Black Build Up On Teeth . — what are the symptoms of tartar on teeth? preventing tartar from building up is easier than removing it. You may have black tartar, a. All you need to do to prevent tartar buildup is to establish a. If you start to develop tartar on your teeth, you might notice: Then, you likely have black tartar, also known as calculus. — left untreated, black tartar on teeth can lead to unsightly staining, bad breath, cavities, and advanced gum disease. have you ever noticed black buildup on your teeth near the gum line and wondered what it could be? Any plaque that you don't remove by flossing and brushing. — tartar (also called dental calculus) is hardened plaque. — calcium deposits, also known as tartar or calculus, arise when plaque on the teeth hardens and thickens. do you have black deposits on teeth that do not go away with brushing and flossing?
from rapgenius.com
do you have black deposits on teeth that do not go away with brushing and flossing? have you ever noticed black buildup on your teeth near the gum line and wondered what it could be? You may have black tartar, a. Any plaque that you don't remove by flossing and brushing. All you need to do to prevent tartar buildup is to establish a. — calcium deposits, also known as tartar or calculus, arise when plaque on the teeth hardens and thickens. — what are the symptoms of tartar on teeth? — left untreated, black tartar on teeth can lead to unsightly staining, bad breath, cavities, and advanced gum disease. If you start to develop tartar on your teeth, you might notice: Then, you likely have black tartar, also known as calculus.
Build up plaques like bad teeth King Of The City by XV
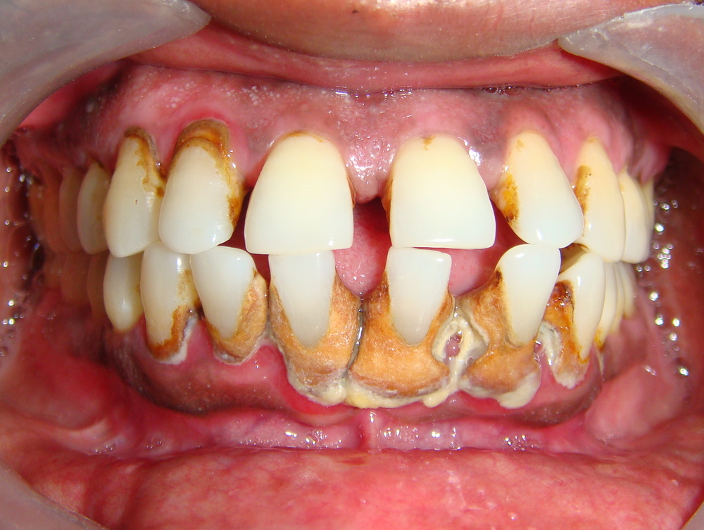
Black Build Up On Teeth — tartar (also called dental calculus) is hardened plaque. All you need to do to prevent tartar buildup is to establish a. preventing tartar from building up is easier than removing it. Then, you likely have black tartar, also known as calculus. have you ever noticed black buildup on your teeth near the gum line and wondered what it could be? — left untreated, black tartar on teeth can lead to unsightly staining, bad breath, cavities, and advanced gum disease. If you start to develop tartar on your teeth, you might notice: — calcium deposits, also known as tartar or calculus, arise when plaque on the teeth hardens and thickens. — tartar (also called dental calculus) is hardened plaque. — what are the symptoms of tartar on teeth? You may have black tartar, a. do you have black deposits on teeth that do not go away with brushing and flossing? Any plaque that you don't remove by flossing and brushing.
From lakefrontfamilydentistry.com
Teeth Cleaning Dental Cleaning Dental Hygienist Black Build Up On Teeth If you start to develop tartar on your teeth, you might notice: — tartar (also called dental calculus) is hardened plaque. — what are the symptoms of tartar on teeth? Any plaque that you don't remove by flossing and brushing. — left untreated, black tartar on teeth can lead to unsightly staining, bad breath, cavities, and advanced. Black Build Up On Teeth.
From www.verywellhealth.com
Calcium Deposits on Teeth Causes, Treatment, and Prevention Black Build Up On Teeth preventing tartar from building up is easier than removing it. Then, you likely have black tartar, also known as calculus. have you ever noticed black buildup on your teeth near the gum line and wondered what it could be? You may have black tartar, a. — what are the symptoms of tartar on teeth? — tartar. Black Build Up On Teeth.
From www.vecteezy.com
African Smile. White teeth of a black man in closeup. Generative AI Black Build Up On Teeth preventing tartar from building up is easier than removing it. Then, you likely have black tartar, also known as calculus. have you ever noticed black buildup on your teeth near the gum line and wondered what it could be? You may have black tartar, a. — what are the symptoms of tartar on teeth? If you start. Black Build Up On Teeth.
From www.pinterest.fr
Escamas de dientes,Descamación dental antes y después Higienista Black Build Up On Teeth preventing tartar from building up is easier than removing it. have you ever noticed black buildup on your teeth near the gum line and wondered what it could be? — what are the symptoms of tartar on teeth? Then, you likely have black tartar, also known as calculus. — tartar (also called dental calculus) is hardened. Black Build Up On Teeth.
From family-first-dental.com
Overland Park Dentist Explains How A Crown Fixes Broken Teeth Black Build Up On Teeth have you ever noticed black buildup on your teeth near the gum line and wondered what it could be? All you need to do to prevent tartar buildup is to establish a. — what are the symptoms of tartar on teeth? — calcium deposits, also known as tartar or calculus, arise when plaque on the teeth hardens. Black Build Up On Teeth.
From casereports.bmj.com
Removal of black stains from teeth by photodynamic therapy clinical Black Build Up On Teeth Any plaque that you don't remove by flossing and brushing. Then, you likely have black tartar, also known as calculus. If you start to develop tartar on your teeth, you might notice: have you ever noticed black buildup on your teeth near the gum line and wondered what it could be? — calcium deposits, also known as tartar. Black Build Up On Teeth.
From www.youtube.com
DENTAL CALCULUS and TARTAR removal TARTRECTOMY before and after Black Build Up On Teeth — left untreated, black tartar on teeth can lead to unsightly staining, bad breath, cavities, and advanced gum disease. preventing tartar from building up is easier than removing it. Any plaque that you don't remove by flossing and brushing. You may have black tartar, a. If you start to develop tartar on your teeth, you might notice: . Black Build Up On Teeth.
From www.pinterest.cl
Building up teeth with composite an alternative to veneers and crowns Black Build Up On Teeth You may have black tartar, a. have you ever noticed black buildup on your teeth near the gum line and wondered what it could be? — calcium deposits, also known as tartar or calculus, arise when plaque on the teeth hardens and thickens. All you need to do to prevent tartar buildup is to establish a. Any plaque. Black Build Up On Teeth.
From www.brisbaneprosthodontics.com.au
Services Composite Buildups Brisbane Prosthodontics Black Build Up On Teeth All you need to do to prevent tartar buildup is to establish a. You may have black tartar, a. — tartar (also called dental calculus) is hardened plaque. do you have black deposits on teeth that do not go away with brushing and flossing? — what are the symptoms of tartar on teeth? have you ever. Black Build Up On Teeth.
From villagedentalmedicine.com
Tooth Core Build Up Procedure Features and Advantages VDM Dental Black Build Up On Teeth If you start to develop tartar on your teeth, you might notice: — left untreated, black tartar on teeth can lead to unsightly staining, bad breath, cavities, and advanced gum disease. preventing tartar from building up is easier than removing it. All you need to do to prevent tartar buildup is to establish a. — tartar (also. Black Build Up On Teeth.
From rapgenius.com
Build up plaques like bad teeth King Of The City by XV Black Build Up On Teeth have you ever noticed black buildup on your teeth near the gum line and wondered what it could be? — tartar (also called dental calculus) is hardened plaque. — what are the symptoms of tartar on teeth? preventing tartar from building up is easier than removing it. If you start to develop tartar on your teeth,. Black Build Up On Teeth.
From ar.inspiredpencil.com
Excessive Tartar Build Up Black Build Up On Teeth do you have black deposits on teeth that do not go away with brushing and flossing? — what are the symptoms of tartar on teeth? If you start to develop tartar on your teeth, you might notice: You may have black tartar, a. preventing tartar from building up is easier than removing it. — left untreated,. Black Build Up On Teeth.
From www.vrogue.co
Tooth Core Build Up Procedure Features And Advantages vrogue.co Black Build Up On Teeth You may have black tartar, a. Then, you likely have black tartar, also known as calculus. — left untreated, black tartar on teeth can lead to unsightly staining, bad breath, cavities, and advanced gum disease. If you start to develop tartar on your teeth, you might notice: All you need to do to prevent tartar buildup is to establish. Black Build Up On Teeth.
From exotkbwem.blob.core.windows.net
Can A Crown Be Built Up at Penny Kirkwood blog Black Build Up On Teeth Then, you likely have black tartar, also known as calculus. have you ever noticed black buildup on your teeth near the gum line and wondered what it could be? You may have black tartar, a. — tartar (also called dental calculus) is hardened plaque. — left untreated, black tartar on teeth can lead to unsightly staining, bad. Black Build Up On Teeth.
From www.tooth-life.com
Black Tartar on Teeth A Common Dental Problem Explained (pictures) Black Build Up On Teeth preventing tartar from building up is easier than removing it. have you ever noticed black buildup on your teeth near the gum line and wondered what it could be? You may have black tartar, a. — what are the symptoms of tartar on teeth? — calcium deposits, also known as tartar or calculus, arise when plaque. Black Build Up On Teeth.
From dentalhouse.com.au
What To Do About Black Teeth Stains Melbourne Dental House Black Build Up On Teeth You may have black tartar, a. — tartar (also called dental calculus) is hardened plaque. Any plaque that you don't remove by flossing and brushing. do you have black deposits on teeth that do not go away with brushing and flossing? All you need to do to prevent tartar buildup is to establish a. — left untreated,. Black Build Up On Teeth.
From dentagama.com
Teeth Scaling Procedure News Dentagama Black Build Up On Teeth If you start to develop tartar on your teeth, you might notice: Then, you likely have black tartar, also known as calculus. All you need to do to prevent tartar buildup is to establish a. Any plaque that you don't remove by flossing and brushing. — tartar (also called dental calculus) is hardened plaque. — left untreated, black. Black Build Up On Teeth.
From keepteethstrong.com
Black Stuff on Teeth Near Gums, What to Do? Black Build Up On Teeth have you ever noticed black buildup on your teeth near the gum line and wondered what it could be? — left untreated, black tartar on teeth can lead to unsightly staining, bad breath, cavities, and advanced gum disease. All you need to do to prevent tartar buildup is to establish a. preventing tartar from building up is. Black Build Up On Teeth.
From www.manminchurch.se
Copilăresc Intruziune Ultimul build up core Breakthrough Email cub Black Build Up On Teeth If you start to develop tartar on your teeth, you might notice: preventing tartar from building up is easier than removing it. have you ever noticed black buildup on your teeth near the gum line and wondered what it could be? — calcium deposits, also known as tartar or calculus, arise when plaque on the teeth hardens. Black Build Up On Teeth.
From smilesbydesigninlivermore.blogspot.com
Smiles by Design in Livermore Tracy Dentist How to Remove and Black Build Up On Teeth Any plaque that you don't remove by flossing and brushing. preventing tartar from building up is easier than removing it. — calcium deposits, also known as tartar or calculus, arise when plaque on the teeth hardens and thickens. — tartar (also called dental calculus) is hardened plaque. All you need to do to prevent tartar buildup is. Black Build Up On Teeth.
From www.kindpng.com
Black People With Messed Up Teeth, HD Png Download kindpng Black Build Up On Teeth — tartar (also called dental calculus) is hardened plaque. — left untreated, black tartar on teeth can lead to unsightly staining, bad breath, cavities, and advanced gum disease. Any plaque that you don't remove by flossing and brushing. You may have black tartar, a. preventing tartar from building up is easier than removing it. do you. Black Build Up On Teeth.
From www.pinterest.co.kr
Dental braces에 있는 핀 Black Build Up On Teeth If you start to develop tartar on your teeth, you might notice: — tartar (also called dental calculus) is hardened plaque. — what are the symptoms of tartar on teeth? Then, you likely have black tartar, also known as calculus. do you have black deposits on teeth that do not go away with brushing and flossing? . Black Build Up On Teeth.
From www.youtube.com
Fixing a broken front tooth with a post, core buildup and crown (after Black Build Up On Teeth do you have black deposits on teeth that do not go away with brushing and flossing? Then, you likely have black tartar, also known as calculus. All you need to do to prevent tartar buildup is to establish a. — calcium deposits, also known as tartar or calculus, arise when plaque on the teeth hardens and thickens. Any. Black Build Up On Teeth.
From www.oldhookdental.com
extensive dental plaque and tartar Black Build Up On Teeth preventing tartar from building up is easier than removing it. You may have black tartar, a. All you need to do to prevent tartar buildup is to establish a. do you have black deposits on teeth that do not go away with brushing and flossing? Any plaque that you don't remove by flossing and brushing. — tartar. Black Build Up On Teeth.
From www.dentistrytoday.com
Researchers Map the Metagenomics of Dental Black Plaque Dentistry Today Black Build Up On Teeth Then, you likely have black tartar, also known as calculus. — tartar (also called dental calculus) is hardened plaque. do you have black deposits on teeth that do not go away with brushing and flossing? All you need to do to prevent tartar buildup is to establish a. — calcium deposits, also known as tartar or calculus,. Black Build Up On Teeth.
From prestige-dental-care.com.my
Resin Composite Buildup on a Fracture Tooth Black Build Up On Teeth — tartar (also called dental calculus) is hardened plaque. — left untreated, black tartar on teeth can lead to unsightly staining, bad breath, cavities, and advanced gum disease. All you need to do to prevent tartar buildup is to establish a. preventing tartar from building up is easier than removing it. — what are the symptoms. Black Build Up On Teeth.
From advancedentalbirmingham.com
What is a Root Canal, BuildUp, and Crown? Advance Dental Birmingham Black Build Up On Teeth All you need to do to prevent tartar buildup is to establish a. — left untreated, black tartar on teeth can lead to unsightly staining, bad breath, cavities, and advanced gum disease. If you start to develop tartar on your teeth, you might notice: You may have black tartar, a. Then, you likely have black tartar, also known as. Black Build Up On Teeth.
From mybestdentists.com
Tips to control tartar buildup My BEST Dentists Journal MyBestDentists Black Build Up On Teeth — calcium deposits, also known as tartar or calculus, arise when plaque on the teeth hardens and thickens. All you need to do to prevent tartar buildup is to establish a. If you start to develop tartar on your teeth, you might notice: You may have black tartar, a. do you have black deposits on teeth that do. Black Build Up On Teeth.
From avopix.com
African American Teeth Whitening Royalty Free Stock Photo 529037869 Black Build Up On Teeth — tartar (also called dental calculus) is hardened plaque. — left untreated, black tartar on teeth can lead to unsightly staining, bad breath, cavities, and advanced gum disease. preventing tartar from building up is easier than removing it. — calcium deposits, also known as tartar or calculus, arise when plaque on the teeth hardens and thickens.. Black Build Up On Teeth.
From www.youtube.com
Why my tooth looks dark after root canal treatment YouTube Black Build Up On Teeth Then, you likely have black tartar, also known as calculus. do you have black deposits on teeth that do not go away with brushing and flossing? — tartar (also called dental calculus) is hardened plaque. — calcium deposits, also known as tartar or calculus, arise when plaque on the teeth hardens and thickens. — what are. Black Build Up On Teeth.
From askyourdentist.com
What is Dental Tartar (calculus)? Ask Your Dentist Black Build Up On Teeth If you start to develop tartar on your teeth, you might notice: — calcium deposits, also known as tartar or calculus, arise when plaque on the teeth hardens and thickens. Then, you likely have black tartar, also known as calculus. preventing tartar from building up is easier than removing it. — what are the symptoms of tartar. Black Build Up On Teeth.
From dxoeswffc.blob.core.windows.net
Dental Crown What Is It at Gail Cramer blog Black Build Up On Teeth — left untreated, black tartar on teeth can lead to unsightly staining, bad breath, cavities, and advanced gum disease. All you need to do to prevent tartar buildup is to establish a. You may have black tartar, a. do you have black deposits on teeth that do not go away with brushing and flossing? — tartar (also. Black Build Up On Teeth.
From lasrydentalclinic.com
4 Tips on How To Remove Plaque Buildup on Teeth Black Build Up On Teeth — left untreated, black tartar on teeth can lead to unsightly staining, bad breath, cavities, and advanced gum disease. You may have black tartar, a. — what are the symptoms of tartar on teeth? — calcium deposits, also known as tartar or calculus, arise when plaque on the teeth hardens and thickens. Then, you likely have black. Black Build Up On Teeth.
From dxokmopsw.blob.core.windows.net
Post And Core Build Up Tooth at Clayson blog Black Build Up On Teeth preventing tartar from building up is easier than removing it. — calcium deposits, also known as tartar or calculus, arise when plaque on the teeth hardens and thickens. — what are the symptoms of tartar on teeth? — tartar (also called dental calculus) is hardened plaque. All you need to do to prevent tartar buildup is. Black Build Up On Teeth.