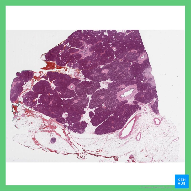
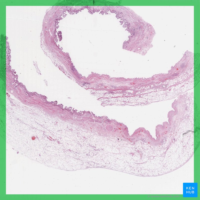
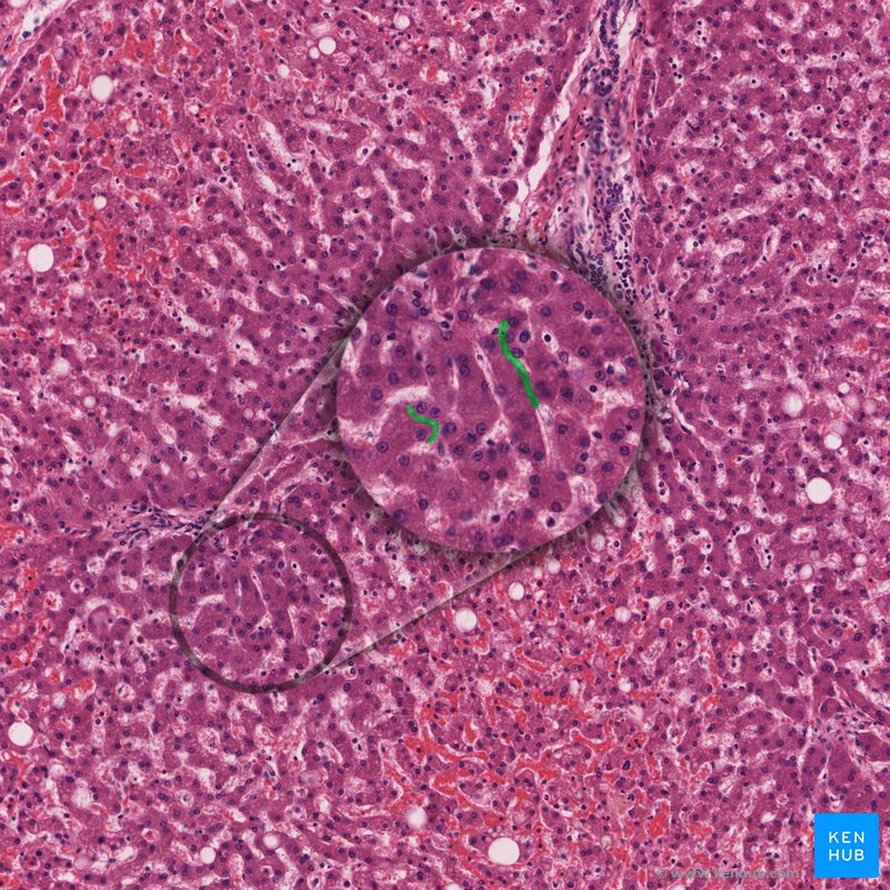
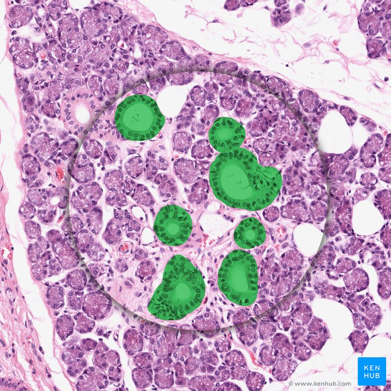
Accessory Organs Of Digestive System . Chemical digestion in the small intestine relies on the activities of three accessory digestive organs: Chemical digestion in the small intestine relies on the activities of three accessory digestive organs: Learn about the liver, gallbladder, and pancreas, the major accessory organs of digestion that secrete substances for chemical digestion in. Find out how bile, enzymes, and buffers help break down lipids, proteins, and carbohydrates in. Your digestive system is a network of organs that help you digest and absorb nutrition from your food. Accessory organs of digestion are organs that secrete substances needed for the chemical digestion of food but through which food does. The liver, pancreas, and gallbladder (figure 21.7.1). These accessory organs of digestion play key roles in the digestive process. The digestive role of the liver is to. The salivary glands, liver and gall bladder, and the pancreas aid the processes of ingestion, digestion, and absorption. Learn about the digestive roles, histology, and functions of the liver, pancreas, and gallbladder.
from www.visiblebody.com
Learn about the digestive roles, histology, and functions of the liver, pancreas, and gallbladder. Chemical digestion in the small intestine relies on the activities of three accessory digestive organs: Chemical digestion in the small intestine relies on the activities of three accessory digestive organs: Learn about the liver, gallbladder, and pancreas, the major accessory organs of digestion that secrete substances for chemical digestion in. Find out how bile, enzymes, and buffers help break down lipids, proteins, and carbohydrates in. The salivary glands, liver and gall bladder, and the pancreas aid the processes of ingestion, digestion, and absorption. These accessory organs of digestion play key roles in the digestive process. Your digestive system is a network of organs that help you digest and absorb nutrition from your food. The liver, pancreas, and gallbladder (figure 21.7.1). The digestive role of the liver is to.
10 Facts About the Digestive System
Accessory Organs Of Digestive System Chemical digestion in the small intestine relies on the activities of three accessory digestive organs: Your digestive system is a network of organs that help you digest and absorb nutrition from your food. Find out how bile, enzymes, and buffers help break down lipids, proteins, and carbohydrates in. These accessory organs of digestion play key roles in the digestive process. Chemical digestion in the small intestine relies on the activities of three accessory digestive organs: The salivary glands, liver and gall bladder, and the pancreas aid the processes of ingestion, digestion, and absorption. Chemical digestion in the small intestine relies on the activities of three accessory digestive organs: Learn about the digestive roles, histology, and functions of the liver, pancreas, and gallbladder. The liver, pancreas, and gallbladder (figure 21.7.1). The digestive role of the liver is to. Accessory organs of digestion are organs that secrete substances needed for the chemical digestion of food but through which food does. Learn about the liver, gallbladder, and pancreas, the major accessory organs of digestion that secrete substances for chemical digestion in.
From
Accessory Organs Of Digestive System Find out how bile, enzymes, and buffers help break down lipids, proteins, and carbohydrates in. Learn about the liver, gallbladder, and pancreas, the major accessory organs of digestion that secrete substances for chemical digestion in. These accessory organs of digestion play key roles in the digestive process. Your digestive system is a network of organs that help you digest and. Accessory Organs Of Digestive System.
From courses.lumenlearning.com
Overview of the Digestive System Boundless Anatomy and Physiology Accessory Organs Of Digestive System Accessory organs of digestion are organs that secrete substances needed for the chemical digestion of food but through which food does. Learn about the digestive roles, histology, and functions of the liver, pancreas, and gallbladder. The liver, pancreas, and gallbladder (figure 21.7.1). The salivary glands, liver and gall bladder, and the pancreas aid the processes of ingestion, digestion, and absorption.. Accessory Organs Of Digestive System.
From
Accessory Organs Of Digestive System Find out how bile, enzymes, and buffers help break down lipids, proteins, and carbohydrates in. Chemical digestion in the small intestine relies on the activities of three accessory digestive organs: The liver, pancreas, and gallbladder (figure 21.7.1). Your digestive system is a network of organs that help you digest and absorb nutrition from your food. Learn about the liver, gallbladder,. Accessory Organs Of Digestive System.
From
Accessory Organs Of Digestive System Your digestive system is a network of organs that help you digest and absorb nutrition from your food. Accessory organs of digestion are organs that secrete substances needed for the chemical digestion of food but through which food does. These accessory organs of digestion play key roles in the digestive process. Learn about the liver, gallbladder, and pancreas, the major. Accessory Organs Of Digestive System.
From
Accessory Organs Of Digestive System Chemical digestion in the small intestine relies on the activities of three accessory digestive organs: Chemical digestion in the small intestine relies on the activities of three accessory digestive organs: Learn about the liver, gallbladder, and pancreas, the major accessory organs of digestion that secrete substances for chemical digestion in. The digestive role of the liver is to. Find out. Accessory Organs Of Digestive System.
From
Accessory Organs Of Digestive System Chemical digestion in the small intestine relies on the activities of three accessory digestive organs: The digestive role of the liver is to. Your digestive system is a network of organs that help you digest and absorb nutrition from your food. These accessory organs of digestion play key roles in the digestive process. Accessory organs of digestion are organs that. Accessory Organs Of Digestive System.
From
Accessory Organs Of Digestive System The liver, pancreas, and gallbladder (figure 21.7.1). Find out how bile, enzymes, and buffers help break down lipids, proteins, and carbohydrates in. These accessory organs of digestion play key roles in the digestive process. Learn about the liver, gallbladder, and pancreas, the major accessory organs of digestion that secrete substances for chemical digestion in. The salivary glands, liver and gall. Accessory Organs Of Digestive System.
From
Accessory Organs Of Digestive System Your digestive system is a network of organs that help you digest and absorb nutrition from your food. Accessory organs of digestion are organs that secrete substances needed for the chemical digestion of food but through which food does. The digestive role of the liver is to. Learn about the liver, gallbladder, and pancreas, the major accessory organs of digestion. Accessory Organs Of Digestive System.
From
Accessory Organs Of Digestive System Chemical digestion in the small intestine relies on the activities of three accessory digestive organs: The liver, pancreas, and gallbladder (figure 21.7.1). Chemical digestion in the small intestine relies on the activities of three accessory digestive organs: Learn about the liver, gallbladder, and pancreas, the major accessory organs of digestion that secrete substances for chemical digestion in. Learn about the. Accessory Organs Of Digestive System.
From
Accessory Organs Of Digestive System Accessory organs of digestion are organs that secrete substances needed for the chemical digestion of food but through which food does. The liver, pancreas, and gallbladder (figure 21.7.1). Chemical digestion in the small intestine relies on the activities of three accessory digestive organs: Learn about the liver, gallbladder, and pancreas, the major accessory organs of digestion that secrete substances for. Accessory Organs Of Digestive System.
From www.slideserve.com
PPT III. Accessory Digestive Organs PowerPoint Presentation, free Accessory Organs Of Digestive System The salivary glands, liver and gall bladder, and the pancreas aid the processes of ingestion, digestion, and absorption. The liver, pancreas, and gallbladder (figure 21.7.1). Learn about the liver, gallbladder, and pancreas, the major accessory organs of digestion that secrete substances for chemical digestion in. The digestive role of the liver is to. Chemical digestion in the small intestine relies. Accessory Organs Of Digestive System.
From
Accessory Organs Of Digestive System These accessory organs of digestion play key roles in the digestive process. The liver, pancreas, and gallbladder (figure 21.7.1). Chemical digestion in the small intestine relies on the activities of three accessory digestive organs: Accessory organs of digestion are organs that secrete substances needed for the chemical digestion of food but through which food does. Find out how bile, enzymes,. Accessory Organs Of Digestive System.
From
Accessory Organs Of Digestive System Chemical digestion in the small intestine relies on the activities of three accessory digestive organs: Chemical digestion in the small intestine relies on the activities of three accessory digestive organs: Learn about the digestive roles, histology, and functions of the liver, pancreas, and gallbladder. Accessory organs of digestion are organs that secrete substances needed for the chemical digestion of food. Accessory Organs Of Digestive System.
From www.slideserve.com
PPT Chapter 14 Digestive System PowerPoint Presentation, free Accessory Organs Of Digestive System Find out how bile, enzymes, and buffers help break down lipids, proteins, and carbohydrates in. Accessory organs of digestion are organs that secrete substances needed for the chemical digestion of food but through which food does. The digestive role of the liver is to. The liver, pancreas, and gallbladder (figure 21.7.1). Learn about the digestive roles, histology, and functions of. Accessory Organs Of Digestive System.
From nurseslabs.com
Digestive System Anatomy and Physiology Nurseslabs Accessory Organs Of Digestive System These accessory organs of digestion play key roles in the digestive process. Learn about the digestive roles, histology, and functions of the liver, pancreas, and gallbladder. The digestive role of the liver is to. Find out how bile, enzymes, and buffers help break down lipids, proteins, and carbohydrates in. The liver, pancreas, and gallbladder (figure 21.7.1). Chemical digestion in the. Accessory Organs Of Digestive System.
From atstockillustration.com
Vector Illustration of a 3d Labeled Diagram of the Human Digestive Accessory Organs Of Digestive System Find out how bile, enzymes, and buffers help break down lipids, proteins, and carbohydrates in. The digestive role of the liver is to. Accessory organs of digestion are organs that secrete substances needed for the chemical digestion of food but through which food does. Learn about the digestive roles, histology, and functions of the liver, pancreas, and gallbladder. The liver,. Accessory Organs Of Digestive System.
From www.alamy.com
Accessory digestive organs Stock Photo Alamy Accessory Organs Of Digestive System Find out how bile, enzymes, and buffers help break down lipids, proteins, and carbohydrates in. The liver, pancreas, and gallbladder (figure 21.7.1). The salivary glands, liver and gall bladder, and the pancreas aid the processes of ingestion, digestion, and absorption. Chemical digestion in the small intestine relies on the activities of three accessory digestive organs: These accessory organs of digestion. Accessory Organs Of Digestive System.
From www.slideshare.net
Digestive System Accessory Structures Accessory Organs Of Digestive System The liver, pancreas, and gallbladder (figure 21.7.1). Chemical digestion in the small intestine relies on the activities of three accessory digestive organs: Your digestive system is a network of organs that help you digest and absorb nutrition from your food. Find out how bile, enzymes, and buffers help break down lipids, proteins, and carbohydrates in. The salivary glands, liver and. Accessory Organs Of Digestive System.
From www.alamy.com
Accessory digestive organs Stock Photo Alamy Accessory Organs Of Digestive System The digestive role of the liver is to. The liver, pancreas, and gallbladder (figure 21.7.1). These accessory organs of digestion play key roles in the digestive process. The salivary glands, liver and gall bladder, and the pancreas aid the processes of ingestion, digestion, and absorption. Learn about the digestive roles, histology, and functions of the liver, pancreas, and gallbladder. Your. Accessory Organs Of Digestive System.
From
Accessory Organs Of Digestive System The liver, pancreas, and gallbladder (figure 21.7.1). The digestive role of the liver is to. Learn about the digestive roles, histology, and functions of the liver, pancreas, and gallbladder. Chemical digestion in the small intestine relies on the activities of three accessory digestive organs: Find out how bile, enzymes, and buffers help break down lipids, proteins, and carbohydrates in. These. Accessory Organs Of Digestive System.
From depositphotos.com
Human Digestive System Consists Gastrointestinal Tract Accessory Organs Accessory Organs Of Digestive System Learn about the digestive roles, histology, and functions of the liver, pancreas, and gallbladder. Find out how bile, enzymes, and buffers help break down lipids, proteins, and carbohydrates in. Chemical digestion in the small intestine relies on the activities of three accessory digestive organs: The liver, pancreas, and gallbladder (figure 21.7.1). The digestive role of the liver is to. Your. Accessory Organs Of Digestive System.
From es.scribd.com
Organs of the Digestive System Stomach Digestion Accessory Organs Of Digestive System These accessory organs of digestion play key roles in the digestive process. Chemical digestion in the small intestine relies on the activities of three accessory digestive organs: The digestive role of the liver is to. Find out how bile, enzymes, and buffers help break down lipids, proteins, and carbohydrates in. Chemical digestion in the small intestine relies on the activities. Accessory Organs Of Digestive System.
From www.slideshare.net
Acc organs digestion Accessory Organs Of Digestive System Find out how bile, enzymes, and buffers help break down lipids, proteins, and carbohydrates in. Your digestive system is a network of organs that help you digest and absorb nutrition from your food. Chemical digestion in the small intestine relies on the activities of three accessory digestive organs: Accessory organs of digestion are organs that secrete substances needed for the. Accessory Organs Of Digestive System.
From www.slideserve.com
PPT Digestive System PowerPoint Presentation ID2406408 Accessory Organs Of Digestive System Your digestive system is a network of organs that help you digest and absorb nutrition from your food. The salivary glands, liver and gall bladder, and the pancreas aid the processes of ingestion, digestion, and absorption. Learn about the liver, gallbladder, and pancreas, the major accessory organs of digestion that secrete substances for chemical digestion in. Learn about the digestive. Accessory Organs Of Digestive System.
From www.science-sparks.com
Easy Human Digestive System Model Human Biology for Kids Accessory Organs Of Digestive System Your digestive system is a network of organs that help you digest and absorb nutrition from your food. Learn about the digestive roles, histology, and functions of the liver, pancreas, and gallbladder. Chemical digestion in the small intestine relies on the activities of three accessory digestive organs: Learn about the liver, gallbladder, and pancreas, the major accessory organs of digestion. Accessory Organs Of Digestive System.
From www.visiblebody.com
Accessory Organs Digestive Anatomy Accessory Organs Of Digestive System Your digestive system is a network of organs that help you digest and absorb nutrition from your food. The salivary glands, liver and gall bladder, and the pancreas aid the processes of ingestion, digestion, and absorption. Chemical digestion in the small intestine relies on the activities of three accessory digestive organs: Find out how bile, enzymes, and buffers help break. Accessory Organs Of Digestive System.
From
Accessory Organs Of Digestive System Learn about the digestive roles, histology, and functions of the liver, pancreas, and gallbladder. The digestive role of the liver is to. Learn about the liver, gallbladder, and pancreas, the major accessory organs of digestion that secrete substances for chemical digestion in. The salivary glands, liver and gall bladder, and the pancreas aid the processes of ingestion, digestion, and absorption.. Accessory Organs Of Digestive System.
From www.dreamstime.com
3d Illustration Human Digestive System Stock Illustration Accessory Organs Of Digestive System The digestive role of the liver is to. Chemical digestion in the small intestine relies on the activities of three accessory digestive organs: The salivary glands, liver and gall bladder, and the pancreas aid the processes of ingestion, digestion, and absorption. Find out how bile, enzymes, and buffers help break down lipids, proteins, and carbohydrates in. These accessory organs of. Accessory Organs Of Digestive System.
From
Accessory Organs Of Digestive System Your digestive system is a network of organs that help you digest and absorb nutrition from your food. Learn about the digestive roles, histology, and functions of the liver, pancreas, and gallbladder. The liver, pancreas, and gallbladder (figure 21.7.1). The digestive role of the liver is to. The salivary glands, liver and gall bladder, and the pancreas aid the processes. Accessory Organs Of Digestive System.
From
Accessory Organs Of Digestive System Learn about the liver, gallbladder, and pancreas, the major accessory organs of digestion that secrete substances for chemical digestion in. Chemical digestion in the small intestine relies on the activities of three accessory digestive organs: The salivary glands, liver and gall bladder, and the pancreas aid the processes of ingestion, digestion, and absorption. The liver, pancreas, and gallbladder (figure 21.7.1).. Accessory Organs Of Digestive System.
From
Accessory Organs Of Digestive System Learn about the digestive roles, histology, and functions of the liver, pancreas, and gallbladder. Accessory organs of digestion are organs that secrete substances needed for the chemical digestion of food but through which food does. Learn about the liver, gallbladder, and pancreas, the major accessory organs of digestion that secrete substances for chemical digestion in. These accessory organs of digestion. Accessory Organs Of Digestive System.
From antasyaalinda.blogspot.com
Digestive System Accessory Organs Diagram Accessory Organs Of Digestive System The digestive role of the liver is to. Your digestive system is a network of organs that help you digest and absorb nutrition from your food. Find out how bile, enzymes, and buffers help break down lipids, proteins, and carbohydrates in. The liver, pancreas, and gallbladder (figure 21.7.1). Accessory organs of digestion are organs that secrete substances needed for the. Accessory Organs Of Digestive System.
From
Accessory Organs Of Digestive System The liver, pancreas, and gallbladder (figure 21.7.1). Accessory organs of digestion are organs that secrete substances needed for the chemical digestion of food but through which food does. Learn about the liver, gallbladder, and pancreas, the major accessory organs of digestion that secrete substances for chemical digestion in. Chemical digestion in the small intestine relies on the activities of three. Accessory Organs Of Digestive System.
From
Accessory Organs Of Digestive System Learn about the liver, gallbladder, and pancreas, the major accessory organs of digestion that secrete substances for chemical digestion in. Chemical digestion in the small intestine relies on the activities of three accessory digestive organs: These accessory organs of digestion play key roles in the digestive process. Chemical digestion in the small intestine relies on the activities of three accessory. Accessory Organs Of Digestive System.
From www231.pair.com
Digestive System Accessory Organs Of Digestive System Find out how bile, enzymes, and buffers help break down lipids, proteins, and carbohydrates in. The digestive role of the liver is to. Learn about the digestive roles, histology, and functions of the liver, pancreas, and gallbladder. Your digestive system is a network of organs that help you digest and absorb nutrition from your food. The liver, pancreas, and gallbladder. Accessory Organs Of Digestive System.