreading to other parts of the body, such as the brain, mediastinum, blood, and sinuses. Have you ever noticed a lightly discolored “pink spot” on a tooth and wondered what it was? A tooth infection, or dental abscess, can cause severe pain and discomfort, and may spread to other areas if untreated.. What Happens If You Have A Pink Tooth.
From forums.studentdoctor.net
Pink Tooth of Mummery in Denture Student Doctor Network What Happens If You Have A Pink Tooth Periodontitis is a serious gum infection that damages the soft tissue and bone around teeth. Learn about the signs of a tooth infection spreading to other parts of the body, such as the brain, mediastinum, blood, and sinuses. Dental resorption is the loss of parts of your tooth due to injury, infection, or other factors. Have you ever noticed a. What Happens If You Have A Pink Tooth.
From www.pediatricdentistsf.dentist
FAQ Are the stains on my child's teeth cavities? — Discovery What Happens If You Have A Pink Tooth Have you ever noticed a lightly discolored “pink spot” on a tooth and wondered what it was? Learn about the symptoms, causes, risk factors, complications and prevention. A tooth infection, or dental abscess, can cause severe pain and discomfort, and may spread to other areas if untreated. You are looking at lesions that occur either internally or externally due to. What Happens If You Have A Pink Tooth.
From www.semanticscholar.org
Figure 2 from Double 'pink tooth' associated with extensive internal What Happens If You Have A Pink Tooth Periodontitis is a serious gum infection that damages the soft tissue and bone around teeth. Dental resorption is the loss of parts of your tooth due to injury, infection, or other factors. Learn about the signs of a tooth infection spreading to other parts of the body, such as the brain, mediastinum, blood, and sinuses. Have you ever noticed a. What Happens If You Have A Pink Tooth.