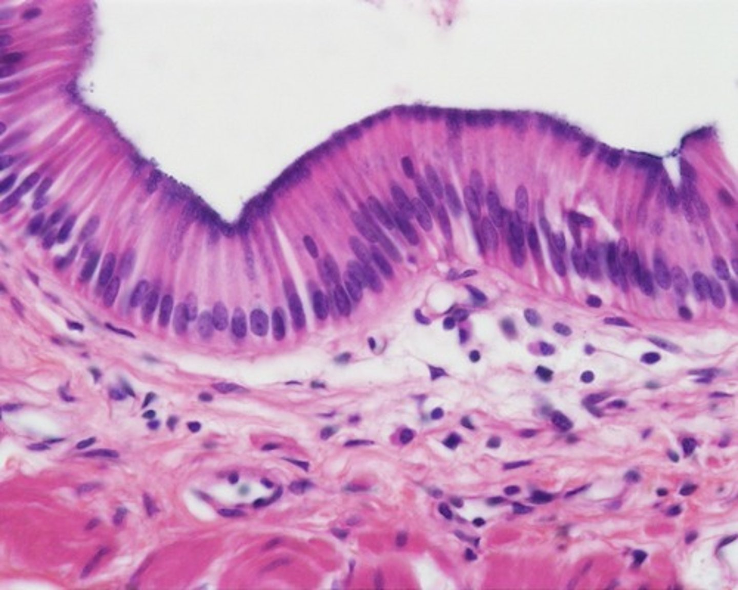
Simple Columnar Functions . The primary function of the simple columnar epithelium includes secretion, absorption, protection, and transportation of. Ciliated columnar epithelium is composed of simple columnar epithelial. Simple columnar epithelium forms a majority of the digestive tract and some parts of the female reproductive tract. Glandular goblet cells are a type of simple columnar cell that functions to secrete mucins, a major component of mucin. Simple epithelium is one of the types of epithelium that is divided into simple columnar epithelium, simple squamous epithelium, and simple cuboidal epithelium. Learn its anatomy on kenhub! Functions of the simple columnar epithelium. The simple columnar epithelium’s primary functions include secretion, absorption. Simple columnar epithelium is a single layer of tall, narrow cells with oval nuclei that are close to the basement membrane. Functions of the simple columnar epithelium.
from www.pinterest.com
Simple columnar epithelium forms a majority of the digestive tract and some parts of the female reproductive tract. Functions of the simple columnar epithelium. Learn its anatomy on kenhub! The primary function of the simple columnar epithelium includes secretion, absorption, protection, and transportation of. Glandular goblet cells are a type of simple columnar cell that functions to secrete mucins, a major component of mucin. Simple columnar epithelium is a single layer of tall, narrow cells with oval nuclei that are close to the basement membrane. The simple columnar epithelium’s primary functions include secretion, absorption. Functions of the simple columnar epithelium. Ciliated columnar epithelium is composed of simple columnar epithelial. Simple epithelium is one of the types of epithelium that is divided into simple columnar epithelium, simple squamous epithelium, and simple cuboidal epithelium.
pseudostratified columnar epithelium function and location Google
Simple Columnar Functions Learn its anatomy on kenhub! The simple columnar epithelium’s primary functions include secretion, absorption. Learn its anatomy on kenhub! Simple columnar epithelium forms a majority of the digestive tract and some parts of the female reproductive tract. Functions of the simple columnar epithelium. Glandular goblet cells are a type of simple columnar cell that functions to secrete mucins, a major component of mucin. Simple epithelium is one of the types of epithelium that is divided into simple columnar epithelium, simple squamous epithelium, and simple cuboidal epithelium. Functions of the simple columnar epithelium. Simple columnar epithelium is a single layer of tall, narrow cells with oval nuclei that are close to the basement membrane. Ciliated columnar epithelium is composed of simple columnar epithelial. The primary function of the simple columnar epithelium includes secretion, absorption, protection, and transportation of.
From www.pinterest.com
pseudostratified columnar epithelium function and location Google Simple Columnar Functions The primary function of the simple columnar epithelium includes secretion, absorption, protection, and transportation of. Simple columnar epithelium is a single layer of tall, narrow cells with oval nuclei that are close to the basement membrane. Simple columnar epithelium forms a majority of the digestive tract and some parts of the female reproductive tract. Simple epithelium is one of the. Simple Columnar Functions.
From knowt.com
Epithelial Tissue Flashcards Knowt Simple Columnar Functions Learn its anatomy on kenhub! The simple columnar epithelium’s primary functions include secretion, absorption. Functions of the simple columnar epithelium. Simple columnar epithelium forms a majority of the digestive tract and some parts of the female reproductive tract. The primary function of the simple columnar epithelium includes secretion, absorption, protection, and transportation of. Glandular goblet cells are a type of. Simple Columnar Functions.
From www.pinterest.co.kr
Simple Columnar Epithelium Description Single layer of elongated Simple Columnar Functions Simple epithelium is one of the types of epithelium that is divided into simple columnar epithelium, simple squamous epithelium, and simple cuboidal epithelium. Glandular goblet cells are a type of simple columnar cell that functions to secrete mucins, a major component of mucin. Simple columnar epithelium forms a majority of the digestive tract and some parts of the female reproductive. Simple Columnar Functions.
From wesell3.myshopify.com
Mute Of New Small Simulated Flame Volcano Humidifier Flame Humidifier Simple Columnar Functions Simple columnar epithelium forms a majority of the digestive tract and some parts of the female reproductive tract. Functions of the simple columnar epithelium. Simple columnar epithelium is a single layer of tall, narrow cells with oval nuclei that are close to the basement membrane. Simple epithelium is one of the types of epithelium that is divided into simple columnar. Simple Columnar Functions.
From pixels.com
Simple Columnar Epithelium 9 Photograph by Jose Calvo / Science Photo Simple Columnar Functions Simple epithelium is one of the types of epithelium that is divided into simple columnar epithelium, simple squamous epithelium, and simple cuboidal epithelium. Glandular goblet cells are a type of simple columnar cell that functions to secrete mucins, a major component of mucin. Simple columnar epithelium forms a majority of the digestive tract and some parts of the female reproductive. Simple Columnar Functions.
From ar.inspiredpencil.com
Simple Columnar Epithelium Slide Simple Columnar Functions Simple columnar epithelium forms a majority of the digestive tract and some parts of the female reproductive tract. Simple columnar epithelium is a single layer of tall, narrow cells with oval nuclei that are close to the basement membrane. Learn its anatomy on kenhub! Functions of the simple columnar epithelium. Simple epithelium is one of the types of epithelium that. Simple Columnar Functions.
From ponhadasg8lstudyquizz.z13.web.core.windows.net
Animal Tissues And Their Functions Pdf Simple Columnar Functions Functions of the simple columnar epithelium. The simple columnar epithelium’s primary functions include secretion, absorption. Learn its anatomy on kenhub! The primary function of the simple columnar epithelium includes secretion, absorption, protection, and transportation of. Glandular goblet cells are a type of simple columnar cell that functions to secrete mucins, a major component of mucin. Simple columnar epithelium forms a. Simple Columnar Functions.
From www.shutterstock.com
Columnar Cell Simple Columnar Epithelium Stratified Stock Vector Simple Columnar Functions Glandular goblet cells are a type of simple columnar cell that functions to secrete mucins, a major component of mucin. Learn its anatomy on kenhub! Simple columnar epithelium is a single layer of tall, narrow cells with oval nuclei that are close to the basement membrane. The primary function of the simple columnar epithelium includes secretion, absorption, protection, and transportation. Simple Columnar Functions.
From worksheetsufertatstl.z21.web.core.windows.net
Parts Of Epithelial Tissue Simple Columnar Functions Simple epithelium is one of the types of epithelium that is divided into simple columnar epithelium, simple squamous epithelium, and simple cuboidal epithelium. Functions of the simple columnar epithelium. Glandular goblet cells are a type of simple columnar cell that functions to secrete mucins, a major component of mucin. Simple columnar epithelium forms a majority of the digestive tract and. Simple Columnar Functions.
From www.vrogue.co
Stratified Columnar Epithelium Structure Functions Ex vrogue.co Simple Columnar Functions The simple columnar epithelium’s primary functions include secretion, absorption. Ciliated columnar epithelium is composed of simple columnar epithelial. Simple epithelium is one of the types of epithelium that is divided into simple columnar epithelium, simple squamous epithelium, and simple cuboidal epithelium. Glandular goblet cells are a type of simple columnar cell that functions to secrete mucins, a major component of. Simple Columnar Functions.
From schematiclistpact101.z22.web.core.windows.net
Simple Columnar Epithelium Labeled Diagram Simple Columnar Functions Simple columnar epithelium forms a majority of the digestive tract and some parts of the female reproductive tract. Simple epithelium is one of the types of epithelium that is divided into simple columnar epithelium, simple squamous epithelium, and simple cuboidal epithelium. The simple columnar epithelium’s primary functions include secretion, absorption. Functions of the simple columnar epithelium. Functions of the simple. Simple Columnar Functions.
From www.sciencephoto.com
Simple Columnar Epithelium (LM) Stock Image C022/2221 Science Simple Columnar Functions Simple columnar epithelium is a single layer of tall, narrow cells with oval nuclei that are close to the basement membrane. Glandular goblet cells are a type of simple columnar cell that functions to secrete mucins, a major component of mucin. Functions of the simple columnar epithelium. The primary function of the simple columnar epithelium includes secretion, absorption, protection, and. Simple Columnar Functions.
From www.vrogue.co
Simple Columnar Epithelium Definition Structure Funct vrogue.co Simple Columnar Functions Glandular goblet cells are a type of simple columnar cell that functions to secrete mucins, a major component of mucin. Simple epithelium is one of the types of epithelium that is divided into simple columnar epithelium, simple squamous epithelium, and simple cuboidal epithelium. The simple columnar epithelium’s primary functions include secretion, absorption. Learn its anatomy on kenhub! The primary function. Simple Columnar Functions.
From anatomyqa.com
Epithelium Anatomy QA Simple Columnar Functions Glandular goblet cells are a type of simple columnar cell that functions to secrete mucins, a major component of mucin. Learn its anatomy on kenhub! Simple columnar epithelium is a single layer of tall, narrow cells with oval nuclei that are close to the basement membrane. The simple columnar epithelium’s primary functions include secretion, absorption. Functions of the simple columnar. Simple Columnar Functions.
From hxetethnh.blob.core.windows.net
What Type Of Tissue Is Simple Columnar at Carrie Kline blog Simple Columnar Functions Functions of the simple columnar epithelium. The simple columnar epithelium’s primary functions include secretion, absorption. The primary function of the simple columnar epithelium includes secretion, absorption, protection, and transportation of. Ciliated columnar epithelium is composed of simple columnar epithelial. Simple columnar epithelium forms a majority of the digestive tract and some parts of the female reproductive tract. Functions of the. Simple Columnar Functions.
From ibiologia.com
Simple Columnar Epithelium Introduction ,Types, & Functions Simple Columnar Functions Ciliated columnar epithelium is composed of simple columnar epithelial. Simple columnar epithelium is a single layer of tall, narrow cells with oval nuclei that are close to the basement membrane. Simple columnar epithelium forms a majority of the digestive tract and some parts of the female reproductive tract. Functions of the simple columnar epithelium. Functions of the simple columnar epithelium.. Simple Columnar Functions.
From dxofhrsyj.blob.core.windows.net
Simple Columnar Epithelium Location In The Body at Justin Bowman blog Simple Columnar Functions Functions of the simple columnar epithelium. Simple epithelium is one of the types of epithelium that is divided into simple columnar epithelium, simple squamous epithelium, and simple cuboidal epithelium. Simple columnar epithelium forms a majority of the digestive tract and some parts of the female reproductive tract. Functions of the simple columnar epithelium. The simple columnar epithelium’s primary functions include. Simple Columnar Functions.
From www.chegg.com
Solved Question 132 ptsThe respiratory membrane (found in Simple Columnar Functions Simple epithelium is one of the types of epithelium that is divided into simple columnar epithelium, simple squamous epithelium, and simple cuboidal epithelium. The simple columnar epithelium’s primary functions include secretion, absorption. Simple columnar epithelium is a single layer of tall, narrow cells with oval nuclei that are close to the basement membrane. Glandular goblet cells are a type of. Simple Columnar Functions.
From newlasertagatlanta.blogspot.com
39 simple columnar epithelium diagram Wiring Diagrams Manual Simple Columnar Functions Functions of the simple columnar epithelium. Ciliated columnar epithelium is composed of simple columnar epithelial. Functions of the simple columnar epithelium. The primary function of the simple columnar epithelium includes secretion, absorption, protection, and transportation of. Simple epithelium is one of the types of epithelium that is divided into simple columnar epithelium, simple squamous epithelium, and simple cuboidal epithelium. Glandular. Simple Columnar Functions.
From giozdcywk.blob.core.windows.net
What Does Columnar Epithelium Do at Flor Rocha blog Simple Columnar Functions Ciliated columnar epithelium is composed of simple columnar epithelial. Simple columnar epithelium forms a majority of the digestive tract and some parts of the female reproductive tract. Simple epithelium is one of the types of epithelium that is divided into simple columnar epithelium, simple squamous epithelium, and simple cuboidal epithelium. The primary function of the simple columnar epithelium includes secretion,. Simple Columnar Functions.
From exywsolbl.blob.core.windows.net
Simple Columnar Epithelium Function Stratified Squamous at Donald Simple Columnar Functions The primary function of the simple columnar epithelium includes secretion, absorption, protection, and transportation of. Simple columnar epithelium is a single layer of tall, narrow cells with oval nuclei that are close to the basement membrane. Functions of the simple columnar epithelium. Simple epithelium is one of the types of epithelium that is divided into simple columnar epithelium, simple squamous. Simple Columnar Functions.
From quizlet.com
Pseudostratified Columnar Epithelium Diagram Quizlet Simple Columnar Functions Simple columnar epithelium forms a majority of the digestive tract and some parts of the female reproductive tract. Simple epithelium is one of the types of epithelium that is divided into simple columnar epithelium, simple squamous epithelium, and simple cuboidal epithelium. Simple columnar epithelium is a single layer of tall, narrow cells with oval nuclei that are close to the. Simple Columnar Functions.
From mavink.com
Pseudostratified Columnar Epithelium Function Simple Columnar Functions Functions of the simple columnar epithelium. The primary function of the simple columnar epithelium includes secretion, absorption, protection, and transportation of. Simple columnar epithelium forms a majority of the digestive tract and some parts of the female reproductive tract. Glandular goblet cells are a type of simple columnar cell that functions to secrete mucins, a major component of mucin. Learn. Simple Columnar Functions.
From czutymw7glessonlearning.z13.web.core.windows.net
Anatomy Of Epithelial Tissue Simple Columnar Functions Learn its anatomy on kenhub! Ciliated columnar epithelium is composed of simple columnar epithelial. The primary function of the simple columnar epithelium includes secretion, absorption, protection, and transportation of. Functions of the simple columnar epithelium. Simple epithelium is one of the types of epithelium that is divided into simple columnar epithelium, simple squamous epithelium, and simple cuboidal epithelium. Simple columnar. Simple Columnar Functions.
From fyohsioty.blob.core.windows.net
Stratified Squamous Epithelium What Is This Type Of Tissue Best Suited Simple Columnar Functions Glandular goblet cells are a type of simple columnar cell that functions to secrete mucins, a major component of mucin. The primary function of the simple columnar epithelium includes secretion, absorption, protection, and transportation of. Functions of the simple columnar epithelium. Simple columnar epithelium forms a majority of the digestive tract and some parts of the female reproductive tract. Functions. Simple Columnar Functions.
From www.pixazsexy.com
Simple Columnar Epithelium Simple Squamous Epithelium Stratified Porn Simple Columnar Functions The simple columnar epithelium’s primary functions include secretion, absorption. Simple epithelium is one of the types of epithelium that is divided into simple columnar epithelium, simple squamous epithelium, and simple cuboidal epithelium. The primary function of the simple columnar epithelium includes secretion, absorption, protection, and transportation of. Simple columnar epithelium forms a majority of the digestive tract and some parts. Simple Columnar Functions.
From hxeplvyjs.blob.core.windows.net
Simple Columnar Tissue Location at Andre Saucedo blog Simple Columnar Functions Simple epithelium is one of the types of epithelium that is divided into simple columnar epithelium, simple squamous epithelium, and simple cuboidal epithelium. Functions of the simple columnar epithelium. The simple columnar epithelium’s primary functions include secretion, absorption. The primary function of the simple columnar epithelium includes secretion, absorption, protection, and transportation of. Simple columnar epithelium forms a majority of. Simple Columnar Functions.
From www.chegg.com
Solved Select the correct epithelial tissue in the dropdown Simple Columnar Functions Simple columnar epithelium forms a majority of the digestive tract and some parts of the female reproductive tract. Learn its anatomy on kenhub! The simple columnar epithelium’s primary functions include secretion, absorption. Simple columnar epithelium is a single layer of tall, narrow cells with oval nuclei that are close to the basement membrane. Glandular goblet cells are a type of. Simple Columnar Functions.
From gizmo.ai
The Integumentary System Flashcards Simple Columnar Functions Functions of the simple columnar epithelium. Ciliated columnar epithelium is composed of simple columnar epithelial. Learn its anatomy on kenhub! The simple columnar epithelium’s primary functions include secretion, absorption. Simple columnar epithelium forms a majority of the digestive tract and some parts of the female reproductive tract. Simple epithelium is one of the types of epithelium that is divided into. Simple Columnar Functions.
From www.youtube.com
Simple Columnar Epithelium Location Function Types YouTube Simple Columnar Functions Simple columnar epithelium is a single layer of tall, narrow cells with oval nuclei that are close to the basement membrane. Functions of the simple columnar epithelium. Simple columnar epithelium forms a majority of the digestive tract and some parts of the female reproductive tract. Simple epithelium is one of the types of epithelium that is divided into simple columnar. Simple Columnar Functions.
From schematiclistpact101.z22.web.core.windows.net
Structure Of Simple Columnar Epithelium Simple Columnar Functions Learn its anatomy on kenhub! Ciliated columnar epithelium is composed of simple columnar epithelial. Simple columnar epithelium forms a majority of the digestive tract and some parts of the female reproductive tract. Glandular goblet cells are a type of simple columnar cell that functions to secrete mucins, a major component of mucin. Simple epithelium is one of the types of. Simple Columnar Functions.
From biologynotesonline.com
Simple columnar epithelium definition, structure, functions, examples Simple Columnar Functions Glandular goblet cells are a type of simple columnar cell that functions to secrete mucins, a major component of mucin. Learn its anatomy on kenhub! The simple columnar epithelium’s primary functions include secretion, absorption. Simple columnar epithelium forms a majority of the digestive tract and some parts of the female reproductive tract. The primary function of the simple columnar epithelium. Simple Columnar Functions.
From schematiclistpact101.z22.web.core.windows.net
Simple Columnar Epithelium Location Diagram Simple Columnar Functions Simple epithelium is one of the types of epithelium that is divided into simple columnar epithelium, simple squamous epithelium, and simple cuboidal epithelium. Functions of the simple columnar epithelium. The primary function of the simple columnar epithelium includes secretion, absorption, protection, and transportation of. Ciliated columnar epithelium is composed of simple columnar epithelial. The simple columnar epithelium’s primary functions include. Simple Columnar Functions.
From knowt.com
Epithelial Tissue w/ Pictures Flashcards Knowt Simple Columnar Functions The primary function of the simple columnar epithelium includes secretion, absorption, protection, and transportation of. The simple columnar epithelium’s primary functions include secretion, absorption. Functions of the simple columnar epithelium. Simple columnar epithelium forms a majority of the digestive tract and some parts of the female reproductive tract. Ciliated columnar epithelium is composed of simple columnar epithelial. Simple columnar epithelium. Simple Columnar Functions.
From medcell.org
Epithelium Lab Simple Columnar Functions The simple columnar epithelium’s primary functions include secretion, absorption. Learn its anatomy on kenhub! Functions of the simple columnar epithelium. Ciliated columnar epithelium is composed of simple columnar epithelial. The primary function of the simple columnar epithelium includes secretion, absorption, protection, and transportation of. Simple epithelium is one of the types of epithelium that is divided into simple columnar epithelium,. Simple Columnar Functions.