Maryland Bridge Emax . This minimally invasive bridge is also a possible solution to replace a missing front tooth. 1.5 mm occlusal reduction from deepest occlusal. Lithium disilicate maryland bridge (ips e.max) which has increased strength, better retention and aesthetics as compared to metal adhesive. The pontic tooth is dental code d6242 for noble metal and d6245 for porcelain. Nick kephart presents a clinical case whereby he uses two ceramic (e.max) maryland bridges to restore congenitally missing maxillary lateral incisors, bonding to both. The wing or retainer is dental code d6545 for metal and d6548 for porcelain, so think emax or zirconia. 360 ̊ shoulder or chamfer. The dental code for a maryland bridge is actually going to be 2 or 3 dental codes depending on if we use 2 or 1 wing. Researchers placed 35 single tooth maryland type bridges, consisting of the cantilevered pontic and a veneer on the adjacent tooth for retention. Bridges cemented with panavia showed the highest survival rate (67%) among the luting cements analysed for 5 years.
from www.youtube.com
The dental code for a maryland bridge is actually going to be 2 or 3 dental codes depending on if we use 2 or 1 wing. The pontic tooth is dental code d6242 for noble metal and d6245 for porcelain. Bridges cemented with panavia showed the highest survival rate (67%) among the luting cements analysed for 5 years. This minimally invasive bridge is also a possible solution to replace a missing front tooth. 360 ̊ shoulder or chamfer. 1.5 mm occlusal reduction from deepest occlusal. Nick kephart presents a clinical case whereby he uses two ceramic (e.max) maryland bridges to restore congenitally missing maxillary lateral incisors, bonding to both. Researchers placed 35 single tooth maryland type bridges, consisting of the cantilevered pontic and a veneer on the adjacent tooth for retention. Lithium disilicate maryland bridge (ips e.max) which has increased strength, better retention and aesthetics as compared to metal adhesive. The wing or retainer is dental code d6545 for metal and d6548 for porcelain, so think emax or zirconia.
Emax maryland dental bridge Before and After YouTube
Maryland Bridge Emax 360 ̊ shoulder or chamfer. The dental code for a maryland bridge is actually going to be 2 or 3 dental codes depending on if we use 2 or 1 wing. Bridges cemented with panavia showed the highest survival rate (67%) among the luting cements analysed for 5 years. Lithium disilicate maryland bridge (ips e.max) which has increased strength, better retention and aesthetics as compared to metal adhesive. 1.5 mm occlusal reduction from deepest occlusal. The wing or retainer is dental code d6545 for metal and d6548 for porcelain, so think emax or zirconia. The pontic tooth is dental code d6242 for noble metal and d6245 for porcelain. Researchers placed 35 single tooth maryland type bridges, consisting of the cantilevered pontic and a veneer on the adjacent tooth for retention. This minimally invasive bridge is also a possible solution to replace a missing front tooth. 360 ̊ shoulder or chamfer. Nick kephart presents a clinical case whereby he uses two ceramic (e.max) maryland bridges to restore congenitally missing maxillary lateral incisors, bonding to both.
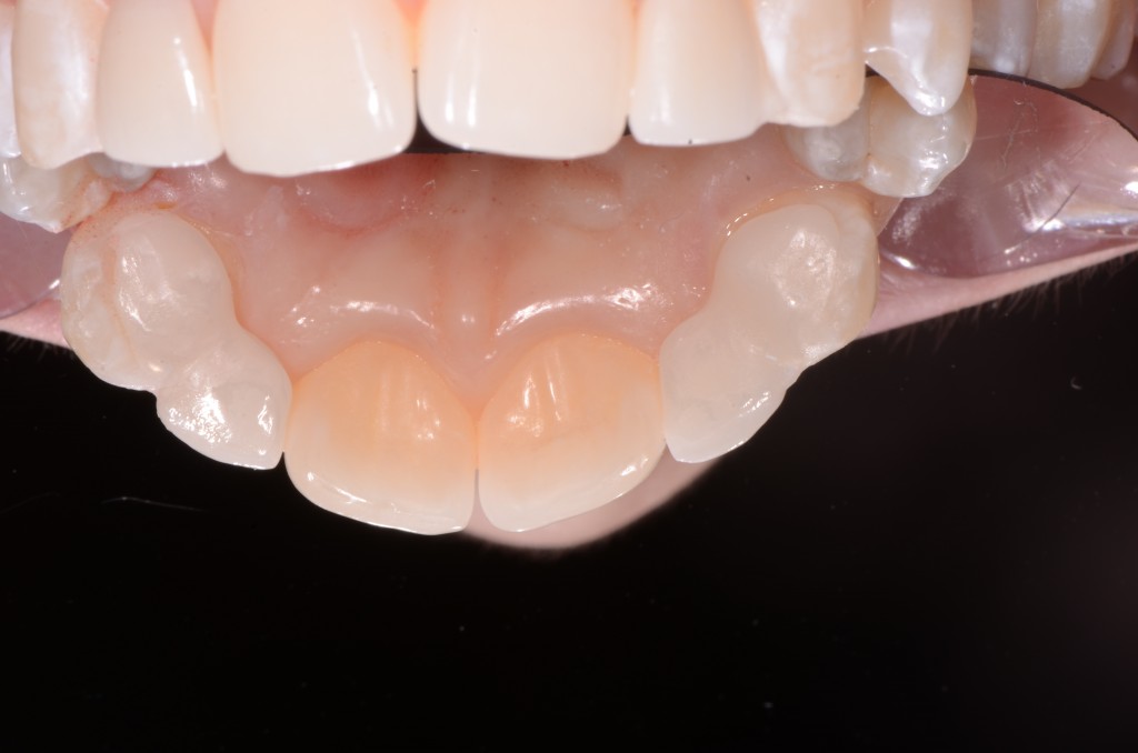
From rpiclab.com
Services RPIC LAB Maryland Bridge Emax Bridges cemented with panavia showed the highest survival rate (67%) among the luting cements analysed for 5 years. This minimally invasive bridge is also a possible solution to replace a missing front tooth. 1.5 mm occlusal reduction from deepest occlusal. Lithium disilicate maryland bridge (ips e.max) which has increased strength, better retention and aesthetics as compared to metal adhesive. The. Maryland Bridge Emax.
From xdentcenter.com
Gallery Xdent Center Maryland Bridge Emax This minimally invasive bridge is also a possible solution to replace a missing front tooth. 1.5 mm occlusal reduction from deepest occlusal. Lithium disilicate maryland bridge (ips e.max) which has increased strength, better retention and aesthetics as compared to metal adhesive. 360 ̊ shoulder or chamfer. Bridges cemented with panavia showed the highest survival rate (67%) among the luting cements. Maryland Bridge Emax.
From www.cdocs.com
single wing maryland bridge with ips emax CDOCS Article Maryland Bridge Emax Lithium disilicate maryland bridge (ips e.max) which has increased strength, better retention and aesthetics as compared to metal adhesive. Nick kephart presents a clinical case whereby he uses two ceramic (e.max) maryland bridges to restore congenitally missing maxillary lateral incisors, bonding to both. The wing or retainer is dental code d6545 for metal and d6548 for porcelain, so think emax. Maryland Bridge Emax.
From www.youtube.com
Maryland Bridge YouTube Maryland Bridge Emax Researchers placed 35 single tooth maryland type bridges, consisting of the cantilevered pontic and a veneer on the adjacent tooth for retention. The pontic tooth is dental code d6242 for noble metal and d6245 for porcelain. Bridges cemented with panavia showed the highest survival rate (67%) among the luting cements analysed for 5 years. This minimally invasive bridge is also. Maryland Bridge Emax.
From www.victoriandentalgroup.com.au
DENTAL BRIDGE Maryland Bridge Emax Nick kephart presents a clinical case whereby he uses two ceramic (e.max) maryland bridges to restore congenitally missing maxillary lateral incisors, bonding to both. The pontic tooth is dental code d6242 for noble metal and d6245 for porcelain. The wing or retainer is dental code d6545 for metal and d6548 for porcelain, so think emax or zirconia. Bridges cemented with. Maryland Bridge Emax.
From burbankdental.com
Single Tooth Restoration Options Evaluating Maryland Bridges Maryland Bridge Emax Lithium disilicate maryland bridge (ips e.max) which has increased strength, better retention and aesthetics as compared to metal adhesive. This minimally invasive bridge is also a possible solution to replace a missing front tooth. 1.5 mm occlusal reduction from deepest occlusal. The pontic tooth is dental code d6242 for noble metal and d6245 for porcelain. The wing or retainer is. Maryland Bridge Emax.
From www.youtube.com
Maryland Bridge YouTube Maryland Bridge Emax This minimally invasive bridge is also a possible solution to replace a missing front tooth. Lithium disilicate maryland bridge (ips e.max) which has increased strength, better retention and aesthetics as compared to metal adhesive. Researchers placed 35 single tooth maryland type bridges, consisting of the cantilevered pontic and a veneer on the adjacent tooth for retention. The dental code for. Maryland Bridge Emax.
From www.cdocs.com
single wing maryland bridge with ips emax CDOCS Article Maryland Bridge Emax Bridges cemented with panavia showed the highest survival rate (67%) among the luting cements analysed for 5 years. The wing or retainer is dental code d6545 for metal and d6548 for porcelain, so think emax or zirconia. Lithium disilicate maryland bridge (ips e.max) which has increased strength, better retention and aesthetics as compared to metal adhesive. Nick kephart presents a. Maryland Bridge Emax.
From dentallabnetwork.com
e.max maryland bridge? Dental Lab Network Maryland Bridge Emax Bridges cemented with panavia showed the highest survival rate (67%) among the luting cements analysed for 5 years. 1.5 mm occlusal reduction from deepest occlusal. The pontic tooth is dental code d6242 for noble metal and d6245 for porcelain. The dental code for a maryland bridge is actually going to be 2 or 3 dental codes depending on if we. Maryland Bridge Emax.
From www.pinterest.com
e.max Maryland Bridge Dentisti, Odontoiatria, Denti Maryland Bridge Emax Researchers placed 35 single tooth maryland type bridges, consisting of the cantilevered pontic and a veneer on the adjacent tooth for retention. 360 ̊ shoulder or chamfer. Lithium disilicate maryland bridge (ips e.max) which has increased strength, better retention and aesthetics as compared to metal adhesive. 1.5 mm occlusal reduction from deepest occlusal. Bridges cemented with panavia showed the highest. Maryland Bridge Emax.
From www.youtube.com
Dentapreg Maryland Bridge YouTube Maryland Bridge Emax 360 ̊ shoulder or chamfer. Nick kephart presents a clinical case whereby he uses two ceramic (e.max) maryland bridges to restore congenitally missing maxillary lateral incisors, bonding to both. 1.5 mm occlusal reduction from deepest occlusal. The pontic tooth is dental code d6242 for noble metal and d6245 for porcelain. This minimally invasive bridge is also a possible solution to. Maryland Bridge Emax.
From originsspecialtydentistry.com
RESIN BONDED BRIDGE (MARYLAND BRIDGE) Origins Dentistry Maryland Bridge Emax Nick kephart presents a clinical case whereby he uses two ceramic (e.max) maryland bridges to restore congenitally missing maxillary lateral incisors, bonding to both. Researchers placed 35 single tooth maryland type bridges, consisting of the cantilevered pontic and a veneer on the adjacent tooth for retention. The dental code for a maryland bridge is actually going to be 2 or. Maryland Bridge Emax.
From www.cdocs.com
CDOCS Digital Dentistry Community emax Md Bridge for Implant Maryland Bridge Emax Bridges cemented with panavia showed the highest survival rate (67%) among the luting cements analysed for 5 years. The wing or retainer is dental code d6545 for metal and d6548 for porcelain, so think emax or zirconia. 360 ̊ shoulder or chamfer. Lithium disilicate maryland bridge (ips e.max) which has increased strength, better retention and aesthetics as compared to metal. Maryland Bridge Emax.
From www.cdocs.com
one wing maryland bridge as a long term temporary CDOCS Maryland Bridge Emax The dental code for a maryland bridge is actually going to be 2 or 3 dental codes depending on if we use 2 or 1 wing. The pontic tooth is dental code d6242 for noble metal and d6245 for porcelain. 1.5 mm occlusal reduction from deepest occlusal. Researchers placed 35 single tooth maryland type bridges, consisting of the cantilevered pontic. Maryland Bridge Emax.
From twojaws.com
سلسلة الجسور اللصاقة Maryland Bridges, Minimal Preparation Bridges Maryland Bridge Emax This minimally invasive bridge is also a possible solution to replace a missing front tooth. The wing or retainer is dental code d6545 for metal and d6548 for porcelain, so think emax or zirconia. Nick kephart presents a clinical case whereby he uses two ceramic (e.max) maryland bridges to restore congenitally missing maxillary lateral incisors, bonding to both. Bridges cemented. Maryland Bridge Emax.
From www.speareducation.com
Teachable Moments in Dentistry Spear Education Maryland Bridge Emax The pontic tooth is dental code d6242 for noble metal and d6245 for porcelain. The wing or retainer is dental code d6545 for metal and d6548 for porcelain, so think emax or zirconia. Nick kephart presents a clinical case whereby he uses two ceramic (e.max) maryland bridges to restore congenitally missing maxillary lateral incisors, bonding to both. 360 ̊ shoulder. Maryland Bridge Emax.
From www.odontovida.com
Maryland bridge How to do it? OdontoVida Maryland Bridge Emax Researchers placed 35 single tooth maryland type bridges, consisting of the cantilevered pontic and a veneer on the adjacent tooth for retention. This minimally invasive bridge is also a possible solution to replace a missing front tooth. Nick kephart presents a clinical case whereby he uses two ceramic (e.max) maryland bridges to restore congenitally missing maxillary lateral incisors, bonding to. Maryland Bridge Emax.
From www.cdocs.com
single wing maryland bridge with ips emax CDOCS Article Maryland Bridge Emax Nick kephart presents a clinical case whereby he uses two ceramic (e.max) maryland bridges to restore congenitally missing maxillary lateral incisors, bonding to both. 1.5 mm occlusal reduction from deepest occlusal. The wing or retainer is dental code d6545 for metal and d6548 for porcelain, so think emax or zirconia. Bridges cemented with panavia showed the highest survival rate (67%). Maryland Bridge Emax.
From www.youtube.com
Case Discussion eMax Bridge 611 and Teliocad Veneer/Bridge 2226 Maryland Bridge Emax This minimally invasive bridge is also a possible solution to replace a missing front tooth. 360 ̊ shoulder or chamfer. The dental code for a maryland bridge is actually going to be 2 or 3 dental codes depending on if we use 2 or 1 wing. The wing or retainer is dental code d6545 for metal and d6548 for porcelain,. Maryland Bridge Emax.
From plazadental.com.au
Dental Bridges What Are They and How Do They Work? Plaza Dental Maryland Bridge Emax Researchers placed 35 single tooth maryland type bridges, consisting of the cantilevered pontic and a veneer on the adjacent tooth for retention. 1.5 mm occlusal reduction from deepest occlusal. Bridges cemented with panavia showed the highest survival rate (67%) among the luting cements analysed for 5 years. Nick kephart presents a clinical case whereby he uses two ceramic (e.max) maryland. Maryland Bridge Emax.
From www.cdocs.com
CDOCS Digital Dentistry Community emax Md Bridge for Implant Maryland Bridge Emax Lithium disilicate maryland bridge (ips e.max) which has increased strength, better retention and aesthetics as compared to metal adhesive. The wing or retainer is dental code d6545 for metal and d6548 for porcelain, so think emax or zirconia. The dental code for a maryland bridge is actually going to be 2 or 3 dental codes depending on if we use. Maryland Bridge Emax.
From www.dkdentallab.com
Products — DK Dental Laboratory Maryland Bridge Emax Bridges cemented with panavia showed the highest survival rate (67%) among the luting cements analysed for 5 years. The pontic tooth is dental code d6242 for noble metal and d6245 for porcelain. The dental code for a maryland bridge is actually going to be 2 or 3 dental codes depending on if we use 2 or 1 wing. Nick kephart. Maryland Bridge Emax.
From dentagama.com
Emax bridge Dentagama Maryland Bridge Emax The pontic tooth is dental code d6242 for noble metal and d6245 for porcelain. This minimally invasive bridge is also a possible solution to replace a missing front tooth. 1.5 mm occlusal reduction from deepest occlusal. Researchers placed 35 single tooth maryland type bridges, consisting of the cantilevered pontic and a veneer on the adjacent tooth for retention. Lithium disilicate. Maryland Bridge Emax.
From www.youtube.com
Emax maryland dental bridge Before and After YouTube Maryland Bridge Emax The dental code for a maryland bridge is actually going to be 2 or 3 dental codes depending on if we use 2 or 1 wing. 360 ̊ shoulder or chamfer. 1.5 mm occlusal reduction from deepest occlusal. The wing or retainer is dental code d6545 for metal and d6548 for porcelain, so think emax or zirconia. The pontic tooth. Maryland Bridge Emax.
From burbankdental.com
Single Tooth Restoration Options Evaluating Maryland Bridges Maryland Bridge Emax The dental code for a maryland bridge is actually going to be 2 or 3 dental codes depending on if we use 2 or 1 wing. 1.5 mm occlusal reduction from deepest occlusal. Bridges cemented with panavia showed the highest survival rate (67%) among the luting cements analysed for 5 years. Nick kephart presents a clinical case whereby he uses. Maryland Bridge Emax.
From digitalenamel.com
Split the Midline Digital Enamel Maryland Bridge Emax 360 ̊ shoulder or chamfer. This minimally invasive bridge is also a possible solution to replace a missing front tooth. Bridges cemented with panavia showed the highest survival rate (67%) among the luting cements analysed for 5 years. Nick kephart presents a clinical case whereby he uses two ceramic (e.max) maryland bridges to restore congenitally missing maxillary lateral incisors, bonding. Maryland Bridge Emax.
From www.pinterest.com.mx
Replace the gap between the teeth by dental bridge http//www Maryland Bridge Emax Lithium disilicate maryland bridge (ips e.max) which has increased strength, better retention and aesthetics as compared to metal adhesive. The wing or retainer is dental code d6545 for metal and d6548 for porcelain, so think emax or zirconia. 360 ̊ shoulder or chamfer. 1.5 mm occlusal reduction from deepest occlusal. Nick kephart presents a clinical case whereby he uses two. Maryland Bridge Emax.
From askadentist.com
Maryland Bridge Ask A Dentist Maryland Bridge Emax 360 ̊ shoulder or chamfer. Nick kephart presents a clinical case whereby he uses two ceramic (e.max) maryland bridges to restore congenitally missing maxillary lateral incisors, bonding to both. Lithium disilicate maryland bridge (ips e.max) which has increased strength, better retention and aesthetics as compared to metal adhesive. This minimally invasive bridge is also a possible solution to replace a. Maryland Bridge Emax.
From healthjade.com
Dental Bridge Procedure, Dental Bridge Vs Dental Implant Maryland Bridge Emax This minimally invasive bridge is also a possible solution to replace a missing front tooth. 1.5 mm occlusal reduction from deepest occlusal. The wing or retainer is dental code d6545 for metal and d6548 for porcelain, so think emax or zirconia. Nick kephart presents a clinical case whereby he uses two ceramic (e.max) maryland bridges to restore congenitally missing maxillary. Maryland Bridge Emax.
From rpiclab.com
Services RPIC LAB Maryland Bridge Emax Nick kephart presents a clinical case whereby he uses two ceramic (e.max) maryland bridges to restore congenitally missing maxillary lateral incisors, bonding to both. Researchers placed 35 single tooth maryland type bridges, consisting of the cantilevered pontic and a veneer on the adjacent tooth for retention. Bridges cemented with panavia showed the highest survival rate (67%) among the luting cements. Maryland Bridge Emax.
From www.youtube.com
Dental Maryland bridge YouTube Maryland Bridge Emax The dental code for a maryland bridge is actually going to be 2 or 3 dental codes depending on if we use 2 or 1 wing. The wing or retainer is dental code d6545 for metal and d6548 for porcelain, so think emax or zirconia. This minimally invasive bridge is also a possible solution to replace a missing front tooth.. Maryland Bridge Emax.
From rpiclab.com
Services RPIC LAB Maryland Bridge Emax 360 ̊ shoulder or chamfer. Bridges cemented with panavia showed the highest survival rate (67%) among the luting cements analysed for 5 years. The wing or retainer is dental code d6545 for metal and d6548 for porcelain, so think emax or zirconia. 1.5 mm occlusal reduction from deepest occlusal. The dental code for a maryland bridge is actually going to. Maryland Bridge Emax.
From xdentcenter.com
Gallery Xdent Center Maryland Bridge Emax The wing or retainer is dental code d6545 for metal and d6548 for porcelain, so think emax or zirconia. 360 ̊ shoulder or chamfer. Lithium disilicate maryland bridge (ips e.max) which has increased strength, better retention and aesthetics as compared to metal adhesive. This minimally invasive bridge is also a possible solution to replace a missing front tooth. Researchers placed. Maryland Bridge Emax.
From www.youtube.com
Maryland Bridge Resin Bonded Bridge YouTube Maryland Bridge Emax This minimally invasive bridge is also a possible solution to replace a missing front tooth. The dental code for a maryland bridge is actually going to be 2 or 3 dental codes depending on if we use 2 or 1 wing. The pontic tooth is dental code d6242 for noble metal and d6245 for porcelain. Researchers placed 35 single tooth. Maryland Bridge Emax.
From www.athens-dental.com
Maryland Bridges advantagesdisadvantagesathens dental Maryland Bridge Emax Researchers placed 35 single tooth maryland type bridges, consisting of the cantilevered pontic and a veneer on the adjacent tooth for retention. 1.5 mm occlusal reduction from deepest occlusal. The pontic tooth is dental code d6242 for noble metal and d6245 for porcelain. The wing or retainer is dental code d6545 for metal and d6548 for porcelain, so think emax. Maryland Bridge Emax.