Maple Syrup Disease Seizures . Classically, affected neonates present with feeding problems, vomiting, lethargy, and irritability, leading to seizures, coma, and. Here we describe a neonate with msud and a distinctive electroencephalogram (eeg) pattern that becomes prominent during metabolic decompensation, and may. Classically, affected neonates present with feeding problems, vomiting, lethargy, and irritability, leading to seizures, coma, and. Classically, affected neonates present with feeding problems, vomiting, lethargy, and irritability, leading to seizures, coma, and. Maple syrup urine disease (msud) is a disorder caused by a faulty gene that prevents appropriate metabolization of three amino acids (leucine,.
from www.youtube.com
Classically, affected neonates present with feeding problems, vomiting, lethargy, and irritability, leading to seizures, coma, and. Classically, affected neonates present with feeding problems, vomiting, lethargy, and irritability, leading to seizures, coma, and. Here we describe a neonate with msud and a distinctive electroencephalogram (eeg) pattern that becomes prominent during metabolic decompensation, and may. Maple syrup urine disease (msud) is a disorder caused by a faulty gene that prevents appropriate metabolization of three amino acids (leucine,. Classically, affected neonates present with feeding problems, vomiting, lethargy, and irritability, leading to seizures, coma, and.
Maple Syrup Urine Disease (MSUD) USMLE Step 1 Biochemistry Mnemonic
Maple Syrup Disease Seizures Classically, affected neonates present with feeding problems, vomiting, lethargy, and irritability, leading to seizures, coma, and. Classically, affected neonates present with feeding problems, vomiting, lethargy, and irritability, leading to seizures, coma, and. Here we describe a neonate with msud and a distinctive electroencephalogram (eeg) pattern that becomes prominent during metabolic decompensation, and may. Maple syrup urine disease (msud) is a disorder caused by a faulty gene that prevents appropriate metabolization of three amino acids (leucine,. Classically, affected neonates present with feeding problems, vomiting, lethargy, and irritability, leading to seizures, coma, and. Classically, affected neonates present with feeding problems, vomiting, lethargy, and irritability, leading to seizures, coma, and.
From joihdeeip.blob.core.windows.net
Maple Syrup Disease And Genes at Kim Conner blog Maple Syrup Disease Seizures Classically, affected neonates present with feeding problems, vomiting, lethargy, and irritability, leading to seizures, coma, and. Here we describe a neonate with msud and a distinctive electroencephalogram (eeg) pattern that becomes prominent during metabolic decompensation, and may. Maple syrup urine disease (msud) is a disorder caused by a faulty gene that prevents appropriate metabolization of three amino acids (leucine,. Classically,. Maple Syrup Disease Seizures.
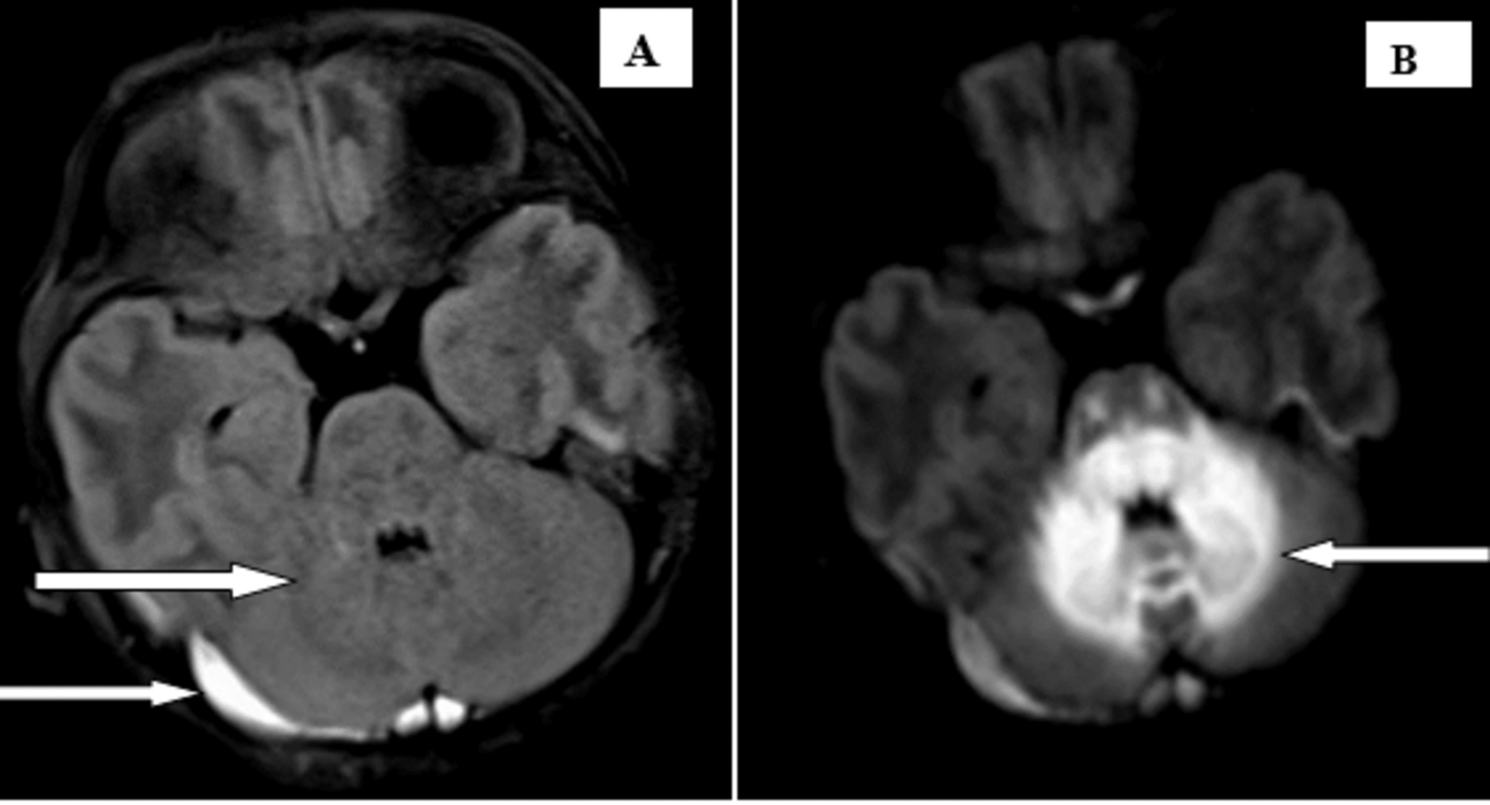
From www.cureus.com
Maple Syrup Urine Disease An Cause of Neonatal Febrile Maple Syrup Disease Seizures Classically, affected neonates present with feeding problems, vomiting, lethargy, and irritability, leading to seizures, coma, and. Classically, affected neonates present with feeding problems, vomiting, lethargy, and irritability, leading to seizures, coma, and. Classically, affected neonates present with feeding problems, vomiting, lethargy, and irritability, leading to seizures, coma, and. Here we describe a neonate with msud and a distinctive electroencephalogram (eeg). Maple Syrup Disease Seizures.
From healthjade.net
Maple syrup urine disease symptoms, causes, diagnosis & diet treatment Maple Syrup Disease Seizures Here we describe a neonate with msud and a distinctive electroencephalogram (eeg) pattern that becomes prominent during metabolic decompensation, and may. Classically, affected neonates present with feeding problems, vomiting, lethargy, and irritability, leading to seizures, coma, and. Classically, affected neonates present with feeding problems, vomiting, lethargy, and irritability, leading to seizures, coma, and. Maple syrup urine disease (msud) is a. Maple Syrup Disease Seizures.
From www.youtube.com
Maple Syrup Urine Disease Erin Patrick YouTube Maple Syrup Disease Seizures Classically, affected neonates present with feeding problems, vomiting, lethargy, and irritability, leading to seizures, coma, and. Here we describe a neonate with msud and a distinctive electroencephalogram (eeg) pattern that becomes prominent during metabolic decompensation, and may. Classically, affected neonates present with feeding problems, vomiting, lethargy, and irritability, leading to seizures, coma, and. Maple syrup urine disease (msud) is a. Maple Syrup Disease Seizures.
From www.studocu.com
Maple Syrup Urine Disease MAPLE SYRUP URINE DISEASE Maple syrup urine Maple Syrup Disease Seizures Classically, affected neonates present with feeding problems, vomiting, lethargy, and irritability, leading to seizures, coma, and. Maple syrup urine disease (msud) is a disorder caused by a faulty gene that prevents appropriate metabolization of three amino acids (leucine,. Classically, affected neonates present with feeding problems, vomiting, lethargy, and irritability, leading to seizures, coma, and. Classically, affected neonates present with feeding. Maple Syrup Disease Seizures.
From www.youtube.com
Understanding Maple Syrup Urine Disease Unraveling Maple Syrup Urine Maple Syrup Disease Seizures Classically, affected neonates present with feeding problems, vomiting, lethargy, and irritability, leading to seizures, coma, and. Here we describe a neonate with msud and a distinctive electroencephalogram (eeg) pattern that becomes prominent during metabolic decompensation, and may. Classically, affected neonates present with feeding problems, vomiting, lethargy, and irritability, leading to seizures, coma, and. Classically, affected neonates present with feeding problems,. Maple Syrup Disease Seizures.
From www.slideserve.com
PPT Maple Syrup Urine Disease PowerPoint Presentation, free download Maple Syrup Disease Seizures Here we describe a neonate with msud and a distinctive electroencephalogram (eeg) pattern that becomes prominent during metabolic decompensation, and may. Classically, affected neonates present with feeding problems, vomiting, lethargy, and irritability, leading to seizures, coma, and. Classically, affected neonates present with feeding problems, vomiting, lethargy, and irritability, leading to seizures, coma, and. Maple syrup urine disease (msud) is a. Maple Syrup Disease Seizures.
From slideplayer.com
Maple Syrup Urine By Joe Harvey. ppt download Maple Syrup Disease Seizures Classically, affected neonates present with feeding problems, vomiting, lethargy, and irritability, leading to seizures, coma, and. Here we describe a neonate with msud and a distinctive electroencephalogram (eeg) pattern that becomes prominent during metabolic decompensation, and may. Classically, affected neonates present with feeding problems, vomiting, lethargy, and irritability, leading to seizures, coma, and. Maple syrup urine disease (msud) is a. Maple Syrup Disease Seizures.
From ar.inspiredpencil.com
Maple Syrup Urine Disease Symptoms Maple Syrup Disease Seizures Here we describe a neonate with msud and a distinctive electroencephalogram (eeg) pattern that becomes prominent during metabolic decompensation, and may. Maple syrup urine disease (msud) is a disorder caused by a faulty gene that prevents appropriate metabolization of three amino acids (leucine,. Classically, affected neonates present with feeding problems, vomiting, lethargy, and irritability, leading to seizures, coma, and. Classically,. Maple Syrup Disease Seizures.
From www.wjgnet.com
Diagnosis of an intermediate case of maple syrup urine disease A case Maple Syrup Disease Seizures Classically, affected neonates present with feeding problems, vomiting, lethargy, and irritability, leading to seizures, coma, and. Classically, affected neonates present with feeding problems, vomiting, lethargy, and irritability, leading to seizures, coma, and. Here we describe a neonate with msud and a distinctive electroencephalogram (eeg) pattern that becomes prominent during metabolic decompensation, and may. Maple syrup urine disease (msud) is a. Maple Syrup Disease Seizures.
From www.medicalnewstoday.com
Maple syrup urine disease Symptoms, treatment, and outlook Maple Syrup Disease Seizures Classically, affected neonates present with feeding problems, vomiting, lethargy, and irritability, leading to seizures, coma, and. Classically, affected neonates present with feeding problems, vomiting, lethargy, and irritability, leading to seizures, coma, and. Maple syrup urine disease (msud) is a disorder caused by a faulty gene that prevents appropriate metabolization of three amino acids (leucine,. Classically, affected neonates present with feeding. Maple Syrup Disease Seizures.
From www.youtube.com
Maple Syrup Urine Disease (MSUD) USMLE Step 1 Biochemistry Mnemonic Maple Syrup Disease Seizures Classically, affected neonates present with feeding problems, vomiting, lethargy, and irritability, leading to seizures, coma, and. Classically, affected neonates present with feeding problems, vomiting, lethargy, and irritability, leading to seizures, coma, and. Classically, affected neonates present with feeding problems, vomiting, lethargy, and irritability, leading to seizures, coma, and. Maple syrup urine disease (msud) is a disorder caused by a faulty. Maple Syrup Disease Seizures.
From www.tekportal.net
maple syrup urine disease Liberal Dictionary Maple Syrup Disease Seizures Here we describe a neonate with msud and a distinctive electroencephalogram (eeg) pattern that becomes prominent during metabolic decompensation, and may. Classically, affected neonates present with feeding problems, vomiting, lethargy, and irritability, leading to seizures, coma, and. Classically, affected neonates present with feeding problems, vomiting, lethargy, and irritability, leading to seizures, coma, and. Classically, affected neonates present with feeding problems,. Maple Syrup Disease Seizures.
From www.slideserve.com
PPT Maple syrup urine disease Amnah Mahroo PowerPoint Presentation Maple Syrup Disease Seizures Classically, affected neonates present with feeding problems, vomiting, lethargy, and irritability, leading to seizures, coma, and. Here we describe a neonate with msud and a distinctive electroencephalogram (eeg) pattern that becomes prominent during metabolic decompensation, and may. Classically, affected neonates present with feeding problems, vomiting, lethargy, and irritability, leading to seizures, coma, and. Classically, affected neonates present with feeding problems,. Maple Syrup Disease Seizures.
From medizzy.com
Maple syrup urine disease symptoms MEDizzy Maple Syrup Disease Seizures Classically, affected neonates present with feeding problems, vomiting, lethargy, and irritability, leading to seizures, coma, and. Classically, affected neonates present with feeding problems, vomiting, lethargy, and irritability, leading to seizures, coma, and. Classically, affected neonates present with feeding problems, vomiting, lethargy, and irritability, leading to seizures, coma, and. Maple syrup urine disease (msud) is a disorder caused by a faulty. Maple Syrup Disease Seizures.
From www.slideserve.com
PPT Maple Syrup Urine Disease PowerPoint Presentation, free download Maple Syrup Disease Seizures Maple syrup urine disease (msud) is a disorder caused by a faulty gene that prevents appropriate metabolization of three amino acids (leucine,. Classically, affected neonates present with feeding problems, vomiting, lethargy, and irritability, leading to seizures, coma, and. Classically, affected neonates present with feeding problems, vomiting, lethargy, and irritability, leading to seizures, coma, and. Classically, affected neonates present with feeding. Maple Syrup Disease Seizures.
From www.scribd.com
Maple Syrup Urine Disease (MSUD) Clinical Medicine Diseases And Maple Syrup Disease Seizures Maple syrup urine disease (msud) is a disorder caused by a faulty gene that prevents appropriate metabolization of three amino acids (leucine,. Here we describe a neonate with msud and a distinctive electroencephalogram (eeg) pattern that becomes prominent during metabolic decompensation, and may. Classically, affected neonates present with feeding problems, vomiting, lethargy, and irritability, leading to seizures, coma, and. Classically,. Maple Syrup Disease Seizures.
From exodltatm.blob.core.windows.net
Maple Syrup Disease Therapy at Carly Ganley blog Maple Syrup Disease Seizures Classically, affected neonates present with feeding problems, vomiting, lethargy, and irritability, leading to seizures, coma, and. Classically, affected neonates present with feeding problems, vomiting, lethargy, and irritability, leading to seizures, coma, and. Maple syrup urine disease (msud) is a disorder caused by a faulty gene that prevents appropriate metabolization of three amino acids (leucine,. Classically, affected neonates present with feeding. Maple Syrup Disease Seizures.
From www.wjgnet.com
Brain resonance imaging findings and radiologic review of Maple Syrup Disease Seizures Classically, affected neonates present with feeding problems, vomiting, lethargy, and irritability, leading to seizures, coma, and. Classically, affected neonates present with feeding problems, vomiting, lethargy, and irritability, leading to seizures, coma, and. Classically, affected neonates present with feeding problems, vomiting, lethargy, and irritability, leading to seizures, coma, and. Here we describe a neonate with msud and a distinctive electroencephalogram (eeg). Maple Syrup Disease Seizures.
From medium.com
🍁Maple Syrup Urine Disease🍁 A Gene Thing Medium Maple Syrup Disease Seizures Classically, affected neonates present with feeding problems, vomiting, lethargy, and irritability, leading to seizures, coma, and. Classically, affected neonates present with feeding problems, vomiting, lethargy, and irritability, leading to seizures, coma, and. Maple syrup urine disease (msud) is a disorder caused by a faulty gene that prevents appropriate metabolization of three amino acids (leucine,. Here we describe a neonate with. Maple Syrup Disease Seizures.
From healthjade.com
Maple syrup urine disease symptoms, causes, diagnosis & diet treatment Maple Syrup Disease Seizures Here we describe a neonate with msud and a distinctive electroencephalogram (eeg) pattern that becomes prominent during metabolic decompensation, and may. Classically, affected neonates present with feeding problems, vomiting, lethargy, and irritability, leading to seizures, coma, and. Classically, affected neonates present with feeding problems, vomiting, lethargy, and irritability, leading to seizures, coma, and. Maple syrup urine disease (msud) is a. Maple Syrup Disease Seizures.
From www.slideserve.com
PPT Classic Severe Maple Syrup Urine Disease PowerPoint Presentation Maple Syrup Disease Seizures Classically, affected neonates present with feeding problems, vomiting, lethargy, and irritability, leading to seizures, coma, and. Classically, affected neonates present with feeding problems, vomiting, lethargy, and irritability, leading to seizures, coma, and. Here we describe a neonate with msud and a distinctive electroencephalogram (eeg) pattern that becomes prominent during metabolic decompensation, and may. Maple syrup urine disease (msud) is a. Maple Syrup Disease Seizures.
From www.youtube.com
Maple Syrup Urine Disease PEDIATRIC NURSING YouTube Maple Syrup Disease Seizures Classically, affected neonates present with feeding problems, vomiting, lethargy, and irritability, leading to seizures, coma, and. Classically, affected neonates present with feeding problems, vomiting, lethargy, and irritability, leading to seizures, coma, and. Here we describe a neonate with msud and a distinctive electroencephalogram (eeg) pattern that becomes prominent during metabolic decompensation, and may. Maple syrup urine disease (msud) is a. Maple Syrup Disease Seizures.
From www.newenglandconsortium.org
Maple Syrup Urine Disease (MSUD) — New England Consortium of Metabolic Maple Syrup Disease Seizures Classically, affected neonates present with feeding problems, vomiting, lethargy, and irritability, leading to seizures, coma, and. Classically, affected neonates present with feeding problems, vomiting, lethargy, and irritability, leading to seizures, coma, and. Classically, affected neonates present with feeding problems, vomiting, lethargy, and irritability, leading to seizures, coma, and. Here we describe a neonate with msud and a distinctive electroencephalogram (eeg). Maple Syrup Disease Seizures.
From slideplayer.com
HEREDITARY METABOLIC DISEASES ppt download Maple Syrup Disease Seizures Classically, affected neonates present with feeding problems, vomiting, lethargy, and irritability, leading to seizures, coma, and. Here we describe a neonate with msud and a distinctive electroencephalogram (eeg) pattern that becomes prominent during metabolic decompensation, and may. Classically, affected neonates present with feeding problems, vomiting, lethargy, and irritability, leading to seizures, coma, and. Classically, affected neonates present with feeding problems,. Maple Syrup Disease Seizures.
From exojyvcgf.blob.core.windows.net
Maple Syrup Urine Disease In Adults Symptoms at Leona Crotts blog Maple Syrup Disease Seizures Maple syrup urine disease (msud) is a disorder caused by a faulty gene that prevents appropriate metabolization of three amino acids (leucine,. Classically, affected neonates present with feeding problems, vomiting, lethargy, and irritability, leading to seizures, coma, and. Classically, affected neonates present with feeding problems, vomiting, lethargy, and irritability, leading to seizures, coma, and. Classically, affected neonates present with feeding. Maple Syrup Disease Seizures.
From ceczcavl.blob.core.windows.net
Maple Syrup Disease Chance at Karen Ream blog Maple Syrup Disease Seizures Classically, affected neonates present with feeding problems, vomiting, lethargy, and irritability, leading to seizures, coma, and. Here we describe a neonate with msud and a distinctive electroencephalogram (eeg) pattern that becomes prominent during metabolic decompensation, and may. Classically, affected neonates present with feeding problems, vomiting, lethargy, and irritability, leading to seizures, coma, and. Maple syrup urine disease (msud) is a. Maple Syrup Disease Seizures.
From nutritionistpujaukey.com
Maple Syrup Urine Disease Health And Nutrition Nutritionist Puja Ukey Maple Syrup Disease Seizures Classically, affected neonates present with feeding problems, vomiting, lethargy, and irritability, leading to seizures, coma, and. Classically, affected neonates present with feeding problems, vomiting, lethargy, and irritability, leading to seizures, coma, and. Here we describe a neonate with msud and a distinctive electroencephalogram (eeg) pattern that becomes prominent during metabolic decompensation, and may. Maple syrup urine disease (msud) is a. Maple Syrup Disease Seizures.
From www.diseasemaps.org
How is Maple syrup urine disease diagnosed? Maple Syrup Disease Seizures Classically, affected neonates present with feeding problems, vomiting, lethargy, and irritability, leading to seizures, coma, and. Classically, affected neonates present with feeding problems, vomiting, lethargy, and irritability, leading to seizures, coma, and. Classically, affected neonates present with feeding problems, vomiting, lethargy, and irritability, leading to seizures, coma, and. Maple syrup urine disease (msud) is a disorder caused by a faulty. Maple Syrup Disease Seizures.
From catatanmomkaki.blogspot.com
Mom2K's World MAPLE SYRUP URINE DISEASE Maple Syrup Disease Seizures Classically, affected neonates present with feeding problems, vomiting, lethargy, and irritability, leading to seizures, coma, and. Maple syrup urine disease (msud) is a disorder caused by a faulty gene that prevents appropriate metabolization of three amino acids (leucine,. Classically, affected neonates present with feeding problems, vomiting, lethargy, and irritability, leading to seizures, coma, and. Here we describe a neonate with. Maple Syrup Disease Seizures.
From www.medigraphic.com
Seizure pattern in neonate with maple syrup urine disease Maple Syrup Disease Seizures Classically, affected neonates present with feeding problems, vomiting, lethargy, and irritability, leading to seizures, coma, and. Classically, affected neonates present with feeding problems, vomiting, lethargy, and irritability, leading to seizures, coma, and. Maple syrup urine disease (msud) is a disorder caused by a faulty gene that prevents appropriate metabolization of three amino acids (leucine,. Here we describe a neonate with. Maple Syrup Disease Seizures.
From www.slideserve.com
PPT Maple Syrup Urine Disease PowerPoint Presentation, free download Maple Syrup Disease Seizures Classically, affected neonates present with feeding problems, vomiting, lethargy, and irritability, leading to seizures, coma, and. Maple syrup urine disease (msud) is a disorder caused by a faulty gene that prevents appropriate metabolization of three amino acids (leucine,. Classically, affected neonates present with feeding problems, vomiting, lethargy, and irritability, leading to seizures, coma, and. Here we describe a neonate with. Maple Syrup Disease Seizures.
From express.adobe.com
Maple Syrup Urine Disease Maple Syrup Disease Seizures Maple syrup urine disease (msud) is a disorder caused by a faulty gene that prevents appropriate metabolization of three amino acids (leucine,. Classically, affected neonates present with feeding problems, vomiting, lethargy, and irritability, leading to seizures, coma, and. Classically, affected neonates present with feeding problems, vomiting, lethargy, and irritability, leading to seizures, coma, and. Here we describe a neonate with. Maple Syrup Disease Seizures.
From sterxoler.weebly.com
Maple syrup urine disease sterxoler Maple Syrup Disease Seizures Classically, affected neonates present with feeding problems, vomiting, lethargy, and irritability, leading to seizures, coma, and. Classically, affected neonates present with feeding problems, vomiting, lethargy, and irritability, leading to seizures, coma, and. Here we describe a neonate with msud and a distinctive electroencephalogram (eeg) pattern that becomes prominent during metabolic decompensation, and may. Classically, affected neonates present with feeding problems,. Maple Syrup Disease Seizures.
From www.slideserve.com
PPT Maple Syrup Urine Disease PowerPoint Presentation, free download Maple Syrup Disease Seizures Here we describe a neonate with msud and a distinctive electroencephalogram (eeg) pattern that becomes prominent during metabolic decompensation, and may. Maple syrup urine disease (msud) is a disorder caused by a faulty gene that prevents appropriate metabolization of three amino acids (leucine,. Classically, affected neonates present with feeding problems, vomiting, lethargy, and irritability, leading to seizures, coma, and. Classically,. Maple Syrup Disease Seizures.