Ct Scan Kidney Stone Protocol . Learn about the procedure, reasons, risks, and preparation for a ct scan of the kidney, which can detect kidney stones and other conditions. Scan from top of kidneys to bottom of symphysis pubis. Learn why your provider might order a scan. Kidney stone disease (nephrolithiasis) is a common problem in primary care practice. If allergic to contrast or poor. Patients may present with the. Is a ct scan necessary to diagnose kidney stones? R/o kidney or ureteral stones. Not all cases require imaging tests.
from www.ctisus.com
Learn about the procedure, reasons, risks, and preparation for a ct scan of the kidney, which can detect kidney stones and other conditions. Is a ct scan necessary to diagnose kidney stones? If allergic to contrast or poor. Scan from top of kidneys to bottom of symphysis pubis. Kidney stone disease (nephrolithiasis) is a common problem in primary care practice. Learn why your provider might order a scan. R/o kidney or ureteral stones. Patients may present with the. Not all cases require imaging tests.
Renal Stones Body MR Case Studies CTisus CT Scanning
Ct Scan Kidney Stone Protocol Is a ct scan necessary to diagnose kidney stones? Scan from top of kidneys to bottom of symphysis pubis. Learn about the procedure, reasons, risks, and preparation for a ct scan of the kidney, which can detect kidney stones and other conditions. Patients may present with the. R/o kidney or ureteral stones. If allergic to contrast or poor. Not all cases require imaging tests. Is a ct scan necessary to diagnose kidney stones? Kidney stone disease (nephrolithiasis) is a common problem in primary care practice. Learn why your provider might order a scan.
From bookmerilab.com
CT KUB Scan Purpose, Procedure, Contrast & Cost [2023] Ct Scan Kidney Stone Protocol Not all cases require imaging tests. If allergic to contrast or poor. R/o kidney or ureteral stones. Learn why your provider might order a scan. Scan from top of kidneys to bottom of symphysis pubis. Patients may present with the. Learn about the procedure, reasons, risks, and preparation for a ct scan of the kidney, which can detect kidney stones. Ct Scan Kidney Stone Protocol.
From radiologykey.com
Protocol Optimization for Renal Mass Detection and Characterization Ct Scan Kidney Stone Protocol Kidney stone disease (nephrolithiasis) is a common problem in primary care practice. If allergic to contrast or poor. Learn why your provider might order a scan. Learn about the procedure, reasons, risks, and preparation for a ct scan of the kidney, which can detect kidney stones and other conditions. R/o kidney or ureteral stones. Patients may present with the. Is. Ct Scan Kidney Stone Protocol.
From www.ttsh.com.sg
Kidney Stone Tan Tock Seng Hospital Ct Scan Kidney Stone Protocol Scan from top of kidneys to bottom of symphysis pubis. Is a ct scan necessary to diagnose kidney stones? If allergic to contrast or poor. R/o kidney or ureteral stones. Learn why your provider might order a scan. Learn about the procedure, reasons, risks, and preparation for a ct scan of the kidney, which can detect kidney stones and other. Ct Scan Kidney Stone Protocol.
From www.ctisus.com
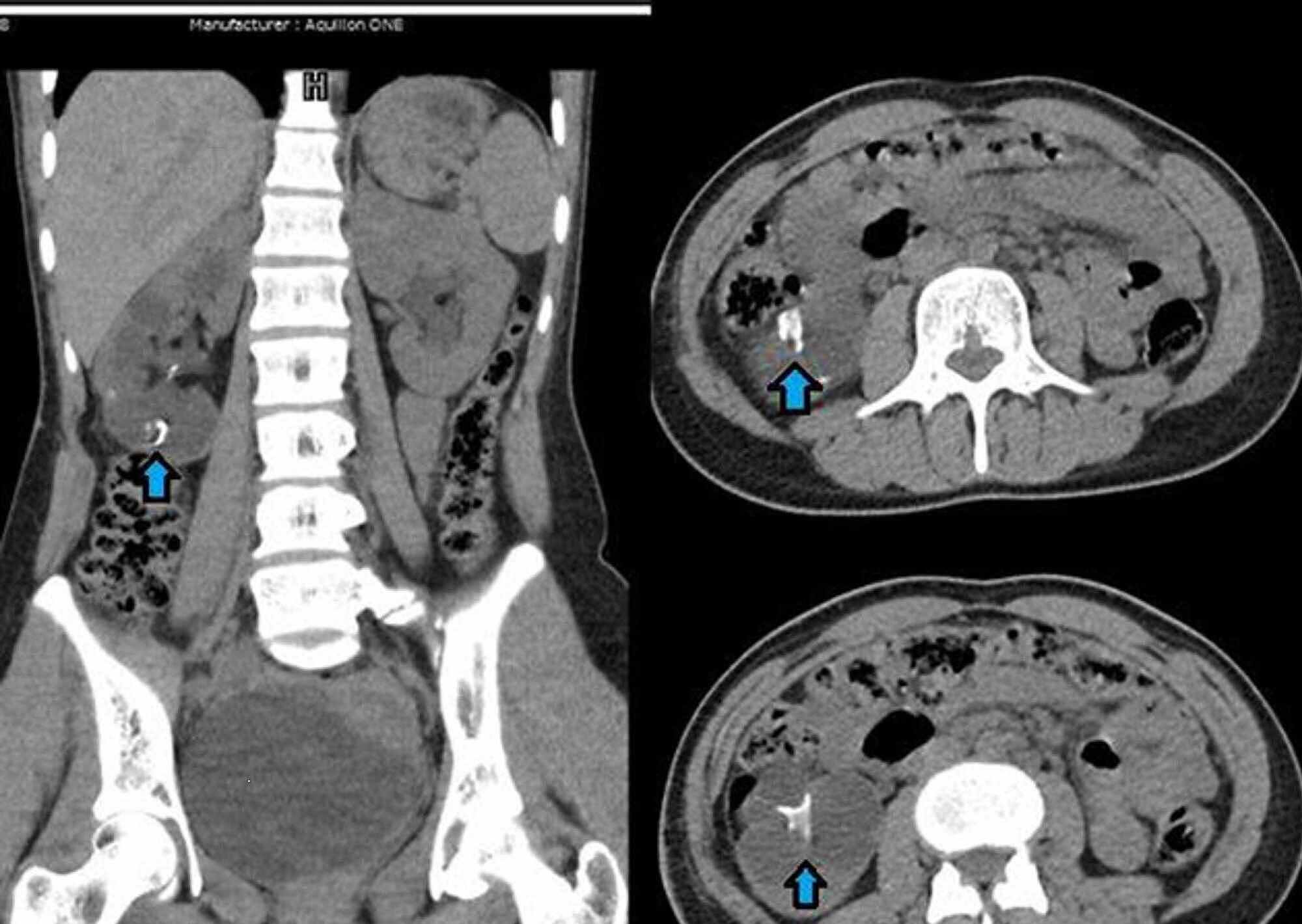
Stone in Right Renal Pelvis Kidney Case Studies CTisus CT Scanning Ct Scan Kidney Stone Protocol Not all cases require imaging tests. R/o kidney or ureteral stones. Patients may present with the. Kidney stone disease (nephrolithiasis) is a common problem in primary care practice. Scan from top of kidneys to bottom of symphysis pubis. Is a ct scan necessary to diagnose kidney stones? Learn why your provider might order a scan. If allergic to contrast or. Ct Scan Kidney Stone Protocol.
From www.cureus.com
Cureus Foreign Body in Kidney Presenting as Renal Stone Ct Scan Kidney Stone Protocol Learn about the procedure, reasons, risks, and preparation for a ct scan of the kidney, which can detect kidney stones and other conditions. Scan from top of kidneys to bottom of symphysis pubis. Patients may present with the. Learn why your provider might order a scan. Not all cases require imaging tests. If allergic to contrast or poor. R/o kidney. Ct Scan Kidney Stone Protocol.
From www.ctisus.com
Renal Stones Body MR Case Studies CTisus CT Scanning Ct Scan Kidney Stone Protocol If allergic to contrast or poor. R/o kidney or ureteral stones. Is a ct scan necessary to diagnose kidney stones? Learn about the procedure, reasons, risks, and preparation for a ct scan of the kidney, which can detect kidney stones and other conditions. Patients may present with the. Scan from top of kidneys to bottom of symphysis pubis. Not all. Ct Scan Kidney Stone Protocol.
From www.sciencephoto.com
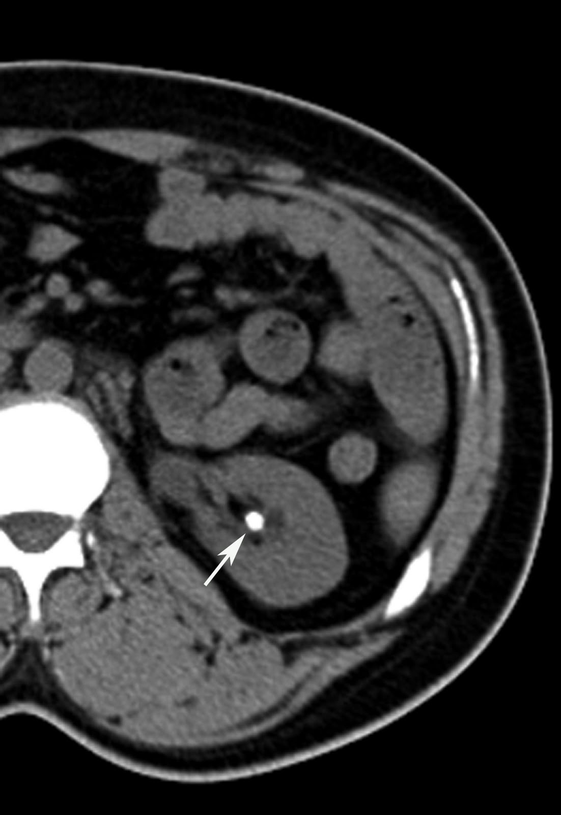
Kidney stones, CT scan Stock Image C023/4563 Science Photo Library Ct Scan Kidney Stone Protocol Learn why your provider might order a scan. Scan from top of kidneys to bottom of symphysis pubis. Kidney stone disease (nephrolithiasis) is a common problem in primary care practice. Is a ct scan necessary to diagnose kidney stones? Not all cases require imaging tests. If allergic to contrast or poor. Patients may present with the. Learn about the procedure,. Ct Scan Kidney Stone Protocol.
From www.youtube.com
Urinary Tract Stones How do we Diagnose them on CT Scans? YouTube Ct Scan Kidney Stone Protocol Learn why your provider might order a scan. Scan from top of kidneys to bottom of symphysis pubis. Is a ct scan necessary to diagnose kidney stones? If allergic to contrast or poor. Kidney stone disease (nephrolithiasis) is a common problem in primary care practice. R/o kidney or ureteral stones. Not all cases require imaging tests. Patients may present with. Ct Scan Kidney Stone Protocol.
From www.healthline.com
CT Scan for Kidney Stones Accuracy, Benefits, Risks Ct Scan Kidney Stone Protocol Scan from top of kidneys to bottom of symphysis pubis. Not all cases require imaging tests. Patients may present with the. If allergic to contrast or poor. Learn about the procedure, reasons, risks, and preparation for a ct scan of the kidney, which can detect kidney stones and other conditions. Is a ct scan necessary to diagnose kidney stones? R/o. Ct Scan Kidney Stone Protocol.
From www.ctisus.com
Stone in Right Renal Pelvis Kidney Case Studies CTisus CT Scanning Ct Scan Kidney Stone Protocol Is a ct scan necessary to diagnose kidney stones? Learn about the procedure, reasons, risks, and preparation for a ct scan of the kidney, which can detect kidney stones and other conditions. Kidney stone disease (nephrolithiasis) is a common problem in primary care practice. R/o kidney or ureteral stones. Not all cases require imaging tests. If allergic to contrast or. Ct Scan Kidney Stone Protocol.
From www.medical-professionals.com
Renal CT Scan for Vascular Diseases A Complete Imaging Guide Ct Scan Kidney Stone Protocol Learn about the procedure, reasons, risks, and preparation for a ct scan of the kidney, which can detect kidney stones and other conditions. Learn why your provider might order a scan. Not all cases require imaging tests. Scan from top of kidneys to bottom of symphysis pubis. Kidney stone disease (nephrolithiasis) is a common problem in primary care practice. If. Ct Scan Kidney Stone Protocol.
From www.youtube.com
Ct Renal Angiography Protocol Technique Renalangio ctangiography Ct Scan Kidney Stone Protocol If allergic to contrast or poor. Kidney stone disease (nephrolithiasis) is a common problem in primary care practice. Learn why your provider might order a scan. Scan from top of kidneys to bottom of symphysis pubis. Learn about the procedure, reasons, risks, and preparation for a ct scan of the kidney, which can detect kidney stones and other conditions. R/o. Ct Scan Kidney Stone Protocol.
From radtechedu.com
CT Urogram Stone Study Ct Scan Kidney Stone Protocol If allergic to contrast or poor. Scan from top of kidneys to bottom of symphysis pubis. Learn why your provider might order a scan. Learn about the procedure, reasons, risks, and preparation for a ct scan of the kidney, which can detect kidney stones and other conditions. R/o kidney or ureteral stones. Patients may present with the. Not all cases. Ct Scan Kidney Stone Protocol.
From kiranpetct.com
CT Scans for Kidney Stones Diagnosis and Treatment Ct Scan Kidney Stone Protocol Not all cases require imaging tests. R/o kidney or ureteral stones. If allergic to contrast or poor. Learn about the procedure, reasons, risks, and preparation for a ct scan of the kidney, which can detect kidney stones and other conditions. Is a ct scan necessary to diagnose kidney stones? Learn why your provider might order a scan. Patients may present. Ct Scan Kidney Stone Protocol.
From onlinelibrary.wiley.com
The proportion of computed tomography kidneys, ureters and bladder Ct Scan Kidney Stone Protocol Kidney stone disease (nephrolithiasis) is a common problem in primary care practice. If allergic to contrast or poor. Learn about the procedure, reasons, risks, and preparation for a ct scan of the kidney, which can detect kidney stones and other conditions. Not all cases require imaging tests. Patients may present with the. Learn why your provider might order a scan.. Ct Scan Kidney Stone Protocol.
From www.sciencephoto.com
Kidney stone, CT scan Stock Image F041/9024 Science Photo Library Ct Scan Kidney Stone Protocol Learn why your provider might order a scan. Scan from top of kidneys to bottom of symphysis pubis. Patients may present with the. Not all cases require imaging tests. Is a ct scan necessary to diagnose kidney stones? If allergic to contrast or poor. R/o kidney or ureteral stones. Kidney stone disease (nephrolithiasis) is a common problem in primary care. Ct Scan Kidney Stone Protocol.
From ar.inspiredpencil.com
Kidney Stone Cat Scan Ct Scan Kidney Stone Protocol Not all cases require imaging tests. Learn why your provider might order a scan. Is a ct scan necessary to diagnose kidney stones? R/o kidney or ureteral stones. Kidney stone disease (nephrolithiasis) is a common problem in primary care practice. If allergic to contrast or poor. Scan from top of kidneys to bottom of symphysis pubis. Learn about the procedure,. Ct Scan Kidney Stone Protocol.
From www.intechopen.com
Noncontrast CT in the Evaluation of Urinary Tract Stone Obstruction Ct Scan Kidney Stone Protocol Learn why your provider might order a scan. Patients may present with the. If allergic to contrast or poor. Scan from top of kidneys to bottom of symphysis pubis. Learn about the procedure, reasons, risks, and preparation for a ct scan of the kidney, which can detect kidney stones and other conditions. Is a ct scan necessary to diagnose kidney. Ct Scan Kidney Stone Protocol.
From health-fts.blogspot.com
HEALTH FROM TRUSTED SOURCES Kidney stones Ct Scan Kidney Stone Protocol If allergic to contrast or poor. Not all cases require imaging tests. Scan from top of kidneys to bottom of symphysis pubis. Patients may present with the. Learn about the procedure, reasons, risks, and preparation for a ct scan of the kidney, which can detect kidney stones and other conditions. Learn why your provider might order a scan. R/o kidney. Ct Scan Kidney Stone Protocol.
From www.ctisus.com
Stone in Right Renal Pelvis Kidney Case Studies CTisus CT Scanning Ct Scan Kidney Stone Protocol Learn why your provider might order a scan. R/o kidney or ureteral stones. Learn about the procedure, reasons, risks, and preparation for a ct scan of the kidney, which can detect kidney stones and other conditions. Not all cases require imaging tests. Kidney stone disease (nephrolithiasis) is a common problem in primary care practice. Patients may present with the. Scan. Ct Scan Kidney Stone Protocol.
From www.wikidoc.org
Kidney stone CT wikidoc Ct Scan Kidney Stone Protocol If allergic to contrast or poor. Scan from top of kidneys to bottom of symphysis pubis. Not all cases require imaging tests. R/o kidney or ureteral stones. Learn about the procedure, reasons, risks, and preparation for a ct scan of the kidney, which can detect kidney stones and other conditions. Learn why your provider might order a scan. Kidney stone. Ct Scan Kidney Stone Protocol.
From manju-imagingxpert.blogspot.com
Radiodiagnosis Imaging is AmazingInteresting cases Renal calculus Ct Scan Kidney Stone Protocol Scan from top of kidneys to bottom of symphysis pubis. Not all cases require imaging tests. R/o kidney or ureteral stones. Kidney stone disease (nephrolithiasis) is a common problem in primary care practice. Learn why your provider might order a scan. Patients may present with the. Is a ct scan necessary to diagnose kidney stones? If allergic to contrast or. Ct Scan Kidney Stone Protocol.
From www.semanticscholar.org
An overview of kidney stone imaging techniques Semantic Scholar Ct Scan Kidney Stone Protocol Scan from top of kidneys to bottom of symphysis pubis. Kidney stone disease (nephrolithiasis) is a common problem in primary care practice. If allergic to contrast or poor. R/o kidney or ureteral stones. Not all cases require imaging tests. Learn why your provider might order a scan. Learn about the procedure, reasons, risks, and preparation for a ct scan of. Ct Scan Kidney Stone Protocol.
From ar.inspiredpencil.com
Kidney Stone Cat Scan Ct Scan Kidney Stone Protocol Is a ct scan necessary to diagnose kidney stones? R/o kidney or ureteral stones. Learn why your provider might order a scan. Learn about the procedure, reasons, risks, and preparation for a ct scan of the kidney, which can detect kidney stones and other conditions. If allergic to contrast or poor. Not all cases require imaging tests. Scan from top. Ct Scan Kidney Stone Protocol.
From ar.inspiredpencil.com
Kidney Stone Cat Scan Ct Scan Kidney Stone Protocol Kidney stone disease (nephrolithiasis) is a common problem in primary care practice. Is a ct scan necessary to diagnose kidney stones? Patients may present with the. Scan from top of kidneys to bottom of symphysis pubis. If allergic to contrast or poor. Learn about the procedure, reasons, risks, and preparation for a ct scan of the kidney, which can detect. Ct Scan Kidney Stone Protocol.
From teachmesurgery.com
Renal Stones Clinical Features Management TeachMeSurgery Ct Scan Kidney Stone Protocol Kidney stone disease (nephrolithiasis) is a common problem in primary care practice. Is a ct scan necessary to diagnose kidney stones? Learn why your provider might order a scan. Scan from top of kidneys to bottom of symphysis pubis. Patients may present with the. R/o kidney or ureteral stones. Not all cases require imaging tests. Learn about the procedure, reasons,. Ct Scan Kidney Stone Protocol.
From www.sciencephoto.com
Kidney stones, CT scan Stock Image M195/0166 Science Photo Library Ct Scan Kidney Stone Protocol Patients may present with the. If allergic to contrast or poor. Not all cases require imaging tests. R/o kidney or ureteral stones. Learn about the procedure, reasons, risks, and preparation for a ct scan of the kidney, which can detect kidney stones and other conditions. Kidney stone disease (nephrolithiasis) is a common problem in primary care practice. Learn why your. Ct Scan Kidney Stone Protocol.
From ar.inspiredpencil.com
Kidney Stone Cat Scan Ct Scan Kidney Stone Protocol Learn why your provider might order a scan. Kidney stone disease (nephrolithiasis) is a common problem in primary care practice. Is a ct scan necessary to diagnose kidney stones? Patients may present with the. R/o kidney or ureteral stones. Not all cases require imaging tests. If allergic to contrast or poor. Scan from top of kidneys to bottom of symphysis. Ct Scan Kidney Stone Protocol.
From www.youtube.com
CT scan for kidney stone YouTube Ct Scan Kidney Stone Protocol Scan from top of kidneys to bottom of symphysis pubis. Patients may present with the. R/o kidney or ureteral stones. Learn why your provider might order a scan. If allergic to contrast or poor. Learn about the procedure, reasons, risks, and preparation for a ct scan of the kidney, which can detect kidney stones and other conditions. Is a ct. Ct Scan Kidney Stone Protocol.
From www.liebertpub.com
Calcium Tartrate Tetrahydrate, Case Report of a Novel Human Kidney Ct Scan Kidney Stone Protocol Is a ct scan necessary to diagnose kidney stones? R/o kidney or ureteral stones. If allergic to contrast or poor. Not all cases require imaging tests. Patients may present with the. Learn why your provider might order a scan. Learn about the procedure, reasons, risks, and preparation for a ct scan of the kidney, which can detect kidney stones and. Ct Scan Kidney Stone Protocol.
From www.tpsearchtool.com
Ureter Ct Scan Kidney Stone Ct Scan Machine Images Ct Scan Kidney Stone Protocol Learn why your provider might order a scan. Patients may present with the. If allergic to contrast or poor. Kidney stone disease (nephrolithiasis) is a common problem in primary care practice. Not all cases require imaging tests. R/o kidney or ureteral stones. Is a ct scan necessary to diagnose kidney stones? Learn about the procedure, reasons, risks, and preparation for. Ct Scan Kidney Stone Protocol.
From manju-imagingxpert.blogspot.com
Radiodiagnosis Imaging is AmazingInteresting cases Ureteric Ct Scan Kidney Stone Protocol Patients may present with the. R/o kidney or ureteral stones. If allergic to contrast or poor. Learn about the procedure, reasons, risks, and preparation for a ct scan of the kidney, which can detect kidney stones and other conditions. Learn why your provider might order a scan. Scan from top of kidneys to bottom of symphysis pubis. Kidney stone disease. Ct Scan Kidney Stone Protocol.
From ar.inspiredpencil.com
Kidney Stone Cat Scan Ct Scan Kidney Stone Protocol R/o kidney or ureteral stones. Not all cases require imaging tests. If allergic to contrast or poor. Kidney stone disease (nephrolithiasis) is a common problem in primary care practice. Learn about the procedure, reasons, risks, and preparation for a ct scan of the kidney, which can detect kidney stones and other conditions. Patients may present with the. Scan from top. Ct Scan Kidney Stone Protocol.
From www.ctisus.com
Stone in Right Renal Pelvis Kidney Case Studies CTisus CT Scanning Ct Scan Kidney Stone Protocol Kidney stone disease (nephrolithiasis) is a common problem in primary care practice. If allergic to contrast or poor. Is a ct scan necessary to diagnose kidney stones? Not all cases require imaging tests. Learn about the procedure, reasons, risks, and preparation for a ct scan of the kidney, which can detect kidney stones and other conditions. R/o kidney or ureteral. Ct Scan Kidney Stone Protocol.
From www.researchgate.net
CT scan showing subcapsular kidney collection healing after 7 days of Ct Scan Kidney Stone Protocol Patients may present with the. R/o kidney or ureteral stones. Is a ct scan necessary to diagnose kidney stones? Learn why your provider might order a scan. Kidney stone disease (nephrolithiasis) is a common problem in primary care practice. Scan from top of kidneys to bottom of symphysis pubis. Learn about the procedure, reasons, risks, and preparation for a ct. Ct Scan Kidney Stone Protocol.